Zum Inhalt

Ileus durch Intussuszeption eines Dünndarmlymphoms

  • 13.03.2018
  • Aktuelle Bilder
Erschienen in:

Auszug

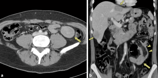
Ein 55-jähriger Patient wurde wegen Gewichtsverlusts und intermittierenden krampfartigen Bauchschmerzen auswärts zu einer Computertomographie (CT) von Thorax und Abdomen zugewiesen. Diese zeigte die Invagination eines etwa 10 cm langen Dünndarmsegments mit einer intraluminalen Raumforderung am distalen Ende (Abb. 1). Es zeigte sich keine Dilatation der vorgeschalteten Dünndarmabschnitte. Weiter fanden sich 3 hepatale, maximal 5 cm große hypovaskularisierte Tumoren und vergrößerte Lymphknoten im rechten Mittelbauch.
Abb. 1
a Die kontrastmittelverstärkte MDCT zeigt eine intraluminale Raumforderung im Dünndarm (Pfeil), welche in der koronalen multiplanaren Rekonstruktion (b) besser zu erkennen ist (Pfeil). Überdies erkennt man hier gut die Invagination des Darms mit Einstülpung von mesenterialem Fettgewebe in das Darmlumen (Pfeilspitzen). Außerdem erkennt man solide intrahepatische Tumoren (kleine Pfeile)
Bild vergrößern
Titel
Ileus durch Intussuszeption eines Dünndarmlymphoms
Verfasst von
Prim. Univ.-Prof. Dr. Wolfgang Schima, MSc
Rene Eller
Celina Stieböck
Alexander Klaus
Publikationsdatum
13.03.2018
Verlag
Springer Vienna
Erschienen in
Journal für Gastroenterologische und Hepatologische Erkrankungen / Ausgabe 1/2018
Print ISSN: 1728-6263
Elektronische ISSN: 1728-6271
DOI
https://doi.org/10.1007/s41971-018-0021-2
Dieser Inhalt ist nur sichtbar, wenn du eingeloggt bist und die entsprechende Berechtigung hast.
Dieser Inhalt ist nur sichtbar, wenn du eingeloggt bist und die entsprechende Berechtigung hast.