Zum Inhalt

State of the art – Akuttherapie des ischämischen Schlaganfalls

Endovaskuläre Therapie als neuer Therapiestandard

  • Open Access
  • 01.06.2017
  • Neurologie
Erschienen in:
download
DOWNLOAD
print
DRUCKEN
insite
SUCHEN

Zusammenfassung

Lange Zeit galt die systemische Thrombolyse mit rt-PA als einzige evidenzbasierte kausale Akuttherapie des ischämischen Schlaganfalls. Die Ergebnisse von 6 positiven randomisierten Studien liefern in großer Übereinstimmung eine Überlegenheit der mechanischen Thrombektomie bei Verschlüssen der A. cerebri media bzw. der distalen A. carotis interna mittels Stent-Retrievern. Mit einer „number needed to treat“ von 3–8 für ein unabhängiges funktionelles Leben nach 3 Monaten gehört die mechanische Rekanalisation zu den effektivsten Behandlungsmethoden in der Medizin überhaupt. In Österreich gewährleistet ein flächendeckendes Netzwerk aus 38 Stroke Units mit 11 Interventionszentren den Zugang zu dieser Therapie als hohen Standard in der Schlaganfallversorgung.
Der ischämische Schlaganfall zählt zu den häufigsten Erkrankungen in Österreich und ist eine der führenden Ursachen von Morbidität und Mortalität weltweit. Die Versorgung des akuten Schlaganfalls ist eine zentrale Aufgabe der neurologischen Kliniken und erfordert ein gut koordiniertes Teamwork, in erster Linie zwischen Neurologie und Neuroradiologie, aber auch von Gefäßchirurgie und Neurochirurgie.
Zu den vier wirksamsten Behandlungsstrategien für Patienten mit akutem ischämischen Schlaganfall gehören die Behandlung auf einer Schlaganfalleinheit (Stroke Unit), die systemische Lyse mit rekombinantem Gewebe-Plasminogen-Aktivator (rt-PA), die mechanische Thrombektomie mit oder ohne Thrombolyse und die Hemikraniektomie bei malignen Mediainfarkten.
In Österreich gewährleistet ein flächendeckendes Netzwerk aus 38 Stroke Units den hohen Standard in der Schlaganfallversorgung. In 11 Schlaganfallzentren werden regelmäßig neurointerventionelle Eingriffe wie die mechanische Thrombektomie durchgeführt (Abb. 1).
Abb. 1
Interventionszentren in Österreich
Bild vergrößern
Eine potenziell kurative Behandlung des ischämischen Schlaganfalls ist vor allem in den ersten Stunden nach Symptombeginn möglich.
Die systemische Thrombolyse mit rt-PA innerhalb der ersten 4,5 h galt dabei lange Zeit als einzige evidenzbasierte Kausaltherapie. Je nach Zeitpunkt des Behandlungsbeginns können im Vergleich zur Placebo-Behandlung von 1000 Patienten um 20 bis 270 Patienten mehr einen Schlaganfall ohne Behinderung überleben.
Dieser medikamentöse Therapieansatz stößt jedoch auf Grenzen: Der Rekanalisationserfolg beschränkt sich weitgehend auf den Verschluss kleiner Hirngefäße. Es werden niedrige Rekanalisationsraten bei Gefäßverschlüssen der großen Hirnarterien durch große Thrombembolien (Thrombuslänge über 8 mm) erzielt. Die größte Gefahr sind intrazerebrale Blutungen. Einschränkungen ergeben sich durch das kurze Zeitfenster von 4,5 h und durch Kontraindikationen wie z. B. eine Behandlung mit oralen Antikoagulanzien.
Der große Durchbruch in der Akuttherapie von Schlaganfallpatienten mit sog. Hauptstammverschlüssen gelang mit der mechanischen Thrombektomie (MT) mittels Stent-Retrievern. Ältere endovaskuläre Verfahren hatten zunächst keinen signifikanten Vorteil gegenüber einer alleinigen systemischen Lyse gezeigt. Seit Dezember 2014 wurden mehrere positive randomisierte Studien publiziert, die alle eine Überlegenheit dieser Methode lieferten.

Kasuistik 1

Eine 75-jährige Patientin wurde mit dem Notarzt in die neurologische Notfallambulanz transferiert. Der Ehemann berichtete über eine 80 min vor Eintreffen plötzlich einsetzende Schwäche der rechten Körperseite mit fehlender Sprachproduktion. Klinisch-neurologisch zeigte sich bei Aufnahme ein schweres Mediasyndrom linkshirnig mit partieller Blickparese, schwerer brachiofazial betonter Hemiparese rechts und globaler Aphasie entsprechend einem NIH-Stroke Scale (NIHSS) von 17 und modified Ranking Scale (mRS) von 5 Punkten (pre mRS 0). Die Patientin nahm aufgrund einer arteriellen Hypertonie lediglich ein Antihypertensivum ein. Im Aufnahme-EKG wurde ein tachykardes Vorhofflimmern erstdiagnostiziert.
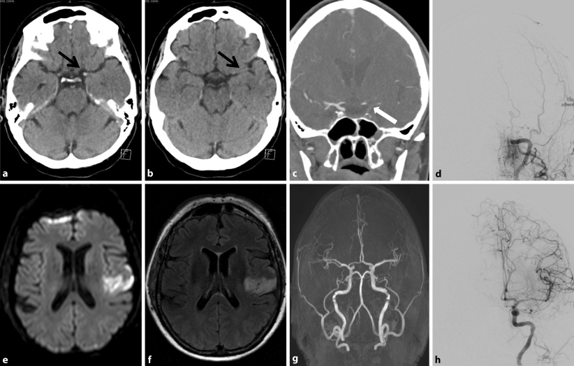
Abb. 2
Kranielle Computertomographie nativ: Dichtes Mediazeichen links (schwarzer Pfeil) ohne Frühinfarktzeichen im Mediastromgebiet (a und b). Computerangiographie mit Kontrastmittel: Karotis-T-Verschluss links (weißer Pfeil) (c). Katheterangiographie: Verschluss der distalen A. carotis interna (d), mechanische Rekanalisation mit vollständiger Rekanalisierung TICI 3 (h). Kranielle Kernspintomographie postinterventionell: ischämischer mittlerer Mediateilinfarkt links (in Diffusion e und in FLAIR f). Intrakranielle Kernspinangiographie 3d-TOF: Rekanalisierung der A. carotis interna links mit unauffälligen Flusssignalen in den Arteriae cerebri mediae und anteriores ohne Stenose (g)
Bild vergrößern
In der kraniellen Computertomographie (cCT) zeigte sich nativ ein hyperdenses Mediazeichen links ohne Frühinfarktzeichen. In der ergänzenden Computerangiographie mit KM (CTA) kam ein Karotis-T-Verschluss links zur Darstellung. Es erfolgte 110 min nach Erstauftreten der Symptome nach Ausschluss von Kontraindikationen eine körpergewichtsdosierte systemische Lyse mit rt-PA. Zeitgleich wurde die Patientin für eine Neurointervention vorbereitet. Katheterangiographisch zeigte sich bereits extrakraniell ein etwa 4 cm langer Verschluss der A. carotis interna (ACI) links. Hier gelang unter Aspiration eine vollständige Rekanalisierung (TICI 3) des vorderen Versorgungsgebietes links (Abb. 2).
Am ersten postinterventionellen Tag beklagte die Patientin geringe Wortfindungsstörungen und eine leichte faziale Parese rechts mit Feinmotorikstörung des rechten Arms (NIHSS 2). Das neurologische Ergebnis der Patientin 90 Tage nach Ereignis stellte keine wesentlichen Einschränkungen im Alltag dar (mRS 1). Als Sekundärprophylaxe bei kardioembolisch bedingtem Schlaganfall erhielt die Patientin eine direkte orale Antikoagulation.

Kasuistik 2

Eine 51-jährige Frau wurde zur Abklärung einer akut aufgetretenen Schwäche der rechten Extremitäten mit unverständlicher Lautentäußerung mit dem Notarzt in die neurologische Ambulanz gebracht. Klinisch-neurologisch zeigte sich bei Übernahme eine schwere Aphasie mit schlaffer Plegie der rechten oberen und hochgradiger Parese der rechten unteren Extremität. Zudem war ein Horner-Syndrom links auffällig. Insgesamt ergab sich ein NIHSS von 16 und ein mRS von 5 Punkten (pre MRS 0). Bei fehlenden ausgedehnten Frühinfarktzeichen mit hyperdensem Mediazeichen links in der cCT wurde nach Ausschluss von Kontraindikationen 2 h 48 min nach Erstauftreten der Symptome eine körpergewichtsdosierte systemische Lyse eingeleitet (Abb. 3).
Abb. 3
Kranielle Computertomographie nativ: Dichtes Mediazeichen links (Pfeil) ohne Frühinfarktzeichen im Mediastromgebiet (a). Computerangiographie mit Kontrastmittel: A.-cerebri-media-Verschluss links (Pfeil), Kaliberschwankungen der A. carotis interna links (Pfeil gestrichelt) (b), unzureichende Kollateralisierung über A. communicans anterior und posterior links bei Hypoplasie (Pfeil gepunktet) (c). Katheterangiographie: Verschluss M1-Segment der A. cerebri media links (Pfeil) und Dissektion der A. carotis interna links (Pfeil gepunktet) (d). Nach mechanischer Rekanalisation komplette Wiedereröffnung der A. cerebri media links (TICI 3) (e und f) sowie Stentimplantation der A. carotis interna links (g). Postinterventionelle Computertomographie nativ: ischämischer Stammganglieninfarkt links (h)
Bild vergrößern
Bei Hauptstammverschluss der A. cerebri media links wurde zudem eine Angiographie in Interventionsbereitschaft prozediert. Hier gelang eine komplette Rekanalisierung (TICI 3). Als Ätiologie zeigte sich eine langstreckige Dissektion der linken ACI vom mittleren extrakraniellen Anteil bis in den intrakraniellen Abschnitt reichend. Bei unzureichender intrakranieller Kollateralisierung des vorderen Stromgebiets links und massiven thrombotischen Auflagerungen im Bereich der ACI links erfolgte ein Remodeling der dissezierten ACI mit Hilfe von zwei teleskopartig ineinander positionierten Stents. Periinterventionell wurde ein GPIIb/IIIa-Rezeptor-Antagonist als Bolus intraarteriell und in weiterer Folge über Perfusor verabreicht. Als Sekundärprophylaxe wurde bereits in der Frühphase mit einer dualen Plättchenfunktionshemmung begonnen.
Am Tag nach der Intervention wies die Patientin eine leichtgradige brachiofaziale Hemiparese rechts mit diskreten Wortfindungsstörungen auf (NIHSS 3). Drei Monate nach Ereignis waren keine relevanten Einschränkungen im Alltag zu bemerken (mRS 1).

Neuer Therapiestandard

Die Ergebnisse von 6 positiven randomisierten Studien (Tab. 1) zeigen in großer Übereinstimmung, dass die MT bei Verschlüssen der A. cerebri media bzw. der distalen A. carotis interna der neue Therapiestandard ist.
Tab. 1
Vergleich der 6 positiven randomisierten Thrombektomiestudien
 
MR CLEAN
(MT/IVT)
ESCAPE
(MT/IVT)
EXTEND-IA
(MT/IVT)
SWIFT-PRIME
(MT/IVT)
REVASCAT
(MT/IVT)
THRACE
(MT/IVT)
Patientenzahl gesamt
500
316
70
196
206
414
Alter, Jahre (Median)
65,8/65,7
71/70
68,6/70,2
66,3/65,0
65,7/67,2
66/68
NIHSS bei Aufnahme (Median)
17/18
16/17
17/13
17/17
17/17
18/17
Gefäßverschluss (ICA/M1/M2/BA), %
27/64/8/0
27/70/3/0
31/54/14/0
17/71/10/0
26/64/9/0
15,5/82/0,5/1
IVT vor MT, %
89
76
100
98
73
100
Zeitpunkt IVT, Minuten (Median)
86
117
136
113
112
152
Zeitpunkt Leistenpunktion, Minuten (Median)
260
185
210
208
269
250
Stent-Retriever, %
81,5
86,1
100
100
100
kA
Rekanalisation (TICI 2b/3), %
58,7
72,4
86
88
66
69
Gutes funktionelles Ergebnis nach 3 Monaten (mRS 0–2), %
32,6/19,1
53/29,3
71/40
60,2/35,5
43,7/28,3
53/42
ARR (NNT), %
13,5 (7)
23,7 (4)
31 (3)
24,7 (4)
15,5 (7)
12 (8)
Blutungsrate, %
7,7/6,4
3,6/2,7
0/6
1/3
4,9/1,9
2/2
MT Mechanische Thrombektomie; IVT Intravenöse Thrombolyse; NIHSS NIH Stroke Scale; mRS modified Ranking Scale; ICA distaler Abschnitt der A. carotis interna; M1 M1-Abschnitt der A. cerebri media; M2 M2-Abschnitt der A. cerebri media; BA A. basilaris; kA keine Angabe; ARR absolute Risikoreduktion; NNT „number needed to treat“ (mRS 0–2 nach 3 Monaten)
Die Österreichische Schlaganfall-Gesellschaft (ÖGSF) fasst im Update 2017 des Positionspapiers zum Akutmanagement und zur Sekundärprävention des Schlaganfalls die Studienlage zur MT wie folgt zusammen: Die „Stent-Retriever“-Technologie hat zu den positiven Studienergebnissen geführt. Die Rekanalisationsrate (TICI 2b/3) liegt zwischen 58,7 % (MR CLEAN) und 88 % (SWIFT-PRIME). Am häufigsten wurden Mediahauptstammverschlüsse (M1-Abschnitt) therapiert (zwischen 54 und 82 %), gefolgt von distalen ACI-Verschlüssen (zwischen 15,5 und 31 %) und Verschlüssen der A. cerebri media im M2-Abschnitt (zwischen 0,5 und 14 %). Lediglich THRACE schloss Patienten mit einem A.-basilaris-Verschluss ein (1 %). Die absolute Risikoreduktion (ARR) für Tod oder schwere Behinderung (mRS 3–6) liegt zwischen 12 bzw. 13,5 % (THRACE, MR CLEAN) und 31 % (EXTEND-IA), entsprechend einer „number needed to treat“ (NNT) zwischen 3 und 8.
Studien mit sehr enger Patientenauswahl (kleine Kernzone des Infarkts, Nachweis von Risikogewebe, vorhandene kollaterale Perfusion) haben die besten Ergebnisse. Aber auch Studien mit breiter Auswahl aufgrund der Ein- und Ausschlusskriterien (kein Nachweis des Gefäßverschlusses mittels CT-Angiographie gefordert oder fehlender Ausschluss größerer Infarzierungen) belegen die Wirksamkeit der MT.
Eine Metaanalyse aller randomisierten Studien zeigt, dass der Nutzen der MT unabhängig vom Alter und auch in verschiedenen Subgruppen nachweisbar ist. Die MT ist wie die intravenöse Thrombolyse (IVT) zeitkritisch und effizienter, je früher sie durchgeführt wird bzw. je schneller nach Symptombeginn eine Reperfusion und Rekanalisation erzielt werden können. Wenn vor der MT eine IVT durchgeführt wurde (was außer bei Vorliegen von Kontraindikationen der Fall war), dann erfolgte diese innerhalb von 4,5 h.
Die Empfehlungen der ÖGSF zur endovaskulären Therapie finden sich in Tab. 2 wieder (für die Einstufung in Evidenzgrad und Empfehlungsstufe wurden die EFNS-Kriterien verwendet). Die MT sollte die Durchführung der IVT (wenn indiziert) nicht verhindern, und die IVT sollte die Durchführung der MT nicht verzögern.
Tab. 2
Empfehlungen zur endovaskulären Therapie
 
Evidenzgrad (Klasse I–IV)
Empfehlungen (Level A–C, GCP)
Die mechanische Thrombektomie wird, in Ergänzung zur intravenösen Thrombolyse (sofern indiziert), bei proximalen Verschlüssen im Bereich der vorderen Zirkulation bis zu einem Zeitfenster von 6 h empfohlen
I, A
Die mechanische Thrombektomie kann auch bei Patienten erwogen werden, die zusätzlich eine Stenose bzw. einen Verschluss im extrakraniellen Abschnitt der A. carotis interna haben
II, A
Ein hohes Alter alleine ist kein Grund, die mechanische Thrombektomie vorzuenthalten
I, A
Bei Kontraindikation für eine intravenöse Thrombolyse (z. B. Behandlung mit Vitamin-K-Antagonisten und INR im therapeutischen Bereich) ist die mechanische Thrombektomie bei proximalem Verschluss der großen Hirnarterien (distaler Verschluss der A. carotis, proximaler Verschluss der A. cerebri media) die Therapie der ersten Wahl
I, A
Patienten mit radiologischen Zeichen eines ausgedehnten Infarkts (z. B. ASPECT-Score <6) sind wahrscheinlich für eine mechanische Thrombektomie nicht geeignet
II, B
Analysen von Größen des Infarkts und der Penumbra durch multimodales Imaging korrelieren mit dem funktionellen Ergebnis nach mechanischer Thrombektomie und können zur Auswahl der Patienten verwendet werden
III, B
Patienten mit akutem Verschluss der A. basilaris können in Ergänzung zur intravenösen Thrombolyse mit mechanischer Thrombektomie behandelt werden
IV, C
Ergebnisse der österreichischen Schlaganfall-Datenbank legen nahe, dass 200 Patienten/1 Mio. Einwohner jährlich mittels MT zu behandeln sein werden. Dabei soll die MT auf Basis des Stroke-Unit-Netzwerks möglichst bald in allen Versorgungsregionen Österreichs über 24 h/7 Tage verfügbar sein. Zur Sicherung der Versorgungsqualität wurde in Österreich ein sog. Endostroke-Register etabliert.

Fazit für die Praxis

  • Mit einer „number needed to treat“ (NNT) von 3–8 für ein unabhängiges funktionelles Leben nach 3 Monaten gehört die mechanische Rekanalisation mit Stent-Retrievern zu den effektivsten Behandlungsmethoden in der Medizin überhaupt.
  • Die mechanische Thrombektomie ist als Therapie der Wahl bei Patienten mit einem Verschluss der distalen A. carotis interna und proximalen A. cerebri media empfohlen.
  • Patienten mit einem Großgefäßverschluss sollten so schnell wie möglich in einer Klinik mit neuroradiologischer Interventionsmöglichkeit und einer Stroke Unit behandelt werden.
  • Der M2-Abschnitt der A. cerebri media kann als Zielgefäß einer mechanischen Rekanalisation betrachtet werden, wenn entsprechend der anatomischen Varianz des Mediahauptstamms der Verschluss eines kaliberstarken und funktionell relevanten M2-Astes zu einem ähnlich schweren neurologischen Defizit wie ein Hauptstammverschluss führen kann.
  • Eine möglichst frühe Rekanalisation ist ein wichtiger Prädiktor für ein gutes funktionelles Ergebnis, sodass analog zur systemischen Lyse der Leitsatz „time is brain“ gilt.
  • Entsprechende regionale Versorgungskonzepte (interdisziplinäre neurovaskuläre Netzwerke) zum Sekundärtransport von Patienten mit Großgefäßverschlüssen unter laufender systemischer Bridging-Lyse (sofern keine Kontraindikationen bestehen) sollten vorangetrieben werden.
Open access funding provided by Paracelsus Medical University.

Einhaltung ethischer Richtlinien

Interessenkonflikt

J.S. Mutzenbach gibt an, dass kein Interessenkonflikt besteht.
Dieser Beitrag beinhaltet keine vom Autor durchgeführten Studien an Menschen oder Tieren.
Open Access. Dieser Artikel wird unter der Creative Commons Namensnennung 4.0 International Lizenz (http://​creativecommons.​org/​licenses/​by/​4.​0/​deed.​de) veröffentlicht, welche die Nutzung, Vervielfältigung, Bearbeitung, Verbreitung und Wiedergabe in jeglichem Medium und Format erlaubt, sofern Sie den/die ursprünglichen Autor(en) und die Quelle ordnungsgemäß nennen, einen Link zur Creative Commons Lizenz beifügen und angeben, ob Änderungen vorgenommen wurden.
download
DOWNLOAD
print
DRUCKEN
Titel
State of the art – Akuttherapie des ischämischen Schlaganfalls
Endovaskuläre Therapie als neuer Therapiestandard
Verfasst von
Dr. Johannes Sebastian Mutzenbach
Publikationsdatum
01.06.2017
Verlag
Springer Vienna
Erschienen in
psychopraxis. neuropraxis / Ausgabe 3/2017
Print ISSN: 2197-9707
Elektronische ISSN: 2197-9715
DOI
https://doi.org/10.1007/s00739-017-0400-z