Zum Inhalt

Mesenterialvenenthrombose mit Melaena

  • 05.10.2022
  • Venen
  • Aktuelle Bilder
Erschienen in:

Auszug

Ein 67 Jahre alter Patient mit bekannter Leberzirrhose (Child-Pugh Score A, MELD 11) wurde aufgrund seit zirka 10 Tagen bestehenden diffusen Bauchschmerzen stationär aufgenommen. Bekannt waren auch dank einer rezenten Gastroskopie das Vorliegen von Ösophagusvarizen und inzipienten Fundusvarizen. Der Patient wurde zur weiteren Abklärung zu einer kontrastmittelverstärkten Multidetektor-CT (MDCT) zugewiesen, welche eine ausgeprägte Thrombose sowohl der intra- und extrahepatischen Pfortader, der V. mesenterica superior und der V. lienalis zeigte (Abb. 1). Überdies zeigte sich aufgrund der ausgedehnten Thrombose eine Splenomegalie und auch Aszites. Aufgrund fehlender Zeichen einer Darmischämie wurde von einer chirurgischen Intervention abgesehen, es wurde stattdessen eine therapeutische Antikoagulation mit niedermolekularem Heparin und in weiterer Folge Apixaban eingeleitet. Die Abklärung hinsichtlich einer zu Grunde liegenden Gerinnungsstörung brachte kein Ergebnis, es fand sich auch keine Neoplasie. Im weiteren Verlauf kam es zum Auftreten von Melaena. In der daraufhin durchgeführten Gastroskopie fand sich kein Hinweis auf eine Blutung. Die MDCT-Verlaufskontrolle zeigte eine ausgeprägte Verdickung der proximalen Jejunumschlingen, mit Zeichen petechialer Einblutungen (Abb. 2). Die Kontrastmittel-MDCT zeigte auch eine Abgangsstenose des Truncus ceoliacus mit poststenotischer fusiformer Ektasie bei Vorliegen eines Ligamentum arcuatum. Allerdings zeigten sich keine Kollateralen zwischen Tr. coel. und A. mes. sup., was eine hämodynamisch signifikante Stenose weitgehend ausschloss. Zum Ausschluss einer paraneoplastischen Mesenterialvenenthrombose wurde nach dem Kontrastmittel-MDCT, der Gastro-Duodenoskopie und der Colonoskopie noch eine MR-Enterographie zwei Wochen später durchgeführt, welche keinen Hinweis auf einen Tumor im Dünndarm ergab, jedoch die Rückbildung des Dünndarmödems zeigte (Abb. 3). Aufgrund der bekannten und nur partiell rekanalisierten Thrombose von Pfortader, V. mes. sup. und V. lienalis zeigte sich auch eine progrediente Splenomegalie. Eine diagnostische Aszitespunktion erbrachte keine weiteren Erkenntnisse. Unter adäquater Schmerztherapie und Anpassung der internistischen Therapie konnte eine deutliche Besserung des Allgemeinzustandes erreicht werden. Die weiterführende laborchemische Abklärung der incipienten Leberzirrhose war unauffällig, sodass eine Leberbiopsie im Rahmen eines Folgeaufenthaltes geplant wurde.
Abb. 1
a Die Kontrastmittel-verstärkte MDCT zeigt eine Thrombose der intrahepatischen (Pfeil) und (b) der extrahepatischen Pfortader (Pfeil). Es finden sich auch Kontrastmittel-gefüllte Kollateralvenen ventral der Pfortader (Pfeilspitzen). c Die 3D-Rekonstruktion (Curved Planar Reconstruction) entlang der Mesenterialgefäße zeigt die ausgedehnte Thrombose der Pfortader (großer Pfeil), der V. mes. sup. und der V. lienalis (kleine Pfeile). Es findet sich auch reichlich Aszites
Bild vergrößern
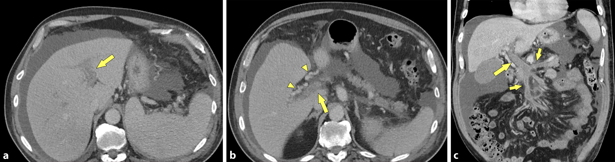
Abb. 2
Die CT-Verlaufskontrolle (nach 6 Tagen) in arterieller (a) und portal-venöser (b) Phase zeigt eine ausgeprägte ödematöse Verdickung der proximalen Jejunumschlingen (offene Pfeile). Man erkennt eine deutliche Hyperdensität der Mukosa im Sinne ausgeprägter petechialer Einblutungen, ursächlich für die Melaena
Bild vergrößern
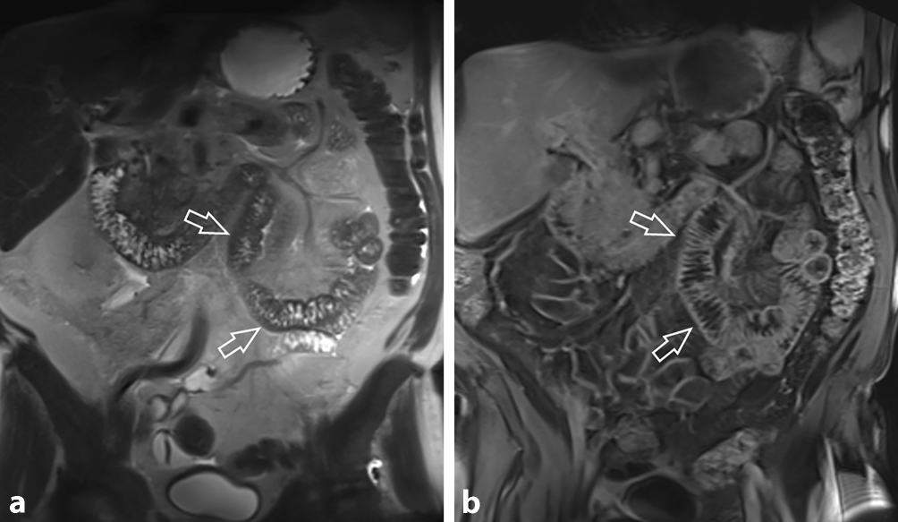
Abb. 3
Die MR-Enterographie nach weiteren 2 Wochen (a T2-gew. Sequenz; b Kontrastmittelserie) zeigt eine Rückbildung des Darmwandödems (offene Pfeile) und des Aszites
Bild vergrößern
Titel
Mesenterialvenenthrombose mit Melaena
Verfasst von
Prim. Univ.-Prof. Dr. Wolfgang Schima, MSc
Adelheid Hemetsberger
Publikationsdatum
05.10.2022
Verlag
Springer Vienna
Schlagwörter
Venen
Venenthrombosen
Erschienen in
Journal für Gastroenterologische und Hepatologische Erkrankungen / Ausgabe 3/2022
Print ISSN: 1728-6263
Elektronische ISSN: 1728-6271
DOI
https://doi.org/10.1007/s41971-022-00133-0
Dieser Inhalt ist nur sichtbar, wenn du eingeloggt bist und die entsprechende Berechtigung hast.
Dieser Inhalt ist nur sichtbar, wenn du eingeloggt bist und die entsprechende Berechtigung hast.
Bildnachweise
Thromboembolie/© Sebastian Kaulitzki / stock.ad