Zum Inhalt

Thermal ablation—an option in curative treatment of HCC

  • Open Access
  • 15.04.2020
  • short review
Erschienen in:
Download

Summary

Minimally invasive thermal ablation techniques are an integral part of international treatment guidelines in hepatocellular carcinoma (HCC). Due to highly effective local tumor control in nonresectable liver tumors with a relatively low rate of morbidity and mortality, thermal ablation even challenges the surgical approach as the first-line treatment in selected patients. Ablation outcome is largely dependent on the size and location of the HCC as well as on the applied ablation technique and image guidance. The creation of a sufficient ablation margin (A0 ablation in analogy to R0 resection) is prerequisite to assure low recurrence rates. In large tumors, tumor-free margins can be achieved only by overlapping ablation zones, which can be accomplished using stereotactic multiprobe ablation techniques (stereotactic radiofrequency ablation [SRFA], stereotactic microwave ablation [SMWA], stereotactic irreversible electroporation [SIRE]) in combination with 3D trajectory planning and image fusion for intraoperative evaluation of treatment results.

Publisher’s Note

Springer Nature remains neutral with regard to jurisdictional claims in published maps and institutional affiliations.
Due to satisfactory local tumor control and survival rates thermal ablation has been included in international guidelines as a minimally invasive local curative procedure for the treatment of hepatocellular carcinoma (HCC) [13]. The ablation procedure can be performed taking advantage of different physical principles.
Radiofrequency ablation (RFA) is based on the application of alternating current (375–480 kHz), heating the tissue to at least 60 °C due to oscillation of the ions surrounding the probe, leading to coagulation necrosis. In comparison to other ablation techniques, RFA has proven its effectiveness in large cohort studies, making it a reliable and practical technique [1].
Microwave ablation (MWA) is based on heat induction by means of an electromagnetic field around the needle, serving as an antenna stimulating water molecules, resulting in a faster and more homogeneous heating of the tissue [4, 5]. MWA and RFA have achieved comparable results in clinical HCC trials regarding local recurrence and complication rates [6, 7].
Cryoablation probes create an ice ball with a defined diameter using argon or helium gas. Tumor cells are dehydrated during the freezing process, leading to cell death. Initial studies reported a relatively high proportion of adverse events compared to alternative ablation techniques [8, 9], and technical aspects are still improving.
Irreversible electroporation (IRE) is a nonthermal technique applying short electrical high-frequency pulses with high voltage between two electrodes, resulting in irreversible destruction of the cell membrane with subsequent cell death. The procedure necessitates general anesthesia and muscle blockage and is synchronized to the heartbeat in order to prevent cardiac arrhythmia. IRE allows for tumor ablation directly adjacent to the bile ducts without the risk of biliary leakage or stricture. In addition, heat dissipation through nearby blood vessels is avoided. Preliminary results in small patient cohorts have been published [10].
These ablation techniques generally aim at a radiologically verifiable, complete treatment response, being associated with extended overall survival [11, 12]. Technical effectiveness of the procedure depends on the safety margin of the ablation zone, which is directly proportional to the tumor recurrence rate [13]. Recent studies revealed that the risk of local recurrence after thermal ablation of hepatocellular carcinoma can be substantially minimized by achieving a three-dimensional (3D) safety margin of 0.5 cm [1417].
Thermal ablation can be performed during surgical procedures using ultrasound control [18], which is technically demanding and more invasive than percutaneous procedures.
Various modalities are available for conventional percutaneous needle guidance, including ultrasound (US), computed tomography (CT), cone-beam computed tomography (CBCT) or magnetic resonance imaging (MRI) [19]. Ultrasound is favorable in terms of real-time imaging and the application of contrast media for contrast-enhanced ultrasound (CEUS). CT imaging ensures excellent visibility of the ablation probe in relation to the target structures. MRI enables real-time temperature monitoring and intraoperative visibility of the ablation result without the need for contrast agents.
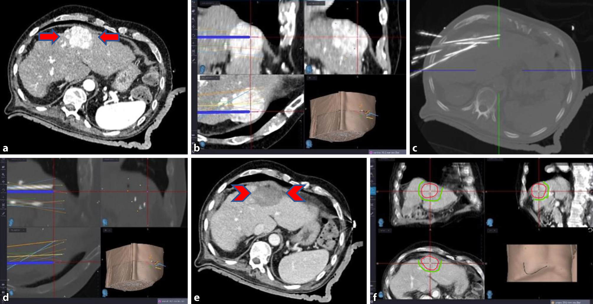
The stereotactic three-dimensional approach for thermal ablation planning allows the implementation of several overlapping ablation zones in order to achieve a sufficient three-dimensional safety margin. A targeting device is used to place several needles accurately and reproducibly [20] under general anesthesia and muscle relaxation. Image fusion of preoperative and intraoperative images allows for immediate intraoperative verification of a sufficient ablation zone overlapping the tumor ([2125]; Fig. 1).
Fig. 1
Stereotactic thermal ablation (SRFA) in a 76-year-old man with history of fatty liver disease and liver cirrhosis and hepatocellular carcinoma (HCC). a Contrast-enhanced CT depicting a 52 mm HCC in segment IV (arrows). b Planning of multiple needle trajectories. c Maximum intensity projection (MIP) of native control CT with coaxial needles in place. d Image fusion of needle control CT with planning CT (with the planned trajectories) confirms precise needle placement. e Intraoperative contrast-enhanced CT immediately after radiofrequency ablation (RFA) showing devascularized ablation zone (arrowheads). Image f is showing the control CT with the ablation necrosis at the end of the procedure, which is fused to the arterial phase planning CT in imageaI to prove overlap of the tumor (red line) and the ablation zone (hypodenserim), confirming the ablation margin (green line)
Bild vergrößern
Our group [26] evaluated the effectiveness of stereotactic radiofrequency ablation (SRFA) by histopathological examination of 188 lesions in 96 HCC patients in explanted liver specimens who received SRFA as a bridging therapy before liver transplantation. A complete histopathological response was achieved in 183/188 lesions (97.3%) and 91/96 patients (94.8%). For tumors measuring ≥3 cm, complete tumor cell death was achieved in 50/52 lesions (96.2%). To the best of our knowledge, these results are superior to any other local therapy and seem to justify the additional effort associated with the procedure.
Thermal ablation is liver parenchyma sparing and less invasive, as compared to surgical resection. Ablation can be performed repeatedly in most cases, maintaining low complication rates, short hospital stays, and low hospitalization costs [27, 28]. Possible limiting factors of percutaneous tumor ablation include hampered tumor visibility upon imaging which is associated with underestimation of the extent and stage of the tumor as well as the correct assessment of remaining functional liver tissue.
Radiofrequency ablation is associated with a low morbidity rate and a mortality rate below 1% [29]. A known self-limiting side effect is the “post-ablation syndrome”, which is characterized by fever of up to 38.5 °C, weakness, fatigue and leukocytosis and is observed in 5–9% of RFA patients [30]. Complications such as bleeding, liver abscess, pneumothorax and hemothorax are treated by minimally invasive techniques, including drainage or embolization [31]. Tissue heating in proximity to the central biliary tract has to be avoided due to the high risk of biliary strictures and fistulas. In addition, the presence of a bilioenteric anastomosis increases the risk of abscess formation [32].
In summary, multiple strategies for the effective and potentially curative ablation of HCC have been developed. Randomized controlled trials have shown that RFA is superior to percutaneous ethanol injection [3335]. Lencioni et al. reported 4% local recurrence rate as compared to 38% after ethanol injection (p = 0.002). The overall survival rate after RFA after 2 years was 98% compared to 88% after ethanol injection (p = 0.138) [36].
The outcome of HCC patients treated by either surgical resection or RFA has been studied in cirrhotic patients. Of four randomized controlled trials, three trials did not report a significant difference in overall survival for patients after surgical resection or RFA [3740]. Out of these studies, one included 180 HCC patients who were prospectively randomized to RFA or surgery, with 1‑, 2‑, 3‑ and 4‑year overall survival rates of 95.8%, 82.1%, 71.4% and 67.9% vs. 93.3%, 82.3%, 73.4% and 64%, respectively [37]. These findings are in analogy with different study groups, confirming RFA to be an effective minimally invasive treatment with reproducible results.
The Barcelona Clinic Liver Cancer (BCLC) staging criteria are used in the established guidelines for prognosis and therapy selection based on tumor stage, liver function, disease-related symptoms and clinical performance status. The EASL-EORTC guidelines (European Organization for Research and Treatment of Cancer) are based on the BCLC staging system and were updated in 2018 [1]. Depending on tumor size, state of health and liver function, five HCC stages with different prognosis are defined for the further treatment assignment. The state of health is based on the ECOG classification (Eastern Cooperative Oncology Group) and clinical symptoms. Liver function is assessed by Child–Pugh class, bilirubin, albumin, clinically relevant portal hypertension and ascites. Individual tumors up to 2 cm in size without vascular invasion or satellite foci, generally good health (ECOG-0) and well-preserved liver function are defined as very early stage (BCLC 0). An early stage HCC (BCLC A) is characterized by a single tumor with a size larger than 2 cm or 3 HCC lesions up to a size of 3 cm and ECOG‑0 in combination with a preserved liver function. Intermediate stage tumors (BCLC B) are characterized as multinodular, asymptomatic with no vascular invasion or extrahepatic spread. The advanced stage of HCC (BCLC C) includes patients with cancer-related symptoms (ECOG1–2), macrovascular invasion, or extrahepatic spread. End-stage HCC are characterized by very poor clinical performance status (ECOG 3–4).
RFA is recommended in the EASL-EORTC guideline as a first-line treatment for patients with very early HCC (BCLC 0, single HCC under 2 cm). RFA is the standard of care for patients with early HCC (BCLC A, single tumor up to 5 cm or 3 nodes up to 3 cm in diameter) who are not suitable for surgery.
In addition, the “Stage Migration Strategy” has been included in the EASL guidelines. Based on the local expertise and interdisciplinary discussion a standard treatment approach for a different stage may be selected as the best option for first-line treatment. Therefore, thermal ablation may also be used in selected patients with intermediate stage HCC or with lesions larger than 5 cm, if the available ablation and guidance techniques allow for effective local tumor control.
The recommendation is similar in the S3 guidelines propagated in German-speaking countries, for HCC patients with cirrhosis who are not subject to transplantation [41]. Patients accessible to a potentially curative approach are divided into 3 groups: patients with 1 to 3 tumors with a size of less than 3 cm; patients with 1 to 3 tumors between 3 and 5 cm; patients with a single tumor larger than 5 cm. RFA or resection should be performed in the first group with adequate liver function and maximally moderate portal hypertension. In the second group, an individual balance between ablation and resection should be made. In case of large tumors (>3 cm), conventional RFA should be combined with transarterial chemoembolization (TACE) [42, 43] due to higher overall and relapse-free survival rates as compared to RFA alone [44, 45].
According to the S3 guidelines resection is recommended for patients with tumors larger than 5 cm.
The individual decision should be based on technical feasibility and tumor size, as well as on the extent of any portal hypertension, the remaining liver volume and the expected postoperative liver function.
In summary, percutaneous ablation techniques offer a safe and feasible, potentially curative treatment for early stage HCC according to international guidelines. Technical skills, hardware requirements and the combination of different treatment techniques demand specialized interventional oncologic centers for sophisticated planning, image guidance and image fusion techniques to improve short- and long-term outcome of HCC patients.
Take home message
Percutaneous ablation techniques offer a safe and clinically feasible treatment option for primary liver tumors and represent a standardized treatment regimen in international guidelines for the treatment of very early and early stage HCC.

Conflict of interest

D. Putzer, P. Schullian, G. Eberle, and R.J. Bale declare that they have no competing interests.
Open Access This article is licensed under a Creative Commons Attribution 4.0 International License, which permits use, sharing, adaptation, distribution and reproduction in any medium or format, as long as you give appropriate credit to the original author(s) and the source, provide a link to the Creative Commons licence, and indicate if changes were made. The images or other third party material in this article are included in the article’s Creative Commons licence, unless indicated otherwise in a credit line to the material. If material is not included in the article’s Creative Commons licence and your intended use is not permitted by statutory regulation or exceeds the permitted use, you will need to obtain permission directly from the copyright holder. To view a copy of this licence, visit http://creativecommons.org/licenses/by/4.0/.

Publisher’s Note

Springer Nature remains neutral with regard to jurisdictional claims in published maps and institutional affiliations.
Download
Titel
Thermal ablation—an option in curative treatment of HCC
Verfasst von
Daniel Putzer
Peter Schullian
Gernot Eberle
Reto Josef Bale
Publikationsdatum
15.04.2020
Verlag
Springer Vienna
Erschienen in
memo - Magazine of European Medical Oncology / Ausgabe 2/2020
Print ISSN: 1865-5041
Elektronische ISSN: 1865-5076
DOI
https://doi.org/10.1007/s12254-020-00600-5
1.
Zurück zum Zitat Galle PR, Forner A, Llovet JP, Mazzaferro V, Piscaglia F, Raoul JL, et al. EASL Clinical Practice Guidelines: management of hepatocellular carcinoma. J Hepatol. 2018;69:182–236.CrossRef
2.
Zurück zum Zitat Heimbach JK, Kulik LK, Finn RS, Sirlin CB, Abecassis MM, Roberts LR, et al. AASLD guidelines for the treatment of hepatocellular carcinoma. Hepatology. 2018;67(1):358–80.PubMedCrossRef
3.
Zurück zum Zitat Omata M, Cheng AL, Kokudo N, Kudo M, Lee MJ, Jia J, et al. Asia–Pacific clinical practice guidelines on the management of hepatocellular carcinoma: a 2017 update. Hepatol Int. 2017;11:317–70.PubMedCrossRef
4.
Zurück zum Zitat Holzwanger DJ, Madoff DC. Role of interventional radiology in the management of hepatocellular carcinoma: current status. Chin Clin Oncol. 2018;7(5):49.PubMedCrossRef
5.
Zurück zum Zitat Abdelaziz AO, Nabeel MM, Elbaz TM, Shousha HI, Hassan EM, Mahmoud SH, et al. Microwave ablation versus transarterial chemoembolization in large hepatocellular carcinoma: prospective analysis. Scand J Gastroenterol. 2015;50:479–84.PubMedCrossRef
6.
Zurück zum Zitat Liu Y, Zheng Y, Li S, Li B, Zhang Y, Yuan Y. Percutaneous microwave ablation of larger hepatocellular carcinoma. Clin Radiol. 2013;68:21–6.PubMedCrossRef
7.
Zurück zum Zitat Zhang NN, Lu W, Cheng XJ, Liu JY, Zhou YH, Li F. High-powered microwave ablation of larger hepatocellular carcinoma: evaluation of recurrence rate and factors related to recurrence. Clin Radiol. 2015;70:1237–43.PubMedCrossRef
8.
Zurück zum Zitat Huang YZ, Zhou SC, Zhou H, Tong M. Radiofrequency ablation versus cryosurgery ablation for hepatocellular carcinoma: a meta-analysis. Hepatogastroenterology. 2013;60:1131–5.PubMed
9.
Zurück zum Zitat Pearson AS, Izzo F, Fleming RY, Ellis LM, Delrio P, Roh MS, et al. Intraoperative radiofrequency ablation or cryoablation for hepatic malignancies. Am J Surg. 1999;178:592–9.PubMedCrossRef
10.
Zurück zum Zitat Dollinger M, Beyer LP, Haimerl M, Niessen C, Jung EM, Zeman F, et al. Adverse effects of irreversible electroporation of malignant liver tumors under CT fluoroscopic guidance: a single-center experience. Diagn Interv Radiol. 2015;21:471–5.PubMedPubMedCentralCrossRef
11.
Zurück zum Zitat Sala M, Llovet JM, Vilana R, Bianchi L, Sole M, Ayuso C, et al. Initial response to percutaneous ablation predicts survival in patients with hepatocellular carcinoma. Hepatology. 2004;40:1352–60.PubMedCrossRef
12.
Zurück zum Zitat Lam VW, Ng KK, Chok KS, Cheung TT, Yuen J, Tung H, et al. Incomplete ablation after radiofrequency ablation of hepatocellular carcinoma: analysis of risk factors and prognostic factors. Ann Surg Oncol. 2008;15:782–90.PubMedCrossRef
13.
Zurück zum Zitat Lu DS, Yu NC, Raman SS, Limanond P, Lassman C, Murray K, et al. Radiofrequency ablation of hepatocellular carcinoma: treatment success as defined by histologic examination of the explanted liver. Radiology. 2005;234:954–60.PubMedCrossRef
14.
Zurück zum Zitat Hocquelet A, Trillaud H, Frulio N, Papadopoulos P, Balageas P, Salut C, et al. Three-dimensional measurement of hepatocellular carcinoma ablation zones and margins for predicting local tumor progression. J Vasc Interv Radiol. 2016;27:1038–45.PubMedCrossRef
15.
Zurück zum Zitat Tapper EB, Catana AM, Sethi N, Mansuri D, Sethi S, Vong A, et al. Direct costs of care for hepatocellular carcinoma in patients with hepatitis C cirrhosis. Cancer. 2016;122(6):852–8.PubMedCrossRef
16.
Zurück zum Zitat Nakazawa T, Kokubu S, Shibuya A, Ono K, Watanabe M, Hidaka H, et al. Radiofrequency ablation of hepatocellular carcinoma: correlation between local tumor progression after ablation and ablative margin. AJR Am J Roentgenol. 2007;188:480–8.PubMedCrossRef
17.
Zurück zum Zitat Laimer G, Schullian P, Jaschke N, Putzer D, Eberle G, Alzaga A, et al. Minimal ablative margin (MAM) assessment with image fusion: an independent predictor for local tumor progression in hepatocellular carcinoma after stereotactic radiofrequency ablation. Eur Radiol. 2020; https://doi.org/10.1007/s00330-019-06609-7.CrossRefPubMedPubMedCentral
18.
Zurück zum Zitat Hung HH, Chiou YY, Hsia CY, Su CW, Chou YH, Chiang JH, et al. Survival rates are comparable after radiofrequency ablation or surgery in patients with small hepatocellular carcinomas. Clin Gastroenterol Hepatol. 2011;9:79–86.PubMedCrossRef
19.
Zurück zum Zitat Widmann G, Schullian P, Bale R. Radiofrequenzablation des hepatozellulären Karzinoms. Wien Med Wochenschr. 2013;163:132–6.PubMedCrossRef
20.
Zurück zum Zitat Bale R, Widmann G. Navigated CT-guided interventions. Minimal Invasive Ther Allied Technol. 2007;16(4):196–204.CrossRef
21.
Zurück zum Zitat Samim M, Molenaar IQ, Seesing MF, van Rossum PS, van den Bosch MA, Ruers TJ, et al. The diagnostic performance of 18F-FDG PET/CT, CT and MRI in the treatment evaluation of ablation therapy for colorectal liver metastases: A systematic review and meta-analysis. Surg Oncol. 2017;26(1):37–45.PubMedCrossRef
22.
Zurück zum Zitat Bale R, Widmann G, Haidu M. Stereotactic radiofrequency ablation. Cardiovasc Intervent Radiol. 2010;34(4):852–6.PubMedCrossRef
23.
Zurück zum Zitat Bale R, Widmann G, Stereotaxy SDI. breaking the limits of current radiofrequency ablation techniques. Eur J Radiol. 2010;75(1):32–6.PubMedCrossRef
24.
Zurück zum Zitat Bale R, Widmann G, Schullian P, Haidu M, Pall G, Klaus A, et al. Percutaneous stereotactic radiofrequency ablation of colorectal liver metastases. Eur Radiol. 2012;22(4):930–7.PubMedCrossRef
25.
Zurück zum Zitat Haidu M, Dobrozemsky G, Schullian P, Widmann G, Klaus A, Weiss H, et al. Stereotactic radiofrequency ablation of Unresectable Intrahepatic cholangiocarcinomas: a retrospective study. Cardiovasc Intervent Radiol. 2011;35(5):1074–82.PubMedCrossRef
26.
Zurück zum Zitat Bale R, Schullian P, Eberle G, Putzer D, Zoller H, Schneeberger S, et al. Stereotactic radiofrequency ablation of hepatocellular carincoma—A histopathological study in explanted livers. J Hepatol. 2019;70(3):840–50.CrossRef
27.
Zurück zum Zitat Mazzaferro V, Battiston C, Perrone S, Pulvirenti A, Regalia E, Romito R, et al. Radiofrequency ablation of small hepatocellular carcinoma in cirrhotic patients awaiting liver transplantation: a prospective study. Ann Surg. 2004;240:900–9.PubMedPubMedCentralCrossRef
28.
Zurück zum Zitat Don W, Zhan T, Wang ZG, Liu H. Clinical outcome of small hepatocellular carcinoma after different treatments: a meta-analysis. World J Gastroenterol. 2014;20(29):10174–82.CrossRef
29.
Zurück zum Zitat Oshowo A, Gillams AR, Lees WR, Taylor I. Radiofrequency ablation extends the scope of surgery in colorectal liver metastases. Eur J Surg Oncol. 2003;29:244–7.PubMedCrossRef
30.
Zurück zum Zitat Mulier S, Mulier P, Ni Y, Miao Y, Dupas B, Marchal G, et al. Complications of radiofrequency coagulation of liver tumours. Br J Surg. 2002;89(10):1206–22.PubMedCrossRef
31.
Zurück zum Zitat Livraghi T, Solbiati L, Meloni MF, Gazelle GS, Halpern EF, Goldberg SN. Treatment of focal liver tumors with percutaneous radiofrequency ablation: complications encountered in a multicenter study. Radiology. 2003;226(2):441–51.PubMedCrossRef
32.
Zurück zum Zitat Choi D, Lim HK, Kim MJ, Kim SJ, Kim SH, Lee WJ, et al. Liver abscess after percutaneous radiofrequency ablation for hepatocellular carcinomas: frequency and risk factors. AJR Am J Roentgenol. 2005;184:1860–7.PubMedCrossRef
33.
Zurück zum Zitat Lin SM, Lin CJ, Lin CC, Hsu CW, Chen YC. Radiofrequency ablation improves prognosis compared with ethanol injection for hepatocellular carcinoma 〈 or =4 cm. Gastroenterology. 2004;127:1714–23.PubMedCrossRef
34.
Zurück zum Zitat Lin SM, Lin CJ, Lin CC, Hsu CW, Chen YC. Randomised controlled trial comparing percutaneous radiofrequency thermal ablation, percutaneous ethanol injection, and percutaneous acetic acid injection to treat hepatocellular carcinoma of 3 cm or less. Gut. 2005;54:1151–6.PubMedPubMedCentralCrossRef
35.
Zurück zum Zitat Shiina S, Teratani T, Obi S, Sato S, Tateishi R, Fujishima T, et al. A randomized controlled trial of radiofrequency ablation with ethanol injection for small hepatocellular carcinoma. Gastroenterology. 2005;129:122–30.PubMedCrossRef
36.
Zurück zum Zitat Lencioni RA, Allgaier HP, Cioni D, Olschewski M, Deibert P, Crocetti L, et al. Small hepatocellular carcinoma in cirrhosis: randomized comparison of radiofrequency thermal ablation versus percutaneous ethanol injection. Radiology. 2003;228:235–40.PubMedCrossRef
37.
Zurück zum Zitat Chen MS, et al. A prospective randomized trial comparing percutaneous local ablative therapy and partial hepatectomy for small hepatocellular carcinoma. Ann Surg. 2006;243(3):321–8.PubMedPubMedCentralCrossRef
38.
Zurück zum Zitat Feng K, Yan J, Li X, et al. A randomized controlled trial of radiofrequency ablation and surgical resection in the treatment of small hepatocellular carcinoma. J Hepatol. 2012;57(4):794–802.PubMedCrossRef
39.
Zurück zum Zitat Fang Y, Chen W, Liang X, et al. Comparison of long-term effectiveness and complications of radiofrequency ablation with hepatectomy for small hepatocellular carcinoma. J Gastroenterol Hepatol. 2014;29(1):193–200.PubMedCrossRef
40.
Zurück zum Zitat Huang J, Zeng Y, Wu H, Chen Z, Lu Q. A randomized trial comparing radiofrequency ablation and surgical resection for HCC conforming to the Milan criteria. Ann Surg. 2011;254(5):839.CrossRef
41.
Zurück zum Zitat Leitlinienprogramm Onkologie (Deutsche Krebsgesellschaft, Deutsche Krebshilfe, AWMF). Diagnostik und Therapie des hepatozellulären Karzinoms, Langversion 1.0, AWMF Registrierungsnummer: 032-053OL. https://www.leitlinienprogramm-onkologie.de/leitlinien/hepatozellulaeres-karzinom-hcc/.
42.
Zurück zum Zitat Guo W, He X, Li Z, Li Y. Combination of transarterial chemoembolization (TACE) and radiofrequency ablation (RFA) vs. surgical resection (SR) on survival outcome of early Hepatocellular carcinoma: a meta-analysis. Hepatogastroenterology. 2015;62(139):710–4.PubMed
43.
Zurück zum Zitat Feng K, Yan J, Li X, et al. A randomized controlled trial of radiofrequency ablation and surgical resection in the treatment of small hepatocellular carcinoma. J Hepatol. 2012;57(4):794–802.PubMedCrossRef
44.
Zurück zum Zitat Fang Y, Chen W, Liang X, et al. Comparison of long-term effectiveness and complications of radiofrequency ablation with hepatectomy for small hepatocellular carcinoma. J Gastroenterol Hepatol. 2014;29(1):193–200.PubMedCrossRef
45.
Zurück zum Zitat Huang J, Zeng Y, Wu H, Chen Z, Lu Q. A randomized trial comparing Radiofrequency ablation and surgical resection for HCC conforming to the Milan criteria. Ann Surg. 2011;254(5):839.CrossRef