Zum Inhalt

NEC versus NET G3—is there a grey zone? Case report of pancreatic NET G3 with rapid disease progression

  • Open Access
  • 29.04.2024
  • case report
Erschienen in:
download
DOWNLOAD
print
DRUCKEN
insite
SUCHEN

Summary

Introduction

Patients with well-differentiated neuroendocrine tumors of grade 3 (NET G3) exhibit a significantly better survival than patients with poorly differentiated neuroendocrine carcinomas (NEC). However, some cases of NET G3 with high Ki-67 index present with highly aggressive clinical behavior, prompting the question whether there are selected tumors representing a biological continuum between NET G3 and NEC.

Case presentation

Here we report the case of a 49-year-old man with pancreatic NET G3 metastasized to the liver. Surgery was not indicated, and the patient was initially treated with cisplatin/etoposide on account of the high proliferation rate (Ki-67 index of 50%). Restaging showed immediate disease progression with new liver metastases, so therapy with capecitabine/temozolomide was initiated and continued until progressive disease after 7 cycles. Comprehensive diagnostic evaluation, including functional imaging and genetic analyses, revealed no potential therapeutic targets, and further treatment options were limited. The patient died shortly after a therapeutic attempt with streptozotocin/5-fluorouracil.

Conclusion

This case exemplifies the unfortunate course of a rapidly progressive NET G3 and highlights the limited number of effective therapies for some tumors within the relatively new cohort of NET G3 with a yet unsatisfactory understanding of its underlying tumor biology and behavioral spectrum.

Publisher’s Note

Springer Nature remains neutral with regard to jurisdictional claims in published maps and institutional affiliations.

Introduction

In 2017, the World Health Organization (WHO) Classification of Tumors of Endocrine Organs introduced a new category of neuroendocrine tumors (NET), the so-called NET G3 [1]. These tumors were separated from the former group of high-grade neuroendocrine neoplasms (NEN), in which any NEN with a high proliferation rate (Ki-67 > 20%) irrespective of morphology was subsumed under neuroendocrine carcinoma (NEC) [1]. This new category comprises tumors that are highly proliferating but well-differentiated and that are associated with a significantly longer survival than poorly differentiated NEC [2]. Regarding proliferative activity, there is no generally accepted Ki-67 cut-off between NET G3 and NEC, but most cases with a Ki-67 index > 55% are NEC [3]. Reflecting differences in treatment outcome, specific therapeutic algorithms are applied for NET G3 and NEC [4]. The question arises whether there really exists a clear cut-off for NET and NEC with therapeutic consequence, or if there might be a grey zone in between—as we hypothesized based on the here presented case of a patient with a pancreatic NEN G3.

Case report

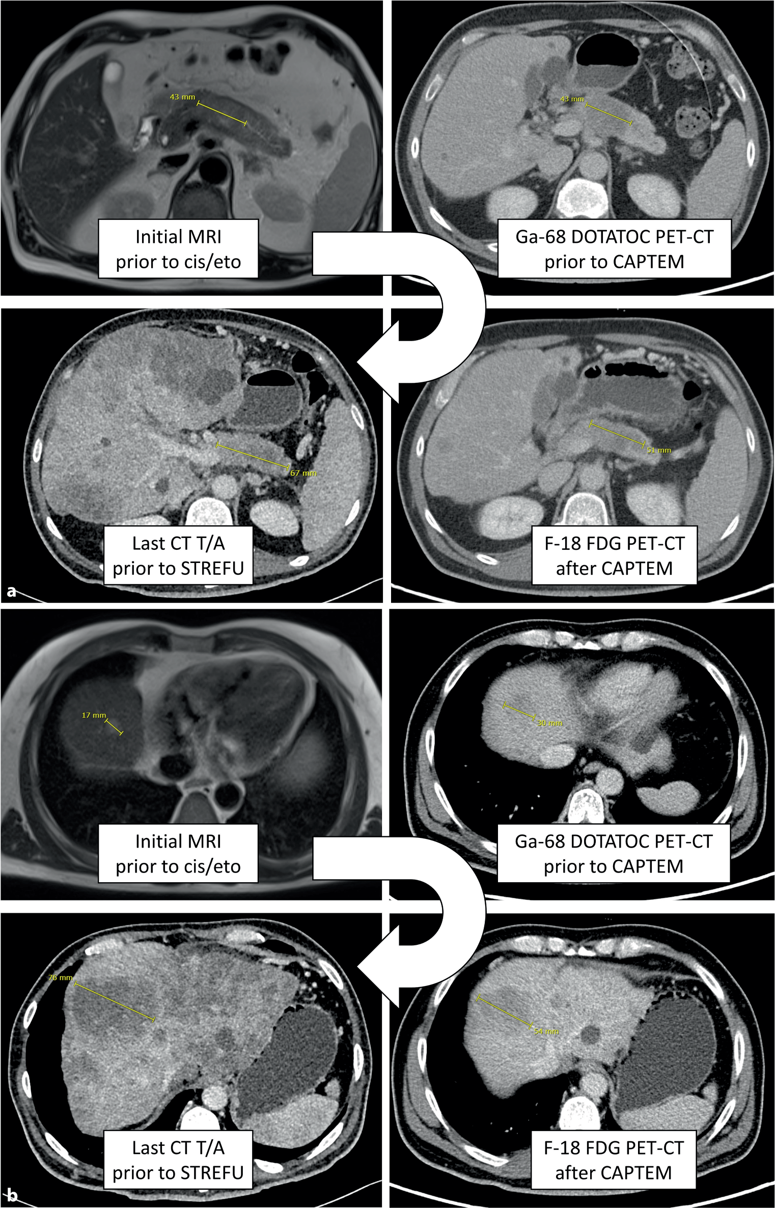
A 49-year-old man was referred to our clinic in mid-2021 for treatment of a pancreatic NEN G3. One month earlier, following recurrent upper abdominal discomfort and an ultrasound-detected lesion in the pancreas, a thoracic/abdominal computed tomography (CT) scan revealed a 3.6 cm mass in the body of the pancreas suspicious for malignancy, and a consecutive magnetic resonance imaging (MRI) visualized multiple hepatic lesions, measuring up to 1 cm in size. Via endoscopic ultrasound-guided fine needle biopsy (EUS-FNB) of the pancreas, a diagnosis of a pancreatic NET of grade 3 (Ki-67 up to 50%) was established. The patient had no significant medical history and was in excellent general condition (Eastern Cooperative Oncology Group [ECOG] performance status 0, no allergies or daily medication). Surgery was not indicated by multidisciplinary tumor board (MDTB) decision and due to the relatively high proliferation rate, the patient was started on cisplatin/etoposide (25 mg/m2 and 100 mg/m2, respectively, d1–3, q21) for 3 cycles (Fig. 1). The restaging CT scan after three cycles confirmed suspected disease progression with new liver lesions and a primary tumor that was minimally progressive in size (Fig. 2). A Ga-68 DOTANOC positron emission tomography (PET)-CT was performed (more likely to be positive in NET G3 than in NEC), but no relevant somatostatin receptor (SSTR)-expressing lesions were detected, with only scattered positivity in the liver. Thus, second-line chemotherapy with capecitabine/temozolomide (CAPTEM, 2500 mg daily in two doses for d1–14 and 250 mg d1–5 every 4 weeks) was recommended by our MDTB. After 3 cycles, a CT scan confirmed disease stabilization. Treatment was continued for 4 more cycles, but the next imaging, which was a F-18 fluorodeoxyglucose (FDG) PET-CT given the prior lack of SSTR expression, revealed progressive disease and FDG positivity.
Fig. 1
Course of disease in a patient with pancreatic neuroendocrine tumor grade 3 (panNET G3). CHT chemotherapy, cis/eto cisplatin/etoposide, CAPTEM capecitabine/temozolomide, STREFU streptozotocin/5-fluorouracil, EUS-FNB endoscopic ultrasound-guided fine needle biopsy, CT computed tomography, MRI magnetic resonance imaging, T/A thoracic/abdominal, PET positron emission tomography, SSTR somatostatin receptor, SD stable disease, PD progressive disease, FDG fluorodeoxyglucose, perit. carc. peritoneal carcinomatosis
Bild vergrößern
Fig. 2
Radiological images of the primary tumor in the pancreas (a) and of the index lesion in liver segment VIII (b) throughout the course of the disease (Fig. 1)
Bild vergrößern
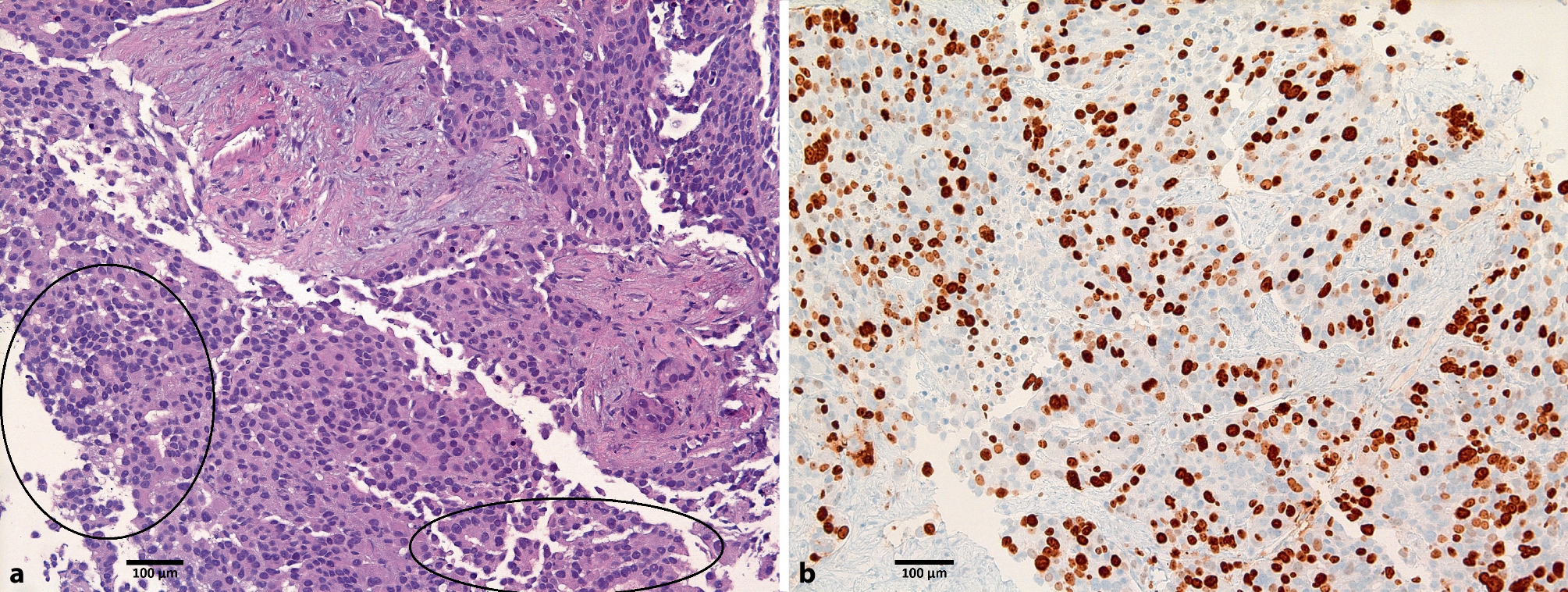
To determine the further therapeutic strategy, another biopsy was obtained from a liver metastasis in segment IV/V, which again confirmed the diagnosis of pancreatic NET G3 (Ki-67 index of 60%, SSTR 2 and 5 only weakly immunoreactive; Fig. 3). To explore further (experimental) treatment options, a molecular precision panel was performed using the TruSight Oncology 500 assay (Illumina®, San Diego, CA, USA). Consistent with the NET histology, no NEC-typical TP53 or RB1 mutations were found. The final report showed a low tumor mutational burden, no microsatellite instability, and no practicably targetable genomic alterations. Finally, PD-L1 status was assessed but also only sporadically positive (tumor proportion score [TPS] < 1%, combined positive score [CPS] < 1), thus disqualifying any experimental treatment approaches. Given the still good performance status of the patient, it was decided to attempt therapy with streptozotocin/5-fluorouracil (500 mg/m2 and 200 mg/m2, d1–5, q42). However, following a vacation and therefore a short break of therapy requested by the patient, the subsequently performed baseline CT exhibited new lung and bone metastases as well as peritoneal carcinomatosis. The first cycle of salvage chemotherapy was administered, but the patient’s condition deteriorated quickly, and he died shortly thereafter with an overall survival of 14.5 months from diagnosis.
Fig. 3
Histological findings of the liver biopsy: a Histopathology demonstrates metastatic neuroendocrine tumor (NET) tissue with easily detectable differentiated areas with acinar growth pattern (circles). Characteristic features of neuroendocrine carcinoma (NEC), including necrosis, apoptotic debris, high-grade atypia of tumor cells, nuclear molding, vesicular nuclei or prominent nucleoli are all missing. Original magnification 200 ×, H/E staining. b High proliferation index. Original magnification 200 ×, immunohistochemistry for Ki-67
Bild vergrößern

Discussion/Conclusion

Here we report a case of a patient with a highly proliferating pancreatic NET G3 who died rapidly after three lines of therapy. Despite comprehensive diagnostic workup over the course of the disease, including functional imaging and molecular tumor analysis, treatment options were limited and sustained response to therapy was lacking. Considering that the median overall survival for NET G3 patients and NEC patients is 33–98.7 months and 8.5–17 months, respectively [3, 5, 6], the limited survival time of roughly 14 months in our patient despite confirmed NET morphology raises the question whether there is an in-between subgroup of patients with an intermediate prognosis who would profit from different treatment modalities.
Overlapping features aside, genetic and epigenetic analyses demonstrate a fundamental difference between NET G3 and NEC and suggest that some pancreatic NEC cases are closely related to conventional ductal adenocarcinoma, as they share TP53 and KRAS alterations as well as positivity for the exocrine lineage markers MUC1 and CEA [7, 8]. Interestingly, there are many studies showing grade heterogeneity and grade progression in well-differentiated NET, e.g., NET G3 in the setting of prior NET G1/2 diagnosis [9]. However, most instances of poorly differentiated NEC are unlikely to be a neoplastic progression of NET, and they appear to arise from squamous or glandular cells [10]. Given these presumed differences in pathogenesis, a true grey zone or biological continuum between these two subentities seems implausible.
The current European Society for Medical Oncology (ESMO) guidelines for gastroenteropancreatic NEN recommend platinum/etoposide as the first-line chemotherapy in NEC, while upfront CAPTEM treatment has become the treatment standard in NET G3 [4]. Depending on the clinical presentation, treatment alternatives for NET G3 include 5‑fluorouracil/streptozotocin, everolimus, sunitinib, and peptide receptor radionuclide therapy (PRRT) [4, 11], but the optimal treatment strategy is currently unclear due to lack of data. As our patient had a tumor with a very high proliferation rate for a NET G3 specimen, he received first-line cisplatin/etoposide, however, without substantial benefit (progression-free survival [PFS] of 1.9 months, Fig. 1). Generally, platinum/etoposide therapy is less active in NET G3 compared to NEC (response rate of 20% versus 35%, median PFS of 2.4–5 months versus 5 months) [3, 5]. The outcome reported for CAPTEM, on the other hand, favors its application in NET G3 (response rate of 34.8% in NET G3 versus 14.3% in NEC and median PFS of 9.3 months versus 3.5 months) [12]. In line with these results, our patient had a progression-free survival of 7.8 months with CAPTEM.
Over the past decade, the distinct features of NET G3 and NEC have become increasingly characterized clinically and pathologically. The treatment paradigm of NET G3 has evolved considerably since the conception of this new disease subgroup, but further and more effective therapies are needed, especially for certain very aggressive NET G3.

Funding

This research did not receive any specific grant from funding agencies in the public, commercial, or not-for-profit sectors.

Declarations

Conflict of interest

P. Melhorn, M. Raderer, P. Mazal, N. Kozakowski and B. Kiesewetter report no relevant conflicts of interest for this paper. M. Raderer received honoraria for lectures or advisory board participation from the following for-profit companies (all outside of the submitted work): Celgene/BMS, Ipsen, Novartis, Roche, Eisai, Eli Lilly. B. Kiesewetter received honoraria for lectures or advisory board participation from the following for-profit companies (all outside of the submitted work): AAA, Boehringer Ingelheim, Ipsen, Novartis, MSD, Eli Lilly, Janssen Cilag.

Ethical standards

Ethics committee approval and patient consent is not required for this study in accordance with local or national guidelines.
Open Access This article is licensed under a Creative Commons Attribution 4.0 International License, which permits use, sharing, adaptation, distribution and reproduction in any medium or format, as long as you give appropriate credit to the original author(s) and the source, provide a link to the Creative Commons licence, and indicate if changes were made. The images or other third party material in this article are included in the article’s Creative Commons licence, unless indicated otherwise in a credit line to the material. If material is not included in the article’s Creative Commons licence and your intended use is not permitted by statutory regulation or exceeds the permitted use, you will need to obtain permission directly from the copyright holder. To view a copy of this licence, visit http://creativecommons.org/licenses/by/4.0/.

Publisher’s Note

Springer Nature remains neutral with regard to jurisdictional claims in published maps and institutional affiliations.
download
DOWNLOAD
print
DRUCKEN
Titel
NEC versus NET G3—is there a grey zone? Case report of pancreatic NET G3 with rapid disease progression
Verfasst von
Philipp Melhorn
Markus Raderer
Peter Mazal
Nicolas Kozakowski
Barbara Kiesewetter
Publikationsdatum
29.04.2024
Verlag
Springer Vienna
Erschienen in
memo - Magazine of European Medical Oncology / Ausgabe 4/2024
Print ISSN: 1865-5041
Elektronische ISSN: 1865-5076
DOI
https://doi.org/10.1007/s12254-024-00976-8
1.
Zurück zum Zitat Klöppel G, Couvelard A, Hruban RH et al. Neoplasms of the neuroendocrine pancreas, Introduction. In WHO Classification of Tumours of Endocrine Organs, 4th edition Edition. Lyon, France: IARC Press 2017.
2.
Zurück zum Zitat Boutin M, Mathews A, Badesha J, et al. Well-Differentiated Grade 3 Neuroendocrine Tumors: Characteristics, Treatments, and Outcomes From a Population-Based Study. Pancreas. 2022;51:756–62.CrossRefPubMedPubMedCentral
3.
Zurück zum Zitat Heetfeld M, Chougnet CN, Olsen IH, et al. Characteristics and treatment of patients with G3 gastroenteropancreatic neuroendocrine neoplasms. Endocr Relat Cancer. 2015;22:657–64.CrossRefPubMed
4.
Zurück zum Zitat Pavel M, Öberg K, Falconi M, et al. Gastroenteropancreatic neuroendocrine neoplasms: ESMO Clinical Practice Guidelines for diagnosis, treatment and follow-up. Ann Oncol. 2020;31:844–60.CrossRefPubMed
5.
Zurück zum Zitat Elvebakken H, Perren A, Scoazec JY, et al. A Consensus-Developed Morphological Re-Evaluation of 196 High-Grade Gastroenteropancreatic Neuroendocrine Neoplasms and Its Clinical Correlations. Neuroendocrinology. 2021;111:883–94.CrossRefPubMed
6.
Zurück zum Zitat Hijioka S, Hosoda W, Matsuo K et al. Rb Loss and KRAS Mutation Are Predictors of the Response to Platinum-Based Chemotherapy in Pancreatic Neuroendocrine Neoplasm with Grade 3: A Japanese Multicenter Pancreatic NEN-G3 Study. Clin Cancer Res 2017; 23: 4625–4632.
7.
Zurück zum Zitat Konukiewitz B, Jesinghaus M, Steiger K, et al. Pancreatic neuroendocrine carcinomas reveal a closer relationship to ductal adenocarcinomas than to neuroendocrine tumors G3. Hum Pathol. 2018;77:70–9.CrossRefPubMed
8.
Zurück zum Zitat Simon T, Riemer P, Jarosch A, et al. DNA methylation reveals distinct cells of origin for pancreatic neuroendocrine carcinomas and pancreatic neuroendocrine tumors. Genome Med. 2022;14:24.CrossRefPubMedPubMedCentral
9.
Zurück zum Zitat Varghese DG, Del Rivero J, Bergsland E. Grade Progression and Intrapatient Tumor Heterogeneity as Potential Contributors to Resistance in Gastroenteropancreatic Neuroendocrine Tumors. Cancers (basel). 2023;15.
10.
Zurück zum Zitat Tang LH, Untch BR, Reidy DL, et al. Well-Differentiated Neuroendocrine Tumors with a Morphologically Apparent High-Grade Component: A Pathway Distinct from Poorly Differentiated Neuroendocrine Carcinomas. Clin Cancer Res. 2016;22:1011–7.CrossRefPubMed
11.
Zurück zum Zitat Donadio MD, Brito ÂB, Riechelmann RP. A systematic review of therapeutic strategies in gastroenteropancreatic grade 3 neuroendocrine tumors. Ther Adv Med Oncol. 2023;15:17588359231156218.CrossRefPubMedPubMedCentral
12.
Zurück zum Zitat Jeong H, Shin J, Jeong JH, et al. Capecitabine plus temozolomide in patients with grade 3 unresectable or metastatic gastroenteropancreatic neuroendocrine neoplasms with Ki-67 index <55%: single-arm phase II study. Esmo Open. 2021;6:100119.CrossRefPubMedPubMedCentral