Zum Inhalt

Ossäre Raumforderung als Zufallsbefund im Röntgenbild – wann muss ich sie weiter abklären?

Erschienen in:

Zusammenfassung

Benigne Tumoren sowie tumorähnliche Läsionen des Knochens werden oft als Zufallsbefund am Röntgenbild erstdiagnostiziert. Schon das Röntgenbild kann erste wichtige Hinweise auf das Wachstumsmuster – und somit Aggressivitätspotenzial – der Läsion geben. Die gängigste Einteilung von suspekten Knochenläsionen anhand des Röntgenbilds ist die Klassifikation nach Lodwick. Zur weiteren Diagnostik kommt heute üblicherweise eine Schichtbildgebung (Magnetresonanztomographie, Computertomographie) zum Einsatz. Viele als Zufallsbefunde am Röntgenbild diagnostizierte ossäre Läsionen können anhand ihrer Lokalisation (z. B. epiphysär, diaphysär) und Matrix (z. B. Verkalkungen, „milchglasartig“) differenzialdiagnostisch eingegrenzt werden. Kortexarrosionen, Periostreaktionen, eine heterogene Matrix, perifokale Ödemzonen und extraossäre Anteile stellen generelle „red flags“ dar, die eine weitere Abklärung inkl. Vorstellung an einem Sarkomzentrum nach sich ziehen sollten.
QR-Code scannen & Beitrag online lesen

Hinweis des Verlags

Der Verlag bleibt in Hinblick auf geografische Zuordnungen und Gebietsbezeichnungen in veröffentlichten Karten und Institutsadressen neutral.

Hintergrund

Benigne Tumoren und tumorähnliche Läsionen, die im Knochen auftreten, werden häufig als Zufallsbefund am Röntgenbild diagnostiziert [1, 2]. So beträgt z. B. die Prävalenz von gutartigen chondrogenen Tumoren (d. h. Enchondrome, atypische chondrogene Tumoren [ACT]) auf MRT-Bildern des Kniegelenks knapp 1,5 %. [3] Im Bereich der Schulter ist die Prävalenz benigner chondrogener Tumoren mit ca. 0,4 % etwas geringer [4].
Neben Enchondromen sind die häufigsten Vertreter benigner Knochentumoren Osteochondrome, Osteome und aneurysmatische Knochenzysten (AKZ; engl. „aneurysmal bone cyst“, ABC). Osteoidosteome sind ebenso häufige benigne Knochentumoren, die eine typische Bildgebung aufweisen, aber im Gegensatz zu den meisten anderen gutartigen Knochentumoren durch starke (insbesondere nächtliche) Schmerzen erstmals symptomatisch werden. Riesenzelltumoren des Knochens (engl. „giant cell tumor of bone“, GCT) zählen zu den lokal aggressiven Knochentumoren intermediärer Dignität, da sie zum einen expansiv bzw. destruktiv wachsen können, zum anderen in seltenen Fällen Metastasen – am häufigsten in die Lungen – verursachen können [5]. Die Klassifikation auch deren Verhaltens (benigne – intermediär – maligne) unterliegt allerdings einem steten Wandel. Zuletzt wurden z. B. die an den Extremitäten vormals als Chondrosarkome (G1) bezeichneten kartilaginären Tumoren zu einer intermediären Entität, dem „atypischen kartilaginären Tumor“, reklassifiziert.

Radiologisches Erscheinungsbild

Die initiale Bildgebung, auf der ein benigner Knochentumor entdeckt wird, ist zumeist das Röntgenbild. Anhand des konventionellen Röntgenbilds lassen sich bereits wichtige Informationen zum Verhalten sowie der möglichen Entität gewinnen. Heutzutage wird aufgrund der technischen Fortschritte zuallermeist zur erweiterten Diagnostik eine MRT- und/oder CT-Bildgebung ergänzt. Jedoch ist die Kombination aus konventionellem Röntgenbild und Schichtbildgebung oft essenziell, um mögliche Differenzialdiagnosen einzugrenzen.
Die Lodwick-Klassifikation beurteilt Knochentumoren anhand des Röntgenbilds
Die Lodwick-Klassifikation beurteilt Knochentumoren anhand des Röntgenbilds [6, 7]. Sie unterteilt lytische Knochenläsionen anhand ihres Wachstums im Randbereich in geographisch (Typ 1), mottenfraßartig (Typ 2) und permeativ (Typ 3). Typ-1-Läsionen werden darüber hinaus in 3 Untergruppen (A: gut definierter, sklerotischer Randsaum; B: gut umschriebener, nichtsklerotischer Randsaum; C: undefinierter Randsaum) eingeteilt.
Die modifizierte Form der Lodwick-Klassifikation wurde 2016 veröffentlicht [8]. Diese unterscheidet ebenso 3 Hauptgruppen (Grad I, II und III). Grad I wird unterteilt in Grad IA (Typ 1A) und Grad IB (Typ 1B) der ursprünglichen Lodwick-Klassifikation. Grad II der modifizierten Lodwick-Klassifikation beschreibt eine Typ-1C-Läsion. Grad IIIA der modifizierten Lodwick-Klassifikation definiert eine neue Subgruppe, die sich durch eine Änderung des Randsaums – auf einem singulären Bild (Übergang von definierten in undefinierten Randsaum) oder über die Zeit hinweg (zuerst gut randsklerosiert, später schlecht randsklerosiert) – auszeichnet. Grad-IIIB-Läsionen bezeichnen ein mottenfraßartiges bzw. permeatives Erscheinungsbild (analog zu Typ 2 und Typ 3 der originalen Lodwick-Klassifikation). Neu hinzugekommen sind darüber hinaus Grad-IIIC-Läsionen, die am Röntgenbild kaum darstellbar sind, dafür aber in der Magnetresonanztonographie (MRT) deutlich zur Darstellung kommen (Tab. 1).
Tab. 1
Lodwick-Klassifikation. Gegenüberstellung der originalen und modifizierten Lodwick-Klassifikation. (Mod. nach Lodwick GS et al., Radiology 1980 [7] und Caracciolo JT et al., AJR Am J Roentgenol 2016 [8])
Originale Lodwick-Klassifikation
Modifizierte Lodwick-Klassifikation
Typ
Beschreibung
Grad
Beschreibung
1A
Geographisch – gut definierter, sklerotischer Randsaum
IA
Geographisch – gut definierter sklerotischer Randsaum
1B
Geographisch – gut umschriebener, nichtsklerotischer Randsaum
IB
Geographisch – gut umschriebener, nichtsklerotischer Randsaum
1C
Geographisch – undefinierter Randsaum
II
Geographisch – (partiell) undefinierter Randsaum
IIIA
Änderung des Randsaums (lokal, über die Zeit)
2
Mottenfraßartig
IIIB
Mottenfraßartig bzw. permeativ
3
Permeativ
IIIC
Nativradiologisch okkult
Bei Lodwick Grad-III-Läsionen ist von einem malignen bzw. aggressiven Prozess auszugehen
Knochentumoren, die als Zufallsbefund am Röntgenbild diagnostiziert wurden und gemäß der modifizierten Lodwick-Klassifikation als Grad I eingestuft werden, sind zuallermeist benigne [8]. Diese können nach Abklärung mittels MRT, sofern dieses keine andere Diagnose ergibt, klinisch bzw. bildgebend verlaufskontrolliert werden. Auf der anderen Seite ist bei Grad-III-Läsionen in der Regel von einem malignen bzw. aggressiven Prozess auszugehen, der dringend bioptisch abgeklärt werden muss [8]. Grad-II-Läsionen nach der modifizierten Lodwick-Klassifikation sind ebenso großzügig weiter abzuklären, d. h. mittels Schichtbildgebung und in der Regel weiterführender Biopsie [8].
Zusammengefasst zählen zu den „red flags“ aller unklarer Knochenläsionen Kortexarrosionen, Periostreaktionen, eine heterogene Matrix und – insbesondere in der MRT gut beurteilbar – perifokale Ödemzonen sowie extraossäre Anteile. Letztere können auch indirekt als auffälliger Weichteilschatten am Röntgenbild aufscheinen. Je nach Tumortyp gibt es weitere, spezifische Erscheinungsbilder, die auf ein aggressives Verhalten hindeuten. Diese sind in Tab. 2 angeführt. Generell sollten PatientInnen mit Verdacht auf einen primären Knochentumor, dessen Radiologie nicht eindeutig ist bzw. der zur Diagnosesicherung eine histologische Sicherung benötigt, zeitnahe an ein Tumorzentrum verwiesen werden.
Tab. 2
Tumorähnliche Läsionen bzw. benigne Knochentumoren. Anatomische Prädilektionsstellung, typisches radiologisches Erscheinungsbild, Warnzeichen („red flags“) und mögliche Differenzialdiagnosen
Tumorentität
Lokalisation
Bildgebung
„red flags“
Differenzialdiagnosen
Eosinophiles Granulom
L: diaphysär
P: stammnah (Gehirn‑/Gesichtsschädel, Wirbelsäule, Rippen), lange Röhrenknochen
: osteolytisch, keine Randsklerosierung, Vertebra plana
MRT: schlecht begrenzt, perifokales Ödem, KM-Aufnahme
– (Biopsie aufgrund des unklaren Erscheinungsbilds indiziert)
Plasmozytom, multiples Myelom, Ewing-Sarkom
Fibröse Dysplasie
L: metaphysär, diaphysär
P: Gesichtsschädel, Rippen, Femur, Tibia, Humerus
75 % monoostotisch, 25 % polyostotisch
: osteolytisch, „Milchglas“-Phänomen, randsklerosiert, Verformung des Knochens, keine Periostreaktion
MRT: heterogenes Signal (T2)
Plötzlich zunehmende Schmerzen, Größenzunahme, Periostreaktion, Änderung der Mineralisierung
Nichtossifizierendes Fibrom, osteofibröse Dysplasie
Nichtossifizierendes Fibrom (NOF); fibröser Kortikalisdefekt
L: metaphysär, metadiaphysär
P: distales Femur, proximale Tibia
: randständig, „Negativabdruck“, randsklerosiert
MRT: „Seifenblasen“-Erscheinung
Periostreaktion, expansiver Weichteilanteil, perifokales Ödem
Jaffe-Campanacci-Syndrom (multiple nichtossifizierende Fibrome)
Simple Knochenzyste
L: metaphysär
P: Humerus
Rö: osteolytisch, randsklerosiert, unilobuliert
CT: unilobuliert, ggf. schmale Binnensepten
MRT: liquides Signal, keine Spiegelbildungen
Periostreaktion, Kortexarrosion, extraossärer Anteil, solide Anteile
Intraossäres Ganglion, fibröse Dysplasie, aneurysmatische Knochenzyste
Kalkaneuslipom
L: Kalkaneus
P: zentral
: randsklerosiert, radioluzent
MRT: hyperintens (T1)
Schmerzen, die keine anderwärtige Ursache haben
Simple Knochenzyste, intraossäres Ganglion
Aneurysmatische Knochenzyste (AKZ; engl. „aneurysmal bone cyst“, ABC)
L: metaphysär, exzentrisch
P: lange Röhrenknochen, Wirbelsäule, Becken
: osteolytisch, randsklerosiert, multilobuliert
MRT: liquides Signal, mit Spiegelbildgungen
Solide (KM-aufnehmende) Areale, Periostreaktion, Kortexdurchbruch, extraossäre Anteile
Simple Knochenzyste, sekundäre aneurysmatische Knochenzyste (Riesenzelltumor des Knochens, teleangiektatisches Osteosarkom)
Osteochondrom
L: metaphysär
P: distales Femur, proximale Tibia, proximaler Humerus, lange Röhrenknochen
: ossär, gestielt (flach, breitbasig), von Gelenken weg wachsend
MRT: schmale Knorpelkappe
Dicke Knorpelkappe (> 1 cm), Wachstum in Richtung Gelenk
Chronische Sehnentraktion, sekundäres Chondrosarkom
Enchondrom/atypischer chondrogener Tumor (ACT)
L: metaphysär, diaphysär; intramedullär/randständig
P: distales Femur, proximale Tibia, proximaler Humerus, kurze Röhrenknochen (Hand)
: kalzifiziert, homogen
MRT: kartilaginäre Matrix, umschrieben, kein umgebendes Knochenmarködem
Tiefes und/oder langstreckiges Scalloping, heterogene Matrix (unterschiedlicher Verkalkungsgrad), Kortexarrosion, extraossärer Anteil
Knocheninfarkt
Osteoidosteom
L: metaphysär, diaphysär
P: lange Röhrenknochen, Femur, Tibia, Wirbelsäule
: randsklerosiert, reaktive Kortexverdickung, zentraler Nidus (lytisch)
MRT: perifokales Ödem (Reizung)
CT: zentraler Nidus
Osteoblastom (> 2 cm), Osteomyelitis (Brodie-Abszess)
Chondroblastom
L: epiphysär
P: proximale Tibia, proximales Femur, proximaler Humerus
: osteolytisch, klar definierter Rand, randsklerosiert, Kalzifikationen (teilweise)
MRT: periläsionales Ödem, zentrale KM-Aufnahme
Osteomyelitis, Riesenzelltumor des Knochens, chondromyxoides Fibrom
Riesenzelltumor des Knochens (engl. „giant cell tumor of bone“, GCT)
L: epiphysär
P: lange Röhrenknochen, distales Femur, distaler Radius
: expansiv, osteolytisch, kaum randsklerosiert
MRT: solide, extraossärer Anteil (allenfalls durch dünne Knochenlamelle abgegrenzt → CT-Bildgebung zur weiteren Beurteilung)
Starke Schmerzen, schnelles Wachstum
Chondroblastom
L Lokalisation im Knochen, P Prädilektionsstelle (Knochen), KM Kontrastmittel, Röntgendiagnostik, CT Computertomographie, MRT Magnetresonanztomographie
Anhand der nachfolgenden Fallbeispiele werden die typischen radiologischen Erscheinungsbilder von ossären Raumforderungen anhand von Röntgenbildern genauer erörtert.

Fallbeispiele

Fall 1

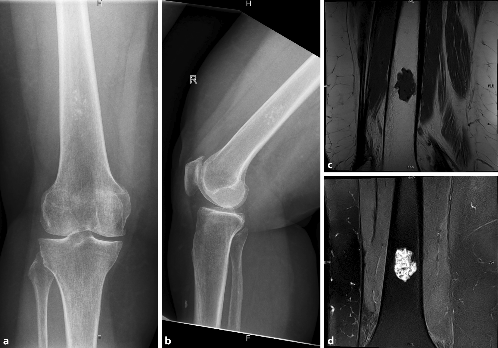
Bei einer 69-Jahre alten Patientin wurde aufgrund von Schmerzen am rechten Kniegelenk eine Röntgenuntersuchung durchgeführt. Es waren typische Zeichen einer Gonarthrose mit subchondraler Sklerosierung, Gelenkspaltverschmälerung, und osteophytäre Randanbauten nachweisbar (Abb. 1a, b). Darüber hinaus zeigte sich in der distalen Femurdiaphyse eine zentral gelegene, nichtrandsklerosierte Läsion mit diskreter, „popcornartiger“ Verkalkung ohne eindeutigem Hinweis auf Knochendestruktion, Periostreaktion, Kortexarrosion oder extraossären Anteilen (Abb. 1a, b).
Abb. 1
Röntgenbild des rechten Kniegelenks a. p. (a) und seitlich (b) einer 69-jährigen Patientin, das einen zentral liegenden, popcornartig verkalkten chondrogenen Tumor zeigt. In Zusammenschau mit der MRT (c sagittal, T1 TSE; d koronar, Proton Density [PD] Turbo Spin Echo [TSE] Fett Sat [FS]), die eine zentral im Markraum lokalisierte, gut demarkierte Läsion ohne Scalloping oder umgebendes Knochenmarksödem zeigt, handelt es sich um ein Enchondrom
Bild vergrößern
Bei bildgebendem Verdacht auf das Vorliegen eines chondrogenen Tumors wurde weiterführend eine MRT durchgeführt. In dieser zeigte sich, analog zur Röntgenbildgebung, in der distalen Femurdiaphyse rechts eine in T1 hypointense (Abb. 1c) und in der protonengewichteten, fettunterdrückten Sequenz hyperintense Raumforderung (Abb. 1d) mit zentralen Verkalkungsarealen und einer Größe von 3 cm (kraniokaudal, c.c.) × 2 cm (mediolateral, m.l.) × 2 cm (anteroposterior, a. p.). Es lag kein umgebendes Knochenmarködem und kein endostales Scalloping vor (Abb. 1c, d).
In Zusammenschau von Röntgenbild und MRT wurde die Verdachtsdiagnose eines Enchondroms gestellt
In Zusammenschau von Röntgenbild und MRT wurde die Verdachtsdiagnose eines Enchondroms gestellt. Die Schmerzen wurden auf die Gonarthrose zurückgeführt. Da es bildgebend keinen sicheren Hinweis auf aggressives Verhalten gab (siehe unten), wurde keine ergänzende Kontrastmittel-MRT durchgeführt. Es wurde eine bildgebende Verlaufskontrolle in einem Jahr, erneut mit MRT, empfohlen. Im Fall der Implantation einer Knietotalendoprothese empfehlen wir die Verwendung von patientenspezifischen Schnittblöcken, die keine intramedulläre Ausrichtung benötigen und so einen Kontakt mit dem chondrogenen Tumor vermeiden.

Fall 2

Eine 59-jährige Patientin klagte seit geraumer Zeit über Schmerzen an der rechten Schulter ventral, die insbesondere bei Adduktion des rechten Arms sowie bei direktem Druck auf das Akromioklavikulargelenk schlechter wurden. Das Röntgenbild zeigte eine Akromioklavikulargelenksarthrose, die die klinische Beschwerdesymptomatik prinzipiell erklären kann. Auffallend war darüber hinaus eine große, partiell randsklerosierte, homogen verkalkte Raumforderung, die von der Humerusmetaphyse bis in den proximalen Humerusschaft reichte (Abb. 2a, b).
Abb. 2
Bildgebung der rechten Schulter einer 59-jährigen Patientin. Im Röntgenbild ist eine zart randsklerosierte, popcornartig verkalkte Veränderung im proximalen rechten Humerus sichtbar (ab). In der korrespondierenden CT ist ein zartes endostales Scalloping nachweisbar (cd). Die MRT (e koronar, TSE; f axial, PD TSE SPAIR [Spectral Attenuated Inversion Recovery]) zeigt eine 7 cm × 3,6 cm × 3,1 cm große, chondrogene Raumforderung mit kurzstreckigem tiefem Scalloping ohne Knochenmarködem. Aufgrund des Scalloping und der Größe besteht der Verdacht auf einen atypischen chondrogenen Tumor (ACT), der in der Histologie bestätigt wurde
Bild vergrößern
Die histologische Diagnose bestätigte den bildgebenden Verdacht eines ACT
Da nativradiologisch der Verdacht auf einen chondrogenen Tumor bestand, wurde die weitere Bildgebung durch Computertomographie (CT) und MRT ergänzt. Im CT war eine 7 cm (c.c.) × 3,6 cm (m.l.) × 3,1 cm (a. p.) messende, verkalkte Läsion nachweisbar, die ein kurzstreckiges, tiefes endostales Scalloping aufwies ohne Periostreaktion oder Kortexdurchbruch (Abb. 2c, d). In der korrespondierenden MRT präsentierte sich die Läsion als hypointens in T1 (Abb. 2e) sowie hyperintens in der PD-gewichteten Sequenz (Abb. 2f). Es bestand keine perifokale Ödembildung, keine Periostreaktion, die Weichteile waren reizfrei. Nebenbefundlich zeigte sich die aktivierte Akromioklavikulargelenksarthrose (Abb. 2e, f).
Die radiologischen Merkmale waren hinweisend auf einen ACT (siehe unten), weshalb eine Curettage und Auffüllung mit Knochenzement empfohlen wurde. Die histologische Diagnose bestätigte den bildgebenden Verdacht eines ACT. Alternativ wäre bei vorliegender Bildgebung auch eine engmaschige klinisch-radiologische Verlaufskontrolle in 3–6 Monaten möglich gewesen.

Fachlicher Hintergrund – Enchondrom/atypischer chondrogener Tumor (ACT)

Enchondrome und atypische chondrogene Tumoren (ACT) stellen benigne bzw. intermediäre Tumoren des Knochens dar. Die Prävalenz von Enchondromen um das Knie- bzw. Schultergelenk beträgt 1,4 und 0,39 %. Die Prävalenz von ACT an Knie- und Schultergelenken ist demgegenüber wesentlich niedriger (0,05 % bzw. 0,04 %; [3, 4]). Enchondrome und ACT werden üblicherweise als Zufallsbefund diagnostiziert, da sie keine Schmerzen verursachen. Sie können in nahezu jedem Knochen auftreten, wobei die langen und kurzen Röhrenknochen Prädilektionsstellen darstellen.
Nativradiologisch sind Enchondrome üblicherweise klein (< 5 cm), führen selten zu kortikalen Umbaureaktionen, betreffen die Metaphyse, haben kein oder maximal ein oberflächliches Scalloping (< ein Drittel der Kortexbreite) und zeigen einen homogenen Verkalkungsgrad (Abb. 1; [9, 10]).
Demgegenüber sind ACT größer (meist > 5 cm), können zu kortikalen Umbaureaktionen führen, sind auch körperstammnahe anzutreffen und weisen ein kurzstreckiges, tiefes endostales Scalloping (> ein Drittel der Kortexbreite) auf (Abb. 2). Sowohl Enchondrome als auch ACT nehmen langsam und gering KM auf. Während bei Enchondromen kein perifokales Ödem vorliegt, kann dies bei ACT auf ein aktives Wachstum hinweisen.
Warnhinweise stellen ein tiefes (> zwei Drittel der Kortexdicke) bzw. langstreckiges (> zwei Drittel der gesamten Tumorgröße) endostales Scalloping, eine schnelle und starke KM-Aufnahme, Periostreaktionen, Kortexdurchbruch und extraossäre Anteile dar (Tab. 2).
Alle diese Zeichen weisen auf ein höhergradiges Chondrosarkom (zumindest G2) hin [1113]. Eine Biopsie wird bei Verdacht auf einen höhergradigen Knorpeltumor zwar prinzipiell empfohlen. Sind allerdings eindeutige Zeichen einer malignen Entartung vorhanden (z. B. extraossärer Anteil), tendieren immer mehr Tumorzentren zu einer direkten weiten Resektion [12].

Fall 3

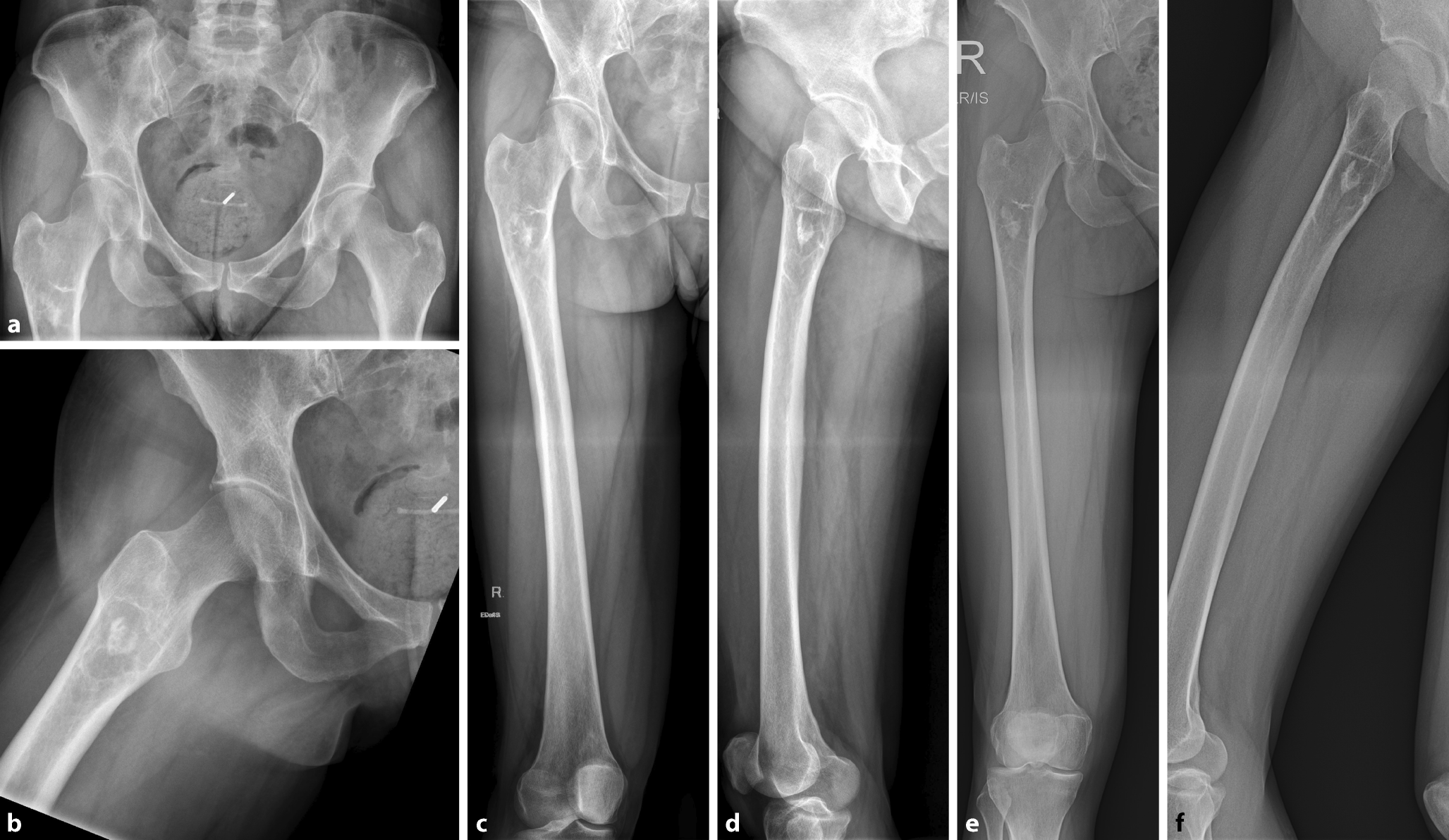
Bei einer 50-jährigen Patientin wurden bei länger andauernden ziehenden Schmerzen in der unteren Lendenwirbelsäule, ausstrahlend in den rechten proximalen Oberschenkel, Röntgenbilder des Beckens und der rechten Hüfte angefertigt (Abb. 3a, b). An der mitabgebildeten unteren Lendenwirbelsäule zeigten sich inzipiente degenerative Veränderungen. Auffallend war am proximalen Femur rechts eine zentral verkalkte, gut randsklerosierte, „milchglasartig“ imponierende Läsion ohne Periostreaktion oder Kortikalisdestruktion.
Abb. 3
Röntgenbilder einer 50-jährigen Patientin über einen Zeitraum von 4 Jahren. In der Initialbildgebung (a Beckenübersicht; b Hüfte rechts axial) zeigt sich eine zentral verkalkte, randsklerosierte Läsion mit „milchglasartiger“ Matrix ohne umgebende Periostreaktion oder Kortikalisdestruktion. Das nativradiologische Erscheinungsbild ist typisch für eine fibröse Dysplasie. In der Röntgenkontrolle nach einem (cd) und 4 Jahren (ef) kommt die Läsion unverändert zur Darstellung
Bild vergrößern
Aufgrund des typischen radiologischen Erscheinungsbilds (siehe unten) wurde die Verdachtsdiagnose einer monoostotischen fibrösen Dysplasie (FD) gestellt. Es wurde eine bildgebende Verlaufskontrolle in jährlichen Abständen empfohlen, bei Auftreten von Beschwerden früher. Die ziehenden Schmerzen in den rechten Oberschenkel wurden auf degenerative Veränderungen der unteren Lendenwirbelsäule zurückgeführt. Diese besserten sich im Verlauf unter konservativer Therapie (Rückentraining, Schmerztherapie). Ein Jahr (Abb. 3c, d) bzw. 4 Jahre später (Abb. 3e, f) war die Patientin bezüglich des rechten Oberschenkels beschwerdefrei. Die Läsion im proximalen Femur rechts zeigte sich unverändert.

Fachlicher Hintergrund – fibröse Dysplasie

Die FD tritt in 75 % der Fälle als monoostotische Form auf und wird üblicherweise bei PatientInnen zwischen 10 und 30 Jahren diagnostiziert [14]. Die Prädilektionsstellen sind Gesichtsschädel, Rippen, Femur, Tibia und Humerus (Tab. 2; [14]). Die häufigsten Symptome sind Schmerzen, insbesondere bei Befall der unteren Extremitäten.
Die deutlich seltenere polyostotische Form (25 %) kann mit dem McCune-Albright-Syndrom assoziiert sein, einer seltenen genetischen Erkrankung mit endokrinen Störungen (z. B. Pubertas präcox, Hyperthyreoidismus, Diabetes, Hyperkalzämie), Café-au-lait-Flecken und FD [15]. Noch seltener besteht eine Assoziation mit einer weiteren genetischen Erkrankung, dem Mazabraud-Syndrom. Dieses ist charakterisiert durch intramuskuläre Myxome und FD [16].
Nativradiologisch zeigt sich eine osteolytische Läsion mit milchglasartigem Erscheinungsbild als Folge der fehlenden Knochentrabekel. Es zeigt sich eine verstärkte Sklerosierung des Kortex bei gleichzeitig gelegentlich bestehendem endostalem Scalloping. Am proximalen Femur kann die FD zu einer pathognomischen „Hirtenstabdeformität“ des Knochens (ausgeprägte Coxa vara) führen. Eine maligne Entartung in Osteosarkome, Fibrosarkome oder Chondrosarkome ist selten und wurde häufiger bei FD im Bereich des Gehirn- und Gesichtsschädels, des Femurs und der Tibia beschrieben [14].
Aus diesem Grund sollte eine regelmäßige klinische wie auch radiologische Kontrolle der FD durchgeführt werden. Rasch zunehmende Schmerzen (ohne Trauma) und Änderung der Morphologie, insbesondere des Verkalkungsmusters, können auf eine maligne Entartung hindeuten, weshalb in diesen Fällen das Röntgenbild um eine Schichtbildgebung ergänzt und eine Biopsie durchgeführt werden sollte [14].

Fall 4

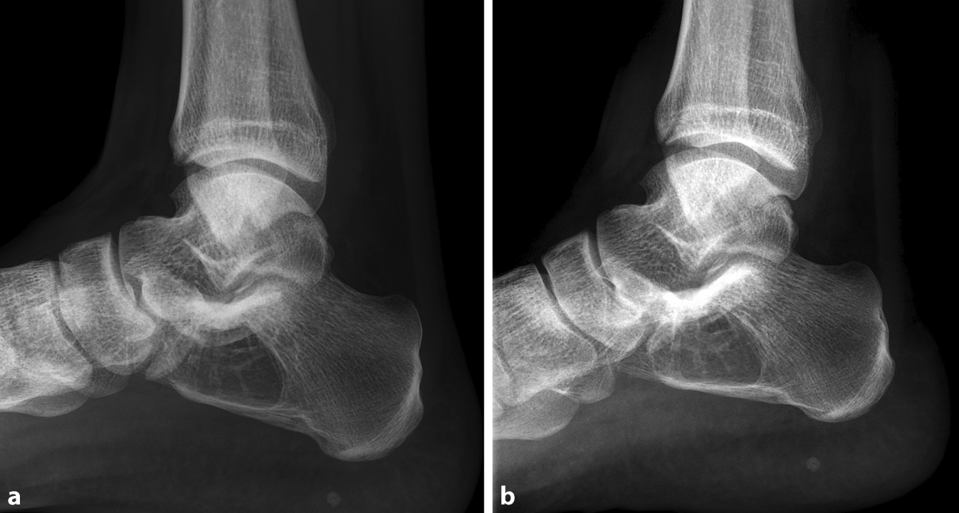
Ein 36-jähriger Patient klagte über seit längerer Zeit bestehende, stechende Schmerzen am rechten Sprunggelenk bzw. Fuß ohne vorangegangenes Trauma. Die klinische Untersuchung erbrachte bis auf Senk‑/Spreizfüße beidseits und einen leichten Druckschmerz über der Ferse plantar keine weiteren Auffälligkeiten. Im Röntgenbild des rechten Sprunggelenks war eine gut randsklerosierte, ventral im Kalkaneus gelegene, radioluzente Läsion nachweisbar.
Die typische Lage und das radiologische Erscheinungsbild führte zur Verdachtsdiagnose eines intraossären Kalkaneuslipoms (siehe unten; Abb. 4a). Die Beschwerden wurden auf die Fußfehlstellung selbst zurückgeführt. Daher wurde keine bildgebende Verlaufskontrolle oder weitere Therapie für das Kalkaneuslipom empfohlen. Aufgrund der Beschwerden am Fuß selbst wurde nach 7 Monaten erneut eine Röntgendiagnostik durchgeführt, in der sich das Kalkaneuslipom völlig unverändert zeigte (Abb. 4b).
Abb. 4
Röntgenbild der rechten Ferse (seitlich) eines 36-jährigen Patienten mit unspezifischen Schmerzen am rechten Fuß. Ventral im Kalkaneus ist das radioluzent imponierende, deutlich randsklerosierte Kalkaneuslipom nachweisbar (a), das im mittelfristigen Verlauf (7 Monate) völlig unverändert erscheint (b)
Bild vergrößern

Fachlicher Hintergrund – Kalkaneuslipom

Das Kalkaneuslipom stellt einen klassischen Zufallsbefund eines benignen Knochentumors im Röntgenbild dar, der bei Abklärung von Fußbeschwerden anderer Ursache oder in Folge eines Unfalls entdeckt wird. Das Kalkaneuslipom präsentiert sich im Röntgenbild als deutlich randsklerosierte, radioluzente Läsion (Abb. 4; [17]). In der MRT weist sie – da aus Fettgewebe bestehend – eine hyperintense Signalbildgebung in der T1-Wichtung auf, umgeben von einem hypointensen Randsaum (d. h. die Sklerosezone; [18]).
Generell stellen Kalkaneuslipome „Leave-me-alone“-Läsionen dar, die, sofern sie keine Beschwerden verursachen, bildgebend verlaufskontrolliert werden können. Sollten Beschwerden vorhanden sein, sind zuerst andere Ursachen (z. B. Fasciitis plantaris, Bandinstabilität, Arthrose des oberen/unteren Sprunggelenks, Metatarsalgie) auszuschließen.

Weitere Entitäten

Im Nachfolgenden werden weitere verschiedene Entitäten benigner Knochentumoren beschrieben, die im Röntgenbild auffallen können, inkl. Lokalisation, Erscheinungsbild und Warnzeichen, die unbedingt eine weiterführende Abklärung nach sich ziehen sollten.

Nichtossifizierendes Fibrom (NOF) und fibröser Kortikalisdefekt

Sowohl das nichtossifizierende Fibrom (NOF) als auch der fibröse Kortikalisdefekt treten in den Metaphysen langer Röhrenknochen auf. Sie stellen häufige Zufallsbefunde im Röntgenbild von Kindern, Jugendlichen und jungen Erwachsenen dar. Während die Ausdehnung des fibrösen Kortikalisdefekts zumeist begrenzt ist, können NOF größere Ausmaße annehmen und zu Kortexveränderungen führen. Fibröse Kortikalisdefekte zeigen häufig eine spontane Regredienz über die Zeit, weshalb sie im (jungen) Erwachsenenalter im Röntgenbild oftmals nur noch schemenhaft zur Darstellung kommen. Die NOF können symptomatisch sein, insbesondere wenn eine Stressfraktur eingetreten ist.
NOF können insbesondere nach eingetretener Stressfraktur symptomatisch sein
Im Röntgenbild stellen sich fibröse Kortikalisdefekte als kleine, randständige Läsionen mit angedeuteter Kortexausdünnung dar. Die NOF hingegen sind deutlich größer und führen zur Kortexausdünnung. Beide Läsionen sind gut randsklerosiert. Assoziierte Stressfrakturen können zu unregelmäßiger Knochenbildung führen. In der MRT lässt sich manchmal ein „Seifenblasenmuster“ nachweisen (Tab. 2). Eine Biopsie sollte bei Vorliegen von Periostreaktion, perifokaler Ödembildung und Expansion in die Weichteile durchgeführt werden.

Simple Knochenzyste

Simple Knochenzysten (SKZ) sind relativ häufige Knochenläsionen der langen Röhrenknochen mit einer Prädilektionsstelle für den proximalen Humerus, gefolgt vom proximalen Femur [19]. Im Röntgenbild zeigt sich eine metaphysär bis juxtaepiphysär gelegene, radiotransparente, leicht exzentrisch wachsende und von einer dünnen Randsklerose umgebene Läsion [19]. Nach eingetretener pathologischer Fraktur ist das pathognomonische „Fallen-fragment“- oder „Fallen-leaf“-Zeichen nachweisbar [20].
In der CT zeigt die SKZ eine unilobulierte (einkammerige) Konfiguration mit optional zarten Binnensepten. Die SKZ weist MR-tomographisch ein liquides Signal auf. Es sind keine Spiegelbildungen nachweisbar (abgesehen von einer einblutungsbedingter Spiegelbildung nach rezenter pathologischer Fraktur). Dies erlaubt eine Unterscheidung zur AKZ (Tab. 2). Solide Anteile, extraossäre Tumorkomponenten und eine Periostreaktion bzw. Kortexarrosion sollten weiterführend bioptisch abgeklärt werden.

Eosinophiles Granulom

Das eosinophile Granulom stellt eine benigne Läsion des Knochens dar, die aus Langerhans-Zellen besteht. Prädilektionsstellen sind stammnahe Knochen (Schädel, Wirbelsäule, Rippen, Klavikula) sowie die Diaphysen langer Röhrenknochen (Tab. 2; [21]).
Das eosinophile Granulom ist eine benigne Läsion des Knochens und besteht aus Langerhans-Zellen
Nativradiologisch stellen sich eosinophile Granulome als osteolytische, unscharf begrenzte Läsionen ohne umgebende Sklerosezone dar. An der Wirbelsäule kann es durch einen Kollaps der Trabekel zur Ausbildung eines Flachwirbels („Vertebra plana“) kommen. Die Läsion erscheint MR-tomographisch schlecht begrenzt, ist von einem Knochenmarködem umgeben und nimmt häufig Kontrastmittel auf. Differenzialdiagnostisch kommen andere osteolytische Läsionen, wie Ewing-Sarkome, Plasmozytome/multiple Myelome und Lymphome, infrage, weshalb eine Biopsie zur Diagnosesicherung indiziert ist [22]. Bei histologischer Bestätigung eines eosinophilen Granuloms ist darüber hinaus eine Ganzkörperbildgebung, z. B. mittels Skelettszintigraphie, indiziert, um ein multifokales Geschehen auszuschließen (in ca. 10 % der Fälle; [23]).

Aneurysmatische Knochenzyste

Die aneurysmatische Knochenzyste (AKZ) ist eine benigne, expansiv wachsende, osteolytische und blutgefüllte Läsion [19]. Sie kann entweder primär auftreten oder sekundär infolge anderer Knochenläsionen (z. B. Riesenzelltumor des Knochens, Chondroblastom, teleangiektatisches Osteosarkom) entstehen. Die AKZ tritt vorzugsweise metaphysär an nahezu allen langen Röhrenknochen auf, aber auch im Becken und der Wirbelsäule (Tab. 2).
Letzte Lokalisation stellt nicht nur eine diagnostische, sondern auch therapeutische Herausforderung dar, da das expansive Wachstum der AKZ nicht nur zu Schmerzen, sondern an der Wirbelsäule mitunter zu einer neurologischen Ausfallsymptomatik führen kann. Generell verursachen AKZ Schmerzen, aber auch eine neu aufgetretene Schwellung oder pathologische Fraktur können die ersten Symptome sein [24].
Mittels MRT lassen sich die pathognomonischen Spiegelbilder innerhalb der vielen Zysten nachweisen. Gleichzeitig können solide Anteile, die auf einen höhergradigen Malignitätsgrad hinweisen, ausgeschlossen werden. Die CT dient in der Diagnostik von AKZ insbesondere dazu, die genaue Ausdehnung (z. B. in der Wirbelsäule) und das Frakturrisiko einzuschätzen. Generell stellen Kortexdurchbruch, extraossäre Tumorkomponenten, Periostreaktionen und solide Tumoranteile Warnzeichen dar, die an eine sekundäre AKZ denken lassen sollten. In diesen Fällen ist eine Biopsie jedenfalls angezeigt, die neben dem histomorphologischen Erscheinungsbild den immunhistochemischen bzw. molekulargenetischen Nachweis einer USP6-Fusion ermöglicht.

Osteochondrom

Das Osteochondrom ist der häufigste benigne Knochentumor. Sie treten insbesondere während des Wachstums auf. Osteochondrome entstehen an den Metaphysen langer Röhrenknochen, vorzugsweise dem distalen Femur, der proximalen Tibia und dem proximalen Humerus. Sie bestehen aus einer knöchernen Basis und einer schmalen Knorpelkappe. Klinisch können mechanische Irritationen (z. B. bei Traktusfriktionssyndrom) und/oder eine Schwellung erstmals zur Diagnosestellung führen.
Das Osteochondrom ist der häufigste benigne Knochentumor
Im Röntgenbild ist die knöcherne Basis (die schmal- und breitbasig konfiguriert sein kann) nachweisbar, die üblicherweise vom Gelenk weg wächst. Die Knorpelkappe (inkl. Dicke) wir in der MRT diagnostiziert. Warnhinweise stellen eine dicke Knorpelkappe (> 1 cm) wie auch plötzliches Wachstum nach abgeschlossenem Körperwachstum dar (Tab. 2).
Eine Sonderstellung stellen hier PatientInnnen mit einer multiplen hereditären Exostosenkrankheit dar, bei denen unzählige Osteochondrome vorhanden sind [25]. Diese führen nicht nur zu Deformierungen von Gelenken und Achsen, sondern haben auch ein erhöhtes Risiko, im Verlauf maligne zu entarten. Daher wird bei diesen PatientInnen eine jährliche Gesamt-MRT-Bildgebung empfohlen, um etwaige Änderungen in Konfiguration und/oder Größe rechtzeitige zu detektieren.

Osteoidosteom (OO)

Osteoidosteome (OO) werden gehäuft bei Kindern und Jugendlichen diagnostiziert. Dabei handelt es sich um tumorähnliche Läsionen, die an langen Röhrenknochen in der Diaphyse sowie in den Wirbelkörpern, -bögen und -gelenkfortsätzen auftreten können (Tab. 2; [26]).
Osteoidosteome werden gehäuft bei Kindern und Jugendlichen diagnostiziert
Die typische klinische Symptomatik mit ausgeprägten, insbesondere nächtlichen Schmerzen sowie die Radiologie sind wegweisend. Radiologisch sind OO randständig/kortikal lokalisiert, weisen einen zentralen Nidus (im Röntgenbild häufig osteolytisch, selten mit einer zentralen Verkalkung) sowie eine deutliche Randsklerosierung bzw. reaktive Hypersklerosierung des Kortex auf. In der MRT ist oft ein reaktives Ödem der Weichteile nachweisbar. Mittels CT ist der zentral verkalkte Nidus gut darstellbar [26].
Differenzialdiagnostisch kommen das Osteoblastom (Nidus > 2 cm) und die Osteomyelitis infrage. Bei untypischer klinischer Symptomatik und/oder radiologischer Präsentation (z. B. fehlende nächtliche Schmerzen, ausgeprägte Periostreaktion, solider Weichteilanteil) sollte eine weiterführende Biopsie erfolgen. Lässt es die Lokalisation des OO zu, ist die Therapie der Wahl eine Radiofrequenzablation (RFA). Alternativ dazu steht die Curettage zur Verfügung. Beide Optionen haben das Ziel, den aktiven Teil der Läsion, d. h. den Nidus, zu devitalisieren [27].

Chondroblastom

Chondroblastome entstehen hauptsächlich in den Epiphysen des proximalen Humerus, des distalen Femurs und der proximalen Tibia [26]. Die unspezifische Symptomatik mit tiefen, mäßigen Schmerzen und Gelenksergüssen weist differenzialdiagnostisch auf eine Osteomyelitis hin.
Im Röntgenbild stellt sich das Chondroblastom als epiphysäre, kleine, exzentrisch gelegene Läsion mit einer gut definierten Sklerosezone dar (Tab. 2). In der CT können Kortexarrosionen, Matrixverkalkungen und etwaige Weichteilanteile dargestellt werden. Die MRT zeigt das typische periläsionale Ödem und eine zentrale Kontrastmittelaufnahme im Nidus [28].
Differenzialdiagnostisch kommen bei der epiphysären Lage auch ein Riesenzelltumor des Knochens (siehe unten) sowie das Chondromyxoidfibrom infrage. Aufgrund des umgebenden Ödems kann – in Zusammenschau mit der klinischen Symptomatik – auch eine Osteomyelitis suszipiert werden. Analog zu anderen benignen Knochentumoren sollte zum Ausschluss anderer Differenzialdiagnosen sowie bei Malignitätsverdacht (z. B. extraosseärer Anteil, Periostreaktion, Kortexdestruktion) eine Biopsie durchgeführt werden.

Riesenzelltumor des Knochens

Riesenzelltumoren des Knochens (engl. „giant cell tumor of bone“, GCT) stellen seltene osteolytische intermediäre Tumoren des Knochens dar. Sie treten üblicherweise in den Epiphysen langer Röhrenknochen, vorzugsweise des distalen Femurs, der proximalen Tibia und des distalen Radius, auf [29]. Zumeist verursachen GCT im Verlauf aufgrund des kontinuierlichen Tumorwachstums Schmerzen oder eine pathologische Fraktur führt zur Verdachtsdiagnose.
Riesenzelltumoren des Knochens sind seltene, osteolytische Tumoren intermediärer Dignität
Im Röntgenbild ist eine den Knochen pellotierende, teilweise den Kortex ausdünnende, osteolytische Raumforderung erkennbar, die nur gering randsklerosiert ist (Tab. 2). In der MRT lässt sich die Gesamtausdehnung des Tumors, inkl. potenzieller extraossärer Komponenten, beurteilen. Spiegelbildungen können differenzialdiagnostisch an eine (sekundäre) AKZ denken lassen. Jedenfalls ist aufgrund des aggressiven Erscheinungsbilds eine histologische Sicherung mittels Biopsie indiziert.

Schlussfolgerungen

Beim Zufallsbefund einer suspekten ossären Läsion im Röntgenbild sollte weiterführend eine MRT mit Kontrastmittel durchgeführt werden. Sollte sich hierbei die Verdachtsdiagnose eines benignen Knochentumors bestätigen, werden in Abhängigkeit der suspizierten Entität bildgebende Verlaufskontrollen durchgeführt.
Bei jeglichen Unklarheiten oder Hinweis auf aggressives Verhalten sollte eine Zuweisung an ein Zentrum für Knochen- und Weichteiltumoren erfolgen, an dem die weiteren diagnostisch-therapeutischen Schritte festgelegt werden. Hierzu gehören im Nativröntgenbild eine schlecht begrenzte Läsion, fehlende Sklerosezone, Periostreaktion, Weichteilschatten (als indirektes Zeichen für einen extraossären Anteil), Kortexdurchbruch und eine heterogene Tumormatrix.

Einhaltung ethischer Richtlinien

Interessenkonflikt

M.A. Smolle hat nicht mit diesem Beitrag in Zusammenhang stehende Reisekostenzuschüsse von PharmaMar, Implantcast, Alphamed und ImplanTec erhalten. A. Leithner hat nicht mit diesem Beitrag in Zusammenhang stehende institutionelle Ausbildungsförderung von Medacta, Alphamed und Johnson&Johnson erhalten.
Für diesen Beitrag wurden von den Autor/-innen keine Studien an Menschen oder Tieren durchgeführt. Für die aufgeführten Studien gelten die jeweils dort angegebenen ethischen Richtlinien.
Open Access Dieser Artikel wird unter der Creative Commons Namensnennung 4.0 International Lizenz veröffentlicht, welche die Nutzung, Vervielfältigung, Bearbeitung, Verbreitung und Wiedergabe in jeglichem Medium und Format erlaubt, sofern Sie den/die ursprünglichen Autor(en) und die Quelle ordnungsgemäß nennen, einen Link zur Creative Commons Lizenz beifügen und angeben, ob Änderungen vorgenommen wurden. Die in diesem Artikel enthaltenen Bilder und sonstiges Drittmaterial unterliegen ebenfalls der genannten Creative Commons Lizenz, sofern sich aus der Abbildungslegende nichts anderes ergibt. Sofern das betreffende Material nicht unter der genannten Creative Commons Lizenz steht und die betreffende Handlung nicht nach gesetzlichen Vorschriften erlaubt ist, ist für die oben aufgeführten Weiterverwendungen des Materials die Einwilligung des jeweiligen Rechteinhabers einzuholen. Weitere Details zur Lizenz entnehmen Sie bitte der Lizenzinformation auf http://creativecommons.org/licenses/by/4.0/deed.de.

Hinweis des Verlags

Der Verlag bleibt in Hinblick auf geografische Zuordnungen und Gebietsbezeichnungen in veröffentlichten Karten und Institutsadressen neutral.
download
DOWNLOAD
print
DRUCKEN
Titel
Ossäre Raumforderung als Zufallsbefund im Röntgenbild – wann muss ich sie weiter abklären?
Verfasst von
FÄ PD DDr. Maria Anna Smolle
Univ.-Prof. Dr. Andreas Leithner
Publikationsdatum
07.01.2025
Verlag
Springer Vienna
Erschienen in
rheuma plus / Ausgabe 4/2025
Print ISSN: 1868-260X
Elektronische ISSN: 2191-2610
DOI
https://doi.org/10.1007/s12688-024-00810-3
1.
Zurück zum Zitat Szendrői M, Szőke G (2014) Tumour-like lesions of bone. In: Bentley G (Hrsg) European surgical orthopaedics and traumatology: the EFORT textbook. Springer, Berlin, Heidelberg, S 4017–4035CrossRef
2.
Zurück zum Zitat Erlemann R, Jundt G (2016) Tumor-like lesions of bone. Radiologe 56(6):507–519. https://doi.org/10.1007/s00117-016-0113-yCrossRefPubMed
3.
Zurück zum Zitat Woltsche JN, Smolle MA, Szolar D, Bergovec M, Leithner A (2023) Prevalence and characteristics of benign cartilaginous tumours of the knee joint as identified on MRI scans. Cancer Imaging 23(1):50. https://doi.org/10.1186/s40644-023-00572-9CrossRefPubMedPubMedCentral
4.
Zurück zum Zitat Woltsche JN, Smolle M, Szolar D, Bergovec M, Leithner A (2023) Prevalence and characteristics of benign cartilaginous tumours of the shoulder joint. An MRI-based study. Skelet Radiol. https://doi.org/10.1007/s00256-023-04375-8CrossRef
5.
Zurück zum Zitat Sobti A, Agrawal P, Agarwala S, Agarwal M (2016) Giant cell tumor of bone—an overview. Arch Bone Jt Surg 4(1):2–9PubMedPubMedCentral
6.
Zurück zum Zitat Lodwick GS (1964) Radiographic diagnosis and grading of bone tumors, with comments on computer evaluation. Proc Natl Cancer Conf 5:369–380PubMed
7.
Zurück zum Zitat Lodwick GS, Wilson AJ, Farrell C, Virtama P, Dittrich F (1980) Determining growth rates of focal lesions of bone from radiographs. Radiology 134(3):577–583. https://doi.org/10.1148/radiology.134.3.6928321CrossRefPubMed
8.
Zurück zum Zitat Caracciolo JT, Temple HT, Letson GD, Kransdorf MJ (2016) A modified Lodwick-Madewell grading system for the evaluation of lytic bone lesions. AJR Am J Roentgenol 207(1):150–156. https://doi.org/10.2214/ajr.15.14368CrossRefPubMed
9.
Zurück zum Zitat Errani C, Tsukamoto S, Ciani G et al (2017) Risk factors for local recurrence from atypical cartilaginous tumour and enchondroma of the long bones. Eur J Orthop Surg Traumatol 27(6):805–811. https://doi.org/10.1007/s00590-017-1970-4CrossRefPubMed
10.
Zurück zum Zitat Choi BB, Jee WH, Sunwoo HJ et al (2013) MR differentiation of low-grade chondrosarcoma from enchondroma. Clin Imaging 37(3):542–547. https://doi.org/10.1016/j.clinimag.2012.08.006CrossRefPubMed
11.
Zurück zum Zitat Yoo HJ, Hong SH, Choi JY et al (2009) Differentiating high-grade from low-grade chondrosarcoma with MR imaging. Eur Radiol 19(12):3008–3014. https://doi.org/10.1007/s00330-009-1493-4CrossRefPubMed
12.
Zurück zum Zitat van de Sande MAJ, van der Wal RJP, Navas Cañete A et al (2019) Radiologic differentiation of enchondromas, atypical cartilaginous tumors, and high-grade chondrosarcomas-Improving tumor-specific treatment: A paradigm in transit? Cancer 125(19):3288–3291. https://doi.org/10.1002/cncr.32404CrossRefPubMed
13.
Zurück zum Zitat Murphey MD, Flemming DJ, Boyea SR, Bojescul JA, Sweet DE, Temple HT (1998) Enchondroma versus chondrosarcoma in the appendicular skeleton: differentiating features. Radiographics 18(5):1213–1237. https://doi.org/10.1148/radiographics.18.5.9747616 (quiz 1244–5)CrossRefPubMed
14.
Zurück zum Zitat Riddle ND, Bui MM (2013) Fibrous dysplasia. Arch Pathol Lab Med 137(1):134–138. https://doi.org/10.5858/arpa.2012.0013-RSCrossRefPubMed
15.
Zurück zum Zitat Daneman A, Daneman D (2007) McCune-Albright syndrome. J Pediatr Endocrinol Metab 20(12):1265. https://doi.org/10.1515/jpem.2007.20.12.1265CrossRefPubMed
16.
Zurück zum Zitat Jalan D, Jain P (2019) Mazabraud’s syndrome—A diagnosis commonly missed. J Orthop Case Rep 9(3):26–29. https://doi.org/10.13107/jocr.2250-0685.1404CrossRefPubMedPubMedCentral
17.
Zurück zum Zitat Azarsina S, Biglari F, Hassanmirzaei B, Ebrahimpour A, Hakakzadeh A (2019) Intraosseous lipoma of calcaneus, rare cause of chronic calcaneal pain: a case report. Arch Bone Jt Surg 7(5):469–473PubMedPubMedCentral
18.
Zurück zum Zitat Blacksin MF, Ende N, Benevenia J (1995) Magnetic resonance imaging of intraosseous lipomas: a radiologic-pathologic correlation. Skelet Radiol 24(1):37–41. https://doi.org/10.1007/bf02425945CrossRef
19.
Zurück zum Zitat Mascard E, Gomez-Brouchet A, Lambot K (2015) Bone cysts: unicameral and aneurysmal bone cyst. Orthop Traumatol Surg Res 101(1 Suppl):S119–S127. https://doi.org/10.1016/j.otsr.2014.06.031CrossRefPubMed
20.
Zurück zum Zitat Struhl S, Edelson C, Pritzker H, Seimon LP, Dorfman HD (1989) Solitary (unicameral) bone cyst. The fallen fragment sign revisited. Skelet Radiol 18(4):261–265. https://doi.org/10.1007/bf00361203CrossRef
21.
Zurück zum Zitat Kilpatrick SE, Wenger DE, Gilchrist GS, Shives TC, Wollan PC, Unni KK (1995) Langerhans’ cell histiocytosis (histiocytosis X) of bone. A clinicopathologic analysis of 263 pediatric and adult cases. Cancer 76(12):2471–2484. https://​doi.​org/​10.​1002/​1097-0142(19951215)76:12〈2471::aid-cncr2820761211〉3.0.co;2‑z CrossRefPubMed
22.
Zurück zum Zitat Angelini A, Mavrogenis AF, Rimondi E, Rossi G, Ruggieri P (2017) Current concepts for the diagnosis and management of eosinophilic granuloma of bone. J Orthop Traumatol 18(2):83–90. https://doi.org/10.1007/s10195-016-0434-7CrossRefPubMed
23.
Zurück zum Zitat Jha SK, De Jesus O (2024) Eosinophilic Granuloma. StatPearls Publishing, Treasure Island (https://www.ncbi.nlm.nih.gov/books/NBK559038/)
24.
Zurück zum Zitat Biesecker JL, Marcove RC, Huvos AG, Miké V (1970) Aneurysmal bone cysts. A clinicopathologic study of 66 cases. Cancer 26(3):615–625. https://​doi.​org/​10.​1002/​1097-0142(197009)26:3〈615::aid-cncr2820260319〉3.0.co;2‑i CrossRefPubMed
25.
Zurück zum Zitat Murphey MD, Choi JJ, Kransdorf MJ, Flemming DJ, Gannon FH (2000) Imaging of osteochondroma: variants and complications with radiologic-pathologic correlation. Radiographics 20(5):1407–1434. https://doi.org/10.1148/radiographics.20.5.g00se171407CrossRefPubMed
26.
Zurück zum Zitat De Salvo S, Pavone V, Coco S, Dell’Agli E, Blatti C, Testa G (2022) Benign bone tumors: an overview of what we know today. J Clin Med. https://doi.org/10.3390/jcm11030699CrossRefPubMedPubMedCentral
27.
Zurück zum Zitat Napora J, Wałejko S, Mazurek T (2023) Osteoid osteoma, a diagnostic problem: a series of atypical and mimicking presentations and review of the recent literature. J Clin Med. https://doi.org/10.3390/jcm12072721CrossRefPubMedPubMedCentral
28.
Zurück zum Zitat Karbhari A, Vijan A, Janu AK et al (2024) Retrospective study of multimodality imaging features of chondroblastoma. Indian J Orthop 58(9):1303–1309. https://doi.org/10.1007/s43465-024-01214-3CrossRefPubMedPubMedCentral
29.
Zurück zum Zitat Mendenhall WM, Zlotecki RA, Scarborough MT, Gibbs CP, Mendenhall NP (2006) Giant cell tumor of bone. Am J Clin Oncol 29(1):96–99. https://doi.org/10.1097/01.coc.0000195089.11620.b7CrossRefPubMed
Bildnachweise
Knochenröntgen/© Maria Anna Smolle u. Andreas Leithner