Zum Inhalt

Tumor-simulierendes Amyloidom des Ösophagus

  • 08.06.2022
  • Aktuelle Bilder
Erschienen in:

Auszug

Ein 74 Jahre alter Patient mit Schluckbeschwerden, bei dem in einer auswärtigen Ösophago-Gastroskopie eine Raumforderung des Ösophagus bei 30 cm (ab Zahnreihe) festgestellt worden war, wurde zur weiteren Abklärung und Therapie zugewiesen. Die hierorts durchgeführte Endoskopie zeigte ab 30 cm eine exophytische, infiltrativ wachsende Raumforderung, welche gerade noch mit dem Endoskop passierbar war (Abb. 1). Der Tumor erreichte an der Hinterwand den Magen, die Tumorlänge wurde auf 15 cm geschätzt. Es wurden zahlreiche Biopsien entnommen. Die ergänzende Endosonographie zeigte eine Wandüberschreitung des Tumors sowie suspekte Lymphknoten (Stadium uT3/4 N+) (Abb. 2). Es wurde daraufhin eine Kontrastmittel-verstärkte Multidetektor-CT (MDCT) durchgeführt, welche eine ausgehende Raumforderung im distalen Ösophagus zeigte, die zu einer deutlichen Auftreibung des Ösophagus führte, mit Darstellung multipler suspekter Lymphknoten im hinteren Mediastinum sowie auch an der Curvatura minor (Stadium cT3 N+ M0) (Abb. 3; Video 1). Die Biopsie zeigte, so wie die Biopsien der auswärtigen Endoskopie, keine Tumoranteile, sondern chronische Entzündung, Granulationsgewebe und zusätzlich auch reichlich Pilzhyphen (Candida species). Auch endoskopische Rebiopsien blieben ohne Nachweis eines Tumors. Es wurde daraufhin beschlossen, nach insgesamt 4‑maliger negativer endoskopischer bzw. endosonographischer Biopsie eine CT-gezielte transgastrische Biopsie der Cardia durchzuführen (Abb. 4). Auch diese Biopsie ergab lediglich fokale, mäßiggradige chronische sowie minimal aktive Entzündung ohne Tumornachweis. Auf Grund der ausgeprägten Dysphagie wurde ein Ösophagusstent zur Schluckpalliation implantiert (Abb. 5).
Abb. 1
In der Endoskopie findet bei ca. 30 ein großer exophytischer Tumor mit infiltrativ imponierendem Wachstum
Bild vergrößern
Abb. 2
a In der Endosonographie ist der Tumor schlecht abgrenzbar, überschreitet aber auf jeden Fall die Ösophaguswand (Pfeile). b Endosonographisch gezielte Biopsie eines 1,5 cm großen, suspekten lokoregionären Lymphknotens (Pfeil)
Bild vergrößern
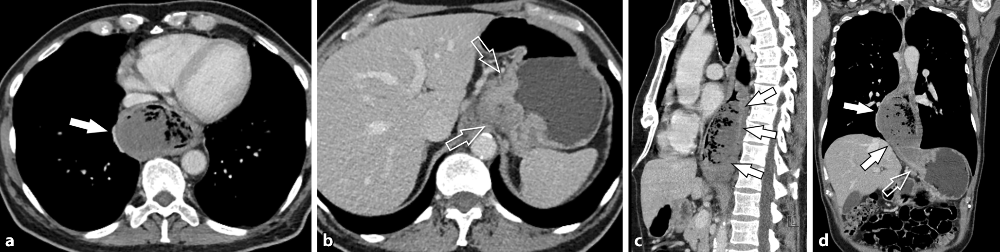
Abb. 3
a,b Die Kontrastmittel-verstärkte MDCT zeigt die große intraluminale Raumforderung im distalen Ösophagus (Pfeil), welche zum Teil zentral nekrotisch ist und Gasbläschen enthält. Die Raumforderung reicht bis in den Magen (offener Pfeil). Die sagittale (c) und paracoronale (d) 3D-Rekonstruktion der CT zeigt anschaulich die große intraluminale Raumforderung im distalen Ösophagus (Pfeile), mit Ausdehnung in den Magen (offener Pfeil)
Bild vergrößern
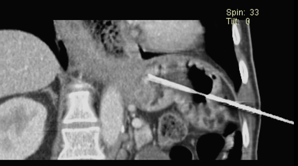
Abb. 4
CT-gezielte Biopsie des Tumoranteils an der Cardia: Man erkennt die Biopsienadel von interkostal transgastrisch mit der Spitze an der Cardia
Bild vergrößern
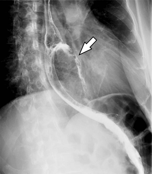
Abb. 5
Endoskopische Stentimplantation zur Schluckpalliation: Man erkennt einen guten Kontrastmitteltransit durch den Stent in den Magen. Es verteilt sich auch Kontrastmittel in der nekrotischen Raumforderung (Pfeil)
Bild vergrößern
Titel
Tumor-simulierendes Amyloidom des Ösophagus
Verfasst von
Prim. Univ.-Prof. Dr. Wolfgang Schima, MSc
Johannes Zacherl
Thomas Winkler
Alexander Varga
Publikationsdatum
08.06.2022
Verlag
Springer Vienna
Erschienen in
Journal für Gastroenterologische und Hepatologische Erkrankungen / Ausgabe 2/2022
Print ISSN: 1728-6263
Elektronische ISSN: 1728-6271
DOI
https://doi.org/10.1007/s41971-022-00128-x
Dieser Inhalt ist nur sichtbar, wenn du eingeloggt bist und die entsprechende Berechtigung hast.
Dieser Inhalt ist nur sichtbar, wenn du eingeloggt bist und die entsprechende Berechtigung hast.
Bildnachweise
Karzinom/© W. Schima