Zum Inhalt

Tyrosinkinaseinhibitoren bei Patienten mit radiojodrefraktärem differenziertem Schilddrüsenkarzinom

Gibt es einen optimalen Zeitpunkt für deren Einsatz?

  • Open Access
  • 03.02.2023
  • Originalien
Erschienen in:

Zusammenfassung

Mehr als 90 % aller differenzierten Schilddrüsenkarzinome lassen sich mit einem multimodalen Therapiekonzept kurativ behandeln, sodass die Prognose hinsichtlich Rezidivfreiheit und Langzeitüberleben ausgezeichnet ist. Das Behandlungskonzept für Patienten mit radiojodrefraktären (und meist FDG-PET/CT-positiven) Rezidiven und/oder Metastasen ist im interdisziplinären Tumorboard festzulegen. Der fehlende szintigraphische Nachweis einer Radiojodaufnahme in einzelne oder alle lokoregionäre Tumormanifestationen oder Fernmetastasen begründet noch nicht die Initiierung einer systemischen Behandlung bei metastasierten Schilddrüsenkarzinomen. Erst der Nachweis eines klinischen Progresses (Größenzunahme der Metastasen, Befall weiterer Kompartments oder Organe) von radiojodrefraktären Tumormanifestationen und die Symptomatik des Patienten bilden eine Grundlage für die Einleitung einer Therapie mit Tyrosinkinaseinhibitoren (TKI). Weitere zu berücksichtigende Faktoren sind die Lokalisation der Metastasen, der Tumormetabolismus in der FDG-PET/CT, das biologisches Patientenalter, Komorbiditäten und die Einsatzmöglichkeit lokal wirksamer Therapieverfahren. Bei klinisch relevanter Progredienz des radiojodrefraktären Schilddrüsenkarzinoms sollte eine Erstlinientherapie mit TKI angeboten werden. Insbesondere Lenvatinib und Cabozantinib weisen eine hohe Wirksamkeit in Bezug auf die Tumorkontrolle bei häufigem, obgleich gut steuerbarem Toxizitätsprofil auf. Die frühzeitige molekulargenetische Tumorprofilierung kann den Einsatz selektiver Inhibitoren von BRAF, MEK, RET oder TRK in dieser Patientengruppe begründen.

Hinweis des Verlags

Der Verlag bleibt in Hinblick auf geografische Zuordnungen und Gebietsbezeichnungen in veröffentlichten Karten und Institutsadressen neutral.

Einleitung

Das Schilddrüsenkarzinom ist das häufigste Malignom des endokrinen Systems. Im Jahr 2020 lag der Anteil der Schilddrüsenkarzinome an Krebserkrankungen weltweit bei 3,0 %. Insgesamt wurden im Jahr 2019 in Österreich 834 Patienten mit Schilddrüsenkarzinom („thyroid cancer“, TC) diagnostiziert, wobei die 5‑Jahres-Überlebensrate bei 95,3 % lag [1].
Bei den Tumoren der Schilddrüse unterscheidet die aktuelle WHO-Klassifikation differenzierte Karzinome, zu denen das von den Follikelzellen ausgehende papilläre („papillary thyroid cancer“, PTC) und das follikuläre („follicular thyroid cancer“, FTC) Schilddrüsenkarzinom zählen, vom gering differenzierten Karzinom (PDTC) und vom undifferenzierten, anaplastischen Karzinom (ATC). Dagegen entspringt das medulläre Karzinom („medullary thyroid cancer“, MTC) den C‑Zellen.
Der Anteil der differenzierten papillären und follikulären Karzinome beträgt mehr als 90 %.
Die überwiegende Mehrzahl der differenzierten Schilddrüsenkarzinome wird mit einem multimodalen Therapiekonzept interdisziplinär behandelt. Das multimodale Behandlungskonzept des zytologisch gesicherten Schilddrüsenkarzinoms umfasst für alle Karzinome mit einer Tumorgröße von > 1 cm (somit ab pT1b) unabhängig vom histologischen Typ in Österreich wie auch Deutschland (S3-Leitlinie) folgende Schritte:
1.
die totale Thyreoidektomie sowie eine diagnostische Lymphadenektomie im Primäreingriff; ist die diagnostische Lymphadenektomie in der zentralen jugularen Gruppe positiv, wird auf der befallenen Seite eine funktionelle Halsdissektion angeschlossen; positive supraklavikulare Lymphknoten sind ein Hinweis auf eine Metastasierung in das obere Mediastinum und zwingen zur transzervikalen oder transsternalen Mediastinaldissektion;
 
2.
die Radiojodablation von residualem Schilddrüsen(tumor)gewebe und
 
3.
eine Schilddrüsenhormonsubstitutionstherapie in zumindest häufiger, zeitlich auf 5 Jahre begrenzter, TSH-suppressiver L‑Thyroxin-Dosierung.
 
Dieses Vorgehen findet auch bei multifokalen Tumoren mit einer Tumorgröße < 1 cm (=pT1a[m]) Anwendung.
Es ist anzumerken, jedoch nicht Gegenstand dieser Übersicht, dass die Indikationsstellung zur Radiojodtherapie international in Abhängigkeit von der Einstufung und Auswahl des Risikoklassifikationssystems beträchtlich variiert. Dies begründet sich auch mit den Ergebnissen multizentrischer Studien in England und Frankreich, die eine Reduktion der verabreichten Standardaktivität zur Radiojodablation bei Karzinomen mit niedrigem Risiko nahelegen. Das Vorliegen einer überarbeiteten S3-Richtlinie ist für Ende 2022 zu erwarten.
Es ist bedeutsam festzuhalten, dass das multimodale Therapiekonzept mit einer ausgezeichneten Prognose für Patienten mit differenziertem Schilddrüsenkarzinom aller Stadien verbunden ist, sodass die 5‑Jahres-Überlebensrate bei > 95 % liegt.

Wirksamkeit der Radiojodtherapie bei Metastasierung

Die diagnostisch-therapeutische (theranostische) Grundlage der Radiojodtherapie beruht auf der Funktionalität des Natrium-Jodid-Symporters (NIS). Die Erkenntnisse zu seiner Funktion haben beim differenzierten Schilddrüsenkarzinomen vor mehr als 50 Jahren eine klinisch nun jahrzehntelang etablierte Behandlungsstrategie eröffnet. Die diagnostischen und therapeutischen Jodnuklide weisen eine übereinstimmende Aufnahme und Kinetik auf, sodass der NIS die wichtigste Zielstruktur bei dieser Erkrankung darstellt.
Der hohe Stellenwert der Radiojodtherapie in der Behandlung von Patienten mit lokoregionärer Tumorerkrankung oder Fernmetastasen ist klinisch gut dokumentiert. Die adjuvante Radiojodtherapie senkte sowohl bei jungen (< 45 Jahre) als auch älteren (> 65 Jahre) Patienten mit mittlerem Risiko die Sterblichkeit um 29 % [2]. Bei Patienten mit lokoregionärem Rezidiv oder Fernmetastasen führt die Radiojodtherapie beim papillären Schilddrüsenkarzinom im Stadium IV zu einer Senkung der 5‑ und 10-Jahres-Sterblichkeit um 48 % und 55 %, bei follikulärem Schilddrüsenkarzinom um 34 % und 29 % [3].
Bei Erwachsenen treten selten lokoregionäre Rezidive auf, die primär chirurgisch behandelt werden. Mit einer Inzidenz von etwa 10 % kommt es meist innerhalb von 10 Jahren zum Auftreten von mediastinalen oder supraklavikulären Lymphknoten- oder Fernmetastasen, mehrheitlich in Lunge (papilläre und follikuläre Karzinome) oder Knochen (häufiger bei follikulären Karzinomen), während zerebrale, hepatale oder andere Organmetastasen selten sind. Mit dem Auftreten von Fernmetastasen steigt die 5‑Jahres-Sterblichkeit auf 65 % und 75 % [4].
Bei Kindern und Jugendlichen ist die Rate an Lymphknoten- (40–50 %) oder Fernmetastasen (20–30 %) sowie der Multifokalität (bis zu 40 %) hoch. Trotzdem bleibt deren Prognose auch beim Vorliegen von Metastasen sehr gut, was wesentlich auf die tumorbiologischen Eigenschaften mit einer zumindest partiell erhaltenen Funktion des NIS zurückzuführen ist.
Die Behandlungsstrategien für diese fortgeschrittenen Tumorstadien beinhalten somit den (wiederholten) Einsatz der Radiojodtherapie, solange die Tumorzellen die Fähigkeit zur Radiojodaufnahme zeigen und kein weiterer Progress vorliegt.
Zahlreiche papilläre oder follikuläre Schilddrüsenkarzinome mit Fernmetastasen zeigen in einzelnen oder allen Tumorläsionen einen geringeren Differenzierungsgrad, der mit einem klinisch relevanten Verlust der Radiojodaufnahme einhergeht. Radiojodrefraktäre Schilddrüsenkarzinome entziehen sich der Theranostik über den NIS und somit dieser wichtigen therapeutischen und diagnostischen Option aufgrund von sehr geringer/fehlender NIS-Expression bei zunehmender Entdifferenzierung. Neben der verminderten Jodidaufnahme in die Zellen ist die Organifizierung des Jods gestört. Die Grundlage hierfür liegt in der genetischen Veränderung des MAPK-Signalwegs, die zu einer Herunterregulierung der Thyreoglobulin(Tg)- und NIS-Synthese führt [5]. Die Aktivierung des MAPK-Signalwegs korreliert mit dem Grad der Entdifferenzierung [6].
Die Verringerung oder der Verlust der Radiojodaufnahme, die zu einer verminderten Expression des NIS führt, ist mit einer Abnahme der klinischen Wirkung der Radiojodtherapie verbunden. Standardmäßig wird dies mit einem fehlenden bildgebenden (strukturellen) oder biochemischen Ansprechen definiert. Für das biochemische Ansprechen ist beim differenzierten Schilddrüsenkarzinom in der überwiegenden Zahl der Fälle der fehlende Abfall des Tumormarkers Tg als Kriterium maßgeblich. Thyreoglobulin kann nicht als Tumormarker herangezogen werden, wenn hohe Spiegel des Anti-Tg-Antikörpers (TAK) vorliegen, sodass in der klinischen Routine immer eine zeitnahe Bestimmung von Tg und TAK erfolgt. Der Anstieg des Tumormarkers Tg stellt einen laborchemischen Hinweis auf eine Krankheitsprogression dar. Dessen Verdoppelungszeit hat sich als unabhängiger Prädiktor von Überleben, Fernmetastasen und Lokalrezidiv erwiesen [7]. Weder absolute Höhe noch der Verlauf des Tumormarkers Tg bilden eine Grundlage für die Einleitung einer Systemtherapie.
Im Vergleich zu radiojodpositiven Schilddrüsenkarzinomen weisen radiojodnegative Karzinome eine wesentlich schlechtere Prognose auf [4]. Allerdings bestehen auch in dieser Subgruppe große Unterschiede im biologischen Verhalten der Tumoren, die im Stadium der Fernmetastasierung ohne therapeutische Maßnahme einerseits jahrelange stabile Verläufe oder andererseits aber auch eine rasche klinische Progredienz innerhalb von Monaten aufweisen können.
Ist die Karzinomerkrankung klinisch trotz Einsatz der Radiojodtherapie progredient, hat sich die Bezeichnung der radiojodrefraktären Schilddrüsenkarzinome etabliert. Für diese Subgruppe von Patienten stand bis vor knapp 10 Jahren keine evidenzgesichert wirksame Therapie zur Verfügung. Mit dem Einsatz von Tyrosinkinaseinhibitoren (TKI) und deren Wirksamkeitsnachweis in kontrollierten Studien der Phase III wurde das Behandlungsspektrum wesentlich erweitert.
Der Zeitpunkt des Einsatzes von TKI beim metastasierenden radiojodrefraktären Schilddrüsenkarzinom ist wegen der klinischen Beschwerdefreiheit vieler Patienten auch im Stadium der metastasierten Erkrankung über Monate bis Jahre besonders sorgfältig zu diskutieren, wie die Vielzahl von Empfehlungen und Konsensuspublikationen zu diesem Thema verdeutlicht.
Dies liegt auch an der variablen Definition des radiojodrefraktären Patienten, die sich an völlig unterschiedlichen biologischen, klinischen und bildgebenden Variablen (Tab. 1) orientieren kann.
Tab. 1
Übersicht zu den Kriterien für die Definition des radiojodrefraktären, differenzierten Schilddrüsenkarzinoms
Fehlende RJ-Aufnahme in gesicherten Fernmetastasen im posttherapeutischen 131Jod-Szintigramm
Fehlende RJ-Aufnahme in einem gesicherten lokoregionären Rezidiv im posttherapeutischen 131Jod-Szintigramm
Progression von Tumorherden nach hochdosierter Radiojodtherapie unabhängig vom Befund der posttherapeutischen Bildgebung
Applizierte RJ-Aktivität > 22,2 GBq 131J (> 600 mCi)
Tumorhistologie mit klinisch und biologisch gesicherter schlechter Prognose: insulares oder Hürthle-Zell-Karzinom
Nichtresektabler Primärtumor
Pathologische Speicherung der Tumormanifestationen in der 18F‑FDG-PET/CT

Die Definition des „radiojodrefraktären“ Patienten

In der ersten publizierten Phase-III-Studie mit dem TKI Sorafenib wurden folgende Kriterien zur Definition einer radiojodrefraktären Erkrankung herangezogen [8]:
  • Es besteht mindestens eine radiojodnegative Läsion und die Erkrankung ist progredient.
  • Die Erkrankung zeigt trotz Radiojodaufnahme in Tumormanifestationen eine Progredienz oder:
  • Es wurde bereits eine kumulative Aktivität von 600 mCi (22,2 GBq) verabreicht.
Es musste mindestens eines dieser 3 Kriterien zutreffen, um den Patienten als radiojodrefraktär zu klassifizieren und in die Studie einschließen zu können.
Gerade das 3. Kriterium, eine maximale kumulative Aktivität von 600 mCi Radiojod als obere Grenze für die Definition des radiojodrefraktären Schilddrüsenkarzinoms heranzuziehen, wurde und wird weiterhin kontroversiell beurteilt [9]. Die häufig zitierte retrospektive Studie von Durante et al. postulierte eine kumulative Aktivität von 600 mCi als Maximalwert für die Anwendung der Radiojodtherapie [4]. Die Autoren begründeten dies mit der fehlenden Wirksamkeit konsekutiver Radiojodtherapien bei gleichzeitiger Zunahme strahleninduzierter Toxizität (Dysfunktion der Speicheldrüsen). Dieser retrospektiv ermittelte Schwellenwert für die Wirksamkeit der Radiojodtherapie berücksichtigt nicht die hohe interindividuelle Variabilität für das Ansprechen auf die Radiojodtherapie bei Patienten mit Metastasierung. In der DECISION-Studie lag die mediane Aktivität der eingeschlossenen Patienten nur bei rund 400 mCi [8]. Dagegen profitieren andere Patienten auch von kumulativen Aktivitäten weit über 600 mCi hinaus im Sinne einer anhaltenden Abnahme der Tumormarkers Tg und der Regression oder Stabilisierung von Tumormanifestationen. Diese oftmals jüngere Patientengruppe mit häufiger, pulmonaler Metastasierung ist nach Definition der ATA nicht als radiojodrefraktär zu betrachten [10]. Ein einheitlicher oberer Grenzwert für die maximale kumulative Radiojodaktivität ist aufgrund der hohen interindividuellen Variabilität der Aufnahme in kritische Nichtzielorgane (Knochenmark), der Toxizität (Speicheldrüsen) und der Altersabhängigkeit des Risikos für das Auftreten von Sekundärmalignomen nicht gegeben.
Die Komplexität in der Beurteilung einer radiojodrefraktären Erkrankung wird durch den klinischen Befund unterstrichen, dass bei einem Teil der Patienten ein Mix aus radiojodpositiven und -negativen Tumormanifestationen vorliegen können. Dieser Befund wird durch die häufige und über die Krankheitsdauer zunehmende Entdifferenzierung von metastasierenden Schilddrüsenkarzinomen gestützt [10]. Häufig sind diese klinisch ungünstigen Verlaufsformen mit genetischen Alterationen, wie TERT-Promoter- der EIF1AX-Mutationen, assoziiert [10].
Es besteht daher dahingehend große Übereinstimmung, dass die Beurteilung einer radiojodrefraktären Erkrankung nicht nur auf dem Befund der posttherapeutischen Radiojodbildgebung oder der (kumulativ) applizierten Aktivität, sondern auf deren klinischer Wirksamkeit im Sinne des biologischen Verhaltens der Tumormanifestationen beruht [1013].
Bezüglich der Definition einer klinisch relevanten radiologischen Progredienz wurden in klinischen Studien zumeist die RECIST-Kriterien herangezogen. Der metastatische Befall eines weiteren Organsystems ist als Zeichen eines deutlichen Krankheitsfortschritts zu werten. Ein klinisch und bildgebend dokumentierter manifester Krankheitsfortschritt innerhalb eines Zeitraums von 6(–12) Monaten ist als Grundlage einer Systemtherapie zu bewerten. Der Krankheitsverlauf von Patienten mit radiojodrefraktärem Schilddrüsenkarzinom ist jedoch häufig langsam protrahiert und oft klinisch asymptomatisch. Es sollte in diesem Zusammenhang bedacht werden, dass bei den Phase-III-Studien DECISION und SELECT der Zeitraum für das Auftreten einer Progredienz mit 12–14 Monaten deutlich länger bemessen wurde [8, 14].
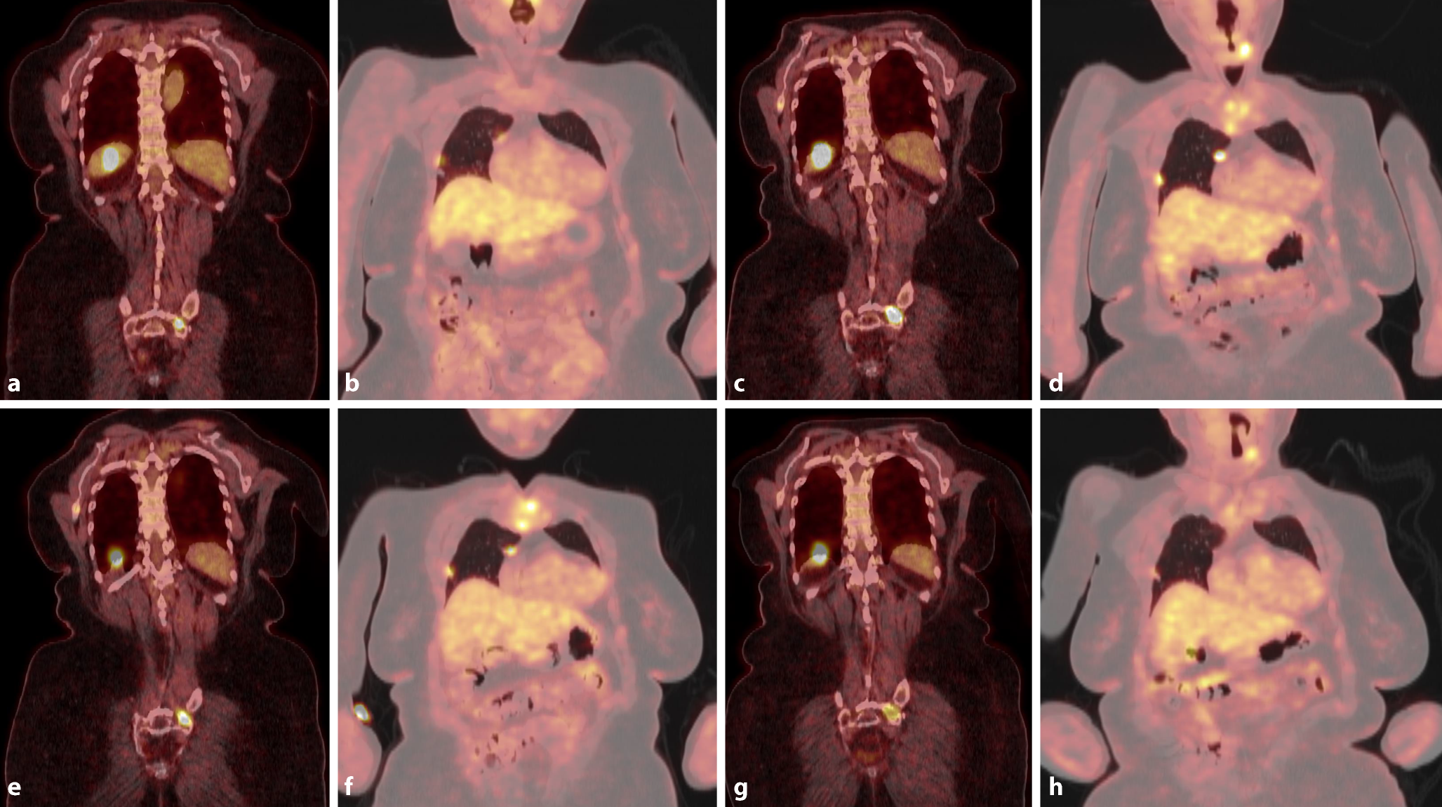
Ist dagegen das Befinden des Patienten durch tumorassoziierte Symptome eingeschränkt, sollte gerade bei fehlenden lokalen Behandlungsmöglichkeiten (Tab. 2) die Einleitung einer systemischen Therapie erwogen werden [1013]. Bei symptomatischen Patienten ist die Unterscheidung essenziell, ob es sich um ein tumorassoziiertes Symptom (Schmerzen durch ossäre Metastasen) handelt oder eine durch Komorbiditäten bedingte Reduktion des Allgemeinzustands vorliegt. Die pulmonale Metastasierung kann beim differenzierten Schilddrüsenkarzinom ausgeprägt, jedoch ausschließlich durch kleinherdige Metastasen gekennzeichnet sein. Bei rein pulmonaler und asymptomatischer Metastasierung erscheint erst ab Tumormanifestationen > 10 mm Durchmesser die Grundlage für die Einleitung einer TKI-Therapie gegeben zu sein [13]. Andererseits besteht eine inverse Beziehung zwischen metabolischem Tumorvolumen und Ansprechen auf eine Therapie mit TKI. Tumorassoziierte Symptome erfordern in jedem Fall eine rasche und gezielte Therapie. Der Fall einer 76-jährigen Patientin in Abb. 1 demonstriert die Möglichkeit, auch bei fortgeschrittener Tumorerkrankung in Abstimmung mit dem individuellen Patientenwunsch zu zufriedenstellenden Behandlungsergebnissen zu gelangen.
Tab. 2
Behandlungsoptionen des radiojodrefraktären, differenzierten Schilddrüsenkarzinoms
 
Abwarten
Lokaltherapie
Systemtherapie
Kriterium
Fehlende oder geringe Progression
Solitäre Fernmetastase
Rasche Progression
Lokalschmerz
Symptomatisch oder lebensbedrohlich
Symptomfreiheit
Hohes Risiko für lokale Komplikationen in den Atemwegen oder im Rückenmark
Geringes Risiko für Komplikationen
Keine lokalen Therapieverfahren
Nichtresektable, solitäre Tumormanifestation
Prozedere
Klinisches Assessment
Chirurgische Resektion
TSH-suppressive Therapie mit L‑Thyroxin
Überwachung alle 3–12 Monate mit Tg, US und konventioneller oder funktioneller Bildgebung
Radiofrequenzablation
Radiotherapie
TKI
Bisphosphonate, Denosumab
Selektive Inhibitoren
Chemoembolisation
Reinduktion der NIS-mediierten RJ-Aufnahme
TSH-suppressive Therapie mit L‑Thyroxin
TSH-suppressive Therapie mit L‑Thyroxin
Chemotherapie
Abb. 1
76-jährige Patientin mit follikulärem, primär radiojodrefraktärem Schilddrüsenkarzinom. Bereits bei der Erstdiagnose 11/2018 rechtsseitig pulmonale, Leber- und Knochenmetastasen (a,b). Bei völliger Beschwerdefreiheit, Allgemeinbefinden ECOG 0, wurde dem dringenden Patientenwunsch entsprochen und die Umsetzung der Behandlungsempfehlung des Tumorboards zur Einleitung von Lenvatinib postponiert. Osteoprotektive Therapie mit Denosumab monatlich. c,d Die Bildgebung vom 25.02.2021 zeigt den langsamen, aber kontinuierlichen Progress in allen betroffenen Kompartments. Schließlich Einleitung der Systemtherapie mit Lenvatinib – Startdosis 24 mg tgl., Reduktion wegen starken Gewichtsverlusts, Diarrhö und Hand-Fuß-Syndrom auf eine Erhaltungsdosis von 10–14 mg tgl. alternierend (e,f nach 3‑monatiger Therapie). Der Tumormarker Tg fiel innerhalb von 3 Monaten nach Einleitung der Systemtherapie um 70 %. Seit 18 Monaten stabiler Befund mit Zeichen eines partiellen metabolischen Ansprechens ohne neue Tumormanifestation
Bild vergrößern

Wertigkeit der FDG-PET/CT-Bildgebung für die Indikationsstellung zur Systemtherapie mit TKI

Die Durchführung der FDG-PET/CT wird auf Basis eines erhöhten basalen Tg-Werts oder seiner Verdoppelung als sinnvoll erachtet [15, 16]. Der Nachweis FDG-positiver Läsionen ist unabhängig vom Bestehen jodpositiver Läsionen mit einer schlechteren Prognose assoziiert [17]. In dieser Studie wurde gezeigt, dass zwar 71,4 % der Patienten, die einen positiven FDG-PET-Scan haben, auch einen positiven Radiojodscan aufweisen, dass jedoch 40 % der FDG-positiven Patienten zum Ende der Datenerfassung (median 3,04 Jahre nach dem PET-Scan) bereits an ihrer Erkrankung verstorben waren [17].
Die Ergebnisse der FDG-PET/CT sind eine wichtige zusätzliche Entscheidungsgrundlage für die weitere Behandlung.
Wegen des klinisch höchst unterschiedlichen Verlaufs der metastasierten differenzierten Schilddrüsenkarzinome und deren besonderen Merkmale in der nuklearmedizinischen Bildgebung (Jodszintigraphie, FDG-PET/CT) ist es notwendig, Indikationen für den Einsatz von TKI bzw. ergänzende Therapiekonzepte zu definieren.
Breiter Konsens herrscht dabei hinsichtlich des Grundsatzes, dass das Vorliegen einer radiojodrefraktären Erkrankung allein nicht ausreicht, um eine Systemtherapie zu begründen, sondern in vielen Fällen vorerst auch eine „Watch-and-Wait“-Strategie oder der Einsatz lokal wirksamer Maßnahmen gerechtfertigt ist [1013].
Die entscheidenden Befunde, die zur Empfehlung zur Einleitung einer systemischen Therapie im interdisziplinären Tumorboard führen sollten, sind eine deutliche und rasche Krankheitsprogredienz in der Bildgebung und/oder das Vorliegen von relevanten, krankheitsassoziierten Symptomen.

Therapie des radiojodrefraktären (gering) differenzierten Schilddrüsenkarzinoms

Für die Therapie von Patienten mit progredientem radiojodrefraktärem Schilddrüsenkarzinom stehen nun seit einigen Jahren die in dieser Indikation zugelassenen TKI Lenvatinib und Sorafenib als Erstlinientherapie zur Verfügung. Der Einsatz von Lenvatinib führte in der Phase-III-Studie SELECT [14] bei Patienten mit progredienter, radiojodrefraktärer Tumorerkrankung zu einer Verlängerung des progressionsfreien Überlebens auf 18,3 Monate im Vergleich zu 3,6 Monaten in der Placebogruppe. Die Ansprechwarte lag bei 64,8 % in der Lenvatinib- und bei 1,5 % in der Placebogruppe. Die Wirksamkeit wurde bei Patienten mit papillärem, follikulärem und gering differenziertem Schilddrüsenkarzinom festgestellt und war unabhängig von BRAF- oder RAS-Mutationsstatus oder der Vorbehandlung.
Das Spektrum der unerwünschten Wirkungen und Toxizität von Lenvatinib und Sorafenib unterscheidet sich beim Schilddrüsenkarzinom nicht vom Einsatz in anderen onkologischen Indikationen und umfasst arterielle Hypertonie, Diarrhö, Müdigkeit und Schwäche, verminderten Appetit, starke und anhaltende Gewichtsabnahme, Proteinurie sowie das Hand-Fuß-Syndrom. Die unerwünschten Wirkungen/Toxizitäten führten in den klinischen Studien mit Lenvatinib bei der Mehrzahl der Patienten in der Therapiegruppe zu einer Reduktion der Standarddosierung von 24 mg täglich. Die in der Phase-III-Studie durchschnittlich eingenommene Tagesdosis betrug 17,2 mg.
Für Patienten mit radiojodrefraktären Tumoren und Therapieversagen auf Lenvatinib oder Sorafenib erwies sich ein weiterer Multitarget-TKI Cabozantinib als eine wirksame Therapieoption. Cabozantinib inhibiert mehrere an Tumorwachstum und Angiogenese beteiligte Tyrosinkinasen, einschließlich VEGFR2, AXL, MET und RET. Die RET-Fusionsproteine sind onkogene Treiber in der Subgruppe der papillären Schilddrüsenkarzinome.
Wegen der Hemmung von RET ist Cabozantinib bereits seit vielen Jahren als wirksame Therapie des fortgeschrittenen metastasierenden medullären Schilddrüsenkarzinoms zugelassen und in einer Standarddosierung von 140 mg im Einsatz. Zu beachten sind die unterschiedliche Galenik von Cabozantinib in der Indikation des medullären und des differenzierten Schilddrüsenkarzinoms und die Handelsnamen (Cometriq® bzw. Cabometyx®, Ipsen, Paris, Frankreich). So liegt die Standarddosierung von Cabozantinib in der Indikation des differenzierten radiojodrefraktären Schilddrüsenkarzinoms bei 60 mg. Die Zulassungsstudie COSMIC-311 war eine randomisierte, placebokontrollierte, doppelblinde Phase-III-Studie, bei der alle Patienten entweder mit Sorafenib, Lenvatinib oder beiden Substanzen vorbehandelt waren [18]. Unter Cabozantinib lag das mediane PFS bei 11,0 im Vergleich zu 1,9 Monaten unter Placebo (HR 0,22; p < 0,0001). Auch Cabozantinib zeigt das für einen TKI typische Toxizitäts- und Nebenwirkungsprofil mit Diarrhö (alle Grade 62 %, Grad 3–4 8 %), Hand-Fuß-Syndrom (alle Grade 42 %, Grad 3–4 10 %), Hypertonie (alle Grade 32 %, Grad 3–4 12 %), Appetitverlust (alle Grade 31 %, Grad 3–4 3 %) und Fatigue (alle Grade 29 %, Grad 3–4 9 %), sodass bei zwei Drittel der Patienten im Cabozantinibarm Dosisreduktionen erforderlich waren. Ein Therapieabbruch war bei 8,8 % der Patienten zu verzeichnen.

Weitere systemische Therapieoptionen bei molekulargenetisch gesichertem Nachweis einer NTRK- oder RET-Genfusion

Die molekulargenetische Diagnostik hat in die initiale Diagnostik von Schilddrüsenkarzinomen Eingang gefunden. Standardmäßig werden in Österreich Schilddrüsenkarzinome auf das Vorliegen einer BRAF(V600E)-Mutation getestet. Mit dem Nachweis einer BRAF(V600E)-Treibermutation kann das Vorliegen einer NTRK- oder RET-Genfusionen nach heutigem Wissensstand wahrscheinlich ausgeschlossen werden.
Der Nachweis der NTRK-Genfusion ist in metastasierenden radiojodrefraktären Schilddrüsenkarzinomen von klinischer Relevanz, weil der selektive TRK-Inhibitor Larotrectinib (2-mal 100 mg täglich) in einer gepoolten Analyse von Phase‑I und -II-Studien eine Ansprechrate von 79 % zeigte [19]. Die Verträglichkeit war hoch und von der Abwesenheit höhergradiger Toxizität (Grad 3 und 4 < 3 %) gekennzeichnet [19]. Innovative Therapiekonzepte postulieren, dass der molekulargenetische Nachweis von NTRK-Genfusionen und der Einsatz von Larotrectinib bei Patienten mit metastasierter Schilddrüsenkarzinomerkrankung zur Überwindung der Radiojodresistenz bereits vor Einsatz der Radiojodtherapie erfolgen sollte [20].
Der Nachweis der RET-Alteration beim differenzierten Schilddrüsenkarzinom (bzw. der somatischen RET-Mutationen bei etwa 50 % aller sporadischen MTC-Varianten oder der RET-Keimbahnmutation beim hereditären MTC) ermöglicht den Einsatz des selektiven RET-Inhibitors Selpercatinib. Die Ansprechrate beim metastasierten RET-Fusion-positiven Schilddrüsenkarzinom betrug in der multizentrischen Phase-I/II-Libretto-Studie 77 % [21]. Neben der hohen Wirksamkeit sprechen die gute Verträglichkeit sowie die geringe Toxizität im allerdings nichtdirekten Vergleich zu den Daten nichtselektiver Multikinaseinhibitoren für diese Therapieoption. Die meisten Behandlungs- und Erstattungsrichtlinien sehen den Einsatz dieser selektiven Substanzen wegen der fehlenden Evidenz von Phase-III-Studien bislang als 2. Leitlinientherapie vor. Selpercatinib ist in Österreich als Monotherapie des metastasierten RET-Fusion-positiven Schilddrüsenkarzinoms verfügbar:

Ausblick

Phase-II-Studienergebnisse zeigten, dass bei einem Teil der Patienten mit radiojodrefraktärer Erkrankung der temporäre Einsatz des MEK-Inhibitors Selumetinib ein Ansatz zur klinisch relevanten Wiederherstellung der Jodaufnahme über eine Reaktivierung der NIS-Expression durch die Hemmung von MAPK-Signalwegen sein könnte [22]. 2022 wurde die Ergebnisse einer Phase-II-Redifferenzierungsstudie an Patienten mit BRAF-Wildtyp(wt)- oder BRAF-mutierten Tumoren publiziert. Die Patienten erhielten bei Vorliegen von BRAF(wt)-Tumoren eine 3‑wöchige Trametinibmonotherapie, bei Vorliegen BRAF-mutierter Tumoren eine Kombination von Trametinib und Dabrafenib. In beiden Gruppen konnte bei etwa 30 % der Patienten eine erfolgreiche Redifferenzierung erreicht werden [23]. Damit könnte diese zeitlich kurz begrenzte Therapieform eine Vorstufe zu der Einleitung mit den in dieser Indikation zugelassenen TKI Lenvatinib und Sorafenib werden.

Einhaltung ethischer Richtlinien

Interessenkonflikt

G. Rendl, G. Schweighofer-Zwink und C. Pirich geben an, dass kein Interessenkonflikt besteht.
Für diesen Beitrag wurden von den Autor/-innen keine Studien an Menschen oder Tieren durchgeführt. Für die aufgeführten Studien gelten die jeweils dort angegebenen ethischen Richtlinien.
Open Access Dieser Artikel wird unter der Creative Commons Namensnennung 4.0 International Lizenz veröffentlicht, welche die Nutzung, Vervielfältigung, Bearbeitung, Verbreitung und Wiedergabe in jeglichem Medium und Format erlaubt, sofern Sie den/die ursprünglichen Autor(en) und die Quelle ordnungsgemäß nennen, einen Link zur Creative Commons Lizenz beifügen und angeben, ob Änderungen vorgenommen wurden.
Die in diesem Artikel enthaltenen Bilder und sonstiges Drittmaterial unterliegen ebenfalls der genannten Creative Commons Lizenz, sofern sich aus der Abbildungslegende nichts anderes ergibt. Sofern das betreffende Material nicht unter der genannten Creative Commons Lizenz steht und die betreffende Handlung nicht nach gesetzlichen Vorschriften erlaubt ist, ist für die oben aufgeführten Weiterverwendungen des Materials die Einwilligung des jeweiligen Rechteinhabers einzuholen.
Weitere Details zur Lizenz entnehmen Sie bitte der Lizenzinformation auf http://​creativecommons.​org/​licenses/​by/​4.​0/​deed.​de.

Hinweis des Verlags

Der Verlag bleibt in Hinblick auf geografische Zuordnungen und Gebietsbezeichnungen in veröffentlichten Karten und Institutsadressen neutral.
download
DOWNLOAD
print
DRUCKEN
Titel
Tyrosinkinaseinhibitoren bei Patienten mit radiojodrefraktärem differenziertem Schilddrüsenkarzinom
Gibt es einen optimalen Zeitpunkt für deren Einsatz?
Verfasst von
Gundula Rendl
Gregor Schweighofer-Zwink
Univ.-Prof. Dr. Christian Pirich
Publikationsdatum
03.02.2023
Verlag
Springer Vienna
Erschienen in
Journal für Endokrinologie, Diabetologie und Stoffwechsel / Ausgabe 1/2023
Print ISSN: 3004-8915
Elektronische ISSN: 3004-8923
DOI
https://doi.org/10.1007/s41969-023-00185-4
1.
Zurück zum Zitat Statistik Austria (2022) Österreichisches Krebsregister (Stand 19.01.2022) und Todesursachenstatistik
2.
Zurück zum Zitat Ruel E, Thomas S, Dinan M, Perkins JM, Roman SA, Sosa JA (2015) Adjuvant radioactive iodine therapy is associated with improved survival for patients with intermediate-risk papillary thyroid cancer. J Clin Endocrinol Metab 100:1529–1536CrossRefPubMedPubMedCentral
3.
Zurück zum Zitat Yang Z, Flores J, Katz S, Nathan CA, Mehta V (2017) Comparison of survival outcomes following postsurgical radioactive iodine versus external beam radiation in stage IV differentiated thyroid carcinoma. Thyroid 27:944–952CrossRefPubMed
4.
Zurück zum Zitat Durante C, Haddy N, Baudin E et al (2006) Long-term outcome of 444 patients with distant metastases from papillary and follicular thyroid carcinoma: benefits and limits of radioiodine therapy. J Clin Endocrinol Metab 91:2892–2899CrossRefPubMed
5.
Zurück zum Zitat Knauf JA, Kuroda H, Basu S et al (2003) RET/PTC-induced dedifferentiation of thyroid cells is mediated through Y1062 signaling through SHC-RAS MAP kinase. Oncogene 22:4406–4412CrossRefPubMed
6.
Zurück zum Zitat Aashiq M, Silverman DA, Naára S et al (2019) Radioiodine-refractory thyroid cancer: molecular basis of redifferentiation therapies, managementm and nocel therapies. Cancers 11:1382CrossRefPubMedPubMedCentral
7.
Zurück zum Zitat Miyauchi A, Kudo T, Miya A, Kobayashi K, Ito Y, Takamura Y, Higashiyama T, Fukushima M, Kihara M, Inoue H, Tomoda C, Yabuta T, Masuoka H (2011) Prognostic impact of serum thyroglobulin doubling-time under thyrotropin suppression in patients with papillary thyroid carcinoma who underwent total thyroidectomy. Thyroid 21:707–716CrossRefPubMed
8.
Zurück zum Zitat Brose MS, Nutting CM, Jarzab B et al (2014) Sorafenib in radioactive iodine-refractory, locally advanced or metastatic differentiated thyroid cancer: a randomised, double-blind, phase 3 trial. Lancet 384:319–328CrossRefPubMedPubMedCentral
9.
Zurück zum Zitat Van Nostrand D (2018) Radioiodine refractory differentiated thyroid cancer: time to update the classifications. Thyroid 28:1083–1093CrossRefPubMed
10.
Zurück zum Zitat Fugazzola L, Elisei R, Fuhrer D et al (2019) 2019 European Thyroid Association guidelines for the treatment and follow-up of advanced radioiodine-refractory thyroid cancer. Eur Thyroid J 8:227–245CrossRefPubMedPubMedCentral
11.
Zurück zum Zitat Haugen BR, Alexander EK, Bible KC et al (2016) 2015 American thyroid association management guidelines for adult patients with thyroid nodules and differentiated thyroid cancer: the American thyroid association guidelines task force on thyroid nodules and differentiated thyroid cancer. Thyroid 26:1–133CrossRefPubMedPubMedCentral
12.
Zurück zum Zitat Pacini F, Basolo F, Bellantone R et al (2018) Italian consensus on diagnosis and treatment of differentiated thyroid cancer: joint statements of six Italian societies. J Endocrinol Invest 41:849–876CrossRefPubMed
13.
Zurück zum Zitat Capdevilla J, Galofre JC, Grande E et al (2017) Consensus of the management of advanced radioactive iodine refractory differentiated thyroid cancer on behalf of Spanish Society of Endocrinology Thyroid Cancer Working Group and Spanish Rare Cancer Working Group. Clin Transl Oncol 19:279–287CrossRef
14.
Zurück zum Zitat Schlumberger M, Tahara M, Wirth LJ et al (2015) Lenvatinib versus placebo in radioiodine-refractory thyroid cancer. N Engl J Med 372:621–630CrossRefPubMed
15.
Zurück zum Zitat Giovanella L, Trimboli P, Verburg FA, Treglia G, Piccardo A, Foppiani L, Ceriani L (2013) Thyroglobulin levels and thyroglobulin doubling time independently predict a positive 18F-FDG PET/CT scan in patients with biochemical recurrence of differentiated thyroid carcinoma. Eur J Nucl Med Mol Imaging 40:874–880CrossRefPubMed
16.
Zurück zum Zitat Schleupner MC, Riemann B, Schafers M, Backhaus P, Vrachimis A (2020) Impact of FDG-PET on therapy management and outcome of differentiated thyroid carcinoma patients with elevated thyroglobulin despite negative iodine scintigraphy. Nuklearmedizin 59(5):356–364CrossRefPubMed
17.
Zurück zum Zitat Robbins RJ et al (2006) Real-time prognosis for metastatic thyroid carcinoma based on 2‑[18F]Fluoro-2-Deoxy-D-glucose-positron emission tomography scanning. J Clin Endocrinol Metab 91(2):498–505CrossRefPubMed
18.
Zurück zum Zitat Brose MS, Robinson B, Sherman SI et al (2021) Cabozantinib for radioiodine-refractory differentiated thyroid cancer (COSMIC-311): a randomised, double-blind, placebo-controlled, phase 3 trial. Lancet Oncol 22:1126–1138CrossRefPubMed
19.
Zurück zum Zitat Hong DS, DuBois SG, Kummar S et al (2020) Larotrectinib in patients with TRK fusion-positive solid tumours: a pooled analysis of three phase 1/2 clinical trials. Lancet Oncol 21:531–540CrossRefPubMedPubMedCentral
20.
Zurück zum Zitat Waguespack SG, Tewari SO, Busaidy NL, Zafereo ME (2022) Larotrectinib before initial radioactive iodine therapy in pediatric TRK fusion-positive papillary thyroid carcinoma: time to reconsider the treatment paradigm for distantly metastatic disease? JCO Precis Oncol 6:e2100467CrossRefPubMedPubMedCentral
21.
Zurück zum Zitat Wirth LJ, Sherman E, Robinson B et al (2020) Efficacy of selpercatinib in RET-altered thyroid cancers. N Engl J Med 383:825–835CrossRefPubMed
22.
Zurück zum Zitat Ho AL, Grewal RK, Leboeuf R et al (2013) Selumetinib-enhanced radioiodine uptake in advanced thyroid cancer. N Engl J Med 368:623–632CrossRefPubMedPubMedCentral
23.
Zurück zum Zitat Weber M, Kersting D, Riemann B et al (2022) Enhancing radioiodine incorporation into radioiodine-refractory thyroid cancer with MAPK inhibition (ERRITI): a single-center prospective two-arm study. Clin Cancer Res 28:4194–4202CrossRefPubMedPubMedCentral