Zum Inhalt

Ungewöhnlicher fett-hältiger Tumor der Leber: Hepatic Adrenal Rest Tumor

  • 29.08.2025
  • Aktuelle Bilder
Erschienen in:

Auszug

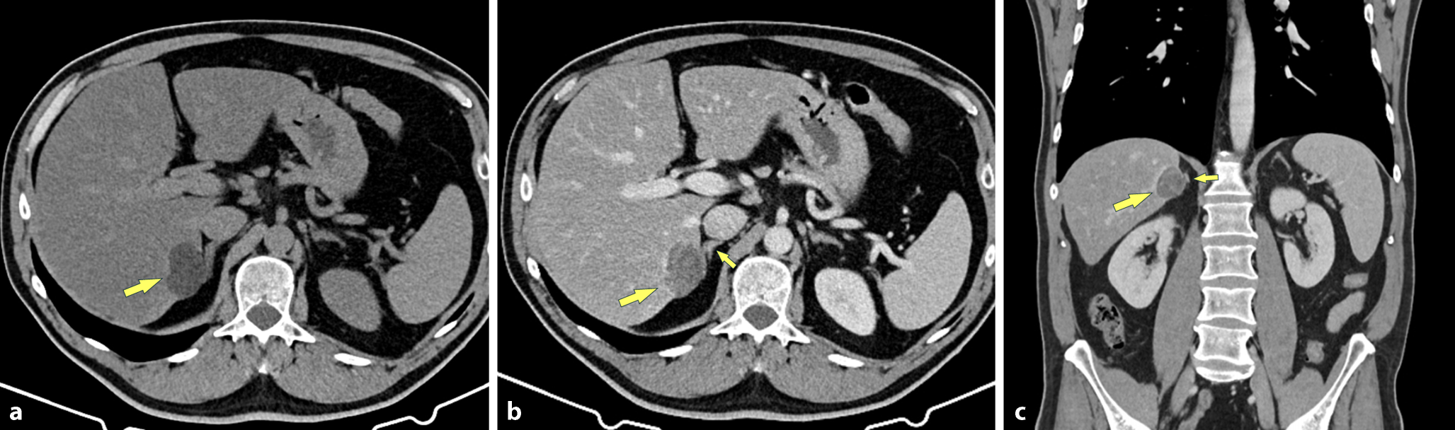
Bei einem 50-jährigen Patienten wurde auswärts in einer Sonographie eine unklare Raumforderung im rechten Leberlappen festgestellt. Der Patient wies keine Vorerkrankungen auf, keine chronische Lebererkrankung, die Leberfunktionsparameter waren im Normbereich. Es wurde daraufhin eine Kontrastmittel-verstärkte Multidetektor-CT (MDCT) durchgeführt, welche eine ausgeprägte diffuse Steatose der Leber zeigte, mit einer 3,9 cm großen subkapsulären Raumforderung im rechten Leberlappen (S 6/7). Diese Läsion war eindeutig Fett-hältig (Dichte nativ, −8 HU) und zeigte nach Kontrastmittel (KM) ein geringes Enhancement (Abb. 1). Zur weiteren Abklärung wurde der Patient an unsere Abteilung verwiesen, wo eine Magnetresonanztomographie (MRT) mit extrazellulärem Gadolinium-hältigem KM durchgeführt wurde. Auch in der MRT zeigte sich eine ausgeprägte Verfettung des Tumors und eine Kontrastmittelaufnahme (Abb. 2). Abgesehen von der diffusen Steatose der Leber fand sich kein Hinweis auf eine Lebererkrankung.
Abb. 1
Die MDCT zeigt a In der Nativserie eine 3,9 cm große, Fett-hältige Raumforderung im Lebersegment 7 subkapsulär (Pfeil) und eine diffuse Dichteminderung der Leber als Ausdruck einer Steatose. Die KM-verstärkte MDCT b axial und c oronal zeigt eine Kontrastmittelaufnahme des Tumors (Pfeil) und auch die Nahebeziehung zur rechten Nebenniere (kleiner Pfeil). Der Ursprungsort der Raumforderung ist aber eindeutig in der Leber
Bild vergrößern
Abb. 2
Die Fett-sensitive Sequenz (Opposed-Phase) in der MRT zeigt einen ausgeprägten Signalabfall des Tumors (Pfeil) als Ausdruck einer massiven Verfettung. b Nach Kontrastmittel erkennt man die Vaskularisierung der Raumforderung und die unmittelbare Nahebeziehung zur rechten Nebenniere (kleiner Pfeil). Das Leberparenchym zeigt keine Zirrhose-Zeichen
Bild vergrößern
Titel
Ungewöhnlicher fett-hältiger Tumor der Leber: Hepatic Adrenal Rest Tumor
Verfasst von
Prim. Univ.-Prof. Dr. Wolfgang Schima, MSc
Leopold Öhler
Georg Oberhuber
Publikationsdatum
29.08.2025
Verlag
Springer Vienna
Erschienen in
Journal für Gastroenterologische und Hepatologische Erkrankungen / Ausgabe 3/2025
Print ISSN: 1728-6263
Elektronische ISSN: 1728-6271
DOI
https://doi.org/10.1007/s41971-025-00237-3
Dieser Inhalt ist nur sichtbar, wenn du eingeloggt bist und die entsprechende Berechtigung hast.