Zum Inhalt

Rare lung cancers—Primary pulmonary leiomyosarcoma: A case report

  • Open Access
  • 20.08.2021
  • case report
Erschienen in:
download
DOWNLOAD
print
DRUCKEN
insite
SUCHEN

Summary

Primary pulmonary sarcomas (PPS) are rare mesenchymal lung cancers, which do not present clinically or radiological different to lung carcinomas. Definite PPS diagnosis can only be made by histological analysis and detailed staging examinations in order to exclude a secondary pulmonary malignancy such as metastatic soft tissue sarcoma or another solid tumour. Here we present the case of a 66-year-old woman with a pulmonary mass infiltrating the diaphragm and the mediastinal adipose tissue, which was identified as leiomyosarcoma. The patient received curative surgery with complete tumour R0 resection. The prognosis of PPS is defined by tumour size, lymph node status and histological grading. Surgery is the mainstay of therapy and there is no definitive indication for adjuvant therapy for R0-resected and lymph-node-negative patients like in our case. However, multimodal therapy approaches such as (neo)adjuvant chemo- and radiotherapy can contribute to improving locoregional tumour control, which is the most important prognostic factor. With our case report we want to raise awareness for pulmonary sarcomas as a relevant proportion of rare lung cancers which have to be kept in mind during the differential diagnosis. Moreover, we aim to discuss the complex and individual interdisciplinary management.

Publisher’s Note

Springer Nature remains neutral with regard to jurisdictional claims in published maps and institutional affiliations.

Case presentation

Following a full medical examination after a syncope a 66-year-old woman was diagnosed with a mass in the right lung after the basal portion of the tumour was visible in the standardly performed abdominal imaging. A computed tomography (CT) scan of the chest identified a tumour with a dimension of 55 × 44 mm in the peripheral medial middle lobe of the lung, directly associated to the pericardial adipose tissue and diaphragm. The tumour mass showed homogenous CT contrast agent enhancement (Fig. 1).
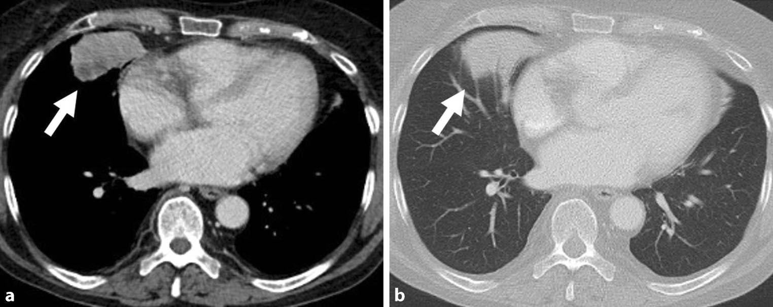
Fig. 1
Radiological features of primary pulmonary sarcoma (PPS): Contrast-enhanced computed tomography (a soft tissue window, b lung window) shows a subpleural lesion in the medial segment of the middle lobe with a dimension of 5.5 × 4.4 cm (arrow) directly associated to the pericardial adipose tissue
Bild vergrößern
The patient underwent CT-guided biopsy of the pulmonary mass and fine needle biopsy of the pericardial adipose tissue. Histological evaluation of the biopsy cores, which were also examined at a pathologic reference centre, showed epithelioid tumour tissue with expression of myogenic markers such as FMA, desmin and CDK4 (Cyclin dependent kinase 4, only in some tumour cells) and lacking expression of Mdm2 (mouse double minute 2 homolog) in immunohistochemical analysis. Thus, diagnosis of epithelioid leiomyosarcoma was made. The full medical examination did not reveal a reason for the syncope episode and a connection to the pulmonary sarcoma could not be made.
Subsequently, the case of the patient was presented to the transregional tumour board at our institution, in which an additional combined 18F‑fluoro-deoxyglucose ([18F]FDG) positron emission tomography and computed tomography ([18F]FDG-PET/CT) for ruling out metastatic disease and primary synovial sarcoma of the lung was recommended. Upon admission to our department (18F)FDG-PET/CT showed absence of metastatic disease and the primary lesion showed physiologic tracer uptake. Therefore, surgery with curative intent including middle lobe lobectomy, partial diaphragm resection and resection of infiltrated pericardial adipose tissue as well as mediastinal lymph node sampling/dissection was indicated. The procedure was performed without complications under general anaesthesia and macroscopically R0 resection was achieved. The postoperative course remained without complications and the patient could be transferred to a peripheral hospital.
Corresponding to pre-operative imaging and histology from biopsy as well as the intraoperative situs, histologic analysis showed a poorly differentiated malignant mesenchymal tumour, infiltrating the parietal pleura of the diaphragm and the mediastinum. All resection margins were tumour-free and all dissected lymph nodes showed no infiltration of tumour cells. Therefore, postoperative tumour stage was pT3N0M0 and a R0 resection was achieved. Additional immunohistochemical staining revealed positivity for SMA (smooth muscle actin), desmin, caldesmon and negativity for Myo-D1 (Myoblast determination protein 1), Mdm2, Sox10 (SRY-related HMG-box protein 10), STAT6 (Signal transducer and activator of transcription 6), pancytokeratin AE1/3 and NTRK (Neurotrophic tyrosine kinase), consequently confirming the diagnosis of primary pulmonary leiomyosarcoma (Fig. 2). According to the Fédération Nationale des Centres de Lutte Contre Le Cancer (FNCLCC) grading system the sarcoma was classified as grade 3. As expected in leiomyosarcomas the RNA-based next generation sequencing (NGS) did not detect any gene fusions. With respect to the postoperative tumour stage the interdisciplinary tumour board did not indicate further adjuvant radio- or chemotherapy.
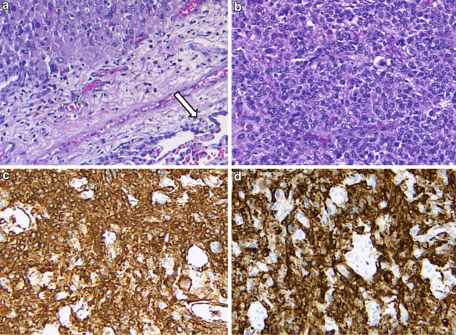
Fig. 2
Histologic specimen of the pulmonary leiomyosarcoma, 100×. Haematoxylin–eosin: a,b Lung parenchyma (arrow) with sarcoma infiltration. Immunohistochemistry: c Smooth muscle actin, d Desmin
Bild vergrößern

Discussion

PPS are a rare type of primary lung tumours which usually represent less than 1% of all lung tumours and <10% of all soft tissue sarcomas [13]. Moreover, the abundance of sarcomatous tumours in the lung is characterised as secondary malignancies from metastatic sarcomas of different location [4], which has to be excluded before the diagnosis of PPS because the lung is a common metastatic site of many sarcomas and would dramatically change the treatment strategy [3, 5, 6]. Most published data are based on smaller retrospective case series and cancer registry data [7, 8]. Therefore, the level of evidence for patient management and therapeutic decisions in clinical routine is rather low and standardization is warranted [3, 8].
From a clinical perspective, the patients’ presentation with malignant mesenchymal lung tumours and reported symptoms are not clearly different from pulmonary epithelial tumours. Correspondingly, cough, haemoptysis, dyspnoea and chest pain as well as general symptoms such as weight loss, weakness and fever are the most common conditions [1, 3, 5]. Interestingly, smoking seems to be less common in patients with PPS than in malignant epithelial lung tumours. In the published case series consistently less than 50% of the patients had a history of (heavy) smoking [1, 2, 6, 9], which is clearly less than compared to historical data on lung tumours [10]. Concerning further risk factors, like for other sarcomas, cases of involved field sarcomas after prior radiotherapy are reported [1]. Like in our case, where the diagnosis of PPS was made incidentally in a pulmonary asymptomatic patient, a significant percentage of patients present without complaints and the pulmonary mass is diagnosed in chest imaging [1, 3, 5]. Concerning chest-imaging techniques there are no clear typical radiologic features to differentiate PPS from other lung tumours. Therefore, PPS are still a diagnosis of exclusion and require a multimodal approach as well as tissue sampling [11]. Consequently, definite diagnosis relies on histopathological analysis.
Clinical staging in PPS is challenging due to lack of a specific staging system and there are currently three possible classifications [8]. The TNM (+G) staging for lung cancers and soft tissue sarcomas of the extremities or the recently published classification of soft tissue sarcomas of the abdomen and thoracic visceral organs (Table 1) were shown to be applicable in the case series of Collaud et al. [8]. It has been documented that the features of the staging system such as tumour size, lymph node involvement and grading correlate with survival, yet the classification for sarcomas of the abdominal and thoracic organs still needs to be evaluated [5, 7, 8].
Table 1
Clinical staging system for primary pulmonary sarcoma (PPS) according to the TNM classification of soft tissue sarcoma (STS) of the abdomen and thoracic visceral organs. (Adapted from [14] and accessed via [15])
T1
Tumour limited to a single organ
T2a
Tumour infiltrating but not exceeding the serosa of the visceral pleura
T2b
Tumour infiltrating and microscopically exceeding the serosa of the visceral pleura
T3
Tumour macroscopically infiltrating the serosa of the visceral pleura or continuously infiltrating another organ
T4a
Multifocal tumour with involvement of more than two lesions in a single organ
T4b
Multifocal tumour with involvement of more than two but less than five areas of a single organ
T4c
Multifocal tumour with involvement of more than five areas of a single organ
N0
No locoregional lymph node metastasis
N1
Locoregional lymph node metastasis
M0
No distant metastasis
M1
Distant metastasis
Various subtypes of sarcomas can be found in PPS, leiomyosarcoma, like in our case, is together with synovial sarcoma (most common primary intrathoracic sarcoma), fibrohistocytic sarcoma, fibrosarcoma and fibroleiomyosarcoma one of the more common [2, 5, 7]. Sarcomas are traditionally classified in histologic subtypes according to the WHO classification based on morphology, immunohistochemistry and molecular findings. Histologically, they are graded according to the FNCLCC grading system (Table 2). Compared to soft tissue sarcomas of the extremities PPS show a greater proportion of high-grade tumours and fibrous tumours and liposarcomas [7]. Furthermore, PPS have to be differentiated from pulmonary carcinosarcomas, which are defined as a rare bidirectional tumour containing carcinomatous and sarcomatous tumour tissue features, whose prognosis is partly determined by its sarcoma component [6, 12]. Another differential diagnosis is the solitary fibrous tumour of the pleura (SFTP), an in most cases benign mesenchymal tumour of the pleural fibroblasts, which can occur in various locations in the thoracic cavity and mimic primary pulmonary malignancies like PPS [13].
Table 2
FNCLCC (Fédération Nationale des Centres de Lutte Contre Le CancerFédération Nationale des Centres de Lutte Contre Le Cancer) grading system [16]
Tumor differentiation
Score 1
Sarcoma closely resembling normal adult mesenchymal tissue (e.g., well-differentiated liposarcoma)
Score 2
Sarcomas for which histologic typing is certain (e.g., myxoid liposarcoma)
Score 3
Embryonal and undifferentiated sarcomas, sarcomas of doubtful type, and synovial sarcomas
Mitotic count
Score 1
0–9 mitoses per 10 HPF
Score 2
10–19 mitoses per 10 HPF
Score 3
≥20 mitoses per 10 HPF
Tumor necrosis
Score 0
No necrosis
Score 1
<50% tumor necrosis
Score 2
≥50% tumor necrosis
Histological grade
Grade 1
Total score 2, 3
Grade 2
Total score 4, 5
Grade 3
Total score 6, 7, 8
FNCLCC Fédération Nationale des Centres de Lutte Contre Le Cancer, HPF high-power field
Concerning the prognosis, a 5-year overall survival (OS) of 40–50% and a median OS of about 45–50 months was reported in historic case series of PPS [3, 5, 6]. A more recent study showed a 5-year survival of around 60% and a median OS of 69 months as well as a median disease-free survival of 17 months [8]. In most retrospective studies risk factors for decreased OS were age, tumour size (mostly >5 cm), presence of lymph node metastasis, tumour stage according to TNM classification and higher histological grading [2, 7, 8]. Compared to soft tissue sarcomas of the extremities PPS have clearly worse overall prognosis and present with a greater of proportion of lymph node metastasis [7]. The increased prevalence of lymph node metastasis may be due to distinct lung tissue characteristics compared to soft tissue sarcoma [7, 8].
Interdisciplinary therapy decisions by a tumour board are highly recommended for all sarcomas and have been shown to improve outcomes of patients. For PPS the positive influence of the management by a multidisciplinary team was documented for primary intrathoracic synovial sarcoma [9]. The main pillar of therapy for PPS is without doubt surgery. Lobectomy is regarded as the gold standard; however for smaller peripheral tumours wedge resections can also be performed, but show higher rates of locally recurrent disease [5]. Pneumectomy has high morbidity, nevertheless has to be kept in mind, when it is inevitable to achieve local disease control [8].
Regarding therapy-associated prognostic factors the achievement of complete resection of the PPS including microscopically tumour-free resection margins is a main favourable prognostic factor [2, 3, 7]. Another important factor is the lymph node status as around 25% of PPS patients show node-positive disease [3, 6, 8]. Therefore, lymph node sampling/dissection is not only recommended for staging purpose, but also as possible therapeutic modality to reach optimal local tumour control and may pose a possible indication for adjuvant chemotherapy [3, 68]. Consequently, apart from that there is no definitive indication for adjuvant chemotherapy in our opinion, especially not in patients with an N0 status or those reaching an R0 resection, which was also demonstrated in the reported case.
Adjuvant postoperative radiotherapy is feasible for R1-resected patients and patients, in whom R1-resections is technically unachievable, in order to improve locoregional tumour control [1, 5]. However, patients, who were treated with radiotherapy showed worse overall prognosis, as larger tumours with a pronounced N‑stage and a greater proportion of high-grade tumours were present in this group [7]. Likewise, patients with a locally advanced, especially N‑positive disease, may profit from a postoperative radiotherapy [1, 7]. Furthermore, neoadjuvant chemotherapy is feasible in primary unresectable tumours and in N‑positive patients to achieve operability and better local control [7, 8]. To our knowledge, there is no data or ongoing trials evaluating the use of targeted therapies, immunotherapy or antiangiogenic therapies specifically in PPS.
To summarize, we want to discuss the described multimodal therapy options regarding the presented case of our patient. After curative surgery, which resulted in a histologically confirmed tumour-free situation, the reported patient was discussed in the interdisciplinary tumour board. With respect to the possible complications and toxicities, the committee could not identify a definitive indication for an adjuvant radio- or chemotherapy as the surgery was an R0 resection and there were no tumour-infiltrated lymph nodes. According to the literature, apart from N‑positive, locally advanced or R1-resected patients, the benefit of an adjuvant chemo- or radiotherapy could not be proven [2, 7]. Additionally, the tumour board discussed a neoadjuvant therapy concept prior to the surgery. Whereas Collaud et al. [8] suggest the administration of a neoadjuvant induction therapy, the board decided against this option, as it was conceivable by the surgeons that via a middle lobe lobectomy including mediastinal lymph node dissection combined with a partial diaphragm and pericardial tumour resection full local tumour control could be achieved. Consequently, surgery remains the most important pillar of therapy and regarding the lack of prospective data the neoadjuvant and adjuvant therapy strategies have to be discussed for each patient in our opinion.
With our work we added another case description of the very rare cancer entity PPS to the literature. We were able to discuss the interdisciplinary management of the patient and the possible therapy modalities as well as the individuality of the therapy concepts without being able to rely on clear-cut therapy recommendations.
Take home message
The diagnosis of primary pulmonary sarcomas (PPS), which are rare mesenchymal lung tumours, is primarily based on histology and it is mandatory to exclude a secondary pulmonary sarcomatous neoplasm to confirm the diagnosis. Nonetheless, PPSs need to be considered as differential diagnosis in the field of rare lung cancers, as they have to be surgically treated whenever possible and there is no standardly applied (neo) adjuvant therapy.

Conflict of interest

L. Nagl, A. Seeber, G. Widmann, K. Schmitz, H. Maier, G. Pall, D. Wolf and A. Pircher declare that they have no competing interests.
Open Access This article is licensed under a Creative Commons Attribution 4.0 International License, which permits use, sharing, adaptation, distribution and reproduction in any medium or format, as long as you give appropriate credit to the original author(s) and the source, provide a link to the Creative Commons licence, and indicate if changes were made. The images or other third party material in this article are included in the article’s Creative Commons licence, unless indicated otherwise in a credit line to the material. If material is not included in the article’s Creative Commons licence and your intended use is not permitted by statutory regulation or exceeds the permitted use, you will need to obtain permission directly from the copyright holder. To view a copy of this licence, visit http://creativecommons.org/licenses/by/4.0/.

Publisher’s Note

Springer Nature remains neutral with regard to jurisdictional claims in published maps and institutional affiliations.

Unsere Produktempfehlungen

Abo für kostenpflichtige Inhalte

download
DOWNLOAD
print
DRUCKEN
Titel
Rare lung cancers—Primary pulmonary leiomyosarcoma: A case report
Verfasst von
Laurenz Nagl
Andreas Seeber
Gerlig Widmann
Katja Schmitz
Herbert Maier
Georg Pall
Dominik Wolf
Andreas Pircher
Publikationsdatum
20.08.2021
Verlag
Springer Vienna
Erschienen in
memo - Magazine of European Medical Oncology / Ausgabe 4/2021
Print ISSN: 1865-5041
Elektronische ISSN: 1865-5076
DOI
https://doi.org/10.1007/s12254-021-00738-w
1.
Zurück zum Zitat Etienne-Mastroianni B, Falchero L, Chalabreysse L, Loire R, Ranchère D, Souquet PJ, et al. Primary sarcomas of the lung: a clinicopathologic study of 12 cases. Lung Cancer. 2002;38(3):283–9.CrossRef
2.
Zurück zum Zitat Régnard JF, Icard P, Guibert L, de Montpreville VT, Magdeleinat P, Levasseur P. Prognostic factors and results after surgical treatment of primary sarcomas of the lung. Ann Thorac Surg. 1999;68(1):227–31.CrossRef
3.
Zurück zum Zitat Bacha EA, Wright CD, Grillo HC, Wain JC, Moncure A, Keel SB, et al. Surgical treatment of primary pulmonary sarcomas. Eur J Cardiothorac Surg. 1999;15(4):456–60.CrossRef
4.
Zurück zum Zitat Janssen JP, Mulder JJ, Wagenaar SS, Elbers HR, van den Bosch JM. Primary sarcoma of the lung: a clinical study with long-term follow-up. Ann Thorac Surg. 1994;58(4):1151–5.CrossRef
5.
Zurück zum Zitat Porte HL, Metois DG, Leroy X, Conti M, Gosselin B, Wurtz A. Surgical treatment of primary sarcoma of the lung. Eur J Cardiothorac Surg. 2000;18(2):136–42.CrossRef
6.
Zurück zum Zitat Petrov DB, Vlassov VI, Kalaydjiev GT, Plochev MA, Obretenov ED, Stanoev VI, et al. Primary pulmonary sarcomas and carcinosarcomas—postoperative results and comparative survival analysis. Eur J Cardiothorac Surg. 2003;23(4):461–6.CrossRef
7.
Zurück zum Zitat Spraker MB, Bair E, Bair R, Connell PP, Mahmood U, Koshy M. An analysis of patient characteristics and clinical outcomes in primary pulmonary sarcoma. J Thorac Oncol. 2013;8(2):147–51.CrossRef
8.
Zurück zum Zitat Collaud S, Stork T, Schildhaus HU, Pöttgen C, Plönes T, Valdivia D, et al. Multimodality treatment including surgery for primary pulmonary sarcoma: size does matter. J Surg Oncol. 2020;122(3):506–14.CrossRef
9.
Zurück zum Zitat He H, Yang L, Peng Y, Liu L, Xue Q, Gao S. The value of multidisciplinary team (MDT) management in the diagnosis and treatment of primary intrathoracic synovial sarcomas: a single-center experience. J Thorac Dis. 2021;13(2):600–12.CrossRef
10.
Zurück zum Zitat Tindle HA, Stevenson DM, Greevy RA, Vasan RS, Kundu S, Massion PP, et al. Lifetime smoking history and risk of lung cancer: results from the Framingham heart study. J Natl Cancer Inst. 2018;110(11):1201–7.PubMedPubMedCentral
11.
Zurück zum Zitat Chahal A, Manapragada PP, Singh SP, Winokur TS, Sonavane SK. Primary intrathoracic sarcomas: a review of cross-sectional imaging and pathology. J Comput Assist Tomogr. 2020;44(6):821–32.CrossRef
12.
Zurück zum Zitat Huwer H, Kalweit G, Straub U, Feindt P, Volkmer I, Gams E. Pulmonary carcinosarcoma: diagnostic problems and determinants of the prognosis. Eur J Cardiothorac Surg. 1996;10(6):403–7.CrossRef
13.
Zurück zum Zitat Tan F, Wang Y, Gao S, Xue Q, Mu J, Mao Y, et al. Solitary fibrous tumors of the pleura: a single center experience at National Cancer Center, China. Thorac Cancer. 2018;9(12):1763–9.CrossRef
14.
Zurück zum Zitat Amin M, Gress D, Meyer Vega L. AJCC cancer staging manual. 8th ed. Cham: Springer; 2016.
15.
Zurück zum Zitat Schütte J, Bauer S, Brodowicz T, Grünwald V, Hofer S, Hohenberger P, et al. Weichgewebssarkome (maligne Weichgewebstumoren) des Erwachsenen. 2019. https://www.onkopedia.com/de/onkopedia/guidelines/weichgewebssarkome-maligne-weichgewebstumoren-des-erwachsenen/@@guideline/html/index.html-litID0ELCAK. Accessed: 14 Jul 2021
16.
Zurück zum Zitat Guillou L, Coindre JM, Bonichon F, Nguyen BB, Terrier P, Collin F, et al. Comparative study of the National Cancer Institute and French Federation of Cancer Centers Sarcoma Group grading systems in a population of 410 adult patients with soft tissue sarcoma. J Clin Oncol. 1997;15(1):350–62.CrossRef