Zum Inhalt

Sonographische Endometriosediagnostik

Von IDEA zum Swiss Standard 2024

  • Open Access
  • 06.03.2025
  • Gynäkologische Endokrinologie
Erschienen in:

Zusammenfassung

Endometriose ist eine komplexe Erkrankung mit oft verzögerter Diagnosestellung. Aktuelle Entwicklungen in der sonographischen Bildgebung haben das Potenzial, die Diagnostik erheblich zu verbessern. Die transvaginale Sonographie wird als Methode erster Wahl empfohlen, da sie nicht invasiv, aber breit verfügbar ist und dynamische Untersuchungen ermöglicht. Sie kann ovarielle Endometriome, tief infiltrierende Endometriose und Adenomyose mit einer Sensitivität und Spezifität darstellen, die mit der Magnetresonanztomographie mindestens vergleichbar sind. Bei entsprechender Untersuchungstechnik sind Adhäsionen als weitere Endometriosemanifestation gut darstellbar. Einschränkungen bestehen jedoch bei der Darstellung rein peritonealer Endometriose. Protokolle wie das der „International Deep Endometriosis Analysis Group“ (IDEA, 2016) und dessen Erweiterungen bieten strukturierte Ansätze für die Diagnostik. Alternative Protokolle aus den USA und Australien verfolgen teils vereinfachte Ansätze, um die Effizienz und Zugänglichkeit zu erhöhen. Insbesondere das australische „simplified eTVUS“ zielt auf eine Erstdiagnostik ab, während der Swiss Standard umfassendere und detaillierte Untersuchungen nach Checkliste für Experten bietet. Der Swiss Standard legt dabei einen Schwerpunkt auf die dynamische Untersuchung und führt Konzepte wie die „white sliding line“ (WSL) und eine Einteilung des Beckens in fünf einfache Kompartimente ein. Sonographische Zeichen wie das „tent sign“, „tail sign“ und „omega sign“ verbessern die Orientierung und erleichtern die Beurteilung des Peritoneums und der Beckenwand. Trotz der Fortschritte können weder Transvaginalsonographie (TVS) noch Magnetresonanztomographie (MRI) eine Endometriose sicher ausschliessen. Eine Endometrioseabklärung sollte daher immer eine ausführliche Anamnese, klinische Untersuchung und Beratung der Patientin beinhalten. Die Verwendung standardisierter Checklisten und Klassifikationen wie #Enzian erleichtert die Dokumentation und Verlaufsbeurteilung.
QR-Code scannen & Beitrag online lesen

Hinweis des Verlags

Der Verlag bleibt in Hinblick auf geografische Zuordnungen und Gebietsbezeichnungen in veröffentlichten Karten und Institutsadressen neutral.

Einleitung

Endometriose ist eine häufige Erkrankung, welche in den letzten Jahren zunehmend in den Fokus der Öffentlichkeit gelangt ist. Bekanntermassen besteht eine lange Latenzzeit bis zur Diagnosestellung, was unter anderem damit zusammenhängt, dass gewisse Besonderheiten und Einschränkungen im Bereich der Bildgebung bestehen, welche es zu beachten gilt und auf die im Folgenden eingegangen werden soll. Erfreulicherweise gibt es in diesem Bereich neue Entwicklungen und Publikationen, welche die Möglichkeiten einer sonographischen Endometrioseabklärung zunehmend erweitern.

Methoden der Bildgebung: Indikationen, Vor- und Nachteile

Bei Verdacht auf Endometriose soll nach aktuellen internationalen Empfehlungen die transvaginale Sonographie (TVS) als Bildgebung der ersten Wahl eingesetzt werden [13]. Sie ist praktisch universell verfügbar und spielt eine zentrale Rolle im Management von Endometriose im Bereich Diagnosestellung, Operationsplanung, der damit verbundenen Risikoabschätzung sowie zur Verlaufsbeurteilung der Erkrankung [2].
Sonographisch lassen sich ovarielle Endometriome (OMA), tief infiltrierende Endometriose („deep endometriosis“ [DE], definiert als Läsion mit Infiltration tiefer als die Peritonealoberfläche [4]) und Adenomyose (AMO) darstellen. Die Sensitivität und Spezifität ist für diese Entitäten bei geübten UntersucherInnen dabei mit dem MRI vergleichbar [5]. Der grosse Vorteil der Sonographie im Vergleich zur Schnittbildgebung liegt in der Möglichkeit zur dynamischen Untersuchung, welche als zentraler Aspekt in der Endometriosediagnostik zunehmend Bedeutung erlangt und auf die im Weiteren genauer eingegangen wird. Mit dieser Technik können auch Adhäsionen als weitere mögliche Manifestation einer Endometriose dargestellt werden.
Obwohl neuerdings einzelne Arbeiten die sonographische Darstellung einer rein peritonealen Endometriose („superficial endometriosis“ [SUP]) beschreiben [6], ist deren Nachweis sonographisch im Alltag typischerweise nicht möglich. Wichtig zu erwähnen ist, dass peritoneale Endometriose im MRI üblicherweise ebenfalls nicht darstellbar ist, was in Anbetracht ihres typischen Wachstumsmusters nicht verwundert; peritoneale Läsionen sind zwar in der lateralen Ausdehnung sehr variabel und können entweder stecknadelkopfgross sein oder beachtliche Flächen einnehmen, aber die Dicke der Läsionen liegt oft im Submillimeter- bis Millimeterbereich, weshalb sie sich der Auflösung der gängigen Verfahren der Bildgebung entziehen. Somit muss kritisch hinterfragt werden, ob ein MRI „zum Endometrioseausschluss“ oder ein MRI nach einer unauffälligen sonographischen Endometrioseabklärung durch eine geschulte Untersucher*in wirklich indiziert ist. Indikationen für das MRI existieren z. B. bei Verdacht auf höher gelegene (extrapelvine) Läsionen, multifokale tiefe Endometriose oder Beckenwandinfiltration, wo die TVS an ihre Grenzen stösst. Auch bei der Befundung von MRI-Daten sollten endometriosespezifische Protokolle wie der „deep pelvic endometriosis index“ (dPEI) angewandt werden [7, 8].
Aufgrund der genannten Problematik der Nichtdarstellbarkeit der peritonealen Endometriose können also TVS und MRI zwar eine vorhandene Endometriose bestätigen („rule-in“), aber keine Endometriose ausschliessen (kein „rule-out“). Trotz Fortschritten in der Bildgebung sollte eine Endometrioseabklärung eine ausführliche Anamnese, eine Spekulum- und bimanuelle Untersuchung sowie eine umfassende Beratung und Aufklärung der Patientin über Möglichkeiten und Grenzen der Diagnostik beinhalten, um Missverständnissen vorzubeugen [2]. Der Vollständigkeit halber sei erwähnt, dass die Computertomographie in der Endometriosediagnostik aufgrund der schlechten Weichteildarstellung keinen Stellenwert hat.

Untersuchungsprotokolle: von „IDEA“ zum Swiss Standard

Vorab sei erwähnt, dass terminologisch im Ultraschall korrekterweise nicht von (Endometriose-)Knoten gesprochen werden soll, da dies impliziert, dass die Herde stets aus einem kugeligen Gewebsplus bestehen, welches prinzipiell tastbar wäre. Da dies jedoch für peritoneale Herde wie auch für Adhäsionen nicht zutrifft, wird in dieser Arbeit der Begriff Läsion verwendet.
Die International-Deep-Endometriosis-Analysis(IDEA)-Gruppe publizierte 2016 ein Konsensuspapier zur systematischen sonographischen Evaluation des Beckens bei Endometrioseverdacht [9]. Die Arbeit darf als wegweisend bezeichnet werden und beinhaltet didaktisch wertvolle schematische Darstellungen der einzelnen Strukturen.
Die vorgeschlagene Abklärung erfolgt in 4 Schritten: 1. Routineuntersuchung von Uterus und Adnexen (inkl. Abklärung bzgl. AMO und OMA); 2. Evaluation sonographischer „Softmarker“ wie lokaler Druckdolenz und Mobilität der Ovarien; 3. Ausschluss oder Nachweis einer Douglas-Obliteration mittels „sliding sign“; 4. Suche nach DE-Läsionen im vorderen und hinteren Kompartiment.
Zwischenzeitlich ist viel passiert: Im Jahr 2024 wurden fast zeitgleich Arbeiten aus den USA, der Schweiz und Australien publiziert, welche den aktuellen Stand der Forschung in aktualisierten Untersuchungsprotokollen abbilden bzw. eigene Untersuchungsabläufe vorschlagen [1, 10, 11]. Zudem veröffentlichte die IDEA-Gruppe im gleichen Jahr ein Addendum zur Beurteilung der Parametrien [12].
Die Vielfalt an aktuellen Veröffentlichungen kann fast überfordernd wirken. Klar ist, dass jedes dieser Protokolle spezifische Stärken und Schwächen aufweist, die im klinischen Alltag berücksichtigt werden sollten. Das ursprüngliche IDEA-Paper bietet einen strukturierten Ansatz mit standardisierter Terminologie und Messungen [9]. Sein oben erklärtes vierstufiges System ermöglicht eine umfassende Evaluierung und hat breite Anerkennung in der klinischen Praxis gefunden. Es legt einen starken Fokus auf dynamische Untersuchungen, beschreibt aber nur die häufigsten endometrioseassoziierten Adhäsionen.
Bereits diese Publikation erfordert jedoch fortgeschrittene Ultraschallkenntnisse, wodurch es für weniger erfahrene Anwender herausfordernd sein kann.
Das 2024 publizierte Paper der Society of Radiologists in Ultrasound (Young et al.) basiert auf dem Konsens eines interdisziplinären Panels aus Radiologen, Gynäkologen, Reproduktionsmedizinern und minimal-invasiv tätigen Chirurgen. Es propagiert, die Ultraschallroutineuntersuchung des Beckens zu standardisieren und zu erweitern und somit die Zugänglichkeit zu erhöhen. Als amerikanisches Positionspapier spricht es neben Ärzten (Radiologen, Gynäkologen) auch nichtärztliche „sonographers“ an, die im US-Gesundheitswesen häufig die Untersuchungen nach definierten Abläufen durchführen, welche erst im Anschluss radiologisch befundet werden. Es definiert eine gezielte Screeningpopulation, erklärt, wie die sonographische Basisuntersuchung gezielt erweitert werden kann, beschreibt direkte und indirekte Zeichen der Endometriose und schlägt ein Grading- und Reporting-System vor. Zur Verbesserung der Detektionsrate von Endometriose empfehlen die Autoren bei klinischem Verdacht auf Endometriose, neben der Standarduntersuchung von Uterus und Ovarien einen „augmented pelvic US“ durchzuführen, welcher eine Untersuchung des posterioren Kompartiments, eine Beschreibung der relativen Position von Uterus und Ovarien und das uterine Sliding-Manöver beinhaltet; Zusatzuntersuchungen, welche gemäss Autoren in 5 min oder weniger durchgeführt werden können. Als Zweitlinienbildgebung wird schliesslich das „advanced endometriosis imaging“ beschrieben, welches die Krankheitsausbreitung erfassen und in der Operationsplanung helfen soll. Dieses kann gemäss den Amerikanern Ultraschall- oder MRI-basiert erfolgen, abhängig von den hausinternen Praktiken und den vorhandenen technischen und personellen Ressourcen (Expertise). Dabei wird für die sonographische DE-Abklärung empfohlen, gemäss vorhandenen Protokollen wie IDEA 2016 zu untersuchen; das MRI soll gemäss endometriosespezifischen Untersuchungs- und Befundungsprotokollen erfolgen (vgl. z. B. „dPEI“, wie oben erläutert).
Das im Herbst 2024 publizierte australische Protokoll von Deslandes und Leonardi verfolgt einen vereinfachten Ansatz auf Basis von IDEA, der die Effizienz und Zugänglichkeit bei der Endometriosescreeninguntersuchung verbessern soll [11]. Dies macht es besonders für die Erstdiagnostik attraktiv.
Die Autoren schlagen ein zweispuriges Konzept vor, welches zum einen ein breites Screening, zum anderen aber eine detailliertere Abklärung durch ExpertInnen ermöglichen soll. Im „simplified eTVUS“ (e = „endometriosis“) erfolgt 1. die Darstellung von Uterus und Ovarien, 2. die Beurteilung des „sliding sign“ (welches hier allerdings auf die Uterusrückseite beschränkt bleibt) zur Beurteilung einer allfälligen Douglas-Obliteration sowie 3. eine eingeschränkte Beurteilung des hinteren Kompartiments auf das Vorliegen von Endometrioseläsionen. Demgegenüber enthält ein „comprehensive eTVUS“ im Prinzip den vierstufigen Behandlungsablauf von IDEA 2016 + Addendum, wie weiter oben beschrieben.
Die Anfang 2024 von der Schweizerischen Gesellschaft für Ultraschall in der Medizin publizierte Arbeit (Swiss Standard) setzt auf eine didaktisch innovative Methode, indem es die „white sliding line“ (WSL) als zentrales Untersuchungselement einführt und den Beckenraum in fünf sonomorphologisch definierte Kompartimente unterteilt [10]. Weitere didaktische „landmarks“ beinhalten das „tent sign“ und „omega sign“. Die WSL, die sonoanatomische Einteilung und der Untersuchungsablauf werden weiter unten ausführlich erklärt. Das Paper beinhaltet eine Checkliste und ist direkt mit der aktuellen #Enzian-Klassifikation von 2021 verknüpft. Es ermöglicht somit ein strukturiertes Absuchen aller Kompartimente bezüglich des Vorhandenseins von Endometriose, während Lokalisation und Ausmass der erhobenen Befunde direkt mittels #Enzian dokumentiert werden können.
Durch die noch stärkere Ausrichtung auf das „sliding“ als zentrales Instrument einer dynamischen Untersuchung ist diese Technik nicht nur auf das hintere Kompartiment beschränkt, sondern kann umfassend überall dort eingesetzt werden, wo „Organverschieblichkeiten“ im kleinen Becken physiologischerweise anzutreffen sein sollten.
Durch die vielen hilfreichen Möglichkeiten sind das Protokoll und die Checkliste etwas ausführlicher. Um dennoch zugänglich zu sein, beinhaltet es zahlreiche Abbildungen und 45 Videoclips, welche eine praxisnahe Anleitung für jede(n) bieten, die oder der eine solche Untersuchungstechnik erlernen möchte.
Die aktuelle Häufung an neuen Untersuchungsprotokollen zeigt klar, dass die sonographische Endometriosediagnostik immer noch steten Veränderungen und Verbesserungen unterworfen ist. Während umfassendere Protokolle den Anspruch erheben, die Darstellung möglichst aller Endometrioseläsionen zu erlauben, können vereinfachte Protokolle den Zugang zur Diagnostik für eine grössere Population erleichtern.
Nicht unerwähnt bleiben soll, dass themenverwandte Publikationen weiterhin gültig sind. So besitzen Endometriome klar definierte sonographische Kriterien und sollten wie alle Adnexbefunde gemäss IOTA-Nomenklatur beschrieben werden [2, 13]. Gleiches gilt für die revidierten MUSA-Kriterien bei Adenomyose [14]. Schliesslich müssen die erhobenen Befunde korrekt dokumentiert werden. Dies geschieht noch häufig per „Freitext“, hilfreich sind jedoch Checklisten wie die der SGUMGG (Download: siehe [15]). Die genannte Checkliste ermöglicht neben einer vollumfänglichen Dokumentation des kleinen Beckens auch die Klassifikation mit ultraschallbasiertem #Enzian(u)-Score. Vorteil der #Enzian-Klassifikation gegenüber der altbekannten rASRM-Klassifikation ist zum einen, dass jegliche Art und Lokalisation der Endometriose (SUP, OMA, DE, AMO) exakt beschrieben werden kann und dass #Enzian mittels Ultraschall (#Enzian(u)), MRI (#Enzian(m)) wie auch „surgery“ (#Enzian(s)) erhoben werden kann. Die Dokumentation dieser Klassifikation erlaubt es der untersuchenden Person selbst sowie den nachbehandelnden Kolleg*innen, die Krankheitsausbreitung bei einer konkreten Patientin sehr einfach per „Blickdiagnose“ zu verstehen, standardisiert zu dokumentieren, mit späteren sonographischen oder intraoperativen Erhebungen zu vergleichen, für Forschungsprojekte zu nutzen etc. Da die vermeintliche Komplexität der Klassifikation gerade für Anfänger abschreckend wirken kann, wurde eine Handy-App entwickelt, mit welcher die Erfassung und Dokumentation sehr einfach möglich ist. Die App ist gratis in den gängigen App-Stores verfügbar (Abb. 1a, b).
Abb. 1
a #Enzian im Apple App Store, b #Enzian im Google Play Store
Bild vergrößern

Dynamische Untersuchung und Kompartimentierung im Swiss Standard

Während im IDEA-Protokoll 2016 wie oben beschrieben das „sliding sign“ im Douglas gesucht und das vordere und hintere Kompartiment nach DE abgesucht werden soll, wird heute eine detailliertere Abklärung propagiert [10].
Grundlage und Basis der Untersuchung ist eine neu eingeführte Struktur namens „white sliding line“ (WSL, Abb. 2). Diese entspricht einer hyperechogenen Linie, welche anterior im Septum vesicovaginale beginnt, auf den Uterus übergeht und diesen komplett einhüllt, um im Anschluss ins Septum rectovaginale überzugehen. Die WSL entspricht der uterovaginalen Faszie, einem Teil der endopelvinen Faszie. Die WSL kann durch sanften kontinuierlichen Druck im klassischen Mediansagittalschnitt üblicherweise problemlos dargestellt werden. Physiologischerweise müssen an die WSL angrenzende Organe (Blase, Adnexe, Dünndarm, Rektosigmoid) auf Sondendruck entlang der gesamten WSL frei verschieblich sein. Die zweite Hand der untersuchenden Person löst dafür mit etwas suprasymphysärem Druck eine Bewegung des Uterusfundus aus und macht so die Verschieblichkeit sichtbar.
Abb. 2
„White sliding line“. Entlang der gesamten hyperechogenen Linie muss ein uneingeschränktes Gleiten der angrenzenden Strukturen möglich sein. Für mehr Bilder und Videos siehe [10]
Bild vergrößern
Die durch Sondenbewegung (Druck) mögliche dynamische Untersuchung (dTVS) beschränkt sich aber nicht nur auf die WSL, sondern soll im gesamten kleinen Becken grosszügig eingesetzt werden. Zur systematischen „Kartierung“ hilft die Einteilung des kleinen Beckens in Kompartimente, welche der Reihe nach durchgegangen werden können. In der Literatur existieren hier verschiedene Definitionen und Einteilungen in bis zu 9 Kompartimente [7]. Um einen guten Kompromiss zwischen der variablen anatomischen Lokalisation der Endometriose und Merkbarkeit beizubehalten, definiert der Schweizer Standard 5 Kompartimente: zentral, vorn, hinten, lateral links + rechts.
Der von der WSL eingehüllte Bereich wird als zentrales Kompartiment bezeichnet und beinhaltet die uterine Serosa, den Uterus (Adenomyose?) und die vaginalen Fornices. Der retrouterine Bereich des (allenfalls obliterierten) Douglas wird ebenfalls zum zentralen Kompartiment gezählt.
Dementsprechend existiert ventral davon das anteriore Kompartiment (Inhalt: vesikouterine Region, Blasendach, Blasenwand, vesikovaginales Septum, distale Ureteren) und hinter der WSL das posteriore Kompartiment (rektovaginales Septum und Rektosigmoid).
Links und rechts der WSL existiert ein laterales Kompartiment, welches die Adnexen, die Beckenwand sowie die Ligamente um den Uterus enthält (Lig. latum, Lig. sacrouterinum, Lig. cardinale). Auch Darmschlingen können unter anderem im lateralen Kompartiment dargestellt werden.

Hilfreiche Werkzeuge: „tent sign“, „tail sign“ und „omega sign“

Im Swiss Standard werden zusätzliche sonographische Zeichen („signs“) beschrieben, welche die Orientierung im Becken und damit das Denken in Kompartimenten erleichtern sollen. Diese „signs“ verraten auch, wo überall physiologischerweise „sliding“ zu erwarten ist, und helfen die lateralen Grenzen der Bauchhöhle zu finden.
Wird die Sonde aus dem üblichen Mediansagittalschnitt um 90 Grad im Uhrzeigersinn gedreht, kann nicht nur der Uterus im Transversalschnitt dargestellt werden, was äusserst wichtig ist für die Beurteilung, ob angeborene Fehlbildungen („congenital uterine anomalies“ [CUA]) vorliegen. Gleichzeitig verändert sich die Form der den Uterus einhüllenden WSL zu einer Art Kuppel- oder Igluzelt, was als „tent sign“ beschrieben wird (Abb. 3a).
Abb. 3
„Tail“, „tent“ und „omega sign“. Im Querschnitt beschreibt die WSL an der Uterusoberfläche eine Art Igluzelt („tent sign“, b). Die seitlichen Ausläufer schlagen lateral schwänzchenartig nach kranial um (rechts und links „tail sign“, ac). Insgesamt ergibt sich daraus das „omega sign“ (ac), welches eine grossflächige Beurteilung des Peritoneums im kleinen Becken mit einer klaren Darstellung der Beckenwand erlaubt. abd. abdominal, rp. retroperitoneal, Ut. Uterus
Bild vergrößern
Wird der Griff der Vaginalsonde nun etwas angehoben oder abgesenkt, kann die gesamte posteriore Uterusserosa von der Zervix bis zum Fundus auf Endometrioseläsionen abgesucht werden, welche sich meist als unregelmässig geformte, hypoechogene Bereiche oder Unterbrechungen der WSL präsentieren; Endometrioseläsionen können sich jedoch sehr heterogen als glatt oder unscharf begrenzt darstellen und entweder eine homogene oder heterogene Textur aufweisen [12]. Entlang der gesamten Serosa muss, wie beschrieben, ein positives „sliding“ zu den umliegenden Organen darstellbar sein.
Nun kann der Griff der (immer noch um 90 Grad gedrehten) Vaginalsonde etwas nach rechts (respektive links) bewegt werden, um den Bereich links (respektive rechts) der WSL zu beurteilen (laterales Kompartiment). Das „tent sign“ der WSL geht dabei nach lateral nahtlos auf das Peritoneum der Beckenwand über und beschreibt dabei eine schwänzchenartige Kurve nach oben („tail sign“, Abb. 3a, c). Über die gesamte Breite des kleinen Beckens ergibt sich somit die Abfolge „tail-tent-tail“, was aneinandergereiht etwa der Form eines Omegas entspricht („omega sign“, Abb. 3a–c).
Diese Zeichen lassen sich in unserer Erfahrung mit wenig Übung bei praktisch allen Patientinnen darstellen und ermöglichen bereits nach wenigen Anwendungen eine völlig neue Orientierung im Bereich der Beckenwand. Darstellbar ist die gesamte peritoneale Oberfläche der Fossae ovaricae, wobei die anfangs erwähnten Einschränkungen zur Beurteilung des Peritoneums weiterhin gelten. Gelegentlich lassen sich dennoch kleinste Einschlusszystchen, winzige Auflagerungen auf der sonst glatten Oberfläche oder eine hyperechogene Verdickung als Zeichen einer Fibroseplatte darstellen. Direkt subperitoneal kann zudem der Verlauf der Beckengefässe sowie der Ureteren dargestellt werden (Abb. 4).
Abb. 4
Rechter Ureter im Bereich des „Ureterknies“. Medial davon ist das uterine Gefässbündel sichtbar. Man beachte die hyperechogene Linie als Teil des „tail sign“
Bild vergrößern
Eine Stauung (sichtbar z. B. durch einen grosslumigen Ureter oder einen Kalibersprung) oder Läsionen in diesem Bereich müssen genauestens abgeklärt und um eine Nierensonographie zum Ausschluss einer Stauung ergänzt werden; dies gilt für tiefe Endometriose im lateralen Kompartiment sowie für das Vorliegen von Endometriomen (Surrogatmarker für begleitende DE!). Klinisch entscheidend ist, ob es sich um eine extrinsische oder intrinsische tiefe Endometriose des Ureters handelt [12].
Aus der Sondenposition zur Darstellung des „tent sign“ heraus können auch die Ligg. cardinalia und sacrouterina einfach aufgesucht werden, was am Beispiel der linken Seite erklärt werden soll. Der Sondengriff im Transversalschnitt wird etwas rechts (Patientenseite) geschwenkt und dann angehoben, sodass sich das Bild entlang der linken Uterushinterwand und -seitenwand nach kaudal bewegt. Bald werden A. und V. uterina im Lig. cardinale sichtbar. Wird der Griff noch etwas weiter angehoben (Blick geht also nach kaudal) und aus der 90°-Position noch etwas weiter im Uhrzeigersinn gedreht (ca. 120–140°), kann das linke Lig. sacrouterinum dargestellt werden. Dieses ist eine typische Prädilektionsstelle für tiefe Endometriose und sonographisch physiologischerweise hyperechogen und glatt begrenzt. Typisch für tiefe Endometriose wären hier hypoechogene, irregulär begrenzte Läsionen, während sich die SUP (die hier auch häufig auftritt) leider nur selten darstellen lässt (allenfalls noch leichter beim Vorhandensein etwas freier Flüssigkeit). Adhäsionen zu Adnexen oder zum Darm sollen mittels dTVS gesucht werden.
Einfacher gestaltet sich die Darstellung von Septum rectovaginale, Douglas und Rektum.
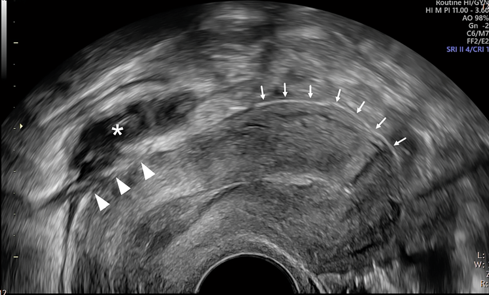
Wird die Sonde im Mediansagittalschnitt etwas zurückgezogen, eröffnet sich ein einprägsamer Blick auf Urethra, Vagina und Septum rectovaginale (von rechts nach links). Nun kann das Septum sowie die Rektumvorderwand mit den Augen fixiert werden, durch erneutes Vorschieben der Sonde kann die Vorderwand des Rektums bei fast allen Patientinnen einwandfrei beurteilt werden. Bei der Beurteilung des Douglas und des hinteren Kompartiments ist auf Unterbrechungen in der WSL und aufgehobenes „sliding“ („moving block“) zu achten, da diese typisch für DE in diesem Bereich sind (Abb. 5).
Abb. 5
Die WSL (weisse Pfeile) ist an der Uterushinterwand unterbrochen und unscharf begrenzt (Pfeilspitzen). Ursache ist eine adhärente Endometrioseläsion (Sternchen)
Bild vergrößern
Nachgewiesene Läsionen sollten in zwei Ebenen mit drei Massen erfasst werden (Abb. 6).
Abb. 6
Tiefe Endometriose des Rektums mit einer maximalen Ausdehnung von 39,7 mm (#Enzian C3)
Bild vergrößern
Für weitere Details zur Kompartimentierung und deren Untersuchung verweisen wir auf den Swiss Standard, welcher als Open-access-Artikel frei zugänglich ist [10]. Für eine Untersuchung müssen, je nach Krankheitsausbreitung und Anzahl der erhobenen Befunde, etwa 20–45 min veranschlagt werden. Unbestritten ist eine derart umfangreiche Abklärung im Praxisalltag vieler niedergelassener KollegInnen leider kaum möglich. Zukünftig muss eine adäquate Vergütung sichergestellt werden sein, um derartig komplexe Untersuchungen aufwandsentsprechend abzugelten. Neue KI-gestützte Technologien zur Bildanalyse oder „live guidance“ könnten in Zukunft helfen, Endometrioseabklärungen einfacher und effizienter zu gestalten [16].

Fazit für die Praxis

Die transvaginale Sonographie (TVS) ist bei Endometrioseverdacht die Bildgebung der Wahl. Sie bietet ähnlich wie das MRI hohe Sensitivität für tiefe Endometriose (DE), ovarielle Endometriome (OMA), Adenomyose (AMO) und Adhäsionen, jedoch begrenzte Möglichkeiten bei peritonealer Endometriose. Dynamische Untersuchungen, insbesondere durch Protokolle wie IDEA und den Swiss Standard, sind entscheidend. Hilfreiche Werkzeuge sind sonographische Zeichen wie die „white sliding line“ und eine klare Kompartimentierung des Beckens. Eine sorgfältige Anamnese, klinische Untersuchung und patientenindividuelle Beratung bleiben unverzichtbar. Standardisierte Checklisten optimieren die Diagnostik und Dokumentation, während Apps und Videotutorials die Anwendung erleichtern. Solide Ultraschallkenntnisse und interdisziplinäre Zusammenarbeit sind für eine optimale Patientenversorgung essenziell. Während alle Patientinnen mit entsprechender Symptomatik Zugang zu einem „Basisendometriosescreening“ erhalten sollten, können die genaue Krankheitsausdehnungsabklärung und die Operationsplanung in spezialisierten Sprechstunden erfolgen.

Einhaltung ethischer Richtlinien

Interessenkonflikt

J. Metzler und M. Bajka sind Gründer von Scanvio Medical AG.
Für diesen Beitrag wurden von den Autor/-innen keine Studien an Menschen oder Tieren durchgeführt. Für die aufgeführten Studien gelten die jeweils dort angegebenen ethischen Richtlinien.
Open Access Dieser Artikel wird unter der Creative Commons Namensnennung 4.0 International Lizenz veröffentlicht, welche die Nutzung, Vervielfältigung, Bearbeitung, Verbreitung und Wiedergabe in jeglichem Medium und Format erlaubt, sofern Sie den/die ursprünglichen Autor(en) und die Quelle ordnungsgemäß nennen, einen Link zur Creative Commons Lizenz beifügen und angeben, ob Änderungen vorgenommen wurden. Die in diesem Artikel enthaltenen Bilder und sonstiges Drittmaterial unterliegen ebenfalls der genannten Creative Commons Lizenz, sofern sich aus der Abbildungslegende nichts anderes ergibt. Sofern das betreffende Material nicht unter der genannten Creative Commons Lizenz steht und die betreffende Handlung nicht nach gesetzlichen Vorschriften erlaubt ist, ist für die oben aufgeführten Weiterverwendungen des Materials die Einwilligung des jeweiligen Rechteinhabers einzuholen. Weitere Details zur Lizenz entnehmen Sie bitte der Lizenzinformation auf http://creativecommons.org/licenses/by/4.0/deed.de.

Hinweis des Verlags

Der Verlag bleibt in Hinblick auf geografische Zuordnungen und Gebietsbezeichnungen in veröffentlichten Karten und Institutsadressen neutral.
download
DOWNLOAD
print
DRUCKEN
Titel
Sonographische Endometriosediagnostik
Von IDEA zum Swiss Standard 2024
Verfasst von
Dr. med. univ. Julian Metzler
Prof. Dr. med. Michael Bajka
Publikationsdatum
06.03.2025
Verlag
Springer Vienna
Erschienen in
Journal für Gynäkologische Endokrinologie/Schweiz / Ausgabe 1/2025
Print ISSN: 1995-6924
Elektronische ISSN: 2520-8500
DOI
https://doi.org/10.1007/s41975-025-00382-1
1.
Zurück zum Zitat Young SW, Jha P, Chamié L, Rodgers S, Kho RM, Horrow MM et al (2024) Society of radiologists in ultrasound consensus on routine pelvic US for endometriosis. Radiology 311(1):e232191CrossRefPubMed
2.
Zurück zum Zitat Keckstein J, Hoopmann M, Merz E, Grab D, Weichert J, Helmy-Bader S et al (2023) Expert opinion on the use of transvaginal sonography for presurgical staging and classification of endometriosis. Arch Gynecol Obstet 307(1):5–19CrossRefPubMed
3.
Zurück zum Zitat Condous G, Gerges B, Thomassin-Naggara I, Becker C, Tomassetti C, Krentel H et al (2024) Non-invasive imaging techniques for diagnosis of pelvic deep endometriosis and endometriosis classification systems: an International Consensus Statement. Ultrasound Obstet Gynecol 64(1):129–144CrossRefPubMed
4.
Zurück zum Zitat Tomassetti C, Johnson NP, Petrozza J, Abrao MS, Einarsson JI, Horne AW et al (2021) An International Terminology for Endometriosis, 2021. J Minim Invasive Gynecol 28(11):1849–1859CrossRefPubMed
5.
Zurück zum Zitat Tong A, Cope AG, Waters TL, McDonald JS, VanBuren W (2024) Best practices: ultrasound versus MRI in the assessment of pelvic endometriosis. Am J Roentgenol. https://doi.org/10.2214/AJR.24.31085CrossRef
6.
Zurück zum Zitat Pedrassani M, Guerriero S, Pascual MÁ, Ajossa S, Graupera B, Pagliuca M et al (2023) Superficial endometriosis at ultrasound examination—A diagnostic criteria proposal. Diagnostics 13(11):1876–1827CrossRefPubMedPubMedCentral
7.
Zurück zum Zitat Thomassin-Naggara I, Lamrabet S, Crestani A, Bekhouche A, Wahab CA, Kermarrec E et al (2020) Magnetic resonance imaging classification of deep pelvic endometriosis: description and impact on surgical management. Hum Reprod 35(7):1589–1600CrossRefPubMed
8.
Zurück zum Zitat Thomassin-Naggara I, Rousset P, Touboul C, Razakamanantsoa L, Manganaro L (2024) Reasons why it is time to change imaging guidelines on endometriosis. Eur Radiol 34(9):6175–6181CrossRefPubMed
9.
Zurück zum Zitat Guerriero S, Condous G, van den Bosch T, Valentin L, Leone FPG, Van Schoubroeck D et al (2016) Systematic approach to sonographic evaluation of the pelvis in women with suspected endometriosis, including terms, definitions and measurements: a consensus opinion from the International Deep Endometriosis Analysis (IDEA) group. Ultrasound Obstet Gynecol 48(3):318–332CrossRefPubMed
10.
Zurück zum Zitat Metzler JM, Finger L, Burkhardt T, Hodel ME, Manegold-Brauer G, Imboden S et al (2024) Systematic, noninvasive endometriosis diagnosis in transvaginal sonography by the Swiss Society of Ultrasound in Medicine. Ultraschall Med 45(04):367–388CrossRefPubMed
11.
Zurück zum Zitat Deslandes A, Leonardi M (2024) Proposed simplified protocol for initial assessment of endometriosis with transvaginal ultrasound. Ultrasound Obstet Gynecol. https://doi.org/10.1002/uog.29115CrossRefPubMed
12.
Zurück zum Zitat Guerriero S, Condous G, Rolla M, Hudelist G, Ferrero S, Alcazar JL et al (2024) Addendum to consensus opinion from International Deep Endometriosis Analysis (IDEA) group: sonographic evaluation of the parametrium. Ultrasound Obstet Gynecol 64(2):275–280CrossRefPubMed
13.
Zurück zum Zitat Timmerman D, Valentin L, Bourne TH, Collins WP, Verrelst H, Vergote I (2000) Terms, definitions and measurements to describe the sonographic features of adnexal tumors: a consensus opinion from the International Ovarian Tumor Analysis (IOTA) group. Ultrasound Obstet Gynecol 16(5):500–505CrossRefPubMed
14.
Zurück zum Zitat Harmsen MJ, Van den Bosch T, de Leeuw RA, Dueholm M, Exacoustos C, Valentin L et al (2022) Consensus on revised definitions of Morphological Uterus Sonographic Assessment (MUSA) features of adenomyosis: results of modified Delphi procedure. Ultrasound Obstet Gynecol 60(1):118–131CrossRefPubMedPubMedCentral
15.
16.
Zurück zum Zitat Balica A, Dai J, Piiwaa K, Qi X, Green AN, Phillips N et al Augmenting endometriosis analysis from ultrasound data with deep learning