Zum Inhalt

Primäre Angiitis des Zentralnervensystems

  • Open Access
  • 01.06.2022
  • neurologie
Erschienen in:

Zusammenfassung

Die primäre Angiitis des Zentralnervensystems ist eine sehr seltene Erkrankung, welche durch eine entzündliche Infiltration der Gefäßwände von mittleren und kleinen Gefäßen ausschließlich im Zentralnervensystem, vorwiegend im Gehirn, gekennzeichnet ist. Klinisch und radiologisch kann sich die Erkrankung äußerst vielgestaltig präsentieren und stellt daher eine besondere diagnostische Herausforderung dar. Die häufigsten klinischen Manifestationen sind subakut auftretende Kopfschmerzen, enzephalopathische Zustandsbilder oder schlaganfallähnliche Episoden bei Auftreten von akuten zerebralen Ischämien oder Blutungen. Eine umfassende differenzialdiagnostische Abklärung ist nötig. Neben einer sorgfältigen Anamnese und klinischen Untersuchung stellen die zerebrale MRT, Lumbalpunktion, digitale Subtraktionsangiographie sowie weiterführend die Hirnbiopsie wichtige diagnostische Modalitäten dar. Vor Einleitung der notwendigen immunsuppressiven Therapie, welche zumeist aus Kortikosteroiden und Cyclophosphamid besteht, sollte eine histopathologische Diagnosesicherung erfolgen. Aufgrund der Seltenheit und Komplexität der Erkrankung und des individuellen Therapie- und Nachsorgekonzeptes soll die Betreuung (inkl. regelmäßigen klinischen Kontrollen) von PatientInnen mit primärer Angiitis des Zentralnervensystems an einem Zentrum mit entsprechender Erfahrung und Expertise erfolgen.
Literatur beim Verfasser

Hinweis des Verlags

Der Verlag bleibt in Hinblick auf geografische Zuordnungen und Gebietsbezeichnungen in veröffentlichten Karten und Institutsadressen neutral.

Fallbeispiel

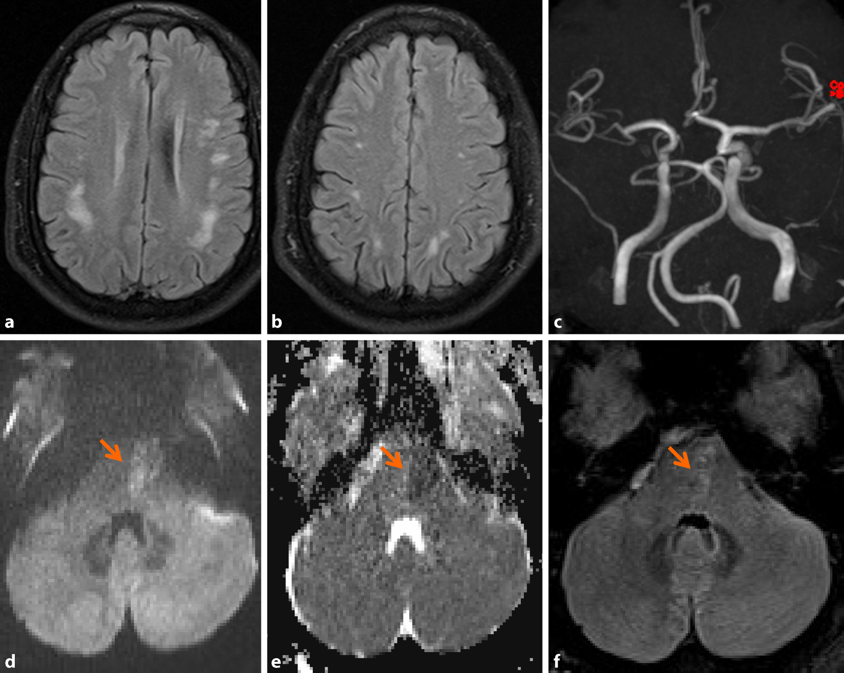
Ein 34-jähriger Patient stellte sich mit einer transienten, für einige Stunden bestehenden Halbseitenlähmung rechts an der neurologischen Notaufnahme vor. Zusätzlich berichtete der bis dato gesunde Patient über seit ca. 3 Wochen vorhandene Kopfschmerzen sowie ein allgemeines Krankheitsgefühl. In der klinischen Untersuchung zeigte sich eine geringgradige zentrale Fazialisparese rechts. Das Routinelabor war unauffällig. In der MRT des Gehirns fanden sich fleckförmige, teils konfluierende, vorwiegend subkortikal gelegene Marklagerhyperintensitäten in beiden Großhirnhemisphären, welche in erster Linie als mikroangiopathisch beurteilt wurden (Abb. 1a, b). Unter der Annahme einer zerebralen Ischämie wurde ASS eingeleitet und der Patient stationär aufgenommen.
Abb. 1
In FLAIR (Fluid-attenuated Inversion Recovery)-gewichteten MRT-Sequenzen a und b zeigen sich bilaterale supratentorielle Marklagerhyperintensitäten. Die TOF-MRA (Time of Flight Magnetresonanzangiographie) bleibt bis auf ein aplastisches A1-Segment der rechten A. cerebri anterior unauffällig (c). In einer erneuten MRT 2 Tage später kommt nun ein ischämischer Infarkt im paramedianen Pons links zur Darstellung (DWI [Diffusion Weighted Imaging]: f, ADC [Apparent Diffusion Coefficient]: e, Pfeile), welcher sich auch bereits in FLAIR-Sequenzen demarkiert zeigt (f). (© Univ.-Klinik für Radiologie, LKH Univ.-Klinikum Graz)
Bild vergrößern
Zwei Tage danach entwickelte er erneut plötzlich eine sensomotorische Halbseitensymptomatik rechts sowie Dysarthrie. In der MRT kam nun ein rezenter ischämischer Infarkt im Pons paramedian links zur Darstellung (Abb. 1d–f). In der MR-Angiographie ergaben sich keine Hinweise für relevante Verschlussprozesse oder Aneurysmata, auch zeigte sich keine pathologische Kontrastmittelaufnahme. Klinisch präsentierte sich die Ausfallsymptomatik über Tage progredient mit Entwicklung einer höhergradigen Hemiparese rechts und ausgeprägter Dysarthrie. In einer weiterführend veranlassten Lumbalpunktion wurde eine lymphomonozytäre Pleozytose (20 Zellen/μl) mit leichter Schrankenfunktionsstörung nachgewiesen, oligoklonale Banden waren negativ. In einer umfassenden Erregerdiagnostik von Blut und Liquor cerebrospinalis (u. a. Bakterien- und Pilzkulturen, Borrelien, Lues, Virologie inkl. HIV und VZV [Varizella Zoster Virus]) fanden sich, wie auch in der transösophagealen Echokardiographie keine auffälligen Befunde. Zyto- sowie molekularpathologisch ergab sich kein Hinweis für Malignität.
Aufgrund der vorliegenden Befunde wurde der Verdacht auf eine ZNS-Vaskulitis gestellt; da der Patient keine Anzeichen für eine systemische Vaskulitis hatte (keine Gelenks- oder Hautaffektion, unauffälliger ophthalmologischer Status, unauffälliges Labor inkl. immunpathologischem Serumprofil), wurde von einer isolierten ZNS-Manifestation (primäre Angiitis des ZNS) ausgegangen. Dieser Verdacht konnte in einer digitalen Subtraktionsangiographie, in der sich multisegmentale leicht- bis mittelgradige Kaliberirregularitäten in Gefäßabschnitten 3. und 4. Ordnung nachweisen ließen (Abb. 2), erhärtet werden. Schließlich konnte die suspizierte Diagnose mittels Hirnbiopsie bestätigt werden.
Abb. 2
In der konventionellen Viergefäßangiographie zeigen sich leicht- bis mittelgradige Stenosierungen von Gefäßen 3. und 4. Ordnung in verschiedenen zerebrovaskulären Stromgebieten (a und b, Kreise). (© Univ.-Klinik für Radiologie, LKH Univ.-Klinikum Graz)
Bild vergrößern
Entzündliche Infiltration der Gefäßwände mittlerer und kleiner Gefäße im zentralen Nervensystem
Folglich wurde eine immunsuppressive Therapie mit Prednisolon und Cyclophosphamid eingeleitet, ASS wurde fortgeführt. Nach stabilem klinischen Verlauf und Fortschritten in der Neurorehabilitation (modifizierte Rankin-Skala 3) konnte der Patient nach mehreren Wochen zur stationären Anschlussrehabilitation entlassen werden. Klinische und MR-tomographische Kontrollen blieben ohne Dynamik, sodass Cyclophosphamid nach 3 Monaten abgesetzt und durch Azathioprin ersetzt wurde. Aufgrund einer deutlichen Leukopenie musste Azathioprin nach 2 Wochen wieder abgesetzt werden, stattdessen wurde Mycophenolat-Mofetil eingeleitet und komplikationslos für insgesamt 18 Monate verabreicht. Seit Jahren nimmt der Patient nur mehr ASS ein. Es ereigneten sich keine weiteren klinischen oder bildgebenden Rezidive.

Definition, Epidemiologie und Klinik

Die primäre Angiitis des zentralen Nervensystems (primary angiitis of the central nervous system [PACNS]) stellt eine sehr seltene Erkrankung dar, demgemäß sind epidemiologische Daten limitiert und beziehen sich auf einzelne Fallserien. Die Inzidenz der Erkrankung wird mit ca. 2/Mio./Jahr geschätzt, Männer dürften etwas häufiger betroffen sein. Das mediane Erkrankungsalter liegt bei ungefähr 50 Jahren, die PACNS kann jedoch in jedem Alter auftreten. Die Ursache der PACNS ist nicht bekannt. Histologisch findet sich eine entzündliche Infiltration der Gefäßwände von mittleren und kleinen Gefäßen ausschließlich im zentralen Nervensystem, vorwiegend im Gehirn und nur selten im Rückenmark. Es werden zwei Formen unterschieden: eine angiographisch detektierbare Medium-Vessel- sowie eine Small-Vessel-Variante, die in der Regel ausschließlich bioptisch nachgewiesen werden kann. Eine seltenere, jedoch zuletzt immer mehr beachtete Form stellt die Amyloid-beta-assoziierte Vaskulitis bei vorwiegend älteren PatientInnen dar.
Das klinische Bild einer PACNS kann vielgestaltig sein. In der Regel berichten die PatientInnen über progrediente Kopfschmerzen, welche subakut bis chronisch auftreten. Klinisch-neurologisch findet sich oftmals ein enzephalopathisches Zustandsbild mit kognitiver Beeinträchtigung und psychiatrischen Auffälligkeiten. Je nach Ausmaß und Lokalisation von zerebralen Ischämien und/oder Blutungen kommt es zum Auftreten akuter fokal-neurologischer Defizite. Allgemeinsymptome wie Krankheitsgefühl, Gewichtsverlust oder erhöhte Körpertemperatur kommen im Vergleich zu systemischen Vaskulitiden deutlich seltener vor.

Diagnostik

Zu Beginn der Diagnostik sollte eine genaue körperliche Untersuchung der entkleideten PatientInnen stehen, die vor allem darauf abzielt, Zeichen einer systemischen Vaskulitis zur erkennen (Hautveränderungen, Gelenkschwellungen, Ödeme). Eine ophthalmologische Untersuchung ist erforderlich, um eine Mitbeteiligung der Netzhautgefäße feststellen zu können. Einen speziellen Labortest für die PACNS gibt es nicht. Entzündungsparameter wie CRP (C-reaktives Protein) und BSG (Blutsenkungsgeschwindigkeit) können moderat erhöht sein. In der zerebralen MRT zeigen sich nahezu immer pathologische parenchymale Veränderungen, die sich jedoch wenig spezifisch darstellen. Typisch sind multifokale, in der Regel bilateral supratentoriell gelegene ischämische Parenchymläsionen in grauer und weißer Substanz oft unterschiedlichen Alters. Zu beachten ist, dass sich eine PACNS auch mit tumorähnlichen raumfordernden Läsionen, einer intrazerebralen Blutung, Subarachnoidalblutung oder leptomeningealen Affektionen manifestieren kann. In der MR-Angiographie (MRA) lassen sich in der Regel keine pathologischen Befunde nachweisen, da kleinere Gefäße betroffen sind, die mit dieser Modalität nicht abgebildet werden können. Bei Nachweis von vaskulitischen Großgefäßveränderungen in der MRA muss an Differentialdiagnosen gedacht werden (zerebrales Vasokonstriktionssyndrom, erregerbedingte Vaskulitis). Künftig könnten hochauflösende MRT-Techniken zur Darstellung entzündlicher Gefäßwandveränderungen (konzentrische Wandverdickungen und Gadoliniumaufnahme) Bedeutung erlangen.
Goldstandard in der Diagnosesicherung ist die Hirnbiopsie
Der nächste diagnostische Schritt ist die Lumbalpunktion, welche auch zum Ausschluss vor allem entzündlicher Differentialdiagnosen erfolgen muss. Es zeigt sich eine leichte bis moderate lymphomonozytäre Pleozytose mit Gesamteiweißerhöhung bzw. Schrankenfunktionsstörung. Bei bis zu einem Drittel der PatientInnen in Fallserien in der Literatur fand sich jedoch keine Zellzahlerhöhung im Liquor cerebrospinalis. Die zerebrale Viergefäßangiographie hat in Bezug auf die PACNS eine Sensitivität von 50–90 % und zeigt bei der Medium-Vessel-Variante pathologische Veränderungen im Sinne von multisegmentalen Stenosen und Dilatationen („Beading“), bei der Kleingefäßvariante ist sie meist negativ.
Häufige Differentialdiagnose: das reversible zerebrale Vasokonstriktionssyndrom
Der Goldstandard in der Diagnosesicherung ist die offene, kombinierte leptomeningeale und parenchymale Hirnbiopsie bzw. die stereotaktische Biopsie tiefer gelegener Regionen. Diese sollte vor Einleitung einer immunsuppressiven Langzeittherapie grundsätzlich erfolgen, da bei einem Teil der PatientInnen durch die Biopsie eine andere Diagnose gestellt wird. Weiters ist das Risiko einer falsch eingeleiteten immunsuppressiven Langzeittherapie als höher anzusehen als das Risiko der Biopsie selbst, welche im Bereich von nichteloquenten MRT-Läsionen erfolgen sollte. Falsch-negative Biopsieergebnisse können in ca. 25 % der Fälle vorkommen. Bei negativem Biopsieergebnis, aber hochgradigem Verdacht auf PACNS, sollte eine erneute Biopsie erfolgen. Fallserien in der Literatur und die Erfahrungen der Autoren zeigen, dass gelegentlich erst nach der zweiten oder dritten Biopsie die Diagnose einer Vaskulitis gestellt wird (Tab. 1 und 2).
Tab. 1
Diagnostik der primären Angiitis des Zentralnervensystems (PACNS)
Relevante Untersuchung zur Diagnostik und Differentialdiagnostik der PACNS
Untersuchung
Frage nach/Befunde (Auswahl)
Anamnese
Akuität des Auftretens der Beschwerden, Triggerfaktoren (Drogen, Medikamente, Infektexposition inkl. Reiseanamnese), Allgemeinsymptome
Klinische Untersuchung
Neurologischer Status; Inspektion von Haut, Gelenken, Lymphknoten; Pulsstatus; Auskultation von Herz und Lunge
Ophthalmologische Untersuchung
Veränderungen der Netzhautgefäße
Labor
Routinelabor inkl. Blutbild, BSG, CRP, Nierenretentionsparametern, Leberfermenten, Elektrolyten; ANA, ANCA; Infektionsserologie (z. B. HIV, Lues); Blutkulturen
Magnetresonanztomographie mit MR-Angiographie und Applikation von Kontrastmittel
Ischämische Infarkte, Blutungen, Massenläsionen, Gefäßstenosen, Gefäßwandveränderungen, Kontrastmittelaufnahme
Lumbalpunktion
Pleozytose, Schrankenstörung, oligoklonale Banden, Zytopathologie, Erregerdiagnostik, FACS (Fluorescence Activated Cell Sorting, Durchflusszytometrie), Liquorkultur
Transösophageale Echokardiographie
Endokarditis, kardialer Thrombus
Viergefäßangiographie
Multisegmentale Stenosen und Dilatationen („Beading“)
Hirnbiopsie
Entzündliche Gefäßwandinfiltrationen
(3 Hauptformen: granulomatös, lymphozytär, nekrotisierend)
ANA Antinukleäre Antikörper, ANCA Antineutrophile Cytoplasmatische Antikörper, BSG Blutsenkungsgeschwindigkeit, CRP C-reaktives Protein
Tab. 2
Diagnostische Kriterien der primären Angiitis des Zentralnervensystems (PACNS), empfohlen u. a. von der Deutschen Gesellschaft für Neurologie
1.
Klinik: Symptome einer multifokalen oder diffusen ZNS-Erkrankung mit rezidivierendem oder progredientem Verlauf
2.
Zusatzuntersuchungen: pathologische Befunde in der Magnetresonanztomographie, der zerebralen Viergefäßangiographie bzw. im Liquor, die die Diagnose einer PACNS unterstützen
3.
Ausschluss relevanter Differentialdiagnosen: v. a. Ausschluss von sekundären Vaskulitiden, Entzündungen, Malignomen, Systemerkrankungen
4.
Histologie: Nachweis einer leptomeningealen oder parenchymatösen Vaskulitis und Ausschluss einer Infektion, Neoplasie oder anderer Vaskulopathien
Bewertung:
3 von 4 Kriterien sollen erfüllt sein. Vor Immunsuppression wird eine Hirnbiopsie empfohlen

Differentialdiagnosen

Eine häufige Differentialdiagnose der PACNS ist das reversible zerebrale Vasokonstriktionssyndrom (reversible cerebral vasoconstriction syndrome, RCVS). Dieses Erkrankungsbild wurde erst in jüngerer Zeit näher charakterisiert. Es ist davon auszugehen, dass frühere Fallserien einer PACNS PatientInnen mit RCVS enthalten. Anders als die PACNS präsentiert sich das RCVS mit einem akuten Beginn in Form von plötzlich auftretendem „Thunderclap-Kopfschmerz“. Typischerweise lassen sich beim RCVS Triggerfaktoren wie etwa die Einnahme vasoaktiver Substanzen (Drogen wie Cannabis oder Kokain, selektive Serotonin-Reuptake-Inhibitoren, sympathomimetische Nasensprays etc.) oder das typische Auftreten in der Postpartumperiode erheben. Zu beachten ist, dass auch ein Overlap-Syndrom zwischen RCVS und dem posterioren reversiblen Enzephalopathiesyndrom (posterior reversible encephalopathy syndrome [PRES]) beschrieben wurde. Häufiger als bei der PACNS lassen sich beim RCVS bereits in nichtinvasiven angiographischen Untersuchungen multiple Gefäßstenosen nachweisen. Definitionsgemäß sollten die Stenosen im Verlauf von 3 Monaten reversibel sein. Das Gehirnparenchym stellt sich im Gegensatz zur PACNS beim RCVS in der MRT in der Regel unauffällig dar; vereinzelt kann es jedoch zu Ischämien, konvexalen Subarachnoidalblutungen oder für ein PRES typischen Veränderungen (vasogenes Ödem) kommen. Der Liquorbefund ist beim RCVS zumeist unauffällig (Tab. 3). Ein Fallbeispiel ist in Abb. 3 dargestellt.
Tab. 3
Differentialdiagnosen der primären Angiitis des Zentralnervensystems (PACNS)
Ausgewählte Differentialdiagnosen der primären Angiitis des zentralen Nervensystems (PACNS)
Reversibles zerebrales Vasokonstriktionssyndrom (RCVS)
Infektiöse Vaskulitiden (z. B. VZV, HSV, HIV, Borrelien, Lues, Tuberkulose)
Systemische Vaskulitiden (z. B. Riesenzellarteriitis, Arteriitis Takayasu, Polyarteriitis nodosa)
Endokarditis
Demyelinisierende Erkrankungen
Moyamoya-Erkrankung
Primäres ZNS Lymphom, intravaskuläres Lymphom
Zerebrale Kleingefäßerkrankungen, inkl. CADASIL
Zerebrale Amyloidangiopathie
Gliome bzw. Gliomatosis cerebri
Systemerkrankungen wie Lupus erythematodes, Morbus Behcet, Sarkoidose
Primäres oder sekundäres Antiphospholipid-Antikörper-Syndrom
HSV Herpes Simplex Virus, VZV Varizella Zoster Virus
Abb. 3
Reversibles zerebrales Vasokonstriktionssyndrom. Eine 35-jährige Patientin berichtet einen Tag nach Sectio caesarea, welche aufgrund einer Präeklampsie durchgeführt wurde, über heftige plötzliche wiederkehrende, nackenbetonte Kopfschmerzen und im Verlauf über eine plötzliche Beinschwäche links. In der MRA (a) zeigen sich multisegmentale Kaliberirregularitäten und Stenosen der Hirnbasisgefäße (A. cerebri media und posterior bds.), welche auch neurosonographisch detektiert wurden (b). In der strukturellen MRT zeigte sich eine konvexale Subarachnoidalblutung frontal links (c) sowie als Korrelat für die Beinschwäche links ischämische Infarkte im A.-cerebri-anterior-Gebiet hochfrontal rechts (df). Nach 4 Wochen zeigten sich die Gefäßveränderungen in der Kontroll-MRA vollständig regredient (unauffälliger Befund, g). (© Univ.-Klinik für Radiologie, LKH Univ.-Klinikum Graz)
Bild vergrößern

Therapie

Es existieren keine randomisierten klinischen Studien zur Behandlung der PACNS. Die Therapiestrategien beziehen sich daher auf einzelne Kohortenstudien, Expertenmeinungen oder sind an die Behandlungskonzepte der systemischen Vaskulitiden angelehnt. Der natürliche Verlauf der Erkrankung ist ohne immunsuppressive Therapie progredient und führt häufig zu schwerer Behinderung oder dem Tod. Wie bereits dargelegt, sollte vor Einleitung einer immunsuppressiven Therapie eine sorgfältige Ausschlussdiagnostik betrieben bzw. die Erkrankung bioptisch nachgewiesen werden. Initial wird meist eine Hochdosis-Kortikosteroid-Pulstherapie gegeben (Methylprednisolon 1 g i.v. täglich für 3–5 Tage). Anschließend ist die Therapie der Wahl die kombinierte Gabe von Kortikosteroiden (Prednisolon 1 mg/kg Körpergewicht) und Cyclophosphamid täglich oral mit 2 mg/kg Körpergewicht oder einmal monatlich intravenös mit 750 mg/m2 Körperoberfläche oder intravenös mit 15 mg/kg Körpergewicht (max. 1200 mg) 3 mal alle 2 Wochen und danach 3–6 Applikationen im Abstand von je 3 Wochen. Über die erfolgreiche Anwendung von Rituximab oder Tocilizumab bei Nichtansprechen auf Cyclophosphamid wird in der Literatur berichtet. Im Anschluss an die Therapie mit Cyclophosphamid wird auf eine Erhaltungstherapie mit Azathioprin, Methotrexat oder Mycophenolat-Mofetil umgestellt. Die zusätzliche Gabe von Acetylsalicylsäure erscheint sinnvoll. Eine Pneumocystis-Prophylaxe (z. B. Lidaprim forte 2 × 1 tgl. an 3 Tagen pro Woche) ist erforderlich unter einer Therapie mit Cyclophosphamid als auch unter der Kombinationstherapie eines Kortikosteroids (> 20 mg Prednison-Äquivalent pro Tag) mit einem anderen Immunsuppressivum. Wichtig sind engmaschige Kontrollen an einem mit der Erkrankung und den verwendeten Therapien erfahrenen Zentrum. Neben klinisch-neurologischen Untersuchungen und Laborkontrollen werden MRT-Untersuchungen in regelmäßigen Abständen (3- bis 6‑monatlich) empfohlen.

Fazit für die Praxis

  • Die primäre Angiitis des ZNS ist eine sehr seltene Erkrankung, die durch Entzündungen der kleinen und mittelgroßen zerebralen Arterien charakterisiert ist.
  • Eine breite Differentialdiagnostik ist erforderlich.
  • Das reversible zerebrale Vasokonstriktionssyndrom sowie erregerbedingte und systemische Vaskulitiden sind wichtige Differentialdiagnosen.
  • Neben einer sorgfältigen neurologischen und körperlichen Untersuchung stellen die zerebrale MRT, Lumbalpunktion, digitale Subtraktionsangiographie und schließlich die Hirnbiopsie wichtige diagnostische Eckpfeiler dar.
  • Eine histopathologische Diagnosesicherung wird vor Einleitung der immunsuppressiven Therapie stark empfohlen.
  • Die Standardtherapie umfasst Kortikosteroide und Cyclophosphamid.
  • PatientInnen mit primärer Angiitis des ZNS sollen an einem erfahrenen Zentrum behandelt und regelmäßig nachkontrolliert werden.

Einhaltung ethischer Richtlinien

Interessenkonflikt

T. Gattringer und T. Seifert-Held geben an, dass kein Interessenkonflikt besteht.
Für diesen Beitrag wurden von den Autoren keine Studien an Menschen oder Tieren durchgeführt. Für die aufgeführten Studien gelten die jeweils dort angegebenen ethischen Richtlinien.
Open Access Dieser Artikel wird unter der Creative Commons Namensnennung 4.0 International Lizenz veröffentlicht, welche die Nutzung, Vervielfältigung, Bearbeitung, Verbreitung und Wiedergabe in jeglichem Medium und Format erlaubt, sofern Sie den/die ursprünglichen Autor(en) und die Quelle ordnungsgemäß nennen, einen Link zur Creative Commons Lizenz beifügen und angeben, ob Änderungen vorgenommen wurden.
Die in diesem Artikel enthaltenen Bilder und sonstiges Drittmaterial unterliegen ebenfalls der genannten Creative Commons Lizenz, sofern sich aus der Abbildungslegende nichts anderes ergibt. Sofern das betreffende Material nicht unter der genannten Creative Commons Lizenz steht und die betreffende Handlung nicht nach gesetzlichen Vorschriften erlaubt ist, ist für die oben aufgeführten Weiterverwendungen des Materials die Einwilligung des jeweiligen Rechteinhabers einzuholen.
Weitere Details zur Lizenz entnehmen Sie bitte der Lizenzinformation auf http://creativecommons.org/licenses/by/4.0/deed.de.

Hinweis des Verlags

Der Verlag bleibt in Hinblick auf geografische Zuordnungen und Gebietsbezeichnungen in veröffentlichten Karten und Institutsadressen neutral.
download
DOWNLOAD
print
DRUCKEN
Titel
Primäre Angiitis des Zentralnervensystems
Verfasst von
Assoz.-Prof. PD Dr. Thomas Gattringer
PD Dr. Thomas Seifert-Held, MBA
Publikationsdatum
01.06.2022
Verlag
Springer Vienna
Erschienen in
psychopraxis. neuropraxis / Ausgabe 4/2022
Print ISSN: 2197-9707
Elektronische ISSN: 2197-9715
DOI
https://doi.org/10.1007/s00739-022-00816-6
Bildnachweise
Primäre Angiitis/© Springer Verlag GmbH