Zum Inhalt

Repetitorium Sonographie der Nieren Teil 2: klinische Anwendung und Krankheitsbilder

  • Open Access
  • 01.06.2024
  • Ultraschall-Repetitorium
Erschienen in:

Zusammenfassung

Die transabdominale Sonographie spielt bei der Beurteilung von benignen und malignen Befunden des oberen Harntraktes eine wichtige Rolle, nicht nur in der elektiven ambulanten Sprechstunde, sondern auch in der Notfallsituation (z. B. zur Beurteilung einer Nierenstauung bei Flankenkoliken und Verdacht auf Urosepsis oder als E‑FAST [„extended focused assessment with sonography in trauma“] als bettseitiges Ultraschallprotokoll zum Nachweis von freier Flüssigkeit als Indiz für ein Urinom oder Hämatom beim Nierentraumapatienten).
Die konventionelle Sonographie ist nicht nur essenziell für die Erstbeurteilung von benignen und pathologischen Befunden, sondern auch für die Indikationsstellung von weiteren diagnostischen und therapeutischen Massnahmen.
Zu den benignen Befunden gehören u. a. anatomische Anomalien (z. B. Hufeisenniere), entzündliche Veränderungen (Nephritis, Abszess), vaskuläre Pathologien (Nierenarterienstenose), Steinleiden (Urolithiasis), Traumafolgen oder postoperative Komplikationen (Urinom, Blutung), Sekundärmanifestationen einer anderen Pathologie (Harnstauung oder vesikoureterorenaler Reflux) sowie Nierenzysten oder -divertikel sowie benigne Tumoren (Angiomyolipom, Onkozytom).
Die häufigsten malignen Nierentumoren sind das Nierenzellkarzinom, bei den pädiatrischen Patienten das Nephroblastom (Wilms-Tumor) sowie weniger häufig Nierenmetastasen und Nierenlymphome.
Erschwerend kommt bei der Unterscheidung zwischen benignen und malignen Befunden der Nieren dazu, dass gewisse sonomorphologische Eigenschaften sowohl bei benignen als auch malignen Veränderungen vorkommen. Zur besseren Differenzierung und Charakterisierung der Befunde wird der kontrastmittelverstärkte Ultraschall (CEUS) wird bei der Abklärung von pathologischen Befunden der Nieren immer häufiger durchgeführt. Als weitere diagnostische Mittel werden die Computertomographie des Abdomens (CT) sowie die Magnetresonanztomographie (MRT) eingesetzt.
Diese Übersichtsarbeit soll als praxisorientiertes Repetitorium der Nierensonographie dienen und stellt einen Überblick über benigne und pathologische Befunde des oberen Harntrakts mit Fokus auf die Nieren bereit.
Bilder 1–21 beim Verfasser
QR-Code scannen & Beitrag online lesen

Hinweis des Verlags

Der Verlag bleibt in Hinblick auf geografische Zuordnungen und Gebietsbezeichnungen in veröffentlichten Karten und Institutsadressen neutral.

Benigne Befunde

Hufeisenniere

Die Hufeisenniere stellt die häufigste oft asymptomatische Nierenfusionsanomalie dar [1]. Die Nieren sind mittels eines parenchymatösen oder fibrösen Isthmus an den Unterpolen miteinander verschmolzen (s. Bild 1). Bei der Untersuchung lässt sich dementsprechend der Nierenunterpol beidseits schwer isoliert abgrenzen, dafür aber die präaortale bzw. präkavale Verbindung dazwischen. Sie kann durch den unerfahrenen Untersucher fälschlicherweise als Lymphom interpretiert werden. Auch wenn sich diese Anomalieform sonographisch gut erkennen lässt, bleibt die Computertomographie die Bildgebung der Wahl [2].

Schrumpfniere

Nierenatrophie ist definiert als die Reduktion der Nierenlänge > 1 cm [3]. Degenerative Veränderungen wie Parenchymverschmälerung (absinkender Parenchym-Pyelon-Index [PPI-Index]) entsprechen mit zunehmendem Alter der Norm. Bei rezidivierenden Niereninfekten oder einer ausgeprägten Nierenarterienstenose kann das Parenchym so stark reduziert sein, dass die Niere sonographisch kaum oder gar nicht zu erkennen ist. Dann liegt eine Schrumpfniere vor (s. Bild 2).

Entzündliche Veränderungen der Niere (Nephritis)

Bei einem inflammatorischen Prozess der Niere treten diverse pathophysiologische Mechanismen auf, die im Verlauf zu Organalterationen führen und ein einheitliches sonographisches Bild abgeben (s. Bild 3). Initial stellt sich die Niere sonomorphologisch regelrecht dar. Aufgrund der allmählich progredienten entzündlich bedingten Organschwellung und des Einflutens des Interstitiums erscheint das Nierenparenchym echoreicher und kontrastiert schärfer zu den angrenzend liegenden Markpyramiden und dem sonst nahezu isoechogenen Leber- und Milzgewebe. Gleichzeitig kann es bei einer akuten Form der Nierenentzündung zu einer hypoechogenen Parenchymverbreiterung kommen, welche die Grenze zwischen Parenchym und Pyelon (PP-Grenze) unscharf wiedergibt. Anhand der Sonographie kann zwar kein differenzialdiagnostischer Rückschluss erfolgen, jedoch kann eine Aussage hinsichtlich der Krankheitsentwicklung unter entsprechend eingeleiteter Therapie gemacht werden.
Eine begleitende, je nach Fall punktionswürdige Nierenbeckenkelchsystem (NBKS)-Ektasie (obstruktive Pyelonephritis) soll ausgeschlossen werden. Formieren sich abszedierende nephritische Herde unter persistierenden Infektstigmata wird deren Punktion (Nephrostomieanlage) unumgänglich. Darüber hinaus dient der duplexsonographisch ermittelte renale Resistenzindex (RRI = max.–min. Flussgeschwindigkeit ÷ max. Flussgeschwindigkeit) als ein exzellenter Parameter dynamisch-struktureller Nierengefässveränderungen [4] und deutet, falls eleviert (Referenz: 0,5–0,7), auf eine aggravierte Nierenfunktion hin, sodass sich ebenfalls die Punktionsindikation zur histologischen Aufarbeitung von z. B. transplantierten Nieren stellt.

Xanthogranulomatöse Pyelonephritis (XGP)

Xanthogranulomatöse Pyelonephritis ist eine selten vorkommende Form der Pyelonephritis, die bei rezidivierenden Infektionen und chronischer Obstruktion auftreten kann, wobei auch Diabetes mellitus und Fettstoffwechselstörungen als Risikofaktoren gelten. Die genaue Pathophysiologie ist aktuell noch nicht geklärt. Man geht davon aus, dass chronische Obstruktion und Entzündung die Proliferation von lipidhaltigen Makrophagen provozieren, die zu Eiterbildung und Zerstörung des Nierenparenchyms führen. Diese Theorie wird durch die Beobachtung gestützt, dass bei 2/3 der XGP-Patienten Harnsteine vorhanden sind. Das klinische Erscheinungsbild ist unspezifisch, wobei als Leitsymptome Fieber, Gewichtsverlust und Speicher- und Entleerungssymptome des unteren Harntraktes („lower urinary tract symptoms“ [LUTS]) gelten. Bei der Ultraschalluntersuchung zeigt sich ein vergrösserter und verzerrter Nierenumriss mit Verlust der normalen Nierenarchitektur und i. d. R. einem zentral gelegenen schattenbildenden Konkrement (s. Bild 4; Abb. 1).
Abb. 1
Xanthogranulomatöse Pyelonephritis: verzerrter Nierenumriss mit Verlust der normalen Nierenarchitektur und schattenbildendem Konkrement. (Mit Genehmigung aus [15]. © 1997 Elsevier Science Ireland Ltd. „All rights reserved“)
Bild vergrößern

Nierenabszess

Nach stattgehabter schwerer Pyelonephritis kann sich ein Nierenabszess bilden, der sich sonographisch klassischerweise als hypoechogenes Areal darstellen lässt. Fokale Befunde eines frischen Infekts können sonographisch im Brightness(B)‑Mode kaum abgegrenzt werden. Die Dopplersonographie ist häufig ebenfalls nicht zielführend, da sich die Durchblutung, identisch zur fokalen Pyelonephritis, eingeschränkt zeigt. Hier kann der Kontrastmittel(KM)-verstärkte Ultraschall zur Hilfe genommen werden. Dabei grenzen sich avaskuläre abszedierende Zonen konklusiv ab. Ausgedehnte Läsionen können auch flüssige Anteile beinhalten und stellen sich echofrei (schwarz) dar (s. Bild 5). Die Differenzierung zwischen Abszess und Hämatom kann in der sonographischen Investigation herausfordernd sein. Der klinische Kontext ist jedoch häufig wegweisend. Ist die Niere in der dynamischen Ultraschalluntersuchung nicht durch Atmung verschieblich und befindet sich im Schatten eines irregulären hypoechogenen Areals, liegt mit grösster Wahrscheinlichkeit ein perinephritischer Abszess vor (s. Bild 6), der sich sonographisch entweder abgekapselt oder im Retroperitoneum ausgedehnt darstellen lässt.

Nierenarterienstenose

Das Beherrschen der Duplexsonographie ist von Bedeutung in der Diagnostik der Nierenarterienstenose und leistet einen grossen Beitrag in der Entscheidungsfindung hinsichtlich des weiteren Prozedere. Vorteile der Dopplersonographie für die Diagnose einer Nierenarterienstenose (s. Bild 7) sind die fehlende Invasivität, die niedrigen Kosten und eine mögliche Durchführung unter laufender Blutdruckmedikation. Bei der Dopplersonographie der Nierenarterien werden diverse Parameter/Indizes bestimmt wie „peak systolic velocity“ (PSV), „end diastolic velocity“ (EDV), renoaortaler Quotient und der „resistive index“ (RI).

Strömungsgeschwindigkeiten der A. renalis

Der Normalwert für die maximale systolische Strömungsgeschwindigkeit („peak systolic velocity“ [PSV oder VPSV]) beträgt 80–150 cm/s. Die enddiastolische Strömungsgeschwindigkeit („end-diastolic velocity“ [EDV oder VEDV]) beträgt 20–50 cm/s. Die PSV und EDV sind bei Stenosen der A. renalis erhöht. Eine PSV über 180 cm/s und eine EDV über 80 cm/s sprechen für eine Nierenarterienstenose.

Renoaortaler Quotient (RAQ)

Der RAQ wird aus der „peak systolic velocity“ (PSV) der Nierenarterie und der Aorta bestimmt (s. folgende Formel). Ein Wert über 3,5 spricht für eine Nierenarterienstenose (Voraussetzung: normaler Fluss in der Aorta): RAQ = PSV (Nierenarterie)/PSV (Aorta).

„Resistive index“

Ein RI unter 0,5 spricht für eine signifikante Nierenarterienstenose, dies reicht aber nicht als alleiniges diagnostisches Kriterium. Ein „resistive Index“ (RI) > 80 % ist prädiktiv für eine starke Organschädigung und spricht gegen eine Blutdruckbesserung nach endovaskulärer Intervention oder Revaskularisation.

Nephrolithiasis

Die Sonographie sollte die primäre Untersuchungsmodalität von Nierensteinen sein, da sie schnell verfügbar und kosteneffizient ist sowie nicht mit einer Strahlenbelastung einhergeht. Trotz ihrer im Vergleich zur Computertomographie (CT) unterlegenen Untersuchungsspezifität wird das Behandlungsergebnis durch ihren Einsatz nicht negativ beeinflusst [5]. Nephrolithen präsentieren sich im Ultraschall als echoreiche Strukturen mit dorsaler Schallauslöschung (s. Bild 8). Der dabei entstehende Schallschatten stellt sich als streifenförmiges echoarmes Areal hinter den stark reflektierten Konkrementen dar. Je nach ihrer Komposition variiert die Steinechogenität. Sie stehen jedoch eher im schwachen Kontrast zum ebenfalls hyperechogen erscheinenden Nierenbeckenkomplex, was eine gewisse Herausforderung für den Untersucher darstellt und oft zur Überschätzung der Steingrösse führt [6]. Die Sensitivität des Ultraschalls sinkt signifikant bei Konkrementen < 3 mm [7]. Stellt sich das NBKS als erweitert dar, kann folglich bei korrelierender Klinik mit kolikartigen Schmerzen von einer relevanten Abflussbehinderung im Harnleiter aufgrund eines obstruierenden Konkrements ausgegangen werden [8], was Harnstauung zum wichtigen sekundären Zeichen in der Urolithiasisdiagnostik macht. Allerdings kann eine signifikante Harnabflussstörung auch ohne NBKS-Ektasie vorliegen.
Ausgusskonkremente stellen eine besondere Form der Urolithiasis dar. Sie füllen einen grossen Teil des NBKS oder gar dessen Gesamtvolumen aus, sodass der dorsal entstehende Schallschatten schwach ausfällt und eine konklusive sonographische Differenzierung zum Pyelonkomplex schwer möglich ist (s. Bild 9). Um den Verdacht zu erhärten, ist hierfür eine Abdomenübersichtsaufnahme (Abdomenleerbild) oder eine CT des Abdomens indiziert.

Urinom

Bei einer akuten Harnstauung im Rahmen eines symptomatischen Steinleidens, postoperativ nach z. B. Nierenteilresektion oder nach einem Nierentrauma kann es zur Fornixruptur mit Urinleckage kommen und sich ein Urinom ausbilden. Bleibt die zeitnahe Diagnose oder das angemessene Management (aktive Überwachung, Ableitung, Antibiotikatherapie) aus, kann es zu Komplikationen wie Elektrolytstörungen, Abszessbildung oder Urosepsis kommen. Urinome manifestieren sich sonographisch als echoarme bzw. -freie randsaumartige Flüssigkeitskollektionen perirenal oder im Sinus hepatorenalis (s. Bild 10; Abb. 2).
Abb. 2
Urinom: echoarme randsaumartige Flüssigkeitskollektionen perirenal bzw. im Sinus hepatorenalis. (Mit Genehmigung aus [16])
Bild vergrößern

Nierentrauma mit retroperitonealer Blutung

Die Sonographie ist ein wertvolles Instrument für die Erstbewertung von Bauchverletzungen ohne eindeutigen Nachweis einer Organverletzung. Sowohl die anamnestischen Angaben wie Unfallhergang (Dezelerationstrauma) und Vorhandensein von Flankenschmerzen als auch die bei der initialen Beurteilung erhobenen klinischen Befunden (Prellmarke, Hämatom, Abwehrspannung, Hämaturie, Schock) stellen essenzielle Bestandteile des klinischen Patientenmanagements dar und sind eminent wichtig, um eine adäquate Therapie einleiten zu können. E‑FAST („extended focused assessment with sonography in trauma“) als bettseitiges Ultraschallprotokoll zum Nachweis von freier Flüssigkeit als Indiz für eine retroperitoneale Blutung (oder auch ein Urinom) beim Nierentraumapatienten ist essenziell für die Indikationsstellung von weiteren diagnostischen und therapeutischen Massnahmen:
Die Nierensonographie stellt beim Nierentraumapatienten die primäre Untersuchungsmodalität dar, besitzt jedoch eine im Vergleich zur CT geringere Sensitivität. Das sonographische Bild eines retroperitonealen Hämatoms kann sehr heterogen sein und erscheint je nach Zeitpunkt des Traumas echoreich (unmittelbar nach dem Unfall) oder echoarm bis -frei (s. Bild 11).
Wenn in der Sonographie Auffälligkeiten entdeckt werden (Nachweis von Hämatom, freie Flüssigkeit, Harnstau, Urinom oder Durchblutungsstörungen in der Dopplersonographie), so ist die Durchführung einer CT für eine exakte Diagnose notwendig. Tab. 1 stellt eine Übersicht über die Schweregrade einer Nierenlazeration gemäss der American Association for the Surgery of Trauma (AAST) zusammen, basierend auf der computertomographischen Standortbestimmung. Die Mehrheit der Verletzungen bis Grad IV wird konservativ behandelt.
Tab. 1
Einteilung der Schwere des Nierentraumas in 5 Grade (nach AAST)
AAST-Grad
Bildgebungskriterien gemäss CT-Befund
I
Renale Kontusion mit subkapsulärem Hämatom ohne Nierenparenchymeinriss
II
Nierenparenchymeinriss < 1 cm, Hämatom innerhalb der Gerota-Faszie, kein Extravasat
III
Nierenparenchymeinriss > 1 cm ohne NBKS-Ruptur oder Extravasat, Zeichen der aktiven Blutung mit Hämatombildung innerhalb der Gerota-Faszie
IV
Nierenparenchymeinriss mit Beteiligung des NBKS und Urinextravasat. Nierenarterien- bzw. Venenverletzung mit aktiver Blutung über die Gerota-Faszie ins Retroperitoneum/Peritoneum
V
Zerschmetterte Niere mit Hilusgefässverletzung, aktiver Blutung und kompletter Unterbrechung der Nierenvaskularisation
NBKS Nierenbeckenkelchsystem

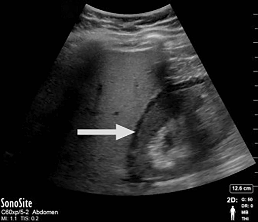
Harnstauung

Das NBKS ist im Regelfall nicht weitgestellt und lässt sich sonographisch kaum abgrenzen. Obstruktionsbedingt durch Tumor oder Stein, Ostiumschwellung oder erhöhten infravesikalen Widerstand (benigne Prostatahyperplasie, Urethrastriktur) oder auch durch eine externe Kompression durch eine retroperitoneale Raumforderung (Tumor, Aortenaneurysma) oder eine retroperitoneale Fibrose kann es zu einer Dilatation kommen. Sie wird in 4 Stufen eingeteilt:
  • Erstgradig: wenn nur das Pyelon erweitert ist
  • Zweitgradig: wenn die Nierenbeckenkelche mit involviert sind
  • Drittgradig: wenn sie plumper erscheinen und dabei das Parenchym verschmälert ist
  • Viertgradig: hydronephrotische Sackniere (s. Bild 12)
Differenzialdiagnostisch sollten parapelvine Zysten, prominente Gefässe im Hilusbereich oder ein ampulläres Nierenbecken in Betracht gezogen werden, wobei oft eine sonographische Abgrenzung, dazwischen auch mittels Dopplersonographie, inkonklusiv bleibt.

Nierenzysten

Nierenzysten sind häufig vorkommende flüssigkeitsgefühlte Hohlräume des Nierenparenchyms oder des NBKS, die oft sonographisch inzidentell nachgewiesen werden [9]. Die dorsale Schallverstärkung ist das klassische sonographische Merkmal. In der Regel sind Zysten asymptomatisch, unkompliziert und kommen vereinzelt, aber auch in Gruppen zum Vorschein. Zu den sonographischen Kriterien einer unkomplizierten Zyste zählen die runde Form mit glatter dezent erscheinender Wandbegrenzung, die gelegentlich ein Aus- und Eintrittsecho erzeugen kann. Sie haben einen echofreien Inhalt ohne Binnenstrukturen und zeigen keine Vaskularisation in der Duplexsonographie (s. Bild 13). Wenn die oben genannten Kriterien nicht erfüllt sind oder eine Wandverdickung bzw. eine Septierung nachgewiesen wird, liegt eine komplizierte Zyste vor (s. Bild 14), DD Nierenzellkarzinom (mit zystischen Arealen), sodass die weitere diagnostische Abklärung indiziert ist. Wenn die KM-Sonographie nicht wegweisend ist, kann mittels CT die Zyste nach Bosniak klassifiziert (s. Tab. 2) und dementsprechend weiter verfahren werden.
Tab. 2
Einteilung der Nierenzysten nach Bosniak und assoziiertes Malignitätsrisiko
 
Zysteneigenschaften gemäss computertomographischer Standortbestimmung
Malignitätsrisiko (%)
Bosniak I
Runde, dezent berandete, echofreie Zyste ohne Binnenecho
0–2
Bosniak II
Zysten mit hauchdünner Septierung und möglicher dezenter Zystenwand- oder Septenwandverkalkung; homogener Zysteninhalt (< 3 cm)
0–5
Bosniak IIF
Kontrollbedürftige Zysten mit minimal verdickter Septierung/Zystenwand mit dezenter KM-Aufnahme, sowie gut umschriebenem nicht KM aufnehmendem Zysteninhalt (> 3 cm)
5
Bosniak III
Irregulär berandete Zyste mit mehreren verdickten & KM aufnehmenden Septen
50
Bosniak IV
Malignitätsverdächtige Raumforderung mit KM aufnehmenden intrazystischen Weichteilkomponenten
75–90
KM Kontrastmittel

Vesikoureterorenaler Reflux (VUR)

Der VUR ist definiert als der regrediente Urinfluss zur Niere und wird in eine primäre (kongenitale) und eine sekundäre (erworbene, z. B. bedingt durch posteriore Urethralklappen, neurogene Blasenentleerungsstörung wie Spina bifida oder Pyelonephritis) Form unterteilt. Er kommt häufig im Kindesalter vor, ist in der Regel asymptomatisch bzw. fällt im Säuglingsalter durch febrile Harnwegsinfekte und im Kindesalter durch Inkontinenz auf. Die sonographische Evaluation gehört zur initialen Diagnostik. Dabei wird auf die Dilatation des NBKS und der ableitenden Harnwege geachtet sowie das Nierenparenchym hinsichtlich Narbenbildung beurteilt. Es wird zwischen 5 Schweregraden unterschieden (s. Bild 15), wobei eine sichere sonographische Abgrenzung ab Grad III möglich ist. Zur weiteren diagnostischen Abklärung mit präziser Gradzuordnung und Ursachenforschung wird klassischerweise eine Miktionszystourethrographie durchgeführt. Die Nierenszintigraphie dient der genauen Parenchymbeurteilung und zum Ausschluss einer Narbenbildung.
Schweregradeinteilung des vesikoureterorenalen Refluxes:
  • Grad I: Reflux in den Ureter, das Nierenbecken wird nicht erreicht
  • Grad II: Der Reflux erreicht das Nierenbecken, das Kelchsystem ist nicht gestaut.
  • Grad III: Das Nierenbecken ist leicht dilatiert, das Kelchsystem ist unverändert oder leicht verplumpt.
  • Grad IV: Mässige Dilatation des Nierenbeckens, die Fornices der Nierenkelche sind verplumpt, die Impressionen der Papillen noch sichtbar
  • Grad V: Der Ureter ist stark dilatiert mit Knickbildung („kinking“), das Hohlraumsystem ist stark erweitert, die papillaren Impressionen sind in der Mehrzahl nicht mehr sichtbar.

Kelchdivertikel (pyelogene Zyste)

Das Kelchdivertikel ist eine zystische Höhle in der Niere, welche mit Urothel ausgekleidet ist und eine Gangverbindung zum Nierenbeckenkelchsystem hat oder hatte. Es wird zwischen einem angeborenen (entstehen aus Resten der Ureterknospen der 3. und 4. Generation, welche normalerweise degenerieren) und erworbenen (ausgehend von einem kortikalen Abszess, einer kortikalen Zyste oder durch Kelchhalsobstruktion) Kelchdivertikeln unterschieden. Die Urinstase im Kelchdivertikel kann dort sog. Kalkmilch und Nephrolithiasis verursachen. Klinisch manifestiert sich ein Kelchdivertikel i. R. einer Nephrolithiasis und kann mit Schmerzen und Hämaturie einhergehen. Sonographisch stellen sich Kelchdivertikel klassischerweise als zystische Strukturen nahe einem Kelch dar, oft mit echogenem Inhalt (Kalkmilch) gefüllt und mit Spiegelbildung je nach Körperlage.
Benigne pathologische Befunde in der Nierensonographie.
  • Entzündliche bedingte Nierenveränderungen erscheinen im Ultraschall echoreicher und kontrastiert schärfer zu den angrenzend liegenden Markpyramiden. Abszedierende Herde imponieren hypoechogen.
  • Nierenarterienstenose lässt sich mittels Duplexsonographie diagnostizieren.
  • Nephrolithen präsentieren sich im Ultraschall als echoreiche Strukturen mit dorsaler Schallauslöschung.
  • Die Nierensonographie ist, trotz ihrer im Vergleich zur CT geringeren Sensitivität, die initiale posttraumatische Untersuchungsmodalität der Wahl, fungiert jedoch auch als wertvolles Instrument im Rahmen von Nachkontrollen.
  • Bei Dilatation des physiologischerweise schlanken NBKS spricht man von Nierenstauung, die in 4 Graden unterteilt wird und a.e. auf eine Obstruktion durch Konkremente oder Tumoren zurückzuführen ist.
  • Bei zunehmendem Druck im oberen Harntrakt (akute Urolithiasis) oder postoperativ kann es zur Fornixruptur mit Ausbildung eines Urinoms kommen.
  • Zysten sind flüssigkeitsgefühlte Hohlräume des Nierenparenchyms oder des NBKS, die sonomorphologisch mit einer dorsalen Schallverstärkung einhergehen und, sobald als kompliziert eingestuft, computertomographisch abgeklärt werden sollten.
  • Die Sonographie gehört zur initialen Diagnostik des oft asymptomatischen vesikoureteralen Refluxes, der Urinrückfluss zur Niere impliziert.

Nierentumoren

Nierentumoren werden oft inzidentell bei routinemässigen Untersuchungen sonographisch nachgewiesen. Sie sind zum Diagnosezeitpunkt normalerweise asymptomatisch und geben je nach Entität ein variables sonomorphologisches Erscheinungsbild ab. Kleinere Tumormassen (< 2 cm) stellen eine grosse Herausforderung für die sonographische Detektion dar.

Benigne Nierentumoren

Das Angiomyolipom kommt unter den gutartigen Nierentumoren am häufigsten vor [10]. Aufgrund des grösstenteils vorherrschenden Fettgewebes ist es echoreich, sodass es klassischerweise weiss im Bild erscheint (s. Bild 16) – je geringer der Fettanteil, umso niedriger die Echogenität [11], und es ist folglich schwieriger, das Angiomyolipom differenzialdiagnostisch vom Nierenzellkarzinom zu unterscheiden. Im Gegensatz zu bösartigen Tumoren weist es kaum intratumorale Zysten oder eine hypoechogene Umrandung auf [12].
Der zweithäufigste gutartige Nierentumor, der sich bildmorphologisch inkonklusiv zuordnen lässt und zur Diagnosestellung einen histopathologischen Nachweis erforderlich macht, ist das Onkozytom. Es präsentiert sich sonographisch als solide, gut umschriebene, kapselfreie Raumforderung, die zentral echoarme Areale und eine gute Vaskularisation aufweisen kann (s. Bild 17).

Maligne Nierentumoren

Bösartige Nierentumoren stellen sich im Ultraschall als rundlich-solide Raumforderungen dar, die ein abwechselndes Echomuster aufweisen, zystische, solide bzw. gemischte Anteile besitzen können und je nachdem entweder vom Parenchym ausgehen oder ins NBKS hineinragen, wobei sich Letztere sonographisch inkonklusiv abgrenzen lassen.
Erfahrene Radiologen können in > 90 % einen Tumor von einer gutartigen Zyste unterscheiden. Mithilfe des Ultraschalls kann auch festgestellt werden, ob der Tumor bereits metastasiert ist. Insbesondere die Leber, aber auch andere Bauchorgane sowie Lymphknoten können sonographisch auf das Vorliegen von Metastasen untersucht werden. Die Sonographie ermöglicht zudem eine Beurteilung hinsichtlich des Tumorbefalls (Tumorthrombus) der Nierengefässe und der grossen Hohlvene (V. cava inferior). Die Beurteilung der Blutgefässe ist v. a. für die Operationsplanung von Bedeutung.
Das Nierenzellkarzinom (s. Bild 18) ist der am häufigsten diagnostizierte bösartige Nierentumor, tritt überwiegend beim älteren Patienten (7. Dekade) auf und wird sonographisch oftmals als Zufallsbefund diagnostiziert. Es lässt sich in der Regel differenziert vom restlichen Nierenparenchym abgrenzen, gibt jedoch ein sonomorphologisch variables Erscheinungsbild ab. Das Nierenzellkarzinom zeigt sich als meist echoarme bis echogleiche Raumforderung der Niere, die zentral oder am Rand der Niere gelegen ist. Klarzellige Nierenzellkarzinome besitzen sowohl zystische (echoarme) als auch nekrotische (echoreiche) Anteile, wobei papillare Nierenzellkarzinome homogener erscheinen. Das chromophobe Nierenzellkarzinom dagegen erscheint als gut umschriebener, stark lobulierter, solider Tumor. Eine Differenzierung zwischen den verschiedenen Entitäten ist sonographisch allerding inkonklusiv. Hierfür finden der KM-verstärkte Ultraschall sowie die Computertomographie und die Magnetresonanztomographie Anwendung.
Das Nephroblastom (Wilms-Tumor) ist die häufigste Nierenneoplasie im Kindesalter, tritt überwiegend bei Mädchen mit einer Peakinzidenz < 15 Jahre auf und geht selten mit Symptomen wie Hämaturie und Schmerzen, jedoch mit abdominalem Völlegefühl einher. Sonographisch präsentiert es sich echoreich mit zystischen Läsionen und Verkalkungen (s. Bild 19).
Nierenmetastasen haben ein im Vergleich zum Primarius einheitliches sonographisches Erscheinungsbild.
Ein weiterer bösartiger Nierentumoren ist das Nierenlymphom (s. Bild 20), das selten isoliert vorkommt und unterschiedliche Niereninfiltration aufweist (u. a. perirenal wie hier im Bild).

Kontrastmittelverstärkter Ultraschall (CEUS) zur Beurteilung von Nierentumoren

Der Einsatz des KM-verstärkten Ultraschalls (CEUS, s. Bild 21) kommt bei der Abklärung von Nierentumoren immer häufiger vor [13]. Dies insbesondere, weil pathognomonisch feine Vaskularisationsunterschiede zwischen den verschiedenen Tumoren visualisiert werden können, welche eine Abgrenzung der diversen Tumorentitäten ermöglichen. So wird bei klarzelligen Nierenzellkarzinomen eine rasche und intensive KM-Anreicherung beobachtet, während dies bei papillaren Nierenzellkarzinomen verzögert und dezenter ausfällt. Die aktuelle Evidenzlage zeigt, dass insbesondere bei kleineren tumorsuspekten Raumforderungen der Niere (< 2 cm) der CEUS im Vergleich zu anderen Untersuchungsmodalitäten (KM-CT/MRT) ebenbürtig, wenn nicht besser ist, und zwar sowohl in der Abgrenzung maligner als auch benigner Raumforderungen [14]. So können z. B. benigne Zysten, welche in der konventionellen Sonographie maligne imponieren (hämorrhagische oder proteinreiche Zysten) oder fettarme Angiomyolipome durch CEUS-Anwendung besser charakterisiert und der Malignitätsverdacht entschärft werden.
Nierentumoren in der Nierensonographie.
  • Nierentumoren sind oftmals asymptomatisch, werden häufig zufällig i. R. routinemässiger sonographischer Untersuchungen diagnostiziert und geben ein variables sonomorphologisches Erscheinungsbild mit abwechselndem Echomuster ab.
  • Das Angiomyolipom stellt die häufigste gutartige Nierenentität dar und erscheint aufgrund des vorherrschenden Fettanteils weisslich im Ultraschall.
  • Das Onkozytom ist der zweithäufigste gutartige Nierentumor und grenzt sich sonographisch als solide, gut umschriebene, kapselfreie Raumforderung ab mit zentral echoarmen Arealen und einer guten Vaskularisation, lässt sich jedoch inkonklusiv zuordnen und macht zur Diagnosestellung einen histopathologischen Nachweis erforderlich.
  • Das Nierenzellkarzinom ist der häufigste bösartige Nierentumor (höchste Inzidenz um die 7. Lebensdekade), präsentiert sich sonographisch variabel mit zystisch-nekrotischen Anteilen (klarzellig) oder homogen (papillar), wobei erst der CEUS eine adäquate Zuordnung zulässt.
  • Zur besseren Differenzierung diverser Tumorentitäten wird der CEUS auch insbesondere bei kleineren benignen und malignen Nierentumoren diagnostisch eingesetzt

Einhaltung ethischer Richtlinien

Interessenkonflikt

D. Tsarov und M.A. Furrer geben an, dass kein Interessenkonflikt besteht.
Für diesen Beitrag wurden von den Autor/-innen keine Studien an Menschen oder Tieren durchgeführt. Für die aufgeführten Studien gelten die jeweils dort angegebenen ethischen Richtlinien.
Open Access Dieser Artikel wird unter der Creative Commons Namensnennung 4.0 International Lizenz veröffentlicht, welche die Nutzung, Vervielfältigung, Bearbeitung, Verbreitung und Wiedergabe in jeglichem Medium und Format erlaubt, sofern Sie den/die ursprünglichen Autor(en) und die Quelle ordnungsgemäß nennen, einen Link zur Creative Commons Lizenz beifügen und angeben, ob Änderungen vorgenommen wurden.
Die in diesem Artikel enthaltenen Bilder und sonstiges Drittmaterial unterliegen ebenfalls der genannten Creative Commons Lizenz, sofern sich aus der Abbildungslegende nichts anderes ergibt. Sofern das betreffende Material nicht unter der genannten Creative Commons Lizenz steht und die betreffende Handlung nicht nach gesetzlichen Vorschriften erlaubt ist, ist für die oben aufgeführten Weiterverwendungen des Materials die Einwilligung des jeweiligen Rechteinhabers einzuholen.
Weitere Details zur Lizenz entnehmen Sie bitte der Lizenzinformation auf http://creativecommons.org/licenses/by/4.0/deed.de.

Hinweis des Verlags

Der Verlag bleibt in Hinblick auf geografische Zuordnungen und Gebietsbezeichnungen in veröffentlichten Karten und Institutsadressen neutral.
Download
Titel
Repetitorium Sonographie der Nieren Teil 2: klinische Anwendung und Krankheitsbilder
Verfasst von
Dimitar Tsarov
Marc A. Furrer
Publikationsdatum
01.06.2024
Verlag
Springer Vienna
Erschienen in
Urologie in der Praxis / Ausgabe 2/2024
Print ISSN: 2661-8737
Elektronische ISSN: 2661-8745
DOI
https://doi.org/10.1007/s41973-023-00235-z
1.
Zurück zum Zitat Schiappacasse G, Aguirre J, Soffia P, Silva CS, Zilleruelo N (2015) CT findings of the main pathological conditions associated with horseshoe kidneys. Br J Radiol 88(1045):20140456. https://doi.org/10.1259/bjr.20140456CrossRefPubMed
2.
Zurück zum Zitat Muttarak M, Sriburi T (2012) Congenital renal anomalies detected in adulthood. Biomed Imaging Interv J 8(1):e7. https://doi.org/10.2349/biij.8.1.e7CrossRefPubMedPubMedCentral
3.
Zurück zum Zitat Caps MT, Zierler RE, Polissar NL, Bergelin RO, Beach KW, Cantwell-Gab K, Casadei A, Davidson RC, Strandness DE Jr. (1998) Risk of atrophy in kidneys with atherosclerotic renal artery stenosis. Kidney Int 53(3):735–742. https://doi.org/10.1046/j.1523-1755.1998.00805.xCrossRefPubMed
4.
Zurück zum Zitat Theerta KC, Das SK, Shetty MS (2023) Renal resistive index: revisited. Cureus 15(3):e36091. https://doi.org/10.7759/cureus.36091CrossRef
5.
Zurück zum Zitat Smith-Bindman R, Aubin C, Bailitz J, Bengiamin RN, Camargo CA Jr, Corbo J, Dean AJ, Goldstein RB, Griffey RT, Jay GD, Kang TL, Kriesel DR, Ma OJ, Mallin M, Manson W, Melnikow J, Miglioretti DL, Miller SK, Mills LD, Miner JR, Moghadassi M, Noble VE, Press GM, Stoller ML, Valencia VE, Wang J, Wang RC, Cummings SR (2014) Ultrasonography versus computed tomography for suspected nephrolithiasis. N Engl J Med 371(12):1100–1110. https://doi.org/10.1056/NEJMoa1404446CrossRefPubMed
6.
Zurück zum Zitat Ray AA, Ghiculete D, Pace KT, Honey RJ (2010) Limitations to ultrasound in the detection and measurement of urinary tract calculi. Urology 76(2):295–300. https://doi.org/10.1016/j.urology.2009.12.015CrossRefPubMed
7.
Zurück zum Zitat Unal D, Yeni E, Karaoglanoglu M, Verit A, Karatas OF (2003) Can conventional examinations contribute to the diagnostic power of unenhanced helical computed tomography in urolithiasis? Urol Int 70(1):31–35. https://doi.org/10.1159/000067702CrossRefPubMed
8.
Zurück zum Zitat Heynemann H, Tuma J (2006) Die Sonographie der Niere aus urologisch-nephrologischer Sicht. Praxis 95(18):729–735. https://doi.org/10.1024/0369-8394.95.18.729CrossRefPubMed
9.
Zurück zum Zitat Nicolau C, Antunes N, Paño B, Sebastia C (2021) Imaging characterization of renal masses. Ann Univ Mariae Curie Sklodowska [Med] 57(1):51. https://doi.org/10.3390/medicina57010051CrossRef
10.
Zurück zum Zitat Jeon HG, Lee SR, Kim KH, Oh YT, Cho NH, Rha KH, Yang SC, Han WK (2010) Benign lesions after partial nephrectomy for presumed renal cell carcinoma in masses 4 cm or less: prevalence and predictors in Korean patients. Urology 76(3):574–579. https://doi.org/10.1016/j.urology.2009.11.082CrossRefPubMed
11.
Zurück zum Zitat Jinzaki M, Tanimoto A, Narimatsu Y, Ohkuma K, Kurata T, Shinmoto H, Hiramatsu K, Mukai M, Murai M (1997) Angiomyolipoma: imaging findings in lesions with minimal fat. Radiology 205(2):497–502. https://doi.org/10.1148/radiology.205.2.9356635CrossRefPubMed
12.
Zurück zum Zitat Jinzaki M, Ohkuma K, Tanimoto A, Mukai M, Hiramatsu K, Murai M, Hata J (1998) Small solid renal lesions: usefulness of power Doppler US. Radiology 209(2):543–550. https://doi.org/10.1148/radiology.209.2.9807587CrossRefPubMed
13.
Zurück zum Zitat Barr RG, Peterson C, Hindi A (2014) Evaluation of indeterminate renal masses with contrast-enhanced US: a diagnostic performance study. Radiology 271(1):133–142. https://doi.org/10.1148/radiol.13130161CrossRefPubMed
14.
Zurück zum Zitat Furrer MA, Spycher SCJ, Büttiker SM, Gross T, Bosshard P, Thalmann GN, Schneider MP, Roth B (2020) Comparison of the diagnostic performance of contrast-enhanced ultrasound with that of contrast-enhanced computed tomography and contrast-enhanced magnetic resonance imaging in the evaluation of renal masses: a systematic review and meta-analysis. Eur Urol Oncol 3(4):464–473. https://doi.org/10.1016/j.euo.2019.08.013CrossRefPubMed
15.
Zurück zum Zitat Feickert H‑J, Hoyer PF, Bürger D, Maschek H (1997) Xanthogranulomatous pyelonephritis in childhood: differential diagnosis to nephroblastoma by sonography. Eur J Ultrasound 6(1):17–24. https://doi.org/10.1016/S0929-8266(97)00028-1CrossRef
16.
Zurück zum Zitat Thom C, Eisenstat M, Moak J (2018) Point-of-care ultrasound identifies urinoma complicating simple renal colic: a case series and literature review. J Emerg Med 55(1):96–100. https://doi.org/10.1016/j.jemermed.2018.02.033CrossRefPubMed