Zum Inhalt

Der verwirrende Nebenbefund im gynäkologischen Ultraschall

  • Open Access
  • 01.09.2018
  • Tipps & Tricks im Gyn-Ultraschall
Erschienen in:
Immer wieder kommt es vor, dass man im gynäkologischen Ultraschall plötzlich Strukturen sieht, bei denen man nicht weiß, welchem Organ man sie zuordnen soll, und bei denen den Untersucher in der ersten Sekunde zunächst das Gefühl beschleicht, dass die Strukturen da nichts verloren haben. Am Beispiel von Implantaten, Zysten und Nierendystopien soll die abwechslungsreiche Welt der verwirrenden Nebenbefunde aufgezeigt und erläutert werden.

Reservoire von Kathetern und künstlichen Sphinkteren

Spätestens beim Einbringen der Vaginalsonde in die Scheide sollte bei der Untersuchung ein liegender Blasenkatheter aufgefallen sein, und das von ihm hervorgerufene Bild einer kreisrunden Struktur in dem Bereich vor dem Uterus sollte nicht allzu viel Staunen auslösen (Abb. 1). Wenn etwas Harn in der Blase ist, ist das Bild sofort plausibel (Abb. 2), wenn nur der Katheter in der Blase liegt, kann dies zunächst verwirren, wenn man nicht daran denkt.
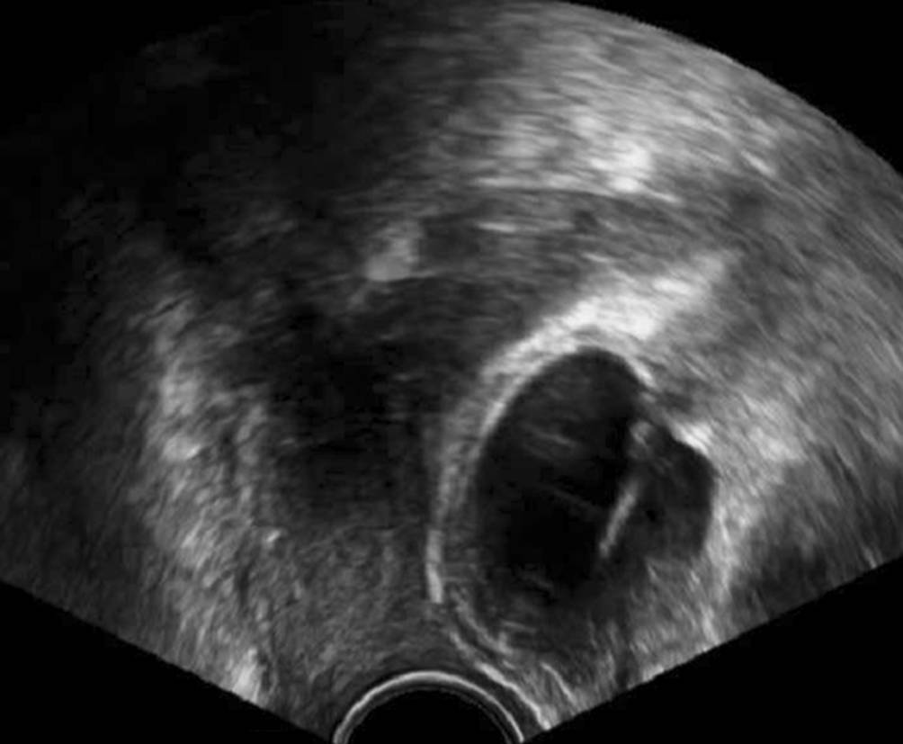
Abb. 1
Kreisrunde, homogen echodens demarkierte, echoarme Struktur mit zentralem echodensem Streifen anterior des Uterus gelegen … was ist das?
Bild vergrößern
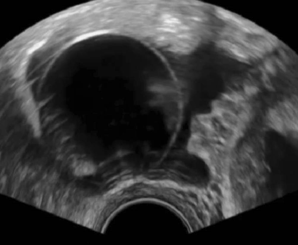
Abb. 2
Sobald die Blase nur etwas gefüllt ist, löst sich das Rätsel von Abb. 1 und es zeigt sich der Ballon eines liegenden Blasenverweilkatheters
Bild vergrößern
Artifizielle Sphinktere für Harn- oder Stuhlinkontinenz brauchen Depots, wobei ein mit physiologischer Kochsalzlösung gefülltes Ballonreservoir auch intraabdominal in unmittelbarer Nähe der Ovarien platziert werden kann (Abb. 3). Betroffene Patientinnen wissen darüber immer Bescheid, wenn man in den Unterlagen nichts findet, sollte man sie danach fragen. Vor allem sollte ein voreiliges Anpunktieren dieser Ballonreservoire – sei es aus diagnostischen Gründen, sei es, weil man es für einen Follikel hält – unterbleiben. Rücksprache mit Vertretern des Fachs, die üblicherweise solche Implantate legen, kann sehr aufschlussreich sein und Schaden für die Patientin verhindern.
Abb. 3
Das Reservoir eines Scott-Sphinkters (American Medical Systems, Minnetonka, MI, USA) kann unmittelbar neben den Ovarien liegen und sollte im Zuge reproduktionsmedizinischer Maßnahmen möglichst nicht anpunktiert werden
Bild vergrößern

Beckenniere

Beckennieren sind bei Frauen wesentlich häufiger als bei Männern und häufiger auf der linken als auf der rechten Seite. Meist sind sie den Patientinnen bekannt, sie können aber durchaus auch bei einem Vaginalultraschall erstmals auffallen. Da die Rotation der Nieren im Zuge der embryonalen Entwicklung einer Nierendystopie auch gestört ist, liegt das Nierenbecken ventral des Nierenparenchyms und nicht medial. Die Beckenniere sieht also nicht aus wie eine „typische“ Niere im Ultraschall und kann auf den ersten Blick auch für einen soliden Ovarialtumor gehalten werden (Abb. 4). Steht die Diagnose fest, sollte die Gelegenheit genutzt werden, gleich mit 3‑D-Ultraschall nach Uterusfehlbildungen zu fahnden, da diese bei Nierendystopien gehäuft auftreten [1].
Abb. 4
Hier liegt die Beckenniere zwischen Zervix (unten) und Harnblase (rechts im Bild)
Bild vergrößern
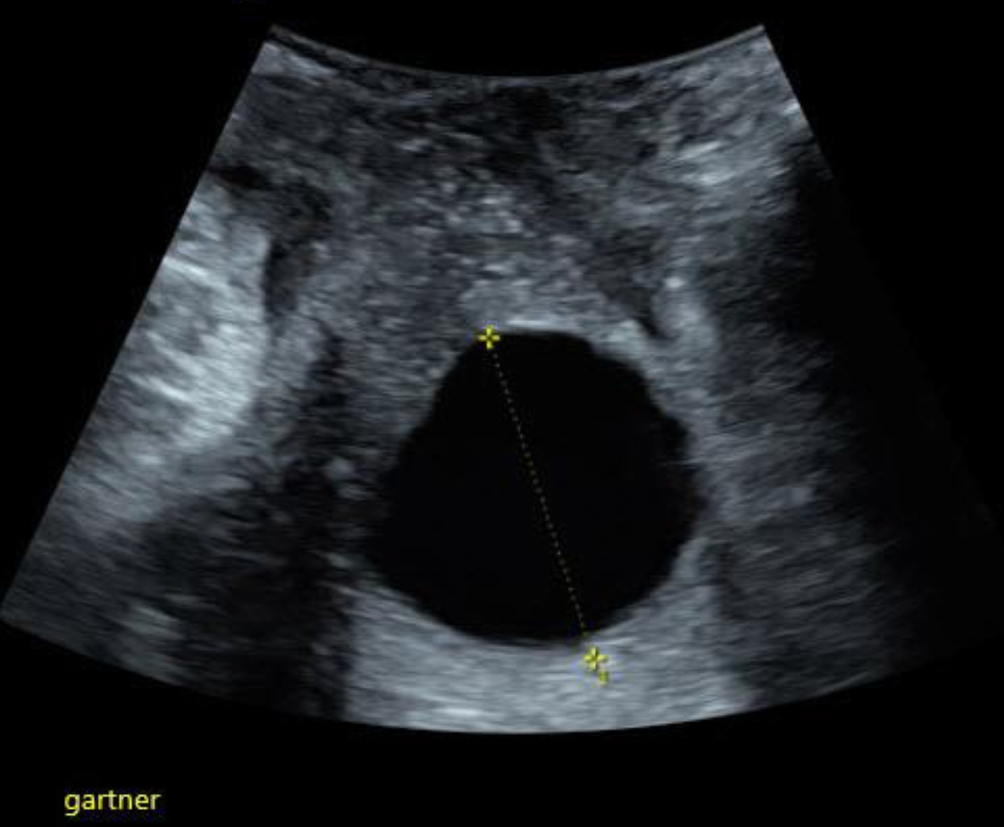
Abb. 5
Mit dem Abdominalschallkopf von perineal geschallte, seit 4 Jahren konstante Gartner-Gang-Zyste im Bereich des Fornix vaginae
Bild vergrößern
Abb. 6
Über Jahre konstante Gartner-Gang-Zyste, die trotz der unmittelbaren Nähe zur Blase der Patientin nie Beschwerden machte
Bild vergrößern

Die Gartner-Gang-Zyste

Im indifferenten Stadium haben alle Embryonen 2 Geschlechtsgänge: die Müllerschen Gänge (für Entwicklung zur Frau) und die Wolffschen Gänge (für Entwicklung zum Mann). Aus den Müllerschen Gängen entstehen die Tube, das Corpus und die Cervix uteri sowie der obere Anteil der Vagina. Die Wolffschen Gänge obliterieren, weil der stimulierende Faktor aus den Hoden fehlt. Selten bleiben Residuen der Wolffschen Gänge zurück, die sich als Gartner-Gang-Zysten in der Vaginalwand präsentieren können, oder – noch seltener – als Zysten im Mesovar oder dem Ligamentum latum [2]. Die Morgagni-Hydatiden, die man häufig im Bereich des Fimbrientrichters sieht, sind dagegen der anatomisch oberste Rest des Müllerschen Gangs.
Der Anatom und Begründer der Histologie Marcello Malpighi (1628–1694) hat in seinem umfangreichen Werk auch einmal eine Zyste in der Vaginalwand beschrieben. Der dänische Arzt Hermann Treschow Gartner (1785–1827) war aber der erste, der diese Zysten bei der Frau von den Resten des Mesonephrons (Wolffscher Gang) herleiten konnte. Bis heute heißen sie auf Französisch und Italienisch „canal de Malpighi-Gartner“, in allen anderen Sprachen „Gartner’s duct“ oder, wie im Deutschen, Gartner-Gang-Zysten [3].
Gartner-Gang-Zysten sind im Prinzip harmlos, das Innere der Zysten ist meist dünnflüssig, kann aber auch gallertartige Konsistenz haben [4]. Selten – und dann eher im jugendlichen Alter – können sie sehr groß werden [5]. Es gibt einzelne Fallberichte von malignen Prozessen im Vaginalbereich, die aus Gartner-Gang-Zysten entstanden sein sollen [6, 7]. Beobachten mittels Bildgebung ist bei symptomlosen Patientinnen einer Punktion oder Exzision auf jeden Fall vorzuziehen (Abb. 5 und 6).

NuvaRing

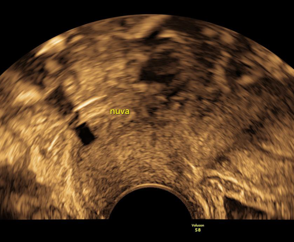
Zum Abschluss sollte noch der NuvaRing erwähnt werden, der ein charakteristisches sonographisches Erscheinungsbild aufweist – im normalen Schnittbild hat er eine nahezu rechteckige Form, hinter der ein Schatten liegt, wie man ihn von Hormonspiralen kennt (Abb. 7). Es gibt Fallberichte von Anwenderinnen, die den NuvaRing versehentlich in der Harnblase platzierten, dieser kann mit entsprechend gefüllter Blase im Ultraschall gesehen und zystoskopisch entfernt werden [8].
Abb. 7
Ein NuvaRing imponiert als rechteckiger, echoarmer Block unmittelbar hinter der Zervix
Bild vergrößern
Ultraschall wird in allen klinischen Fächern immer mehr zu einer Point-of-care-Technik, wobei in jedem Untersuchungsraum ein Ultraschallgerät steht und keine Untersuchung ohne Ultraschallbefund vollständig ist. Dies bringt mit sich, dass viel diagnostisches Wissen autodidaktisch erworben werden muss, was nur bei besonderer Aufmerksamkeit auf Haupt- und Nebenbefunde gelingen kann. Die Wahl der richtigen „presets“, Dokumentation und Archivierung gehören ebenso dazu wie das nie ablassende Interesse daran, ob sich die eigene Diagnose als richtig herausgestellt hat.

Einhaltung ethischer Richtlinien

Interessenkonflikt

C. Brezinka gibt an, dass kein Interessenkonflikt besteht.
Dieser Beitrag beinhaltet keine vom Autor durchgeführten Studien an Menschen oder Tieren.
Open Access. Dieser Artikel wird unter der Creative Commons Namensnennung 4.0 International Lizenz (http://creativecommons.org/licenses/by/4.0/deed.de) veröffentlicht, welche die Nutzung, Vervielfältigung, Bearbeitung, Verbreitung und Wiedergabe in jeglichem Medium und Format erlaubt, sofern Sie den/die ursprünglichen Autor(en) und die Quelle ordnungsgemäß nennen, einen Link zur Creative Commons Lizenz beifügen und angeben, ob Änderungen vorgenommen wurden.
download
DOWNLOAD
print
DRUCKEN
Titel
Der verwirrende Nebenbefund im gynäkologischen Ultraschall
Verfasst von
Ao. Univ.-Prof. Dr. Christoph Brezinka
Publikationsdatum
01.09.2018
Verlag
Springer Vienna
Erschienen in
Gynäkologie in der Praxis / Ausgabe 3/2018
Print ISSN: 3005-0758
Elektronische ISSN: 3005-0766
DOI
https://doi.org/10.1007/s41974-018-0060-x
1.
Zurück zum Zitat Kapczuk K, Friebe Z, Iwaniec K, Kedzia W (2018) Obstructive Mullerian anomalies in menstruating adolescent girls: a report of 22 cases. J Pediatr Adolesc Gynecol 31:252–257CrossRefPubMed
2.
Zurück zum Zitat Molina ER, Navas Martinez MC, Castillo OA (2014) Vaginal Gartner cysts: clinical report of four cases and a bibliographic review. Arch Esp Urol 67:181–184
3.
Zurück zum Zitat Burdan F, Dworzanski W, Cendrowska-Pinkosz M, Burdan M, Dworzanska A (2016) Anatomical eponyms—unloved names in medical terminology. Folia Morphol (Warsz) 75:413–438CrossRef
4.
Zurück zum Zitat Inocencio G, Azevedo S, Braga A, Carinhas MJ (2013) Large Gartner cyst. BMJ Case Rep. https://doi.org/10.1136/bcr-2012-007996 CrossRefPubMedPubMedCentral
5.
Zurück zum Zitat Vlahovic A, Stankovic ZB, Djuricic S, Savic D (2014) Giant Gartner duct cyst and elevated CA-125. J Pediatr Adolesc Gynecol 27:e137–e138CrossRefPubMed
6.
Zurück zum Zitat Bats AS, Metzger U, Le Frere-Belda MA, Brisa M, Lecuru F (2009) Malignant transformation of Gartner cyst. Int J Gynecol Cancer 19:1655–1657CrossRefPubMed
7.
Zurück zum Zitat Dzikonski M, Raber G, Kohly A (1979) Gartner Gang – Karzinom der Scheide in der Schwangerschaft. Zentralbl Gynäkol 101:1595–1599PubMed
8.
Zurück zum Zitat Baker KS, Barish M (2014) Inadvertent intravesicular placement of a vaginal contraceptive ring: a case report and review of literature. J Radiol Case Rep 8:22–28PubMedPubMedCentral