Zum Inhalt

New developments in radiation oncology for head and neck cancers

  • Open Access
  • 23.08.2023
  • short review
Erschienen in:

Summary

Treatment of head and neck cancers is multidisciplinary involving surgery, radiotherapy and systemic treatment. The disease outcome depends on multiple factors involving tumour biology and behaviour as well patient’s clinical condition and comorbidities. Taking into account all these factors, the treatment decision should be tailored according to tumour characteristics and patient’s needs. Treatment could be de-intensified on the one hand, or intensified on the other hand, with the aim to achieve the best therapeutic outcome. New developments in radiation oncology shift the focus toward personalised patient treatment including clinical information, multimodality imaging and early assessments of treatment response to adapt the treatment.

Publisher’s Note

Springer Nature remains neutral with regard to jurisdictional claims in published maps and institutional affiliations.

Introduction

Head and neck squamous cell carcinoma (HNSCC) is associated with a significant cancer burden. The general prognosis is still poor—despite multidisciplinary treatments combing surgery, radiotherapy, chemotherapy and immunotherapy. Disease-specific survival is also negatively affected by the tendency of these tumours to locally invade surrounding normal tissue and to metastasize to cervical lymph nodes. More than 59% of all patients are initially diagnosed at a locally advanced stage. Treatment indication of HNSCC is based on classic prognostic features: tumour subsite and size, nodal involvement and distant metastases [1].
The classical treatment approach combines several options (surgery, radiotherapy, systemic treatment), which often leads to increased toxicity (Fig. 1). The objective of this review is to summarize new treatment strategies with the aim to improve the therapeutic outcome in these patients by also taking into account individual patient characteristics and prognostic factors.
Fig. 1
Acute and late toxicity of combined treatment modalities can result in added toxicity leading to decreased quality of life and treatment interruptions that may jeopardize patient outcomes
Bild vergrößern

Prognostic factors

Before recognition of human papillomavirus (HPV) status as a strong prognostic factor, few classical parameters were available for risk stratification, notably the resection margin involvement at the primary site and extracapsular spread at different levels of lymph nodes in resected patients or clinical stage in definitive-treated patients. HPV-positive HNSCC has unique epidemiological and clinical management features; therefore, in this type of cancer with excellent prognosis, a de-escalation of treatment intensity would be a clinically meaningful step toward reducing treatment toxicity [13].

New treatment strategies

Therapy de-intensification in HPV-positive oropharyngeal squamous cell cancer

Reduction of chemotherapy

One possible option is to switch a cytotoxic agent like cisplatin to a less toxic agent as cetuximab while maintaining the standard radiotherapy dose prescription (70 Gy). Three prospective trials, the De-ESCALaTE HPV trial, RTOG1016 and TROG12.01 have evaluated the impact. In these trials non-inferiority of cetuximab was not achieved and cisplatin-based chemoradiotherapy (CRT) remained the standard of care in HPV-driven oropharyngeal squamous cell cancer (OPSCC) [46].
RTOG1016 was a non-inferiority randomized controlled trial (RCT) randomizing 987 patients with p16-HPV-positive OPSCC to cisplatin or cetuximab with accelerated radiotherapy of 70 Gy in 35 fractions in 6 weeks (6 fractions/week). Reduced overall survival (OS) at 5 years and locoregional control (LRC) rates were shown in the cetuximab vs cisplatin arm (OS 77.9 vs 84.6%, p = 0.016, LRC 82.7 vs 90.1%, p = 0.0005). Moreover, in terms of toxicity, acute or late side effects were not significantly reduced [4]. The De-ESCALaTE HPV trial and the TROG12.01 trial showed similar results in terms of reduced tumour control without reduction of treatment-related toxicity [5, 6].

Reduction of radiotherapy dose/volume

Another approach aims to apply lower doses of radiation and/or chemotherapy, possibly reducing side effects, without compromising the oncological outcome.
NCT01530997 and NCT02281955 trials in patients with HPV-positive OPSCC tumours with stages T0-T3, N0-N2c, M0 and < 10 pack–year (py) smoking history, showed encouraging results when reducing the radiation dose from 70 to 60 Gy, and decreasing the cisplatinum dose by 20–40% [7, 8]. Despite the lower radiation and chemotherapy dose, these two subsequent trials showed impressive tumour control with moderate toxicity. In 114 patients the complete response rate with positron emission tomography/computer tomography (PET/CT) was 93% and 80% at the primary tumour site and the neck. The 2‑year progression-free survival (PFS) and OS were 86 and 97% without any grade 3 or higher adverse late effects [7, 8].
NRG-HN002 studied the possible omission of simultaneous chemotherapy in HPV-positive patients. In this trial 316 patients were randomized to either 60 Gy intensity-modulated radiotherapy (IMRT) in 6 weeks with concomitant weekly cisplatin 40 mg/m2 or accelerated stand-alone IMRT 60 Gy in 5 weeks [9]. Because of lower PFS in the IMRT alone arm at 5 years (87.6% vs. 90.5% in the combined arm), this study failed to meet acceptability criterion of non-inferiority.

De-intensification using immunotherapy

The ongoing study NCT03799445 is evaluating the impact of dual treatment with nivolumab and ipilimumab followed by IMRT up to 50–66 Gy on disease outcome in advanced HPV-associated SCC.
NRG-HN005 (NCT03952585) is a prospective trial aiming to randomize 711 patients with p16-HPV-positive OPSCC to either reduced dose of radiotherapy (RT) (60 Gy in 6 weeks) with cisplatin, reduced dose of RT (60 Gy in 5 weeks) with nivolumab or standard of care RT of 70 Gy in 5 weeks with cisplatin.
The results of these studies are highly awaited, because of some cautions regarding negative results from the NCT02952586 and GORTEC 2017-01 studies [10, 11].

Reducing toxicity using adaptive radiotherapy techniques

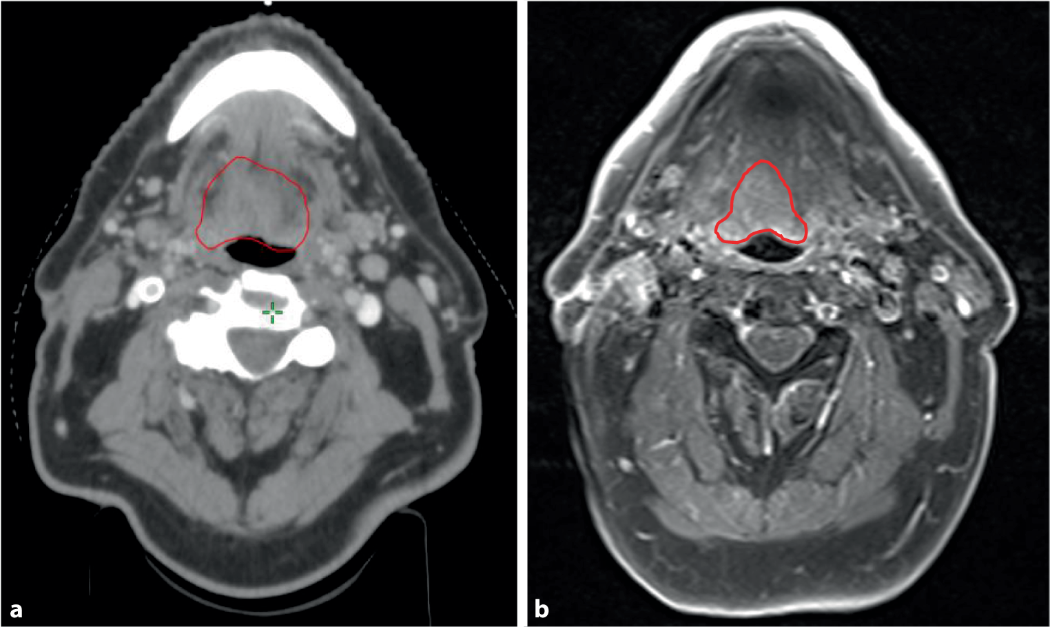
With technological improvements in RT delivery leading to better dose conformity, such as IMRT, volumetric arc radiotherapy (VMAT) and proton therapy, additional attention may be dedicated to reducing the overall RT dose to healthy tissue without compromising the tumour dose. A reduction in the dose to critical structures, e.g. the salivary glands, resulted in reduced long-term toxicity and improved quality of life [12]. Together with improved target definition using advanced imaging (magnetic resonance imaging [MRI], PET/CT), improved accuracy of radiation delivery using image-guided radiotherapy (IGRT) and even reacting to tumour volume changes during the treatment course through image-guided adaptive radiotherapy (IGART), the overall toxicity can be reduced without treatment de-intensification to the tumour site ([13], Figs. 2 and 3).
Fig. 2
Tumour volume (red) definition using computed tomography (CT) and MRI. MRI allows better soft tissue contrast for head and neck cancers with improving the precision of contouring. This can result in smaller volumes with reduction of irradiated volume: a CT-based target contouring, b MRI-based target contouring
Bild vergrößern
Fig. 3
Anatomic changes during a course of radiotherapy (a treatment start, b after 44 Gy) impacting the dose distribution
Bild vergrößern
MRI-guided adaptive radiotherapy is a novel strategy using a magnetic resonance linear accelerator (MR-Linac) in order to track volume changes in the tumour in real time throughout the treatment course and adapt the RT volumes accordingly. This newest development in the treatment of head and neck cancers is being adopted in clinical practice. With the help of MRI guidance, both target volume reduction and safe dose de-escalation can be combined for primary and elective target areas [1417].

Therapy intensification in HPV-negative HNSCC

For HPV-negative HNSCC the prognosis is significantly worse with overall survival dropping to 57% at 3 years [18, 19]. Therefore, novel treatment options are needed to improve survival in these high-risk patients. Radiotherapy alone or in combination with chemotherapy can lead to immune responses enabling potential synergistic effects when combined with immunotherapy.

Combination of chemotherapy and immunotherapy

The JAVELIN Head and Neck 100 trial was aiming at improvement of outcomes in patients with locally advanced head and neck cancers by combination of avelumab (monoclonal PD-L1 antibody) with chemoradiotherapy [10]. In all, 697 patients with high-risk HNSCC who received radiochemotherapy with standard IMRT dose and 3 cycles of cisplatin at 100 mg/m2 were randomized to receive avelumab 10 mg/kg biweekly followed by 12 month maintenance or placebo. Unfortunately, the trial was stopped at the time of preplanned interim analysis, because the study was unlikely to meet the primary objective of prolonging PFS [10].
The key factor in local or distant failure is treatment resistance. One possible mechanism is evasion of apoptosis enabling cancer cells to resist cell death. Inhibitors of apoptosis proteins (IAPs) are overexpressed in cancer, including HNSCC, increasing the resistance of cancer cells to apoptosis. Xevinapant is a small molecule IAP inhibitor, which restores cancer cells sensitivity to apoptosis. In a very promising double-blind randomized phase 2 study, xevinapant in addition to chemoradiation significantly improved local control [20]. Side effects did not differ between the two groups. With longer follow-up, the risk of locoregional failure was reduced by 54% in the xevinapant plus CRT arm versus the placebo plus CRT arm, but this did not reach statistical significance (p = 0.0893). The risk of death or disease progression was reduced by 67% for patients receiving xevinapant (p = 0.0019) [21]. The Trylinx phase III study investigating xevinapant in a larger population will show whether this approach could be practice changing.
The Keynote 412 study is a randomized phase III study evaluating the efficacy and safety of pembrolizumab or placebo given concomitantly with CRT followed by maintenance therapy in patients with locally advanced (LA) HNSCC. The rationale for this study was also to address the need for an effective treatment option with potential of improving patient outcome. The addition of pembrolizumab was associated with a favourable trend toward improved event free survival (EFS), however the difference did not reach statistical significance [22].

Alternative chemotherapy regiment in frail patients

Meta-analysis of head and neck cancer patients > 70 years of age and with poor performance status treated with concurrent chemoradiotherapy showed higher noncancer-related mortality nullifying the beneficial impact of concurrent chemotherapy [23]. Especially the tolerability to cisplatin is lacking in older patients due to a low serum creatinine clearance and sensorineural hearing loss [24]. Docetaxel is a possible alternative in this frail population. To prove its efficacy over radiotherapy alone a randomized trial in this cisplatin-ineligible population was performed [25]. The study included 356 patients, randomized to receive radiation alone or with concurrent docetaxel 15 mg/m2 once weekly for a maximum of 7 cycles. The disease-free survival (DFS) at 2 years was 30.3% versus 42% in the RT and docetaxel-RT arm (p = 0.002); the 2‑year overall survival was 41.7% versus 50.8% (p = 0.035). The locoregional control was 45.3% versus 58.2% in RT and docetaxel-RT arm at 2 years (p = 0.009). There was a higher incidence of ≥ grade 3 acute adverse events.

Conclusion

Treatment of head and neck cancer remains challenging. Combination of multiple treatments (e.g. surgery, radiotherapy, chemotherapy and immunotherapy) is necessary in order to improve the treatment outcome. However, the toxicity of treatment is increasing with treatment combinations because of cumulative side effects, often associated with worse quality of life and need for advanced supportive treatment (Fig. 1). In addition, older frail patients are often not ideal candidates for standard treatment of care and need treatment adaptations.
New developments in the radio-oncological treatment of head and neck cancer are moving toward personalized adaptive treatment.
Before treatment, the risk–benefit profile should be careful evaluated for every patient, using parameters like patient performance status, age and comorbidities. Initial staging using clinical information and multimodality imaging (CT, PET/CT and MRI) should be performed in every patient (Fig. 2). HPV-positive oropharyngeal cancer represents a unique subgroup of HNSCC; a careful approach and further randomized trials are required to assess safety and efficacy of de-intensification treatment.
Radiotherapy should use modern techniques, for example IMRT, VMAT, image guidance and online treatment adaptation, aiming to reduce side effects without compromising the oncologic outcome (Fig. 3).

Acknowledgement

The authors want to appreciate the contribution of NÖ Landesgesundheitsagentur, legal entity of University Hospitals in Lower Austria, for providing the organizational framework to conduct this research.

Conflict of interest

C. Resl, P. Georg and C. Döller declare that they have no competing interests.
Open Access This article is licensed under a Creative Commons Attribution 4.0 International License, which permits use, sharing, adaptation, distribution and reproduction in any medium or format, as long as you give appropriate credit to the original author(s) and the source, provide a link to the Creative Commons licence, and indicate if changes were made. The images or other third party material in this article are included in the article’s Creative Commons licence, unless indicated otherwise in a credit line to the material. If material is not included in the article’s Creative Commons licence and your intended use is not permitted by statutory regulation or exceeds the permitted use, you will need to obtain permission directly from the copyright holder. To view a copy of this licence, visit http://​creativecommons.​org/​licenses/​by/​4.​0/​.

Publisher’s Note

Springer Nature remains neutral with regard to jurisdictional claims in published maps and institutional affiliations.

Unsere Produktempfehlungen

Abo für kostenpflichtige Inhalte

download
DOWNLOAD
print
DRUCKEN
Titel
New developments in radiation oncology for head and neck cancers
Verfasst von
Christoph Resl
Petra Georg
Carmen Döller
Publikationsdatum
23.08.2023
Verlag
Springer Vienna
Erschienen in
memo - Magazine of European Medical Oncology / Ausgabe 3/2023
Print ISSN: 1865-5041
Elektronische ISSN: 1865-5076
DOI
https://doi.org/10.1007/s12254-023-00914-0
1.
Zurück zum Zitat Budach V, Tinhofer I. Novel prognostic clinical factors and biomarkers for outcome prediction in head and neck cancer: a systematic review. Lancet Oncol. 2019;20:e313–e26.CrossRefPubMed
2.
Zurück zum Zitat Bigelow EO, Seiwert TY, Fakhry C. Deintensification of treatment for human papillomavirus-related oropharyngeal cancer: Current state and future directions. Oral Oncol. 2020;105:104652. https://​doi.​org/​10.​1016/​j.​oraloncology.​2020.​104652.CrossRefPubMedPubMedCentral
3.
Zurück zum Zitat Mensour EA, Alam S, Mawani S, et al. What is the future of treatment de-escalation for HPV-positive oropharyngeal cancer? A review of ongoing clinical trials. Front Oncol. 2022;12:1067321. https://​doi.​org/​10.​3389/​fonc.​2022.​1067321.CrossRefPubMedPubMedCentral
4.
Zurück zum Zitat Gillison ML, Trotti AM, Harris J, et al. Radiotherapy plus cetuximab or cisplatin in human papillomavirus-positive oropharyngeal cancer (NRG Oncology RTOG 1016): A randomised, multicentre, non-inferiority trial. Lancet. 2019;393:40–50. https://​doi.​org/​10.​1016/​S0140-6736(18)32779-X.CrossRefPubMed
5.
Zurück zum Zitat Mehanna H, Robinson M, Hartley A, et al. Radiotherapy plus cisplatin or cetuximab in low-risk human papillomavirus-positive oropharyngeal cancer (De-ESCALaTE HPV): An open-label randomised controlled phase 3 trial. Lancet. 2019;393(10166):51–60. https://​doi.​org/​10.​1016/​S0140-6736(18)32752-1.CrossRefPubMedPubMedCentral
6.
Zurück zum Zitat Rischin D, King M, Kenny L, Porceddu S, et al. Randomized trial of radiation therapy with weekly cisplatin or cetuximab in low-risk HPV-associated oropharyngeal cancer (TROG 12.01)—A Trans-Tasman radiation Oncology Group study. Int J Radiat Oncol Biol Phys. 2021;111(4):876–86. https://​doi.​org/​10.​1016/​j.​ijrobp.​2021.​04.​015.CrossRefPubMed
7.
Zurück zum Zitat Chera BS, Amdur RJ, Tepper J, et al. Phase 2 trial of de-intensified chemoradiation therapy for favorable-risk human Papillomavirus-associated oropharyngeal squamous cell carcinoma. Int J Radiat Oncol Biol Phys. 2015;93(5):976–85. https://​doi.​org/​10.​1016/​j.​ijrobp.​2015.​08.​033.CrossRefPubMed
8.
Zurück zum Zitat Chera BS, Amdur RJ, Green R, et al. Phase II trial of de-intensified chemoradiotherapy for human Papillomavirus—Associated oropharyngeal squamous cell carcinoma. J Clin Oncol. 2019;37(29):2661–9. https://​doi.​org/​10.​1200/​JCO.​19.​01007.CrossRefPubMedPubMedCentral
9.
Zurück zum Zitat Yom SS, Torres-Saavedra P, Caudell JJ, et al. Reduced-dose radiation therapy for HPV-associated oropharyngeal carcinoma (NRG oncology HN002). J Clin Oncol. 2021;39(9):956–65. https://​doi.​org/​10.​1200/​JCO.​20.​03128.CrossRefPubMedPubMedCentral
10.
Zurück zum Zitat Lee NY, Ferris RL, Psyrri A, et al. Avelumab plus standard-of-care chemoradiotherapy versus chemoradiotherapy alone in patients with locally advanced squamous cell carcinoma of the head and neck: a randomised, double-blind, placebo-controlled, multicentre, phase 3 trial. Lancet Oncol. 2021;22(4):450–62. https://​doi.​org/​10.​1016/​S1470-2045(20)30737-3.CrossRefPubMed
11.
Zurück zum Zitat Tao Y, Aupérin A, Sun X, et al. Avelumab-cetuximab-radiotherapy versus standards of care in locally advanced squamous-cell carcinoma of the head and neck: The safety phase of a randomised phase III trial GORTEC 2017-01 (REACH). Eur J Cancer. 2020;141:21–9. https://​doi.​org/​10.​1016/​j.​ejca.CrossRefPubMed
12.
Zurück zum Zitat Nutting CM, Morden JP, Harrington KJ, et al. Parotid-sparing intensity modulated versus conventional radiotherapy in head and neck cancer (PARSPORT): a phase 3 multicentre randomised controlled trial. Lancet Oncol. 2011;12(2):127–36. https://​doi.​org/​10.​1016/​S1470-2045(10)70290-4.CrossRefPubMedPubMedCentral
13.
Zurück zum Zitat Mehanna H, Rischin D, Wong SJ, et al. De-escalation after DE-ESCALATE and RTOG 1016: a head and neck cancer intergroup framework for future de-escalation studies. J Clin Oncol. 2020;38(22):2552–7. https://​doi.​org/​10.​1200/​JCO.​20.​00056.CrossRefPubMedPubMedCentral
14.
Zurück zum Zitat Mulder SL, Heukelom J, McDonald BA, et al. MR-guided adaptive radiotherapy for OAR sparing in head and neck cancers. Cancers (Basel). 2022;14(8):1909. https://​doi.​org/​10.​3390/​cancers14081909.CrossRefPubMed
15.
Zurück zum Zitat Ridder M, Raaijmakers CPJ, Pameijer FA, et al. Target definition in MR-guided adaptive radiotherapy for head and neck cancer. Cancers (Basel). 2022;14(12):3027–3020. https://​doi.​org/​10.​3390/​cancers14123027.CrossRefPubMed
16.
Zurück zum Zitat van Timmeren JE, Chamberlain M, Bogowicz M, et al. MR-guided adaptive radiotherapy for head and neck cancer: prospective evaluation of migration and anatomical changes of the major salivary glands. Cancers (Basel). 2021;13(21):5404. https://​doi.​org/​10.​3390/​cancers13215404.CrossRefPubMed
17.
Zurück zum Zitat Lavigne D, Ng SP, O’Sullivan B, et al. Magnetic resonance-guided radiation therapy for head and neck cancers. Curr Oncol. 2022;29(11):8302–15. https://​doi.​org/​10.​3390/​curroncol2911065​5.CrossRefPubMedPubMedCentral
18.
Zurück zum Zitat Ang KK, Harris J, Wheeler R, et al. Human papillomavirus and survival of patients with oropharyngeal cancer. N Engl J Med. 2010;363(1):24–35. https://​doi.​org/​10.​1056/​NEJMoa0912217.CrossRefPubMedPubMedCentral
19.
Zurück zum Zitat Chow LQM. Head and neck cancer. N Engl J Med. 2020;382(1):60–72. https://​doi.​org/​10.​1056/​NEJMra1715715.CrossRefPubMed
20.
Zurück zum Zitat Sun XS, Tao Y, Le Tourneau C, et al. Debio 1143 and high-dose cisplatin chemoradiotherapy in high-risk locoregionally advanced squamous cell carcinoma of the head and neck: a double-blind, multicentre, randomised, phase 2 study. Lancet Oncol. 2020;21(9):1173–87. https://​doi.​org/​10.​1016/​S1470-2045(20)30327-2.CrossRefPubMed
21.
Zurück zum Zitat Tao Y, Sun XS, Pointreau Y, et al. Extended follow-up of a phase 2 trial of xevinapant plus chemoradiotherapy in high-risk locally advanced squamous cell carcinoma of the head and neck: a randomised clinical trial. Eur J Cancer. 2023;183:24–37. https://​doi.​org/​10.​1016/​j.​ejca.​2022.​12.​015.CrossRefPubMed
22.
Zurück zum Zitat Machiels JP, Tao Y, Burtness B, et al. LBA5 Primary results of the phase III KEYNOTE-412 study: Pembrolizumab (pembro) with chemoradiation therapy (CRT) vs placebo plus CRT for locally advanced (LA) head and neck squamous cell carcinoma (HNSCC). Ann Oncol. 2022. https://​doi.​org/​10.​1016/​j.​annonc.​2022.​08.​029.CrossRefPubMed
23.
Zurück zum Zitat Lacas B, Carmel A, Landais C, et al. Meta-analysis of chemotherapy in head and neck cancer (MACH-NC): An update on 107 randomized trials and 19,805 patients, on behalf of MACH-NC Group. Radiother Oncol. 2021;156:281–93. https://​doi.​org/​10.​1016/​j.​radonc.​2021.​01.​013.CrossRefPubMedPubMedCentral
24.
Zurück zum Zitat Noronha V, Sharma V, Joshi A, et al. Carboplatin-based concurrent chemoradiation therapy in locally advanced head and neck cancer patients who are unfit for cisplatin therapy. Indian J Cancer. 2017;54(2):453–7. https://​doi.​org/​10.​4103/​ijc.​IJC_​320_​17.CrossRefPubMed
25.
Zurück zum Zitat Patil VM, Noronha V, Menon N, et al. Results of phase III randomized trial for use of docetaxel as a radiosensitizer in patients with head and neck cancer, unsuitable for cisplatin-based chemoradiation. J Clin Oncol. 2023; https://​doi.​org/​10.​1200/​JCO.​22.​00980.CrossRefPubMed