Zum Inhalt

Komplikationen in der Pankreaschirurgie

Deren Einfluss auf die Langzeitergebnisse

  • Open Access
  • 08.05.2018
  • Chirurgie
Erschienen in:

Zusammenfassung

Die chirurgische Therapie von Tumorerkrankungen der Bauchspeicheldrüse erfordert komplexe operative Interventionen. Diese weisen mittlerweile eine signifikant reduzierte Mortalität (<5 %) auf, sind aber nach wie vor mit einer hohen Komplikationsrate (30–50 %) vergesellschaftet. Dabei zählen postoperative Pankreasfisteln, biliäre Komplikationen und Blutungen zu den schwerwiegendsten und auch potenziell lebensbedrohlichsten Ereignissen. Gezielte Maßnahmen können die Morbiditäts- und Mortalitätsrisiken senken. Für ein effizientes und individuell maßgeschneidertes Komplikationsmanagement ist eine enge, interdisziplinäre Kooperation erforderlich. Dabei profitiert der Patient grundlegend von der Expertise eines spezialisierten Zentrums. In eigenen Studien konnte kein unmittelbarer Zusammenhang zwischen höhergradigen Komplikationen und dem Langzeitüberleben hergestellt werden. Entscheidend für die Langzeitprognose war nicht die Morbidität, sondern das zugrunde liegende Tumorstadium.
Die Pankreatikoduodenektomie ist ein komplexer operativer Eingriff, der 1912 erstmals von W. Kausch [1] publiziert wurde. Die Ergebnisse der ersten darauf folgenden Behandlungsserie wurde 1941 von G. Whipple [2] veröffentlicht. Die anfänglich hohe Mortalitätsrate von 29 % konnte inzwischen aufgrund deutlicher Fortschritte in der chirurgischen Technik sowie der Verbesserung des perioperativen Managements in spezialisierten Zentren auf 1 bis 5 % reduziert werden. Das mittlere Überleben nach einer typischen Resektion beim resektablen Pankreaskarzinom liegt derzeit bei 20 bis 24 Monaten [3, 4].
Schwierige Voraussetzungen wie etwa ein weiches Pankreasparenchym oder ein kleiner Pankreasgang, die im postoperativen Verlauf zu vielfältigen und schwerwiegenden Komplikationen führen können, haben zu alternativen Techniken geführt, die trotz risikobehafteter Verhältnisse die Anlage von Pankreasanastomosen ermöglichen. Hinzu kommt die Kernkompetenz eines Zentrums im Komplikationsmanagement unter Aufwendung interdisziplinärer Infrastrukturen, die diagnostische und therapeutische Interaktionen rechtzeitig gewährleisten, wodurch die Ergebnisse maßgeblich beeinflusst werden.
Dennoch persistiert eine hohe Morbiditätsrate von 30 bis 50 % (Tab. 1). Das Auftreten einer Pankreasfistel bzw. Anastomoseninsuffizienz stellt nach wie vor die häufigste Ursache für die Mortalität und Morbidität dar. Dies ist vor allem den risikobehafteten Anastomosentechniken auf Basis der unterschiedlichen Gewebseigenschaften des Pankreas geschuldet. Bei weicher bzw. adipöser Konsistenz des Parenchyms und der permanenten exokrinen Enzymsekretionen ist das Risiko, eine Fistel zu entwickeln, um das 10-Fache, eine potenziell lebensbedrohliche Arrosionsblutung um das 5‑Fache und das Risiko eines letalen Ausgangs aufgrund einer Komplikation um das 3‑Fache erhöht [58].
Tab. 1
Häufigkeit chirurgischer Komplikationen
Komplikationen
(%)
 
Pankreasfistel
10–40
Intraabdominelle Abszesse
9–10
Meist Folge nicht drainierter Pankreasfisteln
Gallefisteln
3–9
Postoperative Blutung
Intraabdominell/intraluminal
1–9
Fistelassoziierte Arrosionsblutung
Blutungen für 11–38 % aller Todesfälle verantwortlich
Späte Blutungen
1–5
Ein wesentlicher Beitrag zur standardisierten Erfassung postoperativer Komplikationen nach Pankreaseingriffen wurde in den vergangenen 10 Jahren durch die Konsensusdefinitionen der „International Study Group for Pancreatic Surgery“ (ISGPS) geleistet. Zunächst wurde 2005 die Definition der postoperativen Pankreasfistel (POPF) vereinheitlicht (Tab. 2). Die bis dahin verwendeten, unterschiedlichsten Fisteldefinitionen wurden mit der Mengendefinition einer dreifach erhöhten Amylasekonzentration gegenüber dem maximalen Normbereich des Serums ab dem 3. postoperativen Tag auf eine praxisnahe Definition reduziert. Zusätzlich wurde deren klinische Bedeutung in den 3 Schweregraden klassifiziert [9, 10]. Auch die folgenden Definitionen zur postoperativen Blutung (Tab. 3) und Magenentleerungsstörung („delayed gastric emptying“ – DGE, Tab. 4) setzen sich zunehmend international durch und tragen maßgeblich zur Objektivierbarkeit dieser Komplikationen in unterschiedlichen Publikationen bei [11, 12].
Tab. 2
Klassifikation der postoperativen Pankreasfisteln (POPF) der „International Study Group of Pancreatic Surgery“ (ISPGS)
 
Grad A
Grad B
Grad C
Klinischer Zustand
Gut
Meist gut
Eingeschränkt/schlecht
Spezifische Therapie
Nein
Ja/nein
Ja
Ultraschall/CT
Negativ
Negativ/positiv
Positiv
Persistierende Drainage
(>3 Wochen)
Nein
Meist ja
Ja
Reoperation
Nein
Nein
Ja
POPF-assoziierte Mortalität
Nein
Nein
Möglich
Infektionszeichen
Nein
Ja
Ja
Sepsis
Nein
Nein
Ja
Wiederaufnahme
Nein
Ja/nein
Ja
Tab. 3
Klassifikation der postoperativen Blutungen der „International Study Group of Pancreatic Surgery“ (ISPGS)
Schweregrad
1. Zeitpunkt
2. Lokalisation
3. Klinischer Einfluss
Klinischer Zustand
Diagnostik
Therapie
A
1. Früh (≤24 h)
2. Intra-/extraluminal
3. Leicht
Gut
Observanz
Hb-Kontrolle
Sonographie/CT
Keine
B
1. Früh (≤24 h); spät (>24 h)
2. Intra-/extraluminal
3. Stark (leicht)
Gut/moderat,
kaum lebensbedrohlich
Observanz
Hb-Kontrolle
Sonographie/CT
Angiographie
Endoskopie
ICU/IMC
Transfusion
Embolisierung
Endoskopie
Relaparotomie
(frühe Blutung)
C
1. Spät (>24 h)
2. Intra-/extraluminal
3. Stark
Eingeschränkt/stark beeinträchtigt, lebensbedrohlich
CT
Angiographie
Endoskopie
ICU
Transfusion
Embolisation
Endoskopie
Relaparotomie
(frühe Blutung)
Tab. 4
Schweregrad der verzögerten Magenentleerung nach der Definition der „International Study Group of Pancreatic Surgery“ (ISGPS)
ME-Grad
Magensonde
Kostaufbau
Liegedauer (Tage)
Neuanlage
Nicht möglich
Beendet
A
4–7
Nach dem 3. postoperativen Tag
Bis zum 7. postoperativen Tag
Bis zum 14. postoperativen Tag
B
8–14
Nach dem 7. postoperativen Tag
Bis zum 14. postoperativen Tag
Bis zum 21. postoperativen Tag
C
>14
Nach dem 14. postoperativen Tag
Bis zum 21. postoperativen Tag
Im Falle einer perioperativen Komplikation ist die frühestmögliche Erkennung und ein adäquates Management zur Minimierung der Folgen essenziell.
Zusammenhänge zwischen der postoperativen Morbidität und dem Überleben werden derzeit diskutiert. Der Einfluss auf das Gesamtüberleben, wie sie bei anderen Tumorentitäten postuliert werden, sind beim Pankreaskarzinom noch nicht eindeutig geklärt ([8]; Tab. 5).
Tab. 5
Einfluss der postoperativen Morbidität auf das rezidivfreie- und Langzeitüberleben bei gastrointestinalen Tumoren. (Literatur auf Anfrage)
Autor
Tumor
Lokalisation
Komplikationsraten (%)
Rezidivfreies 5‑Jahres-Überleben
5-Jahres-Gesamtüberleben
Komplikationen (%)
Komplikationen (%)
Nein
Ja
p
Nein
Ja
p
Laurent C
(Br J Surg 2003)
Leber
Metastasen
Gesamt
30
28
12
0,001
42
21
<0,001
Schwer
Nespoli A
(Tumori 2004)
CRC
Gesamt
23
75
18
<0,001
Schwer
Tanaka K
(Ann Surg Oncol 2010)
Leber
Metastasen
Gesamt
26
31,3
20,2
0,03
55,4
45,9
0,02
Schwer
9,8
Farid SG
(Ann Surg 2010)
Leber
Metastasen
Gesamt
28
26
13
0,001
28
37
<0,001
Schwer
17
Mrak K
(Dis Colon Rectum 2013)
Rektum
Gesamt
34,5
66,7
68,8
n. r.
72,4
71,8
n. r.
Schwer
Tokunaga M
(Ann Surg Oncol 2013)
Magen
Gesamt
84,5
64,9
<0,001
86,8
66,4
<0,001
Schwer
7,2
Tsujimoto M
(Ann Surg Oncol 2013)
Magen
Gesamt
10,6
78,1
57,9
<0,001
Schwer
n.r. nicht berichtet

Postoperative Pankreasfisteln

Die postoperativen Pankreasfisteln (POPF) stellen potenziell lebensbedrohliche Komplikationen nach Pankreasresektionen dar. Ihr Auftreten variiert zwischen 3 und 35 %, wobei die Häufigkeit ihres Auftretens mit der Art des Eingriffs korrespondiert. Fisteln nach distaler Pankreatektomie bzw. Enukleation treten signifikant häufiger auf als nach partieller Pankreatikoduodenektomie. Abgestuft nach Schweregrad erfolgt die Klassifikation nach der seit 2005 existierenden Definition durch die „International Study Group of Pancreatic Surgery“ (ISGPS, Tab. 2).
Als Risikofaktoren werden ein weiches bzw. lipomatöses Gewebe, ein BMI von über 25 kg/m2, ein Pankreasgang unter 3 mm im Durchmesser sowie ein hoher intraoperativer Blutverlust von über 1000 ml genannt [1316].
Die Validierung der Fisteldefinition bestätigte, dass bei Vorliegen einer POPF Grad A keine klinischen Konsequenzen aus einer Therapieerweiterung resultieren. Bei einer höhergradigen POPF Grad B ist eine Adaptation der Therapie einzuleiten, wobei auch mit einem verlängerten Krankenhausaufenthalt zu rechnen ist.
Bei erhöhten Entzündungsparametern ist eine Diagnostik mittels Sonographie einzuleiten und wenn erforderlich durch ein Abdomen-CT zu erweitern.
Reoperationen nach Pankreasresektionen sind technisch äußerst anspruchsvoll, gehen mit einer deutlich erhöhten Komplikationsrate einher und sind nachweislich mit einer Mortalität von 13–60 % vergesellschaftet [1721].
Aus diesem Grund sollten beim Management der POPF zwei wesentliche Punkte ins Zentrum der Überlegungen gerückt werden. Zum einen sollte die konservative Therapie so lange wie möglich beibehalten und zum anderen, wann immer möglich, eine perkutane Drainageanlage angestrebt werden.
Kommt es trotz radiologischer Intervention zu einer klinischen Verschlechterung des Patienten, ist eine offensive Vorgangsweise in Form einer Revisionsoperation anzustreben, um so das Risiko insuffizienzassoziierter Komplikationen zu minimieren (POPF Grade C). Die Indikation zu einer Reoperation liegt in diesen Fällen zwischen 1,6 und 11 %.

Insuffizienz der Pankreasanastomose

Bei früher Insuffizienz der Pankreatikojejunostomie ist in Abhängigkeit vom klinischen Zustandsbild zu entscheiden, ob eine Observierung im Sinne einer Stand-by-Politik oder eine Reoperation unmittelbar einzuleiten ist. Erfahrungsgemäß treten Insuffizienzen meist bei schlechter Parenchymkonstellation auf, die eine zielführende Übernähung oder Reanastomosierung kaum zulassen. Alternativ kann eine CT-gezielte perkutane Pigtail-Drainage (evtl. in Kombination mit einer PTC-Drainage) in Erwägung gezogen werden. Als weitere Option bietet sich die Aufhebung der Anastomose mit Verschluss der ausgeschalteten Jejunumschlinge an.
Diese kann entweder mit einer isolierten Ausleitung des Pankreasgangs mithilfe einer externen Drainage unter Erhalt des Restparenchyms oder mit einer Restpankreatektomie einhergehen, wobei erstere Maßnahme mehrheitlich mit einem langwierigen komplikationsassoziierten Krankheitsverlauf belastet sein kann [22, 23].

Intraabdominelle Abszesse

Die häufigste Ursache von Abszessen ist die Insuffizienz der pankreatikojejunalen Anastomose oder die Sekretretention einer nicht drainierten Pankreasfistel. Die Inzidenz liegt bei 9 bis 10 %. Die Therapie der Wahl ist eine CT-gezielte Punktion, wodurch nicht nur die Diagnose gesichert werden kann, sondern auch die Option für ein Antibiogramm gegeben ist. So kann bei suffizienter Drainage eine Revisionsoperation vermieden werden.
Ist jedoch der Reeingriff indiziert, muss ähnlich wie bei der Insuffizienz der Pankreatikojejunostomie eine Übernähung oder Neuanlage der Anastomose kritisch überlegt sein, da aufgrund der Gewebsirritation durch lokale Entzündungen und tryptische Nekrosen ein hohes Risiko einer neuerlichen Insuffizienz besteht.
Einheitliche Richtlinien für den idealen Zeitpunkt einer Revisionsoperation liegen nicht vor. Die eigene Strategie nach frustraner radiologischer Intervention basiert darauf, das Risiko weiterer Komplikationen durch eine Restpankreatektomie möglichst gering zu halten, wobei die Erhaltung der Milz angestrebt, letztlich jedoch von der lokalen Situation abhängig gemacht werden muss. Bei fortgeschrittener diffuser Peritonitis, insuffizienter Revisionsoperation oder fehlender klinischer Verbesserung sind Spüldrainagen bzw. Etappenlavagen unvermeidlich.

Insuffizienz der biliodigestiven Anastomose

Die Insuffizienz biliodigestiver Anastomosen bzw. die Ausbildung von Gallefisteln resultiert in erster Linie aus chirurgisch-technischen Problemen. Treten Dehiszensen unmittelbar nach der Operation auf, sollte in Abhängigkeit von der Menge der Gallesekretion und dem klinischen Bild über das weitere Vorgehen entschieden werden. Bei Notwendigkeit einer Revision kann diese in Form einer Übernähung der Leckage oder Neuanlage der biliodigestiven Anastomose erfolgen. Laut Literaturangaben weisen 3 bis 9 % der Patienten mit einer Hepatikojejunostomie eine Insuffizienz auf. Früh auftretende Anastomoseninsuffizienzen bei initial bereits risikoreicher Anlage der Hepatikojejunostomie, sollten unmittelbar revidiert werden. Dies kann eventuell mit der Applikation einer inneren Drainage (Völker-Drainage) verbunden werden [24].
Bei einer später auftretenden Anastomoseninsuffizienz ist die chirurgische Reintervention bei Verschlechterung des Krankheitsverlaufs im Rahmen einer galligen Peritonitis bzw. Sepsis indiziert. Ist der Allgemeinzustand des Patienten stabil, sollte vorab die Anlage einer CT-gezielten, interventionellen Drainage des Bilioms in Betracht gezogen werden. Bei hoher Aktivität der galligen Sekretion kann die Anlage einer perkutanen transhepatischen Choledochus-Drainage (PTCD) mit der Möglichkeit der Ableitung der Gallenflüssigkeit nach Außen wesentlich zur Ausheilung der Anastomose beitragen.
Aufgrund des entzündlichen Geschehens ist eine direkte Naht meist nicht zielführend, sodass entweder die Neuanlage der Anastomose unter Nachresektion des Ductus hepaticus erfolgen oder eine passagere, transhepatische externe Gallengangsdrainage angelegt werden sollte. Die Rekonstruktion sollte nach Abklingen der Peritonitis zu einem späteren Zeitpunkt erfolgen [20].

Blutung

Postoperative Blutungen sind relativ selten und treten in etwa 1 bis 9 % auf. Je nach Ursache, Lokalisation und Intensität können Blutungen den klinischen Verlauf entweder kaum beeinflussen oder in ein deletäres Geschehen münden. Die „International Study Group of Pancreatic Surgery“ (ISGPS) unterscheidet 3 Schweregrade postoperativer Blutungen (A, B und C) die entweder früh und innerhalb der ersten 24 h auftreten oder sich später mit einer intraabdominellen oder intraluminalen Blutung präsentieren ([11]; Tab. 3).
Die frühen Formen der postoperativen Blutungskomplikationen sind meist auf chirurgisch-technische Probleme zurückzuführen. Die späten Blutungen werden mehrheitlich durch postoperative Komplikationen hervorgerufen, wobei lokale Entzündungen im Rahmen einer Anastomoseninsuffizienz oder durch Pankreasfisteln zu Arrosionsblutungen bzw. Pseudoaneurysmen führen. Unter dem klinischen Bild der Sepsis kann diesen späten Blutungen eine selbstlimitierende Hämorrhagie die sog. „Sentinel-Blutung“ oder „Warnblutung“ vorausgehen. Bei inkonsequenter bzw. fehlender Behandlung kann die Blutung sowohl im Rahmen radiologischer als auch operativer Interventionen zu einer schwer beherrschbaren Situation führen [2527].
Die jeweils erforderliche Therapie erklärt sich aus dem Schweregrad der Blutung, der Lokalisation und dem Blutungszeitpunkt. Bei leichten Blutungen mit stabiler Kreislaufsituation und stabilen Hb-Werten ist eine kontinuierliche Observierung vertretbar. Bei Veränderungen des Blutbilds oder der Gerinnungsfaktoren sind Erythrozytenkonzentrate, Koagulationsfaktoren oder Thrombozytenkonzentrate zu substituieren. Ist keine Stabilität zu erreichen, kann je nach Blutungsquelle entweder endoskopisch oder radiologisch interveniert werden. Bleibt die Hämodynamik weiterhin instabil, ist die explorative Relaparotomie unvermeidlich. Bei frühen postoperativen Blutungen kann eventuell durch Enterotomie auch ohne komplette Auflösung der jeweiligen Anastomose eine Hämostase erreicht werden.
Seltener, jedoch komplikationsaffiner und bedrohlicher sind die späten postoperativen Blutungen (1,5–5 %), weil sie mit einer sehr hohen Mortalität von über 60 % vergesellschaftet sind. Es handelt sich dabei meist um retroperitoneale Arrosionsblutungen, die auf Basis septischer Komplikationen wie Pankreasfistel, Anastomoseninsuffizienzen bzw. Abszessen hervorgerufen werden [2830].
In bis zu 90 % der späten postoperativen Arrosionsblutungen und septischen Pseudoaneurysmata konnten Pankreasfisteln nachgewiesen werden. Prädisponiert sind vor allem jene Gefäße, die während der Lymphadenektomie im Bereich des Ligamentum hepatoduodenale und des Pankreasoberrandes bis hin zum Abgang des Truncus coeliacus bzw. der A. mesenterica superior freigelegt oder auch vorgeschädigt wurden [3032]. Seltener führen Gallenfisteln oder Biliome bei insuffizienter, biliodigestiver Anastomose zu einer septischen Gefäßarrosion.
Bei endoskopisch nicht stillbaren oder auch extraluminalen Blutungen sollte notfallmäßig ein Angio-CT durchgeführt werden. Alternativ bietet die Angiographie neben der Möglichkeit der Blutungslokalisation die Option einer simultanen Therapie durch eine Stentimplantation oder Embolisierung [26]. Sollte die Intervention ineffektiv sein, ist die Reoperation letztlich die Option der Wahl.
Einige Autoren plädieren bei Arrosionsblutungen für eine sofortige Reoperation, da nach der Blutstillung eine simultane Sanierung des septischen Fokus, evtl. durch eine Restpankreatektomie, erfolgen sollte [25, 33, 34]. Andere Autoren sehen aufgrund der hohen Mortalität späterer Revisionseingriffe das primär operative Vorgehen eher problematisch [35].
Die eigene Strategie zur Sanierung einer Blutungsquelle liegt in der Intention, primär alle verfügbaren Maßnahmen der radiologisch interventionellen Möglichkeiten auszuschöpfen, da arrodierte oder aneurysmatische Gefäße bei offener Intervention meist nur durch eine komplette Ligatur versorgt werden können. Additiv wird die radiologische Drainage des septischen Herdes angestrebt. Die operative Reintervention mit Restpankreatektomie wird bei anhaltender Sepsis als Ultima Ratio angesehen.

Ischämische Komplikationen

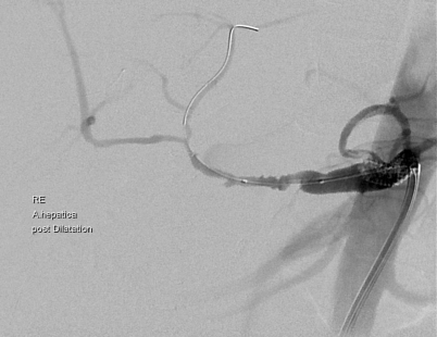
Ischämien sind mit knapp 2 % zwar selten, können aber zu schwer beherrschbaren und lebensbedrohlichen Situationen führen [36, 37]. Meist sind Dissektionstraumen an den Gefäßen und Stenosen am Truncus coeliacus dafür verantwortlich. Kreuzt das Ligamentum arcuatum auf Höhe des Truncus coeliacus, kann dies zu einer extraluminalen Kompression am Abgang des Truncus und dadurch zu einer konsekutiven Ischämie führen (Dunbar- oder Ligamentum-arcuatum-Syndrom) (Abb. 5). Nur etwa 1 % der Menschen, leiden an einem derartigen Kompressionssyndrom [38].
Mit zunehmendem Alter werden bei jenen Patienten, die für eine Pankreasresektion infrage kommen, die arteriosklerotisch bedingten Gefäßveränderungen immer bedeutsamer. Hämodynamisch wirksame intraluminale Stenosen durch Arteriosklerose werden in etwa 5–7 % der geplanten Pankreasoperationen relevant. Darminfarzierungen, Leberzellnekrosen, Gallenwegsischämien, Fisteln, Anastomoseninsuffizienzen und Abszesse sind die Folgen [37, 39, 40].
Somit bekommt die Computertomographie nicht nur einen tumorassoziierten Stellenwert bezogen auf das Staging, sondern hat auch die Erfordernisse für eine Erhebung des versorgungsrelevanten Gefäßstatus zu erfüllen. Bei Vorliegen signifikanter Stenosen, ist präoperativ eine radiologische Intervention angezeigt, die entweder in Form einer PTA oder mittels Applikation von Stents erfolgen kann. Bei einer Abgangsstenose am Truncus coeliacus muss intraoperativ bedingt durch das Ligamentum arcuatum die Spaltung des Ligaments erfolgen.

Magenentleerungsstörungen

Die Magenentleerungsstörung ist mit bis zu 60 % die häufigste Komplikation nach Pankreaskopfresektionen. Von einer Magenentleerungsstörung spricht man dann, wenn nach einer Woche postoperativ keine feste Nahrung aufgenommen werden kann oder der orale Kostaufbau bis zum 14. postoperativen Tag noch nicht abgeschlossen ist. Die pathophysiologischen Mechanismen sind bis dato nicht exakt geklärt [41].
Diskutiert werden gastrointestinale Hormonstörungen (Motilin), die, bedingt durch die Resektion des Duodenums, mit einem erniedrigten Plasma-Motilin-Spiegel einhergehen. Ebenso wird ein postoperativer Pylorospasmus diskutiert, der aus einer operationsbedingten Denervierung des Magens resultiert. Gleichermaßen wird eine ischämische Schädigung des Antrums und des Pylorus aufgrund der Unterbindung der A. gastrica dextra und der A. gastroduodenalis erwogen. Aber auch intraabdominelle Komplikationen können sekundär zu einer Verzögerung der Magenentleerung führen (sekundäre Magenentleerungsstörung) [12]; Tab. 4).
Bislang sind keine Optionen zur Prophylaxe einer Magenentleerungsstörung definiert. Die antekolische Gastrojejunostomie scheint nach bisherigen Untersuchungen einen gewissen Vorteil zu bieten. Eine eindeutige Empfehlung kann davon jedoch nicht abgeleitet werden.
Gleichfalls existieren für eine protrahierte Magenentleerung keine evidenzbasierten therapeutischen Strategien. Derzeit steht die Entlastung des Magens mittels Nahrungskarenz und Applikation einer Magensonde in Kombination mit einem Parasympathomimetikum im Vordergrund. Eine prokinetische Wirkung zeigt auch das Makrolidantibiotikum Erythromycin.
Um ein mechanisches Hindernis oder ein technisches Problem vorab auszuschließen, sollte eine Magen-Darm-Passage mit Gastrographie oder eine endoskopische Abklärung erfolgen. Da die verzögerte Magenentleerung auch mit intraabdominellen Komplikationen einhergeht, sollte auch ein Abdomen-CT zum Ausschluss einer Pankreasfistel bzw. eines Abszesses erfolgen. Endoskopische Interventionen wie eine Ballondilatation oder das Einspritzen von Botulinumtoxin sind approbierte Möglichkeiten bei Vorliegen eines Pylorospasmus oder einer Stenose der Gastrojejunostomie.
In den seltensten Fällen ist bei Magenentleerungsstörungen eine Reoperation notwendig.

Einfluss postoperativer Komplikationen auf das Langzeitüberleben bei potenziell kurativer Resektion beim Pankreaskarzinom

Das übergeordnete Behandlungsziel und somit auch der entscheidende Parameter zur Beurteilung der Ergebnisqualität in der onkologischen Chirurgie ist das krankheitsfreie Überleben bzw. das Überleben insgesamt.
Um dieses Ziel bestmöglich zu erreichen, wurden eine Reihe von Maßnahmen wie etwa die Patientenselektion, standardisierte Behandlungsprotokolle, die Weiterentwicklung chirurgischer Techniken und die Zentralisierung der komplexen onkologischen Eingriffe in Zentren mit hoher Fallzahl implementiert ([42]; Abb. 3 und 4).
Das rezidivfreie Überleben ist aber auch das Ergebnis abgestimmter interdisziplinärer Maßnahmen im Sinne einer multimodalen Therapie [43]. Dabei nimmt die Chirurgie eine zentrale Stellung ein, da nur die komplette Resektion des Tumors ein tumorfreies Überleben gewährleistet.
Ein weiterer wesentlichster Qualitätsfaktor, der den Krankheitsverlauf entscheidend beeinflusst, ist das frühzeitige Erkennen postoperativer Komplikationen. Sie sind nicht absolut vermeidbar und erfordern deshalb auch eine entsprechende Erfahrung. Für ein adäquates und effizientes Management ist eine interdisziplinäre Zusammenarbeit erforderlich [44].
Der Zusammenhang von postoperativen Komplikationen und potenziell schlechten Langzeitergebnissen ist bis dato unklar und wird kontrovers diskutiert. Als Hypothese werden immunmodulatorische Effekten im Kontext mit komplikationsbasierten lokalen und systemischen, mikrobiellen Infektionen diskutiert [45, 46]. Des Weiteren werden nicht adäquate chirurgische Techniken, der Austritt von Tumorzellen im Rahmen einer Anastomoseninsuffizienz [47, 48] sowie die komplikationsbedingte Verzögerung der adjuvanten Chemotherapie angeführt ([49]; Abb. 1).
Abb. 1
Involvierte Mechanismen bei der Entstehung von Malignomen im Rahmen von mikrobiellen Infektionen, chemischen Irritationen und Gewebsverletzungen. ( Su GH, Current Opinion in Gastroenterology; 2000)
Bild vergrößern

Einfluss postoperativer Komplikationen auf das Langzeitüberleben

In einer mit dem eigenen Krankengut durchgeführte Studie wurde der Einfluss postoperativer Komplikationen auf das Langzeitüberleben untersucht. Es wurden Daten von 275 Patienten aus der prospektiv geführten Patientendatei, die wegen eines duktalen Adenokarzinoms an der Universitätsklinik für Chirurgie in Graz operiert wurden, analysiert.
Die postoperative Morbidität lag bei 29,4 %, bei einer 30-Tage-Mortalität von 4,36 % (Tab. 6). Der Anteil chirurgischer Komplikationen nahm 18,9 % ein und war durch intraabdominelle Abszesse, Hämorrhagien Anastomosenfisteln und Wundkomplikationen geprägt. Entsprechend der Klassifikation von Komplikationen durch Dindo Clavien (G0-IV) war bei 11,8 % die Notwendigkeit einer weiteren Intervention gegeben, wobei in 8,7 % chirurgische und in 2,5 % radiologische Eingriffe notwendig waren (Tab. 7). Der nicht chirurgische Anteil lag bei 10,5 %. Patienten, die nach der pyloruserhaltenden Methode operiert werden konnten, hatten gegenüber jenen, die sich einer totalen Pankreatektomie unterziehen mussten, eine deutlich günstigere Prognose.
Tab. 6
Postoperative Morbidität
 
n
(%)
Postoperative Morbidität
80
29,4
 chirurgisch
52
18,9
 nicht chirurgisch
28
10,5
CDC III–IV
32
11,8
Sepsis
11
4,0
 abdominell
8
2,9
 nicht abdominell
3
1,1
CDC Clavien Dindo Classification [50]
Tab. 7
Postoperative Interventionen
 
n
(%)
Postoperative Relaparatomie
24
8,72
Endoskopische Interventionen
7
2,54
Gastroskopische Interventionen
(Blutung/Ulkus, Anastomose, Ballondilatation)
Radiologische Interventionen
7
2,54
Abszess-Drainage
6
PTC
1
Die Vermeidung schwerer Komplikationen ist für die Prognose entscheidend, da sie den unmittelbaren Krankheitsverlauf beeinflussen. Die ASA-Klassifikation (Score III und IV) erwies sich als unabhängige Variable und aussagekräftigster Parameter sowohl für die 30- als auch für die 90-Tage-Mortalität (Tab. 8). Wird die Hospitalmortalität nicht miteinbezogen, hat der Score prädiktiv für den Langzeitverlauf keinerlei Einfluss. Die Ursache für Todesfälle waren mehrheitlich chirurgisch-technische Probleme.
Tab. 8
Unabhängige Variablen für die 30-Tage-Mortalität
Risikofaktoren
OR (95 % KI)
Zweiseitiger p-Wert
Geschlecht
0,35 (0,08–1,53)
0,16
Alter >70 Jahre
1,43 (0,36–5,68)
0,61
Alkohol
1,34 (0,21–8,49)
0,76
Diabetes mellitus
0,26 (0,05–1,47)
0,13
ASA-Score ≥III
10,66 (1,24–91,30)
0,03
Präoperativer Gewichtsverlust
0,80 (0,18–3,52)
0,77
Präoperativer Ikterus
1,08 (0,25–4,66)
0,92
Präoperative Pankreatitis
1,05 (0,17–6,37)
0,96
ERCP präoperativ
0,67 (0,16–2,79)
0,58
UICC ≥IIb
3,90 (0,58–26,25)
0,16
Vena-portae-Resektion
2,31 (0,57 9,34)
0,24
ERCP endoskopisch retrograde Cholangiopankreatikographie, UICC „Union internationale contre le cancer“
Für die Morbidität kristallisierte sich die Schnitt-Naht-Zeit in der univariaten und die Bluttransfusion sowohl in der uni- als auch multivariaten Analyse als unabhängige Variable heraus (Tab. 9). Der präoperative Gewichtsverlust sowie das histologische Tumorstadium wie die Gefäßinfiltration, der Lymphknotenbefall und das Tumorgrading waren Prädiktoren, die signifikant mit dem Langzeitüberleben assoziiert waren (Tab. 10).
Tab. 9
Unabhängige Variablen für Morbidität (CDC III/IV)
 
Univariat
(p-Wert)
Multivariate LR
(p-Wert)
OR (95 % KI)
Geschlecht
0,458
0,014
0,343 (0,147–0,803)
Alter >70 Jahre
0,615
0,942
1,035 (0,406–2,642)
Alkohol
1,00
0,407
0,574 (0,155–2,132)
Präoperativer Diabetes
0,702
0,969
0,980 (0,353–2,716)
Präoperativer Gewichtsverlust
0,707
0,609
1,262 (0,518–3,070)
Ikterus
0,326
0,473
0,687 (0,246–1,914)
Präoperative Pankreatitis
0,699
0,869
0,883 (0,200–3,889)
ERCP präoperativ
0,574
0,102
0,461 (0,183–1,166)
Art der Resektion
0,99
0,123
0,840 (0,672–1,049)
Pfortaderresektion
0,255
0,316
0,530 (0,153–1,833)
RR 0/1
0,205
0,582
0,744 (0,259–2,134)
Bluttransfusion
0,001
0,028
2,907 (1,119–7,552)
Intraoperative Katecholamine
1,00
0,763
0,851 (0,297–2,435)
Schnitt-Naht-Zeit
<0,0001
0,942
1,033 (0,434–2,457)
Tab. 10
Unabhängige Variablen für das Langzeitüberleben
Risikofaktoren
Univariate (HR/95 % KI)
Multivariate (HR/95 % KI)
Geschlecht
0,82 (0,60–1,14)
1,09 (0,71–1,68)
Alter >70 Jahre
1,31 (0,92–1,86)
1,39 (0,87–2,22)
Diabetes mellitus
1,01 (0,75–1,56)
1,66 (1,04–2,63)
Kardiovaskuläre Komorbidität
0,89 (0,63–1,24)
0,62 (0,39–0,99)
Präoperative Symptomatik
1,25 (0,85–1,82)
0,93 (0,59–1,48)
Präoperativer Gewichtsverlust
1,45 (1,00–2,09)
2,17 (1,31–3,58)
Whipple’sche Operation
0,56 (0,39–0,79)
0,48 (0,31–0,75)
V.-portae-Resektion
1,18 (0,79–1,76)
0,61 (0,33–1,15)
R0/R1
0,90 (0,62–1,13)
0,78 (0,50–1,22)
Mikrovaskuläre Invasion
1,62 (1,12–2,35)
2,03 (1,10–3,76)
Lymphgefäßinfiltration
1,63 (1,15–2,32)
1,59 (1,02–2,45)
Perineurale Infiltration
1,52 (1,02–2,24)
1,53 (0,95–2,47)
Organinfiltration
1,70 (1,17–2,47)
1,04 (0,63–1,71)
Tumorgrading
1,79 (1,35–2,37)
1,78 (1,23–3,57)
Chemotherapie
0,16 (0,05–0,53)
0,05 (0,01–0,27)
Entsprechend unsere Datenanalyse konnte kein unmittelbarer Zusammenhang zwischen höhergradigen Komplikationen und dem Langzeitüberleben hergestellt werden. Patienten, deren schweren chirurgischen Komplikationen erfolgreich behandelt wurden, wiesen dasselbe Langzeitüberleben auf wie jene ohne Komplikationen (Abb. 2). Auch bei der postoperativen Sepsis, unabhängig davon, ob sie sich auf die chirurgische oder eine andere Genese bezog, konnte kein Einfluss auf das Langzeitüberleben nachgewiesen werden.
Abb. 2
Das mediane Gesamtüberleben von Patienten mit einer Clavien-Dindo-Klassifikation (CDC) von Grad III und IV liegt bei 21,8 % und jenen mit einer CDC von Grad 0–II bei 21,6 %
Bild vergrößern
Abb. 3
Intraoperativer Situs nach einer subtotalen Pankreaslinksresektion mit Ersatz der V. mesenterica superior durch eine Goretex®-Ringprothese
Bild vergrößern
Abb. 4
Intraoperativer Situs nach einer Whippl’schen Operation mit Ersatz der V. mesenterica superior durch eine Goretex®-Ringprothese
Bild vergrößern
Abb. 5
Angiographie bei liegendem Angiographiekatheter und Status nach Dilatation am Abgang des Truncus coeliacus bei Dunbar-Syndrom. Die A. hepatica mit postinterventionellen reaktiven Spasmen. (Die Aufnahme wurde dankenswerterweise von Hr. Univ. Prof. H. Portugaller, Universitätsklinik für Radiologie Graz zu Verfügung gestellt)
Bild vergrößern
Ein Grund, warum sich unsere Daten gegenüber anderen Tumorentitäten unterscheiden, ist vermutlich durch die kürzere Lebenserwartung beim Pankreaskarzinom bedingt, wodurch eventuelle Langzeitfolgen von Komplikationen nicht zum Tragen kommen. Eine andere Ursache mag die komplikationsbedingte Verzögerung oder Verhinderung einer adjuvanten Tumortherapie sein, wobei dies für andere Tumorentitäten jedoch ebenso gelten sollte.

Fazit für die Praxis

  • Patienten profitieren grundlegend von der Erfahrung eines auf die Erkrankungen der Bauchspeicheldrüse spezialisierten Zentrums. Der Vorteil der Zentrumschirurgie liegt in der Fallkonzentration und der chirurgischen Expertise mit zielgerichteten, operativen und perioperativen Versorgungsstandards.
  • Eine niedrige Mortalitätsrate lässt sich bei hohen Eingriffszahlen auch langfristig realisieren. Trotz signifikanter Reduktion der Letalität persistiert die operationsassoziierte Morbidität, da zunehmend nicht beeinflussbare, patientenassoziierte Risikofaktoren die Ergebnisse mitbestimmen.
  • Die postoperative Morbidität wird vorwiegend durch chirurgische Komplikationen bestimmt. Für die Prognose ist die Vermeidung schwerer Komplikationen entscheidend, da sie den unmittelbaren Krankheitsverlauf beeinflussen.
  • In dieser Studie konnte kein unmittelbarer Zusammenhang zwischen ausgeprägten Komplikationen und dem Gesamtüberleben hergestellt werden. Werden schwere Komplikationen (CDC >2) zeitgerecht erkannt und saniert, sind die gleichen Langzeitergebnisse zu erwarten wie bei jenen ohne wesentlicher Morbidität (CDC ≤2). Entscheidend für die Langzeitprognose war nicht die Morbidität, sondern das Stadium des zugrunde liegenden Tumors.
  • Präoperativer Gewichtsverlust, ein organüberschreitendes Tumorwachstum, die Gefäßinfiltration, der Lymphknotenbefall und das Tumorgrading sind Faktoren, die unmittelbar mit dem Langzeitüberleben assoziiert sind.
  • Die perioperative Bluttransfusion ist signifikant assoziiert mit einer hohen Morbidität (CDC >III).
  • Die ASA-Klassifikation (Score III, IV) erwies sich als unabhängiger prädiktiver Parameter für die 30- und 90-Tage-Mortalität, hat jedoch keinen Einfluss auf die Langzeitprognose.

Einhaltung ethischer Richtlinien

Interessenkonflikt

H.-J. Mischinger, G. Werkgartner, P. Kornprat, K. Marsoner, D. Wagner, H. Cerwenka und H. Bacher geben an, dass kein Interessenkonflikt besteht.
Bei diesem Beitrag handelt es sich um eine retrospektive Studie ohne Einfluss auf die Behandlung.
Open Access. Dieser Artikel wird unter der Creative Commons Namensnennung 4.0 International Lizenz (http://creativecommons.org/licenses/by/4.0/deed.de) veröffentlicht, welche die Nutzung, Vervielfältigung, Bearbeitung, Verbreitung und Wiedergabe in jeglichem Medium und Format erlaubt, sofern Sie den/die ursprünglichen Autor(en) und die Quelle ordnungsgemäß nennen, einen Link zur Creative Commons Lizenz beifügen und angeben, ob Änderungen vorgenommen wurden.
download
DOWNLOAD
print
DRUCKEN
Titel
Komplikationen in der Pankreaschirurgie
Deren Einfluss auf die Langzeitergebnisse
Verfasst von
O. Univ.-Prof. Dr. Hans-Jörg Mischinger
ao. Univ.-Prof. Dr. Georg Werkgartner
Univ.-Prof. Dr. Peter Kornprat
Dr. Katharina Marsoner
PD Dr. Doris Wagner
ao. Univ.-Prof. Dr. Herwig Cerwenka
Univ.-Prof. Dr. Heinz Bacher
Publikationsdatum
08.05.2018
Verlag
Springer Vienna
Erschienen in
Wiener klinisches Magazin / Ausgabe 3/2018
Print ISSN: 1869-1757
Elektronische ISSN: 1613-7817
DOI
https://doi.org/10.1007/s00740-018-0226-1
1.
Zurück zum Zitat Kausch W (1912) Das Carcinom der Papilla duodeni und seine radikale Entfernung. Beitr Klin Chir 78:439
2.
Zurück zum Zitat Whipple AO (1941) The rationale of radical surgery for cancer of the pancreas and ampullary region. Ann Surg 114:612–615CrossRefPubMedPubMedCentral
3.
Zurück zum Zitat Kazanjian KK, Hines OJ, Duffy JP et al (2008) Improved survival following pancreaticoduodenectomy to treat adenocarcinoma of the pancreas: the influence of operative blood loss. Arch Surg 143:1166–1171CrossRefPubMed
4.
Zurück zum Zitat Winter JM, Brennan MF, Tang LH, D’Angelica MI, Dematteo RP, Fong Y, Klimstra DS, Jarnagin WR, Allen PJ (2012) Survival after resection of pancreatic adenocarcinoma: results from a single institution over three decades. Ann Surg Oncol 19(1):169–175CrossRefPubMed
5.
Zurück zum Zitat Lin JW, Cameron JL, Yeo JC (2004) Risk factors and outcomes in postpancreatoduodenectomy pancreatocutaneous fistula. J Gastrointest Surg 8:951–959CrossRefPubMed
6.
Zurück zum Zitat DeOliveira ML, Winter JM, Schafer M et al (2006) Assessment of complications after pancreatic surgery: a novel grading system applied to 633 patients undergoing pancreaticoduodenectomy. Ann Surg 244:931–937CrossRefPubMedPubMedCentral
7.
Zurück zum Zitat Fuks D, Piessen G, Huet E, Tavernier M, Zerbib P, Michot F, Scotte M, Triboulet JP, Mariette C, Chiche L, Salame E, Segol P, Pruvot FR, Mauvais F, Roman H, Verhaeghe P, Regimbeau JM (2009) Life-threatening postoperative pancreatic fistula (grade C) after pancreaticoduodenectomy: incidence, prognosis, and risk factors. Am J Surg 197(6):702–709CrossRefPubMed
8.
Zurück zum Zitat Khuri SF, Henderson WG, DePalma RG et al (2005) Determinants of long-term survival after major surgery and the adverse effect of postoperative complications. Ann Surg 242:326–341PubMedPubMedCentral
9.
Zurück zum Zitat Bassi C, Dervenis C, Butturini G et al (2005) Postoperative pancreatic fistula: an international study group (ISGPF) definition. Surgery 138:8–13CrossRefPubMed
10.
Zurück zum Zitat Bassi C, Marchegiani G, Dervenis C et al (2017) The 2016 update of the International Study Group (ISGPS) definition and grading of postoperative pancreatic fistula: 11 years after. Surgery 161:584–591CrossRefPubMed
11.
Zurück zum Zitat Wente MN, Veit JA, Bassi C et al (2007) Postpancreatectomy hemorrhage (PPH): an International Study Group of Pancreatic Surgery (ISGPS) definition. Surgery 142:20–25CrossRefPubMed
12.
Zurück zum Zitat Wente MN, Bassi C, Dervenis C et al (2007) Delayed Gastric Emptying (DGE) after pancreatic surgery: a suggested definition by the International StudyGroup of Pancreatic Surgery (ISGPS). Surgery 142:761–768CrossRefPubMed
13.
Zurück zum Zitat Rosso E, Casnedi S, Pessaux P et al (2009) The role of “fatty pancreas” and of BMI in the occurrence of pancreatic fistula after pancreaticoduodenectomy. J Gastrointest Surg 13:1845–1851CrossRefPubMed
14.
Zurück zum Zitat Tajima Y, Kuroki T, Tsuneoka N et al (2009) Anatomy-specific pancreatic stump management to reduce the risk of pancreatic fistula after pancreatic head resection. World J Surg 33:2166–2176CrossRefPubMed
15.
Zurück zum Zitat House MG, Fong Y, Arnaoutakis DJ et al (2008) Preoperative predictors for complications after pancreaticoduodenectomy: impact of BMI and body fat distribution. J Gastrointest Surg 12:270–278CrossRefPubMed
16.
Zurück zum Zitat Pratt WB, Callery MP, Vollmer CM Jr (2008) Risk prediction for development of pancreatic fistula using the ISGPF classification scheme. World J Surg 32:419–428CrossRefPubMed
17.
Zurück zum Zitat Aranha GV, Aaron JM, Shoup M et al (2006) Current management of pancreatic fistula after pancreaticoduodenectomy. Surgery 140:561–568CrossRefPubMed
18.
Zurück zum Zitat Baker TA, Aaron JM, Borge M et al (2008) Role of interventional radiology in the management of complications after pancreaticoduodenectomy. Am J Surg 195:386–390CrossRefPubMed
19.
Zurück zum Zitat Kazanjian KK, Hines OJ, Eibl G et al (2005) Management of pancreatic fistulas after pancreaticoduodenectomy: results in 437 consecutive patients. Arch Surg 140:849–854CrossRefPubMed
20.
Zurück zum Zitat Sohn TA, Yeo CJ, Cameron JL et al (2003) Pancreaticoduodenectomy: role of interventional radiologists in managing patients and complications. J Gastrointest Surg 7:209–219CrossRefPubMed
21.
Zurück zum Zitat Standop J, Glowka T, Schmitz V et al (2009) Operative re-intervention following pancreatic head resection: indications and outcome. J Gastrointest Surg 13:1503–1509CrossRefPubMed
22.
Zurück zum Zitat Müller MW, Friess H, Kleeff J et al (2007) Is there still a role for total pancreatectomy? Ann Surg 246:966–974CrossRefPubMed
23.
Zurück zum Zitat Tamijmarane A, Ahmed I, Bhati CS et al (2006) Role of completion pancreatectomy as a damage control option for post-pancreatic surgical complications. Dig Surg 23:229–234CrossRefPubMed
24.
Zurück zum Zitat de Castro SM, Kuhlmann KF, Busch OR et al (2005) Incidence and management of biliary leakage after hepaticojejunostomy. J Gastrointest Surg 9:1163–1171CrossRefPubMed
25.
Zurück zum Zitat Koukoutsis I, Bellagamba R, Morris-Stiff G et al (2006) Haemorrhage following pancreaticoduodenectomy: risk factors and the importance of sentinel bleed. Dig Surg 23:224–228CrossRefPubMed
26.
Zurück zum Zitat Yekebas EF, Wolfram L, Cataldegirmen G et al (2007) Postpancreatectomy hemorrhage: diagnosis and treatment: an analysis in 1669 consecutive pancreatic resections. Ann Surg 246:269–280CrossRefPubMedPubMedCentral
27.
Zurück zum Zitat Fujii Y, Shimada H, Endo I et al (2007) Management of massive arterial hemorrhage after pancreatobiliary surgery: does embolotherapy contribute to successful outcome? J Gastrointest Surg 11:432–438CrossRefPubMedPubMedCentral
28.
Zurück zum Zitat Choi SH, Moon HJ, Heo JS, Joh JW, Kim YI (2004) Delayed hemorrhage after pancreaticoduodenectomy. J Am Coll Surg 199:186–191CrossRefPubMed
29.
Zurück zum Zitat Yamashita Y, Taketomi A, Fukuzawa K et al (2007) Risk factors for and management of delayed intraperitoneal hemorrhage after pancreatic and biliary surgery. Am J Surg 193:454–459CrossRefPubMed
30.
Zurück zum Zitat Makowiec F, Riediger H, Euringer W, Uhl M, Hopt UT, Adam U (2005) Management of delayed visceral arterial bleeding after pancreatic head resection. J Gastrointest Surg 9:1293–1299CrossRefPubMed
31.
Zurück zum Zitat Brodsky JT, Turnbull AD (1991) Arterial hemorrhage after pancreatoduodenectomy. The ‘sentinel bleed’. Arch Surg 126:1037–1040CrossRefPubMed
32.
Zurück zum Zitat Sato N, Yamaguchi K, Shimizu S et al (1998) Coil embolization of bleeding visceral pseudoaneurysms following pancreatectomy: the importance of early angiography. Arch Surg 133:1099–1102PubMed
33.
Zurück zum Zitat Smith CD, Sarr MG, van Heerden JA (1992) Completion pancreatectomy following pancreaticoduodenectomy: clinical experience. World J Surg 16:521–524CrossRefPubMed
34.
Zurück zum Zitat Tien YW, Lee PH, Yang CY, Ho MC, Chiu YF (2005) Risk factors of massive bleeding related to pancreatic leak after pancreaticoduodenectomy. J Am Coll Surg 201:554–559CrossRefPubMed
35.
Zurück zum Zitat de Castro SM, Kuhlmann KF, Busch OR, van Delden OM, Laméris JS, van Gulik TM, Obertop H, Gouma DJ (2005) Delayed massive hemorrhage after pancreatic and biliary surgery: embolization or surgery? Ann Surg 241(1):85–91PubMedPubMedCentral
36.
Zurück zum Zitat Gaujoux S, Sauvanet A, Vullierme M‑P, Cortes A, Dokmak S, Sibert A (2009) Ischemic complications after pancreaticoduodenectomy: incidence, prevention, and management. Ann Surg 249(1):111–117CrossRefPubMed
37.
Zurück zum Zitat Sakorafas GH, Sarr MG, Peros G (2008) Celiac artery stenosis: an underappreciatedand unpleasant surprise in patients undergoing pancreaticoduodenectomy. J Am Coll Surg 206:349–356CrossRefPubMed
38.
Zurück zum Zitat Horton KM, Talamini MA, Fishman EK (2005) Median arcuate ligament syndrome: evaluation with CT angiography. Radiographics 25(5):1177–1182CrossRefPubMed
39.
Zurück zum Zitat Cameron JL, Riall TS, Coleman J, Belcher KA (2006) One thousand consecutive pancreaticoduodenectomies. Ann Surg 244(1):10–15CrossRefPubMedPubMedCentral
40.
Zurück zum Zitat Lermite E, Sommacale D, Piardi T, Arnaud JP, Sauvanet A, Dejong CH, Pessaux P (2013) Complications after pancreatic resection: diagnosis, prevention and management. Clin Res Hepatol Gastroenterol 37(3):230–239. https://doi.org/10.1016/j.clinre.2013.01.003 CrossRefPubMed
41.
Zurück zum Zitat Paraskevas KI, Avgerinos C, Manes C et al (2006) Delayed gastric emptying is associated with pylorus-preserving but not classical Whipple pancreaticoduodenectomy: a review of the literature and critical reappraisal of the implicated pathomechanism. World J Gastroenterol 12:5951–5958CrossRefPubMedPubMedCentral
42.
Zurück zum Zitat Birkmeyer JD, Finlayson SR, Tosteson AN, Sharp SM, Warshaw AL, Fisher ES (1999) Effect of hospital volume on in-hospital mortality with pancreaticoduodenectomy. Surgery 125(3):250–256CrossRefPubMed
43.
Zurück zum Zitat Kasperk R, Schumpelick V (2002) Ergebnisqualität in der onkologischen Chirurgie. Chirurg 73(6):545–549CrossRefPubMed
44.
Zurück zum Zitat Seruga B, Amir E, Tannock I (2009) Treatment of lung cancer. N Engl J Med 361(25):2485 (author reply 2486–7)CrossRefPubMed
45.
Zurück zum Zitat Mirnezami A, Mirnezami R, Chandrakumaran K et al (2011) Increased local recurrence and reduced survival from colorectal cancer following anastomotic leak: systematic review and meta-analysis. Ann Surg 253:890–899CrossRefPubMed
46.
Zurück zum Zitat Miki C, Konishi N, Ojima E et al (2004) C‑reactive protein as a prognostic variable that reflects uncontrolled up-regulation of the IL-1-IL-6 network system in colorectal carcinoma. Dig Dis Sci 49:970–976CrossRefPubMed
47.
Zurück zum Zitat Eberhardt JM, Kiran RP, Lavery IC (2009) The impact of anastomotic leak and intraabdominal abscess on cancer-related outcomes after resection for colorectal cancer: a case control study. Dis Colon Rectum 52:380–386CrossRefPubMed
48.
Zurück zum Zitat Fermor B, Umpleby HC, Lever JV et al (1986) Proliferative and metastatic potential of exfoliated colorectal cancer cells. J Natl Cancer Inst 76:347–349PubMed
49.
Zurück zum Zitat Tohme S, Simmons RL, Tsung A (2017) Surgery for cancer: a trigger for metastases. Cancer Res 77(7):1548–1552CrossRefPubMedPubMedCentral
50.
Zurück zum Zitat Dindo D, Demartines N, Clavien PA (2004) Classification of surgical complications: a new proposal with evaluation in a cohort of 6336 patients and results of a survey. Ann Surg 240:205–213CrossRefPubMedPubMedCentral