Zum Inhalt

Something is up in the air: pneumothorax and pneumopericardium in a 29-week preterm infant

  • Open Access
  • 26.09.2023
  • Images in Science and Medicine
Erschienen in:
download
DOWNLOAD
print
DRUCKEN
insite
SUCHEN

Summary

This report highlights the early and unusual detection of a pneumopericardium by echocardiography prior to potential development of cardiocirculatory compromise. It is important to consider pneumopericardium into the differential diagnosis when difficulties arise in the visualization of the heart by conventional echocardiography. Pneumopericardium is associated with a high mortality rate and may be effectively treated by immediate insertion of a pericardial catheter.
Echocardiography demonstrating pericardial air entrapment

Video online

The online version of this article contains one video. The article and the video are available online (https://​doi.​org/​10.​1007/​s10354-023-01021-9). The video can be found in the article back matter as “Electronic Supplementary Material”.

Publisher’s Note

Springer Nature remains neutral with regard to jurisdictional claims in published maps and institutional affiliations.

Case report

A 29 2/7-week-old premature neonate with a birth weight of 1400 g was born by spontaneous vaginal delivery because of maternal vaginal hemorrhage and premature contractions. Apgar scores at 5 and 10 min were 7 and 7.
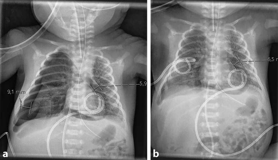
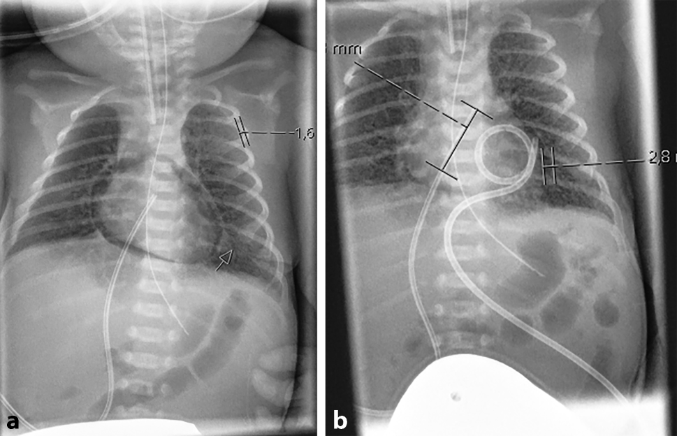
The infant was given two doses of surfactant because of severe respiratory distress syndrome and due to worsening respiratory function, conventional mechanical ventilation was switched to high frequency oscillatory ventilation. On day 2 of life, an echocardiography was performed for PDA (Patent ductus arteriosus) assessment, demonstrating circular air entrapment surrounding the infant’s heart (Video 1). On chest X‑ray, suspected pneumopericardium was confirmed (Fig. 1a), and a pericardial tube was inserted with continuous drainage for 3 days (Fig. 1b). The following day the neonate developed right-sided pneumothorax (Fig. 2a), which mandated the insertion of a chest drain (Fig. 2b).
Fig. 1
a Chest X-ray demonstrating circular pneumopericardium, b Chest X-ray after insertion of pericardial tube (pigtail)
Bild vergrößern
Fig. 2
a Chest X-ray demonstrating right-sided pneumothorax, b Chest X-ray after insertion of a chest tube (pigtail) catheter
Bild vergrößern
After 3 days, the tubes were removed, and the infant was extubated on day 9 of life. On cerebral ultrasonography, bilateral grade 2 intraventricular hemorrhage was noted. The infant was discharged home without further sequelae at 37 completed weeks of gestation and a body weight of 2785 g.
This report highlights the early and unusual detection of a pneumopericardium by echocardiography prior to potential development of cardiocirculatory compromise. It is important to take pneumopericardium into the differential diagnosis when difficulties arise in the visualization of the heart by conventional echocardiography. Pneumopericardium is associated with a high mortality rate, and may be effectively treated by immediate insertion of a pericardial catheter [13].

Conflict of interest

S. Meyer, S. Ruffing, M. Geipel, M. Poryo, A. Larsen and S. Nemat declare that they have no competing interests.
Open Access This article is licensed under a Creative Commons Attribution 4.0 International License, which permits use, sharing, adaptation, distribution and reproduction in any medium or format, as long as you give appropriate credit to the original author(s) and the source, provide a link to the Creative Commons licence, and indicate if changes were made. The images or other third party material in this article are included in the article’s Creative Commons licence, unless indicated otherwise in a credit line to the material. If material is not included in the article’s Creative Commons licence and your intended use is not permitted by statutory regulation or exceeds the permitted use, you will need to obtain permission directly from the copyright holder. To view a copy of this licence, visit http://​creativecommons.​org/​licenses/​by/​4.​0/​.

Publisher’s Note

Springer Nature remains neutral with regard to jurisdictional claims in published maps and institutional affiliations.

Unsere Produktempfehlungen

Abo für kostenpflichtige Inhalte

download
DOWNLOAD
print
DRUCKEN
Titel
Something is up in the air: pneumothorax and pneumopericardium in a 29-week preterm infant
Verfasst von
Professor Dr. Sascha Meyer, MD
Sarah Ruffing
Martina Geipel
Martin Poryo
Alexander Larsen
Sogand Nemat
Publikationsdatum
26.09.2023
Verlag
Springer Vienna
Erschienen in
Wiener Medizinische Wochenschrift / Ausgabe 11-12/2024
Print ISSN: 0043-5341
Elektronische ISSN: 1563-258X
DOI
https://doi.org/10.1007/s10354-023-01021-9

Supplementary Information

Echocardiography demonstrating pericardial air entrapment
1.
Zurück zum Zitat Tomuschat C, Jürgens J, Deindl P. Pneumopericardium in a preterm infant with marked pulmonary hypoplasia. Dtsch Ärztebl Int. 2022;119(15):270–6.PubMed
2.
Zurück zum Zitat Sidana V, Rajasekaran R, Kumar J, Mukhopadhyay K. Spontaneous resolution of pneumopericardium in a preterm infant. BMJ Case Rep. 2019;12(5):e230339. https://​doi.​org/​10.​1136/​bcr-2019-230339.CrossRefPubMedPubMedCentral
3.
Zurück zum Zitat Cools B, Plaskie K, Van de Vijver K, Suys B. Unsuccessful resuscitation of a preterm infant due to a pneumothorax and a masked tension pneumopericardium. Resuscitation. 2008;78(2):236–9.CrossRefPubMed