Zum Inhalt

Multimodales Imaging bei Uveitis

  • Open Access
  • 12.06.2024
  • themenschwerpunkt
Erschienen in:

Zusammenfassung

Die großen Fortschritte in der Entwicklung von Bildgebungstechniken in der Augenheilkunde haben auch bei Uveitiserkrankungen unsere Mittel zur Diagnosestellung und Verlaufsbeobachtung erheblich erweitert und verbessert. Dieser Artikel soll einen aktuellen Überblick bieten über spezielle Aspekte, die bei bildgebenden Verfahren in dieser Patientengruppe zu beachten sind. Die Möglichkeiten zur Darstellung der Aderhaut, Vor- und Nachteile der optischen Kohärenztomographie-Angiographie (OCT-A), der Weitwinkelbildgebung sowie Fundusautofluoreszenz (FAF) werden erörtert.

Anmerkung

Diese Übersichtsarbeit basiert zum Teil auf der Publikation der Autoren GGD und MZ, [45].

Hinweis des Verlags

Der Verlag bleibt in Hinblick auf geografische Zuordnungen und Gebietsbezeichnungen in veröffentlichten Karten und Institutsadressen neutral.
Bildgebende Verfahren sind ein elementarer Bestandteil von Diagnostik und Therapie in der Augenheilkunde. In den letzten Jahren hat es viele neue Entwicklungen auf dem Gebiet der Bildgebung gegeben, die unsere Möglichkeiten, Augenstrukturen detailliert darzustellen und zu beurteilen, erheblich verbessert haben. Während manche Techniken wie die optische Kohärenztomographie (OCT) bereits zu einem festen Bestandteil der diagnostischen Routine geworden sind, ist die standardisierte Anwendung z. B. der OCT-Angiographie oder der Weitwinkelbildgebung erst dabei, sich zu etablieren. Jede der Methoden hat bei der Charakterisierung und Lokalisierung von pathologischen Veränderungen ihre eigenen Stärken und Schwächen, die es zu berücksichtigen gilt.
Entzündliche Erkrankungen der Uvea sind oftmals komplex, besonders wenn das hintere Augensegment betroffen ist, und können sowohl bei Erstmanifestation als auch im Verlauf bei der Beurteilung der Krankheitsaktivität eine diagnostische Herausforderung darstellen. Zusätzlich zu einer ausführlichen klinischen Untersuchung sind bildgebende Verfahren oft hilfreich zur initialen Klassifikation einer Uveitis, d. h. zur anatomischen Lokalisation, sowie in weiterer Folge zur Planung von Abklärung und Therapie. Die Diagnostik bei Uveitiserkrankungen des Hinterabschnittes ist damit ein klassisches Einsatzgebiet für die multimodale Bildgebung, da insbesondere bei komplexen Fällen zusätzliche Informationen hilfreich sind und eine einzelne Bildmodalität nicht ausreichend sein kann. Da die Fundoskopie nicht immer sicher retinale und choroidale Veränderungen differenzieren kann, ist die Entwicklung von einfach anzuwendenden und nichtinvasiven Methoden besonders willkommen. Zusätzlich bieten sie eine objektive Methode und teilweise auch einen quantitativen Zugang zu Verlaufsbeobachtung und Therapiemonitoring. Die Tracking- und Follow-up-Funktionen der OCT-Geräte z. B. ermöglichen ein präzises Monitoring von Läsionen.

Bildgebende Verfahren der Aderhaut

Die Choroidea ist der primäre Manifestationsort der Entzündung bei diversen Formen von Uveitis posterior und Panuveitis. Die Fluoreszenzangiographie (FA) ist eine Standarduntersuchung zur Beurteilung von entzündlichen Veränderungen von Netzhaut, Aderhaut, Papille und retinalen Gefäßen. Die längere Wellenlänge des Farbstoffs Indocyaningrün (ICG) ermöglicht eine bessere Darstellung des Aderhautgefäßsystems und kann bei posteriorer oder Panuveitis erforderlich sein, um eine Aderhautbeteiligung abzuklären. Sie kann auch eine subklinische choroidale Inflammation aufdecken, die weder bei der klinischen Untersuchung noch in der FA erkennbar war. Füllungsdefekte der Aderhautgefäße durch entzündliche Läsionen, Kapillarverschlüsse oder Narben lassen sich besonders gut in der intermediären und Spätphase beurteilen. Dabei können Entzündungen der Choriokapillaris wie bei White-Dot-Syndromen unterschieden werden von Entzündungen über das gesamte Aderhautstroma wie bei Vogt-Koyanagyi-Harada-Krankheit, Birdshot-Chorioretinopathie oder bestimmten Formen der Sarkoidose. Blockadeeffekte können durch diffuse Entzündungszellinfiltration oder auch choroidale Granulome unterschiedlicher Größe wie bei Sarkoidose oder Tuberkulose entstehen. Bis vor Kurzem war die ICG-Angiographie (ICGA) die einzige Untersuchungsmethode der Choroidea, und sie gilt nach wie vor als Standarduntersuchung bei choroidalen Erkrankungen. Ein Vorteil neuerer Untersuchungsmethoden wie OCT und OCT-Angiographie (OCT-A) sind zusätzliche dreidimensionale Informationen über die anatomischen Strukturen der Choroidea im Gegensatz zur En-face-Abbildung der ICGA. Als nichtinvasive und einfach durchzuführende Untersuchungsmethoden können sie in Ergänzung oder zur Verlaufskontrolle genutzt werden, da auch Wiederholungsuntersuchungen in kurzen Abständen gut möglich sind.

OCT der Aderhaut

Die Darstellung der Aderhaut wird bei der Spectral-domain(SD)-OCT-Technologie aufgrund der Signalabsorption durch das retinale Pigmentepithel eingeschränkt. Diese Limitation kann durch die Kombination mit der Enhanced-depth-imaging(EDI)-Technik überwunden werden, und somit können auch tiefere Strukturen dargestellt werden, von der Choriokapillaris bis zur Sklera. Bei der EDI-Technik wird der Peak der Sensitivität nach posterior Richtung Sklera verlagert und das OCT-Bild gespiegelt, sodass sich die Aderhaut näher an der Nullverzögerungslinie und im signalintensiveren Teil des Bildes befindet. Dieses auf den Kopf gestellte Bild wird dann von der Software zurückgespiegelt und dem Untersucher in der üblichen Ausrichtung präsentiert [1].
Die höheren Wellenlängen der Swept-source(SS)-OCT von 1000–1080 nm ermöglichen ebenfalls eine bessere Darstellung der Aderhaut durch das RPE. Ein Nachteil ist eine etwas geringere Bildauflösung als bei herkömmlichen OCTs mit 800–860 nm Wellenlänge. Ein Vorteil wiederum ist die höhere Scangeschwindigkeit des SS-OCT, wodurch noch größere Scanbereiche abgebildet werden können.
Ein Vergleich von EDI-OCT und SS-OCT zur Messung der Aderhautdicke brachte gute Ergebnisse hinsichtlich der Reproduzierbarkeit der Messergebnisse, mit generell etwas geringerer Dicke bei Messung mit SS-OCT [2, 3]. Im aktiven Entzündungsstadium mit erhöhter Aderhautdicke dürfte die SS-OCT überlegen sein hinsichtlich der Fähigkeit, die sklerale Grenzfläche darzustellen und die subfoveale Aderhautdicke zu messen [4].
Die normativen Werte für die subfoveale choroidale Dicke variieren auch bei gesunden Probanden abhängig von Parametern wie Alter, Geschlecht, axialer Bulbuslänge, refraktivem Fehler und auch abhängig von der Tageszeit im einzelnen Individuum [57]. Trotzdem kann die Aderhautdicke bei Uveitiserkrankungen ein guter Marker für die Krankheitsaktivität sein. Ein Beispiel dafür ist die Vogt-Koyanagyi-Harada-Krankheit (VKH), bei der in der akuten Phase die Aderhaut massiv verdickt und hyporeflektiv ist (Abb. 1). Im chronischen Stadium der Erkrankung kann eine erneute Zunahme der choroidalen Dicke in der OCT ein diagnostischer Parameter für die Krankheitsaktivität sein [8, 9]. Das ist insbesondere hilfreich, da subklinische choroidale Entzündungen leicht übersehen werden bzw. nur mit ICGA detektiert werden können. Auch bei der Birdshot-Chorioretinopathie, einer anderen primär choroidalen Erkrankung, zeigten das choroidale Volumen und die chorioidale Dicke eine signifikante Übereinstimmung mit dem Grad der Krankheitsaktivität [10].
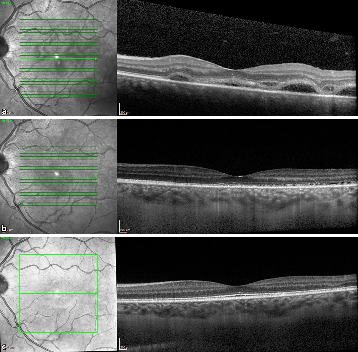
Abb. 1
Spectral-domain(SD)-OCT, Uveitis bei Vogt-Koyanagi-Harada Syndrom. a Akutes Stadium mit typischen multifokalen serösen retinalen Abhebungen und subretinaler Flüssigkeit; massiv diffus verdicktes Choroid mit Verlust der choroidalen Strukturen. b Zwei Wochen nach systemischer Kortison-Stoßtherapie. Noch wenig subretinale Flüssigkeit, unregelmäßige IS/OS und RPE-Linie (IS/OS photoreceptor inner/outer segment, RPE retinales Pigmentepithel). Das Choroid ist noch gering verdickt, und die choroidale Struktur ist wieder erkennbar (Enhanced-depth-imaging(EDI)-Modus). c Kontrolluntersuchung 2 Jahre später, in Remission. Die retinalen Schichten haben sich wieder normalisiert bis auf kleine fokale Unregelmäßigkeiten in der IS/OS-Linie temporal. Das Choroid ist regelrecht (EDI-Modus)
Bild vergrößern
Andere pathologische Veränderungen in der Aderhaut, die in der OCT der Aderhaut dargestellt werden können, sind z. B. Granulome (Abb. 2). Dabei ist zu beachten, dass kleinere Granulome möglicherweise nicht sichtbar sind, sondern nur größere Granulome, die eine Verlagerung der Aderhautgefäße verursachen und dann als runde, hyporeflektierende Läsionen erscheinen.
Abb. 2
Choroidale Granulome im Spectral-domain(SD)-OCT mit Enhanced-depth-imaging(EDI)-Modus. a Fovealer Scan zu Baseline, zwei choroidale Granulome mit homogener verminderter Reflektivität der Choroidea und Signalhypertransmission der Sklera (grüne Pfeile). b Follow-up-Scan mit Rückbildung der beiden ursprünglichen Granulome, dafür Nachweis eines neuen choroidalen Granuloms temporal (oranger Pfeil)
Bild vergrößern

Optische Kohärenztomographie-Angiographie (OCT-A)

Eine Weiterentwicklung der OCT-Technologie ist die OCT-A, mit der sich auf nichtinvasive Weise mikrovaskuläre Strukturen des inneren und äußeren retinalen Gefäßplexus, der Choriokapillaris und des Choroids detailliert und dreidimensional darstellen lassen. OCT-A-Module basieren auf der Technologie von SD- oder SS-OCT und analysieren die Fließbedingungen im Gewebe, indem serielle OCT-B-Scans an derselben Netzhautposition im Abstand von wenigen Millisekunden erstellt werden. In der Regel sind die einzigen sich bewegenden Objekte die Blutkörperchen, sodass die OCT‑A den Blutfluss im Gefäßsystem erfasst. Da diese Informationen dreidimensional sind, ist es möglich, die Strömungsbereiche einzelner Netzhautschichten zu segmentieren und 2D-en-face-Projektionen zu erstellen, die den Bildern der Fluoreszenzangiographie sehr ähnlich sind. Dadurch ist es mit der OCT‑A erstmals möglich, die verschiedenen Plexus der Netzhautkapillaren (oberflächlicher, mittlerer und tiefer Kapillarplexus) einzeln darzustellen [11, 12]. Krankheiten, die hauptsächlich den einen oder den anderen betreffen, können dabei nun unterschieden werden. Ein großer Unterschied zwischen der OCT‑A und der konventionellen FA besteht darin, dass kein Farbstoff austritt und somit keine Details der retinalen Gefäße verdeckt werden können. Das kann ein Vorteil der OCT‑A sein, wenn z. B. Pathologien wie Mikroaneurysmen durch die Gefäßleckage überdeckt würden. Zur Abklärung einer retinalen Vaskulitis ist dies allerdings ein Nachteil, da die Gefäßleckage den Grad einer entzündlichen Aktivität der Gefäße anzeigt. Dies ist mit der OCT‑A nicht möglich, deren Bilder ja durch die Bewegung der Blutkörperchen generiert werden und den Blutfluss innerhalb der Gefäße anzeigen. Daher ist die FA nach wie vor die Standarduntersuchung zur Untersuchung von retinalen Gefäßentzündungen.
Ein anderer Nachteil der OCT‑A ist die Anfälligkeit für Artefakte [13]. Die am häufigsten auftretenden Artefakte sind Bewegungsartefakte, Projektionsartefakte und Abschattungen. Projektionsartefakte sind ein häufiger Anlass für Fehlinterpretationen. Sie entstehen dadurch, dass Blutgefäße der inneren Schichten Schatten auf die äußeren Schichten werfen können. Diese Schatten zeigen in den seriellen OCT-Scans gleichfalls Veränderungen und können vom Algorithmus fälschlicherweise als Blutfluss interpretiert werden. Auf diese Weise werden Blutgefäße möglicherweise 2‑mal erkannt und fälschlich in Schichten dargestellt, in denen sie nicht vorhanden sind. Eine Möglichkeit zur Verringerung dieser Projektionsartefakte besteht darin, das En-face-Bild der oberflächlichen Schicht von dem En-face-Bild der tieferen Schichten zu subtrahieren. Dies führt jedoch auch zu einem Informationsverlust aus diesen Schichten. Artefakte durch Bewegungen entstehen durch ein vermehrtes Hintergrundrauschen aufgrund der Bewegung und eine dadurch verringerte Signal-Noise-Ratio, die für die Erkennung echter Bewegungen wichtig ist. Unterschiedliche Techniken wie wiederholtes Scannen, Computeralgorithmen und die Verfolgung von Augenbewegungen wurden entwickelt, um die Bewegungsartefakte zu reduzieren. Dennoch können diese die Bildqualität beeinträchtigen. Abschattungen sind ein anderes beständiges Problem der OCT-Technologien und damit auch bei der OCT‑A. Bei Läsionen, die viel Licht reflektieren, werden die darunter liegenden Bereiche von geringeren Lichtmengen beleuchtet. Bei der OCT‑A bedeutet dies, dass der Blutfluss in diesen abgeschatteten Bereichen möglicherweise nicht den Schwellenwert für die Erkennung einer Bewegung erreicht. Diese Bereiche können dann als Kapillarausfall fehlinterpretiert werden. Eine andere Ursache für einen scheinbaren Kapillarausfall auf OCT-A-Bildern kann ein per se langsamer Fluss in den Kapillaren sein. Wenn dieser unterhalb eines bestimmten Schwellenwerts liegt, der vom Zeitintervall zwischen den seriellen B‑Scans abhängt, wird der Blutfluss nicht erkannt.
Das Auftreten dieser verschiedenen Artefakte kann den Nutzen der OCT‑A in der klinischen Praxis einschränken. Bei der Anwendung der OCT‑A bei Uveitiserkrankungen müssen zu den genannten Einschränkungen auch noch Artefakte durch Glaskörpertrübungen oder andere Medientrübungen beachtet werden. Abschattungen durch aktive Läsionen sowie Fensterdefekte bei Atrophien mit Signalverstärkung der darunterliegenden Schichten sind besonders bei posteriorer Uveitis ein Problem.
Eine klinisch relevante Anwendung der OCT‑A auch bei Uveitiserkrankungen ist die Detektion einer sekundären choroidalen Neovaskularisation (CNV). Bei multifokaler Choroiditis (MFC) und punktförmiger innerer Choroidopathie (PIC) (Abb. 3) ist die Unterscheidung zwischen aktiven entzündlichen Läsionen und aktiver CNV oft schwierig. Studien zu diesem Thema haben gezeigt, dass die OCT‑A zwar hilfreich ist im Vergleich zur konventionellen Bildgebung, aber eine eindeutige Unterscheidung nicht allein auf Grundlage der OCT-A-Bildgebung möglich war [14, 15]. Zur Detektion einer sekundären CNV bei anderen Uveitiserkrankungen hat sich die OCT‑A ebenfalls als nützlich erwiesen [16, 17], allerdings auch hier mit Einschränkungen bei der Detektion von kleinen und peripapillären CNV-Membranen, insbesondere durch Abschattungsartefakte und Schichtsegmentierungsfehler. Projektionsartefakte durch oberflächliche Gefäße auf die hyperreflektiven entzündlichen Läsionen können die Unterscheidbarkeit von echten CNVs erschweren. Daher müssen in einer sorgfältigen Analyse sowohl die 2D-Gefäßprojektionen als auch die einzelnen B‑Scans einbezogen werden. Diese zeitaufwendigen Schritte können die Anwendung im klinischen Alltag mit hohem Arbeitsaufkommen erschweren.
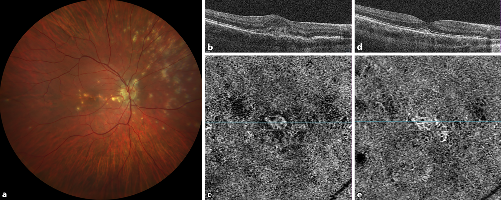
Abb. 3
SD-OCT und OCT‑A bei multifokaler Chorioretinitis mit sekundärer CNV. a Weitwinkelfundusfoto mit zahlreichen choroidalen Herden am hinteren Pol und in der nasalen mittleren Peripherie. b SD-OCT mit zentralem subretinalem hyperreflektivem Material und subretinaler Flüssigkeit, fokale Unterbrechungen in der RPE/Bruch-Membran. c OCT‑A mit zentralem dichtem Flow-Signal im Sinne einer Typ-2-CNV. d Nach 3‑mal Anti-VEGF-Injektion zentrale kompakte subretinale Fibrose ohne Anzeichen von Exsudation. e In der OCT‑A erscheint die CNV zwar größer (möglicherweise aufgrund von Artefakten im Baseline-Scan), das Gefäßsystem ist jedoch deutlich reifer mit großen intrakapillären Distanzen
Bild vergrößern
Bei der Darstellung der retinalen Gefäßplexus mit OCT‑A hat sich gezeigt, dass Patienten mit verschiedenen Arten von Uveitiserkrankungen im Vergleich zu gesunden Kontrollpersonen eine signifikant geringere Dichte und Komplexität der Gefäße in allen Netzhautschichten aufweisen [18, 19]. Studien zu retinaler Vaskulitis bei Behçet [20] und okulärer Sarkoidose [21] zeigten eine Dominanz des tiefen Kapillarplexus als primär betroffene Gefäßschicht. Die entzündlichen Prozesse betrafen vorwiegend die tiefe retinale und die choroidale Perfusion. Bei Behçet-Uveitis erwies sich die OCT‑A der Standard-FA darin überlegen, perifoveale Unregelmäßigkeiten in den Kapillarnetzen und Kapillarausfälle zu erkennen [20]. Bei der Birdshot-Chorioretinopathie wurde zusätzlich zur signifikant geringeren Gefäßdichte im oberflächlichen und tiefen Kapillarplexus auch eine signifikant negative Korrelation der Gefäßdichte mit der Sehschärfe gezeigt [22]. Auffällig war bei den genannten Studien eine relativ hohe Exklusionsrate von auswertbaren Bildern (21–25 %), meist aufgrund schlechter Bildqualität durch Glaskörpertrübungen. Dies zeigt eine der Limitationen dieser Technik für die Anwendung bei Uveitiserkrankungen.
Ein anderer interessanter Ansatz zur Anwendung der OCT‑A ist die Analyse der exakteren anatomischen Zuordnung der entzündlichen Läsionen hinsichtlich der Pathogenese einzelner Krankheitsbilder. Beispiele sind White-dot-Syndrome wie die akute posteriore multifokale plakoide Pigmentepitheliopathie (APMPPE), bei der eine Verringerung des Flusses in der Choriokapillaris in der OCT‑A mit den ischämischen Arealen in FA und ICGA korreliert [23]. Diese Beobachtung unterstützt die Charakterisierung von APMPPE als primäre Erkrankung der Choriokapillaris und des inneren Choroids. Beim Multiple evanescent white dot syndrome (MEWDS) sind primär die äußeren retinalen Schichten involviert und in der Regel keine Veränderungen in der OCT‑A zu sehen [24].
Beim Vergleich zwischen OCT‑A und FA müssen einige Aspekte betrachtet werden. Die FA ist eine dynamische Untersuchung, bei der zweidimensionale Bilder generiert werden über ein Signal, das durch den Fluoreszenzfarbstoff emittiert wird. Die Visualisierung der Farbstoffleckage geschieht durch die durch eine Entzündung gestörte Blut-Retina-Schranke. Damit ist die FA weiterhin, wie bereits erwähnt, die einzige Methode zur Darstellung einer retinalen Vaskulitis. Die OCT‑A basiert auf einer dreidimensionalen optischen Rekonstruktion von Gewebe, auf Basis eines volumetrischen Datensatzes, der durch ein Signal von roten Blutkörperchen generiert wird. Die OCT‑A ist daher besonders gut geeignet zur Visualisierung nicht perfundierter Netzhautareale und von mikrovaskulären Details.
Beim Vergleich zwischen OCT‑A und ICGA zeigt sich im Allgemeinen eine gute Überstimmung beider Methoden (Abb. 4), v. a. in der chronischen Phase einer Erkrankung. Die OCT‑A kann zusätzliche Informationen liefern, wie z. B. über Bereiche mit erhaltener Choriokapillaris und über die Gefäßstrukturen bei Läsionen in fortgeschrittenen Heilungsstadien. Bereiche mit Atrophie der Choriokapillaris erscheinen auf OCT‑A besser definiert und korrelieren gut mit dem EDI-OCT [25]. Limitationen der OCT‑A bestehen allerdings zur Detektion von kleinen choroidalen Granulomen, die zu klein sind, um die vaskulären Strukturen und damit den Blutfluss zu verändern. Bei großen choroidalen Granulomen über die gesamte Dicke der Aderhaut korrelieren hingegen die Flow-void-Areale der OCT‑A gut mit den hypofluoreszenten Arealen der ICGA [26].
Abb. 4
Akute posteriore multifokale plakoide Pigmentepitheliopathie (APMPPE) im akuten Stadium. a OCT‑A (Zeiss PLEX Elite 9000; Carl Zeiss Meditec AG, Jena, Deutschland), fehlender Blutfluss in der Choriokapillarisschicht. b Indocyaningrün-Angiographie (ICGA), vergrößerter Ausschnitt korrelierend zu Bild a. c ICGA, Überblick 55°
Bild vergrößern
Zusammenfassend bieten sich durch die neuen Möglichkeiten zur Visualisierung der retinalen und choroidalen Gefäßschichten mit OCT und OCT‑A zusätzliche wertvolle Informationen zu Pathogenese der Krankheit, Krankheitsverlauf und Behandlungsergebnis auch bei Uveitiserkrankungen. FA und ICGA bleiben derzeit Standarduntersuchungen zur Abklärung einer retinalen Vaskulitis und choroidaler Entzündungen, aber OCT und OCT‑A können in manchen Fällen für ein einfacheres und nichtinvasives Monitoring der Krankheitsaktivität nützlich sein.
Limitationen bestehen auch aufgrund der oben geschilderten Artefakte, v. a. Glaskörpertrübungen können die Anwendung bei Uveitispatienten einschränken. Dazu kommen die Notwendigkeit von Erfahrung bei der Interpretation der Scans und der Zeitaufwand für korrekte Analysen. Außerdem ist die Bewertung der Netzhautperipherie derzeit aufgrund des relativ kleinen Scanbereichs noch eingeschränkt, auch wenn hier baldige Fortschritte zu erwarten sind.

Weitwinkelbildgebung

Die Fundusfotografie ist seit Langem ein wichtiges Instrument zur Dokumentation des Krankheitsverlaufs bei Patienten mit entzündlichen Erkrankungen des hinteren Augenabschnitts, und die Weitwinkelfotografie kann ihren Nutzen erheblich steigern. Die herkömmliche Fundusfotografie ist auf einen Bereich von maximal 60° beschränkt. Durch die Montage mehrerer Netzhautbilder lässt sich ein zusammengesetztes Foto erstellen über etwa 140° der Netzhaut, wofür allerdings einiges Training erforderlich ist. Seit der Entwicklung von Ultraweitwinkelmodulen und des konfokalen Scanning-Laser-Ophthalmoskops (SLO) können mit einem einzigen Bild bis zu 150–200° der Netzhaut erfasst werden, d. h. bis zu 82 % der Netzhaut [27]. Dabei ermöglicht die Laserlichtquelle des SLO, die über einen ellipsoiden Spiegel auf die Netzhaut fokussiert wird, eine nichtmydriatische Aufnahme bei enger Pupille. Zu den Nachteilen der Weitwinkelbildgebung gehören derzeit eine geringere Schärfentiefe, Verzerrungen und eine teils unverhältnismäßig große Darstellung von peripheren Läsionen. Beim SLO ist die Darstellung der Bilder mit Pseudofarben zu beachten. Durch die Wimpernartefakte sind die temporale und nasale Peripherie im Allgemeinen besser abgebildet als die obere und untere Peripherie. Andere Artefakte durch Linsen- und Glaskörpertrübungen müssen bei der Interpretation der Bilder ebenfalls beachtet werden.
Die Ultraweitwinkelbildgebung (UWF) ist für die Fundusfotografie, die Fluoreszenzangiographie, die Fundusautofluoreszenz und die Indocyaningrünangiographie verfügbar. Der klare Vorteil ist eine einfache und schnelle Dokumentation von peripheren Netzhautanomalien, die verkürzte Untersuchungszeit und der erhöhte Komfort. Und auch wenn die Geräte nicht überall im Routinebetrieb verfügbar sein werden, bringen uns Studien mit Ultraweitwinkelbildgebung jedenfalls interessante Einblicke in die Bedeutung von Veränderungen der Peripherie.
Als retinale Vaskulitis wird eine Entzündung der retinalen Arteriolen, Venolen und/oder Kapillaren bezeichnet. In der Fundoskopie können typische klinische Veränderungen wie Gefäßeinscheidungen, perivaskuläre Infiltrate oder präretinale Blutungen erkennbar sein. Zur Diagnostik einer retinalen Vaskulitis stehen die bildgebenden Verfahren im Vordergrund, denn Beobachtungen der klinischen Untersuchung können, müssen aber nicht, mit einer Gefäßleckage in der Angiographie übereinstimmen. Das Ausmaß der retinalen Leckage kann zur Beurteilung der Entzündungsaktivität und der Therapieeffizienz genutzt werden. Die Ultraweitwinkelbildgebung ist dabei besonders nützlich, da sie die gleichzeitige Betrachtung der einzelnen Phasen der Angiographie in der Makula und der Peripherie ermöglicht. Mit der UWF-Fluoreszeinangiographie (UWF-FA) können auch periphere Netzhautpathologien bei Uveitis erfasst werden, die bei der herkömmlichen FA mit Montagebildern eventuell übersehen werden, und das gesamte Ausmaß der kapillären Nichtperfusion und der peripheren Vaskulitis kann vollständiger dargestellt werden [28, 29]. Allerdings ist die angiographische Auflösung in der Makula mit UWF-FA tendenziell geringer als bei der herkömmlichen FA. Interessanterweise können auch Normalaugen ohne klinisch erkennbare Netzhautpathologie Fluoreszeinleckagen in der äußeren peripheren Netzhaut aufweisen, wie eine Studie an 101 Normalpatienten in fast 20 % der Fälle zeigte [30]. Die klinische Bedeutung dieser Veränderungen ist unklar.
In einer Studie mit Uveitispatienten wurde der Nutzen zusätzlicher Informationen über periphere Gefäßveränderungen (Leckagen, Nichtperfusion, Neovaskularisationen) mittels UWF-FA im Vergleich zu 50°-Bildern der Standard-FA bewertet. Die Detektion der peripheren Befunde mit UWF-FA führte bei 23 % der Patienten zu einer Änderung der Behandlung [31]. In einer anderen Studie zur Rolle der Weitwinkelbildgebung beim Management von posteriorer Uveitis führten Ergebnisse der UWF-FA zur Therapieänderung bei 48 % im Vergleich zu 16 % bei Standard-FA mit peripheren Aufnahmen [32]. Auch bei intermediärer Uveitis hat sich die UWF-FA als nützlich erwiesen, um Bereiche mit peripheren Leckagen hervorzuheben. Insbesondere eine diffuse Leckage in der FA ist häufiger bei einem klinisch aktiven Befund zu finden und mit einer schlechteren Sehleistung assoziiert [33]. Die zusätzliche Möglichkeit einer quantitativen Bewertung von z. B. der fovealen avaskulären Zone, makulären und peripheren Leckage und Ischämiearealen ist ein weiterer interessanter Ansatz zur Anwendung der UWF-FA bei Uveitiserkrankungen [34].
Die Anwendung der Fundusfotografie zum Monitoring peripherer retinaler Pathologien wird durch die UW-Fotografie im Vergleich zu herkömmlichen 60°-Fotos wesentlich erleichtert. In einer Studie über Augen mit CMV-Retinitis wurde mit der Ultraweitwinkelfundusfotografie (Optomap-System; Optos, Scotland, GB) eine um 48,3 % größere Fläche der Netzhaut und eine um 40,0 % größere Fläche der CMV-Retinitis-Läsionen erfasst im Vergleich zu der konventionellen Neun-Feld-Montagefotografie [35].

Fundusautofluoreszenz (FAF)

Die Fundusautofluoreszenz (FAF) kann eine geeignete ergänzende Technik sein, um das Ausmaß von Veränderungen des retinalen Pigmentepithels (RPE) bei entzündlichen Erkrankungen zu untersuchen und die Krankheitsaktivität zu beurteilen. Die Technik beruht auf dem Vorhandensein von natürlichen Fluorophoren auf Netzhautebene (vorwiegend in Photorezeptoren und RPE-Zellen), die durch kurzwelliges, blaues Licht angeregt werden können und dann Licht längerer Wellenlänge als Autofluoreszenz freisetzen. Lipofuszin und Melanolipofuszin im RPE werden als Hauptfluorophore bei der FAF beschrieben [36, 37]. Zur Verfügung stehen die konfokale Scanning-Laser-Ophthalmoskopie (cSLO) (in Kombination mit OCT-Geräten) und die Autofluoreszenzfotografie mittels Funduskamera. Zu beachten sind hierbei mögliche Unterschiede zwischen den Geräten bezüglich Anregungswellenlängen/-spektrum und Emissionsspektrum. Voraussetzungen für eine qualitativ hochwertige FAF-Aufnahme sind jedenfalls klare brechende Medien.
Das Anwendungsgebiet der FAF bei Uveitiserkrankungen umfasst im Prinzip alle entzündlichen chorioretinalen Erkrankungen. Besonders hervorgehoben werden können die White-Dot-Syndrome und diverse infektiöse Uveitiden. In der Akutphase von Entzündungen werden in der Regel vermehrt Fluorophore gebildet. Dies geht mit einer Hyperautofluoreszenz der Läsionen einher. Mit dem Rückgang der Entzündung kommt es zu einer Abnahme des FAF-Signals und reduzierter Intensität bis hin zu einem kompletten FAF-Verlust bei einer RPE-Atrophie. Die Areale mit fokalem Verlust der Autofluoreszenz korrelieren signifikant mit den Bereichen von Gesichtsfeldeinschränkungen [38].
Die bessere Demarkation der entzündlichen Läsionen mit FAF im Vergleich zu Farbfotos kann bei chorioretinalen Erkrankungen die Beurteilung des Ausmaßes der erkrankten Areale erleichtern [39]. Eine Weitwinkelbildgebung ist auch für die Aufnahme von Autofluoreszenzsignalen durchführbar und bietet sich ebenso zum Einsatz bei Diagnostik und Monitoring bestimmter Uveitiserkrankungen an (Abb. 5). Allerdings müssen Einschränkungen durch Medientrübungen immer berücksichtigt werden.
Abb. 5
a Ultraweitwinkelfundusfoto (Optos, Scotland, GB) bei multifokaler Chorioretinitis. b Follow-up mit Ultraweitwinkelfundusautofluoreszenz. c Progression der Läsionen in der Peripherie (hyperautofluoreszente Areale, grüne Pfeile). Zunehmende Inaktivität der zentralen Läsionen (teilweiser Verlust des hyperautofluoreszenten Randbereichs, oranges Sternchen)
Bild vergrößern

Grading-Scores für intraokulare Entzündungen

Zur Bestimmung des Schweregrads einer Entzündung der Uvea gibt es nach internationaler Übereinkunft (SUN-Kriterien) zwei klinische Grading-Scores [40]. Die Anzahl der sichtbaren Zellen in der Vorderkammer wird auf einer Skala von 0 bis 4 bewertet. Eine ebenfalls semiquantitative Gradeinteilung mit einer Skala von 0 bis 4 ist die Bestimmung der Glaskörpertrübung („vitreous haze“) bei binokularer indirekter Fundoskopie in Mydriasis.
Eine hohe untersucherabhängige Variabilität ist ein bekannter Nachteil beider Grading-Scores und bedingt eine schlechte Reproduzierbarkeit. Eine objektive Messung mit einer kontinuierlichen Skala wäre wünschenswert, für die klinische Routine genauso wie als Variable bei Uveitisstudien. Die Nutzung der OCT-Technologie als Methode zur präzisen und reproduzierbaren Quantifizierung der Entzündung von Vorderkammer und Glaskörper könnte dieser Forderung begegnen. Bisherige Ergebnisse zeigten eine signifikante Übereinstimmung zwischen OCT (manuell und automatisch) und klinischer Einstufung mit Spaltlampe nach dem SUN-Grading zur Quantifizierung von Vorderkammerzellen sowohl mit SD-OCT-basierten System als auch mit SS-OCT [41, 42]. Eine Forschungsgruppe um Invernizzi et al. erstellte zur Quantifizierung des Tyndall-Wertes ein neues Maß anhand eines Quotienten aus relativer Intensität von Wasser zu Luft (ARI). Der ARI-Index eignete sich gut zur Unterscheidung einer aktiven von einer inaktiven Uveitis, die Korrelation nahm allerdings bei geringer Entzündungsaktivität und bei inaktiver Uveitis ab.
Eine gute Korrelation mit dem klinischen Grading zeigten OCT-Messungen auch zur Bestimmung der Glaskörperentzündung. Die manuelle Segmentierung des Glaskörperraums („vitreous top“ zu ILM) und des RPE („RPE-inner layer“ zu „RPE-outer layer“) und Erstellung eines Vitreus/RPE-Relative Intensity Scores zeigten eine gute untersucherunabhängige Reproduzierbarkeit [43, 44].
Die objektive und automatisierte Beurteilung von Vorderkammer- und Glaskörperentzündung mit OCT-Technologie erscheint also als ein vielversprechender Ausblick, erfordert allerdings noch weiterführende Validierungen, bevor sie routinemäßig eingesetzt werden kann.

Schlussfolgerungen

Die Fortschritte bei den verschiedenen Bildgebungstechniken haben das Spektrum diagnostischer Möglichkeiten in der Augenheilkunde deutlich erweitert. Die Bildgebung der Choroidea, der Netzhautperipherie und der retinalen Mikrogefäße mithilfe von Weitwinkeltechniken und OCT-Angiographie hat auch zu unserem Krankheitsverständnis beigetragen, und weitere Erkenntnisgewinne sind mit dem Fortschreiten der Techniken und unserem Wissen über ihre Anwendung zu erwarten. In der klinischen Routine bei der Betreuung von Uveitiserkrankungen sind bei jeder Bildgebungsmodalität die jeweiligen spezifischen Vorteile genauso wie die Einschränkungen in ihrer Anwendbarkeit zu beachten. Da die Fähigkeit eines einzelnen bildgebenden Verfahrens, die Struktur oder Funktion von Netzhaut und Aderhaut zu erkennen, begrenzt ist, ist es sinnvoll, die Ergebnisse mehrerer Modalitäten zu integrieren, wann immer dies möglich ist.

Interessenkonflikt

G.G. Deák, M. Zhou und M. Funk geben an, dass kein Interessenkonflikt besteht.
Open Access Dieser Artikel wird unter der Creative Commons Namensnennung 4.0 International Lizenz veröffentlicht, welche die Nutzung, Vervielfältigung, Bearbeitung, Verbreitung und Wiedergabe in jeglichem Medium und Format erlaubt, sofern Sie den/die ursprünglichen Autor(en) und die Quelle ordnungsgemäß nennen, einen Link zur Creative Commons Lizenz beifügen und angeben, ob Änderungen vorgenommen wurden.
Die in diesem Artikel enthaltenen Bilder und sonstiges Drittmaterial unterliegen ebenfalls der genannten Creative Commons Lizenz, sofern sich aus der Abbildungslegende nichts anderes ergibt. Sofern das betreffende Material nicht unter der genannten Creative Commons Lizenz steht und die betreffende Handlung nicht nach gesetzlichen Vorschriften erlaubt ist, ist für die oben aufgeführten Weiterverwendungen des Materials die Einwilligung des jeweiligen Rechteinhabers einzuholen.
Weitere Details zur Lizenz entnehmen Sie bitte der Lizenzinformation auf http://​creativecommons.​org/​licenses/​by/​4.​0/​deed.​de.

Hinweis des Verlags

Der Verlag bleibt in Hinblick auf geografische Zuordnungen und Gebietsbezeichnungen in veröffentlichten Karten und Institutsadressen neutral.

Unsere Produktempfehlungen

Abo für kostenpflichtige Inhalte

download
DOWNLOAD
print
DRUCKEN
Titel
Multimodales Imaging bei Uveitis
Verfasst von
Priv.-Doz. Dr. med. Gábor György Deák, MD, PhD
Mei Zhou, MD
Assoc.-Prof. PD Dr. med. Marion Funk, MD
Publikationsdatum
12.06.2024
Verlag
Springer Vienna
Erschienen in
Spektrum der Augenheilkunde / Ausgabe 5/2024
Print ISSN: 0930-4282
Elektronische ISSN: 1613-7523
DOI
https://doi.org/10.1007/s00717-024-00575-2
1.
Zurück zum Zitat Spaide RF, Koizumi H, Pozonni MC. Enhanced depth imaging spectral-domain optical coherence tomography. Am J Ophthalmol. 2008;146:496–500.CrossRefPubMed
2.
Zurück zum Zitat Copete S, Flores-Moreno I, Montero JA, et al. Direct comparison of spectral-domain and swept-source OCT in the measurement of choroidal thickness in normal eyes. Br J Ophthalmol. 2014;98:334–8. https://​doi.​org/​10.​1136/​bjophthalmol-2013-303904.CrossRefPubMed
3.
Zurück zum Zitat Waldstein SM, Faatz H, Szimacsek M, et al. Comparison of penetration depth in choroidal imaging using swept source vs spectral domain optical coherence tomography. Eye (Lond). 2015;29(3):409–15. https://​doi.​org/​10.​1038/​eye.​2014.​319.CrossRefPubMed
4.
Zurück zum Zitat Chee S‑P, Wen NCS, Jap A. Comparison of enhanced depth imaging and swept source optical coherence tomography in assessment of Vogt-Koyanagi-Harada disease. J Clin Exp Ophthalmol. 2015;6:1–6.
5.
Zurück zum Zitat Margolis R, Spaide RF. A pilot study of enhanced depth imaging optical coherence tomography of the choroid in normal eyes. Am J Ophthalmol. 2009;147(5):811–5.CrossRefPubMed
6.
Zurück zum Zitat Chakraborty R, Read SA, Collins MJ. Diurnal variations in axial length, choroidal thickness, intraocular pressure, and ocular biometrics. Invest Ophthalmol Vis Sci. 2011;52(8):5121–9. https://​doi.​org/​10.​1167/​iovs.​11-7364.CrossRefPubMed
7.
Zurück zum Zitat Tan CS, Ouyang Y, Ruiz H, Sadda SR. Diurnal variation of choroidal thickness in normal, healthy subjects measured by spectral domain optical coherence tomography. Invest Ophthalmol Vis Sci. 2012;53(1):261–6.CrossRefPubMed
8.
Zurück zum Zitat Jap A, Chee S‑P. The role of enhanced depth imaging optical coherence tomography in chronic Vogt-Koyanagi-Harada disease. Br J Ophthalmol. 2017;101:186–9.CrossRefPubMed
9.
Zurück zum Zitat Tagawa Y, Namba K, Mizuuchi K, et al. Choroidal thickening prior to anterior recurrence in patients with Vogt-Koyanagi-Harada disease. Br J Ophthalmol. 2016;100(4):473–7.CrossRefPubMed
10.
Zurück zum Zitat Silpa-Archa S, Maleki A, Roohipoor R, et al. Analysis of three-dimensional choroidal volume with enhanced depth imaging findings in patients with birdshot retinochoroidopathY. Retina. 2016;36(9):1758–66.CrossRefPubMed
11.
Zurück zum Zitat Spaide RF, Fujimoto JG, Waheed NK, Sadda SR, Staurenghi G. Optical coherence tomography angiography. Prog Retin Eye Res. 2018;64:1–55. https://​doi.​org/​10.​1016/​j.​preteyeres.​2017.​11.​003.CrossRefPubMed
12.
Zurück zum Zitat Ferrara D, Waheed NK, Duker JS. Investigating the choriocapillaris and choroidal vasculature with new optical coherence tomography technologies. Prog Retin Eye Res. 2016;52:130–55.CrossRefPubMed
13.
Zurück zum Zitat Spaide RF, Fujimoto JG, Waheed NK. Image artifacts in optical coherence tomography angiography. Retina. 2015;35(11):2163–80. https://​doi.​org/​10.​1097/​IAE.​0000000000000765​.CrossRefPubMedCentralPubMed
14.
Zurück zum Zitat Astroz P, Miere A, Mrejen S, et al. Optical coherence tomography angiography to distinguish choroidal neovascularization from macular inflammatory lesions in multifocal choroiditis. Retina. 2018;38(2):299–309.CrossRefPubMed
15.
Zurück zum Zitat Sarwar Z, et al. optical coherence tomography angiography of chorioretinal lesions due to idiopathic multifocal choroiditis. Retina. 2017;37:1451–63.CrossRef
16.
Zurück zum Zitat Aggarwal K, Agarwal A, Sharma A, Sharma K, Gupta V, OCTA Study Group. Detection of type 1 choroidal neovascular membranes using optical coherence tomography angiography in tubercular posterior uveitis. Retina. 2019;39(8):1595–606. https://​doi.​org/​10.​1097/​IAE.​0000000000002176​.CrossRefPubMed
17.
Zurück zum Zitat de Carlo TE, Bonini Filho MA, Adhi M, Duker JS. Retinal and choroidal vasculature in birdshot chorioretinopathy analyzed using spectral domain optical coherence tomography angiography. Retina. 2015;35:2392–9.CrossRefPubMed
18.
Zurück zum Zitat Kim AY, Rodger DC, Shahidzadeh A, et al. Quantifying retinal microvascular changes in uveitis using spectral domain optical coherence tomography angiography (SD-OCTA). Am J Ophthalmol. 2016;171:101–12.CrossRefPubMedCentralPubMed
19.
Zurück zum Zitat Waizel M, Todorova MG, Terrada C, LeHoang P, Massamba N, Bodaghi B. Superficial and deep retinal foveal avascular zone OCTA findings of non-infectious anterior and posterior uveitis. Graefes Arch Clin Exp Ophthalmol. 2018;256(10):1977–84. https://​doi.​org/​10.​1007/​s00417-018-4057-y.CrossRefPubMed
20.
Zurück zum Zitat Khairallah M, Abroug N, Khochtali S, et al. Optical coherence tomography angiography in patients with Behcet uveitis. Retina. 2017;37:1678–91.CrossRefPubMed
21.
Zurück zum Zitat Cerquaglia A, Iaccheri B, Fiore T, et al. New insights on ocular sarcoidosis: an optical coherence tomography angiography study. Ocul Immunol Inflamm. 2019;27(7):1057–66.CrossRefPubMed
22.
Zurück zum Zitat Roberts PK, Nesper PL, Goldstein DA, Fawzi AA. Retinal capillary density in patients with birdshot chorioretinopathy. Retina. 2018;38:387–94.CrossRefPubMedCentralPubMed
23.
Zurück zum Zitat Klufas MA, Phasukkijwatana N, Iafe NA, et al. Optical coherence tomography angiography reveals choriocapillaris flow reduction in placoid chorioretinitis. Ophthalmol Retina. 2017;1:77–91.CrossRefPubMed
24.
Zurück zum Zitat Pichi F, Srvivastava SK, Chexal S, et al. En face optical coherence tomography and optical coherence tomography angiography of multiple evanescent white dot syndrome: new insights into pathogenesis. Retina. 2016;36(1):S178–88. https://​doi.​org/​10.​1097/​IAE.​0000000000001255​.CrossRefPubMed
25.
Zurück zum Zitat Aggarwal K, Agarwal A, Mahajan S, Invernizzi A, Mandadi SKR, Singh R, Bansal R, Dogra MR, Gupta V, OCTA Study Group. The role of optical coherence tomography angiography in the diagnosis and management of acute Vogt-Koyanagi-Harada disease. Ocul Immunol Inflamm. 2018;26(1):142–53. https://​doi.​org/​10.​1080/​09273948.​2016.​1195001.CrossRefPubMed
26.
Zurück zum Zitat Pichi F, Sarraf D, Morara M, et al. Pearls and pitfalls of optical coherence tomography angiography in the multimodal evaluation of uveitis. J Ophthalmic Inflamm Infect. 2017;7(1):20.CrossRefPubMedCentralPubMed
27.
Zurück zum Zitat Manivannan A, Plskova J, Farrow A, et al. Ultra-wide-field fluorescein angiography of the ocular fundus. Am J Ophthalmol. 2005;140:525–7.CrossRefPubMed
28.
Zurück zum Zitat Nicholson BP, Nigam D, Miller D, Agrón E, et al. Comparison of wide-field fluorescein angiography and 9‑field montage angiography in uveitis. Am J Ophthalmol. 2014;157:673–7.CrossRefPubMed
29.
Zurück zum Zitat Hong BK, Nazari Khanamiri H, Rao NA. Role of ultra-widefield fluorescein angiography in the management of uveitis. Can J Ophthalmol. 2013;48:489–93.CrossRefPubMed
30.
Zurück zum Zitat Lu J, Mai G, Luo Y, et al. Appearance of far peripheral retina in normal eyes by ultra-widefield fluorescein angiography. Am J Ophthalmol. 2017;173:84–90.CrossRefPubMed
31.
Zurück zum Zitat Pecen PE, Petro KF, Baynes K, et al. Peripheral findings and retinal vascular leakage on ultra-widefield fluorescein angiography in patients with uveitis. Ophthalmol Retina. 2017;1:428–34.CrossRefPubMed
32.
Zurück zum Zitat Campbell JP, Leder HA, Sepah YJ, et al. Wide-field retinal imaging in the management of noninfectious posterior uveitis. Am J Ophthalmol. 2012;154(5):908–11.CrossRefPubMed
33.
Zurück zum Zitat Laovirojjanakul W, Acharya N, Gonzales JA. Ultra-widefield fluorescein angiography in intermediate uveitis. Ocul Immunol Inflamm. 2019;27:356–61.CrossRefPubMed
34.
Zurück zum Zitat Karampelas M, Sim DA, Chu C, et al. Quantitative analysis of peripheral vasculitis, ischemia, and vascular leakage in uveitis using ultra-widefield fluorescein angiography. Am J Ophthalmol. 2015;159:1161–1168.e1.CrossRefPubMed
35.
Zurück zum Zitat Mudvari SS, Virasch VV, Singa RM, MacCumber MW. Ultra-wide-field imaging for cytomegalovirus retinitis. Ophthalmic Surg Lasers Imaging Retina. 2010;41:311–5.CrossRef
36.
Zurück zum Zitat Delori FC, Dorey CK, Staurenghi G, et al. In vivo fluorescence of the ocular fundus exhibits retinal pigment epithelium lipofuscin characteristics. Invest Ophthalmol Vis Sci. 1995;36:718–29.PubMed
37.
Zurück zum Zitat von Ruckmann A, Fitzke FW, Bird AC. Distribution of fundus autofluorescence with a scanning laser ophthalmoscope. Br J Ophthalmol. 1995;79:407–41.CrossRef
38.
Zurück zum Zitat Seidensticker F, Neubauer AS, Wasfy T, et al. Wide-field fundus autofluorescence corresponds to visual fields in chorioretinitis patients. Clin Ophthalmol. 2011;5:1667–71.PubMedCentralPubMed
39.
Zurück zum Zitat Reznicek L, Seidensticker F, Stumpf C, et al. Systematic analysis of wide-field fundus autofluorescence (FAF) imaging in posterior uveitis. Curr Eye Res. 2014;39:164–71.CrossRefPubMed
40.
Zurück zum Zitat Jabs DA, Nussenblatt RB, Rosenbaum JT, et al. Standardization of uveitis nomenclature for reporting clinical data. Results of the first international workshop. Am J Ophthalmol. 2005;140:509–16.CrossRefPubMed
41.
Zurück zum Zitat Sharma S, Lowder CY, Vasanji A, et al. Automated analysis of anterior chamber inflammation by spectral-domain optical coherence tomography. Ophthalmology. 2015;122:1464–70.CrossRefPubMed
42.
Zurück zum Zitat Invernizzi A, Marchi S, Aldigeri R, et al. Objective quantification of anterior chamber inflammation: measuring cells and flare by anterior segment optical coherence tomography. Ophthalmology. 2017;124:1670–7.CrossRefPubMed
43.
Zurück zum Zitat Keane PA, Karampelas M, Sim DA, et al. Objective measurement of vitreous inflammation using optical coherence tomography. Ophthalmology. 2014;121:1706–14.CrossRefPubMed
44.
Zurück zum Zitat Keane PA, Balaskas K, Sim DA, et al. Automated analysis of vitreous inflammation using spectral-domain optical coherence tomography. Transl Vis Sci Technol. 2015;4:4.CrossRefPubMedCentralPubMed
45.
Zurück zum Zitat Deák GG, Zhou M, Sporysheva A, Goldstein DA. Novel imaging modalities in patients with uveitis. Can J Ophthalmol. 2020;55(1):20–9. https://​doi.​org/​10.​1016/​j.​jcjo.​2019.​06.​005.CrossRefPubMed