Zum Inhalt

Femoral hibernoma: unique intraosseous tumor

  • 29.08.2024
  • images in clinical medicine
Erschienen in:

Auszug

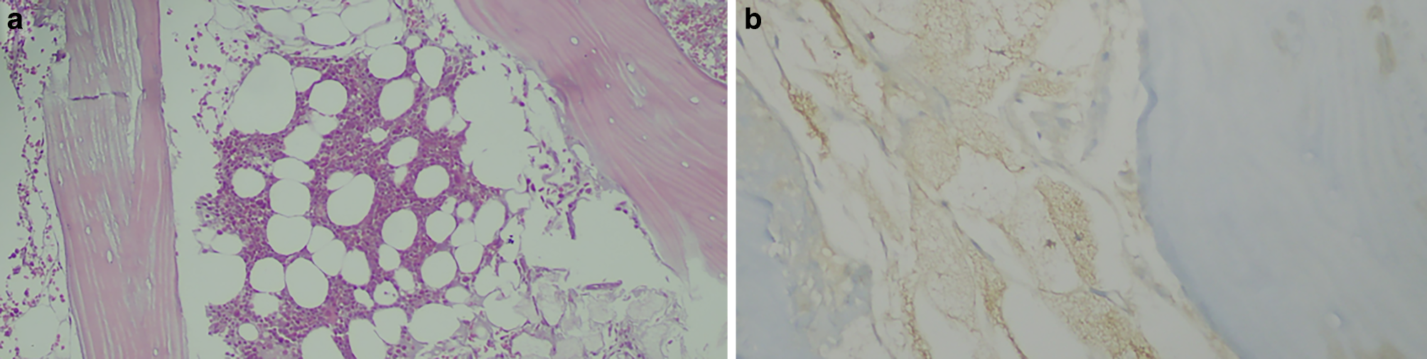
A 51-year-old woman was admitted to the emergency department after a fall down the stairs. After physical examination, radiographic images were taken to rule out fractures. Noncontrast computed tomography revealed a well-circumscribed, mildly sclerotic lesion at the level of the trochanter major on the lateral aspect of the right thigh (Fig. 1a, arrow). In the patient, who did not have any clinical symptoms at the lesion level, further examination of the lesion was planned under elective conditions. Magnetic resonance imaging revealed a subcortically located lesion at the level of the right greater trochanter, an intermediate signal on T1-weighted images (Fig. 1b, arrow) and showing peripheral contrast enhancement in a post-contrast series (Fig. 1c, arrow). Due to the abnormal radiological nonspecific appearance of the lesion, bone scintigraphy was performed to evaluate whether the lesion was solitary and physiologically active. The bone scan images showed increased Tc-99m methylene diphosphonate activity at the same location in the femur (Fig. 1d, arrow). Additionally, bone scintigraphy showed bilateral involvement in the mandible (Fig. 1d, arrowheads). At our radiology clinic a biopsy was suggested, stating that the lesion had many differential diagnoses such as metastasis and lymphoma. A CT-guided biopsy identified the lesion as an intraosseous hibernoma (Fig. 2).
Fig. 1
a Coronal noncontrast computed tomography of the thigh shows a well-circumscribed, mildly sclerotic lesion at the level of the greater trochanter (arrow). b Coronal T1-weighted magnetic resonance imaging shows a well-defined lesion with intermediate signal (arrow). c Coronal postcontrast magnetic resonance imaging shows a lesion with peripheral contrast enhancement (arrow). d Bone scintigraphy shows areas of involvement in the femur (arrow) and bilateral mandible (arrowheads).
Bild vergrößern
Fig. 2
a Hematoxylin and eosin (4x magnification) stained histopathology image revealed tumor cells with large cytoplasm, numerous small clear vacuoles in thecytoplasm, centrally located nuclei with notches in the nucleus, as well as hematopoietic cells among bone trabeculae. b In immunohistochemical studies (4x magnification), tumor cells showed positive immune reaction with S100 and negative immune reaction with CD68, panCK, CDK4, MDM2
Bild vergrößern
Titel
Femoral hibernoma: unique intraosseous tumor
Verfasst von
Dr. Gökhan Tonkaz, MD
Ertugrul Cakir, MD
Mehmet Tonkaz, MD
Demet Sengul, MD
Publikationsdatum
29.08.2024
Verlag
Springer Vienna
Erschienen in
Wiener klinische Wochenschrift / Ausgabe 19-20/2024
Print ISSN: 0043-5325
Elektronische ISSN: 1613-7671
DOI
https://doi.org/10.1007/s00508-024-02426-1
Dieser Inhalt ist nur sichtbar, wenn du eingeloggt bist und die entsprechende Berechtigung hast.