Zum Inhalt

Medikamentöse Therapie vaskulärer Anomalien

Erschienen in:

Zusammenfassung

Vaskuläre Anomalien werden nach der Klassifikation der International Society for the Study of Vascular Anomalies in vaskuläre Tumoren, die als häufigste Entitäten kaposiforme Hämangioendotheliome und Hämangiome umfassen, und vaskuläre Malformationen unterteilt. Die Behandlung vaskulärer Anomalien erfolgt interdisziplinär und basiert, abhängig von der Entität auf Resektion, Sklero‑/Kryotherapie, Embolisation und medikamentöser (antiangiogenetischer und/oder zytostatischer) Therapie. Eine komplette Entfernung ist aufgrund von Ausdehnung und meist diffus infiltrativem Wachstum nur in sehr wenigen Fällen möglich. Seit der Erstbeschreibung der Wirksamkeit in dieser Indikation 2008 gilt Propranolol als etablierte Erstlinienbehandlung für komplizierte infantile Hämangiome. Sirolimus ist ein in der Organtransplantation verbreitet eingesetztes Immunsuppressivum, das den Mammalian/mechanistic-target-of-rapamycin(mTOR)-Signalübertragungsweg inhibiert, auch antiangiogenetisch wirksam ist und daher zunehmend für die Behandlung von vaskulären Tumoren und Malformationen eingesetzt wird. Drei Säuglinge mit vaskulären Anomalien (kaposiformes Hämangioendotheliom, gemischt makro‑/mikrozystische lymphatische Malformation, diffuses infantiles Leberhämangiom) erhielten eine Propranolol‑/Sirolimus-basierte medikamentöse Therapie, ohne klinisch relevante Nebenwirkungen entwickelt zu haben. Obwohl die Verträglichkeit von Propranolol und Sirolimus meist ausgezeichnet ist, erfordern schwere, mitunter lebensbedrohliche Nebenwirkungen (Propranolol: kardiovaskulär; Sirolimus: infektiös), die in Einzelfällen berichtet sind, besondere Beachtung.

Hinweis des Verlags

Der Verlag bleibt in Hinblick auf geografische Zuordnungen und Gebietsbezeichnungen in veröffentlichten Karten und Institutsadressen neutral.
Vaskuläre Anomalien stellen im Kindes- und Jugendalter aufgrund ihrer ausgesprochenen Heterogenität und zahlreicher Mischformen sowohl diagnostisch als auch therapeutisch eine besondere Herausforderung dar. Vaskuläre Anomalien werden nach der Klassifikation der International Society for the Study of Vascular Anomalies (aktuell gültige Fassung 2018) eingeteilt, was zu einer Vereinheitlichung von Definitionen und Nomenklatur geführt hat [1]. Dabei sind grundsätzlich vaskuläre Tumoren von vaskulären Malformationen zu unterscheiden.
Die Diagnosestellung beruht in erster Linie auf Anamnese, klinischem Erscheinungsbild und radiologischen Charakteristika [2]. Besonders wichtig ist die Beantwortung der Fragen nach dem erstmaligen Auftreten der Läsion bzw. Läsionen und einer (gegebenenfalls undulierenden) Größenzu bzw. -abnahme. Überlappende radiomorphologische Merkmale erschweren trotz der Verfügbarkeit moderner bildgebender Verfahren oft die exakte Diagnosestellung [2]. Bestehen hinsichtlich der Zuordnung und Diagnose von vaskulären Anomalien nach Ausschöpfung aller bildgebenden Verfahren Zweifel, ist eine Gewebeuntersuchung nach Biopsie indiziert. Bei vaskulären Malformationen stimmen klinisch-radiologische und histopathologische Diagnose jedoch in weniger als 50 % überein [3].
Obwohl die Betreuung von Kindern mit vaskulären Anomalien interdisziplinär erfolgt, nimmt vor allem aufgrund der nun erweiterten medikamentösen Behandlungsoptionen die pädiatrische Hämatoonkologie im Management vaskulärer Anomalien eine zunehmend aktive Rolle ein [4, 5].

Fallbericht 1

Die Erstvorstellung erfolgte wegen einer seit Geburt bestehenden lividen Verfärbung im Bereich des linken Oberschenkels (Abb. 1; Tab. 1). In der klinischen Untersuchung fand sich unter der Haut eine etwa 5 cm große, unscharf begrenzte, derb-knotige Resistenz. Im initialen Blutbild (6. Lebenstag) waren die Thrombozyten normal; vor Behandlungsbeginn waren dreimal diskret erniedrigte Thromboyztenwerte (minimal: 133 G/l) dokumentiert. Die Bestimmung der plasmatischen Gerinnung erfolgte erstmals im 3. Lebensmonat. Es zeigte sich eine leichte Erhöhung des D‑Dimers auf 1,69 mg/l (Normwert: −0,50) bei unauffälliger aktivierter partieller Thromboplastinzeit (aPTT), Prothrombinzeit (PZ), unauffälliger Fibrinogen- und Antithrombin(AT)-Werten. In der Magnetresonanztomografie (MRT) mit Angiografie, die im 2. Lebensmonat durchgeführt wurde, war eine kraniokaudal 7 cm × sagittal 5 cm × axial 1,8 cm messende Infiltration der Subkutis des Oberschenkels ventrolaterodorsal mit fleckigem knotigen Kontrastmittelenhancement und semizirkulärer Infiltration des Musculus rectus femoris und Musculus vastus lateralis sowie Musculus sartorius zu sehen (Abb. 2). Da differenzialdiagnostisch auch ein maligner Weichteiltumor in Betracht gezogen wurde, erfolgte eine Biopsie, deren Ergebnis mit einem kaposiformen Hämangioendotheliom (KHE) vereinbar war. Im Alter von 2,5 Monaten wurde eine Therapie mit Sirolimus (Gesamttagesdosis 0,1 mg/kg und Tag aufgeteilt auf 2 Einzeldosen; Zielspiegel 10–15 ng/ml) begonnen. In den ersten Wochen nach Therapiebeginn wurden deutlich erhöhte Spiegel gemessen, weshalb eine entsprechende Dosisreduktion erfolgte. Im Verlauf konnten dann mit einer sehr niedrigen Sirolimusdosis adäquate Serumspiegel erzielt werden. Allerdings kam es innerhalb von 3 Wochen nach Therapiebeginn zu einer deutlichen Größenzunahme, sodass auch wegen der Gefahr eines Kompartmentsyndroms eine zusätzliche Therapie mit Vincristin (0,025 mg/kg je Einzeldosis) in initial wöchentlichen Abständen eingeleitet wurde. Da die Läsion unter der Therapie kleiner und weicher wurde, konnten die Abstände zwischen den Vincristingaben auf zwei Wochen ausgedehnt und die antiproliferative Therapie nach einer Gesamttherapiedauer von 11 Monaten (19 Vincristingaben) beendet werden. In der MRT-Kontrolle (8. Behandlungsmonat) zeigte sich eine deutliche Befundregredienz. Nachdem sich bei weiteren Kontrolluntersuchungen eine zunehmende Überwärmung der Läsion fand, erfolgte im Alter von 26 Monaten eine neuerliche MRT-Untersuchung. Da die Läsion deutlich an Größe zugenommen und die Ausdehnung der Ausgangsuntersuchung erreicht hatte, musste die Sirolimustherapie wiederaufgenommen werden. Die Therapie wurde während der nun 16 Monate dauernden 2. Therapiephase wegen verschiedener unkomplizierter Infektionen (Varizellen, Harnwegsinfekt, Gingivostomatitis) mehrfach kurzfristig unterbrochen. Daneben wurden gehäuft nicht behandlungspflichtige aphthöse Läsionen im Mundbereich berichtet. Das klinische Leitsymptom der Erkrankungsprogression (Überwärmung) hat sich im Verlauf deutlich gebessert (Abb. 3).
Abb. 1
Patientin 1. Unscharf begrenzte, derb-knotige Resistenz mit livider Hautverfärbung im Bereich des linken Oberschenkels bei einem 3 Monate alten weiblichen Säugling
Bild vergrößern
Tab. 1
Zusammenfassende Übersicht der Fallberichte
 
Fallbericht 1
Fallbericht 2
Fallbericht 3
Geburtsgewicht/Gestationsalter
3150 g/33 SSW
3210 g/40 + 5 SSW
3075 g/36 + 1 SSW
Alter bei Erstvorstellung
6. Lebenstag
1. Lebenstag
6. Lebenswoche
Diagnose
Kaposiformes Hämangioendotheliom (Oberschenkel)
Gemischt makro-/mikrozystische lymphatische Malformation (zervikal, infratemporal)
Diffuses hepatisches Hämangiom, multiple Hauthämangiome (Hämangiomatose)
Systemische Therapie
Sirolimus/Vincristin
Sirolimus
Propranolol/Prednisolon
Lokaltherapie
Keine
Dreimalige OK-432-Instillation
Keine
Therapieansprechen
Größenregredienz, Progredienz nach Therapieende
Größenregredienz
Größenregredienz
Therapiedauer
1. Therapiephase: 11 Monate
2. Therapiephase: 16 Monate
15 Monate
12 Monate (Propranolol)
3 Wochen (Prednisolon)
Derzeitige Therapie
Ja
Ja
Nein
Klinisch relevante Nebenwirkungen
Keine
Rezidivierende unkomplizierte Infektionen, aphthöse Läsionen im Mundbereich
Keine
SSW Schwangerschaftswoche
Abb. 2
Patientin 1. Das koronale T2-Magnetresonanztomogramm zeigt eine unscharf begrenzte hyperintense Läsion in der Subkutis und der angrenzenden Muskulatur
Bild vergrößern
Abb. 3
Patientin 1. Im Alter von 3,5 Jahren – während der nun 16 Monate dauernden 2. Therapiephase – zeigt sich noch eine landkartenartig begrenzte, zirkuläre, diskret livide Verfärbung; darunter ist eine unscharf begrenzte Induration zu tasten
Bild vergrößern

Fallbericht 2

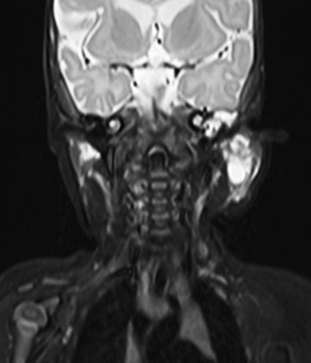
Bei dieser Patientin wurde bereits in einem pränatalen MRT eine ausgedehnte, überwiegend makrozystische Veränderung mit Punctum maximum inframandibulär beidseits, die bis an den Meatus acusticus externus, die Schädelbasis und die Infratemporalregion heranreichte, beschrieben (Tab. 1). Es fanden sich Ausläufer bis in den Zungengrund sowie den Oro- und Hypopharynx. Ab dem 2. Lebenstag erhielt die Patientin Sirolimus. Die erste postpartale MRT erfolgte am 5. Lebenstag und zeigte eine gemischte groß- und kleinzystische lymphatische Malformation (Abb. 4). Zur Sicherung der Atemwege erfolgt unmittelbar postpartal die gesetzte Intubation und am 16. Lebenstag die Anlage eines Tracheostomas sowie die erstmalige Sklerosierung der großzystischen Areale durch Instillation von OK 432. Die Betreuung erfolgte interdisziplinär durch Kinderchirurgie, pädiatrische Hämato-/onkologie und pädiatrische Pulmonologie. Weitere OK-432-Instillationen wurden im 2. und 5. Lebensmonat durchgeführt. Sirolimus wurde insgesamt ausgezeichnet toleriert. Die Dosen wurden nach Körpergewicht und Serumspiegel entsprechend adaptiert und lagen zwischen 0,035 und 0,0625 mg/kg und Tag. Es traten zwar mehrfach fieberhafte respiratorische Infekte auf, die jedoch nicht über das bei nicht immunsupprimierten Patienten in diesem Alter übliche Ausmaß hinausgingen. Es kam klinisch und radiologisch zu einer deutlichen Größenabnahme der lymphatischen Malformation, die auch in der im Alter von 6 Monaten durchgeführten MRT bestätigt wurde (Abb. 5).
Abb. 4
Patientin 2. Im koronalen T2-Magnetresonanztomogramm findet sich eine gemischte mikro-/makrozystische Läsion mit Punctum maximum am Hals rechts, die auch auf die Gegenseite reicht
Bild vergrößern
Abb. 5
Patientin 2. Das Magnetresonanztomogramm im Alter von 6 Monaten zeigt eine deutliche Größenreduktion der Läsion
Bild vergrößern

Fallbericht 3

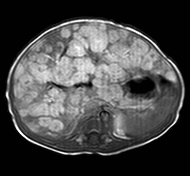
Im Rahmen der 1. Mutter-Kind-Pass-Untersuchung fiel bei der Patientin ein ausladendes Abdomen auf (Tab. 1). Das Hautkolorit war blass, das Abdomen druckdolent, die Leber 3 Querfinger unter dem Rippenbogen tastbar. Die Herzfrequenz lag bei 150/min. Es fanden sich außerdem multiple kutane Hämangiome, jedoch durchwegs in einer Größe von ≤5 mm. In der MRT kamen multiple, die gesamte Leber durchsetzende hyperperfundierte Läsionen zur Darstellung (Abb. 6). Die initiale basale Thyreotropin(TSH)-Konzentration war auf 42,37 mU/l (Normwert: 0,45–10,0) erhöht, während die Konzentrationen an freiem Trijodthyronin (fT3) und freiem Thyroxin (fT4) normwertig waren. In der Echokardiografie fanden sich keine Zeichen einer kardialen Dekompensation. Es wurde umgehend eine perorale Therapie mit Prednisolon (2 mg/kg und Tag), Propranolol (Tag 1: 1 mg/kg und Tag, ab Tag 2: 2 mg/kg und Tag) und Levothyroxin (25 μg) begonnen; Prednisolon wurde 2 Wochen lang volldosiert verabreicht und anschließend über 1 Woche ausgeschlichen. Es erfolgten sonografische Kontrollen, anfangs in 2‑wöchigen, dann in 4‑ bzw. 6‑wöchigen Abständen, wobei rund 2 Monate nach Therapiebeginn die schlechtere Abgrenzbarkeit der Einzelherde für eine beginnende Rückbildung sprach. Die Propranololtherapie wurde in einer Dosis von täglich 1,5 mg/kg für 11 Monate fortgeführt und schließlich nach Dosisreduktion über 4 Wochen knapp ein Jahr nach Beginn beendet. In der MRT-Untersuchung konnten keine Läsionen mehr nachgewiesen werden. Levothyroxin wurde nach einer Therapiedauer von 2 Monaten abgesetzt. Die kutanen Hämangiome waren langsam regredient und bildeten sich ebenfalls vollständig zurück.
Abb. 6
Patientin 3. Im axialen T1-Magnetresonanztomogramm mit Kontrastmittel ist nahezu das gesamte Leberparenchym diffus von kleinzystischen Läsionen durch- und ersetzt
Bild vergrößern

Diskussion

Sirolimus und Propranolol haben das medikamentöse Armamentarium für die Behandlung vaskulärer Anomalien beträchtlich erweitert. Trotz der insgesamt sehr guten Verträglichkeit muss der Einsatz dieser Substanzen kritisch gegen potenzielle Nebenwirkungen abgewogen werden. Die 3 vorliegenden Fallberichte illustrieren die Möglichkeiten einer systemischen Behandlung bei verschiedenen vaskulären Anomalien.
Bei KHE findet sich häufig ein Kasabach-Merritt-Phänomen (KMP; Verbrauchskoagulopathie mit ausgeprägter Thrombozytopenie, Hypofibrinogenämie, Erhöhung der D‑Dimere), das den klinisch maßgeblichsten Faktor für die Therapieeinleitung darstellt [6]. Neben einer medikamentösen Therapie kommen operative Verfahren, die allerdings in nur etwa 18 % eine komplette Entfernung erlauben, sowie Embolisation und/oder Sklerosierung in Betracht [7]. Vor der Einführung von Sirolimus wurden medikamentös v. a. Kortikosteroide und Interferon-alpha und bei therapierefraktären Verläufen eine zytostatische Kombinationstherapie eingesetzt [7]. In einer umfassenden Analyse therapeutischer Optionen erwies sich hinsichtlich einer Größenreduktion und Normalisierung der Gerinnungsparameter Sirolimus v. a. gegenüber Kortikosteroiden, aber auch gegenüber Vincristin und Interferon-alpha als eindeutig überlegen [7]. Aufgrund des Nebenwirkungsprofils (spastische Diplegie) gilt der Einsatz von Interferon-alpha heute bei allen vaskulären Anomalien als obsolet. Obwohl die sehr gute Verträglichkeit und der ausgezeichnete Therapieerfolg in zahlreichen Fallberichten und klinischen Studien dokumentiert ist und die Anwendung von Sirolimus bei Kindern mit KHE daher mittlerweile als Erstlinientherapie angesehen werden kann, gibt es einzelne Fallberichte über tödliche Verläufe aufgrund von nicht beherrschbaren Infektionen während der Sirolimus-Therapie, die zu besonderer Vorsicht mahnen [5, 79]. Die Sirolimus-Therapie wird mit einer Dosis von täglich 2 × 0,8 mg/m2 begonnen, im Verlauf nach Zielspiegeln von 10–15 ng/ml gesteuert [9]. Hinsichtlich Therapiedauer existieren keine Empfehlungen. Sie hängt in erster Linie vom Ansprechen ab und muss individuell festgelegt werden. Eine sorgfältige Überwachung und rasche Therapieeinleitung bei infektiösen Episoden ist essenziell. Daten zur Langzeittoxizität – Sirolimus wird oft über Jahre verabreicht – fehlen bislang noch. Eine Kombination mit Kortikosteroiden oder wie bei unserer Patientin mit Vincristin ist v. a. bei kritischer Lokalsituation oder ausgeprägtem KMP zu erwägen.
Die mitunter noch immer gebräuchliche Bezeichnung Lymphangiom, die ein tumorös-proliferatives Wachstumsverhalten impliziert, ist mittlerweile durch den Begriff lymphatische Malformation ersetzt worden [2]. Radiomorphologisch sind bei einfachen lymphatischen Malformationen mikrozystische von makrozystischen und gemischten Formen zu differenzieren. Bezüglich Unterscheidungskriterien besteht jedoch kein allgemeiner Konsens [3]. Einfache lymphatische Malformationen finden sich meist an der Körperoberfläche, treten aber auch im Körperstamm auf. Sie können beträchtliche Ausmaße annehmen, sind entstellend und können zu einer Reihe von Lokalkomplikationen (Atemwegsobstruktion, Organverlagerung, Einblutung mit konsekutiver Größenzunahme) führen [10, 11]. Sirolimus wird v. a. bei sehr ausgedehnten Formen, Komplikationen, Rückfällen nach Lokaltherapien eingesetzt. Initiale Dosis und Zielspiegel sind gleich wie bei der Therapie des KHE, die Therapiedauer kann mitunter mehrere Jahre betragen [10, 11]. Etwa 90 % der mit Sirolimus behandelten Patienten mit lymphatischen Malformationen zeigen eine teilweise Größenreduktion, wobei die Responsekriterien schlecht definiert sind und meist nur auf einer semiquantitativen Beschreibung beruhen [10, 11].
Hepatische Hämangiome können fokal, multifokal und diffus auftreten [12, 13]. Dabei sind lediglich fokale Hämangiome bereits bei der Geburt nachweisbar, während sich multifokale und diffuse innerhalb der ersten Lebenswochen entwickeln [12, 13]. Finden sich bei multifokalen Hämangiomen noch Leberparenchymbrücken zwischen den Hämangiomen, ist bei der diffusen Form (nahezu) das gesamte Lebergewebe von Hämangiomen er- und durchsetzt [13]. Auch bei hepatischen infantilen Hämangiomen folgt auf Wachstum und Proliferation die Involutions- und Rückbildungsphase. Zu den häufigsten Komplikationen multifokaler und diffuser hepatischer Hämangiome zählen Anämie, Thrombozytopenie, Hypothyreose und obstruktive Cholestase. Herzinsuffizienz durch hohes Shuntvolumen und Leberversagen sind für die hohe Mortalität multifokaler (9 %) und diffuser hepatischer Hämangiome (38 %) hauptverantwortlich [13]. Propranolol hat sich auch in der Behandlung hepatischer infantiler Hämangiome gegenüber anderen medikamentösen Therapien als effektiver erwiesen [14]. Wie auch in der Behandlung nicht hepatischer infantiler Hämangiome liegt die Propranololdosis bei 2 mg/kg und Tag [15]. Ziel der medikamentösen Therapie (Propranolol oder Propranolol/Prednisolon) ist der sofortige Stopp der Proliferationsphase, die Initiierung der Rückbildung der Hämangiome und die Vorbeugung und Beherrschung möglicher oder manifester Komplikationen [15, 16]. Die überwiegende Mehrheit der in der Literatur berichteten Fälle zeigten ein rasches und nachhaltiges Therapieansprechen ohne klinisch relevante Nebenwirkungen innerhalb von wenigen Monaten, weshalb die Therapiedauer in der Regel kürzer und besser einschätzbar ist als bei mit Sirolimus behandelten Patienten [15]. Das Nebenwirkungsprofil von Propranolol ist äußerst günstig. Schwerwiegende Nebenwirkungen (Bradykardie, Hypotonie, Bronchospasmus, Hypoglykämie) stellen eine Ausnahme da, bedürfen mitunter einer Dosisreduktion, jedoch selten einer permanenten Therapieunterbrechung [16].

Fazit für die Praxis

Wirksamkeit und gute Verträglichkeit haben ganz wesentlich zum stark zunehmenden Einsatz von Sirolimus und Propranolol für die Behandlung vaskulärer Anomalien im Kindes- und Jugendalter in den letzten Jahren beigetragen. Besondere Aufmerksamkeit erfordern jedoch schwere, mitunter lebensbedrohliche Nebenwirkungen (Propranolol: kardiovaskulär; Sirolimus: infektiös), die in Einzelfällen berichtet sind.

Einhaltung ethischer Richtlinien

Interessenkonflikt

M. Benesch, H. Lackner, E. Sorantin, E. Haxhija, P. Gasparella und A. Pfleger geben an, dass kein Interessenkonflikt besteht.
Für diesen Beitrag wurden von den Autoren keine Studien an Menschen oder Tieren durchgeführt. Für die aufgeführten Studien gelten die jeweils dort angegebenen ethischen Richtlinien.
Open Access Dieser Artikel wird unter der Creative Commons Namensnennung 4.0 International Lizenz veröffentlicht, welche die Nutzung, Vervielfältigung, Bearbeitung, Verbreitung und Wiedergabe in jeglichem Medium und Format erlaubt, sofern Sie den/die ursprünglichen Autor(en) und die Quelle ordnungsgemäß nennen, einen Link zur Creative Commons Lizenz beifügen und angeben, ob Änderungen vorgenommen wurden.
Die in diesem Artikel enthaltenen Bilder und sonstiges Drittmaterial unterliegen ebenfalls der genannten Creative Commons Lizenz, sofern sich aus der Abbildungslegende nichts anderes ergibt. Sofern das betreffende Material nicht unter der genannten Creative Commons Lizenz steht und die betreffende Handlung nicht nach gesetzlichen Vorschriften erlaubt ist, ist für die oben aufgeführten Weiterverwendungen des Materials die Einwilligung des jeweiligen Rechteinhabers einzuholen.
Weitere Details zur Lizenz entnehmen Sie bitte der Lizenzinformation auf http://creativecommons.org/licenses/by/4.0/deed.de.

Hinweis des Verlags

Der Verlag bleibt in Hinblick auf geografische Zuordnungen und Gebietsbezeichnungen in veröffentlichten Karten und Institutsadressen neutral.
download
DOWNLOAD
print
DRUCKEN
Titel
Medikamentöse Therapie vaskulärer Anomalien
Verfasst von
Univ.-Prof. Dr. Martin Benesch
Univ.-Prof. Dr. Herwig Lackner
Univ.-Prof. Dr. Erich Sorantin
PD Dr. Emir Haxhija
OA Dr. Paulo Gasparella
PD Dr. Andreas Pfleger
Publikationsdatum
09.01.2020
Verlag
Springer Vienna
Schlagwort
Pädiatrie
Erschienen in
Pädiatrie & Pädologie / Ausgabe 1/2020
Print ISSN: 0030-9338
Elektronische ISSN: 1613-7558
DOI
https://doi.org/10.1007/s00608-019-00739-3
1.
Zurück zum Zitat International Society for the Study of Vascular Anomalies (2018) ISSVA Classification of Vascular Anomalies. https://www.issva.org/classification. Zugegriffen: 29. Apr. 2019
2.
Zurück zum Zitat Esposito F, Ferrara D, Di Serafino M, Diplomatico M, Vezzali N, Giugliano AM, Colafati GS, Zeccolini M, Tomà P (2019) Classification and ultrasound findings of vascular anomalies in pediatric age: the essential. J Ultrasound 22:13–25. https://doi.org/10.1007/s40477-018-0342-1 CrossRefPubMed
3.
Zurück zum Zitat Horbach SER, Utami AM, Meijer-Jorna LB, Sillevis Smitt JH, Spuls PI, van der Horst CMAM, van der Wal AC (2017) Discrepancy between the clinical and histopathologic diagnosis of soft tissue vascular malformations. J Am Acad Dermatol 77:920–929.e1. https://doi.org/10.1016/j.jaad.2017.03.045 CrossRefPubMed
4.
Zurück zum Zitat Adams DM, Brandão LR, Peterman CM, Gupta A, Patel M, Fishman S, Trenor CC (2018) Vascular anomaly cases for the pediatric hematologist oncologists—an interdisciplinary review. Pediatr Blood Cancer. https://doi.org/10.1002/pbc.26716 CrossRefPubMed
5.
Zurück zum Zitat Lackner H, Karastaneva A, Schwinger W, Benesch M, Sovinz P, Seidel M, Sperl D, Lanz S, Haxhija E, Reiterer F, Sorantin E, Urban CE (2015) Sirolimus for the treatment of children with various complicated vascular anomalies. Eur J Pediatr 174:1579–1584. https://doi.org/10.1007/s00431-015-2572-y CrossRefPubMed
6.
Zurück zum Zitat Drolet BA, Trenor CC 3rd, Brandão LR, Chiu YE, Chun RH, Dasgupta R, Garzon MC, Hammill AM, Johnson CM, Tlougan B, Blei F, David M, Elluru R, Frieden IJ, Friedlander SF, Iacobas I, Jensen JN, King DM, Lee MT, Nelson S, Patel M, Pope E, Powell J, Seefeldt M, Siegel DH, Kelly M, Adams DM (2013) Consensus-derived practice standards plan for complicated kaposiform hemangioendothelioma. J Pediatr 163:285–291CrossRef
7.
Zurück zum Zitat Schmid I, Klenk AK, Sparber-Sauer M, Koscielniak E, Maxwell R, Häberle B (2018) Kaposiform hemangioendothelioma in children: a benign vascular tumor with multiple treatment options. World J Pediatr 14:322–329. https://doi.org/10.1007/s12519-018-0171-5 CrossRefPubMed
8.
Zurück zum Zitat Ying H, Qiao C, Yang X, Lin X (2018) A case report of 2 sirolimus-related deaths among infants with kaposiform hemangioendotheliomas. Pediatrics 141(Suppl 5):S425–S429. https://doi.org/10.1542/peds.2016-2919 CrossRefPubMed
9.
Zurück zum Zitat Ji Y, Chen S, Xiang B, Li K, Xu Z, Yao W, Lu G, Liu X, Xia C, Wang Q, Li Y, Wang C, Yang K, Yang G, Tang X, Xu T, Wu H (2017) Sirolimus for the treatment of progressive kaposiform hemangioendothelioma: a multicenter retrospective study. Int J Cancer 141:848–855. https://doi.org/10.1002/ijc.30775 CrossRefPubMed
10.
Zurück zum Zitat Amodeo I, Colnaghi M, Raffaeli G, Cavallaro G, Ciralli F, Gangi S, Leva E, Pignataro L, Borzani I, Pugni L, Mosca F (2017) The use of sirolimus in the treatment of giant cystic lymphangioma: four case reports and update of medical therapy. Medicine (Baltimore) 96:e8871. https://doi.org/10.1097/MD.0000000000008871 CrossRef
11.
Zurück zum Zitat Wiegand S, Wichmann G, Dietz A (2018) Treatment of lymphatic malformations with the mTOR inhibitor sirolimus: a systematic review. Lymphat Res Biol 16:330–339. https://doi.org/10.1089/lrb.2017.0062 CrossRefPubMed
12.
Zurück zum Zitat Bosemani T, Puttgen KB, Huisman TA, Tekes A (2012) Multifocal infantile hepatic hemangiomas—imaging strategy and response to treatment after propranolol and steroids including review of the literature. Eur J Pediatr 171:1023–1028. https://doi.org/10.1007/s00431-011-1671-7 CrossRefPubMed
13.
Zurück zum Zitat Rialon KL, Murillo R, Fevurly RD, Kulungowski AM, Christison-Lagay ER, Zurakowski D, Kozakewich HP, Alomari AI, Fishman SJ (2015) Risk factors for mortality in patients with multifocal and diffuse hepatic hemangiomas. J Pediatr Surg 50:837–841CrossRef
14.
Zurück zum Zitat Lou Y, Peng WJ, Cao Y, Cao DS, Xie J, Li HH (2014) The effectiveness of propranolol in treating infantile haemangiomas: a meta-analysis including 35 studies. Br J Clin Pharmacol 78:44–57. https://doi.org/10.1111/bcp.12235 CrossRefPubMed
15.
Zurück zum Zitat Mazereeuw-Hautier J, Hoeger PH, Benlahrech S, Ammour A, Broue P, Vial J, Ohanessian G, Léauté-Labrèze C, Labenne M, Vabres P, Rössler J, Bodemer C (2010) Efficacy of propranolol in hepatic infantile hemangiomas with diffuse neonatal hemangiomatosis. J Pediatr 157:340–342. https://doi.org/10.1016/j.jpeds.2010.04.003 CrossRefPubMed
16.
Zurück zum Zitat Léaute-Labrèze C, Boccara O, Degrugillier-Chopinet C, Mazereeuw-Hautier J, Prey S, Lebbé G, Gautier S, Ortis V, Lafon M, Montagne A, Delarue A, Voisard JJ (2016) Safety of oral propranolol for the treatment of infantile hemangioma: a systematic review. Pediatrics 138(4):e20160353CrossRef

www.gesundheitswirtschaft.at (Link öffnet in neuem Fenster)

Mit den beiden Medien ÖKZ und QUALITAS unterstützt Gesundheitswirtschaft.at das Gesundheitssystem durch kritische Analysen und Information, schafft Interesse für notwendige Veränderungen und fördert Initiative. Die ÖKZ ist seit 1960 das bekannteste Printmedium für Führungskräfte und Entscheidungsträger im österreichischen Gesundheitssystem. Die QUALITAS verbindet seit 2002 die deutschsprachigen Experten und Praktiker im Thema Qualität in Gesundheitseinrichtungen.

zur Seite

www.pains.at (Link öffnet in neuem Fenster)

P.A.I.N.S. bietet vielfältige und aktuelle Inhalte in den Bereichen Palliativmedizin, Anästhesie, Intensivmedizin, Notfallmedizin und Schmerzmedizin. Die Informationsplattform legt einen besonderen Schwerpunkt auf hochwertige Fortbildung und bietet Updates und ausgewählte Highlight-Beiträge aus Schmerznachrichten und Anästhesie Nachrichten.

zur Seite
Bildnachweise
Blutgefäß/© iLexx, gesundheitswirtschaft, pains logo