Zum Inhalt

Optimale Strategie für die onkologische Nachsorge nach Lungenresektion

Erkenntnisse aus einem Datenregister und einer Patientenbefragung

  • Open Access
  • 01.10.2016
  • Chirurgie
Erschienen in:

Zusammenfassung

Lungenkrebs ist nach wie vor die häufigste Krebstodesursache weltweit. Der kurative chirurgische Therapieansatz bei frühen Tumorstadien beinhaltet eine vollständige anatomische Entfernung des tumortragenden Lungenlappens (Lobektomie) sowie die Entfernung der lokalen hilären und mediastinalen Lymphknoten (Lymphknotendissektion). Selbst nach vollständiger Resektion eines Karzinoms im Frühstadium treten in etwa 20–40 % der Fälle Tumorrezidive auf.
Eine optimale onkologische Nachsorge ist für die Früherkennung und weitere Therapie dieser Rezidive wichtig. Für eine ideale Strategie zur Nachsorge fehlt jedoch die Evidenz. Dieser Übersichtsartikel umfasst die verschiedenen Nachsorgeempfehlungen sowie Erkenntnisse aus dem Innsbrucker VATS-Register über die Unterschiede in der onkologischen Nachsorge.
Im Jahr 2012 erkrankten in Österreich 2835 Männer und 1738 Frauen an einem malignen Lungentumor. Das Lungenkarzinom ist damit die zweithäufigste Krebserkrankung der Männer und die dritthäufigste Krebserkrankung der Frauen (insgesamt 12 % aller Krebsneuerkrankungen) [1]. Durch moderne Therapiemöglichkeiten ist es gelungen, die Lebensqualität deutlich zu verbessern. In frühen Stadien (T1aN0M0–T2aN0M0) des nicht kleinzelligen Lungenkarzinoms (NSCLC) bietet die chirurgische Resektion die beste Chance auf eine Heilung. Voraussetzung für eine operative Sanierung ist eine adäquate kardiopulmonale Reserve. Selbst nach vollständiger Resektion eines Karzinoms im Frühstadium treten in etwa 20–40% der Fälle Tumorrezidive auf [2].
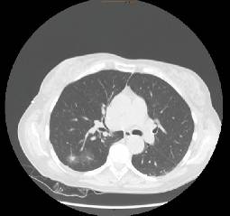
Zusätzlich besteht das Risiko eines Zweitkarzinoms der Lunge, welches in der Literatur mit 3–6 % pro Jahr angegeben wird [3]. Während lokoregionäre und Fernmetastasen zumeist systemisch therapiert werden, können Lokalrezidive und vor allem Zweitkarzinome eventuell einem kurativen Therapieansatz zugeführt werden (Abb. 1). Dabei gilt gleich wie für jedes Lungenkarzinom: Ein kurativer Ansatz ist nur im Frühstadium möglich. Es bedarf daher einer optimalen onkologischen Nachsorge um ein solches Zweitkarzinom frühzeitig zur detektieren.
Abb. 1
Zwei Areale eines multifokalen BAC-Rezidivs mit histologisch gesicherten invasiven Anteilen eines Adenokarzinoms
Bild vergrößern

Therapie des NSCLC im Frühstadium

Die operative Behandlung des nicht kleinzelligen Bronchialkarzinoms wird vor allem in den frühen Stadien bis hin zum Stadium IIIA empfohlen.
Als Standard gilt die anatomische Resektion, in aller Regel die Entfernung eines Lungenlappens (Lobektomie), einschließlich einer systematischen Dissektion der ipsilateralen Lymphknoten. In seltenen Fällen, wie z. B. bei Befall von hilären Strukturen, ist eine Pneumonektomie erforderlich. Bei bestimmter Tumorlokalisation ist eine Manschettenresektion zulässig, sofern ein ausreichender Sicherheitsabstand gewährleistet werden kann. Hierbei kann nicht betroffenes Lungengewebe erhalten werden. Die tatsächliche Tumorausdehnung und somit auch das Resektionsausmaß lassen sich bei zentraler Tumorlokalisation häufig erst intraoperativ bestimmen ([4]; Abb. 23 und 4).
Abb. 2
Lagerung und eingezeichnete Inzisionen, zusätzlich erkennbare Narben des 1. Eingriffs (pünktchenförmige Linie)
Bild vergrößern
Abb. 3
Intraoperatives Bild zu Abb. 2, Komplettierungspneumektomie 4 Jahre nach Erstoperation: Unterfahrung der Mittellappenvenen bei Z. n. Oberlappenlobektomie
Bild vergrößern
Abb. 4
Absetzen des linken Hauptbronchus zur Komplettierungspneumektomie. Es besteht ein Z. n. Oberlappenresektion links, erkennbar an der Klammernaht in der Lungenfasszange
Bild vergrößern
Da durch die systematische Lymphadenektomie eine Prognoseverbesserung und ein exaktes Staging erreicht werden kann, wird diese als Standardverfahren empfohlen. Werden intraoperativ zu wenig Lymphknoten entfernt, ist die Wahrscheinlichkeit eines Tumorrezidivs erhöht, da auch tumorpositive Lymphknoten zurückgelassen werden können.
Die histologische Aufarbeitung des Tumorpräparats sowie der hilären und mediastinalen Lymphknoten definieren das pathologische Tumorstadium.

Effektivität der chirurgischen Resektion des NSCLC

Die 5‑Jahres-Überlebensrate beträgt für das Tumorstadium UICC IA 73 %, für das Stadium IB 58 %, für das Stadium IIA 46 %, für das Stadium IIB (N1) 36 % und für das Stadium IIIA 24 % [5].

Rezidivrate bei Frühkarzinomen und Zweitkarzinome

Das Auftreten von Tumorrezidiven und Zweitkarzinomen beeinflusst das Überleben von kurativ behandelten Patienten. Je nach Lokalisation werden unterschiedliche Arten von Tumorrezidiven definiert:
  • lokalrezidiv: Wiederauftreten des Tumors am Resektionsrand,
  • lokoregionäres Rezidiv: Wiederauftreten des Tumors in ipsilateralen hilären oder mediastinalen Lymphknoten, ipsilaterale Pleura oder Lunge,
  • Fernmetastasen: Wiederauftreten an jeder anderen Lokalisation.
Als Zweitkarzinome in der Lunge bezeichnet man:
  • Lungenkarzinome mit abweichender Histologie,
  • Auftreten in zeitlichem Abstand zur Erstdiagnose (2 Jahre) nach erfolgter kurativer Therapie bei Abwesenheit eines lokalen oder lokoregionären Rezidivs,
  • Entstehung aus einer prämalignen Läsion.
Während die Wahrscheinlichkeit eines Rezidivtumors in den ersten beiden Jahren nach Resektion am höchsten ist und anschließend abnimmt, wächst die Zahl der Zweitkarzinome mit dem Abstand zur Operation.
Das pathologische Tumorstadium bestimmt die Häufigkeit von lokalen und lokoregionären Rezidiven sowie von Fernmetastasen. Tab. 1 zeigt einen Überblick über die Wahrscheinlichkeit von Rezidiven innerhalb der ersten 5 Jahre nach kurativ intendierter Therapie bei den einzelnen Tumorstadien [6].
Tab. 1
Häufigkeit von lokalen, lokoregionären Rezidiven und von Fernmetastasen
 
Rezidive [%]
Fernmetastasen [%]
Stadium IA
10
15
Stadium IB
10
30
Stadium II
12
40
Stadium III
15
60

Warum Nachsorgeprogramme sinnvoll sind

Bei kurativ behandelten Patienten zielt die Nachsorge auf die möglichst frühe Detektion von Rezidiv- oder Zweittumoren ab, um durch eine Therapie eine Lebenszeitverlängerung oder im Falle von disseminierten Fernmetastasen zumindest eine Verbesserung der Lebensqualität zu erreichen.
Die onkologische Nachsorge beinhaltet mehrere Parameter. Dazu gehören die Erfassung posttherapeutische Komplikationen und einfacher klinischer Parameter (z. B. Fieber, Nachtschweiß, Gewichtsverlust, Hustenreiz, Hämoptysen, Dyspnoe) sowie die Durchführung und Besprechung der bildgebenden Verfahren beim Nachsorgetermin. Nach Abschluss einer kurativen Therapie sollte für jeden Patienten ein strukturierter, individueller Nachsorgeplan erstellt werden. Die Struktur der onkologischen Nachsorge unterscheidet sich in den jeweiligen Zentren. Es gibt zahlreiche Studien darüber ob Patienten eine symptomorientiere oder reguläre Nachsorge mit Terminen in einem fixen Zeitablauf erhalten sollen. Hierbei zeigen sich unterschiedliche Ergebnisse: In einer Reihe von retrospektiven Studien ergab die Nachsorge nach einem festen Zeitschema keinen Vorteil im Vergleich zur symptomorientierten Nachsorge [7, 8]. Andere Studien zeigen dagegen Vorteile für eine die Nachsorge mit einem festgelegten Zeitplan [9].
Aufgrund der aktuellen Literatur kann kein Nachsorgeschema als überlegen bezeichnet werden. Dies erklärt auch die Unterschiede in den Empfehlungen der einzelnen Gesellschaften zur onkologischen Nachsorge.

Nachsorgeempfehlungen

Tab. 2 zeigt einen Überblick über die Empfehlungen nationaler und internationaler Gesellschaften zur strukturierten Nachsorge nach kurativer Therapie eines NSCLC.
Tab. 2
Überblick über die aktuellen Empfehlungen nationaler und internationaler Gesellschaften zur strukturierten Nachsorge nach kurativer Therapie eines NSCLC
ACCP [ 10 ]
American College of Chest Physicians
In den ersten 2 Jahren: CT-Thorax halbjährlich
Danach jährlich: CT-Thorax
+ onkologische Nachsorge beim Lungenfacharzt
Des Weiteren: Ultraschall Abdomen, PET-CT, Tumormarker
S3-Guideline [ 4 ]
Interdisziplinäre S3-Leitlinie der Deutschen Gesellschaft für Pneumologie und Beatmungsmedizin und der deutschen Krebsgesellschaft
In den ersten 2 Jahren: vierteljährlich
3./4. Jahr: halbjährlich
Danach jährlich
+ Lungenfunktion alle 4–6 Wochen am Ende der Therapie
+ Raucherentwöhnung
ESMO-Guidelines [ 11 ]
European Society for Medical Oncology
In den ersten 2–3 Jahren: Thoraxröntgen alle 3–6 Monate, CT-Thorax halbjährlich
Danach jährlich
+ Raucherentwöhnung
NCCN [ 12 ]
National Comprehensive Cancer Network
In den ersten 2 Jahren: CT-Thorax halbjährlich
Danach jährlich: CT-Thorax
+ Raucherentwöhnung
Des Weiteren: cMRT, PET-CT
Innsbrucker Protokoll
In den ersten 2 Jahren: vierteljährlich Thorax Röntgen und Abdomenultraschall
Jährlich: CT-Thorax
3./4./5. Jahr: halbjährliche Kontrollen mit Thoraxröntgen und Abdomen-Ultraschall
+ empfohlene Raucherentwöhnung
Des Weiteren: PET-CT, MRT bei Symptome, auffällige radiologische Befunde im Röntgen/Sonographie

Innsbrucker Protokoll

In der Ambulanz der Universitätsklinik für Visceral-, Transplantations- und Thoraxchirurgie Innsbruck werden alle Patienten nach Resektion eines NSCLC kontrolliert, die keine adjuvante Therapie benötigen. Standardmäßig werden ein Thoraxröntgen in zwei Ebenen und eine Oberbauchsonographie in zunächst 3‑monatigem Abstand und nach 2 Jahren in 6‑monatigem Abstand für weitere 3 Jahre durchgeführt. Jährlich erfolgt eine Computertomographie des Körperstamms. Weiterführende Untersuchungen werden bei klinischen Symptomen veranlasst. Nach 5‑jähriger Rezidivfreiheit erfolgt eine jährliche Nachsorgeuntersuchung ohne festgelegte bildgebende Modalität.

Datenregister VATS-Resektionen Innsbruck

Seit 2009 werden klinische Daten von Lungenkarzinompatienten der Universitätsklinik Innsbruck, die eine videoassistierte thorakoskopische (VATS) Lungenresektion erhalten, retrospektiv erfasst. Ziel dieses Registers ist eine laufende chirurgische und onkologische Qualitätskontrolle für eine relativ junge Operationstechnik.
Hierfür werden das Operationsdatum, das Datum einer Tumorprogression, des letzten Follow-up oder ggf. das Todesdatum dokumentiert. Aktuell sind etwa 500 Patienten in dieser Datenbank dokumentiert.
Ergebnisse aus diesem VATS-Register zeigen bei Patienten im Frühstadium (pT1aN0M0 – pT2aN0M0) ein krankheitsfreies 5‑Jahres-Überleben (DFS) von 68 % und ein Gesamtüberleben (OS) von 85,6 %.
Insgesamt zeigte sich bei Patienten aller Tumorstadien in 121 von 458 Patienten (26,4 %) ein Rezidiv.
Anhand der Datenbank wurde die bildgebende Modalität, die zur Diagnostik des Rezidivs führte, ermittelt. Bei 107/121 Patienten fiel das Rezidiv alleinig durch das CT auf, nur bei 8/121 Patienten durch Ultraschall und Thoraxröntgen, und bei 6 Patienten durch eine Magnetresonanztomographie (MRT), die wegen zerebraler Symptome veranlasst wurde.
Das mediane krankheitsfreie Überleben betrug 12 Monate. 84,8 % der Rezidive traten innerhalb der ersten 2 Jahre nach initialer Therapie auf. Bei einem Viertel aller detektierten Rezidive im Innsbrucker Patientenkollektiv war ein erneuter kurativer Therapieansatz möglich.

Sensitivität und Spezifität von Ultraschall und Thoraxröntgen

Zur Detektion von Frührezidiven stehen im klinischen Alltag Röntgen, Ultraschall, Computertomographie (CT), sowie Positronen-Emissions-Tomographie (PET) und die Magnetresonanztomographie (MRT) zur Verfügung. Das Low-dose-CT dient zum Screening von Hochrisikopatienten und ist im Vergleich zum konventionellen Thoraxröntgen deutlich sensitiver. Über 90 % der Rezidive nach chirurgischer Resektion eines Lungenkarzinoms werden durch das CT erfasst, auch wenn Patienten noch keine Symptome zeigen [3].
In unserem Patientenkollektiv wurden alle Thoraxröntgen und Oberbauchsonographien vor einem positiv befundeten CT als tumorfrei befundet. Diese Ergebnisse zeigen, dass Thoraxröntgen und Ultraschall aufgrund niedriger Sensitivität nur bedingt verwendbar für die onkologische Nachsorge sind.

Überlegungen zum optimalen Nachsorgeprogramm

Eine Ausweitung der Kontrollintervalle auf 6 Monate innerhalb der ersten 2 Jahre mit dafür jedoch Durchführung einer CT scheint aufgrund der niedrigen Sensitivität von Thoraxröntgen und Oberbauchsonographie sinnvoll. Ein solches Nachsorgeprogramm hätte im Innsbrucker Patientenkollektiv zur Detektion aller Rezidive geführt und gleichzeitig die Anzahl der ambulanten Kontrollen reduziert. Neben einer Entlastung der Ambulanz würde eine solche Änderung des Nachsorgeprogramms zu einer Kostenreduktion führen.

Nachsorgeprogramme aus der Sicht der Patienten

Neben unspezifischen psychosozialen Belastungen (Diagnosemitteilung, radikale, aufwendige Behandlungen mit ungewissem Ausgang, sowie körperliche und seelische Folgen, u. U. Krankheitsprogredienz) müssen Lungenkarzinompatienten eine Reihe von krankheitsspezifischen Belastungen (ungünstige Prognose, Krankheitsprogress nach kurzem Therapieintervall usw.) bewältigen. Aus diesen Gründen sollte bereits innerhalb des stationären Aufenthalts eine psychoonkologische Betreuung dieser Patientengruppe stattfinden und ein integraler Bestandteil der Behandlung vor und nach der Operation sein. Das hohe Ausmaß psychischer Komorbidität bei Lungenkarzinompatienten ist in der Literatur gut dokumentiert: Zwischen 22–43 % der Patienten leiden unter Depression oder Angst [1317].
Eine optimale Betreuung, sowie psychische Unterstützung ist somit vor allem in der onkologischen Nachsorge wichtig.
Um auch die Meinung unserer Patienten nicht außer Acht zu lassen, führten wir an der Universitätsklinik Innsbruck in der thoraxchirurgischen Nachsorge eine Umfrage durch, bei der Patienten über ihre Meinung hinsichtlich der Modalität der Bildgebung und der Zeitspanne der Nachsorgeintervalle befragt wurden. Über die Hälfte der Patienten wünscht demnach ein Nachsorgeintervall von 3 Monaten innerhalb der ersten 2 Jahre. Die ärztliche Begutachtung, sowie das Gespräch mit den behandelnden Chirurgen geben den Patienten einerseits Information über den derzeitigen Erkrankungsstand und andererseits Sicherheit. Halbjährliche bildgebende Verfahren mittels CT werden aufgrund der Strahlenbelastung eher abgelehnt.

Fazit

Die Anzahl der überlebenden Patienten im Frühstadium eines Lungenkarzinoms wird mithilfe des chirurgischen und onkologischen Fortschritts zunehmen. Bildgebende Verfahren im Rahmen von Nachsorgeprogrammen dienen zur Detektion von Frührezidiven, Fernmetastasen und Zweitkarzinome. Studien belegen, dass aufgrund der höheren Sensitivität das CT die Bildgebung der Wahl bei der Detektion von Rezidiven oder Zweitkarzinome eines NSCLC ist. Zumindest ein Teil der Patienten mit Rezidiv konnte wieder einer kurativen Therapie zugeführt werden. Ob das frühe Erkennen von Rezidiven einen Überlebensvorteil oder eine Verbesserung der Lebensqualität für das gesamte Patientenkollektiv bringt, bleibt noch offen und in ist in prospektiven Studien zu kontrollieren.

Förderung

Die Open-Access-Publizierung wurde von der Universität Innsbruck und der Medizinischen Universität Innsbruck finanziert.
Open access funding provided by University of Innsbruck and Medical University of Innsbruck.

Einhaltung ethischer Richtlinien

Interessenkonflikt

C. Ng, T. Schmid und F. Augustin geben an, dass kein Interessenkonflikt besteht.
Dieser Beitrag beinhaltet keine von den Autoren durchgeführten Studien an Menschen oder Tieren.
Open Access. Dieser Artikel wird unter der Creative Commons Namensnennung 4.0 International Lizenz (http://​creativecommons.​org/​licenses/​by/​4.​0/​deed.​de) veröffentlicht, welche die Nutzung, Vervielfältigung, Bearbeitung, Verbreitung und Wiedergabe in jeglichem Medium und Format erlaubt, sofern Sie den/die ursprünglichen Autor(en) und die Quelle ordnungsgemäß nennen, einen Link zur Creative Commons Lizenz beifügen und angeben, ob Änderungen vorgenommen wurden.
download
DOWNLOAD
print
DRUCKEN
Titel
Optimale Strategie für die onkologische Nachsorge nach Lungenresektion
Erkenntnisse aus einem Datenregister und einer Patientenbefragung
Verfasst von
Dr. Cäcilia Ng
Ao. Univ.-Prof. Dr. Thomas Schmid
Ass.-Prof. Priv.-Doz. Dr. Florian Augustin
Publikationsdatum
01.10.2016
Verlag
Springer Vienna
Erschienen in
Wiener klinisches Magazin / Ausgabe 5/2016
Print ISSN: 1869-1757
Elektronische ISSN: 1613-7817
DOI
https://doi.org/10.1007/s00740-016-0140-3
2.
Zurück zum Zitat Winton T, Livingston R, Johnson D et al (2005) Vinorelbine plus cisplatin vs. observation in resected non-small cell lung cancer. N Engl J Med 352:2589–2597PubMedCrossRef
3.
Zurück zum Zitat Feiran L (2013) Patterns of recurrence and second primary lung cancer in early-stage lung cancer survivors followed with routine computed tomography surveillance. J Thorac Cardiovasc Surg 145(1):75–82CrossRef
4.
Zurück zum Zitat Deutsche Gesellschaft für Pneumologie und Beatmungsmedizin und die Deutsche Krebsgesellschaft, Goeckenjan G, Sitter H, Thomas M et al (2010) Prevention, diagnosis, therapy, and follow-up of lung cancer. Pneumologie 64(Suppl 2):e1–e164
5.
Zurück zum Zitat Goldstraw P, Crowley J, Chansky K, Giroux DJ, Groome PA, Rami-Porta R, Postmus PE, Rusch V, Sobin L, International Association for the Study of Lung Cancer International Staging Committee, Participating Institutions (2007) The IASLC Lung Cancer Staging Project: proposals for the revision of the TNM stage groupings in the forthcoming (seventh) edition of the TNM Classification of malignant tumours. J Thorac Oncol 2(8):706–714PubMedCrossRef
6.
Zurück zum Zitat Martini N, Bains MS, Burt ME et al (1995) Incidence of local recurrence and second primary tumors in resected stage I lung cancer. J Thorac Cardiovasc Surg 109:120–129PubMedCrossRef
7.
Zurück zum Zitat Pairolero PC, Williams DE, Bergstralh EJ et al (1984) Postsurgical stage I bronchogenic carcinoma: morbid implications of recurrent disease. Ann Thorac Surg 38:331–338PubMedCrossRef
8.
Zurück zum Zitat Chiu CH, Chern MS, Wu MH et al (2003) Usefulness of low-dose spiral CT of the chest in regular follow-up of postoperative non-small cell lung cancer patients: preliminary report. J Thorac Cardiovasc Surg 125:1300–1305PubMedCrossRef
9.
Zurück zum Zitat Lamont JP, Kakuda JT, Smith D et al (2002) Systematic postoperative radio- logic follow-up in patients with non-small cell lung cancer for de-tecting second primary lung cancer in stage IA. Arch Surg 137:935–938PubMedCrossRef
10.
Zurück zum Zitat Rubins J, Unger M, Colice GL (2007) Follow-up and surveillance of the lung cancer patient following curative intent therapy*: accp evidence-based clinical practice guideline (2nd edition). Chest 132:355–367CrossRef
11.
Zurück zum Zitat Vansteenkiste J, Crinò L, Dooms C, Douillard JY, Faivre-Finn C, Lim E, Rocco G, Senan S, Van Schil P, Veronesi G, Stahel R, Peters S, Felip E, Panel Members (2014) 2nd ESMO Consensus Conference on lung cancer: early-stage non-small-cell lung cancer consensus on diagnosis, treatment and follow-up. Ann Oncol 25(8):1462–1474PubMedCrossRef
12.
Zurück zum Zitat Ettinger DS, Akerley W, Bepler G, Blum MG, Chang A, Cheney RT, Chirieac LR, D’Amico TA, Demmy TL, Ganti AK, Govindan R, Grannis FW Jr, Jahan T, Jahanzeb M, Johnson DH, Kessinger A, Komaki R, Kong FM, Kris MG, Krug LM, Le QT, Lennes IT, Martins R, O’Malley J, Osarogiagbon RU, Otterson GA, Patel JD, Pisters KM, Reckamp K, Riely GJ, Rohren E, Simon GR, Swanson SJ, Wood DE, Yang SC, NCCN Non-Small Cell Lung Cancer Panel Members (2010) Non-small cell lung cancer. J Natl Compr Canc Netw 8(7):740–801PubMed
13.
Zurück zum Zitat Hopwood P, Stephens RJ (2000) Depression in patients with lung cancer: prevalence and risk factors derived from quality-of-life data. J Clin Oncol 18:893–890PubMed
14.
Zurück zum Zitat Zabora J, Brintzenhofe Szoc K, Curbow B et al (2001) The prevalence of psychological distress by cancer site. Psychooncology 10:19–28PubMedCrossRef
15.
Zurück zum Zitat Walker MS, Zona DM, Fisher EB (2006) Depressive symptoms after lung cancer surgery: their relation to coping style and social support. Psychooncology 15:684–693PubMedCrossRef
16.
Zurück zum Zitat Skaug K, Eide GE, Gulsvik A (2007) Prevalence and predictors of symptoms in the terminal stage of lung cancer: a community study. Chest 131:389–394PubMedCrossRef
17.
Zurück zum Zitat Oh S, Miyamoto H, Yamazaki A et al (2007) Prospective analysis of depression and psychological distress before and after surgical resection of lung cancer. Gen Thorac Cardiovasc Surg 55:119–124PubMedCrossRef