Zum Inhalt

Onko News Austria

Onko-News Beiträge nach Datum absteigend

Kein Stillstand beim NSCLC

Am WCLC 2025 in Barcelona wurde über neue Substanzen und mutige Kombinationen diskutiert. Insbesondere EGFR-positive NSCLC standen dieses Jahr im Fokus der Präsentationen.

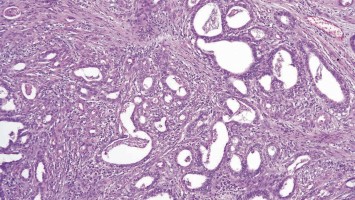
Pathologie: häufige und seltene histologische Subtypen

Für die Pathogenese und die histologische Klassifikation von Zervixkarzinomen ist der Bezug zu den humanen Papillomviren (HPV) relevant, den ein Großteil der Zervixkarzinome aufweist. Zudem gibt es unterschiedliche molekulare Alterationen, allerdings derzeit noch ohne gesicherte therapeutische Relevanz.

Duale Strategie, Triple-Therapie und ein neues Prognose-Tool

Ein neuer Antikörper, der gleich zwei Antigene ins Visier nimmt. 5-JahresDaten der GAIA/CLL13- Studie, die einen Vorteil für Patient:innen mit Venetoclax-basierter Triple-Therapie zeigen. Oder ein Prognose-Tool, das dabei hilft, die Gebrechlichkeit vor einer allogenen Stammzelltransplantation einzuschätzen. Diese und viele weitere Themen wurden auf dem EHA-Kongress 2025 von Expert:innen diskutiert.

Digitaler Zellzwilling bereichertLungenkrebsforschung

Ein Computermodell hilft beim Verständnis des Wachstums von Krebs-zellen und dessen Beeinflussbarkeit und könnte ein weiterer Schritt zu einer individualisierten Krebstherapie sein.

Klinische Studien in Österreich im Fokus: die neue EU-Verordnung

Im Jahr 2023 wurden in Österreich insgesamt 232 klinische Studien in den Bereichen Onkologie und Hämatologie durchgeführt. Dabei wurden 1.877 Patient:innen eingeschlossen – eine vergleichsweise geringe Zahl, wenn man bedenkt, dass im selben Jahr 46.518 Personen neu mit Krebs diagnostiziert wurden. Diese Diskrepanz verdeutlicht, dass deutlich mehr Krebsbetroffene, die den Einschlusskriterien entsprechen, in Studien aufgenommen werden könnten.

Antibiotikaresistenzen – gerade in der Onkologie ein Problem

Ambulant behandelte Krebspatient:innen sind zwei- bis dreimal so häufig mit antibiotikaresistenten Keimen infiziert wie Menschen ohne Krebs. Darauf deutet ein Datenbankvergleich bei Personen mit Pathogennachweis in Urin, Blut und anderen Geweben hin.

Je früher, desto besser

Von 3.150 Abstracts am ASCO Annual Meeting 2025 taucht bei 352 das Adjektiv „palliativ“ auf. Diese Arbeiten sind überwiegend supportiven Themen und palliativen Tumortherapien gewidmet. 

Dermatoonkologie: Aktuelle Therapieansätze und Fortschritte

Die Fortschritte in der Immuntherapie und zielgerichteten Therapien haben die Melanombehandlung im letzten Jahrzehnt revolutioniert. Daten, die beim ASCO Annual Meeting 2025 gezeigt wurden, führen diese Erfolgsgeschichte weiter. 

Mit Achtsamkeit gegen Angst und Depression

Die Online-Teilnahme an einem achtsamkeitsbasierten Anti- Stress-Training (per Videokonferenz) trug in einer kleinen randomisierten Studie mit Brustkrebsüberlebenden signifikant dazu bei, Ängste und Sorgen abzubauen und das psychische Wohlbefinden zu verbessern.

Fatigue kann ein langfristiges Problem darstellen

Nach Resultaten einer deutschen Analyse klagt mehr als ein Drittel der Menschen nach einer überstandenen Brust-, Darm- oder Prostatakrebserkrankung über Fatigue. Bei den Betroffenen ist auch die Mortalitätsrate zumindest kurzfristig erhöht.

Bahnbrechende neue Daten für kleinzellige Lungenkarzinome

Mit DeLLphi-304 und IMforte überzeugten zwei Studien am ASCO-Meeting mit spannenden Daten beim kleinzelligen Lungenkarzinom (SCLC). Die Phase-III-Studie DeLLphi-304 zeigt, dass Personen mit kleinzelligem Lungenkarzinom (SCLC), die in der Zweitlinie mit dem bispezifischen T-Zell-Engager (BiTE) Tarlatamab behandelt wurden, länger, überleben als unter einer weiteren Chemotherapie. Außerdem ging es um die Frage, wie es mit Zytokinfreisetzungssyndromen (CRS) und immune effector cell-assoziierter Neurotoxizität (ICANS) aussah.

Paradigmenwechsel in Sicht für die Lymphomtherapie

2025 ist das Jahr der bispezifischen Antikörper und innovativen Therapiekombinationen, die zu chemotherapiearmen Regimen führen.

Hautbedingte Autoimmunerkrankungen

Patient:innen mit Autoimmunerkrankungen der Haut haben anscheinend signifikant bessere Überlebenschancen bei Krebserkrankungen als Personen ohne diese Hautleiden.

Wie die Infektionsprophylaxe bei Krebspatient:innen gelingt

Infektionen bei Krebspatient:innen stellen ein Risiko dar. Ob und wie man diese behandelt, hängt von mehreren Faktoren ab. Hier einige Tipps für ein adäquates Vorgehen.

Wirksamerer Rezidivschutz durch erweiterte AI-Adjuvanz

Eine erweiterte endokrine Therapie mit Aromataseinhibitoren senkt das Rezidivrisiko bei postmenopausalen Frauen mit frühem Brustkrebs, wie eine Metaanalyse der EBCTCG zeigt. Allerdings steigt auch das Risiko für unerwünschte Effekte – und die Auswirkungen auf Überlebensendpunkte ist weniger klar.

Von ADCs, Deeskalation und Kombinationstherapien

Das heurige ASCO Annual Meeting brachte wichtige Daten und Fakten zu Brustkrebs. Nun ist die Frage, was davon unmittelbar in die klinische Praxis einfließen wird. Hier eine Auswahl der wichtigsten Studien zum triple-negativen Mammakarzinom (TNBC).

Präzisionsonkologie auf dem Vormarsch

Das BREAKWATER-Regime aus Encorafenib, Cetuximab und mFOLFOX6 etabliert einen neuen Erstlinienstandard für das BRAFV600E-mutierte metastasierte Kolorektalkarzinom (mCRC). Auch eine duale Checkpointblockade nach dem Schema der CheckMate 8HW-Studie hat bei mikrosatelliteninstabilen metastasierten Patient:innen das Potenzial, die klinische Praxis künftig zu verändern.

Adjuvante Therapie des Kolonkarzinoms im Umbruch

Von Immunchemotherapie, ctDNA-gesteuerter Eskalation und Lebensstilintervention – am ASCO Annual Meeting 2025 gab es einige neue Daten zur adjuvanten Therapie des Kolonkarzinoms. Was den Weg in die klinische Praxis findet und was eher enttäuscht, erfahren Sie im folgenden Beitrag.

BRAF-V600-mutierter Darmkrebs: Neue Kombination ist Standardtherapie in Studie überlegen

Die Erstlinienkombination von Encorafenib und Cetuximab mit mFOLFOX6 hat sich in einer Studie der Standardtherapie von metastasiertem BRAFV600-mutiertem Kolorektalkrebs als überlegen erwiesen. Progressionsfreies und Gesamtüberleben wurden signifikant verlängert.

PNH-Therapie in der Praxis

Für die Behandlung der PNH stehen unterschiedliche Substanzen zur Verfügung. Die Patient:innen sollten unbedingt an einem Zentrum mit ausreichend Erfahrung in PNH-Therapie vorgestellt werden.

Update der S3-Living-Guideline

Die aktuelle Version der LivingGuideline der S3-Leitlinie Lungenkarzinom enthält zahlreiche Änderungen, unter anderem Neuerungen zu den verschiedenen Krankheitsstadien sowie ein eigenes Kapitel zum Lungenkrebsscreening.

Pathogenese, Symptomatik und Komplikationen der PNH

Die paroxysmale nächtliche Hämoglobinurie (PNH) ist eine Erkrankung, der komplexe Pathomechanismen zugrunde liegen, die zu einem sehr variablen Beschwerdebild führen. Ziel dieser Übersicht ist es, die für die Praxis wichtigsten Aspekte der PNH-Pathogenese und Symptomatik darzustellen.

Neue Chancen oder überwiegen doch die Risiken?

Dieser Beitrag bietet einen Überblick über zentrale Begriffe im Zusammenhang mit Künstlicher Intelligenz (KI) in der Medizin und liefert ausgewählte Beispiele für Anwendungsmöglichkeiten in der Hämatologie und Onkologie. Zudem beleuchtet der Artikel Herausforderungen und Chancen, die sich durch KI in der Medizin ergeben.

Optimierungsmöglichkeiten für die Versorgung onkologischer Patient:innen in Österreich

Das zentrale Ziel in der Betreuung von Krebspatient:innen ist das bestmögliche Outcome hinsichtlich Ansprechrate, Überlebenszeit, Lebensqualität und Patientenzufriedenheit – unter Berücksichtigung ökonomischer Prinzipien und Kostenbewusstsein.

Seltene Entität erfordert individuelle Therapiestrategien

Primäre Knochensarkome sind selten und erfordern ein multimodales therapeutisches Vorgehen aus Chirurgie, Chemotherapie und Radiotherapie. Man unterscheidet mehrere Formen mit unterschiedlicher Prognose und therapeutischem Vorgehen.

Basis für Breitband-Onkologika

Alle aktuell zugelassenen Immunonkologika wirken primär durch T-Zell-vermittelte Effekte. Das könnte sich ändern: Intensiv geforscht wird nämlich derzeit zu Wirkstoffen, die auf natürliche Killerzellen (NK) setzen.

Donald Trump und die Folgen für medizinische Forschung und humanitäre Unterstützung

Kein anderes Land hat vergleichbar viel zur medizinischen Innovation und globalen Gesundheitsversorgung beigetragen wie die Vereinigten Staaten von Amerika. Umso gravierender erscheint der aktuelle politische Kurswechsel.

Update GIST-Therapie: One-size-fits-all war gestern

Die Verlängerung der adjuvanten Therapie, der Einsatz neuer zielgerichteter Wirkstoffe sowie die Integration molekularer Marker sind nur einige Aspekte, die Dynamik in die Behandlung von Patient:innen mit gastrointestinalen Stromatumoren (GIST) bringen.

Neue Therapieansätze und Fortschritte in Subgruppen

Die Prognose von Glioblastomen ist nach wie vor schlecht. Dennoch konnten in klar definierten Subgruppen Fortschritte erzielt werden, was die zukünftige Relevanz präzisionsmedizinischer und personalisierter Ansätze zeigt.

mCRC: BRAF-Inhibitor für die Erstlinientherapie

In der Zweit- und Drittlinientherapie des BRAF-positiven metastasierten Kolorektalkarzinoms (mCRC) ist die Kombination von Encorafenib mit Cetuximab und einer Chemotherapie bereits zugelassen. Die BREAKWATER-Studie bahnt den Weg zur Zulassung auch für die Erstlinie. Diese und andere News vom ASCO-GI lesen Sie im Folgenden.

Überarbeitung der Magnitude of Clinical Benefit Scale publiziert

Die European Society for Medical Oncology (ESMO) hat die neueste Version 2.0 der Skala zur Messung des klinischen Nutzens von Krebsbehandlungen, der ESMO-MCBS (ESMO-Magnitude of Clinical Benefit Scale), veröffentlicht.

Was vermag Künstliche Intelligenz für die Pathologie zu leisten?

Durch die rasante Entwicklung von Künstlicher Intelligenz (KI) in der Bildinterpretation gibt es auch für das stark auf Morphologie ausgerichtete Fach der klinischen Pathologie sehr aussichtsreiche Entwicklungschancen. 

Krebsforschung trifft Schule

Ein innovatives Bildungsprojekt an Grazer Schulen gewährt Einblick in die Krebsforschung. Den Schüler:innen werden Möglichkeiten der Krebsbekämpfung mittels digitaler Pathologie vermittelt.

Neue Targets, besserer Outcome

Die Therapieoptionen beim Cholangiokarzinom waren lange Zeit begrenzt. Aktuell gibt es eine Vielzahl von Ansätzen und Studien mit unterschiedlichen Substanzen bei dieser Entität und auch der zunehmende Stellenwert von molekularer Diagnostik und Testing spiegelt diese Vielfalt wider.

Urothelkarzinom: Update zur intravesikalen Therapie

Beim Harnblasenkarzinom zeichnen sich für die adjuvante Lokaltherapie zahlreiche spannende neue Entwicklungen ab, darunter neue Immuntherapien und innovative Applikationssysteme für bewährte Zytostatika wie die intravesikale Therapie.

Das Management des fortgeschrittenen TNBC

Im zweiten Teil der Expert:innenrunde im November 2024 stand das fortgeschrittene bzw. metastasierte TNBC (mTNBC) im Fokus. Unter der Moderation von Assoc. Prof. Priv.-Doz. Dr. Rupert Bartsch von der Klinischen Abteilung für Onkologie der MedUni Wien diskutierten die Expert:innen den aktuellen Standard.

Ein therapeutisches Virus gegen Krebs

Auch Tumorzellen können von Krankheitserregern befallen werden. Tatsächlich sind sie sogar besonders anfällig – ein Nebeneffekt ihrer Fähigkeit, sich vor dem Immunsystem zu verbergen. Das machen sich Privatdozentin Dr. Jennifer Altomonte und ihr Team bei Fusix Biotech zunutze. Die Ausgründung der Technischen Universität München (TUM) entwickelt virenbasierte Krebstherapien, die körpereigene Abwehrkräfte im Kampf gegen die Krankheit mobilisieren.

Sedierung am Lebensende: Was ist die beste Option?

Besonders onkologische Patient:innen haben am Lebensende oft eine hohe Symptomlast, die eine leitliniengerechte, palliative Sedierungstherapie mit dem Ziel der Symptomlinderung nötig macht.

Management der malignen intestinalen Obstruktion

Die maligne intestinale Obstruktion (MIO) stellt eine relativ häufige Komplikation fortgeschrittener Tumorerkrankungen dar, insbesondere bei Patient:innen mit primär abdominellen oder abdominell metastasierten Karzinomen. Ein multifaktorielles Management ist wesentlich, um die Lebensqualität der Patient:innen zu erhalten.

Deeskalationsstrategien: Weniger ist oft mehr

Von 12.–15. März versammelten sich in Wien erneut über 3.000 onkologisch Tätige aus 30 Ländern zur 19. St. Gallen International Breast Cancer Conference, um einen Konsensus zur Behandlung des Frühstadiums des Mammakarzinoms auszuarbeiten. Univ.-Prof. Dr. Michael Gnant und seinem Team gelang es abermals, Österreich als ein Land zu präsentieren, wo solche Veranstaltungen auf höchstem organisatorischem und technischem Niveau durchgeführt werden können.

Palliativmedizin auf der OeGHO-Frühjahrstagung

Erstmals wurde die Frühjahrstagung der Österreichischen Gesellschaft für Hämatologie und Medizinische Onkologie (OeGHO) heuer gemeinsam mit der Österreichischen Palliativgesellschaft und der Arbeitsgemeinschaft klinischer Pharmazeut:innen ausgerichtet und wurde somit noch interdisziplinärer und interprofessioneller. Das Konzept schlug sich in vermehrter Einbeziehung palliativmedizinischer Themen ins Programm nieder.

FGFR2b-Inhibition beim Magenkarzinom

Bemarituzumab ist ein First-in-Class FGFR2b-Inhibitor, für den in einer Phase-II-Studie signifikante Outcome-Benefits vs. alleiniger Chemotherapie nachgewiesen wurden. Der Antikörper wird zurzeit in zwei Phase-III-Studien weiter untersucht.

ctDNA-Test erkennt frühe Hochrisiko-Karzinome

Lässt sich bei einem frühen Adenokarzinom der Lunge vor OP im Blut zirkulierende Tumor-DNA nachweisen, ist die Prognose besonders ungünstig. Ein Test kann die DNA bei über 50% im Stadium I detektieren.

Das Management von frühem triple-negativem Brustkrebs

Triple-negativer Brustkrebs (TNBC) ist ein sehr heterogener Formenkreis von Erkrankungen. Eine Expert:innenrunde diskutierte Wissensstand und Therapiestandards im Management der Frühstadien.

Gender Equality: Wieso noch immer nicht erreicht?

Ärzt:innen sind seltener in Führungspositionen tätig als Ärzte. Gründe hierfür könnten geschlechterspezifische Konstruktionen und Erfahrung von Zeit durch gesellschaftliche Zuschreibungen sein.

Aminosäuren-PET bei Hirnmetastasen

Ein spezielles bildgebendes Verfahren, die Aminosäuren-PET, kann nicht nur die Patientenversorgung verbessern, sondern auch die Forschung zur Entwicklung neuer Therapieansätze vorantreiben.

Kombination mit PARP-Inhibitoren zeigt Überlebensvorteil bei mCRPC

Beim kastrationsresistenten metastasierten Prostatakarzinom (mCRPC) haben sich in den letzten fünf Jahren wenig neue Behandlungsoptionen aufgetan. Doch nun gibt es weitere vielversprechende Daten zu Kombinationen mit PARP-Inhibitoren.

Verlängertes Gesamtüberleben

Eine Verlängerung des Überlebens ist für die meisten Krebspatient:innen das wichtigste Therapieziel. Beim ASCO Genitourinary Cancers Symposium (ASCO-GU) wurden finale Auswertungen, Studienupdates und Ergebnisse neuer Studien präsentiert.

BCMA-gerichtete Regime für den Rezidivfall

Was tun beim Rezidiv nach Triplett- und Quadruplett-Therapien beim multiplen Myelom? Daten zweier Phase-III-Studien sprechen dafür, dass Regime, die Belantamab-Mafodotin enthalten, hier eine Option sein könnten.

„Die Dosis macht das Gift“

Post-hoc-Analysen verschiedener Zulassungsstudien ergaben, dass eine immunsuppressive Therapie von immunbedingten Nebenwirkungen (irAE) unter Checkpoint-Inhibitoren mit hohen Kortikosteroiddosen das Gesamt- und das progressionsfreie Überleben verkürzen kann.

Leukämiediagnostik mit Hilfe von bildorientierter KI

KI-basierte Klassifikationsansätze könnten die hämatologische Morphologiediagnostik nicht nur optimieren, sondern auch helfen, bisher unbekannte morphomolekulare Zusammenhänge aufzudecken. Über Hintergründe und Voraussetzungen informiert dieser Beitrag.

Verlängertes Überleben bei begrenztem SCLC

Die Überlebensaussichten beim begrenzten kleinzelligen Bronchialkarzinom (SCLC) lassen sich signifikant verbessern, wenn an die Standard-Radiochemotherapie eine adjuvante Behandlung mit dem PD-L1-Antikörper Durvalumab angeschlossen wird.

Ein Adjuvans mit Potenzial

Die Art der Narkose hat Einflüsse auf die Prognose der Patient:innen mit Kolorektalkarzinomen. Der Zusatz des Lokalanästhetikums Lidocain dürfte hinsichtlich der reduzierten Rezidivrate nach einem Jahr, in Bezug auf das postoperative Schmerzmanagement, die früheren Mobilisation und Entlassung von Patient:- innen nach der Operation Benefits bringen.

Viel Impact für die klinische Praxis

An der San Antonio Breast Cancer Conference (SABCS) nahmen auch 2024 wieder rund 10.000 Brustkrebsexperten teil. Lesen Sie im Folgenden eine Auswahl an Phase-III-Daten, die einen unmittelbaren Nutzen für die klinische Praxis haben werden.

Neue Substanzen, neue Optionen

Der ASH 2024 zeigte bei CLL und den indolenten Lymphomen eine Vielzahl an Neuerungen, die Großteils alsbald im klinischen Alltag umgesetzt werden können. Er beweist zudem erneut die Fülle an Innovation, die in diesem spannenden Feld auch in den nächsten Jahren zu erwarten ist.

Wichtige Informationsquelle für Klinik und Wissenschaft

CAR-T-Zelltherapie wird zunehmend Routine und rückt in frühere Therapielinien vor. Dem Österreichischen CAR-T-Zell-Register kommt dabei eine wichtige Rolle zu – es umfasst Patient:innendaten aus heimischen...

Die Fortschritte bei der Brustkrebstherapie

Eine Metaanalyse mit über 150.000 Teilnehmerinnen zeigt, wie stark die Rezidivrate bei Frauen mit Brustkrebs im Frühstadium im Lauf der Jahre zurückgegangen ist.

Therapie um jeden Preis?

In den USA ist die Rate von aggressiven Prostatakrebstherapien bei Männern mit begrenzter Lebenserwartung seit dem Jahr 2000 erheblich gestiegen. Solche Übertherapien werden oftmals auf Überdiagnosen durch fortgeführtes PSA-Screening zurückgeführt.

Ein Tag ganz im Zeichen onkologischer Leitlinien

Auf dem von der Österreichischen Gesellschaft für Hämatologie Medizinische Onkologie (OeGHO) ins Leben gerufenen Onkopedia Day 2024 wurden aktuelle Leitlinien und Behandlungsstrategien diskutiert, um den Austausch und den Wissensstand unter Fachärzt:innen zu vertiefen.

Stabilisierung mit CAR-T-Zellen nach Myelom-Rezidiv

Die folgende Kasuistik beschreibt einen 61-jährigen Mann, bei welchem erstmals im Dezember 2022 ein multiples Myelom (MM) diagnostiziert wurde und der nach einem raschen Progress und einer Bridging-Therapie in der Zweitlinie eine CAR-T-Zelltherapie erhielt, wodurch MRD-Negativität und Krankheitsstabilisierung erreicht werden konnten.

Off-label-Optionen für Ältere

Es gab Neuigkeiten am ASH-Meeting, vor allem für ältere Patient:innen mit Hodgkin-Lymphomen und bzgl. transplantfreier Ansätze im Erstrezidiv.

Update Immuntherapie

Im Rahmen des 14. Bronchuskarzinom Workshops, der am 22. und 23. November 2024 in Wien stattgefunden hat, wurde ein Update zu den wichtigsten Entwicklungen der Immuntherapie 2024 beim lokal fortgeschrittenen und fortgeschrittenen Bronchuskarzinom präsentiert.

Rebiopsie und Studien für Therapiewahl heranziehen

Dieser Fallbericht beschreibt den Verlauf eines Patienten mit metastasiertem nicht-kleinzelligem Lungenkrebs (NSCLC) mit aktivierender EGFR-Mutation über mehrere Therapielinien.

KI-basierte Bildgebung beurteilt Tumorheterogenität

Machine Learning und KI-basierte Tools haben das Potenzial, die Präzisionsmedizin wesentlich zu unterstützen. Daten aus der Bildgebung, Sequenzierung und Pathologie können analysiert und verknüpft werden, um präziser Krankheitsverläufe und Therapieansprechen vorhersagen zu können.

Künstliche Bilddatensysteme & AI

Ein Team der MedUni Wien hat eine generative AI entwickelt, mit der medizinische Bilddaten künstlich erzeugt und verarbeitet werden können. Die Genauigkeit der AI-Modelle wurde dadurch erheblich verbessert.

Digitale Pathologie – Standard der Zukunft?

Die digitale Pathologie bietet vielversprechende Möglichkeiten für die personalisierte pathologische Diagnostik des Mammakarzinoms, etwa im Bereich der Bildanalysesysteme, der experimentellen Algorithmen für Tumorgrading, der Identifizierung von Mitosefiguren und dem Auffinden von Lymphknotenmetastasen.

Intensivierte Induktion für Hochrisikopatient:innen

Unterschiedliche Konzepte zur Therapieintensivierung bei AML-Patient:innen wurden am ASH-Meeting diskutiert. CPX-351 konnte durch sein günstiges Toxizitätsprofil punkten. Und Venetoclax zeigte hohe Remissionsraten bei neu diagnostizierter AML mit Standard 3+7-Induktion.

Zielgerichtet gegen Krebs mit neuen Perspektiven

In den letzten zehn Jahren haben sich zielgerichtete Therapien beim nicht kleinzelligen Lungenkarzinom rasant entwickelt. Über 60 Prozent der NSCLC-Fälle können derzeit so behandelt werden.

Die Hüter:innen der Arzneimittelsicherheit

Onkologische Pharmazeut:innen agieren oftmals im Hintergrund, z.B. in der Herstellung von Zytostatika. Sie werden aber zunehmend in die klinischen Routinen der Station eingebunden und haben hier eine wichtige Multiplikatorfunktion für Arzneimittelwissen.

Warum brauchen wir Künstliche Intelligenz in der Medizin?

Unsere Erwartungen an KI-basierte Systeme sind hoch: bessere (Früh)diagnostik, raschere Medikamentenentwicklung, personalisiertere Therapie, Effizienzsteigerung und Kostenreduktion im Gesundheitswesen – in all diesen Bereichen werden KI-Tools entwickelt. Die Implementierung in die Routine ist allerdings ein langer Weg.

MRD-Negativität als Surrogat- Parameter für OS-Outcome

Vor allem in der Erstlinientherapie werden Quadruplet-Regime für transplantgeeignete Patient:innen unabdingbar. Ein wichtiger Surrogat-Parameter für das Überlebens- Outcome ist dabei die MRD-Negativität.

Add-on mit Benefits bei pädiatrischer ALL

Der bispezifische T-Zell-Aktivator Blinatumomab als Ergänzung zur Chemotherapie verbessert das krankheitsfreie Überleben (DFS) bei neu diagnostizierter ALL Typ B mit NCI-Standardrisiko (SR).

Krebsprävention nicht auf die leichte Schulter nehmen

Die OECD mahnt in einem rezent publizierten Report: auch Österreich muss sich bei der Krebsprävention mehr anstrengen. Gründe dafür sind die Überalterung der Gesellschaft, steigende Gesundheitsausgaben sowie Produktivitätsverluste.

Ein wichtiger Schritt in Richtung Krebsprävention

Die Implementierung der Impfung gegen humane Papillomaviren (HPV) in das Österreichische Impfprogramm macht Fortschritte. Für die Saison 2024/25 wurde eine weitere wichtige Neuerung mit einer Ausdehnung des kostenlosen Impfangebots bis zum vollendeten 30. Lebensjahr beschlossen.

Nach Koloskopie unter Sedierung treten mehr Intervallkarzinome auf

Ein Großteil aller Koloskopien in Österreich wird an sedierten Patient:innen vorgenommen. Nach Daten aus Schweden könnte die hohe Rate aber dazu beitragen, dass Karzinom(vorstufen) übersehen werden.

Flächendeckende Innovation

Vor wenigen Jahren in Österreich noch eine exotische Operationsmethode – heute annähernd flächendeckend im Einsatz: Roboterchirurgie ist aus der urologischen Therapielandschaft nicht mehr wegzudenken.

Auf der Suche nach der Stecknadel im Heuhaufen

Auf dem Jahrestreffen der American Society of Clinical Oncology (ASCO) wurden die neusten Daten aktueller Studien und Trends der Krebsforschung veröffentlicht und diskutiert. In diesem Jahr stand vor allem die Detektion neuer Biomarker für das Nierenzellkarzinom im Vordergrund. Man begab sich auf die Suche nach der „einzigen“ Nadel im Heuhaufen.

Siegeszug der ADC bei fortgeschrittenem Brustkrebs

Brustkrebs ist eine prominente Indikation für Antikörper-Wirkstoff-Konjugate (ADC). Auf der ASCO-Jahrestagung wurden etliche Studien zur weiteren Bewertung dieser Substanzklasse vorgestellt, deren Ergebnisse das Gesamtbild dieser Substanzklasse vervollkommnen.

Überzeugende neue Daten erweitern das Armentarium

Der BCR:ABL-Inhibitor Asciminib könnte die Optionen in der Erstlinientherapie bei neu diagnostizierter chronischer myeloischer Leukämie erweitern. Und Glofitamab in Kombination überzeugt bei rezidiviertem oder refraktärem diffus- großzelligem B-ZellLymphom.

mCRC: neue Therapeutika am Horizont

Während in den letzten Jahren Erfolge bei seltenen Subgruppen erzielt wurden, legen aktuelle, am ASCO-Meeting präsentierte Studien nun vielversprechende neue Therapeutika auch für die sogenannte All-Comer Gruppe – die Mikrosatelliten-stabilen, metastasierten Kolorektalkarzinome – nahe.

Nicht alle Frauen kehren zum Screening zurück

Eine Kohortenstudie aus den USA zeigt, dass Frauen nach einem falsch-positiven Mammografie-Ergebnis seltener an der nächsten Screening-Runde teilnehmen.

Minimalinvasive Operation first

Die transorale Roboterchirurgie (TransOral Robotic Surgery, TORS) bietet bei ausgesuchten Tumoren des oberen Respirationstrakts die Möglichkeit einer minimalinvasiven Chirurgie. Die Vor- und Nachteile dieser Operationsmethode sollen hier kurz erläutert werden.

Limited-stage SCLC: Therapie nach dem ADRIATIC-Schema

Die Zugabe einer Checkpointinhibitor-Therapie nach Chemo-Radiotherapie, gemäß dem Protokoll der ADRIATIC-Studie, führte bei einer Patientin mit einem limitierten kleinzelligen Lungenkarzinom zu einer partiellen Remission bei guter Verträglichkeit und hervorragender Lebensqualität.

Kaum Nutzen für präoperative Radiochemotherapie

Eine präoperative Radiochemotherapie zusätzlich zur perioperativen Chemotherapie erhöht zwar bei operablem Magenkrebs die pathologische Ansprechrate, verlängert aber nicht progressionsfreies Überleben und Gesamtüberleben.

Neue Targets, neue Hoffnung?

Welche Innovationen werden in den kommenden Jahren in der Behandlung von soliden Tumoren eine Rolle spielen? Auf dem DGHO gab es zu dieser Frage einen interessanten Ausblick.

Innovation gemeinsam gestalten

Die DGHO setzte bei ihrer Jahrestagung 2024 verstärkt darauf, mit ihrer Jahrestagung eine interdisziplinäre und interprofessionelle Plattform für Expert:innen zu bieten, aktuelle Forschungsergebnisse in einem offenen Dialog zu diskutieren und voneinander zu lernen.

Immuntherapie: ready to stay

Auf dem diesjährigen ESMO-Kongress in Barcelona spielten wie zu erwarten immuntherapeutische Ansätze eine zentrale Rolle. Phase-III-Studien- Daten zu muskelinvasivem Blasenkrebs, lokal fortgeschrittenem Zervixkarzinom oder frühem triple-negativem Brustkrebs bestätigen bereits gängige Praxis oder begründen neue Standards.

Was bewegt YHOGAs gerade?

Das YHOGA-Treffen auf der DGHO-Jahrestagung 2024 war fixer Bestandteil der Agenda. Alle YHOGAs, die sich vor Ort befanden, waren eingeladen, am 13.10.2024 in der Mittagspause, am YHOGA-Treffen teilzunehmen. Es bot die Möglichkeit, aktuelle Themen, welche die YHOGAs beschäftigen, direkt an den OeGHO-Vorstand heranzutragen und zu diskutieren. Hervorzuheben ist auch die rege aktive Teilnahme der YHOGA mit eigenen wissenschaftlichen und Fachbeiträgen.

Erythrozyten-Reifungs-Aktivator als neuer Standard?

Gemäß den Daten der COMMANDS-Studie, könnte der Wirkstoff Luspatercept eine neue Standardtherapieoption bei Personen mit myelodysplastischen Syndromen vom lower-risk-Typ und transfusionsabhängiger Anämie sein. Aber es bleiben noch Fragen.

Hypofraktionierung avanciert zum Standardregime

Bisher war nicht klar, ob die hypofraktionierte Bestrahlung nach einer Brustkrebs- OP auch gut vertragen wird, wenn die örtlichen Lymphknoten mitbestrahlt werden müssen, insbesondere nach einer ausgedehnten Axilladissektion. Diese Fragestellung untersuchte nun eine französische Studie.

Ein Jahr der zukunftsweisenden Studiendaten geht zu Ende

Das Jahr 2024 brachte im Bereich des nicht kleinzelligen Lungenkarzinoms (NSCLC) eine Reihe an Studienresultaten mit potenziellen Auswirkungen auf die gängigen Algorithmen. Updates und Daten zu neuen Substanzen bei früher und fortgeschrittener Erkrankung wurden im Rahmen der Jahreskongresse von ASCO, ESMO und IASLC (WCLC) präsentiert.

Brustkrebsdiagnostik sanfter, sicherer und smarter

Im neu eröffneten Christian Doppler Labor für patient:innenzentrierte Brustbildgebung der Med Uni Wien beschäftigen sich Forscher:innen mit der Entwicklung und Anwendung von Diagnosetools, die nicht nur präziser sind als derzeitige Methoden, sondern auch angenehmer für die Patient:innen. Damit soll die Akzeptanz der mitunter lebensrettenden Vorsorgeuntersuchungen weiter erhöht werden.

GnRH-Antagonisten in der Therapie des Prostatakarzinoms

Die Androgenentzugstherapie hat sich in den letzten Jahren stark weiterentwickelt. Heutzutage setzt man beim mPCa darauf, GnRH-Analoga oder -Antagonisten mit einem Antiandrogen der neuen Generation oder einem Androgensynthesehemmer zu kombinieren.

Wo die Krebsforschung anderen Disziplinen nützt

In die onkologische Forschung fließt viel Geld. Doch auch andere Fachbereiche wie Kardiologie und Rheumatologie können davon profitieren. Beispiele sind die klonale Hämatopoese und die CAR-T-Zelltherapie.

Neues EU-weites Regelwerk für in-vitro-Diagnostika

Die EU hat neue Regeln für medizinische Tests (Diagnostika) eingeführt, die seit Mai 2022 gelten. Diese neuen Regeln ersetzen die alten Regeln aus dem Jahr 1998 und sorgen dafür, dass alle medizinischen Tests in der EU nach den gleichen hohen Standards hergestellt und verkauft werden.

Bispezifische Antikörper oder CAR-T-Zelltherapie: Was zuerst?

Die Datenlage sowohl zum Einsatz bispezifischer Antikörper, als auch zu CAR-T-Zelltherapien bei multiplen Myelomen und Lymphomen verdichtet sich immer mehr. Was wann für wen am geeignetsten ist und welche potenziellen Therapieabfolgen es gibt, stellt oftmals eine Herausforderung für die Behandelnden dar.

Kopf-Hals-Tumore und HPV

Als Hauptrisikofaktor für die Entstehung eines Karzinoms im oberen Schluck- und Atemtrakt gilt Alkohol- und Nikotinkonsum. Neu ist die Erkenntnis, dass – ähnlich wie beim Gebärmutterhalskarzinom – eine Infektion mit humanen Papillomviren für die Krebsentstehung von Oropharynxkarzinomen verantwortlich sein kann.

TKI-Ferien lohnend nach NSCLC-Komplettremission

Bei fortgeschrittenem NSCLC mit Treibergenmutationen könnte es sich lohnen nach einer Komplettremission die Tyrosinkinasehemmer (TKI) zu pausieren und Rezidive mit ctDNA zu überwachen.

Quadrupeltherapien nun auch bei transplant-ineligible Patienten

Quadrupeltherapien stellen nun auch für Patient:innen, die aus verschiedenen Gründen nicht transplantierbar sind, eine Behandlungsoption dar, sofern eine adäquate körperliche Fitness gegeben ist. Die MRD-Daten der PERSEUS-Studie untermauern den Status von Daratumumab in Kombination mit VRd als neuen Therapiestandard für transplantierbare Patient:innen in der Erstlinie.

PSA-Wert im mittleren Alter besitzt Aussagekraft

Haben Männer im Alter unter 60 Jahren PSA-Werte zwischen 1 und 2ng/dl, ist das Risiko, in den folgenden 20 Jahren an Prostatakrebs zu erkranken, mehr als 20-fach, die Prostatakrebsmortalität mehr als siebenfach erhöht.

Newsletter abonnieren

Erhalten Sie unseren Newsletter 2x pro Woche mit den aktuellsten Beiträgen aus unterschiedlichen Fachbereichen.


Bildnachweise
Weggabelung/© supansa / Stock.adobe.com (Generiert mit KI), 11155159/© Privat, HPV-assoziiertes Adenokarzinom/© Prim. Univ.-Prof. Dr. Sigurd F. Lax, 11114199/© Prim. Univ.-Prof. Dr. Sigurd F. Lax, 11114195/© JKU / Mag Savoy, Mailand/© Frédéric Prochasson / stock.adobe.com, Rasterelektronenmikroskop-Aufnahme einer Lungenkrebszelle/© Anne Weston, Francis Crick Institute (Lizensiert nach CC BY-NC 4.0: https://creativecommons.org/licenses/by-nc/4.0/), Christian Baumgartner/© Helmut Lunghammer, Richtlinien/© DOC RABE Media / stock.adobe.com, Heinz Ludwig/© Foto Wilke, Petrischale/© Dabarti / stock.adobe.com, 11053897/© DARIKA / stock.adobe.com / Generated with AI, Prof. Dr. Jens Papke /© Privat, Dermatologische Untersuchung/© LIGHTFIELD STUDIOS / stock.adobe.com, Christian Posch/© TOM ROCH, Telemedizin/© SDI Productions / Getty Images / iStock, Erschöpfte Frau/© fizkes / Getty Images / iStock, Kleinzelliges Lungenkarzinom/© rinrada / stock.adobe.com (Generiert mit KI), OA Dr. Maximilian J. Hochmair/© wildbild, Standseilbahn/© LianeM / stock.adobe.com, 10968864/© Daniel Hammelstein, Rash/© nuzza11 / Stock.adobe.com, Krebstherapie/© ChannaronG / Generated with AI / Stock.adobe.com, 11094058/© Daniel / stock.adobe.com, 11079615/© Axel Kock / Getty Images / iStock, 11094079/© OKL-BHS, Kolorektalkarzinom/© MohammedElAmine / stock.adobe.com, 11079606/© Privat, 11072299/© Katerina Evtakhova / Generated with AI / Stock.adobe.com, Gudrun Piringer/© Berit Helmlinger, 11073267/© Springer Medizin Verlag, 11073261/© Springer Medizin Verlag, Darmkrebs/© valiantsin / stock.adobe.com, Blood vessel/© Dr_Microbe / stock.adobe.com, 10929059/© Alexion Pharma GmbH), Wegweiser/© Holo Frame/Stock.adobe.com (Generated with AI), Blutprobe/© MdBabul / stock.adobe.com, 10968749, 10972920/© nechaevkon / stock.adobe.com, Computerprogramme Diagnostik /© metamorworks / Getty Images / iStock, 10634926/© privat, 10883859, Sparschwein/© polkadot / stock.adobe.com, Knochenstruktur/© Sebastian Kaulitzki / Fotolia, 10972904/© SALK, Immunfluoreszierenden natürlichen Killerzellen/© Nancy Kedersha / Science Photo Library, Trump/© Alexander / stock.adobe.com, One size/© Daisha / stock.adobe.com (Generiert mit KI), 10996297/© Fotostudio Lamprechter, Pathologie/© Mykola / stock.adobe.com, 10943575/© Privat, 10943592/© Dr. Georg Jeryczynski, San Francisco/© LucVi / Stock.adobe.com, 10516391/© Privat, Waage mit Medikamenten /© PANGERANDESIGN / stock.adobe.com, Künstliche Intelligenz/© kebox / stock.adobe.com, 10830092/© C_Med Uni Graz, Schüler/© Med Uni Graz/KLEX/Akad. Gymnasium Graz, 10984937/© Med Uni Graz/KLEX/Akad. Gymnasium Graz, Lupe & Menschen/© Meow Creations / stock.adobe.com (Generiert mit KI), 10995545/© Ordensklinikum Linz, 10995551/© Ordensklinikum Linz, Harnblase/© Elena / stock.adobe.com, Zellteilung/© Sathaporn / stock.adobe.com (Generiert mit KI), Virusforschung/© Alican / Stock.adobe.com, Sedierung/© Leka / stock.adobe.com, OÄ Dr.in Sophie Roider-Schur/© St. Josef Krankenhaus GmbH, Surgery/© Dmitriy Kandinskiy / stock.adobe.com, 10966017/© KAGES, 10966010/© KAGES, OeGHO/© C_Viennamotion, Palliativmedizin/© Luba / Generated with AI / Stock.adobe.com, Spezialisierte Palliativversorgungsmaßnahmen/© Springer Medizin Verlag, Univ.-Prof.in PDin DDr.in Eva Katharina Masel, MSc/© feelimage/Matern, Magenkarzinom/© peterschreiber.media / stock.adobe.com, Tumor-DNA/© Attasit / stock.adobe.com / Generated with AI, 10851712, 10857017, Gender Equality unter Ärzt:innen/© christian / stock.adobe.com, Univ.-Prof.in Mag.a Dr.in Astrid Reichel /© Simon Haigermoser, Universität Salzburg, MRT/© semnic / Getty Images / iStock, Arzt-Patienten-Gespräch/© MARGIT_WILD_FOTOWILD.DE, Anton Ponholzer /© privat, Nierenzellkarzinom/© MedicalRF.com / Getty Images / iStock, 10930668, 10930669, ADC_Myelom/© AddMeshCube / Stock.adobe.com, Alchemist/© Motiv: Springer Medizin via Midjourney-KI, Diagnostik/© Christian Matek, Erlangen, Lungenscan/© da-kuk / Getty Images / iStock, Zellen /© Mohammed Haneefa Nizamudeen / Getty Images / iStock, 10706246/© privat, Beleuchtetes Stadtbild/© f11photo / stock.adobe.com, Günther Steger/© MUW, Pfeile/© Andrii Yalanskyi / stock.adobe.com, 10834404/© Benjamin Thomes_FINE FACTS, Regtech/© Mongta Studio / Stock.adobe.com, 8850314/© Meduni Wien, Ärztin macht Ok-Zeichen/© PonyWang / Getty Images / iStock (Symbolbild mit Fotomodellen), PSA-Test/© SyhinStas / Getty Images / iStock, Lupe/© rookielion / stock.adobe.com, 10830778/© https://www.onkopedia.com/de/@@news-overview. Abgerufen 06.01.2025, CAR-T-Cells/© catalin / stock.adobe.com, 10829978/© Krankenhaus der Elisabethinen, 10829981/© Krankenhaus der Elisabethinen, Lymphon/© Steve Gschmeissner / Science Photo Library, 10826380/© privat, Lungenkarzinom/© Premreuthai / stock.adobe.com, Kirchbacher/© Privat, 10833428/© Spigel DR et al., J Clin Oncol 2024; 42 (suppl 17): LBA5. doi:10.1200/JCO.2024.42.17_suppl. LBA5, 10892928/© Klinik Floridsdorf, 10892194/© Marco Sommer, 10892910/© Klinik Floridsdorf, 10892917/© Klinik Florisdorf, 10892929/© Klinik Floridsdorf, Künstliche Intelligenz /© tippapatt / Stock.adobe.com, 10875324/© Adrian Dalca, Brain grafic /© fotomek / stock.adobe.com, Gerhirnmodell bunt/© JR Digital Art / Generated with AI / Stock.adobe.com, 10338490/© Anton Jäger / Med Uni Wien, Zielscheibe /© vegefox.com / stock.adobe.com, 10836465, 10836349/© feelimage/Matern, Zielgerichtete Therapie bei NSCLC/© SciePro / stock.adobe.com, 10300259/© wildbild, 10638797/© beim Autor , Mikroskopieren/© gorodenkoff / Getty Images / iStock, 10860442/© privat, Hilbe, Wolfgang/© cityfoto, 10866318/© demaerre / Getty Images / iStock, 8107081/© Foto Wilke, Kartenspiel/© gopixa / stock.adobe.com, 10843464/© MedUni Wien, Pädiatrische ALL/© FatCamera / Getty Images / iStock, OECD/© Johanna Mühlbauer / stock.adobe.com, 10795331/© Springer Medizin via Napkin-KI, 10854614/© Springer Medizin via Napkin-KI, 10640386/© Khunatorn / stock.adobe.com, 10143534/© Privat, 10696963, 10696964, Patient in Seitenlage/© PonyWang / Getty Images / iStock, Da Vinci/© PhonlamaiPhoto / Getty Images / iStock, 10705875/© Dr. C. Mikulits, Clemens Mikulits/© privat, Nierenmodell/© K.H. Fung / Science Photo Library, 10630070/© Privat, Puzzleteile/© SecondSide / Stock.adobe.com, 10619362, 10308853, 9228231/© MedUniWien/matern, Madrid/© Shansche / Getty Images / iStock, 10634952/© Anna Schroll/UKJ, Kolonkarzinom/© Juan Gärtner / stock.adobe.com, 10578484, 10585272, Mammographie /© pixelfit / Getty Images / iStock , Roboterchirurgie/© M. Burian, 10705498/© M. Burian, Roboterchirurgie /© M. Burian, Burian/© KH Barmherzige Schwestern, Linz, Strobl/© Werner Harrer , Infusion/© teetuey / Getty Images / Thinkstock, 10744429/© UK für Innere Medizin 4, KUK Linz, 10744427/© UK für Innere Medizin 4, KUK Linz, 10744426/© UK für Innere Medizin 4, KUK Linz, Magen/© peterschreiber.media / stock.adobe.com, Zielscheibe/© Kunakorn Rassadornyindee / Getty Images / iStock, 10714861/© C M. Kanizaj, LKH-Univ. Klinikum Graz, Basel/© Sean Pavone / Getty Images / iStock, Prof. Wöll/© fotostanger.com, 10713611/© Kurosch Borhanian Photography, Diagnostik /© okrasiuk / stock.adobe.com, YHOGAS/© OeGHO, Anemia/© vchalup / Fotolia, Bestrahlung/© Mark Kostich / Getty Images / iStock, Lungenmodell/© Mohammed Haneefa Nizamudeen / Getty Images / iStock, 10723490, 9129792, Tastbefund Brust/© Evgeniy Skripnichenko / Getty Images / iStock, 10724772, 10546622, Gespräch/© Chinnapong / Getty Images / iStock, Rakete schießt aus Laptop/© Kaleb / stock.adobe.com, Laborarbeit/© tonaquatic / Getty Images / iStock, 8955756/© Med Uni Graz, Zelle /© Wimon / stock.adobe.com, Willenbacher/© Kment, 10669289/© M. Burian, 10669241/© KH Barmherzige Schwestern, TKI-Ferien/© Pasko Maksim / Stock.adobe.com, Puzzleteile/© WunderBild / stock.adobe.com, 10676230/© Marie Stoiser, PSA-Test/© jarun011 / Getty Images / iStock , Newsletter Landing 07_23, Neuer Inhalt