Zum Inhalt

Management von CED-Patienten

Pathologie

  • Open Access
  • 01.09.2016
  • Schwerpunkt ÖGGH
Erschienen in:
download
DOWNLOAD
print
DRUCKEN
insite
SUCHEN
Die histopathologische Diagnose ist für das Management von Patienten mit chronisch-entzündlicher Darmerkrankung von zentraler Bedeutung. Verschiedene Bereiche sind zu berücksichtigen:
  • Initiale Diagnosestellung und Differenzialdiagnose,
  • Erkennung von Superinfektionen,
  • Bestimmung der entzündlichen Aktivität,
  • Diagnose von Dysplasie und Karzinom.
Für die erfolgreiche Arbeit des Pathologen sind ein geeignetes Gewebe und ausreichende klinische Informationen zu Anamnese (Beschwerdebild, Dauer der Beschwerden), Labor (Stuhlbefund) und weiteren wesentlichen Untersuchungen (z. B. Bildgebung) essenziell. Für die initiale Diagnosestellung sollten stets Stufenbiopsate aus allen Abschnitten des Dickdarms (einschließlich Rektum) und auch aus dem terminalen Ileum entnommen werden [1]. Eine zusätzliche Abklärung des oberen Gastrointestinaltrakts empfiehlt sich speziell bei Verdacht auf Morbus Crohn nicht nur im Kindes- und Adoleszenten-, sondern auch im Erwachsenenalter [2, 3].
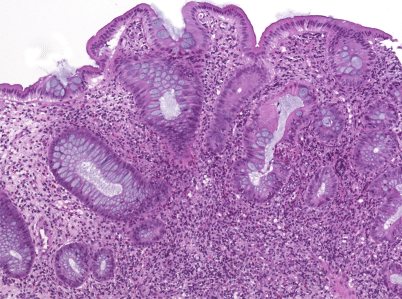
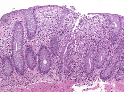
Die histopathologische Diagnose einer chronisch-entzündlichen Darmerkrankung stützt sich auf die Evaluierung von Schleimhautarchitektur und Zellgehalt im Schleimhautstroma [46]. Sowohl eine gestörte Kryptenarchitektur als auch metaplastische Veränderungen, wie z.B. die Panethzellmetaplasie im linken Kolon (bei Colitis ulcerosa) oder die Pylorusdrüsenmetaplasie im terminalen Ileum (bei Morbus Crohn), weisen auf chronische Prozesse hin. Der Zellgehalt im Stroma ist erhöht, kontinuierlich bzw. diffus bei (unbehandelter) Colitis ulcerosa (Abb. 1), diskontinuierlich bei Morbus Crohn (Abb. 2). Neutrophile Granulozyten, im Stroma wie im Epithel (Kryptitis, Kryptenabszesse), sind ein Anzeichen für eine entzündliche Aktivität, ebenso Erosionen und Ulzera.
Abb. 1
Colitis ulcerosa mit schwerer Kryptenarchitekturstörung und kontinuierlicher chronisch-aktiver Entzündung
Bild vergrößern
Abb. 2
Morbus Crohn mit fokaler Entzündung und fissuraler Erosion (ohne Kryptenarchitekturstörung)
Bild vergrößern
In der Differenzialdiagnose der chronisch-entzündlichen Darmerkrankungen sind zwei Aspekte zu berücksichtigen:
  • Unterscheidung zwischen Colitis ulcerosa und Morbus Crohn,
  • Unterscheidung zwischen den beiden chronisch-entzündlichen Darmerkrankungen und anderen Formen einer Kolitis.
In der Abgrenzung der beiden chronisch-entzündlichen Darmerkrankungen untereinander spielen neben der Histologie auch makroskopische Veränderungen sowie die Verteilung der Läsionen im Gastrointestinaltrakt eine Rolle [46]. Eine Übersicht der zu berücksichtigen Parameter zeigt Tab. 1. Ist eine Abgrenzung nicht möglich, soll die Diagnose „nicht klassifizierbare chronisch-entzündliche Darmerkrankung“ (engl. „IBD unclassified“, IBDU) verwendet werden [1].
Tab. 1
Differenzialdiagnose der chronisch-entzündlichen Darmerkrankungen
 
Morbus Crohn
Colitis ulcerosa
Kryptenarchitekturstörung
Fokal (diskontinuierlich)
Diffus (kontinuierlich)
Chronische Entzündungszellinfiltration
Fokal (diskontinuierlich), proximal > distal
Diffus (kontinuierlich), distal > proximal
Akute Entzündungszellinfiltration
Fokal (diskontinuierlich)
Diffus (kontinuierlich)
Vertikale Ausbreitung der Entzündung
Transmural
Transmukosal (z. T. bis in die Submukosa)
Lymphfollikel
Häufig, transmural
Häufig, entlang der Muscularis mucosae
Epitheloidzellgranulome
Typisch (aber nicht Bedingung für die Diagnose)
Nur bei Kryptenruptur (Fremdkörperreaktion auf Muzinextravasat)
Muzindepletion des Epithels
Selten, gering ausgeprägt
Häufig bei aktiver Entzündung (nicht in der Remissionsphase)
Panethzellmetaplasie im linken Kolon
Untypisch
Typisch
Pylorusdrüsenmetaplasie im terminalen Ileum
Typisch
Untypisch (vereinzelt in Resektaten, nicht in Biopsaten)
Die Abgrenzung gegenüber der akuten (selbstlimitierenden) infektiösen Kolitis gelingt in der Regel leicht, weil diese keine Zeichen einer Chronizität aufweist. Zu beachten ist, dass gerade diese Zeichen bei chronisch-entzündlichen Darmerkrankungen mit kurzem Verlauf noch nicht oder nur unvollständig entwickelt sind, was in der Bewertung des histopathologischen Befundes zu berücksichtigen ist [46].
Besondere differenzialdiagnostische Bedeutung kommt der segmentalen Kolitis bei Divertikulose/Divertikulitis zu (engl. „diverticular colitis“). Diese findet sich streng in einem Segment mit Divertikelerkrankung, also meist im Sigma, während die angrenzende Schleimhaut des Colon descendens und Rektum (endoskopisch und histologisch) unauffällig ist. Das histologische Bild der Mukosa im befallenen Segment entspricht Veränderungen bei einer chronisch-entzündlichen Darmerkrankung, zumeist Colitis ulcerosa. Dies darf nicht zu einer Fehleinschätzung führen [46].
Bei schwerer Entzündung unter Immunsuppression/Immunmodulation ist an die Möglichkeit einer CMV-Superinfektion zu denken. Die Diagnose kann in eindeutigen Fällen bereits am HE-gefärbten Schnitt gestellt werden, in aller Regel sind aber eine Immunhistochemie oder quantitative PCR erforderlich, um zu einer definitiven Diagnose zu kommen [7, 8].
Besondere Bedeutung besitzt die Pathologie auch in der Bestimmung der entzündlichen Aktivität. Wir wissen von neueren Studien, dass endoskopische Heilung nicht automatisch histologische Heilung bedeutet. Beide jedoch sind gleichermaßen entscheidend für die Einschätzung des weiteren Krankheitsverlaufs, insbesondere zur Beurteilung des Risikos für Relapse und/oder die Entstehung von Tumoren [9, 10].
Auch in der Surveillance-Endoskopie ist der Stellenwert der pathologischen Diagnostik klar beschrieben: Hier geht es einerseits um die Diagnose neoplastischer Veränderungen und deren Abgrenzung von reaktiven Veränderungen (Dysplasie vs. Regenerat), andererseits um die Unterscheidung zwischen kolitisabhängiger und kolitisunabhängiger Dysplasie (engl. „dysplasia associated lesion or mass“; bzw. DALM vs. sporadischem Adenom) [46]. In letzter Zeit gerieten bei Patienten mit chronisch-entzündlicher Darmerkrankung „serratierte Läsionen“ in den Fokus der Betrachtung, [1113]. Ihre Bedeutung kann noch nicht abschließend beurteilt werden.

Fazit für die Praxis

Bei den Patienten mit chronisch-entzündlicher Darmerkrankung steht die Pathologie an verschiedenen Stellen bzw. Zeitpunkten eng an der Seite der Klinik: zu Krankheitsbeginn, wenn es gilt, die Diagnose zu sichern und andere Formen der Kolitis abzugrenzen, aber auch im weiteren Verlauf zur Bestimmung der entzündlichen Aktivität, zur Erkennung von Superinfektionen und in der Dysplasie- und Tumordiagnostik.
Open access funding provided by Medical University of Graz.

Einhaltung ethischer Richtlinien

Interessenkonflikt

C. Langner gibt an, dass kein Interessenkonflikt besteht.
Dieser Beitrag beinhaltet keine vom Autor durchgeführten Studien an Menschen oder Tieren.
Open Access. Dieser Artikel wird unter der Creative Commons Namensnennung 4.0 International Lizenz (http://creativecommons.org/licenses/by/4.0/deed.de) veröffentlicht, welche die Nutzung, Vervielfältigung, Bearbeitung, Verbreitung und Wiedergabe in jeglichem Medium und Format erlaubt, sofern Sie den/die ursprünglichen Autor(en) und die Quelle ordnungsgemäß nennen, einen Link zur Creative Commons Lizenz beifügen und angeben, ob Änderungen vorgenommen wurden.
download
DOWNLOAD
print
DRUCKEN
Titel
Management von CED-Patienten
Pathologie
Verfasst von
Univ.-Doz. Dr. med. Cord Langner
Publikationsdatum
01.09.2016
Verlag
Springer Vienna
Erschienen in
Wiener klinisches Magazin / Ausgabe 4/2016
Print ISSN: 1869-1757
Elektronische ISSN: 1613-7817
DOI
https://doi.org/10.1007/s00740-016-0131-4
1.
Zurück zum Zitat Magro F, Langner C, Driessen A, Ensari A, Geboes K, Mantzaris GJ, Villanacci V, Becheanu G, Borralho Nunes P, Cathomas G, Fries W, Jouret-Mourin A, Mescoli C, de Petris G, Rubio CA, Shepherd NA, Vieth M, Eliakim R, European Society of Pathology (ESP), European Crohn’s and Colitis Organisation (ECCO) (2013) European consensus on the histopathology of inflammatory bowel disease. J Crohns Colitis 7:827–851CrossRefPubMed
2.
Zurück zum Zitat Oberhuber G, Püspök A, Oesterreicher C, Novacek G, Zauner C, Burghuber M, Vogelsang H, Pötzi R, Stolte M, Wrba F (1997) Focally enhanced gastritis: a frequent type of gastritis in patients with Crohn’s disease. Gastroenterology 112:698–706CrossRefPubMed
3.
Zurück zum Zitat Petrolla AA, Katz JA, Xin W (2008) The clinical significance of focal enhanced gastritis in adults with isolated ileitis of the terminal ileum. J Gastroenterol 43:524–530CrossRefPubMed
4.
Zurück zum Zitat Langner C (2012) Colorectal normal histology and histopathologic findings in patients with chronic diarrhea. Gastroenterol Clin North Am 41:561–580CrossRefPubMed
5.
Zurück zum Zitat Langner C, Magro F, Driessen A, Ensari A, Mantzaris GJ, Villanacci V, Becheanu G, Borralho Nunes P, Cathomas G, Fries W, Jouret-Mourin A, Mescoli C, de Petris G, Rubio CA, Shepherd NA, Vieth M, Eliakim R, Geboes K, European Society of Pathology, European Crohn’s and Colitis Foundation (2014) The histopathological approach to inflammatory bowel disease: a practice guide. Virchows Arch 464:511–527CrossRefPubMed
6.
Zurück zum Zitat Feakins RM (2013) Inflammatory bowel disease biopsies: updated British Society of Gastroenterology reporting guidelines. J Clin Pathol 66:1005–1026CrossRefPubMed
7.
Zurück zum Zitat Zidar N, Ferkolj I, Tepeš K, Štabuc B, Kojc N, Uršič T, Petrovec M (2015) Diagnosing cytomegalovirus in patients with inflammatory bowel disease – by immunohistochemistry or polymerase chain reaction? Virchows Arch 466:533–539CrossRefPubMed
8.
Zurück zum Zitat Zagórowicz E, Bugajski M, Wieszczy P, Pietrzak A, Magdziak A, Mróz A (2016) Cytomegalovirus infection in ulcerative colitis is related to severe inflammation and a high count of Cytomegalovirus-positive cells in biopsy is a risk factor for colectomy. J Crohns Colitis:jjw071. doi:10.1093/ecco-jcc/jjw071 PubMed
9.
Zurück zum Zitat Bryant RV, Winer S, Travis SP, Riddell RH (2014) Systematic review: histological remission in inflammatory bowel disease. Is ‘complete’ remission the new treatment paradigm? An IOIBD initiative. J Crohns Colitis 8:1582–1597CrossRefPubMed
10.
Zurück zum Zitat Mosli MH, Feagan BG, Zou G, Sandborn WJ, D’Haens G, Khanna R, Behling C, Kaplan K, Driman DK, Shackelton LM, Baker KA, MacDonald JK, Vandervoort MK, Samaan MA, Geboes K, Valasek MA, Pai R, Langner C, Riddell R, Harpaz N, Sewitch M, Peterson M, Stitt LW, Levesque BG (2015) Reproducibility of histological assessments of disease activity in UC. Gut 64:1765–1773CrossRefPubMed
11.
Zurück zum Zitat Setaffy L, Högenauer C, Lemmerer M, Langner C (2013) Large serrated polyp with KRAS mutation in inflammatory bowel disease: a “nondysplastic dysplasia-associated lesion or mass (DALM)”? Endoscopy 45(Suppl 2 UCTN):E235–E236PubMed
12.
Zurück zum Zitat Langner C (2015) Serrated and non-serrated precursor lesions of colorectal cancer. Dig Dis 33:28–37CrossRefPubMed
13.
Zurück zum Zitat Shen J, Gibson JA, Schulte S, Khurana H, Farraye FA, Levine J, Burakoff R, Cerda S, Qazi T, Hamilton M, Srivastava A, Odze RD (2015) Clinical, pathologic, and outcome study of hyperplastic and sessile serrated polyps in inflammatory bowel disease. Hum Pathol 46:1548–1556CrossRefPubMed