Zum Inhalt

Acute myeloid leukemia patient with active disseminated tuberculosis bridged to transplant with reduced 14-day venetoclax and azacitidine schedule

  • Open Access
  • 23.01.2024
  • case report
Erschienen in:
download
DOWNLOAD
print
DRUCKEN
insite
SUCHEN

Summary

A 59-year-old female patient was diagnosed with acute myeloid leukemia and tuberculosis. As a further complication, she developed idiopathic bowel perforation. Her infectious and intestinal situation demanded shorter periods of neutropenia and did not permit a high-dose, curative therapy regimen. Moreover, simultaneous administration of venetoclax and antitubercular therapy with rifampicin causes CYP3A4 interactions and thereby higher levels of toxicity. She was treated with a shortened, 14-day therapy regimen with azacitidine and venetoclax as antileukemic treatment together with ethambutol, pyrazinamide, isoniazid, and rifampicin as antitubercular therapy, which resulted in a complete remission and to an improvement of the tuberculosis without any greater toxicity or other adverse events.

Publisher’s Note

Springer Nature remains neutral with regard to jurisdictional claims in published maps and institutional affiliations.

Introduction

The combination therapy of venetoclax and azacitidine (VenAza) is the standard therapy of patients with acute myeloid leukemia (AML) “unfit” for intensive remission induction therapy [1]. For unfit patients, it is the myelosuppression and neutropenia in particular that increase the incidence of infection and prolong hospital stay [1]. Recent studies have shown that a shorter duration of venetoclax administration of 14 days has similar efficacy with a better safety profile than a 28-day cycle. Moreover, these patients have a reduced incidence of febrile neutropenia through shorter periods of myelosuppression [2]. Especially for patients with the need to reduce hepatotoxicity, a 14-day regimen may provide a good alternative with similar efficacy and is a topic of current clinical studies.

Case presentation

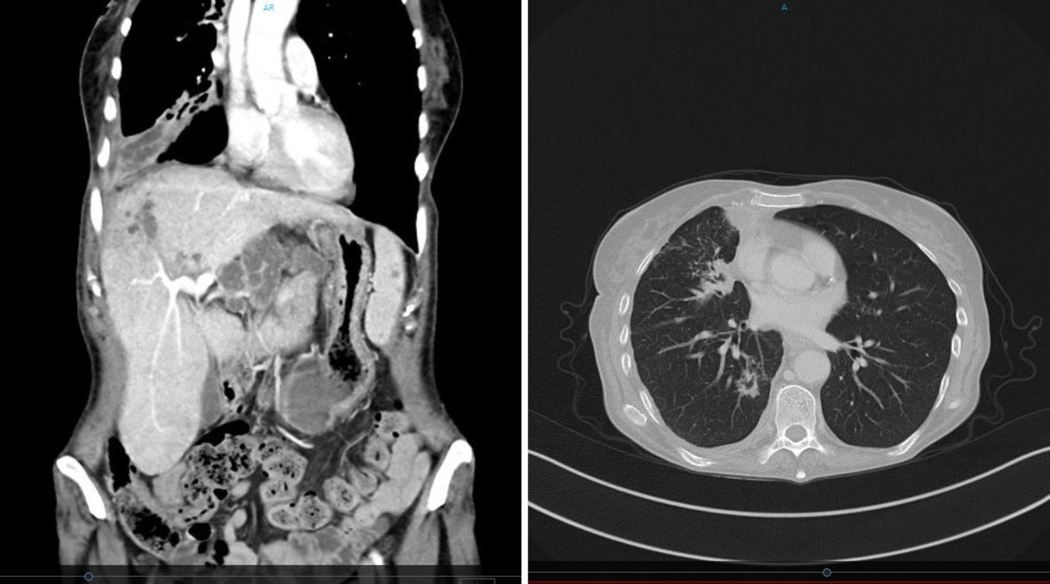
We present the case of a 59-year-old female patient, who presented to the emergency room with fatigue, dyspnea, and fever. Laboratory blood chemistry tests revealed: hemoglobin, 8.5 g/dL; leukocytes, 2.9 G/L; platelets, 84 G/L; C‑reactive protein (CRP), 23 mg/dL; interleukin, 6272 pg/mL; procalcitonin, 2.5 ng/mL; lactate dehydrogenase (LDH), 350 U/L; and an absolute neutrophil count of 0.3 G/L. A computed tomography (CT) scan showed multiple subpleural ventrally arranged, cavernous, cystic, partly disintegrating infiltrates in the upper and middle right lung lobe; morphologically similar lesions on the liver, as well as peripancreatic lesions and in the mesentery. The differential diagnosis corresponded to tuberculosis (Fig. 1).
Fig. 1
Thoracic/abdominal computed tomography scan showing multiple pulmonary and hepatic cavernous, cystic, partly disintegrating lesions
Bild vergrößern
A bone marrow biopsy revealed the diagnosis of acute monocytic leukemia. Bone marrow aspirate showed a pronounced proliferation of partly myeloid and partly monocytic blast cells (85%). Trephine biopsy showed a hypercellular bone marrow with a dense infiltration by medium-sized to large, slightly pleomorphic blastic cells. The blastic infiltrate percentage was 60%. Immunomorphologically, these blasts were CD117+, CD13+, CD33+ and predominantly MPO+. No reactivity was observed with antibodies against CD34, TCD, cd19, PAX‑5, CD79a, CD10, CD3, CD71, CD61, and tryptase. Nucleophosmin showed an exclusively nuclear staining pattern without mutation (NPMC). The bone marrow aspirate was cell-rich with predominantly medium-sized to large blastic cells with round-oval nuclei with one to two nucleoli. The cytoplasms were narrow to moderately broad, basophilic, partially granulated. There was no proliferation of ring sideroblasts, and there were no cytogenetic abnormalities. Molecular genetics revealed an IDH1 mutation, a DNMT3 mutation, and a KMT2A mutation.
The patient was transferred to undergo bronchoscopy with bronchoalveolar washing. Bacterial culture and Ziehl–Neelsen staining revealed the presence of Mycobacterium tuberculosis (MTB). The susceptibility test with genotypic resistance testing showed no abnormalities, so that therapy with ethambutol, pyrazinamide, isoniazid, and rifampicin was decided. The patient, however, suddenly presented with severe abdominal pain and de novo hematochezia. An urgent colonoscopy revealed a covered perforation, which was treated by clipping. Although the patient was originally classified as a candidate for intensive treatment, due to her young age and few comorbidities, it was decided against intensive high-dose therapy in view of the recent perforation and the infectious situation. Therefore, a therapy with VenAza was chosen. During application of venetoclax, CYP3A4 interactions must be considered, which in her case applied to the simultaneous application of rifampicin [3].
Recent data from patients with MDS have shown that a 14-day treatment regimen with VenAza achieved good results with complete remissions and less therapy-associated neutropenia and toxicities [5]. This 14-day regimen has also repeatedly appeared in smaller AML studies with good results [6]. A 14-day regimen was therefore chosen for our patient: The first 14 days consisted of 7 days subcutaneous administration (s.c.) of azacitidine with 14 days of per os (p.o.) venetoclax (with ramping up to 400 mg) followed by the start of the antituberculosis therapy and a break in hematological therapy for a further 14 days. Treatment was then restarted with 5 days of s.c. azacitidine (dose reduced) and 14 days of venetoclax (dose reduced to 200 mg) followed by a 14-day break (see below). Sulfametrole/trimethoprim was prescribed as prophylaxis against Pneumocystis jirovecii (Fig. 2).
Fig. 2
The 14-day therapy regimen to reduce hepato-toxicity and myelosuppression
Bild vergrößern
In the first 14 days of hematological therapy, all cell lines started to decrease, as expected, and the increased continuously until day 28. Overall, four red blood cell transfusions and no platelet transfusions were necessary in the first 28 days of treatment. The absolute neutrophil count gradually increased from 0.3 G/L on day 1 to 1.26 G/L on day 28, hence overcoming the initial disease-associated neutropenia. The patient was released from inpatient care after 30 days or when neutropenia receded. All further treatment cycles were administered on an outpatient basis. There were no periods of severe neutropenia in later treatment cycles, nor were further blood transfusions necessary, which emphasizes the low hematotoxicity of the regimen applied in this case (Fig. 3).
Fig. 3
Treatment-induced hematotoxicity in the first 28 days of therapy. Separate units are given for each blood component
Bild vergrößern
In later bone marrow biopsies (1 and 6 months after therapy) the AML was no longer detectable in terms of a complete remission. In a CT thorax/abdomen examination after 3 and 6 months of antitubercular therapy, the tuberculosis also showed adequate signs of regression. Currently, our patient is being evaluated for stem cell transplantation.

Discussion

Our patient represents a case of clinically significant remission after a 14-day treatment regimen with dose-reduced VenAza, while being able to actively treat an infectious disease through reducing myelosuppression and fewer associated phases of neutropenia. Moreover, the 14-day interval allowed us to reduce the hepatotoxicity associated with the application of multiple drugs metabolized via CYP3A4. A dose modification of venetoclax in patients with AML has commonly been described. For example, Zhu et al. reported that 42 of 59 patients experienced a dose reduction of venetoclax due to hematological and infectious adverse events [4]. Similarly, a report from the Mayo Clinics described that treatment delays were frequently encountered in roughly 50% of patients and dose reductions in 70% of patients [5]. Another retrospective analysis of 169 patients reported that patients with treatment modifications in terms of intensity or schedule had a longer overall median survival than those without, highlighting the importance of adapting to clinical situations, especially in situations when serious infectious diseases coexist [6].
In regard to tuberculosis, an analysis by Jain et al. described 12 patients with AML and tuberculosis, where the majority received high-dose chemotherapy [7]. In 10% of patients, mortality was associated with tuberculosis and treatment was considered inadequate in 16.7%, highlighting the challenge of therapy management. One patient who was initially eligible for curative treatment underwent bridging with hypomethylating agents and achieved complete remission with subsequent chemotherapy and later transplantation [7]. The use of hypomethylating agents as bridging therapy to transplantation has not been studied extensively and may prove to be a useful strategy for patients currently ineligible for high-dose therapy but who are possibly eligible for later allogenic transplantation. This has been an ongoing topic of discussion: whether the therapeutic activity of VenAza is comparable to conventional induction chemotherapy among traditionally induction-eligible and transplantation-eligible adults with newly diagnosed AML. Since real-world data have shown that complete remission can be achieved and overall survival is comparable with the combination of venetoclax and hypomethylating agents [8], further studies are needed to shed light on the idea of lower-intensity therapy for patients eligible for transplantation. Here, the ongoing NCT04801797 trial may report new valuable data [9].
Take-home messages
  • Consider possible CYP3A4 drug interactions when using a therapeutic regimen with venetoclax in patients with AML
  • The 14-day venetoclax therapy regimen is an effective method for avoiding therapy-associated neutropenia and toxicity.
  • The 14-day venetoclax therapy regimen has comparable efficacy to the 28-day therapy regimen with an equal possibility of reaching complete remission.
  • Use of venetoclax and azacitidine is a good method of bridging to transplantation for patients who are traditionally induction-eligible and transplantation-eligible
  • The NCT04801797 trial may report new data on the comparability of venetoclax and azacitidine vs. induction chemotherapy in patients with newly diagnosed AML eligible for transplantation.

Acknowledgements

The authors want to appreciate the contribution of NÖ Landesgesundheitsagentur, legal entity of University Hospitals in Lower Austria, for providing the organizational framework to conduct this research.

Conflict of interest

T. Lentner and G. Krajnik declare that they have no competing interests.
Open Access This article is licensed under a Creative Commons Attribution 4.0 International License, which permits use, sharing, adaptation, distribution and reproduction in any medium or format, as long as you give appropriate credit to the original author(s) and the source, provide a link to the Creative Commons licence, and indicate if changes were made. The images or other third party material in this article are included in the article’s Creative Commons licence, unless indicated otherwise in a credit line to the material. If material is not included in the article’s Creative Commons licence and your intended use is not permitted by statutory regulation or exceeds the permitted use, you will need to obtain permission directly from the copyright holder. To view a copy of this licence, visit http://​creativecommons.​org/​licenses/​by/​4.​0/​.

Publisher’s Note

Springer Nature remains neutral with regard to jurisdictional claims in published maps and institutional affiliations.

Unsere Produktempfehlungen

Abo für kostenpflichtige Inhalte

download
DOWNLOAD
print
DRUCKEN
Titel
Acute myeloid leukemia patient with active disseminated tuberculosis bridged to transplant with reduced 14-day venetoclax and azacitidine schedule
Verfasst von
Dr. Theresa Lentner, BSc
OA Dr. Gerhard Krajnik
Publikationsdatum
23.01.2024
Verlag
Springer Vienna
Erschienen in
memo - Magazine of European Medical Oncology / Ausgabe 1/2024
Print ISSN: 1865-5041
Elektronische ISSN: 1865-5076
DOI
https://doi.org/10.1007/s12254-023-00947-5
1.
Zurück zum Zitat DiNardo CD, Jonas BA, Pullarkat V, Thirman MJ, Garcia JS, Wei AH, et al. Azacitidine and Venetoclax in Previously Untreated Acute Myeloid Leukemia. N Engl J Med. 2020;383(7):617–29.CrossRefPubMed
2.
Zurück zum Zitat Aiba M, Shigematsu A, Suzuki T, Miyagishima T. Shorter duration of venetoclax administration to 14 days has same efficacy and better safety profile in treatment of acute myeloid leukemia. Ann Hematol. 2023;102(3):541–6.CrossRefPubMedPubMedCentral
3.
Zurück zum Zitat Hafner V, Grün B, Markert C, Czock D, Mikus G, Arzneimittelinteraktionen HWE. Internist. 2010;51(3):359–70.CrossRefPubMed
4.
Zurück zum Zitat Zhu LX, Chen RR, Wang LL, Sun JN, Zhou D, Li L, et al. A real-world study of infectious complications of venetoclax combined with decitabine or azacitidine in adult acute myeloid leukemia. Support Care Cancer. 2022;30(8):7031–8.CrossRefPubMed
5.
Zurück zum Zitat Morsia E, McCullough K, Joshi M, Cook J, Alkhateeb HB, Al-Kali A, et al. Venetoclax and hypomethylating agents in acute myeloid leukemia: Mayo Clinic series on 86 patients. Am J Hematol. 2020;95(12):1511–21.CrossRefPubMed
6.
Zurück zum Zitat Vachhani P, Flahavan EM, Xu T, Ma E, Montez M, Gershon A, et al. Venetoclax and Hypomethylating Agents as First-line Treatment in Newly Diagnosed Patients with AML in a Predominately Community Setting in the US. Oncologist. 2022;27(11):907–18.CrossRefPubMedPubMedCentral
7.
Zurück zum Zitat Jain A, Prakash G, Singh C, Lad D, Khadwal A, Suri V, et al. Analysis of Clinical Profile and Outcome of Tuberculosis in Patients with Acute Leukemia. Indian J Hematol Blood Transfus. 2018;34(3):430–42.CrossRefPubMed
8.
Zurück zum Zitat Matthews A, Perl AE, Luger SM, Gill S, Lai C, Porter DL, et al. Real World Effectiveness of “7 + 3” Intensive Chemotherapy Vs Venetoclax and Hypomethylating Agent for Initial Therapy in Adult Acute Myeloid Leukemia. Blood. 2022;140(Supplement 1):1022–4.
9.
Zurück zum Zitat Fathi AT, Fell GG, El-Jawahri A, Perl AE, Jonas BA, Dias AL, et al. A Phase 2 Randomized Study Comparing Venetoclax and Azacitidine to Conventional Induction Chemotherapy for Newly Diagnosed Fit Adults with Acute Myeloid Leukemia. Blood. 2022;140(Supplement 1):3284–6.