Zum Inhalt

Pulmonale Beteiligung bei systemischer Sklerose

Erschienen in:

Zusammenfassung

Die systemische Sklerose (SSc) ist eine schwerwiegende autoimmune Bindegewebserkrankung, die jedes Organ betreffen kann. Die Haupttodesursache der SSc ist jedoch bedingt durch pulmonale Komplikationen, die sich entweder als interstitielle (ILD) oder als vaskuläre Lungenerkrankung (pulmonale Hypertonie, PH) manifestieren können. Die Diagnostik ist mehrstufig und erfolgt in der Regel über funktionelle und bildmorphologische Diagnostik. Die definitive Abklärung sowie Behandlung beider Komplikationen sollten im Expertenzentrum erfolgen.
QR-Code scannen & Beitrag online lesen

Hinweis des Verlags

Der Verlag bleibt in Hinblick auf geografische Zuordnungen und Gebietsbezeichnungen in veröffentlichten Karten und Institutsadressen neutral.

Einleitung

Die systemische Sklerose (SSc) ist eine schwerwiegende autoimmune Multiorganerkrankung gekennzeichnet durch Inflammation, Fibrosierung und exzessive Kollageneinlagerung im Gewebe. Die Erkrankung führt zu verminderter Lebensqualität sowie drastisch verkürzter Überlebenszeit für betroffene PatientInnen. Die pulmonale Hypertonie (PH) und die interstitielle Lungenerkrankung (ILD) sind häufige pulmonale Manifestationen. Sie sind besonders gefürchtet und haben oft entscheidenden Einfluss auf den Krankheitsverlauf. Gemäß der derzeitigen Datenlage sind diese beiden pulmonalen Manifestationen für mehr als 30 % aller Todesfälle bei SSc-PatientInnen und bis zu 60 % der SSc-assoziierten Mortalität verantwortlich [1]. Im folgenden Text werden diese beiden Komplikationen daher genauer betrachtet.

Die pulmonale Hypertonie

Bei der pulmonalen Hypertonie kommt es zu einem Druckanstieg in den Pulmonalarterien auf > 20 mm Hg, gemessen mittels Rechtsherzkatheter [2]. Auch bei der SSc kann die Ursache mannigfaltig sein, weshalb die richtige Diagnostik und das korrekte klinische Management von essenzieller Bedeutung sind.

Die korrekte Klassifizierung der PH ist besonders wichtig

Die PH wird gemäß World Health Organization (WHO) in 5 Gruppen unterteilt, je nachdem welche hämodynamische Konstellation sowie Begleiterkrankung vorliegt [2].
Die häufigste PH-Form bei SSc ist die pulmonal-arterielle Hypertonie
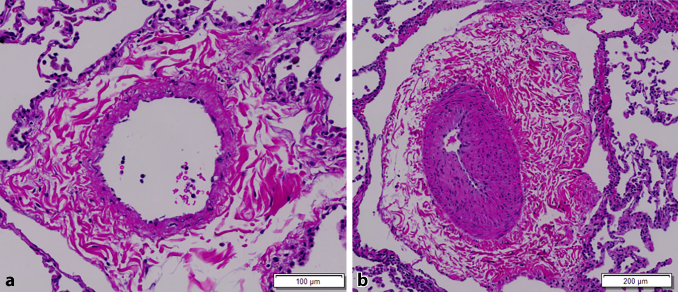
Die häufigste PH-Form bei SSc ist die pulmonal-arterielle Hypertonie (PAH), bei der primär die Lungengefäße von der Erkrankung betroffen sind (Gruppe-1-PH). Hier kommt es zu einem unumkehrbaren Gefäß-Remodeling der Pulmonalarterien (Abb. 1) und dadurch zu einer Erhöhung des pulmonalen Gefäßwiderstands auf > 2 „wood units“, die in weiterer Folge zu einer Nachlasterhöhung des rechten Ventrikels und unbehandelt zu Rechtsherzversagen und Tod führt. Für diese Gruppe der PH sind die klassischen bekannten PAH-Medikamente zugelassen [2].
Abb. 1
Hämatoxylin-Eosin-gefärbte histologische Schnitte der Pulmonalarterie einer gesunden Spenderlunge (a) bzw. einer Patientin mit schwerer PAH (b). Bei schwerer PAH zeigt sich ein starkes Gefäß-Remodeling: Das Lumen ist nahezu vollkommen obstruiert und die Intima sowie Media des Gefäßes stark hypertrophiert, muskularisiert und fibrosiert. (© Ludwig Boltzmann Institut für Lungengefäßforschung Graz)
Bild vergrößern
Die Grenze für die Diagnose einer PAH wurde in den aktuellen europäischen Leitlinien der PH beim mittleren Druck von ≥ 25 auf > 20 mm Hg und beim pulmonal-vaskulären Widerstand von 3 auf 2 „wood units“ geändert [2].
Bei der SSc kann die korrekte Klassifizierung der PH Schwierigkeiten bereiten, wenn begleitend eine Beteiligung des Lungenparenchyms (SSc-ILD) vorliegt, die ebenfalls zu einer PH führen kann (Gruppe-3-PH). In diesem Fall handelt es sich dann um eine PH, die mit einer Lungenerkrankung primär assoziiert ist, und nicht um die „klassische“ PAH. Für diese Gruppe der PH werden die gezielten PAH-Medikamente in Europa nicht empfohlen, können aber in spezialisierten Zentren individuell erwogen werden, insbesondere in Fällen einer schweren PH [2].
Die Klassifizierung wird weiters erschwert, da PatientInnen mit SSc auch andere Komorbiditäten aufweisen können. Speziell bei der SSc kann es zu einer Fibrosierung des linken Ventrikels kommen. Daraus resultiert dann eine Linksherzerkrankung mit Erhöhung des pulmonalarteriellen Verschlussdrucks (PAWP = Druck im linken Vorhof) auf über 15 mm Hg, was einer postkapillaren PH entspricht. Liegt diese Konstellation vor, wird die PH in die WHO-Gruppe 2 eingeteilt. Bei den betreffenden PatientInnen sollten keine gezielten PAH-Medikamente eingesetzt werden, da wiederholt gezeigt werden konnte, dass diese sich negativ auf das Überleben auswirken. Die Optimierung der zugrunde liegenden Linksherzerkrankung (Gewichtsreduktion, Lebensstiloptimierung, Herzinsuffizienzmedikation etc.) wird hier empfohlen [2].
Eine weitere Ursache der pulmonalen Hypertonie, die auch bei der SSc vorkommen kann, ist die chronisch-thromboembolische PH (= CTEPH; Gruppe-4-PH), die in ca. 0,5–2 % aller PatientInnen nach einer symptomatischen Lungenembolie auftreten kann. Neben der operativen Sanierung (Pulmonalisendarterektomie), die den Goldstandard darstellt, sind auch die gezielten PAH-Medikamente in dieser Gruppe zugelassen [2].
Die Ursachen und damit auch das klinische Management der PH bei SSc sind sehr divers und komplex
Wie hier gut ersichtlich ist, sind die Ursachen und damit auch das klinische Management der PH bei SSc sehr divers und komplex. Bei Verdacht auf PH sollte daher eine ausführliche Diagnostik in einem spezialisierten Zentrum erfolgen. Damit wird sichergestellt, dass die PatientInnen die richtige Diagnose (PH-Klassifikation) und eine dementsprechend adäquate Therapie erhalten.

Epidemiologie der SSc-PH

Aus dem Blickwinkel der PH spielt die SSc eine besondere Rolle, da sie für 15–30 % aller PAH-Fälle in großen Registern verantwortlich ist [3]. Umgekehrt liegt die Prävalenz von PAH in SSc-Registern bei ca. 5–12 % [4] mit einer Inzidenz von 0,6–2 Fällen pro 100 PatientInnenjahre [57]. Bei SSc-PatientInnen mit einem Hochrisikoprofil, z. B. bei Vorliegen einer verminderten Diffusionskapazität < 60 %, ist die Prävalenz mit 19 % sogar noch höher [8]. Wichtig anzumerken ist, dass in französischen sowie deutschen Registern ca. 30–50 % aller SSc-PH-Fälle postkapillarer Ursache waren (also in erster Linie nicht durch eine PAH, sondern am ehesten durch eine Linksherzerkrankung bedingt; [4, 8]), was die Bedeutung der korrekten klinischen Charakterisierung noch weiter untermauert. Neben der deutlich erhöhten Inzidenz der PAH bei SSc leiden die PatientInnen häufig auch an einer aggressiveren Form der PAH, die mit sogar noch höherer Mortalität verbunden ist als die idiopathische PAH. Zusätzlich zeigte sich im französischen Register, dass die PatientInnen im Mittel bereits 6 Jahre nach SSc-Diagnosestellung eine PAH entwickelt hatten [6].

Klinische Präsentation der SSc-PH

Klinisch präsentieren sich betroffene PatientInnen eher unspezifisch mit einer Belastungsdyspnoe als Leitsymptom, aber auch mit Müdigkeit, Angina pectoris, einer Synkope oder selten mit Husten oder Hämoptysen. Die Ruhedyspnoe sowie Zeichen der Rechtsherzdekompensation (Knöchelschwellung, Aszites) sind Zeichen einer fortgeschrittenen Erkrankung [2].

Diagnostik der SSc-PH

Der Goldstandard für die Diagnose einer PH, egal welcher Ursache, ist die invasive Rechtsherzkatheteruntersuchung. Wichtige Hinweise auf eine PH liefern im klinischen Alltag Routineuntersuchungen wie die Auskultation (betonter zweiter Herzton, Pansystolikum aufgrund der Trikuspidalklappeninsuffizienz), das EKG (Rechtstyp, rechtsventrikulärer „strain“ V2–V4, [in]kompletter Rechtsschenkelblock), die Röntgenuntersuchung des Thorax (Dilatation des Truncus pulmonalis, Rechtsherzhypertrophie) und die Laboruntersuchung (erhöhtes NT-pro-BNP). Die Lungenfunktion zeigt bei PH, wenn nicht gleichzeitig eine Lungenerkrankung vorliegt, einen unauffälligen Befund (evtl. leichtgradige Restriktion). Die DLCO ist jedoch meist leicht- bis mittelgradig reduziert, was oft mit einer respiratorischen Partialinsuffizienz einhergeht (pO2 vermindert, pCO2 normal oder ggf. durch Hyperventilation vermindert). Das wichtigste nichtinvasive diagnostische Tool stellt die Rechtsherzechokardiographie mit Abschätzung des systolischen Pulmonalarteriendrucks (sPAP) und der rechtsventrikulären Funktion und Dimensionen des rechten Herzens dar (Abb. 2). Ist das Trikuspidalinsuffizienzsignal > 3,4 m/s, ist die Wahrscheinlichkeit des Vorliegens einer PH hoch. Aufgrund des erhöhten Risikos, eine PH zu entwickeln, sollten SSc-PatientInnen einmal jährlich auf das Vorliegen einer PH mittels Echokardiographie gescreent werden [2].
Abb. 2
4‑Kammer-Blick in der transthorakalen Echokardiographie einer SSc-PatientIn mit schwerer pulmonal-arterieller Hypertonie. a Stark vergrößerter rechter Vorhof und Ventrikel mit D‑Sign als Zeichen der Druckerhöhung. Linker Ventrikel und Vorhof sind komprimiert. b Trikuspidalinsuffizienz-Jet in der CW-Doppler-Sonographie bei ~ 3,35 m/s (umgerechneter systolischer Druck von ~ 45 mm Hg) als Hinweis auf einen erhöhten pulmonalen Druck. RV rechter Ventrikel, RA rechtes Atrium, LV linker Ventrikel, LA linkes Atrium. (© Klinische Abteilung für Pulmonologie, Medizinische Universität Graz)
Bild vergrößern
Erhärtet sich der Verdacht auf eine PH, sollte die Vorstellung im spezialisierten Zentrum zur weiteren invasiven Abklärung mittels Rechtsherzkatheter erfolgen. Da SSc-PatientInnen eine besonders vulnerable Gruppe darstellen und einer möglichst frühzeitige PH-Abklärung bedürfen, kann die Überweisung sehr niederschwellig gehalten werden [9].

Früherkennung der PH

In den letzten Jahren rückte die Früherkennung des Lungenhochdrucks immer mehr in den Fokus. Noch bis vor Kurzem wurde der Lungenhochdruck mit einem mittleren pulmonalen Druck von ≥ 25 mm Hg definiert. In den aktuellen europäischen PH-Leitlinien wurde diese Grenze auf 20 mm Hg gesenkt [2] – erstens, da gezeigt werden konnte, dass dieser Druck die physiologische Grenze der Norm widerspiegelt [10], und zweitens, da mehr und mehr Studien darauf hinweisen, dass bereits eine milde pulmonale Druckerhöhung (i.e. zwischen 21 und 24 mm Hg) prognostisch relevant ist [11]. Die neue Definition lässt somit eine frühere Diagnose und ggf. frühere Therapie des Lungenhochdrucks zu.
Klinisch präsentieren sich Betroffene eher unspezifisch mit einer Belastungsdyspnoe als Leitsymptom
Eine zweite Möglichkeit, einen Lungenhochdruck frühzeitig zu erkennen, stellt die Belastungsuntersuchung dar. Speziell bei SSc-PatientInnen, die normale Ruhewerte aufweisen, konnte gezeigt werden, dass ein überproportionaler pulmonaler Druckanstieg bei Belastung („Belastungs-PH“) eine zukünftige Ruhe-PH vorhersagen kann [12, 13]. Zusätzlich ist die Belastungs-PH auch ein unabhängiger Parameter für das Langzeitüberleben bei SSc-PatientInnen [14, 15]. Somit ist die Untersuchung bei Belastung in diesem Kollektiv nicht nur diagnostisch, sondern auch prognostisch relevant. Eine spezifische PAH-Therapie ist bei Belastungs-PH jedoch derzeit, außerhalb klinischer Studien in Expertenzentren, nicht indiziert [9].

Therapie der PH

Die Therapiemöglichkeiten basieren auf der im Einzelfall vorliegenden PH-Form (PH-Klassifikation). Bei der PAH haben sich die Therapiemöglichkeiten in den letzten Jahrzehnten vervielfältigt, sind abhängig vom Schweregrad und sollen im Verlauf nach regelmäßiger klinischer Reevaluierung je nach Ansprechen weiter angepasst werden. Die 3 Hauptpfeiler einer akkuraten Therapie beinhalten supportive Maßnahmen (LTOT, Rehabilitation, körperliches Training, psychologische Unterstützung, diuretische Therapie), die PAH-spezifische medikamentöse Therapie je nach Risikoprofil und die ständige Reevaluierung einer bestehenden Therapie [2].
Wichtig.
Die Einleitung einer PAH-gezielten Therapie sollte ausschließlich in einem spezialisierten Zentrum erfolgen [2].

Interstitielle Lungenerkrankung bei SSc

Epidemiologie und Risikofaktoren der SSc-ILD

Bei 50–65 % aller SSc-Patientinnen lassen sich in der hochauflösenden Computertomographie (HRCT) basal betonte interstitielle Veränderungen unterschiedlichen Ausmaßes nachweisen. In vielen Fällen sind diese im Verlauf progredient und die fortschreitende SSc-ILD ist letztendlich mit einem Drittel aller Todesfälle die häufigste zum Tod führende Komplikation bei SSc-PatienInnen. Aus diesem Grund ist bei allen PatientInnen ein frühzeitiges und regelmäßiges SSc-ILD-Screening unbedingt erforderlich. Wesentliche Risikofaktoren für eine progrediente SSc-ILD sind die diffuse kutane SSc, männliches Geschlecht, Anti-Scl-70-/Anti-Topoisomerase-I-Antikörper [16, 17].

Klinische Präsentation der SSc-ILD

Die SSc ist eine Erkrankung, bei der im Allgemeinen zu Beginn nicht die respiratorische Symptomatik führend ist. Oftmals beginnt das später komplexe Krankheitsbild mit dem Raynaud-Phänomen. Dieses zeigt sich bei limitierter kutaner SSc in vielen Fällen schon 5–10 Jahre vor Manifestation anderer Symptome oder im Fall der diffusen kutanen SSc auch 1–2 Jahre vor anderen Symptomen [18]. Zur Frühdiagnose hat hier besonders die Kapillarmikroskopie einen großen Stellenwert. Bei der initialen Diagnosestellung helfen die Klassifikationskriterien des American College of Rheumatology (ACR) bzw. der European League Against Rheumatism (EULAR).
Kommt es im weiteren Verlauf der Erkrankung zu einer interstitiellen Lungenbeteiligung, zeigt sich diese im Allgemeinen über langsam progrediente Symptome in Form von trockenem Husten, Dyspnoe und auskultatorisch basalem Knistern. In seltenen, schweren Fällen kann es zu einer reduzierten Brustmobilität kommen [19]. Auch wenn die respiratorische Symptomatik oft erst zu einem späteren Zeitpunkt auftritt, gibt es in Form der „SSc sine scleroderma“ eine Unterform der SSc, bei der sie führend ist [20].
Bei Erstvorstellung soll in allen Fällen zeitnah eine pulmologische Evaluierung inklusive Auskultation (basales Knisterrasseln bei Fibrose), eine HRCT des Thorax und eine umfassende Lungenfunktionsprüfung erfolgen.

Diagnostik der SSc-ILD

PatientInnen mit SSc-ILD präsentieren sich häufig mit unspezifischen Symptomen wie zunehmender Dyspnoe und trockenem Husten, die über Monate bis Jahre fortschreiten können. Diese Symptome sind jedoch nicht spezifisch für ILD und können bei anderen pulmonalen oder kardialen Erkrankungen auftreten.
Bei SSc-PatientInnen ist eine systematische Screeningstrategie unerlässlich
Daher ist bei SSc-Patienten eine systematische Screeningstrategie unerlässlich. Regelmäßige klinische Beurteilungen und anamnestische Erhebungen helfen, subtile Anzeichen einer ILD frühzeitig zu erkennen und entsprechende Diagnostik gezielt einzusetzen.

Lungenfunktionstests

Lungenfunktionstests sind wesentliche Bestandteile der Diagnose und Verlaufsbeobachtung von SSc-ILD. Typische Veränderungen sind ein restriktives Lungenfunktionsprofil mit herabgesetzter forcierter Vitalkapazität (FVC) und reduzierter Diffusionskapazität für Kohlenmonoxid (DLCO; [21]). Dennoch gibt es zahlreiche Patienten, die trotz normaler Lungenfunktionstests bereits eine Fibrose in der Bildgebung aufweisen [21]. Daher stellt die Lungenfunktionsdiagnostik kein adäquates Screeningtool dar, ist jedoch sehr wichtig in der Verlaufsbeobachtung [2225].
Besonders in Kombination zeigen sich die FVC und die DLCO als gute Parameter zur Krankheitsprogressionsbeurteilung. So zeigen Goh et al. in ihrer Studie aus dem Jahr 2017, dass ein Abfall der FVC um > 10 % vom Ausgangswert bzw. 5–9 % innerhalb eines Jahrs und/oder ein Abfall der DLCO um > 15 % innerhalb eines Jahrs einen progredienten Krankheitsverlauf darstellen [26].
Das Risiko von Lungenschäden ist besonders in den ersten Jahren nach Auftreten der Krankheit erhöht
Das Risiko der Entwicklung von Lungenschäden ist besonders in den ersten Jahren nach Auftreten der Krankheit erhöht. Daher empfehlen sich besonders zu Beginn regelmäßige Lungenfunktionstests alle 4–6 Monate inklusive FVC und DLCO, zumindest in den ersten 3–5 Jahren [27]. Sollte es innerhalb dieses Zeitraums nicht zu einer SSc-ILD gekommen oder die Lungenfunktion stabil sein, können die Kontrollen auf einmal pro Jahr reduziert werden.

Bildgebung

Die HRCT des Thorax ist das zentrale diagnostische Instrument zum frühzeitigen Ausschluss einer SSc-ILD. Sie bietet eine detaillierte radiologische Darstellung der Lungenstruktur und erlaubt die Identifizierung spezifischer pathologischer Muster, die für die Erkrankung charakteristisch sind. Eine HRCT-Untersuchung sollte zeitnah bei allen, inklusive pulmonal asymptomatischen, SSc-Patienten nach initialer SSc-Diagnosestellung erfolgen [28].
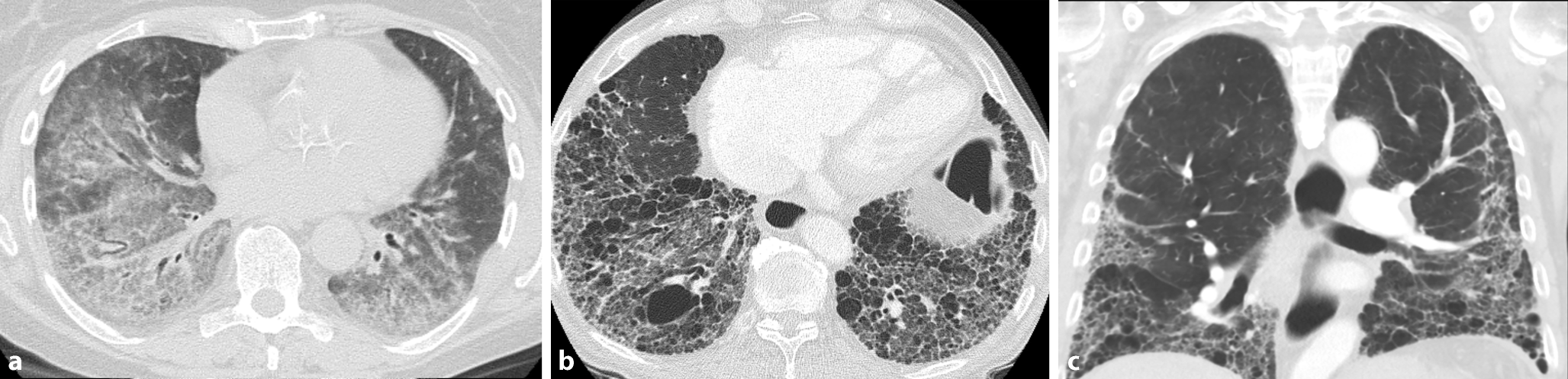
Das häufigste auftretende radiologische Muster bei einer SSc-ILD ist die nichtspezifische interstitielle Pneumonie (NSIP: überwiegend Milchglasinfiltrate, kein „honeycombing“, keine ausgeprägten Traktionsbronchiektasen) mit 70–80 %, gefolgt von der gewöhnlichen interstitiellen Pneumonie (UIP: wenige oder keine Milchglasinfiltrate aber „honeycombing“ oder ausgeprägte Traktionsbronchiektasen) in 10 % der Fälle (Abb. 3; [29]).
Abb. 3
SSc-typische Veränderungen in der HRCT. a NSIP-Muster mit überwiegend Milchglasinfiltraten. b UIP-Muster ohne Milchglasinfiltrate, aber mit ausgeprägtem „honeycombing“ und Traktionsbronchiektasen. c Ebenfalls UIP-Muster, aber hier gut dargestellt die basale Betonung der Lungenveränderungen bei der SSc-ILD
Bild vergrößern
HRCT-Muster bei SSc-ILD:
  • Milchglasinfiltrate: Diese stellen unscharf begrenzte, erhöhte Dichteareale dar, die auf eine aktive Entzündung oder beginnende Fibrose hinweisen. Milchglasinfiltrate sind oft ein frühes Zeichen einer SSc-ILD und deuten auf reversible Krankheitsprozesse hin. Ihre Anwesenheit kann auf eine potenzielle Ansprechbarkeit auf eine immunsuppressive Therapie hindeuten.
  • Retikuläres Muster: Diese Strukturveränderungen resultieren aus der Verdickung der interlobulären Septen und subpleuralen Lungenareale. Sie signalisieren eine fortschreitende Fibrosierung und sind häufig in Verbindung mit Milchglasinfiltraten zu finden. Das Vorhandensein von retikulären Veränderungen zeigt eine fortgeschrittenere Krankheitsphase an.
  • Traktionsbronchiektasen: Diese entstehen durch den zunehmenden fibrotischen Zug an den Bronchien, was zu einer irreversiblen Erweiterung der Atemwege führt. Ihre Präsenz in der HRCT ist ein Hinweis auf eine bereits chronische und fortschreitende Erkrankung.
  • „Honeycombing“: Diese schwerwiegenden Veränderungen sind gekennzeichnet durch kleine, regelmäßig angeordnete Zysten mit verdickten Wänden und stellen ein typisches Zeichen für eine fortgeschrittene Lungenfibrose dar. Entsprechende Strukturänderungen sind typischerweise in den subpleuralen Regionen der Lunge lokalisiert, weisen auf eine irreversible Zerstörung des Lungengewebes hin und sind oft mit einer besonders schlechten Prognose assoziiert.
Radiologische Zeichen einer pulmonalen Fibrose finden sich bei bis zu 90 % aller SSc-PatientInnen, Milchglasinfiltrate bei 50 % [29], „honeycombing“ bei bis zu einem Drittel der Patienten [30]. Das Ausmaß der Lungenveränderungen in der HRCT-Untersuchung korreliert invers mit der FVC und hängt stark mit der Mortalität zusammen [31]. Ein Lungenemphysem kann unabhängig von den bereits genannten Mustern vorhanden sein, wobei eine kombinierte pulmonale Fibrose mit auch Lungenemphysem in etwa 7–18 % der Patienten mit SSc-ILD auftritt und mit einer schlechteren Prognose assoziiert ist [3234].
Radiologische Zeichen einer pulmonalen Fibrose finden sich bei bis zu 90 % aller SSc-PatientInnen
Weitere, nichtlungenspezifische Veränderungen in der HRCT bei systemischer Sklerose können ein erweiterter Ösophagus, Weichteilkalzifikationen und vergrößerte mediastinale Lymphknoten sein [3537].
Die Thoraxsonographie zur frühzeitigen Erkennung einer SSc-ILD wird zunehmend diskutiert. Zum primären SSc-ILD-Screening wird aber zunächst weiterhin die HRCT empfohlen. Bei asymptomatischen PatientInnen mit einem unauffälligen HRCT zum Zeitpunkt der SSc-Erstdiagnose kann jedoch zur Verlaufskontrolle die jährliche transthorakale Ultraschalluntersuchung erwogen werden. Bei Vorliegen eines positiven Lungenultraschallbefunds wird dann eine ergänzende HRCT zur weiterführenden Abklärung als nichtinvasiver Goldstandard der ILD-Diagnose empfohlen [38].

Bronchoskopie

Die Bronchoskopie (BSK) spielt lediglich eine ergänzende Rolle in der Diagnostik der SSc-ILD. Sie wird vornehmlich dann verwendet, wenn die Diagnose unklar bleibt oder zusätzliche Informationen zur Beurteilung der Krankheit erforderlich sind.
Eine bronchoalveoläre Lavage (BAL) präsentiert sich in etwa 50 % aller SSc-ILD-PatientInnen mit unspezifischen Auffälligkeiten [39]. Häufig findet sich eine erhöhte Zellzahl, eine erhöhte relative Zahl an Neutrophilen und/oder Eosinophilen, seltener auch eine vermehrte Lymphozytenzahl verbunden mit einer Herabsetzung der CD4-CD8-Ratio [40]. Ein prognostischer Nutzen der BAL zeigte sich bisher jedoch nicht [41].
Eine histologische Probengewinnung mittels Lungenbiopsie ist nur bei unklaren radiologischen Befunden oder Verdacht auf Malignität indiziert. Die vorherrschenden histologischen Muster sind auch hier die NSIP und die UIP [4244]. Zum Zeitpunkt der Lungentransplantation ist das UIP-Muster am häufigsten vertreten [45].
Da sich aus der BSK derzeit noch keine eindeutige diagnostische, prognostische oder therapeutische Konsequenz ergibt, sollte sie nicht routinemäßig bei PatientInnen mit diagnostizierter SSc-ILD angewendet werden. Derzeit liegen noch nicht genug Daten vor, um zu sagen, ob der Einsatz von Kryobiopsien hieran etwas ändert [46]. Dennoch können Bronchoskopien in Einzelfällen bei Infektionen, unklaren radiologischen Befunden oder fraglichen Differenzialdiagnosen zur weiterführenden Abklärung angewandt werden.

Labor

Die Bestimmung autoimmuner Marker spielt eine unterstützende Rolle bei der Diagnose und Risikobewertung von SSc-ILD. Der Nachweis von Anti-Scl-70(Anti-Topoisomerase-I)-Antikörpern ist mit einem erhöhten Risiko für die Entwicklung einer SSc-ILD assoziiert, während Antizentromerantikörper eher mit einem erhöhtem Risiko für eine SSc-assoziierte PH korrelieren [4749].
Auch Entzündungsmarker können in der prognostischen Beurteilung eine wichtige Rolle spielen. Phänotypen mit permanent erhöhten Entzündungswerten (C-reaktives Protein > 5 mg/l) zeigten laut Guler et al. ein bis zu 6‑fach erhöhtes Mortalitätsrisiko 5 Jahre nach Beginn der Studie verglichen mit SSc-ILD-Patienten, deren Entzündungsparameter im Normbereich lagen [50].

Therapie der SSc-ILD

Ziele der Therapie sind die Verbesserung der Lebensqualität, eine Reduktion respiratorischer Symptome, eine Verbesserung oder zumindest Stabilisierung der Lungenfunktion bzw. Aufhalten/Verlangsamung der progredienten interstitiellen Veränderungen sowie schlussendlich ein verbessertes Gesamtüberleben.
Zur Erstlinientherapie werden aktuell Mycophenolat, Rituximab, Tocilizumab und Cyclophosphamid als Immunsuppressiva und Nintedanib als antifibrotische Substanz empfohlen [51].
Das Hauptaugenmerk der medikamentösen Therapie liegt auf der Immunsuppression und einer antifibrotischen Therapie
Da die frühen Stadien der SSc-ILD vorwiegend inflammatorisch getriggert sind – was sich auch in den typischen radiologischen Veränderungen mit überwiegend Milchglasinfiltraten, im Verlauf zunächst häufig einem NSIP-Muster entsprechend – nachvollziehen lässt, liegt das primäre Hauptaugenmerk der medikamentösen Therapie auf der Immunsuppression. Es kann jedoch je nach Ausmaß der interstitiellen Veränderungen oder bei rascher Progression sinnvoll sein, eine kombinierte immunsuppressive oder kombiniert immunsuppressiv-antifibrotische Therapie bereits bei Diagnosestellung oder im Krankheitsverlauf zu etablieren. Bei rein fibrotischen Veränderungen ohne Anhalt für eine intrapulmonale Inflammation steht dagegen die antifibrotische Therapie der SSc-ILD im Vordergrund. Die Intensität der Immunsuppression richtet sich in diesem Fall primär nach der Aktivität der extrapulmonalen Krankheitsmanifestation.
Aufgrund der Komplexität und des relevanten Morbiditäts- und Letalitätsrisikos der SSc-ILD sollten Therapieentscheidungen daher in jedem Fall im Rahmen einer multidisziplinären Fallbesprechung (ILD-Board) unter Berücksichtigung rheumatologischer, pulmologischer, radiologischer und ggf. histopathologischer Gesichtspunkte getroffen werden. Eine unter Umständen auch mehrfache Wiederholung des ILD-Boards kann je nach Krankheitsaktivität, Therapieansprechen, Auftreten schwerwiegender Neben- oder Wechselwirkungen der Therapien sinnvoll sein.

Immunsuppression

Eine klassische hochdosierte und prolongierte Kortikosteroidtherapie, wie sie in akuten Krankheitsstadien zahlreicher (auto)inflammatorischer Erkrankungen indiziert ist, ist bei der SSc möglichst zu vermeiden, da diese mit dem gehäuften Auftreten renaler Krisen, einer akuten Form des sklerodermiespezifischen Nierenversagens mit hoher Mortalität, assoziiert ist [52, 53]. Als Grenze wird hierfür eine Tagesäquivalenzdosis von 15 mg Prednisolon über 3 Monate postuliert [54]. Jedoch konnte gezeigt werden, dass intermittierende Kortikosteroidgaben als Prämedikation vor z. B. Rituximab kein Risiko darstellen [55].
Eine hochdosierte und prolongierte Kortikosteroidtherapie ist bei der SSc möglichst zu vermeiden
Zahlreiche klinische Studien überprüften die Wirksamkeit unterschiedlicher immunsuppressiver Substanzen im Hinblick auf eine Stabilisierung der Lungenfunktion (FVC, DLCO), eine Besserung respiratorischer Symptome und den Rückgang oder zumindest das Aufhalten progredienter fibrotischer Veränderungen in der HRCT des Thorax.
Cyclophosphamid war eines der ersten immunsuppressiven Medikamente, das in der Scleroderma Lung Study I einen positiven Effekt auf die SSc-ILD zeigen konnte [56]. Die Verabreichung erfolgt intravenös oder peroral. Aufgrund häufiger hämatologischer und infektiologischer Nebenwirkungen ist dieses jedoch schweren oder rasch progredienten Krankheitsverläufen vorbehalten, da andere Substanzen eine ähnliche Wirkung bei günstigerem Nebenwirkungsprofil aufweisen. Weiters ist eine Cyclophosphamidtherapie über Jahre aufgrund der kumulativen Toxizität nicht möglich.
Mycophenolatmofetil hemmt die Inosinmonophosphatdehydrogenase und in weiterer Folge die B‑ und T‑Zell-Proliferation. Es führt u. a. zu einer signifikanten Verbesserung der FVC, der DLCO, des mRSS und der Lebensqualität [57, 58]. In der Scleroderma Lung Study II war Mycophenolatmofetil (MMF) gegenüber Cyclophosphamid nicht unterlegen bei jedoch deutlich geringeren Nebenwirkungen [59] und wird aufgrund der bisher vorhandenen Daten in der Clinical Practice Guideline der American Thoracic Society 2024 als First-line-Therapie der SSc-ILD empfohlen [54]. Die Verabreichung erfolgt 2‑mal täglich peroral in einer Einzeldosis von 1–1,5 g (max. Tagesdosis 3 g). Ebenso wie bei Cyclophosphamid sind typisch auftretende Nebenwirkungen Blutbildveränderungen, insbesondere Leukopenie, und ein erhöhtes Infektionsrisiko.
In der FaSScinate-Phase-II-Studie wurde Tocilizumab untersucht, ein monoklonaler Antikörper gegen den Interleukin-6-Rezeptor, der in einer Dosis von 162 mg einmal wöchentlich subkutan verabreicht wird. Es konnte der primäre Endpunkt (Überlegenheit im „modified Rodnan skin score“ gegenüber Placebo) nicht erreicht werden, jedoch zeigte sich ein geringerer Abfall der FVC [54, 60]. Diese Wirkung konnte in der FocuSSced-Phase-III-Studie bestätigt werden [61], sodass eine Zulassung für die Behandlung der SSc-ILD durch die FDA im März 2021 erfolgte. Typische Nebenwirkungen sind z. B. Blutbildveränderungen, Leberwerterhöhungen bis hin zum akuten Leberversagen und ein erhöhtes Infektionsrisiko.
Eine weitere immunsuppressive Substanz mit Wirksamkeit auf eine bestehende sklerodermieassoziierte ILD ist Rituximab, ein monoklonaler Antikörper gegen das CD20-Oberflächenantigen von B‑Zellen. Je nach Studiendesign erfolgte die Verabreichung intravenös (375 mg/m2 pro Woche für 4 Wochen sowie nach 6 Monaten [62] oder je 1000 mg im Abstand von 14 Tagen mit Wiederholung nach 6 Monaten [63]) und war Cyclophosphamid auch bei PatientInnen mit schwerem oder rasch progredientem Verlauf nicht unterlegen bei jedoch geringerer Nebenwirkungsrate [64, 65]. Eine Kombination von Rituximab und MMF kann sich bei PatientInnen mit nachgewiesener NSIP (histologisch und/oder in der HRCT des Thorax) positiv auf die FVC und das progressionsfreie Überleben auswirken und zeigte ein günstiges Nebenwirkungsprofil bei nur gering erhöhtem Risiko vorwiegend viraler Infektionen [66].
Vorhandene Studien sowohl zur alleinigen als auch zur kombinierten Therapie mit Rituximab wiesen nur geringe Fallzahlen auf und waren insgesamt „underpowered“, sodass Empfehlungen zur Anwendung von Rituximab mit Vorbehalt ausgesprochen wurden [51].
Neue immunologische Behandlungskonzepte wie die CAR-T-Zell-Therapie sind vielversprechende Ansätze, aber noch Gegenstand klinischer Studien [67].

Antifibrotische Therapie

Nintedanib ist ein Tyrosinkinaseinhibitor, der aufgrund seiner hemmenden Wirkung auf die Gefäßbildung bereits seit Jahren in der Antitumortherapie eingesetzt wird. Es hemmt jedoch auch den Fibroblastenwachstumsfaktor und konnte in 2 Phase-III-Studien (SENSCIS [68, 69] und INBUILD [70]) einen positiven Effekt auf die Stabilisierung der Lungenfunktion bei Sklerodermie-ILD nachweisen. Die Verabreichung erfolgt in einer Dosis von 150 mg 2‑mal täglich peroral und ist insbesondere mit dem sehr häufigen Auftreten gastrointestinaler Nebenwirkungen (z. B. von Durchfällen 75,7 % vs. 31,6 % in der Placebogruppe) assoziiert [70, 71]. Sollte trotz symptomatischer Therapie eine Fortführung in dieser Dosis nicht toleriert werden, kann eine Dosisreduktion auf 100 mg 2‑mal täglich erfolgen.
Eine weitere antifibrotisch wirksame Substanz ist Pirfenidon, das in der Therapie der idiopathischen Lungenfibrose, jedoch nicht der SSc-ILD zugelassen ist. Hierfür fehlt es bis dato an ausreichender Evidenz und es sind größere Studien nötig, um einen möglichen positiven Effekt nachzuweisen.

Nichtmedikamentöse Therapien

Jedem Patienten und jeder Patientin sollte ein sofortiger Rauchstopp bei vorhandenem Nikotinkonsum dringend nahegelegt und bei vorhandenem Therapiewunsch eine medikamentöse Unterstützung sowie verhaltenstherapeutische Maßnahmen angeboten werden.
Impfungen gegen pneumotrope Erreger (COVID, Influenza, Respiratorische Synzytial-Virus, Pneumokokken, Pertussis) reduzieren das Risiko respiratorischer Infektionen, die das Auftreten schwerwiegender ILD-Exazerbationen triggern können. Bei vorhandenen Zeichen eines gastroösophagealen Refluxes kann eine PPI-Therapie sinnvoll sein. Eine Lungentransplantation kann für einen kleinen Anteil an PatientInnen mit SSc-ILD infrage kommen und nach Ausschluss von Kontraindikationen in Erwägung gezogen werden.

Einhaltung ethischer Richtlinien

Interessenkonflikt

M. Hermann, B. Guettler und K. Zeder geben an, dass kein Interessenkonflikt besteht. F. Moazedi-Fürst, H. Flick und E.Talakic machen folgende Angaben: BeraterInnen-/ oder Vortragstätigkeiten bzw. finanzielle Unterstützung bei Forschungsprojekten oder Weiterbildungsveranstaltungen durch Boehringer Ingelheim und MSD. N. Kneidinger macht folgende Angaben: Berater-/ und Vortragstätigkeiten bzw. finanzielle Unterstützung bei Forschungsprojekten oder Weiterbildungsveranstaltungen durch Boehringer Ingelheim.
Für diesen Beitrag wurden von den Autor/-innen keine Studien an Menschen oder Tieren durchgeführt. Für die aufgeführten Studien gelten die jeweils dort angegebenen ethischen Richtlinien.
Open Access Dieser Artikel wird unter der Creative Commons Namensnennung 4.0 International Lizenz veröffentlicht, welche die Nutzung, Vervielfältigung, Bearbeitung, Verbreitung und Wiedergabe in jeglichem Medium und Format erlaubt, sofern Sie den/die ursprünglichen Autor(en) und die Quelle ordnungsgemäß nennen, einen Link zur Creative Commons Lizenz beifügen und angeben, ob Änderungen vorgenommen wurden.
Die in diesem Artikel enthaltenen Bilder und sonstiges Drittmaterial unterliegen ebenfalls der genannten Creative Commons Lizenz, sofern sich aus der Abbildungslegende nichts anderes ergibt. Sofern das betreffende Material nicht unter der genannten Creative Commons Lizenz steht und die betreffende Handlung nicht nach gesetzlichen Vorschriften erlaubt ist, ist für die oben aufgeführten Weiterverwendungen des Materials die Einwilligung des jeweiligen Rechteinhabers einzuholen.
Weitere Details zur Lizenz entnehmen Sie bitte der Lizenzinformation auf http://​creativecommons.​org/​licenses/​by/​4.​0/​deed.​de.

Hinweis des Verlags

Der Verlag bleibt in Hinblick auf geografische Zuordnungen und Gebietsbezeichnungen in veröffentlichten Karten und Institutsadressen neutral.
download
DOWNLOAD
print
DRUCKEN
Titel
Pulmonale Beteiligung bei systemischer Sklerose
Verfasst von
Maria Hermann
Bastian Guettler
Katarina Zeder
Florentine Moazedi-Fürst
Emina Talakic
Nikolas Kneidinger
Dr. Holger Flick
Publikationsdatum
05.12.2024
Verlag
Springer Vienna
Erschienen in
rheuma plus / Ausgabe 3/2025
Print ISSN: 1868-260X
Elektronische ISSN: 2191-2610
DOI
https://doi.org/10.1007/s12688-024-00808-x
1.
Zurück zum Zitat Tyndall AJ, Bannert B, Vonk M, Airo P, Cozzi F, Carreira PE, Bancel DF, Allanore Y, Muller-Ladner U, Distler O, Iannone F, Pellerito R, Pileckyte M, Miniati I, Ananieva L, Gurman AB, Damjanov N, Mueller A, Valentini G, Riemekasten G, Tikly M, Hummers L, Henriques MJS, Caramaschi P, Scheja A, Rozman B, Ton E, Kumanovics G, Coleiro B, Feierl E, Szucs G, Von Muhlen CA, Riccieri V, Novak S, Chizzolini C, Kotulska A, Denton C, Coelho PC, Kotter I, Simsek I, de la Pena Lefebvre PG, Hachulla E, Seibold JR, Rednic S, Stork J, Morovic-Vergles J, Walker UA (2010) Causes and risk factors for death in systemic sclerosis: a study from the EULAR Scleroderma Trials and Research (EUSTAR) database. Ann Rheum Dis 69:1809–1815PubMedCrossRef
2.
Zurück zum Zitat Humbert M, Kovacs G, Hoeper MM, Badagliacca R, Berger RMF, Brida M, Carlsen J, Coats AJS, Escribano-Subias P, Ferrari P, Ferreira DS, Ghofrani HA, Giannakoulas G, Kiely DG, Mayer E, Meszaros G, Nagavci B, Olsson KM, Pepke-Zaba J, Quint JK, Radegran G, Simonneau G, Sitbon O, Tonia T, Toshner M, Vachiery J, Vonk Noordegraaf A, Delcroix M, Rosenkranz S, ESC/ERS Scientific Document Group (2023) 2022 ESC/ERS Guidelines for the diagnosis and treatment of pulmonary hypertension. Eur Respir J 61:2200879. https://​doi.​org/​10.​1183/​13993003.​00879–2022 PubMedCrossRef
3.
Zurück zum Zitat McGoon MD, Benza RL, Escribano-Subias P, Jiang X, Miller DP, Peacock AJ, Pepke-Zaba J, Pulido T, Rich S, Rosenkranz S, Suissa S, Humbert M (2013) Pulmonary arterial hypertension: epidemiology and registries. J Am Coll Cardiol 62:51CrossRef
4.
Zurück zum Zitat Avouac J, Airo P, Meune C, Beretta L, Dieude P, Caramaschi P, Tiev K, Cappelli S, Diot E, Vacca A, Cracowski J, Sibilia J, Kahan A, Matucci-Cerinic M, Allanore Y (2010) Prevalence of pulmonary hypertension in systemic sclerosis in European Caucasians and metaanalysis of 5 studies. J Rheumatol 37:2290–2298PubMedCrossRef
5.
Zurück zum Zitat Codullo V, Caporali R, Cuomo G, Ghio S, D’Alto M, Fusetti C, Borgogno E, Montecucco C, Valentini G (2013) Stress Doppler echocardiography in systemic sclerosis: evidence for a role in the prediction of pulmonary hypertension. Arthritis Rheum 65:2403–2411PubMedCrossRef
6.
Zurück zum Zitat Hachulla E, Launay D, Mouthon L, Sitbon O, Berezne A, Guillevin L, Hatron P, Simonneau G, Clerson P, Humbert M, French PAH-SSc Network (2009) Is pulmonary arterial hypertension really a late complication of systemic sclerosis? Chest 136:1211–1219PubMedCrossRef
7.
Zurück zum Zitat Meune C, Avouac J, Airo P, Beretta L, Dieude P, Wahbi K, Caramaschi P, Tiev K, Cappelli S, Diot E, Vacca A, Cracowski J, Sibilia J, Kahan A, Matucci-Cerinic M, Allanore Y (2011) Prediction of pulmonary hypertension related to systemic sclerosis by an index based on simple clinical observations. Arthritis Rheum 63:2790–2796PubMedCrossRef
8.
Zurück zum Zitat Coghlan JG, Wolf M, Distler O, Denton CP, Doelberg M, Harutyunova S, Marra AM, Benjamin N, Fischer C, Grünig E (2018) Incidence of pulmonary hypertension and determining factors in patients with systemic sclerosis. Eur Respir J 51:1701197. https://​doi.​org/​10.​1183/​13993003.​01197–2017 PubMedCrossRef
9.
Zurück zum Zitat Zeder K, Brittain E, Kovacs G, Maron BA (2024) The Management of Mild Pulmonary Hypertension in Clinical Practice. Ann Am Thorac Soc
10.
Zurück zum Zitat Kovacs G, Berghold A, Scheidl S, Olschewski H (2009) Pulmonary arterial pressure during rest and exercise in healthy subjects: a systematic review. Eur Respir J 34:888–894PubMedCrossRef
11.
Zurück zum Zitat Maron BA, Hess E, Maddox TM, Opotowsky AR, Tedford RJ, Lahm T, Joynt KE, Kass DJ, Stephens T, Stanislawski MA, Swenson ER, Goldstein RH, Leopold JA, Zamanian RT, Elwing JM, Plomondon ME, Grunwald GK, Barón AE, Rumsfeld JS, Choudhary G (2016) Association of Borderline Pulmonary Hypertension With Mortality and Hospitalization in a Large Patient Cohort: Insights From the Veterans Affairs Clinical Assessment, Reporting, and Tracking Program. Circulation 133:1240–1248PubMedPubMedCentralCrossRef
12.
Zurück zum Zitat Zeder K, Banfi C, Steinrisser-Allex G, Maron BA, Humbert M, Lewis GD, Berghold A, Olschewski H, Kovacs G (2022) Diagnostic, prognostic and differential-diagnostic relevance of pulmonary hemodynamics during exercise—a systematic review. Eur Respir J. https://​doi.​org/​10.​1183/​13993003.​03181-2021CrossRefPubMedPubMedCentral
13.
Zurück zum Zitat Zeder K, Olschewski H, Kovacs G (2022) Updated definition of exercise pulmonary hypertension. Breathe 18:220232–222022PubMedCrossRef
14.
Zurück zum Zitat Zeder K, Douschan P, Foris V, Sassmann T, Maron BA, Olschewski H, Kovacs G (2024) The prognostic relevance of exercise pulmonary hypertension in cardiac and pulmonary diseases. Curr Opin Pulm Med 30:
15.
Zurück zum Zitat Zeder K, Avian A, Bachmaier G, Douschan P, Foris V, Sassmann T, Moazedi-Fuerst FC, Graninger WB, Hafner F, Brodmann M, Salmhofer W, Olschewski H, Kovacs G (2021) Exercise Pulmonary Resistances Predict Long-Term Survival in Systemic Sclerosis. Chest 159:781–790PubMedCrossRef
16.
Zurück zum Zitat Volkmann ER, Andréasson K, Smith V (2023) Systemic sclerosis. Lancet 401:304–318PubMedCrossRef
17.
Zurück zum Zitat Mismetti V, Si-Mohamed S, Cottin V (2024) Interstitial Lung Disease Associated with Systemic Sclerosis. Semin Respir Crit Care Med 45:342–364PubMedCrossRef
18.
Zurück zum Zitat Volkmann ER, Andreasson K, Smith V (2023) Systemic sclerosis. Lancet 401:304–318PubMedCrossRef
19.
Zurück zum Zitat Fischer A, Lee JS, Cottin V (2015) Interstitial lung disease evaluation: detecting connective tissue disease. Respiration 90:177–184PubMedCrossRef
20.
Zurück zum Zitat Diab S, Dostrovsky N, Hudson M, Tatibouet S, Fritzler MJ, Baron M, Khalidi N, Canadian Scleroderma Research Group. (2014) Systemic sclerosis sine scleroderma: a multicenter study of 1417 subjects. J Rheumatol 41:2179–2185PubMedCrossRef
21.
Zurück zum Zitat Tashkin DP, Elashoff R, Clements PJ, Goldin J, Roth MD, Furst DE, Arriola E, Silver R, Strange C, Bolster M, Seibold JR, Riley DJ, Hsu VM, Varga J, Schraufnagel DE, Theodore A, Simms R, Wise R, Wigley F, White B, Steen V, Read C, Mayes M, Parsley E, Mubarak K, Connolly MK, Golden J, Olman M, Fessler B, Rothfield N, Metersky M, Scleroderma Lung Study Research Group. (2006) Cyclophosphamide versus placebo in scleroderma lung disease. N Engl J Med 354:2655–2666PubMedCrossRef
22.
Zurück zum Zitat Suliman YA, Dobrota R, Huscher D, Nguyen-Kim TDL, Maurer B, Jordan S, Speich R, Frauenfelder T, Distler O (2015) Brief Report: Pulmonary Function Tests: High Rate of False-Negative Results in the Early Detection and Screening of Scleroderma-Related Interstitial Lung Disease. Arthritis Rheumatol 67:3256–3261PubMedCrossRef
23.
Zurück zum Zitat Molberg Ø, Hoffmann-Vold A (2016) Interstitial lung disease in systemic sclerosis: progress in screening and early diagnosis. Curr Opin Rheumatol 28:613–618PubMedCrossRef
24.
Zurück zum Zitat Hoffmann-Vold A, Fretheim H, Halse A, Seip M, Bitter H, Wallenius M, Garen T, Salberg A, Brunborg C, Midtvedt Ø, Lund MB, Aaløkken TM, Molberg Ø (2019) Tracking Impact of Interstitial Lung Disease in Systemic Sclerosis in a Complete Nationwide Cohort. Am J Respir Crit Care Med 200:1258–1266PubMedCrossRef
25.
Zurück zum Zitat Bernstein EJ, Jaafar S, Assassi S, Domsic RT, Frech TM, Gordon JK, Broderick RJ, Hant FN, Hinchcliff ME, Shah AA, Shanmugam VK, Steen VD, Khanna D (2020) Performance Characteristics of Pulmonary Function Tests for the Detection of Interstitial Lung Disease in Adults With Early Diffuse Cutaneous Systemic Sclerosis. Arthritis Rheumatol 72:1892–1896PubMedPubMedCentralCrossRef
26.
Zurück zum Zitat Goh NS, Hoyles RK, Denton CP, Hansell DM, Renzoni EA, Maher TM, Nicholson AG, Wells AU (2017) Short-Term Pulmonary Function Trends Are Predictive of Mortality in Interstitial Lung Disease Associated With Systemic Sclerosis. Arthritis Rheumatol 69:1670–1678PubMedCrossRef
27.
Zurück zum Zitat Denton CP, Khanna D (2017) Systemic sclerosis. Lancet 390:1685–1699PubMedCrossRef
28.
Zurück zum Zitat Khanna D, Distler O, Cottin V, Brown KK, Chung L, Goldin JG, Matteson EL, Kazerooni EA, Walsh SL, McNitt-Gray M, Maher TM (2022) Diagnosis and monitoring of systemic sclerosis-associated interstitial lung disease using high-resolution computed tomography. J Scleroderma Relat Disord 7:168–178PubMedPubMedCentralCrossRef
29.
Zurück zum Zitat Desai SR, Veeraraghavan S, Hansell DM, Nikolakopolou A, Goh NSL, Nicholson AG, Colby TV, Denton CP, Black CM, du Bois RM, Wells AU (2004) CT features of lung disease in patients with systemic sclerosis: comparison with idiopathic pulmonary fibrosis and nonspecific interstitial pneumonia. Radiology 232:560–567PubMedCrossRef
30.
Zurück zum Zitat Goldin JG, Lynch DA, Strollo DC, Suh RD, Schraufnagel DE, Clements PJ, Elashoff RM, Furst DE, Vasunilashorn S, McNitt-Gray MF, Brown MS, Roth MD, Tashkin DP, Scleroderma Lung Study Research Group. (2008) High-resolution CT scan findings in patients with symptomatic scleroderma-related interstitial lung disease. Chest 134:358–367PubMedCrossRef
31.
Zurück zum Zitat Goh NSL, Desai SR, Veeraraghavan S, Hansell DM, Copley SJ, Maher TM, Corte TJ, Sander CR, Ratoff J, Devaraj A, Bozovic G, Denton CP, Black CM, du Bois RM, Wells AU (2008) Interstitial lung disease in systemic sclerosis: a simple staging system. Am J Respir Crit Care Med 177:1248–1254PubMedCrossRef
32.
Zurück zum Zitat Champtiaux N, Cottin V, Chassagnon G, Chaigne B, Valeyre D, Nunes H, Hachulla E, Launay D, Crestani B, Cazalets C, Jego P, Bussone G, Bérezné A, Guillevin L, Revel MP, Cordier JF, Mouthon L, Groupe d’Etudes et de Recherche sur les Maladies « Orphelines » pulmonaires (GERM«O»P). (2019) Combined pulmonary fibrosis and emphysema in systemic sclerosis: A syndrome associated with heavy morbidity and mortality. Semin Arthritis Rheum 49:98–104PubMedCrossRef
33.
Zurück zum Zitat Cottin V, Selman M, Inoue Y, Wong AW, Corte TJ, Flaherty KR, Han MK, Jacob J, Johannson KA, Kitaichi M, Lee JS, Agusti A, Antoniou KM, Bianchi P, Caro F, Florenzano M, Galvin L, Iwasawa T, Martinez FJ, Morgan RL, Myers JL, Nicholson AG, Occhipinti M, Poletti V, Salisbury ML, Sin DD, Sverzellati N, Tonia T, Valenzuela C, Ryerson CJ, Wells AU (2022) Syndrome of Combined Pulmonary Fibrosis and Emphysema: An Official ATS/ERS/JRS/ALAT Research Statement. Am J Respir Crit Care Med 206:e7–e41PubMedCrossRef
34.
Zurück zum Zitat Ariani A, Silva M, Bravi E, Parisi S, Saracco M, De Gennaro F, Caimmi C, Girelli F, De Santis M, Volpe A, Lumetti F, Hax V, Bredemeier M, Alfieri V, Santilli D, Bodini FC, Lucchini G, Mozzani F, Seletti V, Bacchini E, Arrigoni E, Giuggioli D, Chakr R, Idolazzi L, Bertorelli G, Imberti D, Michieletti E, Paolazzi G, Fusaro E, Chetta AA, Scirè CA, Sverzellati N (2019) Overall mortality in combined pulmonary fibrosis and emphysema related to systemic sclerosis. Rmd Open 5:e820–e820PubMedPubMedCentralCrossRef
35.
Zurück zum Zitat Zhang J, Bruesewitz MR, Bartholmai BJ, McCollough CH (2008) Selection of appropriate computed tomographic image reconstruction algorithms for a quantitative multicenter trial of diffuse lung disease. J Comput Assist Tomogr 32:233–237PubMedCrossRef
36.
Zurück zum Zitat Renaud A, Pautre R, Morla O, Achille A, Durant C, Espitia O, Frampas E, Agard C (2022) Thoracic lymphadenopathies in diffuse systemic sclerosis: an observational study on 48 patients using computed tomography. BMC Pulm Med 22:44–yCrossRef
37.
Zurück zum Zitat Hwang J, Misumi S, Sahin H, Brown KK, Newell JD, Lynch DA (2009) Computed tomographic features of idiopathic fibrosing interstitial pneumonia: comparison with pulmonary fibrosis related to collagen vascular disease. J Comput Assist Tomogr 33:410–415PubMedCrossRef
38.
Zurück zum Zitat Grohs M, Moazedi-Fuerst FC, Flick H, Hackner K, Haidmayer A, Handzhiev S, Kiener H, Löffler-Ragg J, Mathis G, Mostbeck G, Schindler O, Widmann G, Prosch H (2022) Value of CT and transthoracic lung ultrasound in patients with systemic sclerosis : Joint statement of the ÖRG/ÖGP/ÖGR/ÖGUM. Z Rheumatol 81:610–618PubMedPubMedCentralCrossRef
39.
Zurück zum Zitat Kowal-Bielecka O, Kowal K, Highland KB, Silver RM (2010) Bronchoalveolar lavage fluid in scleroderma interstitial lung disease: technical aspects and clinical correlations: review of the literature. Semin Arthritis Rheum 40:73–88PubMedCrossRef
40.
Zurück zum Zitat Strange C, Bolster MB, Roth MD, Silver RM, Theodore A, Goldin J, Clements P, Chung J, Elashoff RM, Suh R, Smith EA, Furst DE, Tashkin DP, Scleroderma Lung Study Research Group. (2008) Bronchoalveolar lavage and response to cyclophosphamide in scleroderma interstitial lung disease. Am J Respir Crit Care Med 177:91–98PubMedCrossRef
41.
Zurück zum Zitat Goh NSL, Veeraraghavan S, Desai SR, Cramer D, Hansell DM, Denton CP, Black CM, du Bois RM, Wells AU (2007) Bronchoalveolar lavage cellular profiles in patients with systemic sclerosis-associated interstitial lung disease are not predictive of disease progression. Arthritis Rheum 56:2005–2012PubMedCrossRef
42.
Zurück zum Zitat Fujita J, Yoshinouchi T, Ohtsuki Y, Tokuda M, Yang Y, Yamadori I, Bandoh S, Ishida T, Takahara J, Ueda R (2001) Non-specific interstitial pneumonia as pulmonary involvement of systemic sclerosis. Ann Rheum Dis 60:281–283PubMedPubMedCentralCrossRef
43.
Zurück zum Zitat Bouros D, Wells AU, Nicholson AG, Colby TV, Polychronopoulos V, Pantelidis P, Haslam PL, Vassilakis DA, Black CM, du Bois RM (2002) Histopathologic subsets of fibrosing alveolitis in patients with systemic sclerosis and their relationship to outcome. Am J Respir Crit Care Med 165:1581–1586PubMedCrossRef
44.
Zurück zum Zitat Kim DS, Yoo B, Lee JS, Kim EK, Lim CM, Lee SD, Koh Y, Kim WS, Kim WD, Colby TV, Kitiaichi M (2002) The major histopathologic pattern of pulmonary fibrosis in scleroderma is nonspecific interstitial pneumonia. Sarcoidosis Vasc Diffuse Lung Dis 19:121–127PubMed
45.
Zurück zum Zitat Valenzi E, Cody B, Lafyatis R (2023) Usual interstitial pneumonia is the predominant histopathology in patients with systemic sclerosis receiving a lung transplant. Clin Exp Rheumatol 41:1670–1678PubMedPubMedCentral
46.
Zurück zum Zitat Yamakawa H, Takemura T, Sato S, Takatsuka M, Ohta H, Nishizawa T, Oba T, Kawabe R, Akasaka K, Horikoshi M, Amano M, Kuwano K, Matsushima H (2023) Can transbronchial lung cryobiopsy benefit adaptive treatment strategies in connective tissue disease-associated interstitial lung disease? BMC Pulm Med 23:126–120PubMedPubMedCentralCrossRef
47.
Zurück zum Zitat Nihtyanova SI, Schreiber BE, Ong VH, Rosenberg D, Moinzadeh P, Coghlan JG, Wells AU, Denton CP (2014) Prediction of pulmonary complications and long-term survival in systemic sclerosis. Arthritis Rheumatol 66:1625–1635PubMedCrossRef
48.
Zurück zum Zitat Walker UA, Tyndall A, Czirjak L, Denton C, Farge-Bancel D, Kowal-Bielecka O, Muller-Ladner U, Bocelli-Tyndall C, Matucci-Cerinic M (2007) Clinical risk assessment of organ manifestations in systemic sclerosis: a report from the EULAR Scleroderma Trials And Research group database. Ann Rheum Dis 66:754–763PubMedPubMedCentralCrossRef
49.
Zurück zum Zitat Walker UA, Tyndall A, Czirjak L, Denton C, Farge-Bancel D, Kowal-Bielecka O, Muller-Ladner U, Bocelli-Tyndall C, Matucci-Cerinic M (2007) Clinical risk assessment of organ manifestations in systemic sclerosis: a report from the EULAR Scleroderma Trials And Research group database. Ann Rheum Dis 66:754–763PubMedPubMedCentralCrossRef
50.
Zurück zum Zitat Guler S, Sarbu A, Stalder O, Allanore Y, Bernardino V, Distler J, Gabrielli A, Hoffmann-Vold A, Matucci-Cerinic M, Muller-Ladner U, Ortiz-Santamaria V, Rednic S, Riccieri V, Smith V, Ullman S, Walker UA, Geiser TK, Distler O, Maurer B, Kollert F (2023) Phenotyping by persistent inflammation in systemic sclerosis associated interstitial lung disease: a EUSTAR database analysis. Thorax 78:1188–1196PubMedCrossRef
51.
Zurück zum Zitat Johnson SR, Bernstein EJ, Bolster MB, Chung JH, Danoff SK, George MD, Khanna D, Guyatt G, Mirza RD, Aggarwal R, Allen AJ, Assassi S, Buckley L, Chami HA, Corwin DS, Dellaripa PF, Domsic RT, Doyle TJ, Falardeau CM, Frech TM, Gibbons FK, Hinchcliff M, Johnson C, Kanne JP, Kim JS, Lim SY, Matson S, McMahan ZH, Merck SJ, Nesbitt K, Scholand MB, Shapiro L, Sharkey CD, Summer R, Varga J, Warrier A, Agarwal SK, Antin-Ozerkis D, Bemiss B, Chowdhary V, Dematte D’Amico JE, Hallowell R, Hinze AM, Injean PA, Jiwrajka N, Joerns EK, Lee JS, Makol A, McDermott GC, Natalini JG, Oldham JM, Saygin D, Lakin KS, Singh N, Solomon JJ, Sparks JA, Turgunbaev M, Vaseer S, Turner A, Uhl S, Ivlev I (2024) 2023 American College of Rheumatology (ACR)/American College of Chest Physicians (CHEST) Guideline for the Treatment of Interstitial Lung Disease in People with Systemic Autoimmune Rheumatic Diseases. Arthritis Rheumatol 76:1182–1200PubMedCrossRef
52.
Zurück zum Zitat Steen VD, Medsger TAJ (1998) Case-control study of corticosteroids and other drugs that either precipitate or protect from the development of scleroderma renal crisis. Arthritis Rheum 41:1613–1619PubMedCrossRef
53.
Zurück zum Zitat Trang G, Steele R, Baron M, Hudson M (2012) Corticosteroids and the risk of scleroderma renal crisis: a systematic review. Rheumatol Int 32:645–653PubMedCrossRef
54.
Zurück zum Zitat Raghu G, Montesi SB, Silver RM, Hossain T, Macrea M, Herman D, Barnes H, Adegunsoye A, Azuma A, Chung L, Gardner GC, Highland KB, Hudson M, Kaner RJ, Kolb M, Scholand MB, Steen V, Thomson CC, Volkmann ER, Wigley FM, Burlile D, Kemper KA, Knight SL, Ghazipura M, Treatment of Systemic Sclerosis-associated Interstitial Lung Disease: Evidence-based Recommendations (2024) An Official American Thoracic Society Clinical Practice Guideline. Am J Respir Crit Care Med 209:137–152PubMedPubMedCentralCrossRef
55.
Zurück zum Zitat Odler B, Hebesberger C, Hoeflechner L, Pregartner G, Gressenberger P, Jud P, Zenz S, Eller K, Rosenkranz AR, Moazedi-Fuerst F (2021) Effect of short-interval rituximab and high-dose corticosteroids on kidney function in systemic sclerosis: Long-term experience of a single centre. Int J Clin Pract 75:e14069PubMedCrossRef
56.
Zurück zum Zitat Tashkin DP, Elashoff R, Clements PJ, Goldin J, Roth MD, Furst DE, Arriola E, Silver R, Strange C, Bolster M, Seibold JR, Riley DJ, Hsu VM, Varga J, Schraufnagel DE, Theodore A, Simms R, Wise R, Wigley F, White B, Steen V, Read C, Mayes M, Parsley E, Mubarak K, Connolly MK, Golden J, Olman M, Fessler B, Rothfield N, Metersky M, Scleroderma Lung Study Research Group. (2006) Cyclophosphamide versus placebo in scleroderma lung disease. N Engl J Med 354:2655–2666PubMedCrossRef
57.
Zurück zum Zitat Naidu GSRSNK, Sharma SK, Adarsh MB, Dhir V, Sinha A, Dhooria S, Jain S (2020) Effect of mycophenolate mofetil (MMF) on systemic sclerosis-related interstitial lung disease with mildly impaired lung function: a double-blind, placebo-controlled, randomized trial. Rheumatol Int 40:207–216PubMedCrossRef
58.
Zurück zum Zitat Volkmann ER, Tashkin DP, Li N, Roth MD, Khanna D, Hoffmann-Vold A, Kim G, Goldin J, Clements PJ, Furst DE, Elashoff RM (2017) Mycophenolate Mofetil Versus Placebo for Systemic Sclerosis-Related Interstitial Lung Disease: An Analysis of Scleroderma Lung Studies I and II. Arthritis Rheumatol 69:1451–1460PubMedPubMedCentralCrossRef
59.
Zurück zum Zitat Tashkin DP, Roth MD, Clements PJ, Furst DE, Khanna D, Kleerup EC, Goldin J, Arriola E, Volkmann ER, Kafaja S, Silver R, Steen V, Strange C, Wise R, Wigley F, Mayes M, Riley DJ, Hussain S, Assassi S, Hsu VM, Patel B, Phillips K, Martinez F, Golden J, Connolly MK, Varga J, Dematte J, Hinchcliff ME, Fischer A, Swigris J, Meehan R, Theodore A, Simms R, Volkov S, Schraufnagel DE, Scholand MB, Frech T, Molitor JA, Highland K, Read CA, Fritzler MJ, Kim GHJ, Tseng C, Elashoff RM, Sclerodema Lung Study II Investigators. (2016) Mycophenolate mofetil versus oral cyclophosphamide in scleroderma-related interstitial lung disease (SLS II): a randomised controlled, double-blind, parallel group trial. Lancet Respir Med 4:708–719PubMedPubMedCentralCrossRef
60.
Zurück zum Zitat Khanna D, Denton CP, Jahreis A, van Laar JM, Frech TM, Anderson ME, Baron M, Chung L, Fierlbeck G, Lakshminarayanan S, Allanore Y, Pope JE, Riemekasten G, Steen V, Müller-Ladner U, Lafyatis R, Stifano G, Spotswood H, Chen-Harris H, Dziadek S, Morimoto A, Sornasse T, Siegel J, Furst DE (2016) Safety and efficacy of subcutaneous tocilizumab in adults with systemic sclerosis (faSScinate): a phase 2, randomised, controlled trial. Lancet 387:2630–2640PubMedCrossRef
61.
Zurück zum Zitat Khanna D, Lin CJF, Furst DE, Goldin J, Kim G, Kuwana M, Allanore Y, Matucci-Cerinic M, Distler O, Shima Y, van Laar JM, Spotswood H, Wagner B, Siegel J, Jahreis A, Denton CP, focuSSced investigators. (2020) Tocilizumab in systemic sclerosis: a randomised, double-blind, placebo-controlled, phase 3 trial. Lancet Respir Med 8:963–974PubMedCrossRef
62.
Zurück zum Zitat Daoussis D, Liossis SC, Tsamandas AC, Kalogeropoulou C, Kazantzi A, Sirinian C, Karampetsou M, Yiannopoulos G, Andonopoulos AP (2010) Experience with rituximab in scleroderma: results from a 1-year, proof-of-principle study. Rheumatology 49:271–280PubMedCrossRef
63.
Zurück zum Zitat Ebata S, Yoshizaki A, Oba K, Kashiwabara K, Ueda K, Uemura Y, Watadani T, Fukasawa T, Miura S, Yoshizaki-Ogawa A, Asano Y, Okiyama N, Kodera M, Hasegawa M, Sato S (2021) Safety and efficacy of rituximab in systemic sclerosis (DESIRES): a double-blind, investigator-initiated, randomised, placebo-controlled trial. Lancet Rheumatol 3:e489–e497PubMedCrossRef
64.
Zurück zum Zitat Maher TM, Tudor VA, Saunders P, Gibbons MA, Fletcher SV, Denton CP, Hoyles RK, Parfrey H, Renzoni EA, Kokosi M, Wells AU, Ashby D, Szigeti M, Molyneaux PL, RECITAL Investigators. (2023) Rituximab versus intravenous cyclophosphamide in patients with connective tissue disease-associated interstitial lung disease in the UK (RECITAL): a double-blind, double-dummy, randomised, controlled, phase 2b trial. Lancet Respir Med 11:45–54PubMedCrossRef
65.
Zurück zum Zitat Sircar G, Goswami RP, Sircar D, Ghosh A, Ghosh P (2018) Intravenous cyclophosphamide vs rituximab for the treatment of early diffuse scleroderma lung disease: open label, randomized, controlled trial. Rheumatology 57:2106–2113PubMedCrossRef
66.
Zurück zum Zitat Mankikian J, Caille A, Reynaud-Gaubert M, Agier M, Bermudez J, Bonniaud P, Borie R, Brillet P, Cadranel J, Court-Fortune I, Crestani B, Debray M, Gomez E, Gondouin A, Hirschi-Santelmo S, Israel-Biet D, Jouneau S, Juvin K, Leger J, Kerjouan M, Marquette C, Naccache J, Nunes H, Plantier L, Prevot G, Quetant S, Traclet J, Valentin V, Uzunhan Y, Wémeau-Stervinou L, Bejan-Angoulvant T, Cottin V, Marchand-Adam S, EVER-ILD investigators and the OrphaLung network (2023) Rituximab and mycophenolate mofetil combination in patients with interstitial lung disease (EVER-ILD): a double-blind, randomised, placebo-controlled trial. Eur Respir J. https://​doi.​org/​10.​1183/​13993003.​02071-2022CrossRefPubMed
67.
Zurück zum Zitat Müller F, Taubmann J, Bucci L, Wilhelm A, Bergmann C, Völkl S, Aigner M, Rothe T, Minopoulou I, Tur C, Knitza J, Kharboutli S, Kretschmann S, Vasova I, Spoerl S, Reimann H, Munoz L, Gerlach RG, Schäfer S, Grieshaber-Bouyer R, Korganow A, Farge-Bancel D, Mougiakakos D, Bozec A, Winkler T, Krönke G, Mackensen A, Schett G (2024) CD19 CAR T‑Cell Therapy in Autoimmune Disease—A Case Series with Follow-up. N Engl J Med 390:687–700PubMedCrossRef
68.
Zurück zum Zitat Distler O, Highland KB, Gahlemann M, Azuma A, Fischer A, Mayes MD, Raghu G, Sauter W, Girard M, Alves M, Clerisme-Beaty E, Stowasser S, Tetzlaff K, Kuwana M, Maher TM, SENSCIS Trial Investigators (2019) Nintedanib for Systemic Sclerosis-Associated Interstitial Lung Disease. N Engl J Med 380:2518–2528PubMedCrossRef
69.
Zurück zum Zitat Maher TM, Mayes MD, Kreuter M, Volkmann ER, Aringer M, Castellvi I, Cutolo M, Stock C, Schoof N, Alves M, Raghu G, SENSCIS Trial Investigators. (2021) Effect of Nintedanib on Lung Function in Patients With Systemic Sclerosis-Associated Interstitial Lung Disease: Further Analyses of a Randomized, Double-Blind, Placebo-Controlled Trial. Arthritis Rheumatol 73:671–676PubMedPubMedCentralCrossRef
70.
Zurück zum Zitat Flaherty KR, Wells AU, Cottin V, Devaraj A, Walsh SLF, Inoue Y, Richeldi L, Kolb M, Tetzlaff K, Stowasser S, Coeck C, Clerisme-Beaty E, Rosenstock B, Quaresma M, Haeufel T, Goeldner R, Schlenker-Herceg R, Brown KK, INBUILD Trial Investigators. (2019) Nintedanib in Progressive Fibrosing Interstitial Lung Diseases. N Engl J Med 381:1718–1727PubMedCrossRef
71.
Zurück zum Zitat Seibold JR, Maher TM, Highland KB, Assassi S, Azuma A, Hummers LK, Costabel U, von Wangenheim U, Kohlbrenner V, Gahlemann M, Alves M, Distler O, SENSCIS trial investigators. (2020) Safety and tolerability of nintedanib in patients with systemic sclerosis-associated interstitial lung disease: data from the SENSCIS trial. Ann Rheum Dis 79:1478–1484PubMedCrossRef
Bildnachweise
Histologie/© Ludwig Boltzmann Institut für Lungengefäßforschung Graz