Zum Inhalt

Maligne Transformation einer Tailgut-Zyste

  • 29.10.2024
  • Aktuelle Bilder
Erschienen in:

Auszug

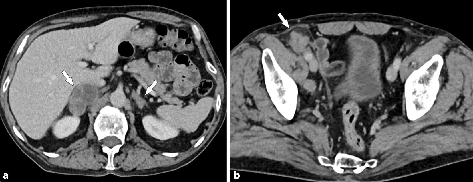
Bei einem 62-jährigen Patienten wurde auswärts in einer Koloskopie bei 15 cm ab ano eine Raumforderung entdeckt, die in einer Biopsie als undifferenziertes Adenokarzinom G3 verifiziert wurde. Die auswärts durchgeführte Multidetektor-Computertomographie (MDCT) des Abdomens konnte zwar den koloskopisch nachgewiesenen Tumor nicht darstellen, zeigte jedoch bilaterale, suspekte Raumforderungen der Nebennieren und pathologisch vergrößerte inguinale und parailiakale Lymphknoten (Abb. 1). Der Patient wurde daraufhin zur weiteren Abklärung und allfälligen Therapie an unsere Institution zugewiesen. Es wurden zur Darstellung des Primärtumors und zum Staging eine Kontrastmittel-verstärkte MRT des Beckens und in weiterer Folge auch der Nebenniere durchgeführt, da die Dignität der bilateralen Nebennierenraumforderung unklar war. Die MRT des Beckens zeigte keinen Tumor im Rektum, sondern eine retrorektal gelegene Raumforderung von zystoider Morphologie mit soliden Anteilen (Abb. 2). Die MRT der Nebennieren zeigte dazu passend bilateral zystisch-nekrotische Tumore, welche morphologisch der retrorektalen Raumforderung ähnlich waren (Abb. 3a). Es wurde daraufhin eine CT-gezielte Biopsie der rechten Nebenniere durchgeführt (Abb. 3b), welche pathohistologisch eine Metastase eines wenig differenzierten soliden, intestinal differenzierten Adenokarzinoms G3 mit fokaler neuroendokriner Differenzierung ergab (Abb. 4).
Abb. 1
Die Kontrastmittel-verstärkte MDCT zeigt a bilaterale, zum Teil zystische Nebennierenraumforderungen (Pfeile) und b suspekt vergrößerte Lymphknoten rechts parailiakal (Pfeil)
Bild vergrößern
Abb. 2
Die MRT des Rektums zeigt retrorektal eine dickwandige zystoide Raumforderung (große Pfeile), wobei die Wand ein erhebliches Kontrastmittel-Enhancement aufweist (kleine Pfeile)
Bild vergrößern
Abb. 3
a Die Kontrastmittel-verstärkte MRT bestätigt den zystisch-nekrotischen Charakter der Nebennierenmetastasen (Pfeil). b Die Histologie wurde durch eine translumbale CT-gezielte Biopsie der rechten Nebenniere (Pfeil) gewonnen
Bild vergrößern
Abb. 4
Histopathologie des biopsierten Nebennierentumors. a Die HE Färbung (100×) zeigt wenig differenzierte maligne Zellen, die desmoplastisches Stroma infiltrieren. b CK AE1/3 Immunohistochemie (100×) für epitheliale Differenzierung. c CDX2 Immunhistochemie (100×) für intestinale Differenzierung. d Die Synaptophysin Immunhistochemie zeigt eine neuroendokrine Differenzierung
Bild vergrößern
Titel
Maligne Transformation einer Tailgut-Zyste
Verfasst von
Prim. Univ.-Prof. Dr. Wolfgang Schima, MSc
Klaus Kaserer
Günter Michael Wimberger
Publikationsdatum
29.10.2024
Verlag
Springer Vienna
Erschienen in
Journal für Gastroenterologische und Hepatologische Erkrankungen / Ausgabe 4/2024
Print ISSN: 1728-6263
Elektronische ISSN: 1728-6271
DOI
https://doi.org/10.1007/s41971-024-00208-0
Dieser Inhalt ist nur sichtbar, wenn du eingeloggt bist und die entsprechende Berechtigung hast.