Zum Inhalt

Sarkoidose als Pitfall in der 68 Ga-DOTANOC(Ga-SSTR)-PET/CT bei Patientin mit metastasiertem neuroendokrinem Tumor des Zökums

  • Open Access
  • 05.06.2020
  • Fallbericht
Erschienen in:
download
DOWNLOAD
print
DRUCKEN
insite
SUCHEN

Hinweis des Verlags

Der Verlag bleibt in Hinblick auf geografische Zuordnungen und Gebietsbezeichnungen in veröffentlichten Karten und Institutsadressen neutral.
Die 68 Ga-DOTANOC-PET/CT ist als Somatostatinrezeptor-basiertes Verfahren ein wichtiges diagnostisches Werkzeug zur Diagnose und Verlaufskontrolle bei neuroendokrinen Tumoren [1]. Zu einer signifikant vermehrten Traceraufnahme kann es jedoch auch bei anderen Pathologien kommen, wie beispielsweise degenerativen Veränderungen, Frakturen, vertebralen Hämangiomen, benignen Meningeomen, aber auch bei entzündlichen Veränderungen [2]. Auf einen dieser sogenannten „Pitfalls“ wird im folgenden Fallbericht eingegangen.
Die 61-jährige Patientin wurde 2012 erstmalig vorstellig zur Abklärung eines sonomorphologisch nachgewiesenen Leberherdes. In Bezug auf die Familienanamnese waren ein Kolonkarzinom des Vaters sowie ein nicht näher bezeichneter Tumor der Leber oder der Gallenwege der Mutter erhebbar.
Im Rahmen der weiterführenden bildgebenden Abklärung wurde ein 18F‑FDG-PET/CT zur möglichen Diagnose eines hypermetabolen Tumorgeschehens veranlasst, welches zunächst keinen eindeutig signifikant gesteigerten Metabolismus im Bereich der Leber ergab. Es zeigten sich jedoch eine pathologisch erhöhte Aktivität im Bereich der rechten Mamma sowie hypermetabole Lymphknoten rechts infraklavikulär, bilateral hilär, mediastinal und subkarinal. Weiters zeigte sich bereits initial ein fokal pathologisch gesteigerter Glukosemetabolismus im ileozökalen Übergang.
Ein isoliertes Mammakarzinom wurde im weiteren Verlauf bioptisch gesichert und operativ behandelt.
Aufgrund des im 18F‑FDG-PET/CT primär für eine Sarkoidose sprechenden Verteilungsmusters der zusätzlich darstellbaren hypermetabolen Lymphknoten wurde eine Bronchoskopie durchgeführt. Die zytologische Abklärung des hierbei entnommenen Materials bestätigte die Verdachtsdiagnose.
Der FDG-negative Leberherd zeigte im weiteren Verlauf eine Wachstumstendenz, weshalb schließlich die Entscheidung zur chirurgischen Exploration der Leber getroffen wurde. Die intraoperative Schnellschnittuntersuchung ergab die Diagnose eines neuroendokrinen Tumors, sodass die Indikation zur Hemikolektomie rechts mit Entfernung des terminalen Ileums und anisoperistaltischer Seit-zu-Seit-Ileotransversostomie gestellt wurde. Die abschließende histologische Aufarbeitung zeigte einen vollständig entfernten neuroendokrinen Tumor G2 im Bereich der Bauhin-Klappe im Stadium pT3(42 mm) N2a(6/13) G2 L0 V0 Pn0.
Im Zuge der Tumornachsorge wurde erstmalig ein 68 Ga-DOTANOC-PET/CT veranlasst, welches multiple Leberherde mit pathologisch erhöhter Somatostatinrezeptor-Aktivität im Sinne von Lebermetastasen zeigte, zusätzlich zeigten sich auch mediastinale Lymphknoten mit vermehrter Traceraktivität.
Aufgrund der hepatalen Filiae mit Progredienzzeichen ergab sich die Indikation zur palliativen Radionuklidpeptidtherapie. Es wurden Anfang 2014 4350 MBq 90Y‑DOTATOC verabreicht, bei guter Verträglichkeit erfolgte sechs Wochen später ein weiterer Therapiezyklus mit 4300 MBq.
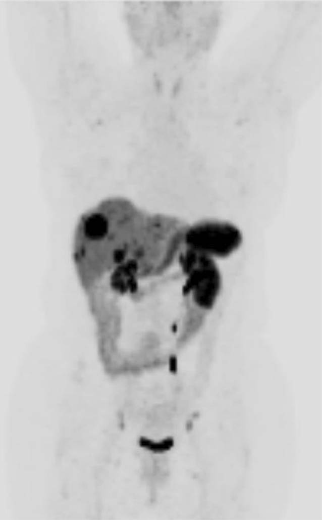
Im Rahmen einer 68 Ga-DOTANOC-PET/CT-Verlaufskontrolle zeigten sich zwei Jahre später neben den bereits bekannten Somatostatinrezeptor-positiven Leberherden in Bezug auf Größe und Anzahl auch erstmalig neu aufgetretene Lymphknoten mit pathologischer Traceraktivität, einerseits im Kopf‑/Halsbereich, andererseits jedoch auch retroklavikulär und axillär sowie inguinal (Abb. 1 und 2).
Abb. 1
68Ga-DOTANOC-PET/CT: Lymphknoten mit vermehrter Somatostatinrezeptor-Expression beidseits axillär bzw. zervikal
Bild vergrößern
Abb. 2
68Ga-DOTANOC-PET/CT, Maximum Intensity Projection (MIP): Multiple Leberherde sowie Lymphknoten beidseits inguinal und axillär mit pathologisch vermehrter Somatostatinrezeptor-Expression
Bild vergrößern
Bei bekanntem metastasiertem neuroendokrinem Tumor ging man zunächst von neu aufgetretenen lymphogenen Metastasen aus.
Die Durchführung des 18F‑FDG-PET/CT, welches im Rahmen der mittlerweile bekannten Sarkoidose veranlasst wurde, ergab ein sehr vergleichbares Bild mit multiplen Lymphnoten mit pathologisch erhöhtem Glukosemetabolismus, welche durchaus mit einer aktiven granulomatösen Erkrankung in Einklang zu bringen waren (Abb. 3).
Abb. 3
18F‑FDG-PET/CT: Hypermetabole Lymphknoten bihilär, vereinbar mit einer aktiven granulomatös-entzündlichen Erkrankung
Bild vergrößern
Zur Verifizierung fiel letztlich die Entscheidung zur Lymphknotenexstirpation. Im Zuge dessen konnten aus dem rechten Kieferwinkel zwei vergrößerte Lymphknoten geborgen werden.
Die histologische Aufarbeitung ergab schließlich eine ausgedehnte granulomatöse Entzündung ohne Nekrose, in erster Linie einer Sarkoidose entsprechend und ohne Anhaltspunkt für Malignität (Abb. 4).
Abb. 4
Die histologische Aufarbeitung abdominaler Lymphknoten zeigte Metastasen eines neuroendokrinen Tumors und zusätzlich Zeichen eines granulomatös-entzündlichen Geschehens
Bild vergrößern
Es zeigte sich somit ein falsch-positives 68 Ga-DOTANOC-PET/CT-Ergebnis im Sinne eines Pitfalls im Hinblick auf die neu aufgetretene zervikale Lymphadenopathie, welche sich letztlich als Befall durch die bereits bekannte Sarkoidose herausstellte.

Conclusio

Bei sehr hoher Sensitivität und Spezifität muss es sich bei Läsionen mit vermehrter Somatostatinrezeptor-Aktivität nicht zwingend um einen neuroendokrinen Tumor oder dessen Metastasen handeln. Es können demzufolge auch nichtneoplastische Ursachen für eine vermehrte Somatostatinrezeptor-Expression verantwortlich sein.
Vergleichbar mit konventionellen Tracern, wie z. B. 111In-Octreotid, ist auch unter Verwendung von 68 Ga-DOTANOC in der PET/CT eine Anreicherung in granulomatös entzündlich verändertem Gewebe wie im vorliegenden Fallbericht möglich. Die Miteinbeziehung zusätzlicher Untersuchungsmodalitäten, wie beispielsweise 18F‑FDG-PET/CT, sowie nicht zuletzt die Berücksichtigung der Anamnese, Klinik und bekannter Zweitpathologien sind bei einem auffälligen Anreicherungsmuster von besonderer Wichtigkeit und dienen der Vermeidung falsch-positiver Befunde.

Einhaltung ethischer Richtlinien

Interessenkonflikt

J. Kronbichler und M. Gabriel geben an, dass kein Interessenkonflikt besteht.
Für diesen Beitrag wurden von den Autoren keine Studien an Menschen oder Tieren durchgeführt. Für die aufgeführten Studien gelten die jeweils dort angegebenen ethischen Richtlinien. Für Bildmaterial oder anderweitige Angaben innerhalb des Manuskripts, über die Patienten zu identifizieren sind, liegt von ihnen und/oder ihren gesetzlichen Vertretern eine schriftliche Einwilligung vor.
Open Access Dieser Artikel wird unter der Creative Commons Namensnennung 4.0 International Lizenz veröffentlicht, welche die Nutzung, Vervielfältigung, Bearbeitung, Verbreitung und Wiedergabe in jeglichem Medium und Format erlaubt, sofern Sie den/die ursprünglichen Autor(en) und die Quelle ordnungsgemäß nennen, einen Link zur Creative Commons Lizenz beifügen und angeben, ob Änderungen vorgenommen wurden.
Die in diesem Artikel enthaltenen Bilder und sonstiges Drittmaterial unterliegen ebenfalls der genannten Creative Commons Lizenz, sofern sich aus der Abbildungslegende nichts anderes ergibt. Sofern das betreffende Material nicht unter der genannten Creative Commons Lizenz steht und die betreffende Handlung nicht nach gesetzlichen Vorschriften erlaubt ist, ist für die oben aufgeführten Weiterverwendungen des Materials die Einwilligung des jeweiligen Rechteinhabers einzuholen.
Weitere Details zur Lizenz entnehmen Sie bitte der Lizenzinformation auf http://creativecommons.org/licenses/by/4.0/deed.de.

Hinweis des Verlags

Der Verlag bleibt in Hinblick auf geografische Zuordnungen und Gebietsbezeichnungen in veröffentlichten Karten und Institutsadressen neutral.
download
DOWNLOAD
print
DRUCKEN
Titel
Sarkoidose als Pitfall in der 68 Ga-DOTANOC(Ga-SSTR)-PET/CT bei Patientin mit metastasiertem neuroendokrinem Tumor des Zökums
Verfasst von
Dr. Jürgen Kronbichler
Univ.-Prof. Mag. Dr. Michael Gabriel
Publikationsdatum
05.06.2020
Verlag
Springer Vienna
Erschienen in
Journal für Endokrinologie, Diabetologie und Stoffwechsel / Ausgabe 2/2020
Print ISSN: 3004-8915
Elektronische ISSN: 3004-8923
DOI
https://doi.org/10.1007/s41969-020-00098-6
1.
Zurück zum Zitat Gabriel M, Decristoforo C, Kendler D et al (2007) 68 Ga-DOTA-Tyr3-octreotide PET in neuroendocrine tumors: comparison with somatostatin receptor scintigraphy and CT. J Nucl Med 48:508–518CrossRef
2.
Zurück zum Zitat Hofman MS, Lau WFE, Hicks RJ (2015) Somatostatin receptor imaging with 68 Ga DOTATATE PET/CTGa DOTATATE PET/CT: clinical utility, normal patterns, pearls, and pitfalls in interpretation. Radiographics 35(2):500–516. https://doi.org/10.1148/rg.352140164 CrossRefPubMed
3.
Zurück zum Zitat Boy C et al (2017) DGN-Handlungsempfehlung Somatostatinrezeptor PET/CT. Deutsche Gesellschaft für Nuklearmedizin, Ostfildern
4.
Zurück zum Zitat Deroose CM, Hindié E, Kebebew E et al (2016) Molecular imaging of gastroenteropancreatic neuroendocrine tumors: current status and future directions. J Nucl Med 57(12):1949–1956. https://doi.org/10.2967/jnumed.116.179234 CrossRefPubMedPubMedCentral
5.
Zurück zum Zitat Pauwels E, Cleeren F, Bormans G, Deroose CM (2018) Somatostatin receptor PET ligands—the next generation for clinical practice. Am J Nucl Med Mol Imaging 8(5):311–331PubMedPubMedCentral
6.
Zurück zum Zitat Tirosh A, Kebebew E (2018) The utility of 68Ga-DOTATATE positron-emission tomography/computed tomography in the diagnosis, management, follow-up and prognosis of neuroendocrine tumors. Future Oncol 14(2):111–122. https://doi.org/10.2217/fon-2017-0393 CrossRefPubMed
7.
Zurück zum Zitat Werner RA, Thackeray JT, Pomper MG et al (2019) Recent updates on molecular imaging reporting and data systems (MI-RADS) for theranostic radiotracers-navigating pitfalls of SSTR- and PSMA-targeted PET/CT. J Clin Med 8(7):1060. https://doi.org/10.3390/jcm8071060 CrossRefPubMedCentral