Zum Inhalt

PUL – die schwierige Diagnostik in der Frühschwangerschaft

  • Open Access
  • 10.07.2023
  • Originalien
Erschienen in:

Zusammenfassung

Eine „pregnancy of unknown location“ (PUL) bezeichnet eine unklar gelegene Schwangerschaft mit laborchemischem Nachweis von hCG ohne sonographischen Schwangerschaftsnachweis. Ab einem hCG-Wert von 1000 IU/l sollte sonographisch eine intrauterine Fruchthöhle erkennbar sein. Bei einer ektopen Schwangerschaft sind meistens nur indirekte Ultraschallzeichen wie das „bagel sign“, das „blob sign“ oder freie Flüssigkeit darstellbar. Da sich kein Verlauf des hCG-Werts festlegen lässt, bei dem eine ektope Schwangerschaft sicher ausgeschlossen werden kann, müssen serielle hCG-Werte immer im Kontext mit den klinischen und sonographischen Befunden beurteilt werden. Die therapeutischen Optionen sind ein exspektatives Vorgehen, die medikamentöse Intervention oder eine operative Therapie.
QR-Code scannen & Beitrag online lesen

Hinweis des Verlags

Der Verlag bleibt in Hinblick auf geografische Zuordnungen und Gebietsbezeichnungen in veröffentlichten Karten und Institutsadressen neutral.

Terminologie

Eine „pregnancy of unknown location“ (PUL) bezeichnet eine unklar gelegene Schwangerschaft. Es handelt sich dabei um den laborchemischen Nachweis von humanem Choriongonadotropin (hCG) im Urin oder im Serum ohne sonographisches Korrelat. Durch laborchemische und sonographische Verlaufskontrollen kann im weiteren Verlauf die Diagnose einer normal gelegenen Schwangerschaft, einer ektopen Schwangerschaft oder einer persistierenden PUL gestellt werden [1].
Laut der „ESHRE guideline“ zur Terminologie für ektope Schwangerschaften kann eine Schwangerschaft als normal gelegen, ektop oder unklar gelegen bezeichnet werden [2]. Die normal gelegene Schwangerschaft kann wiederum in die frühe Schwangerschaft, die vitale Schwangerschaft und den Abort unterteilt werden [2]. Die frühe normal gelegene Schwangerschaft bezeichnet eine intrauterin gelegene Schwangerschaft ohne Nachweis einer Embryonalstruktur mit noch entsprechendem Entwicklungspotenzial. Bei der normal gelegenen Schwangerschaft mit sonographischem Nachweis eines Embryos mit positiver Herzaktion spricht man von einer vitalen normal gelegenen Schwangerschaft. Handelt es sich hingegen um eine normal gelegene Schwangerschaft mit abnormaler Entwicklung, die zu einem Embryonal- oder Fetalverlust vor der 22. SSW führt, spricht man von einem Abort [2]. Ein Schwangerschaftsverlust nach Nachweis von hCG im Serum oder Urin wird als biochemische Schwangerschaft bezeichnet [3].
Eine ektope Schwangerschaft kann uterin oder extrauterin gelegen sein. Uterine ektope Schwangerschaften befinden sich nicht im Cavum uteri, sondern zervikal, intramural oder in einer Sectionarbe. Extrauterine ektope Schwangerschaften hingegen können sich in der Tube (siehe Abb. 1), im Ovar oder der Bauchhöhle befinden. Die Tubargravidität kann ampullär, isthmisch oder interstitiell gelegen sein. Rund 90 % aller extrauterinen ektopen Schwangerschaften sind in der Tube gelegen, hiervon wiederum der größte Anteil ampullär [4]. Ein zeitgleiches Auftreten einer ektopen und normal gelegenen Schwangerschaft wird als heterotope Gravidität bezeichnet.
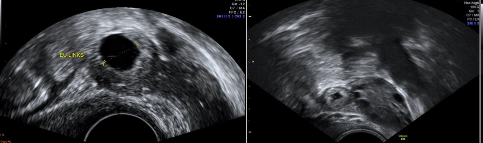
Abb. 1
Transvaginal-sonographische Darstellungen von ektopen Graviditäten mit „bagel sign“
Bild vergrößern
Abb. 2
Single-dose-Schema der MTX-Verabreichung. hCG humanes Choriongonadotropin, MTX Methotrexat
Bild vergrößern

Diagnostik

Sonographie

Sonographisch wird die Chorionhöhle bei normal gelegenen Graviditäten in der rechnerisch 5. Schwangerschaftswoche und bei hCG-Werten ab ca. 1000 IU/l mittels transvaginalem Ultraschall detektierbar [5]. Ab einer Größe der Chorionhöhle von ca. 8 mm wird der Dottersack sonographisch darstellbar. Eine Embryonalstruktur mit messbarer Scheitel-Steiß-Länge (SSL) wird ab einer Chorionhöhle von 5 bis 12 mm darstellbar. Die positive Herzaktion sollte ab 5–6 mm SSL des Embryos und einer Chorionhöhle von ungefähr 20 mm nachweisbar sein [6].
Der sonographische Nachweis einer ektopen Chorionhöhle mit Dottersack und Embryonalstruktur gelingt selten, häufiger lassen sich inhomogene Raumforderungen im Adnexbereich („blob sign“) oder ein Gestationssack innerhalb dieser Raumforderungen („bagel sign“, siehe Abb. 1) darstellen. Zusätzlich kann eine Flüssigkeitsansammlung im Cavum uteri im Sinne eines Pseudogestationssacks auffallen.

Labordiagnostik: hCG, Progesteron

Vor der sonographischen Nachweisbarkeit wird unter anderem der Verlauf des hCG-Werts zur Unterscheidung einer PUL, frühen normal gelegenen oder ektopen Schwangerschaft herangezogen. Es wurden bisher unterschiedlichste Grenzwerte für den hCG-Anstieg zum Nachweis einer intakten normal gelegenen Schwangerschaft postuliert: von einer Verdoppelung der hCG-Werte innerhalb von 48 h über einen Anstieg um 66 % oder 53 % bis hin zu einem Anstieg um nur 35 % innerhalb von 2 Tagen [711]. Barnhart et al. konnten zeigen, dass selbst bei einem Anstieg des hCG um nur 35 % in 48 h eine normal gelegene intakte Schwangerschaft vorliegen kann. Allerdings stieg in dieser Studie bei weniger als 1 % der Frauen mit normal gelegener intakter Schwangerschaft das hCG um weniger als 53 % in 48 h [8]. Aber auch bei Frauen mit einem scheinbar normalen Anstieg des hCG-Werts kann eine ektope Gravidität vorliegen. In etwa der Hälfte der Fälle steigt das hCG bei einer ektopen Schwangerschaft, wobei der Verlauf in bis zu 21 % der Fälle dem einer normal gelegenen intakten Schwangerschaft ähnelt [12].
Basale bzw. absolute hCG-Werte weisen eine große Schwankungsbreite auf, da sie von verschiedenen Faktoren beeinflusst werden. Frauen mit höherem Body-Mass-Index (BMI) weisen zum Beispiel niedrigere hCG-Werte auf. Auch die Anzahl der Fruchthöhlen ist ausschlaggebend: Mehrlingsschwangerschaften zeigen höhere hCG-Werte. Der hCG-Anstieg ist jedoch von diesen Faktoren unbeeinflusst [13].
Handelt es sich um eine Schwangerschaft nach In-vitro-Fertilisation (IVF) bzw. intrazytoplasmatischer Spermieninjektion (ICSI), ist ein hCG-Verlauf wie bei Schwangerschaften nach Spontankonzeption zu erwarten, mit einer ähnlich großen Variabilität. Bei Vorliegen eines ovariellen Hyperstimulationssyndroms können die dynamischen Flüssigkeitsverschiebungen zu niedrigen absoluten Werten oder einem scheinbar verlangsamten Anstieg führen, dies ist bei Interpretation von Verlaufswerten zu beachten [14]. Grundsätzlich sollte eher ein niedriger Grenzwert für den hCG-Anstieg verwendet werden, um den Abbruch einer frühen normal gelegenen Schwangerschaft zu vermeiden. Gleichzeitig ist das Risiko für eine ektope Gravidität nach IVF/ICSI leicht erhöht. Bei ungewöhnlich hohen hCG-Werten muss auch an die Möglichkeit einer heterotopen Schwangerschaft gedacht werden. Die Inzidenz nach Spontankonzeption für heterotope Schwangerschaften liegt bei 1 auf 30.000 Schwangerschaften (0,000033 %), während sie nach IVF/ICSI 150 auf 100.000 Schwangerschaften (0,0015 %) beträgt [15].
Dementsprechend müssen bei einer PUL – unabhängig davon, wie der hCG-Wert initial verläuft – serielle klinische, laborchemische und sonographische Kontrollen folgen, bis eine definitive Diagnose möglich ist [3].
Bei einer PUL mit fallenden hCG-Werten bzw. Plateau der hCG-Werte kann eine frühe normal gelegene Schwangerschaft nahezu ausgeschlossen werden. In dieser Situation ist es klinisch relevant, zwischen Schwangerschaften, die eine Intervention benötigen, und solchen, bei denen ein abwartendes Prozedere möglich ist, zu unterscheiden. Die Gruppe um Barnhart untersuchte die Geschwindigkeit, mit der die hCG-Werte bei Frauen mit PUL fielen, die schlussendlich einen Abort erlitten. Es zeigte sich ein hCG-Abfall gemäß einer quadratischen Funktion mit einem schnelleren Abfall bei höheren Ausgangswerten [8, 9]. So ist zum Beispiel bei einem initialen hCG von 50 IU/l ein Abfall von 12 % nach 2 Tagen und ein Abfall von 26 % nach 4 Tagen zu erwarten, und bei einem initialen hCG von 500 IU/l ein Abfall von 24 % nach 2 Tagen und ein Abfall von 50 % nach 4 Tagen zu erwarten. Fällt das hCG mindestens mit dieser minimalen Geschwindigkeit, so kann abwartend vorgegangen werden, da die Chance auf einen Spontanabort als hoch einzuschätzen ist. Dabei darf aber nicht vergessen werden, dass auch hinter einem vermeintlich angemessenen hCG-Abfall eine ektope Schwangerschaft stecken kann. In einer Studie zeigte sich bei 8 % der untersuchten Frauen (n = 200) mit ektoper Gravidität ein hCG-Abfall, wie man ihn bei einem Spontanabort erwarten würde [12]. Daher sind engmaschige Verlaufskontrollen indiziert, bis das hCG unter der Nachweisgrenze liegt. Bei Vorliegen einer PUL und abwartendem Prozedere ist es zudem essenziell, die Patientin ausführlich über die Situation sowie Symptome einer ektopen Schwangerschaft und die sofortige Vorstellung an einer Klinik bei Auftreten entsprechender Symptome aufzuklären. Zudem sind auch Fallberichte von rupturierten ektopen Schwangerschaften trotz kontinuierlich fallender hCG-Werte zu finden [16, 17].
Auch die Verwendung von Diagnosealgorithmen wie dem M4-Modell (basierend auf basalem hCG-Wert und Verlaufskontrolle nach 48 h; [18]) oder dem M6-Modell (wie M4 mit zusätzlicher Analyse der Progesteronwerte; [19, 20]) kann als Hilfskriterium herangezogen werden [1]. Trotzdem ist die Messung von Progesteron bei Vorliegen einer PUL weder von den NICE- noch von den ASRM-Leitlinien empfohlen [21, 22].

Risikofaktoren

Als Risikofaktoren für PUL, ektope und heterotope Schwangerschaften gelten vorausgegangene ektope Graviditäten, Schädigungen der Tuben, zum Beispiel durch Infektionsgeschehen oder operative Maßnahmen an den Tuben, Infertilität und im Speziellen auch assistierte reproduktionsmedizinische Maßnahmen [22, 23]. Nach IVF/ICSI und Embryotransfer liegt das Risiko für eine ektope Schwangerschaft bei bis zu 5,4 %. Rezente Studien konnten eine niedrigere Rate an ektopen Schwangerschaften bei Kryoembryotransfer im Gegensatz zu frischen Embryotransfers 2–5 Tage nach Eizellentnahme feststellen [24, 25].

Therapie

Exspektatives Vorgehen

Die Voraussetzungen für ein abwartendes Vorgehen bei PUL oder ektoper Schwangerschaft sind eine asymptomatische Patientin mit guter Compliance, hCG < 1000 IU/l, sonographisch kein Nachweis einer ektopen Schwangerschaft und keine freie Flüssigkeit sowie fallende hCG-Werte in den Kontrollen (um mind. 15 % in 2 Tagen).
Das Vorgehen setzt eine engmaschige klinische und sonographische Überwachung voraus. Die hCG-Werte müssen zunächst alle 48 h, dann wöchentlich bis zu einem hCG-Wert unterhalb der Nachweisgrenze kontrolliert werden.
Das exspektative Vorgehen wird vor allem bei PUL favorisiert. Studien zu diesem Vorgehen finden sich wenige. In einer Studie konnte kein signifikanter Unterschied zwischen exspektativem Vorgehen und einmaliger MTX-Gabe hinsichtlich des Abfallens der hCG-Werte gefunden werden [26]. Sobald sich der Verdacht auf eine ektop gelegene Schwangerschaft ergibt, muss das Management entsprechend angepasst werden.

Medikamentöse Therapie

Die medikamentöse Therapie mit Methotrexat (MTX) kann nach strenger Indikationsstellung und bei guter Compliance der Patientin erfolgen. Als Folsäureantagonist wirkt MTX vor allem im schnell proliferierenden Gewebe und somit auch im Trophoblasten [22]. Am häufigsten wird hierzu das Single-dose- oder das Multi-dose-Protokoll angewendet [27]. Bei der klassischen Tubargravidität wird das Single-dose-Schema aufgrund der geringeren Nebenwirkungen oft bevorzugt. Zu den häufigsten Nebenwirkungen gehören Nausea, Emesis, Stomatitis, Diarrhö und erhöhte Leberwerte. Schwerwiegende Nebenwirkungen wie Nephro- und Hepatotoxizität, Pneumonitis, Dermatitis und Pleuritis treten abhängig von Dosis und Therapiedauer auf [27].
Das konkrete klinische Vorgehen im Single-dose-Schema mit 50 mg/m2 MTX intramuskulär wird in Abb. 2 dargestellt. Wird eine PUL oder ektope Schwangerschaft mit Methotrexat therapiert, sind anschließend wöchentliche hCG-Kontrollen bis zur Negativierung nötig.

Operative Therapie

Eine operative Therapie ist indiziert, wenn Kontraindikationen gegen MTX (wie Leber- oder Niereninsuffizienzen, Magenulkus etc.) vorliegen, bei drohender oder erfolgter Ruptur einer ektopen Gravidität und im Falle einer klinischen Verschlechterung unter MTX-Therapie bzw. Versagen der MTX-Therapie. Goldstandard in der operativen Behandlung der häufigsten Form der ektop gelegenen Schwangerschaft – der Tubargravidität – ist die Laparoskopie [19], siehe Abb. 3. Studien konnten hinsichtlich der Rate an normal gelegenen Schwangerschaften in den zwei folgenden Jahren keinen signifikanten Unterschied zwischen Salpingektomie und Salpingotomie zeigen [15, 27]. Eine Salpingektomie ist indiziert bei unstillbarer Blutung, durch die Tubargravidität unwiderruflich zerstörter Tube, Anamnese für Tubargravidität oder Wunsch nach Sterilisation. Zudem sollten nach Salpingotomie die Serum-hCG-Werte bis unter die Nachweisgrenze kontrolliert werden, um eine Trophoblastpersistenz auszuschließen.
Abb. 3
Laparoskopische Darstellung einer ektopen, tubaren Gravidität rechts
Bild vergrößern

Fazit für die Praxis

Bei einem positiven hCG-Nachweis ohne sonographisches Korrelat spricht man von einer „pregnancy of unknown location“ (PUL). Durch sonographische und laborchemische Verlaufskontrollen muss in weiterer Folge eine frühe normal gelegene von einer ektopen Gravidität, einem Abort oder einer weiterhin persistierenden PUL differenziert werden. Das therapeutische Vorgehen (exspektativ versus medikamentös versus operativ) richtet sich nach den jeweiligen Befunden und muss sorgfältig abgewogen werden.

Einhaltung ethischer Richtlinien

Interessenkonflikt

K. Feil gibt an, dass kein Interessenkonflikt besteht.
Für diesen Beitrag wurden von der Autorin keine Studien an Menschen oder Tieren durchgeführt. Für die aufgeführten Studien gelten die jeweils dort angegebenen ethischen Richtlinien.
Open Access Dieser Artikel wird unter der Creative Commons Namensnennung 4.0 International Lizenz veröffentlicht, welche die Nutzung, Vervielfältigung, Bearbeitung, Verbreitung und Wiedergabe in jeglichem Medium und Format erlaubt, sofern Sie den/die ursprünglichen Autor(en) und die Quelle ordnungsgemäß nennen, einen Link zur Creative Commons Lizenz beifügen und angeben, ob Änderungen vorgenommen wurden.
Die in diesem Artikel enthaltenen Bilder und sonstiges Drittmaterial unterliegen ebenfalls der genannten Creative Commons Lizenz, sofern sich aus der Abbildungslegende nichts anderes ergibt. Sofern das betreffende Material nicht unter der genannten Creative Commons Lizenz steht und die betreffende Handlung nicht nach gesetzlichen Vorschriften erlaubt ist, ist für die oben aufgeführten Weiterverwendungen des Materials die Einwilligung des jeweiligen Rechteinhabers einzuholen.
Weitere Details zur Lizenz entnehmen Sie bitte der Lizenzinformation auf http://creativecommons.org/licenses/by/4.0/deed.de.

Hinweis des Verlags

Der Verlag bleibt in Hinblick auf geografische Zuordnungen und Gebietsbezeichnungen in veröffentlichten Karten und Institutsadressen neutral.
download
DOWNLOAD
print
DRUCKEN
Titel
PUL – die schwierige Diagnostik in der Frühschwangerschaft
Verfasst von
OÄ Dr. Katharina Feil
Publikationsdatum
10.07.2023
Verlag
Springer Vienna
Erschienen in
Gynäkologie in der Praxis / Ausgabe 3/2023
Print ISSN: 3005-0758
Elektronische ISSN: 3005-0766
DOI
https://doi.org/10.1007/s41974-023-00275-w
1.
Zurück zum Zitat Po L et al (2021) Guideline no. 414: management of pregnancy of unknown location and tubal and Nontubal ectopic pregnancies. J Obstet Gynaecol Can 43(5):614–630.e1CrossRefPubMed
2.
Zurück zum Zitat Kirk E et al (2020) Terminology for describing normally sited and ectopic pregnancies on ultrasound: ESHRE recommendations for good practice. Hum Reprod Open 2020(4):hoaa55CrossRefPubMedPubMedCentral
3.
Zurück zum Zitat Zippl AL et al (2023) Gestörte Frühgravidität. Gynäkol Endokrinol 21(1):43–52CrossRef
4.
Zurück zum Zitat Committee on Practice Bulletins—Gynecology (2019) ACOG practice bulletin no. 193: tubal ectopic pregnancy: correction. Obstet Gynecol 133(5):1059CrossRef
5.
Zurück zum Zitat Goldstein SR et al (1988) Very early pregnancy detection with endovaginal ultrasound. Obstet Gynecol 72(2):200–204PubMed
6.
Zurück zum Zitat Doubilet PM et al (2013) Diagnostic criteria for nonviable pregnancy early in the first trimester. N Engl J Med 369(15):1443–1451CrossRefPubMed
7.
Zurück zum Zitat Kadar N, Romero R (1988) Further observations on serial human chorionic gonadotropin patterns in ectopic pregnancies and spontaneous abortions. Fertil Steril 50(2):367–370CrossRefPubMed
8.
Zurück zum Zitat Barnhart K et al (2004) Decline of serum human chorionic gonadotropin and spontaneous complete abortion: defining the normal curve. Obstet Gynecol 104(5 Pt 1):975–981CrossRefPubMed
9.
Zurück zum Zitat Chung K et al (2006) Defining the curve when initial levels of human chorionic gonadotropin in patients with spontaneous abortions are low. Fertil Steril 85(2):508–510CrossRefPubMed
10.
Zurück zum Zitat Morse CB et al (2012) Performance of human chorionic gonadotropin curves in women at risk for ectopic pregnancy: exceptions to the rules. Fertil Steril 97(1):101–106.e2CrossRefPubMedPubMedCentral
11.
Zurück zum Zitat Seeber BE et al (2006) Application of redefined human chorionic gonadotropin curves for the diagnosis of women at risk for ectopic pregnancy. Fertil Steril 86(2):454–459CrossRefPubMed
12.
Zurück zum Zitat Silva C et al (2006) Human chorionic gonadotropin profile for women with ectopic pregnancy. Obstet Gynecol 107(3):605–610CrossRefPubMed
13.
Zurück zum Zitat Chung K et al (2006) Defining the rise of serum HCG in viable pregnancies achieved through use of IVF. Hum Reprod 21(3):823–828CrossRefPubMed
14.
Zurück zum Zitat Seeber BE (2012) What serial hCG can tell you, and cannot tell you, about an early pregnancy. Fertil Steril 98(5):1074–1077CrossRefPubMed
15.
Zurück zum Zitat Clayton HB et al (2007) A comparison of heterotopic and intrauterine-only pregnancy outcomes after assisted reproductive technologies in the United States from 1999 to 2002. Fertil Steril 87(2):303–309CrossRefPubMed
16.
Zurück zum Zitat Montgomery Irvine L, Padwick ML (2000) Case report: serial serum HCG measurements in a patient with an ectopic pregnancy: a case for caution. Hum Reprod 15(7):1646–1647CrossRefPubMed
17.
Zurück zum Zitat Fu J et al (2007) Rupture of ectopic pregnancy with minimally detectable beta-human chorionic gonadotropin levels: a report of 2 cases. J Reprod Med 52(6):541–542PubMed
18.
Zurück zum Zitat Condous G et al (2007) Prediction of ectopic pregnancy in women with a pregnancy of unknown location. Ultrasound Obstet Gynecol 29(6):680–687CrossRefPubMed
19.
Zurück zum Zitat Christodoulou E et al (2021) External validation of models to predict the outcome of pregnancies of unknown location: a multicentre cohort study. BJOG 128(3):552–562CrossRefPubMed
20.
Zurück zum Zitat Van Calster B et al (2016) Managing pregnancy of unknown location based on initial serum progesterone and serial serum hCG levels: development and validation of a two-step triage protocol. Ultrasound Obstet Gynecol 48(5):642–649CrossRefPubMed
21.
Zurück zum Zitat National Institute for Health and Care Excellence (2021) Guidelines. In: Ectopic pregnancy and miscarriage: diagnosis and initial management. National Institute for Health and Care Excellence (NICE), London
22.
Zurück zum Zitat Practice Committee of American Society for Reproductive Medicine (2013) Medical treatment of ectopic pregnancy: a committee opinion. Fertil Steril 100(3):638–644CrossRef
23.
Zurück zum Zitat Maleki A et al (2021) The rising incidence of heterotopic pregnancy: Current perspectives and associations with in-vitro fertilization. Eur J Obstet Gynecol Reprod Biol 266:138–144CrossRefPubMed
24.
Zurück zum Zitat Roque M et al (2019) Fresh versus elective frozen embryo transfer in IVF/ICSI cycles: a systematic review and meta-analysis of reproductive outcomes. Hum Reprod Update 25(1):2–14CrossRefPubMed
25.
Zurück zum Zitat Muller V et al (2016) Ectopic pregnancy following in vitro fertilization: meta-analysis and single-center experience during 6 years. Gynecol Endocrinol 32(sup2):69–74CrossRefPubMed
26.
Zurück zum Zitat van Mello NM et al (2013) Methotrexate or expectant management in women with an ectopic pregnancy or pregnancy of unknown location and low serum hCG concentrations? A randomized comparison. Hum Reprod 28(1):60–67CrossRefPubMed
27.
Zurück zum Zitat Bachman EA, Barnhart K (2012) Medical management of ectopic pregnancy: a comparison of regimens. Clin Obstet Gynecol 55(2):440–447CrossRefPubMedPubMedCentral