Zum Inhalt

Panorama in der Dermatoskopie

  • 18.04.2023
  • Fallbericht
Erschienen in:

Auszug

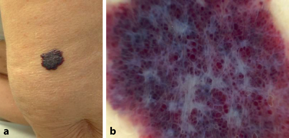
In unserer klinischen Tätigkeit kommt es immer wieder vor, dass wir größere Läsionen untersuchen (Abb. 1a, 2a und 3a). Aufgrund der Größe sind diese mit dem Dermatoskop nicht auf einen Blick in ihrer Gesamtheit darstellbar. Dies trifft auch für die Möglichkeit von verfügbaren Aufnahmesystemen zu (Abb. 1b, 2b und 3b). Dabei sind diese Aufnahmesysteme ein integraler Bestandteil unserer Dokumentation für Verlaufskontrollen oder auch zur Visualisierung für unsere Patienten geworden.
Abb. 1
a Livid-blaue plateauartige Hautläsion am Oberarm einer 72-jährigen Patientin. b Partielle dermatoskopische Darstellung des Angioms mit rötlich-lividen Lakunen und weißen Linien in der Polarisation (Handyscope, Fotofinder, Bad Birnbach, Deutschland)
Bild vergrößern
Abb. 2
a Braun-schwarze erhabene Hautläsion am Oberschenkel einer 56-jährigen Patientin. b Partielle dermatoskopische Darstellung des Melanoms mit Farbenvielfalt (schwarz, blau, grau, braun, weiß) sowie Netz, Pseudopodien, strukturlosen Arealen und weißen Linien in der Polarisation (Fotofinder Handyscope)
Bild vergrößern
Abb. 3
a Braun-schwarze Hautläsion mit exzentrischem rötlich-bläulichem Knoten bei einer 78-jährigen Patientin am Unterschenkel. b Partielle dermatoskopische Darstellung einer fleckig braunen seborrhoischen Keratose mit basaloiden Strukturen (links) und einem Basalzellkarzinom mit rötlich-lividen Anteilen, diskreten Baumgefäßen und weißen Linien in der Polarisation (rechts) (Fotofinder Handyscope)
Bild vergrößern
Titel
Panorama in der Dermatoskopie
Verfasst von
Prof. Dr. med. Andreas Blum, M.Sc. DermPrevOncol
Stephan Bosch
Rainer Hofmann-Wellenhof
Publikationsdatum
18.04.2023
Verlag
Springer Vienna
Erschienen in
hautnah / Ausgabe 2/2023
Print ISSN: 1866-2250
Elektronische ISSN: 2192-6484
DOI
https://doi.org/10.1007/s12326-023-00576-z
Dieser Inhalt ist nur sichtbar, wenn du eingeloggt bist und die entsprechende Berechtigung hast.