Zum Inhalt

Pulmonale Infiltrate als Erstmanifestation einer Polyarteriitis nodosa (PAN)

  • Open Access
  • 02.12.2024
  • Kasuistik
Erschienen in:
download
DOWNLOAD
print
DRUCKEN
insite
SUCHEN
QR-Code scannen & Beitrag online lesen

Hinweis des Verlags

Der Verlag bleibt in Hinblick auf geografische Zuordnungen und Gebietsbezeichnungen in veröffentlichten Karten und Institutsadressen neutral.

Manifestationen der Polyarteriitis nodosa

Die Polyarteriitis nodosa (PAN) ist eine systemische nekrotisierende Vaskulitis, welche typischerweise die Mediaschicht der mittelgroßen muskulären Arterien betrifft mit gelegentlicher Einbeziehung der kleinen muskulären Arterien unter Aussparung der Arteriolen, Venen und Kapillaren [1, 2]. Die Polyarteriitis nodosa ist nicht mit dem Auftreten von antineutrophilen zytoplasmatischen Antikörpern (ANCA) assoziiert, was die Diagnostik erschwert [3]. In Abgrenzung zu verschiedenen Subformen und PAN-artigen Vaskulitiden wird derzeit die idiopathische Form der PAN als „klassische PAN“ bezeichnet. Zu den sekundären und PAN-artigen Vaskulitiden zählen insbesondere infektassoziierte nekrotisierende PAN-artige Vaskulitiden (z. B. HBV, HCV oder HIV); auch medikamentöse Trigger (z. B. Minocyclin, Hydralazin, Tumornekrosefaktor-α-Inhibitoren, Sulfasalazin), oder eine Assoziation mit hämatologischen Erkrankungen (Haarzellleukämie, myelodysplastisches oder myeloproliferatives Syndrom) gehören in diese Kategorie [4, 5]. Als einen besonderen Subtyp der PAN-artigen Vaskulitiden kann die Adenosin-Deaminase-2-Defizienz („deficiency of adenosine deaminase type 2“, DADA2) angesehen werden [6]. Die ADA2-Defizienz ist verursacht durch rezessiv vererbte Loss-of-Function-Mutationen im Gen CECR1 („cat eye syndrome chromosome region candidate 1“) [7]. ADA2 ist ein ins Plasma sezerniertes Protein, das an der extrazellulären Degradation von Adenosin beteiligt ist. Es wird angenommen, dass ADA2 an der Regulation und Proliferation von Endothelzellen und Leukozyten beteiligt ist [6]. Die klinischen Manifestationen der klassischen PAN reichen von der schwerwiegenden systemischen Form bis zu lokalisierten Krankheitsbildern („single organ vasculitis“). Die Inzidenz nimmt mit dem Alter zu und erreicht ihren Höhepunkt im sechsten Lebensjahrzehnt. Bei Erwachsenen ist das Manifestationsalter im 40.–60. Lebensjahr, wobei Männer häufiger betroffen sind als Frauen [8]. Die Polyarteriitis nodosa kann mit Fieber, Gewichtsverlust sowie kutanen und muskuloskeletalen Symptomen einhergehen (Tab. 1). Die Beteiligung von gastrointestinalen und renalen Arterien kann zu Blutungen und ischämischen Komplikationen führen. Eine frühzeitige Diagnose und die Einleitung einer immunsuppressiven Therapie können den Krankheitsverlauf günstig beeinflussen.
Tab. 1
Klinische Manifestation der Polyarteriitis nodosa. (Adaptiert gemäß [9])
Manifestation
Frequenz (%)
Systemische Symptome: Fieber, Malaise, Gewichtsverlust
80
Neuropathie: Mononeuritis multiplex, Polyneuropathie
75
Arthralgien und/oder Myalgien: Gelenks- und/oder diffuse starke Schmerzen
60
Haut: Livedo reticularis, Purpura, Ulzeration
50
Nierenerkrankungen: Kreatinin-Erhöhung
50
Gastrointestinale Symptome: Abdominalschmerz, rektale Blutung
40
Hypertension: Neubeginn
35
Kardiale Beteiligung: Kardiomyopathie, Perikarditis
25
Erkrankungen des zentrale Nervensystems: Schlaganfall, Verwirrung
20
Orchitis: Hodenschmerzen, Schwellungen
20
Periphere Gefäßerkrankungen: Claudicatio, Ischämie, Nekrose
10
Atemwegsmanifestation: Infiltrate, Knötchen, Kavernen
10

Falldarstellung

Hier berichten wir über einen zuvor gesunden normalgewichtigen 55-jährigen Mann, der sich mit Fieber bis zu 40 °C, trockenem Husten mit wenig Auswurf und Nachtschweiß vorstellte. Der Nachweis von Lungeninfiltraten im Röntgenbild des Thorax veranlassten den Hausarzt zur Verabreichung von Amoxicillin (p.o. 1 g 2 ×/Tag). Nach 4 Tagen wurde der Patient wegen anhaltenden Fiebers, Nachtschweiß und Holozephalgie mit Photophobie in unser Krankenhaus eingeliefert. Im Liquor wurden keine pathologischen Befunde festgestellt. In der routinemäßigen Blutkontrolle waren die Entzündungsparameter deutlich erhöht mit einem CRP von initial 366 mg/L, im Verlauf persistierend bei 238 mg/Lund einer BSR von > 130 mm/h mit deutlicher Leukozytose (Lc 22,2 G/L), Thrombozytose (Tc 661 G/L) und normochromer normozytärer Anämie (Hb 90–100 g/L). Das Procalcitonin (1,45 μg/L) war nur leichtgradig erhöht bei deutlich erhöhtem Ferritin (2674 μg/L). In der CT des Thorax zeigten sich anhaltende bilaterale Infiltrate mit Konsolidation im Oberlappen links und hilomediastinaler Lymphadenopathie. Die perorale antibiotische Therapie wurde zunächst auf intravenös Amoxicillin/Clavulansäure 2,2 g 3 ×/Tag umgestellt und Azithromycin 500 mg/Tag ergänzt, ohne Einfluss auf den klinischen Verlauf mit täglichen Fieberspitzen bis 39–40 °C mit Schüttelfrost. Nebenbefundlich fiel eine zunehmende Anämie (von Hb 107 g/L auf Hb 82 g/L) sowie eine Proteinurie (1,09 g/Tag ohne Erythrozyturie) auf. In einer FDG-PET-CT zeigte sich kein Hinweis auf eine Abszessbildung, Tumor, Lymphom oder Vaskulitis der großen Gefäße. Es wurde jedoch eine leichte FDG-Aufnahme in der Lunge festgestellt (Abb. 1). Auch die Autoantikörperdiagnostik war nicht wegweisend (Tab. 2).
Abb. 1
FDG-PET-CT in der koronaren (a) und axialen Schichtung (bd). FDG-Mehrbelegung in der rechten Lungenspitze am Ort eines umschriebenen Infiltrats (b, d)
Bild vergrößern
Tab. 2
Ergebnisse der immunologischen Spezialdiagnostik
Untersuchung
Normalbereich
Ergebnis
ANA
< 1:80 Titer
< 1:80 (AC-00)
Anti-SS-A/Ro- und -SS-B/La-IgG
< 7 U/mL
Negativ
Anti-PR-3-ANCA-IgG
< 2,0 U/mL
Negativ
Anti-MPO-ANCA-IgG
<  3,5 U/mL
Negativ
Anti-dsDNA-IgG
< 10 IU/mL
Negativ
Anti-CCP-IgG
<  7 U/mL
Negativ
Rheumafaktor-IgM/-IgA
< 3,5 IU/mL
Negativ
Eine umfassende mikrobiologische Untersuchung, einschließlich Bronchoskopie und einer beidseitigen videogestützten thorakoskopischen Wedge Resektion/Biopsie, konnte keinen spezifischen Erreger nachweisen.
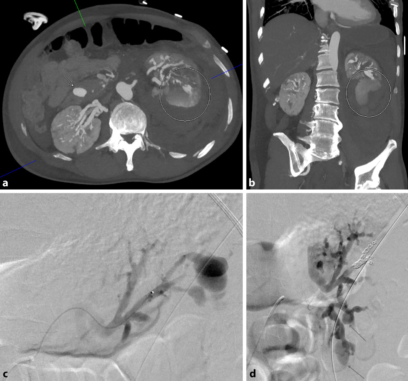
In der Histologie der Lungen- und Lymphknotenbiopsie wurden keine Neoplasien, Granulome oder Hinweise auf eine Castleman-Erkrankung beobachtet, die Befunde waren passend für eine organisierenden Pneumonie. Drei Wochen nach Beginn des Fiebers entwickelte der Patient plötzlich starke Bauchschmerzen, mit klinisch bretthartem Abdomen ohne äußere Blutungsstigmata mit Zeichen eines hämorrhagischen Schocks bei Blutdruckabfall auf systolisch 45 mm Hg, Tachykardie, kalte Peripherie und Anämie (Hb 50 g/l). Eine notfallmäßig durchgeführte abdominale CT-Untersuchung ergab eine perakute abdominale Blutung aus der linken Niere, die sich in das Retroperitoneum und in die Beckenregion ausbreitete (Abb. 2). Zudem wurde ein Verschluss der Arteria lienalis mit nahezu aufgehobener Perfusion der Milz festgestellt und weitere multiple Aneurysmata der abdominalen Arterien (z. B. eines intrapankreatischen Arterienasts und entlang der pankreatikoduodenalen Arkade) im Sinne einer fulminanten generalisierten Arteriopathie. Die konventionelle Notfallangiographie zeigte neben den Aneurysmen der Nierenarterienäste auch mehrere perlschnurartige Gefäßkaliberirregularitäten. Ein rupturiertes Aneurysma/Pseudoaneurysma, das von einem Ast der linken inferioren Nierenarterie ausging, wurde als Ursache der Blutung identifiziert und mittels Coiling des aneurysmatragenden Nierenarterienasts ausgeschaltet. Die Blutung konnte so gestoppt werden (Abb. 2). In Zusammenschau der Befunde stellten wir die Diagnose einer Polyarteriitis nodosa mit einer Gefäßruptur, intraabdominellen Blutung und einem hämorrhagischen Schock. Therapeutisch wurde mit Methylprednisolon intravenös begonnen (500 mg/Tag über 6 Tage). Jedoch kam es bereits am 4. Tag zu einer erneuten arteriellen Blutung, die notfallmäßig mit einem Coiling eines peripheren Asts der A. colica dextra versorgt werden musste (Abb. 3). Angiographisch demarkierten sich weitere Aneurysmen und perlschnurartige Gefäßkaliberirregularitäten der abdominellen Arterien z. B. im Leber- und Nierenhilus links und in der pankreatikoduodenalen Arkade. Nach klinischer Stabilisierung erfolgte eine Umstellung auf Prednison 1 mg/kg Körpergewicht und zusätzlich der Beginn mit Cyclophosphamid. Hierunter wurde ein Rückgang des CRP und der BSR festgestellt. Der Patient erhielt insgesamt 12 (monatliche) Cyclophosphamid-Infusionen (Kumulativdosis 11,6 g), während Prednison auf 5 mg täglich reduziert wurde, was zu einer partiellen Remission der Polyarteriitis nodosa führte. Ein Mangel an Adenosin-Deaminase Typ 2 wurde nicht festgestellt. Danach wurde eine Behandlung mit Tocilizumab 8 mg/kg Körpergewicht intravenös alle 4 Wochen begonnen, die zu einer vollständigen Remission führte und das Absetzen von Prednison ermöglichte. Hierunter zeigte sich in der MRT-Angiographie ein vollständiges Verschwinden der Aneurysmata und Pseudoaneurysmata innerhalb der gastrointestinalen und renalen Arterien (Abb. 4).
Abb. 2
ab Abdominelle CT-Angiographie in arterieller Phase. cd DSA-Angiographie im Rahmen des notfallmäßigen Coilings eines Nierenarterienasts links bei rupturiertem Aneurysma/Pseudoaneurysma mit hämodynamisch relevanter retroperitonealer Blutung. Multiple Aneurysmata abdomineller Arterienäste, z. B. der intrarenalen Nierenarterienäste bds. und eines intrapankreatischen Arterienasts (d Pfeil), zudem fallen deutlich die perlschnurartigen Gefäßkaliberirregularitäten der intrarenalen Nierenarterienäste auf
Bild vergrößern
Abb. 3
ab Abdominelle CT-Angiographie in arterieller Phase. cd DSA-Angiographie im Rahmen des notfallmäßigen Coilings eines peripheren Asts der A. colica dextra bei relevanter aktiver arterieller unterer GI-Blutung. Zudem sind weitere Aneurysmen und perlschnurartigen Gefäßkaliberirregularitäten der abdominellen Arterien zu erkennen, z. B. im Leber- und Nierenhilus links und in der pankreatikoduodenalen Arkade
Bild vergrößern
Abb. 4
Abdominelle MIP einer MR-Angiographie in koronarer Schichtung: Die multiplen arteriellen abdominellen Aneurysmata sind nicht mehr identifizierbar; die perlschnurartigen Gefäßkaliberirregularitäten deutlich regredient
Bild vergrößern

Diskussion

Diese Kasuistik beschreibt den ungewöhnlichen Krankheitsverlauf bei einem Patienten mit Polyarteriitis nodosa, mit einem initialen pulmonalen Befall, der zunächst als Pneumonie interpretiert wurde. Klassische Symptome und Manifestationen einer PAN gemäß den ACR-Kriterien wie Livedo reticularis, Schmerzen/Druckempfindlichkeit der Hoden, Muskelschwäche und -schmerzen, Mono- oder Polyneuropathie, Bluthochdruck, Erhöhung des Serum-Kreatinins oder des Serum-Harnstoffs, Nachweis einer Hepatitis-B- oder Hepatitis-C-Infektion oder ein typischer histologischer Befund lagen nicht vor [10, 11]. Dies führte zu einer verzögerten Diagnosestellung mit Komplikationen in unserem Fall. Bereits in früheren Publikationen wurden, auch bei einer klassischen PAN, zusätzlich pulmonale Manifestationen beobachtet, dazu zählen eine organisierende Pneumonie, Bronchiolitis obliterans, diffuse alveoläre Blutungen und Pleuraergüsse [12]. In einer Autopsiestudie von 10 PAN-Fällen, von denen 5 an respiratorischer Insuffizienz starben, wiesen 5 Patienten einen akuten oder organisierenden diffusen Alveolarschaden sowie zwei Patienten eine interstitielle Fibrose mit wabenförmigen Veränderungen auf [13]. Zusammenfassend beschreiben wir hier die Notwendigkeit einer erweiterten diagnostischen (CT‑/MR-)Angiographie zur Diagnosestellung. Eine FDG-PET-CT kann nicht als adäquate diagnostische Untersuchung beim Verdacht auf eine PAN dienen. Die initiale Therapie mit hochdosiertem Methylprednisolon und Cyclophosphamid entsprach den aktuellen Therapierichtlinien für eine PAN mit lebensbedrohlicher Erkrankung [14, 15]. Tocilizumab stellt gemäß aktueller Literatur eine gute und effiziente Therapieoption bei der PAN dar [1619]. Unter konsequenter Therapie mit Prednison, Cyclophosphamid und Tocilizumab als remissionserhaltende Therapie zeigten sich in unserem Fall eine Remission der Erkrankung.

Einhaltung ethischer Richtlinien

Interessenkonflikt

K. Schmiedeberg, J. Den Hollander, Y. Rottländer, J. von Kempis und A. Rubbert-Roth geben an, dass kein Interessenkonflikt besteht.
Für diesen Beitrag wurden von den Autor/-innen keine Studien an Menschen oder Tieren durchgeführt. Für die aufgeführten Studien gelten die jeweils dort angegebenen ethischen Richtlinien. Für Bildmaterial oder anderweitige Angaben innerhalb des Manuskripts, über die Patient/-innen zu identifizieren sind, liegt von ihnen und/oder ihren gesetzlichen Vertretern/Vertreterinnen eine schriftliche Einwilligung vor.
Open Access Dieser Artikel wird unter der Creative Commons Namensnennung 4.0 International Lizenz veröffentlicht, welche die Nutzung, Vervielfältigung, Bearbeitung, Verbreitung und Wiedergabe in jeglichem Medium und Format erlaubt, sofern Sie den/die ursprünglichen Autor(en) und die Quelle ordnungsgemäß nennen, einen Link zur Creative Commons Lizenz beifügen und angeben, ob Änderungen vorgenommen wurden.
Die in diesem Artikel enthaltenen Bilder und sonstiges Drittmaterial unterliegen ebenfalls der genannten Creative Commons Lizenz, sofern sich aus der Abbildungslegende nichts anderes ergibt. Sofern das betreffende Material nicht unter der genannten Creative Commons Lizenz steht und die betreffende Handlung nicht nach gesetzlichen Vorschriften erlaubt ist, ist für die oben aufgeführten Weiterverwendungen des Materials die Einwilligung des jeweiligen Rechteinhabers einzuholen.
Weitere Details zur Lizenz entnehmen Sie bitte der Lizenzinformation auf http://creativecommons.org/licenses/by/4.0/deed.de.

Hinweis des Verlags

Der Verlag bleibt in Hinblick auf geografische Zuordnungen und Gebietsbezeichnungen in veröffentlichten Karten und Institutsadressen neutral.
download
DOWNLOAD
print
DRUCKEN
Titel
Pulmonale Infiltrate als Erstmanifestation einer Polyarteriitis nodosa (PAN)
Verfasst von
Dr. Kristin Schmiedeberg
Jürgen Den Hollander
Yella Rottländer
Johannes von Kempis
Andrea Rubbert-Roth
Publikationsdatum
02.12.2024
Verlag
Springer Vienna
Erschienen in
Rheuma Plus / Schweiz / Ausgabe 4/2024
Print ISSN: 3004-9253
Elektronische ISSN: 3004-8931
DOI
https://doi.org/10.1007/s44332-024-00040-x
1.
Zurück zum Zitat Balow JE (1985) Renal vasculitis. Kidney Int 27(6):954–964. https://doi.org/10.1038/ki.1985.104CrossRefPubMed
2.
Zurück zum Zitat Jennette JC, Falk RJ, Bacon PA et al (2013) 2012 revised international chapel hill consensus conference nomenclature of vasculitides. Arthritis Rheum 65(1):1–11. https://doi.org/10.1002/art.37715CrossRefPubMed
3.
Zurück zum Zitat Kallenberg CG, Brouwer E, Weening JJ, Tervaert JW (1994) Anti-neutrophil cytoplasmic antibodies: current diagnostic and pathophysiological potential. Kidney Int 46(1):1–15. https://doi.org/10.1038/ki.1994.239CrossRefPubMed
4.
Zurück zum Zitat Karadag O, Jayne DJ (2018) Polyarteritis nodosa revisited: a review of historical approaches, subphenotypes and a research agenda. Clin Exp Rheumatol 36(Suppl 111(2)):135–142PubMed
5.
Zurück zum Zitat Sixdorf U, Marker-Hermann E (2024) Polyarteritis nodosa and Kawasaki syndrome : Vasculitis predominantly of medium size and small vessels. Inn Med 65(2):122–128. https://doi.org/10.1007/s00108-023-01637-4 (Panarteriitis nodosa und Kawasaki-Syndrom : Vaskulitiden vorwiegend mittelgrosser und kleiner Gefasse)CrossRef
6.
Zurück zum Zitat Kendall JL, Springer JM (2020) The many faces of a monogenic autoinflammatory disease: adenosine deaminase 2 deficiency. Curr Rheumatol Rep 22(10):64. https://doi.org/10.1007/s11926-020-00944-1CrossRefPubMedPubMedCentral
7.
Zurück zum Zitat Navon Elkan P, Pierce SB, Segel R et al (2014) Mutant adenosine deaminase 2 in a polyarteritis nodosa vasculopathy. N Engl J Med 370(10):921–931. https://doi.org/10.1056/NEJMoa1307362CrossRefPubMed
8.
Zurück zum Zitat Seitz L, Seitz P, Pop R, Lötscher F (2022) Spectrum of large and medium vessel vasculitis in adults: primary vasculitides, arthritides, connective tissue, and fibroinflammatory diseases. Curr Rheumatol Rep 24(11):352–370. https://doi.org/10.1007/s11926-022-01086-2CrossRefPubMedPubMedCentral
9.
Zurück zum Zitat Pagnoux C, Seror R, Henegar C et al (2010) Clinical features and outcomes in 348 patients with polyarteritis nodosa: a systematic retrospective study of patients diagnosed between 1963 and 2005 and entered into the French Vasculitis Study Group Database. Arthritis Rheum 62(2):616–626. https://doi.org/10.1002/art.27240CrossRefPubMed
10.
Zurück zum Zitat Lightfoot RW Jr., Michel BA, Bloch DA et al (1990) The American College of Rheumatology 1990 criteria for the classification of polyarteritis nodosa. Arthritis Rheum 33(8):1088–1093. https://doi.org/10.1002/art.1780330805CrossRefPubMed
11.
Zurück zum Zitat Naidu G, Kopp CR, Sharma V et al (2021) Validation of the provisional seven-item criteria for the diagnosis of polyarteritis nodosa. Rheumatol Int 41(9):1651–1655. https://doi.org/10.1007/s00296-021-04867-7CrossRefPubMed
12.
Zurück zum Zitat Adams TN, Zhang D, Batra K, Fitzgerald JE (2018) Pulmonary manifestations of large, medium, and variable vessel vasculitis. Respir Med 145:182–191. https://doi.org/10.1016/j.rmed.2018.11.003CrossRefPubMed
13.
Zurück zum Zitat Matsumoto T, Homma S, Okada M et al (1993) The lung in polyarteritis nodosa: a pathologic study of 10 cases. Hum Pathol 24(7):717–724. https://doi.org/10.1016/0046-8177(93)90007-4CrossRefPubMed
14.
Zurück zum Zitat Chung SA, Gorelik M, Langford CA et al (2021) 2021 American college of rheumatology/Vasculitis foundation guideline for the management of polyarteritis nodosa. Arthritis Rheumatol 73(8):1384–1393. https://doi.org/10.1002/art.41776CrossRefPubMed
15.
Zurück zum Zitat Guillevin L, Pagnoux C, Seror R, Mahr A, Mouthon L, Toumelin PL (2011) The Five-Factor Score revisited: assessment of prognoses of systemic necrotizing vasculitides based on the French Vasculitis Study Group (FVSG) cohort. Medicine 90(1):19–27. https://doi.org/10.1097/MD.0b013e318205a4c6CrossRefPubMed
16.
Zurück zum Zitat Bodoki L, Végh E, Szekanecz Z, Szűcs G (2019) Tocilizumab treatment in polyarteritis nodosa. Isr Med Assoc J 21(8):560–562PubMed
17.
Zurück zum Zitat Krusche M, Ruffer N, Kotter I (2019) Tocilizumab treatment in refractory polyarteritis nodosa: a case report and review of the literature. Rheumatol Int 39(2):337–344. https://doi.org/10.1007/s00296-018-4210-2CrossRefPubMed
18.
Zurück zum Zitat Krusche M, Ruffer N, Schneider U, Meyer M, Burmester G, Kötter I (2020) Tocilizumab treatment for polyarteritis nodosa. Rheumatology 59(10):e63–e65. https://doi.org/10.1093/rheumatology/keaa079CrossRefPubMed
19.
Zurück zum Zitat Saunier A, Issa N, Vandenhende MA, Morlat P, Doutre MS, Bonnet F (2017) Treatment of polyarteritis nodosa with tocilizumab: a new therapeutic approach? RMD Open 3(1):e446. https://doi.org/10.1136/rmdopen-2017-000446CrossRefPubMedPubMedCentral