Zum Inhalt

Hormonersatz und Kinderwunsch nach Knochenmarkstransplantation

  • Open Access
  • 16.04.2024
  • Kasuistik
Erschienen in:
Diese Kasuistik entstand im Rahmen des Mentoring-Programms Campus Gynäkologische Endokrinologie unterstützt von Besins Healthcare Germany GmbH.
QR-Code scannen & Beitrag online lesen

Hinweis des Verlags

Der Verlag bleibt in Hinblick auf geografische Zuordnungen und Gebietsbezeichnungen in veröffentlichten Karten und Institutsadressen neutral.

Der Fall

Eine 17-jährige Patientin mit homozygoter Sichelzellanämie litt an rezidivierenden vasookklusiven Krisen und jährlich mehrfachen Hospitalisationen und Bluttransfusionen. Es bestehen verschiedene konservative Behandlungsmethoden der Sichelzellanämie, welche allesamt bei dieser Patientin keine signifikante Verbesserung der Lebensqualität erbrachten.
Um ihre Sichelzellanämie effektiv zu heilen, führte man eine Knochenmarkstransplantation durch. Dafür war zuerst eine Chemotherapie mit Fludarabin und Busulfan notwendig, danach wurde das Spenderknochenmark eingefügt. Da eine solche Behandlung mit einer signifikanten Reduktion der Fertilität einhergeht, ist eine vorgängige Beratung zum Fertilitätserhalt empfohlen [3].
Vor der Chemotherapie wurde dann laparoskopisch Ovarialgewebe zur Kryokonservierung entnommen, um ihre Fertilität zu erhalten [1, 2].
Obschon die Patientin durch die Behandlung von der Sichelzellanämie geheilt wurde, manifestierte sich eine sekundäre Amenorrhö aufgrund einer iatrogenen prämaturen Ovarialinsuffizienz. Laborchemisch bestätigte sich dies durch ein nicht messbares AMH (Anti-Müller-Hormon), ein tiefes Estradiol und deutlich erhöhtes FSH (Follikel-stimulierendes Hormon) und LH (Luteinisierendes Hormon) (s. Tab. 1). Daraufhin wurde sie der gynäkologisch-endokrinologischen Poliklinik zugewiesen zur Beratung einer Hormonersatztherapie.
Tab. 1
Hormonwerte vor und nach der Retransplantation
Hormon
Vorher
Nachher
FSH
90,8 U/l
6,4 U/l
LH
60,1 U/l
4,3 U/l
Estradiol
< 18 pmol/l
225 pmol/l
AMH
< 0,2 pmol/l
1,7 pmol/l
Bei diesen Patientinnen ist eine kombinierte HRT (Hormone Replacement Therapy) obligat zur Vermeidung zahlreicher Komplikationen des Hormonmangels (Osteoporose, koronare Herzkrankheiten, Demenz etc. [4]). Über die nächsten 10 Jahre nahm die Patientin verschiedene orale und transdermale kombinierte Präparate, darunter Systen Conti, Femoston, Evra und Cyclacur.
Im Alter von 27 Jahren wurde sie, bei nun vorhandenem Kinderwunsch, an eine Kinderwunschklinik überwiesen. Hier wurde das zuvor kryokonservierte Ovarialgewebe laparoskopisch retransplantiert. Dabei wurde das Ovarialgewebe in das noch vorhandene rechte Ovar und in eine neu angelegte peritoneale Tasche in der Fossa ovarica links retransplantiert (s. Abb. 1).
Abb. 1
Die neu angelegte peritoneale Tasche mit Fragmenten des retransplantierten Ovarialgewebes
Bild vergrößern
Nach diesem Eingriff gab es positive Anzeichen: Ein kleiner Anstieg des AMH wurde festgestellt, eine deutliche Reduktion des FSH und LH trat auf und die Menstruation setzte wieder ein.
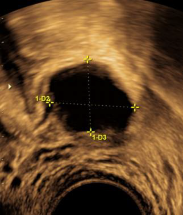
Man begann dann mit einem Zyklusmonitoring. Sonographisch war das Ovarialgewebe in der Peritonealtasche links kaum von einem richtigen Ovar zu unterscheiden (s. Abb. 2).
Abb. 2
Wachsender Leitfollikel im retransplantierten Ovarialgewebe der Fossa ovarica links
Bild vergrößern
Kurz darauf erschien die Patientin zur ersten Schwangerschaftskontrolle mit einer spontanen, intakten Schwangerschaft. Zum Zeitpunkt des Schreibens befindet sich die Patientin im 3. Trimenon der Schwangerschaft.

Fazit für die Praxis

  • Kinderwunsch und Chemotherapie: Bei jungen Patientinnen sollte stets an den Fertilitätserhalt gedacht werden, bevor mit der Chemotherapie begonnen wird. Verschiedene Chemotherapieregime haben unterschiedliche Auswirkungen auf die Ovarialreserve, hierzu wurde das internationale Patientenregister FertiPROTEKT ins Leben gerufen. Es gibt verschiedene Methoden, um die Fertilität zu erhalten, darunter die Kryokonservierung von Eizellen und Ovargewebe.
  • HRT bei jungen Patientinnen: Bei jungen Frauen sollte immer eine kombinierte Hormonersatztherapie gewählt werden. Ob eine kontinuierliche oder sequenzielle Gabe verschrieben wird, sollte nach Besprechung der Vor- und Nachteile mit der Patientin entschieden werden.
  • Risiken bei fehlender HRT: Bei jungen Frauen, die postmenopausal werden, besteht ohne HRT ein erhöhtes Risiko für Osteoporose, koronare Herzkrankheiten, Demenz und andere Erkrankungen. Daher sollte eine angemessene Beratung und Betreuung dieser Patientinnen erfolgen.

Einhaltung ethischer Richtlinien

Interessenkonflikt

A. Singer und P. Stute geben an, dass kein Interessenkonflikt besteht.
Für diesen Beitrag wurden von den Autor/-innen keine Studien an Menschen oder Tieren durchgeführt. Für die aufgeführten Studien gelten die jeweils dort angegebenen ethischen Richtlinien. Für Bildmaterial oder anderweitige Angaben innerhalb des Manuskripts, über die Patient/-innen zu identifizieren sind, liegt von ihnen und/oder ihren gesetzlichen Vertretern/Vertreterinnen eine schriftliche Einwilligung vor.
Open Access Dieser Artikel wird unter der Creative Commons Namensnennung 4.0 International Lizenz veröffentlicht, welche die Nutzung, Vervielfältigung, Bearbeitung, Verbreitung und Wiedergabe in jeglichem Medium und Format erlaubt, sofern Sie den/die ursprünglichen Autor(en) und die Quelle ordnungsgemäß nennen, einen Link zur Creative Commons Lizenz beifügen und angeben, ob Änderungen vorgenommen wurden.
Die in diesem Artikel enthaltenen Bilder und sonstiges Drittmaterial unterliegen ebenfalls der genannten Creative Commons Lizenz, sofern sich aus der Abbildungslegende nichts anderes ergibt. Sofern das betreffende Material nicht unter der genannten Creative Commons Lizenz steht und die betreffende Handlung nicht nach gesetzlichen Vorschriften erlaubt ist, ist für die oben aufgeführten Weiterverwendungen des Materials die Einwilligung des jeweiligen Rechteinhabers einzuholen.
Weitere Details zur Lizenz entnehmen Sie bitte der Lizenzinformation auf http://creativecommons.org/licenses/by/4.0/deed.de.

Hinweis des Verlags

Der Verlag bleibt in Hinblick auf geografische Zuordnungen und Gebietsbezeichnungen in veröffentlichten Karten und Institutsadressen neutral.
Download
Titel
Hormonersatz und Kinderwunsch nach Knochenmarkstransplantation
Verfasst von
Dr. med. Adrian Singer
Prof. Dr. med. Petra Stute
Publikationsdatum
16.04.2024
Verlag
Springer Vienna
Erschienen in
Journal für Gynäkologische Endokrinologie/Schweiz / Ausgabe 4/2024
Print ISSN: 1995-6924
Elektronische ISSN: 2520-8500
DOI
https://doi.org/10.1007/s41975-024-00341-2
1.
Zurück zum Zitat von Wolff M, Germeyer A, Liebenthron J, Korell M, Nawroth F (2018) Practical recommendations for fertility preservation in women by the FertiPROTEKT network. Part II: fertility preservation techniques. Arch Gynecol Obstet 297(1):257–267. https://doi.org/10.1007/s00404-017-4595-2CrossRef
2.
Zurück zum Zitat Dolmans MM, von Wolff M, Poirot C, Diaz-Garcia C, Cacciottola L, Boissel N, Liebenthron J, Pellicer A, Donnez J, Andersen CY (2021) Transplantation of cryopreserved ovarian tissue in a series of 285 women: a review of five leading European centers. Fertil Steril 115(5):1102–1115. https://doi.org/10.1016/j.fertnstert.2021.03.008CrossRefPubMed