Zum Inhalt

Tumorassoziierte Epilepsie bei Gliomen

  • Open Access
  • 11.01.2024
  • Neurologie
Erschienen in:

Zusammenfassung

Epileptische Anfälle stellen eine häufige und die Lebensqualität stark beeinträchtigende Symptomatik bei Patient:innen mit diffusen Gliomen dar. Im Vergleich zu höhergradigen Gliomen sind niedriggradigere mit einem höheren Anfallsrisiko assoziiert. Neueste pathophysiologische Forschungsergebnisse zeigen einen engen Zusammenhang zwischen neuronaler Überaktivierung und deren tumorproliferativen Wirkung und damit zwischen epileptischer Aktivität und Tumorwachstum. Dementsprechend gilt als therapeutischer Ansatz der hirntumorassoziierten Epilepsie, die Tumormasse bestmöglich zu reduzieren und eine adäquate anfallssuppressive Medikation (ASM) zu etablieren. Insbesondere die operative Entfernung, aber auch eine Radiotherapie und/oder Chemotherapie können die Häufigkeit epileptischer Anfälle günstig beeinflussen. Die Wahl der ASM richtet sich nach verschiedenen Faktoren wie Anfallsart, Wirkmechanismus, Komorbiditäten und Nebenwirkungsprofil. In Monotherapie stellt Levetiracetam im europäischen Raum derzeit das beliebteste ASM dar. Auf die Gabe von ASM der ersten Generation sollte aufgrund starker enzymmodulierender Effekte möglichst verzichtet werden. Eine abschließende Bewertung möglicher antiproliferativer Effekte von ASM mit hemmendem Einfluss auf das Tumorwachstum lässt die derzeitige Studienlage nicht zu.
Die Dauer der Behandlung wie auch der Zeitpunkt der Beendigung einer ASM bei Gliompatient:innen unterliegt einer strengen Nutzen/-Risikoabwägung und ist individuell zu treffen.
Direkte Vergleichsstudien einzelner ASM wie auch detaillierte Register mit Auflistung der gewählten (Kombinations‑)Therapien sollten zukünftig forciert werden, um eine bessere Bewertung von Wirksamkeit und Verträglichkeit im Einsatz bei der hirntumorassoziierten Epilepsie zu ermöglichen.
Literatur bei den Verfassern
QR-Code scannen & Beitrag online lesen

Hinweis des Verlags

Der Verlag bleibt in Hinblick auf geografische Zuordnungen und Gebietsbezeichnungen in veröffentlichten Karten und Institutsadressen neutral.

Kasuistik

Ein 33-jähriger Patient mit seit 2016 bekannter Diagnose eines niedriggradigen Glioms (integrierte Diagnose: Astrozytom, ZNS-WHO-Grad 2, Isocitrat-Dehydrogenase 1 (IDH1)-mutiert, 1p19q nicht kodeletiert) und struktureller Epilepsie befindet sich in regelmäßigen Kontrollen in unserer neuroonkologischen Ambulanz.
Als Primärsymptomatik präsentierte sich der Patient mit fokalen epileptischen Anfällen mit erhaltenem Bewusstsein. Der Patient beschrieb einen „diffusen Realitätsverlust“. Direkte oder indirekte Hinweise für stattgehabte fokal eingeleitete bilateral tonisch-klonische Anfälle gab es nicht. Eine anfallssuppressive Medikation (ASM) mit Levetiracetam wurde eingeleitet.
Ursächlich für die Epilepsie fand sich in der zerebralen Magnetresonanztomographie (cMRT) eine nicht kontrastmittelaufnehmende Raumforderung rechts temporoinsulär. Diese konnte im Rahmen einer Tumorexstirpation bis auf winzige Resttumoranteile dorsal der Resektionshöhle reseziert werden. Postoperativ war der Patient anfallsfrei und die ASM wurde 6 Monate nach erfolgter Operation (OP) ausgeschlichen. 2018 erfolgte eine Re-OP mit Entfernung der bekannten Resttumoranteile.
Der Patient war bis etwa April 2019 anfallsfrei. Dann kam es zu erneuten Episoden in ähnlicher Semiologie wie bei der Erstmanifestation mit Derealisationsereignissen und Jamais-vus. Bildgebend wurde kein Tumorprogress festgestellt. Eine ASM mit Levetiracetam wurde aber wieder initiiert, woraufhin erneut eine Anfallsfreiheit erreicht werden konnte.
Im August 2021 war bildgebend im längerfristigen Verlauf ein langsam progredientes Tumorwachstum erkennbar. Aus diesem Grund wurde der Patient einer fraktionierten Radiotherapie zugeführt. Im Rahmen des Progresses und während der Radiotherapie kam es zu einem Wiederauftreten und einer Häufung von epileptischen Anfällen mit der bekannten Semiologie. Medikamentös erfolgte eine Dosissteigerung von Levetiracetam, woraufhin sich die Anfallssituation im Verlauf wieder deutlich besserte.
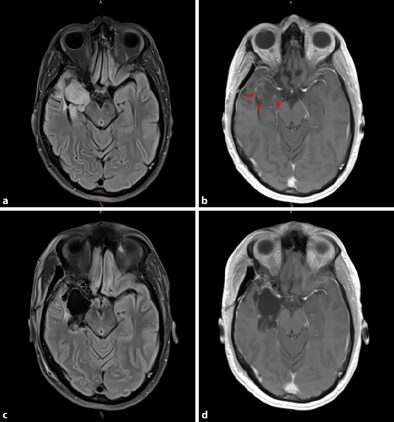
Im November 2021 berichtete der Patient über eine neuerliche Anfallszunahme mit nahezu täglichem Auftreten seit etwa 3 Monaten. Bildgebend zeigte sich ein stabiler Befund ohne Zeichen eines Tumorwachstums. Eine Add-on-Therapie mit Lacosamid wurde gestartet. Zusätzlich wurde, auch wenn sich bildgebend kein Progress zeigte, bei vorliegender klinischer Verschlechterung eine Chemotherapie mit Temozolomid eingeleitet. Ziel der Tumortherapie war, die Anfallsproblematik positiv zu beeinflussen. Initial zeigte sich unter Chemotherapie ein Rückgang der Anfallsfrequenz, nach 4 Zyklen aber dann wieder eine Verschlechterung. Auch bildgebend konnte dann zu diesem Zeitpunkt unter Therapie ein progredientes Tumorwachstum, vor allem rechts temporomesial im Bereich der Amygdala beziehungsweise um dieses Areal und auch entlang des Hippocampus festgestellt werden. Als möglicher bildgebender Hinweis einer Malignisierung des Tumors fanden sich neue punktförmige Kontrastmittelanreicherungen im Bereich der Amygdala (Abb. 1a, b). Daraufhin wurde bei klinischem und bildgebendem Progress eine Re-OP empfohlen. Präoperativ kam es zu einer laufenden Verschlechterung der Anfallssituation mit bis zu 20 Anfällen pro Tag. Medikamentös wurde zusätzlich eine Therapie mit Clobazam etabliert. Die OP wurde priorisiert und es erfolgte eine Rezidiv-Tumorexstirpation mit Entfernung der Tumoranteile rechts temporomesial (Abb. 1c, d). Resttumoranteile im Bereich der Sehbahn rechts wurden bewusst aus funktionellen Gründen belassen.
Abb. 1
a,b Progrediente FLAIR-Signalveränderungen rechts temporomesial (a T2-FLAIR), neu aufgetretene punktförmige kontrastmittelaufnehmende Läsionen (rote Pfeile) im Bereich der Amygdala rechts (b T1-KM). c,d Postoperative cMRT nach Entfernung der Tumoranteile rechts temporomesial (c T2-FLAIR, d T1-KM). (© Leibetseder)
Bild vergrößern
Histologisch bestätigte sich, wie schon in der Bildgebung vermutet, die Malignisierung mit Vorliegen einer integrierten Diagnose eines Astrozytoms, ZNS-WHO-Grad 3.
Seit der Rezidiv-Tumorexstirpation ist der Patient unter dualer Kombinationstherapie mit Levetiracetam und Lacosamid anfallsfrei. Clobazam konnte bereits ausgeschlichen werden.

Einleitung

Epileptische Anfälle sind eine häufige und die Lebensqualität äußerst einschränkende Symptomatik bei Patient:innen mit Gliomen. In der Literatur hat sich hierfür der Terminus „brain tumor related epilepsy“ (BTRE) oder auch „glioma related epilepsy“ (GRE) etabliert. Die Diagnose einer BTRE wird in erster Linie klinisch gestellt, wobei eine detaillierte Anamnese und häufig auch eine externe Angehörigenbefragung hinsichtlich Anfallssemiologie notwendig sind. Nach Vorgabe der „Internationalen Liga gegen Epilepsie“ kann bei Hirntumorpatient:innen nach einem epileptischen Anfall die Diagnose einer strukturellen Epilepsie gestellt werden, sofern sich kongruente Befunde vonseiten der Anfallssemiologie, des EEGs und der Bildgebung ergeben. Weiterführend, insbesondere zur prächirurgischen Abklärung, sind multimodale bildgebende Untersuchungen inklusive einer cMRT, 18F-Fluorethylthyrosin-Positronen-Emissions-Tomographie (FET-PET), und – je nach Fragestellung – auch eine Video-EEG-Monitoring-Untersuchung notwendig.

Epidemiologie

BTRE macht 4–10 % aller Epilepsien aus, wohingegen die Prävalenz einer Epilepsie bei Gliomen 35–70 % beträgt. Das Risiko, epileptische Anfälle zu entwickeln, ist von der Histologie, Molekulargenetik, Tumorlokalisation und vom Patientenalter abhängig. So erleiden Patient:innen mit niedrig- und mittelgradigen diffusen Gliomen („lower-grade gliomas“ [LGG]) mit einer Isocitrate-Dehydrogenase (IDH) 1 oder 2 Mutation in 68–88 % epileptische Anfälle, während bei dem am häufigsten auftretendem Glioblastom, ZNS-WHO-Grad 4 diese seltener mit 30–62 % beschrieben werden. Ein jüngeres Patientenalter (< 60 Jahre) und die frontale, parietale oder temporale Tumorlage – insbesondere bei Miterfassung der temporomesialen Strukturen oder Involvierung des Kortex – erhöhen die Wahrscheinlichkeit, eine BTRE zu entwickeln.
Die Prävalenz einer Epilepsie ist bei niedriggradigen Gliomen höher als bei hochgradigen Gliomen
Epileptische Anfälle treten bei LGG mit 70–90 % als Erstsymptomatik sehr häufig auf, bei höhergradigen Gliomen (HGG) hingegen mit 40–60 % seltener. Im Verlauf erleiden weitere ca. 10 % aller Hirntumorpatient:innen einen epileptischen Anfall.
Hervorzuheben ist, dass 30–35 % aller Patient:innen mit einer BTRE im Laufe ihrer Erkrankung eine therapieresistente Epilepsie entwickeln. Bei LGG tritt im Rahmen einer malignen Transformation in bis zu 40 % eine Pharmakoresistenz auf.

Pathophysiologie

Der Pathomechanismus der BTRE wurde in den letzten Jahren intensiv beforscht. Inflammatorische Prozesse, wie zum Beispiel proinflammatorische Zytokine, scheinen sowohl in der Tumorevolution wie auch in der Pathophysiologie der BTRE einen bedeutenden Einfluss zu haben.
Des Weiteren wird schon längere Zeit die Rolle der IDH-1/2-Mutation in der Epileptogenese diskutiert. Hierbei dürfte der Metabolit D‑2-Hydroxyglutarat (D2-HG) eine wichtige Rolle spielen. D2-HG ist strukturell dem Glutamat ähnlich und kann Glutamat-Rezeptoren, insbesondere N-Methyl-D-Aspartat(NMDA)-Rezeptoren aktivieren.
Neueste pathophysiologische und molekularbiologische Erkenntnisse in der Tumorentstehung und -proliferation führten mehr und mehr zu der Theorie, dass die Tumorgenese und Epileptogenese gemeinsame Mechanismen teilen, die sich gegenseitig befeuern. In diesem Zusammenhang konnte eine enge Verbindung zwischen Neuronen und Tumorzellen in Form einer direkten α-amino-3-hydroxy-5-methyl-4-isoxazolepropionic acid(AMPA)-Rezeptor-abhängigen Neuronal-Glioma-Synapse nachgewiesen werden. Zusätzlich ließ sich eine tumorproliferative Wirkung durch die Aktivierung dieser Verbindungen darstellen.
Es ergibt sich somit das Bild, dass sich Gliomzellen sowohl strukturell wie elektrochemisch in das neuronale Netzwerk integrieren und über funktionelle Synapsen wie auch direkte Kanäle zu einer synchronisierten Depolarisation und Überaktivierung führen, um die eigene Proliferation zu forcieren. Diese aktivierende Verbindung scheint auch vice versa eine neuronale Überaktivierung zu verursachen, was wiederum die Erregbarkeit der Gliomzellen verstärkt.
Zusätzlich konnte ein komplexes Netzwerk zwischen Neuronen und Tumorzellen untereinander mittels sogenannter „tumor microtubes“ in Glioblastom-Modellen identifiziert werden. Diese ermöglichen eine vermehrte Invasivität von einzelnen Tumorzellen. Gleichzeitig führen sie zu der Entstehung von kalziumabhängigen rhythmischen Oszillationen, die einerseits zu einer Therapieresistenz und andererseits zu vermehrtem Tumorwachstum führen.
All diese Erkenntnisse können als theoretische Grundlage für die Annahme dienen, dass eine ASM durch Hemmung bestimmter Ionenkanäle nicht nur eine Reduktion von epileptischen Anfällen ermöglicht, sondern auch eine antiproliferative Wirkung auf den Tumor selbst haben könnte.

Therapieempfehlungen

Zur Behandlung der BTRE stehen multimodale Therapieoptionen zur Verfügung. Darunter sind die operative Entfernung des Tumors, ASM, aber auch eine Tumortherapie zum Beispiel in Form einer Chemotherapie oder Strahlentherapie zu nennen. Ziele der Therapien sind, eine Verbesserung der Lebensqualität durch Anfallsfreiheit zu erreichen und neurokognitive Fähigkeiten bestmöglich zu erhalten.

Neurochirurgie

Die operative Entfernung des Tumors, insbesondere die Totalresektion, führt nicht nur zu einem besseren Gesamtüberleben, sondern auch zu einer besseren postoperativen Anfallskontrolle. Bei Letzterem ist aber nicht gänzlich geklärt, welche Resektionsweite für eine gute Anfallskontrolle erreicht werden muss. Eindeutig scheint, dass mit einer höheren Resektionsrate eine bessere Anfallskontrolle erzielt werden kann. Hilfreich kann zudem die Verwendung der intraoperativen Elektrokortikographie sein, um eine bestmögliche Resektion der epileptogenen Areale zu ermöglichen.

Anfallssuppressive Medikation

Nach Diagnosestellung einer BTRE besteht die Indikation zur Einleitung einer ASM. Hinsichtlich der Wahl der ASM sind die Art der epileptischen Anfälle, Wirkmechanismus, Komorbiditäten, Titrationsschema, Nebenwirkungsprofil als auch das mögliche Interaktionspotenzial zu berücksichtigen.
Der Einsatz von ASM der ersten Generation soll möglichst vermieden werden
Bei Hirntumorpatient:innen  besteht aufgrund der Grunderkrankung eine höhere Vulnerabilität für Nebenwirkungen wie kognitive Einschränkungen, Depression und Angststörungen. Zusätzlich sind potenzielle Interaktionen mit onkologischen Therapien wie auch mit Steroiden zu beachten. In diesem Kontext besteht ein Konsens, dass ASM der ersten Generation (Phenytoin, Phenobarbital, Carbamazepin), insbesondere aufgrund des starken enzymmodulierenden Effekts möglichst vermieden werden sollen.
Zurzeit ist die Evidenz der effektivsten ASM als Monotherapie mit Levetiracetam und Valproat am stärksten. Trotz der hohen Effektivität von Valproat ist allerdings aufgrund der bekannten Teratogenität und Hämatotoxizität, welche durch die Chemotherapie noch potenziert werden kann, diese nur unter Nutzen-Risiko-Abwägung einzuleiten.
Lacosamid in Monotherapie erreichte eine Anfallsfreiheit von 65 % nach 3 Monaten und 55 % nach 6 Monaten. Eine rezente Studie kam zu dem Ergebnis, dass Lamotrigin und Lacosamid in der Effektivität zur Anfallsreduktion ebenbürtig wären.
In der klinischen Praxis zeigt sich – zumindest im europäischen Raum – Levetiracetam als präferiertes Erstmedikament. Als vorteilhaft erweist sich bei Levetiracetam das geringe Interaktionsprofil sowie die Möglichkeit eines schnellen Titrationsschemas.
Eine prophylaktische anfallssuppressive Medikation ist nicht indiziert
Unter Monotherapie sind bis zu 1/3 der Tumorpatient:innen nicht anfallsfrei, wodurch eine Add-on-Therapie indiziert ist. Hierbei muss insbesondere die unter Polytherapie erhöhte Rate an Nebenwirkungen und wiederum das Interaktionsprofil der angewendeten ASM bedacht werden.
Als Add-on wurde in Studien Valproat, Brivaracetam, Perampanel, Lacosamid und Lamotrigin getestet. Eine eindeutige Empfehlung ist aufgrund von fehlenden direkten Vergleichsstudien allerdings schwierig.
Die Kombination von Levetiracetam mit Lamotrigin oder Lacosamid stellt in der klinischen Praxis eine günstige Option dar.
Perampanel ist eine weitere gute Möglichkeit einer Kombinationstherapie. In allen bisher durchgeführten klinischen Studien wurde Perampanel als Add-on-ASM verabreicht. In Kombinationstherapie zeigte sich eine hohe Effektivität mit einer Responderrate von 86,4 %. Insgesamt bestand eine gute Tolerabilität. Eine Beendigung von Perampanel aufgrund von Nebenwirkungen (Schwindel, Fatigue, Übelkeit, Aggressivität) war in 6,3 % notwendig. Ein 2‑wöchentliches Titrationsschema war mit dem besten Ergebnis hinsichtlich Tolerabilität assoziiert.
Für die Anwendung von ASM in Bezug auf mögliche hemmende Effekte von ASM auf das Tumorwachstum besteht zum heutigen Zeitpunkt keine ausreichende Evidenz.

Dauer der Behandlung mit ASM bei BTRE

In der klinischen Praxis wird man häufig bei bestehender Anfallsfreiheit mit der Frage konfrontiert, ob und wann ein Absetzen der ASM bei BTRE möglich ist. Richtlinien für die Dauer der Behandlung mit ASM bei bekannter BTRE gibt es allerdings nicht. Die Entscheidung muss individuell nach ausführlicher Nutzen-Risiko-Abwägung von möglichen (Langzeit‑)Nebenwirkungen der ASM und dem eingeschätzten Risiko von Rezidivanfällen nach Absetzen der ASM unter Einbeziehung der Patientin/des Patienten mit entsprechender Aufklärung erfolgen.
Faktoren, die in die Einschätzung des Rezidivanfallsrisikos mit einfließen können, sind zum Beispiel das Patientenalter, die Anfallstypen, Anfallsdauer und ob präoperativ schwer kontrollierbare epileptische Anfälle auftraten, die Tumorlokalisation, der Tumorgrad und das Resektionsausmaß.
Tumorspezifische Therapien können zu einer besseren Anfallskontrolle beitragen
So konnte bei Patient:innen mit fokalen Anfällen und gestörtem Bewusstsein in 63 % der Fälle eine höhere Rate an Anfallsfreiheit erreicht werden als bei Patient:innen ohne Bewusstseinsstörung. Fokal eingeleitete bilateral tonisch klonische Anfälle waren mit einem noch besseren Ergebnis von 74 % Anfallsfreiheit verbunden. Weitere positive Einflussfaktoren für ein niedrigeres Rezidivanfallsrisiko sind eine gute präoperative Anfallskontrolle, höheres Alter und eine kurze Epilepsiedauer. Ein höheres Risiko, erneut Anfälle zu erleiden, muss bei bestehenden Resttumoranteilen angenommen werden, vor allem in parietaler, insulärer oder temporomesialer Tumorlage mit kortikaler Beteiligung und bei höhergradigen Gliomen aufgrund deren hohen Rezidivrisikos.
So müssen, insbesondere wenn bereits eine lange Anfallsfreiheit erreicht wurde, erneute epileptische Anfälle als Hinweis für ein Tumorrezidiv gewertet werden und dementsprechend eine weiterführende Abklärung inklusive zerebraler Bildgebung eingeleitet werden.

ASM-Prophylaxe bei Hirntumorpatient:innen

Konsens besteht, Patient:innen mit neu diagnostizierten Hirntumoren, die bisher keinen epileptischen Anfall hatten, nicht mit einer ASM zu therapieren. Es gibt zurzeit auch ungenügend Evidenz, dass die Tumorlokalisation, die Histologie, bildgebende Charakteristika oder eine anstehende Operation als Entscheidungsgrundlage für eine prophylaktische ASM-Gabe herangezogen werden sollen.

Tumortherapie

Bekannt ist, dass eine entsprechende Tumortherapie wie Radiotherapie oder Chemotherapie einen positiven Einfluss auf die Anfallskontrolle hat. Zum Beispiel konnte im EORTC 22845 Trial gezeigt werden, dass die frühe Radiotherapie bei LGG die Anfallskontrolle verbessert.

Fazit für die Praxis

  • Behandlungsoptionen der hirntumorassoziierten Epilepsie beinhalten die operative Entfernung des Tumors, Tumortherapien (zum Beispiel Strahlentherapie, Chemotherapie) und anfallssupprimierende Medikamente.
  • Ziel der Therapien ist es, eine Verbesserung der Lebensqualität durch Anfallsfreiheit und den bestmöglichen Erhalt von neurokognitiven Fähigkeiten zu erreichen.
  • Die Medikamentenwahl richtet sich nach der Art der epileptischen Anfälle, dem Wirkmechanismus, den Komorbiditäten, dem Titrationsschema, dem Nebenwirkungsprofil und dem Interaktionspotenzial.
  • In der klinischen Praxis ist Levetiracetam das präferierte Medikament der ersten Wahl. Alternativ werden Lacosamid und Lamotrigin als Monotherapie eingesetzt.
  • Als Add-on-Medikation zu Levetiracetam im Falle der Notwendigkeit einer Kombinationstherapie sind Lamotrigin, Lacosamid oder Perampanel eine günstige Option.
  • Das Wiederauftreten von epileptischen Anfällen nach langer Anfallsfreiheit muss als Hinweis für ein Tumorrezidivwachstum gewertet werden.

Einhaltung ethischer Richtlinien

Interessenkonflikt

V. Böhm und A. Leibetseder geben an, dass kein Interessenkonflikt besteht.
Für diesen Beitrag wurden von den Autor/-innen keine Studien an Menschen oder Tieren durchgeführt. Für die aufgeführten Studien gelten die jeweils dort angegebenen ethischen Richtlinien.
Open Access Dieser Artikel wird unter der Creative Commons Namensnennung 4.0 International Lizenz veröffentlicht, welche die Nutzung, Vervielfältigung, Bearbeitung, Verbreitung und Wiedergabe in jeglichem Medium und Format erlaubt, sofern Sie den/die ursprünglichen Autor(en) und die Quelle ordnungsgemäß nennen, einen Link zur Creative Commons Lizenz beifügen und angeben, ob Änderungen vorgenommen wurden.
Die in diesem Artikel enthaltenen Bilder und sonstiges Drittmaterial unterliegen ebenfalls der genannten Creative Commons Lizenz, sofern sich aus der Abbildungslegende nichts anderes ergibt. Sofern das betreffende Material nicht unter der genannten Creative Commons Lizenz steht und die betreffende Handlung nicht nach gesetzlichen Vorschriften erlaubt ist, ist für die oben aufgeführten Weiterverwendungen des Materials die Einwilligung des jeweiligen Rechteinhabers einzuholen.
Weitere Details zur Lizenz entnehmen Sie bitte der Lizenzinformation auf http://​creativecommons.​org/​licenses/​by/​4.​0/​deed.​de.

Hinweis des Verlags

Der Verlag bleibt in Hinblick auf geografische Zuordnungen und Gebietsbezeichnungen in veröffentlichten Karten und Institutsadressen neutral.
download
DOWNLOAD
print
DRUCKEN
Titel
Tumorassoziierte Epilepsie bei Gliomen
Verfasst von
Dr. Vincent Böhm, MSc.
Dr. Annette Leibetseder
Publikationsdatum
11.01.2024
Verlag
Springer Vienna
Erschienen in
psychopraxis. neuropraxis / Ausgabe 1/2024
Print ISSN: 2197-9707
Elektronische ISSN: 2197-9715
DOI
https://doi.org/10.1007/s00739-023-00970-5