Zum Inhalt

Klinische Aspekte der Knochenmarködeme: eine Literaturübersicht

  • Open Access
  • 05.06.2022
  • Originalien
Erschienen in:

Zusammenfassung

Über das primäre Knochenmarködemsyndrom (KM-Ödemsyndrom) ist in der Literatur relativ wenig bekannt. Aufgrund dieser Übersichtsarbeit erscheint es sinnvoll, Klassifikationskriterien zu entwickeln, mit klarer Unterscheidung zwischen primärem und sekundärem KM-Ödemsyndrom. Auf dieser Basis können dann in der Folge Outcomeparameter besser definiert und validiert werden, um größere randomisierte, möglichst doppelblinde Studien sowohl für pharmakologische als auch nichtpharmakologische Therapieverfahren zu initiieren.

Hinweis des Verlags

Der Verlag bleibt in Hinblick auf geografische Zuordnungen und Gebietsbezeichnungen in veröffentlichten Karten und Institutsadressen neutral.

Einleitung

Während der letzten Jahrzehnte wurde die Magnetresonanztomographie (MRT) immer mehr als bildgebende Methode für die klinische Routine verfügbar. Daher werden heute Pathologien immer häufiger beschrieben, die im konventionellen Röntgen nicht sichtbar waren. Das Knochenmarködem (KM-Ödem) ist eine dieser Pathologien und wurde 1988 erstmals beschrieben [1]. Seither gab es viele Arbeiten zu diesem Thema. Klinisch kann ein KM-Ödem dazu führen, dass die Patienten Schmerzen haben und funktionell eingeschränkt sind – mit reduzierter Lebensqualität über Wochen und sogar Monate. Bis heute gibt es aber keine evidenzbasierten Leitlinien zur Diagnose und zum Management des KM-Ödems.
Bis heute gibt es keine umfassende Literaturübersicht über das KM-Ödem, obwohl es eine chronische Krankheit ist und Patienten mit KM-Ödem unter einer verminderten Lebensqualität und funktionellen Behinderungen leiden, die lange Rekonvaleszenzzeiten erfordern [2, 3]. Daher wurde diese Übersichtsarbeit erstellt, die sich auf die wichtigsten Aspekte dieser schmerzhaften Manifestation konzentriert: Terminologie, Unterteilung in primär und sekundär, diagnostischer Ansatz, Risikofaktoren und Therapie.
Im folgenden Artikel werden die wichtigsten klinischen Aspekte zu diesem Thema zusammengefasst. Dazu zählen verwendete Synonyme und ein Update zu Diagnose, Differenzialdiagnosen, Epidemiologie, Risikofaktoren und therapeutischen Ansätzen. Insgesamt wurden 54 Studien, die das Knochenmarködem und seine Differenzialdiagnosen betreffen, 12 Studien zu den Risikofaktoren und 29 Studien, welche die Therapiemöglichkeiten erörtern, eingeschlossen.

Nomenklatur und Synonyme des Knochenmarködems

Die verschiedenen, in der Literatur verwendeten Begriffe werden in Tab. 1 zusammengefasst, zusammen mit der Häufigkeit ihrer Verwendung (PubMed®-Suche am 30.07.2020). Nachdem der Begriff Knochenmarködem („bone marrow edema“, BME) am häufigsten verwendet wird, soll er auch im Folgenden beibehalten werden. Dass auch andere Begriffe entstanden, hängt damit zusammen, dass 1959 Curtis u. Kincaid erstmalig über ein Syndrom berichteten, das schwangere Frauen mit einer transienten Osteoporose der Hüfte betrifft [4]. Dieser Begriff wurde dann verwendet, bis 1988 Wilson et al. eine MRT-Studie durchführten und ein KM-Ödem in den betroffenen Knochen und Gelenken beschrieben, obwohl bei einigen Patienten keine Osteopenie vorlag [1]. Deshalb nannten sie diese Erkrankung fortan transientes KM-Ödem.
Tab. 1
Synonyme für das Knochenmark(KM)-Ödem. Die Prozentangaben beziehen sich auf 5448 in PubMed® zitierte Publikationen zu diesem Thema (Stand 30.07.2020)
Synonyme (aus der Literatur)
Deutsche Übersetzung
Anteil (%) der Publikationen
„Bone marrow edema“
KM-Ödem
63,9
„Transient osteoporosis“
Transiente Osteoporose
20,5
„Bone marrow edema syndrome“
KM-Ödemsyndrom
12,1
„Idiopathic regional osteoporosis“
Idiopathische regionale Osteoporose
2,0
„Regional migratory osteoporosis“
Regionale migratorische Osteoporose
1,2
„Migratory osteolysis“
Migratorische Osteolyse
0,3
„Transitory demineralization“
Vorübergehende Demineralisation
0,1
Da das KM-Ödem selbst aber ein Befund der MR-Bildgebung ist, wird das übergeordnete klinische Bild bei einem KM-Ödem in der Bildgebung – um mehr auf die Ursachen einzugehen – als primäres oder sekundäres KM-Ödemsyndrom beschrieben (Tab. 1). Ohne Zeichen eines vorangehenden Traumas, einer Entzündung (Arthritis oder Osteomyelitis) oder anderer Pathologien wird das KM-Ödem als primäres KM-Ödem bzw. KM-Ödemsyndrom bezeichnet.

Epidemiologie, Klinik, Verlauf

Nur wenige Daten sind verfügbar zur Epidemiologie des KM-Ödemsyndroms: In einer spanischen Studie waren 43,5 % der KM-Ödeme posttraumatisch, 34,7 % degenerativ und nur 6,3 % idiopathisch [2]. Die Inzidenz des KM-Ödems nach chondraler und osteochondraler Operation liegt zwischen 40 % und 80 % [5]. Das KM-Ödemsyndrom betrifft Männer im Verhältnis 3:1 häufiger als Frauen. Männer sind im Durchschnitt 30–60 Jahre, Frauen 20–40 Jahre alt oder im 3. Trimester der Schwangerschaft [6].
Normalerweise ist das KM-Ödem einseitig und beginnt ohne vorheriges Trauma [68]. Mit 98 % ist es fast ausschließlich an den unteren Extremitäten zu finden [9]. Am häufigsten sind dabei mit mehr als 70 % die Hüften betroffen, gefolgt von Knien, Sprunggelenken und Füßen [10, 11]. An den oberen Extremitäten sind KM-Ödeme möglich, aber selten [6].
Wichtig für den Verlauf ist auch die Graduierung des KM-Ödems. In der MRT kann dies mittels der Klassifikation der Association Research Circulation Osseous (ARCO) erfolgen [12]. Ursprünglich wurde diese ARCO-Klassifikation entwickelt, um die avaskuläre Femurkopfnekrose mittels Röntgen, CT und MRT zu beschreiben. Adaptiert für das MRT steht ARCO I für ein reversibles KM-Ödem, ARCO II für eine irreversible lokale Nekrose, ARCO III zeigt zudem eine subchondrale Fraktur und ARCO IV führt über in eine sekundäre Arthrose [13].
Insgesamt ist die Diskrepanz zwischen eingeschränkter Funktion und oft nur wenigen klinischen Befunden wohl charakteristisch für das KM-Ödem und das KM-Ödemsyndrom [14].
Die klinischen Symptome sind unspezifisch und können von asymptomatisch bis zu intensivem Schmerz reichen. Bei manchen Patienten wird der Schmerz durch Tragen von Gewicht noch weiter verstärkt. Die Untersuchung kann eine Schwellung und ein lokales Hitzegefühl am betroffenen Gelenk oder Knochen ergeben. Ebenso sind eine moderate Druckschmerzhaftigkeit und eine Muskelatrophie möglich. Der Gang kann schmerzhaft bis unmöglich sein, auch wenn die passive Beweglichkeit nicht wesentlich eingeschränkt sein muss [14]. Der Schmerz kann durch Aufstehen und Hinsetzen, aber auch durch langes Stehen verstärkt werden [15, 16].
Im Verlauf kommt es bei 5–41 % der Patienten spontan auch zum Wechsel der Lokalisation an andere Körperstellen, gewöhnlich auf der kontralateralen Seite [8, 17, 18]. Mit konservativer Therapie werden die Beschwerden nach 6–18 Monaten langsam weniger [13]. Die Prognose hängt von der Ursache des KM-Ödems ab, deshalb ist die exakte Diagnose von Bedeutung [5].

Diagnose

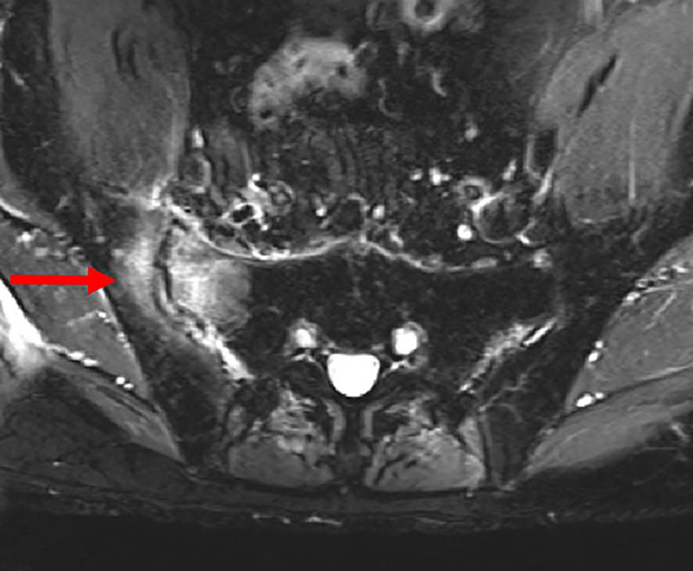
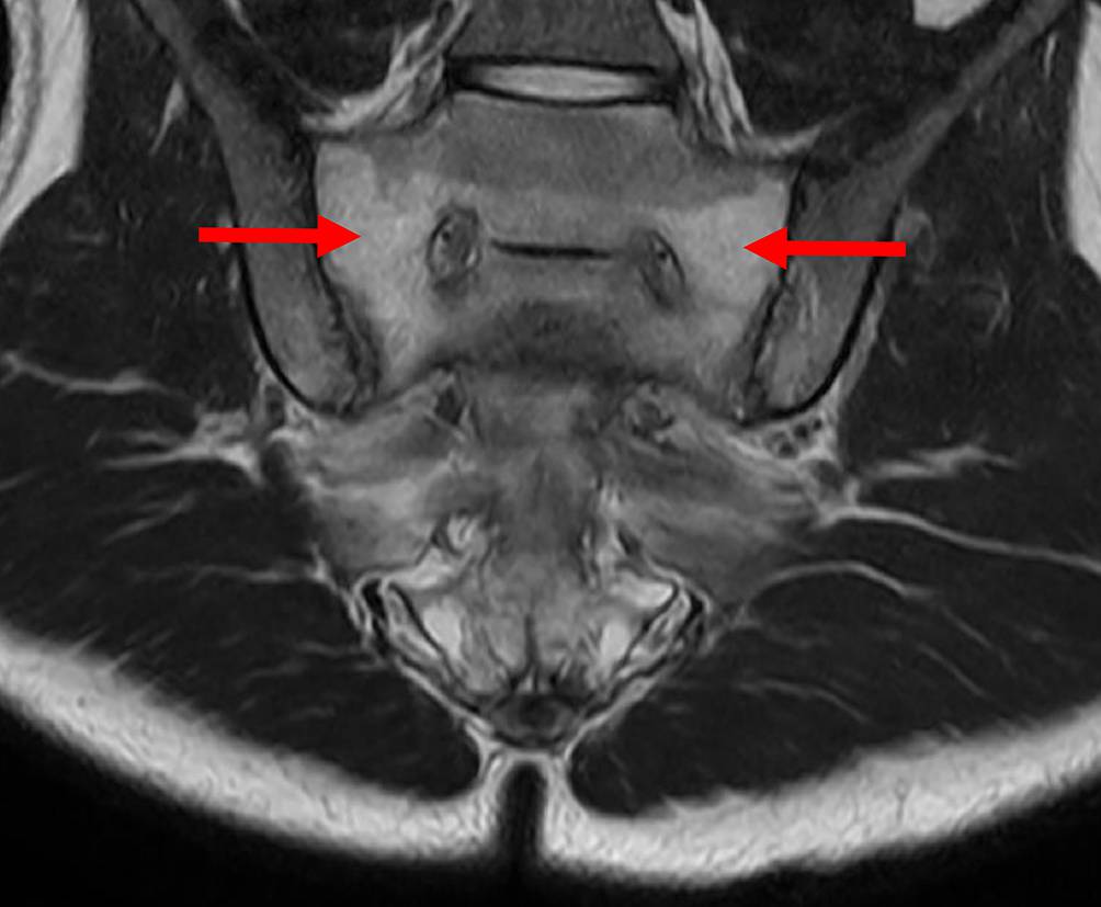
Das KM-Ödem allein ist ein bildgebender Befund, der erst zusammen mit klinischen Symptomen und Befunden als KM-Ödemsyndrom oder Erkrankung angesehen wird [19]. Mit Gelenksschmerz, aber ohne zugrunde liegende Pathologie oder Erkrankung wird es als primäres KM-Ödemsyndrom betrachtet [20], das sekundäre KM-Ödemsyndrom gilt nicht als unabhängige Diagnose. Es tritt dann beispielsweise im Rahmen von Arthrose, Spondyloarthritis (siehe Beispiel in Abb. 1) oder rheumatoider Arthritis, Infektion oder Trauma (siehe Beispiel in Abb. 2) auf [21]. Bis heute gibt es aber zu dieser Unterscheidung keinen internationalen Konsens in der Literatur, mit klarer Definition und Validierung für alle beteiligten Fachdisziplinen.
Abb. 1
Subchondrales Knochenmarködem bei Sakroiliitis re im Rahmen einer axialen Spondyloarthritis (T2-gewichtete Aufnahme). Die entzündlichen Lumbiosakralgien zeigten ein Ansprechen auf nicht-steroidale Antirheumatika
Bild vergrößern
Abb. 2
Massive posttraumatische Knochenmarksödeme beidseits mit Überschreiten der Medianen bei jungem Patienten ohne typisch entzündlichen Lumbosakralgien (T2-gewichtete Aufnahme). Ebenfalls Ansprechen auf nicht-steroidale Antirheumatika
Bild vergrößern
Zur Diagnosesicherung des KM-Ödemsyndroms sind jedenfalls Anamnese und Untersuchung essenziell [22]. Ein unerwarteter monoartikulärer Gelenkserguss sollte auf jeden Fall abgeklärt werden (insbesondere bei Kindern und älteren Personen mit eingeschränktem Immunsystem, Niereninsuffizienz und/oder Diabetes mellitus, [23]). Primär sollten Infektionen wie eine Osteomyelitis ausgeschlossen werden, auch wenn dies schwierig sein kann, da Biopsien nicht immer positiv sind [24]. Insbesondere sollte eine Tuberkulose ausgeschlossen werden, die eher einseitig ist oder mit extraartikulären Abszessen einhergeht [19]. Als weitere wichtige Differenzialdiagnosen kommen Trauma, Degeneration, Ischämie, iatrogene Ursachen, Neoplasie, Autoimmun- und Stoffwechselkrankheiten in Frage. Tatsächlich wurde in einer Multizentrumsstudie festgestellt, dass auch bei Gonarthrose größere KM-Ödeme mit mehr Schmerz und Progression der Arthrose einhergehen [25]. Weiters kommen gelenknahe KM-Ödeme bei chronisch-entzündlichen Erkrankungen wie der rheumatoiden Arthritis (RA) vor, für die Diagnose einer axialen Spondyloarthritis (SpA) ist das KM-Ödem im Bereich der Iliosakralgelenke sogar charakteristisch [26]. Tatsächlich gibt es Unterschiede zwischen idiopathischen KM-Ödemen und denen bei entzündlichen Erkrankungen: Bei RA ist das KM-Ödem innerhalb der Gelenkskapsel, bei SpA außerhalb der Gelenkskapsel lokalisiert [21]. Bei SpA und auch der Psoriasisarthritis (PsA) finden sich KM-Ödeme nicht nur im Bereich entzündeter Gelenke sondern vor allem auch nahe der Faszien oder im Bereich der Sehnenansätze [21].
Zur Abklärung von akutem und chronischem Schmerz in betroffenen Gelenken oder Knochen ist das MRT, mit hoher Sensitivität, der Goldstandard [11]. In der MRT wird das KM-Ödem als abnorme Ansammlung von interstitieller Flüssigkeit im Knochen definiert [2]. Im Vergleich zu gesundem Knochen wird das KM-Ödem mit niedriger bis mittlerer Signalintensität auf T1-gewichteten und hoher Signalintensität auf T2-gewichteten Bildern und STIR-Sequenzen (STIR: „short tau inversion recovery“) sichtbar [21, 28, 28, 29]. Das Muster der KM-Ödeme kann sich verändern, die KM-Signale können homogen oder inhomogen sein [30], fokal auftreten oder diffus verteilt sein [6]. Scharfe Konturen können fehlen [21]. Nach Gabe von i.v. Gadolinium (DTPA) als Kontrastmittel zeigen traumatische KM-Ödeme eine gesteigerte Anreicherung [31]. Bei fast allen Stadien eines Knochentumors kann mittels Kontrastmittel zur besseren Abgrenzung ein KM-Ödem gefunden werden [7].
Im Fall einer Kontraindikation gegen das MRT kann auch eine Computertomographie (CT) durchgeführt werden [27]. Eine Metaanalyse von 12 Studien (mit 1901 Läsionen an 450 Patienten) ergab, dass ein KM-Ödem auch mittels „dual-energy CT“ (DECT) mit hoher Sensitivität und Spezifität festgestellt werden kann [32]. Die Knochenszintigraphie ist zur Erkennung eines KM-Ödems nur im frühen Stadium sensitiv, aber nicht spezifisch [27, 33].
Am zielführendsten ist wohl die Kategorisierung des KM-Ödems nach Hofmann et al. in folgende 3 unterschiedliche Gruppen: (1) das ischämische KM-Ödem (Osteonekrose, komplexes regionales Schmerzsyndrom), (2) das mechanische KM-Ödem („bone bruise“, Stressfraktur, Mikrofraktur) und (3) das reaktive KM-Ödem (Arthrose, postoperativ, Tumor, [34]). Entsprechend unterschiedlich sind auch die erforderlichen Labortests. Diese können helfen, das KM-Ödem von anderen Erkrankungen wie einem Karzinom oder einem Myelom abzugrenzen [27]. Der Histopathologie wird üblicherweise für die Klinik keine Bedeutung beigemessen [27].

Erfassung der Risikofaktoren

Wichtig ist, dass mit der Diagnose auch die Risikofaktoren sofort miterfasst werden. Als etablierte Risikofaktoren für ein KM-Ödem sind Mikrotrauma, erniedrigtes Vitamin D, niedriger Knochenstoffwechsel und Schwangerschaft zu werten, alle anderen Risikofaktoren wurden zwar vorgeschlagen, sind aber nicht als solche bewiesen (Tab. 2). Dazu gibt es bisher nur Hypothesen: Curtiss u. Kincaid folgten 1959 einer neurologischen Hypothese mit Kompression des N. obturatorius durch den fetalen Kopf als Hauptursache des KM-Ödems während der Schwangerschaft [4]. Die Hypothese eines Kapillarschadens auf der Basis des KM-Ödems wird eingeteilt in einen vasogenen Mechanismus mit entzündungsbedingter vermehrter Durchblutung, Kongestion durch Gefäßverschluss oder Thrombose, tumorbedingt oder traumatisch mit Kapillarverletzung durch Trabekelzerstörung und selten atypisch [28]. Andere Hypothesen beziehen sich auf chemische und hormonelle Faktoren, Osteoklastenaktivierung [11, 14], erhöhte Lipidwerte, biomechanischen und psychologischen Stress [3].
Tab. 2
Risikofaktoren für ein Knochenmarködem
Etablierte Risikofaktoren
Mögliche weitere Risikofaktoren
Mikrotrauma, mechanische Überlastung
Alkohol, Rauchen, berufliche Schadstoffexposition
Niedrige Vitamin-D-Spiegel
Hohe Lipidspiegel, Adipositas
Niedriger Knochenstoffwechsel
Immunsuppression
Schwangerschaft
Hypothyreoidismus, niedrige Testosteronspiegel
Hämoglobinopathien
Hypophosphatämie
Osteogenesis imperfecta
Vitamin-C-Mangel

Therapieansätze beim Knochenmarködem

Das Management des primären KM-Ödemsyndroms kann eine wahre Herausforderung sein [13]. Nachdem das KM-Ödem manchmal selbstlimitiert und voll reversibel ist, wird die Therapie oft sehr kontrovers diskutiert [35]. Das sekundäre KM-Ödemsyndrom wird entsprechend der Grunderkrankung therapiert. Die folgenden Ausführungen beziehen sich auf das primäre KM-Ödemsyndrom.
Nachdem die Pathogenese des primären KM-Ödemsyndroms nicht eindeutig geklärt ist, wurden verschiedene, teils kontroverse Therapiekonzepte untersucht, meist primär zur Linderung der Symptomatik [18]. Es gibt verschiedenste Therapiemöglichkeiten, wobei die extrakorporale Stoßwellentherapie das höchste Evidenzlevel aufweist, gefolgt von der chirurgischen Intervention mit KM-Druckentlastung durch Bohrung und der Gabe von Prostazyklinen oder Bisphosphonaten.
Im Folgenden werden sowohl allgemeine Empfehlungen als auch die wichtigsten interventionellen Ansätze zusammengefasst.

Allgemeine Empfehlungen

Nur wenige Studien sind kontrolliert. Wie oben schon angeführt, werden die Beschwerden meist schon mit nur allgemeinen Maßnahmen und konservativer Therapie nach 6–18 Monaten langsam weniger [13]. Empfohlen werden können:
Vermeiden von Tragen jeglicher oder insbesondere schwererer Lasten, Physiotherapie und Immobilisation. Als Physiotherapie werden nicht nur Massage und Entspannungsübungen, sondern auch intermittierende Traktionen, Übungen zur Steigerung der Beweglichkeit und Übungen zur Stärkung der Abduktoren (bei KM-Ödem der Hüfte) vorgeschlagen [36]. Auch kann die Immobilisation mittels eines Gehgipses über 12 Wochen verstärkt werden. 69 % von 95 Langzeitbeobachtungsstudien ergaben dabei eine Abnahme des KM-Ödems im MRT [37].

Interventionelle Eingriffe

Eine Übersicht zur Evidenz bei den wichtigsten interventionellen Eingriffen gibt Tab. 3. Insgesamt erreicht nur die extrakorporale Schockwellentherapie (ESWT) einen „level of evidence“ Grad IIb [38]. Die ESWT ist nichtinvasiv und erfolgt meist in 2 Sitzungen. Als Nebenwirkungen werden Schwellung oder kleine blaue Flecken beschrieben [39].
Tab. 3
Zusammenfassung der Studien zur Therapie des primären Knochenmarködems mit Angabe der Vergleichsgruppen, Patientenzahlen Design und Outcome (positiv oder negativ) – eingeteilt nach Evidenzlevel (LoE, Oxford Centre for Evidence-Based Medicine 2009)
Therapeutischer Ansatz
(Evidenzlevel)
Studien
Evidenz
Referenz
ESWT (LoE IIb–IV)
(Extrakorporale Schockwellentherapie)
ESWT
IV
[40]
ESWT/PC + BP
III
[39]
ESWT/Konservativ
III
[41]
ESWT/Konservativ
III
[42]
ESWT/BP
IIb
[38]
CD (LoE III–IV)
(Core decompression/intraossäre Dekompression)
CD/Konservativ
IV
[43]
CD
IV
[44]
CD/Konservativ
III
[35]
CD
IV
[45]
PC (LoE III–IV)
(Prostaglandin)
PC
III
[46]
PC
IV
[18]
PC/CD
III
[47]
PC/Konservativ
III
[48]
PC
IV
[49]
PC
IV
[50]
PC
IV
[10]
PC
IV
[51]
PC
IV
[52]
PC
III
[13]
BP (LoE III–IV)
(Bisphosphonat)
BP
IV
[53]
BP/Konservativ
III
[54]
BP/Gehhilfe
III
[55]
BP Bisphosphonat, CD intraossäre Dekompression, ESWT extrakorporale Schockwellentherapie, LoE „level of evidence“, PC Prostazyklin
Nicht enthalten in der Tab. 3 sind die hyperbare Sauerstofftherapie (HBO, [56]), die offene tibiale Osteotomie [57] und die Applikation von subchondralem Kalziumphosphat [58], da sie kontrovers diskutiert werden und die Evidenz dazu nur niedrig ist. Ebenso wird die psychologische Beratung nicht angeführt, da sie nur in einer kleinen Studie untersucht wurde [3]. Auch für die hyperbare Sauerstofftherapie (HBO) gibt es nur eine kontrollierte Studie, wobei sich im MRT eine Reduktion der KM-Ödeme in der HBO-Gruppe um 55 % vs. 28 % in der Kontrollgruppe zeigte [56]. Weitere, wenig untersuchte Ansätze sind externe Elektrostimulation, kapazitive Kopplung und die Gabe von Antikoagulanzien wie Heparin [50].

Diskussion

Das KM-Ödemsyndrom ist der derzeit am häufigsten verwendete Begriff, obwohl viele Synonyme in den letzten 60 Jahren in die Literatur eingeführt wurden, nachdem Curtis u. Kincaid erstmals über ein Syndrom berichtet hatten [4]. Nachdem Curtis u. Kincaid damals über schwangere Frauen mit transienter Osteoporose der Hüfte berichtet hatten, gab es viele dieser Synonyme, die sich auf Osteopenie beziehen. Die anderen Synonyme sollten aber heute nicht mehr verwendet werden, da es nicht immer Anzeichen für Osteopenie bei KM-Ödem gibt [1]. Dies unterstreicht die Notwendigkeit einer einheitlichen internationalen Nomenklatur, und es wird angeregt, in Zukunft bei Vorliegen eines KM-Ödems (in Englisch „bone marrow edema“, BME) mit entsprechender Klinik nur den Begriff KM-Ödemsyndrom zu verwenden.
Einige Arten von KM-Ödemsyndrom treten zusammen mit gut etablierten Krankheiten auf (sekundär), andere haben keine zugrunde liegende oder gleichzeitig auftretende andere Krankheit, sondern nur das Knochenmarködem als Symptom. Die Unterscheidung zwischen primärem KM-Ödemsyndrom und sekundärem KM-Ödemsyndrom (bei einer Grunderkrankung) sollte der erste Schritt nach der Diagnose von einem KM-Ödem sein [7]. Schnelles Handeln und Ausschluss aller möglichen Differenzialdiagnosen sind wichtig für die frühzeitige Erkennung und Behandlung der zugrunde liegenden Pathologien (RA, SpA, PsA, [21]). Mit konsequenten Klassifizierungen wird auch die Variabilität von Symptomen, Behandlungseffekten und Prognosen bereits in epidemiologischen Studien rascher geklärt werden können. Heute müssen kleine Studien mit der Verwendung vieler Synonyme und der fehlenden Unterscheidung zwischen primärem und sekundärem KM-Ödem als echtes Hindernis in der klinischen und epidemiologischen Forschung betrachtet werden. Größere, gut konzipierte Studien zu Klinik und Verlauf der KM-Ödemsyndrome sind eindeutig erforderlich.
Was den diagnostischen Ansatz betrifft, so ist die MRT eindeutig die Methode der Wahl und der Goldstandard für den Nachweis eines KM-Ödems [7], insbesondere bei Verwendung von „short tau inversion recovery“ (STIR) und T2-gewichteter Bildgebung [28]. Das KM-Ödem ist definiert als eine abnorme Ansammlung von intraossärer interstitieller Flüssigkeit im Knochen [2]. Dennoch zeigt die MRT nur ein Muster des KM-Ödems, das von anderen Differenzialdiagnosen mit ähnlichen Zeichen und Signalcharakteristika zu unterscheiden ist. Zu den Differenzialdiagnosen gehören Trauma ([21]; Abb. 2) sowie nichtentzündliche und entzündliche Erkrankungen, die vor jeder therapeutischen Entscheidung abzuklären sind. Daher kann beispielsweise bei Traumata das CT als Alternative hilfreich sein [27], aber nicht die Radiographie aufgrund ihrer geringen Sensitivität [23]. Die Knochenszintigraphie zeigte zwar eine erhöhte Traceraufnahme in frühen Stadien des KM-Ödems [34], war aber nicht spezifisch für den Nachweis eines KM-Ödems [27, 33]. So kann die Knochenszintigraphie nur zum Ausschluss einiger Differenzialdiagnosen nützlich sein, ebenso wie die Knochendichtemessung und Laborbefunde [27].
Die Literatur zu Risikofaktoren für Bein-KM-Ödemsyndrom ist spärlich, es gibt nur 12 Originalmanuskripte (mit nicht mehr als 338 Patienten). 13 weitere Arbeiten zu pathophysiologischen Aspekten könnten für eine mögliche Einbeziehung als künftige Risikofaktoren relevant sein (mit weiteren 94 Patienten). Diese Zahlen zeigen deutlich, dass definitiv ein Bedarf an groß angelegten Studien besteht, die nicht nur die bildgebenden Befunde, sondern auch die lange Liste der möglicherweise zugrunde liegenden Krankheiten und Risikofaktoren untersuchen, die von Alkohol bis zu Hypophosphatasie reichen.
Größere Studien zu Behandlungsstrategien sind ebenfalls dringend erforderlich. Bislang gibt es nur wenige Belege – mit Uneinigkeit über die optimalen therapeutischen Ansätze. Manchmal wird das KM-Ödem sogar als vollständig reversibler Zustand angesehen, was gerade bei diesen chronischen Erkrankungen zur Unsicherheit über die Notwendigkeit einer Therapien führen kann [35]. Evidenzbasierte Behandlungsempfehlungen fehlen nach wie vor. Nur 9 der 25 verfügbaren interventionellen Studien waren kontrolliert, und nur eine systematische Literaturübersicht ist zum Thema der chirurgischen Modalitäten für das Management des KM-Ödemsyndroms verfügbar. Die aktuellen Behandlungsansätze reichen von nichtinvasiven Therapien bis hin zu chirurgischen und pharmakologischen Interventionen, und sind im Einzelfall je nach Schweregrad und Verlauf des KM-Ödemsyndroms sorgfältig abzuwägen. Insbesondere die ESWT gewann in den letzten Jahren an Bedeutung für eine schnelle Schmerzlinderung und Funktionsverbesserung. Als pharmakologische Interventionen können Prostaglandine und Bisphosphonate hilfreich sein, insbesondere in den frühen Stadien des KM-Ödemsyndroms. Nachdem die meisten chirurgischen Verfahren nur einen geringen Nutzen bei der Verringerung von Mikrofrakturen und der Vermeidung pathologischer Stressfaktoren bieten, sollte derzeit vorrangig eine konservative Therapie, insbesondere mit ESWT, in Betracht gezogen werden [36]. Nach deren Versagen wird eine intraossäre Dekompressionsbehandlung diskutiert [59].

Fazit für die Praxis

  • Primär sollte geklärt werden, ob ein Trauma oder eine entzündlich-rheumatologische Erkrankung dem Knochenmarködem zugrunde liegen können.
  • Die Evidenz für die möglichen Therapieoptionen bei primärem KM-Ödemsyndrom ist gering, daher ist die Patientenaufklärung auch zu den Therapieoptionen besonders wichtig.

Einhaltung ethischer Richtlinien

Interessenkonflikt

K. Stojanovska und M. Schirmer geben an, dass kein Interessenkonflikt besteht.
Für diesen Beitrag wurden von den Autoren keine Studien an Menschen oder Tieren durchgeführt. Für die aufgeführten Studien gelten die jeweils dort angegebenen ethischen Richtlinien.
Open Access Dieser Artikel wird unter der Creative Commons Namensnennung 4.0 International Lizenz veröffentlicht, welche die Nutzung, Vervielfältigung, Bearbeitung, Verbreitung und Wiedergabe in jeglichem Medium und Format erlaubt, sofern Sie den/die ursprünglichen Autor(en) und die Quelle ordnungsgemäß nennen, einen Link zur Creative Commons Lizenz beifügen und angeben, ob Änderungen vorgenommen wurden.
Die in diesem Artikel enthaltenen Bilder und sonstiges Drittmaterial unterliegen ebenfalls der genannten Creative Commons Lizenz, sofern sich aus der Abbildungslegende nichts anderes ergibt. Sofern das betreffende Material nicht unter der genannten Creative Commons Lizenz steht und die betreffende Handlung nicht nach gesetzlichen Vorschriften erlaubt ist, ist für die oben aufgeführten Weiterverwendungen des Materials die Einwilligung des jeweiligen Rechteinhabers einzuholen.
Weitere Details zur Lizenz entnehmen Sie bitte der Lizenzinformation auf http://creativecommons.org/licenses/by/4.0/deed.de.

Hinweis des Verlags

Der Verlag bleibt in Hinblick auf geografische Zuordnungen und Gebietsbezeichnungen in veröffentlichten Karten und Institutsadressen neutral.
Download
Titel
Klinische Aspekte der Knochenmarködeme: eine Literaturübersicht
Verfasst von
Klementina Stojanovska
Ao. Univ. Prof. Dr. Michael Schirmer
Publikationsdatum
05.06.2022
Verlag
Springer Vienna
Erschienen in
Journal für Mineralstoffwechsel & Muskuloskelettale Erkrankungen / Ausgabe 2/2022
Print ISSN: 2412-8260
Elektronische ISSN: 2412-8287
DOI
https://doi.org/10.1007/s41970-022-00194-w
1.
Zurück zum Zitat Wilson AJ, Murphy WA, Hardy DC, Totty WG (1988) Transient osteoporosis: Transient bone marrow edema? Radiology 167(3):757–760PubMedCrossRef
2.
Zurück zum Zitat González-Martín D, Herrera-Pérez M, Martín-Vélez P, Rendón-Díaz D (2019) Prevalence of bone marrow edema in a study population with foot and/or ankle pain. Foot 40:76–80. https://doi.org/10.1016/j.foot.2019.04.004CrossRefPubMed
3.
Zurück zum Zitat Zippelius T, Matziolis G, Röhner E, Windisch C, Lindemann C, Strube P (2019) Psychological distress and health-related quality of life in patients with bone marrow edema syndrome. Ann Transl Med 7(20):552–552PubMedPubMedCentralCrossRef
4.
Zurück zum Zitat Curtiss PH, Kincaid WE (1959) Transitory demineralization of the hip in pregnancy. A report of three cases. J Bone Joint Surg Am 41 A:1327–1333CrossRef
5.
Zurück zum Zitat Marcacci M, Andriolo L, Kon E, Shabshin N, Filardo G (2016) Aetiology and pathogenesis of bone marrow lesions and osteonecrosis of the knee. EFORT Open Rev 1(5):219–224PubMedPubMedCentralCrossRef
6.
Zurück zum Zitat Hofmann S (2005) The painful bone marrow edema syndrome of the hip joint. Wien Klin Wochenschr 117(4):111–120PubMedCrossRef
7.
Zurück zum Zitat Roemer FW, Frobell R, Hunter DJ, Crema MD, Fischer W, Bohndorf K et al (2009) MRI-detected subchondral bone marrow signal alterations of the knee joint: terminology, imaging appearance, relevance and radiological differential diagnosis. Osteoarthr Cartil 17(9):1115–1131. https://doi.org/10.1016/j.joca.2009.03.012CrossRef
8.
Zurück zum Zitat Aigner N, Meizer R, Petje G, Meizer E, Abdelkafy A, Landsiedl F (2008) Natural course of intra-articular shifting bone marrow edema syndrome of the knee. BMC Musculoskelet Disord. https://doi.org/10.1186/1471-2474-9-45CrossRefPubMedPubMedCentral
9.
Zurück zum Zitat Oehler N, Mussawy H, Schmidt T, Rolvien T, Barvencik F (2018) Identification of vitamin D and other bone metabolism parameters as risk factors for primary bone marrow oedema syndrome. BMC Musculoskelet Disord 19(1):451. https://doi.org/10.1186/s12891-018-2379-xCrossRefPubMedPubMedCentral
10.
Zurück zum Zitat Baier C, Schaumburger J, Götz J, Heers G, Schmidt T, Grifka J et al (2013) Bisphosphonates or prostacyclin in the treatment of bone-marrow oedema syndrome of the knee and foot. Rheumatol Int 33(6):1397–1402PubMedCrossRef
11.
Zurück zum Zitat Mirza R, Ishaq S, Amjad H (2012) Transient osteoporosis of the hip. J Pak Med Assoc 62(2):196–198PubMed
12.
Zurück zum Zitat Roth A, Beckmann J, Bohndorf K, Fischer A, Heiß C, Kenn W et al (2016) S3-Guideline non-traumatic adult femoral head necrosis. Arch Orthop Trauma Surg 136(2):165–174PubMedCrossRef
13.
Zurück zum Zitat Hörterer H, Baumbach SF, Gregersen J, Kriegelstein S, Gottschalk O, Szeimies U et al (2018) Treatment of bone marrow edema of the foot and ankle with the prostacyclin analog Iloprost. Foot Ankle Int 39(10):1183–1191PubMedCrossRef
14.
Zurück zum Zitat Trevisan C, Ortolani S, Monteleone M, Marinoni EC (2002) Regional migratory osteoporosis: A pathogenetic hypothesis based on three cases and a review of the literature. Clin Rheumatol 21(5):418–425PubMedCrossRef
15.
Zurück zum Zitat Ergin T, Selam B, Lembet A, Öztürk HB, Damlacik A, Demirel C (2010) Gebelikte geçici osteoporoz: Vaka sunumu. J Turkish German Gynecol Assoc 11(3):163–164CrossRef
16.
Zurück zum Zitat Bilgici A, Sakarya Ş, Selçuk MB, Sakarya Ö (2010) Transient bone marrow oedema syndrome: A report of two cases. HIP Int 20(3):335–337PubMedCrossRef
17.
Zurück zum Zitat Ververidis AN, Drosos GI, Kazakos KJ, Xarchas KC, Verettas DA (2009) Bilateral transient bone marrow edema or transient osteoporosis of the knee in pregnancy. Knee Surg Sports Traumatol Arthrosc 17(9):1061–1064PubMedCrossRef
18.
Zurück zum Zitat Meizer R, Radda C, Stolz G, Kotsaris S, Petje G, Krasny C et al (2005) MRI-controlled analysis of 104 patients with painful bone marrow edema in different joint localizations treated with the prostacyclin analogue iloprost. Wien Klin Wochenschr 117(7–8):278–286PubMedCrossRef
19.
Zurück zum Zitat Ragab Y, Emad Y, Abou-Zeid A (2008) Bone marrow edema syndromes of the hip: MRI features in different hip disorders. Clin Rheumatol 27(4):475–482PubMedCrossRef
20.
Zurück zum Zitat Thiryayi WA, Thiryayi SA, Freemont AJ (2008) Histopathological perspective on bone marrow oedema, reactive bone change and haemorrhage. Eur J Radiol 67(1):62–67PubMedCrossRef
21.
Zurück zum Zitat Starr AM, Wessely MA, Albastaki U, Pierre-Jerome C, Kettner NW (2008) Bone marrow edema: Pathophysiology, differential diagnosis, and imaging. Acta Radiol 49(7):771–786PubMedCrossRef
22.
Zurück zum Zitat Klontzas ME, Zibis AH, Vassalou EE, Karantanas AH (2017) MRI of the hip: current concepts on bone marrow oedema. Hip Int 27(4):329–335PubMedCrossRef
23.
Zurück zum Zitat Vassalou EE, Spanakis K, Tsifountoudis IP, Karantanas AH (2019) MR imaging of the hip: an update on bone marrow edema. Semin Musculoskelet Radiol 23(3):276–288PubMedCrossRef
24.
Zurück zum Zitat Steinbach LS, Suh KJ (2011) Bone marrow edema pattern around the knee on magnetic resonance imaging excluding acute traumatic lesions. Semin Musculoskelet Radiol 15(3):208–220PubMedCrossRef
25.
Zurück zum Zitat Driban JB, Price LL, Lo GH, Pang J, Hunter DJ, Miller E et al (2013) Evaluation of bone marrow lesion volume as a knee osteoarthritis biomarker—longitudinal relationships with pain and structural changes: Data from the Osteoarthritis Initiative. Arthritis Res Ther 15(5):R112PubMedPubMedCentralCrossRef
26.
Zurück zum Zitat Wang D, Hou Z, Gong Y, Chen S, Lin L, Xiao Z (2017) Bone edema on magnetic resonance imaging is highly associated with low bone mineral density in patients with ankylosing spondylitis. PLoS ONE 12(12):e189569PubMedPubMedCentralCrossRef
27.
Zurück zum Zitat Korompilias AV, Karantanas AH, Lykissas MG, Beris AE (2009) Bone marrow edema syndrome. Skelet Radiol 38(5):425–436CrossRef
28.
Zurück zum Zitat O’Hare A, Shortt C, Napier N, Eustace SJ (2006) Bone marrow edema: Patterns and clinical implications. Semin Musculoskelet Radiol 10(4):249–257PubMedCrossRef
29.
Zurück zum Zitat Horas K, Fraissler L, Maier G, Jakob F, Seefried L, Konrads C et al (2017) High prevalence of vitamin D deficiency in patients with bone marrow edema syndrome of the foot and ankle. Foot Ankle Int 38(7):760–766PubMedCrossRef
30.
Zurück zum Zitat Gigena LM, Chung CB, Lektrakul N, Pfirrmann CWA, Sung MS, Resnick D (2002) Transient bone marrow edema of the talus: MR imaging findings in five patients. Skelet Radiol 31(4):202–207CrossRef
31.
Zurück zum Zitat Eustace S, Keogh C, Blake M, Ward RJ, Oder PD, Dimasi M (2001) MR imaging of bone oedema: Mechanisms and interpretation. Clin Radiol 56(1):4–12PubMedCrossRef
32.
Zurück zum Zitat Suh CH, Yun SJ, Jin W, Lee SH, Park SY, Ryu CW (2018) Diagnostic performance of dual-energy CT for the detection of bone marrow oedema: a systematic review and meta-analysis. Eur Radiol 28(10):4182–4194PubMedCrossRef
33.
Zurück zum Zitat Bashaireh KM, Aldarwish FM, Al-Omari AA, Albashaireh MA, Hajjat M, Al-Ebbini MA et al (2020) Transient osteoporosis of the hip: Risk and therapy. Open Access Rheumatol Res Rev 12:1–8
34.
Zurück zum Zitat Hofmann S, Kramer J, Vakil-Adli A, Aigner N, Breitenseher M (2004) Painful bone marrow edema of the knee: Differential diagnosis and therapeutic concepts. Orthop Clin North Am 35(3):321–333PubMedCrossRef
35.
Zurück zum Zitat Radke S, Kirschner S, Seipel V, Rader C, Eulert J (2003) Treatment of transient bone marrow oedema of the hip—A comparative study. Int Orthop 27(3):149–152PubMedPubMedCentralCrossRef
36.
Zurück zum Zitat Diwanji SR, Cho YJ, Xin ZF, Yoon TR (2008) Conservative treatment for transient osteoporosis of the hip in middle-aged women. Singapore Med J 49(1):e17–21PubMed
37.
Zurück zum Zitat Chantelau EA, Antoniou S, Zweck B, Haage P (2018) Follow up of MRI bone marrow edema in the treated diabetic Charcot foot—a review of patient charts. Diabet Foot Ankle. https://doi.org/10.1080/2000625X.2018.1466611CrossRefPubMedPubMedCentral
38.
Zurück zum Zitat Kang S, Gao F, Han J, Mao T, Sun W, Wang B et al (2018) Extracorporeal shock wave treatment can normalize painful bone marrow edema in knee osteoarthritis. Medicine 97(5):e9796PubMedPubMedCentralCrossRef
39.
Zurück zum Zitat Gao F, Sun W, Li Z, Guo W, Wang W, Cheng L et al (2015) Extracorporeal shock wave therapy in the treatment of primary bone marrow edema syndrome of the knee: a prospective randomised controlled study orthopedics and biomechanics. BMC Musculoskelet Disord 16(1):379PubMedPubMedCentralCrossRef
40.
Zurück zum Zitat d’Agostino C, Romeo P, Lavanga V, Pisani S, Sansone V (2014) Effectiveness of extracorporeal shock wave therapy in bone marrow edema syndrome of the hip. Rheumatol Int 34(11):1513–1518PubMedCrossRef
41.
Zurück zum Zitat Sansone V, Romeo P, Lavanga V (2017) Extracorporeal shock wave therapy is effective in the treatment of bone marrow edema of the medial compartment of the knee: a comparative study. Med Princ Pract 26(1):23–29PubMedCrossRef
42.
Zurück zum Zitat Vitali M, Naim Rodriguez N, Pedretti A, Drossinos A, Pironti P, Di Carlo G et al (2018) Bone marrow edema syndrome of the medial femoral condyle treated with extracorporeal shock wave therapy: a clinical and MRI retrospective comparative study. Arch Phys Med Rehabil 99(5):873–879. https://doi.org/10.1016/j.apmr.2017.10.025CrossRefPubMed
43.
Zurück zum Zitat Calvo E, Fernandez-Yruegas D, Alvarez L (2000) Core decompression shortens the duration of pain in bone marrow oedema syndrome. Int Orthop 24(2):88–91. https://doi.org/10.1007/s002640000120CrossRefPubMedPubMedCentral
44.
Zurück zum Zitat Radke S, Rader C, Kenn W, Kirschner S, Walther M, Eulert J (2003) Transient marrow edema syndrome of the hip: Results after core decompression. A prospective MRI-controlled study in 22 patients. Arch Orthop Trauma Surg 123(5):223–227PubMedCrossRef
45.
Zurück zum Zitat Berger CE, Kröner AH, Kristen KH, Grabmeier GF, Kluger R, Minai-Pour MB et al (2006) Transient bone marrow edema syndrome of the knee: Clinical and magnetic resonance imaging results at 5 years after core decompression. Arthroscopy 22(8):866–871PubMedCrossRef
46.
Zurück zum Zitat Aigner N, Petje G, Steinboeck G, Schneider W, Krasny C, Landsiedl F (2001) Treatment of bone-marrow oedema of the talus with the prostacyclin analogue iloprost. J Bone Joint Surg Br 83-B(6):855–858CrossRef
47.
Zurück zum Zitat Aigner N, Petje G, Schneider W, Meizer R, Wlk M, Kotsaris S et al (2005) Bone marrow edema syndrome of the femoral head: Treatment with the prostacyclin analogue iloprost vs. core decompression: An MRI-controlled study. Wien Klin Wochenschr 117(4):130–135PubMedCrossRef
48.
Zurück zum Zitat Mayerhoefer ME, Kramer J, Breitenseher MJ, Norden C, Vakil-Adli A, Hofmann S et al (2007) Short-term outcome of painful bone marrow oedema of the knee following oral treatment with iloprost or tramadol: Results of an exploratory phase II study of 41 patients. Rheumatology 46(9):1460–1465PubMedCrossRef
49.
Zurück zum Zitat Jäger M, Tillmann FP, Thornhill TS, Mahmoudi M, Blondin D, Hetzel GR et al (2008) Rationale for prostaglandin I2 in bone marrow oedema—From theory to application. Arthritis Res Ther 10(5):R120PubMedPubMedCentralCrossRef
50.
Zurück zum Zitat Jäger M, Zilkens C, Bittersohl B, Matheney T, Kozina G, Blondin D et al (2011) Efficiency of iloprost treatment for osseous malperfusion. Int Orthop 35(5):761–765PubMedCrossRef
51.
Zurück zum Zitat Röhner E, Zippelius T, Steindl D, Fussi J, Perka C (2014) Effects of intravenous iloprost therapy in patients with bone marrow oedema of the foot and ankle. Eur J Orthop Surg Traumatol 24(8):1609–1616PubMedCrossRef
52.
Zurück zum Zitat Claßen T, Becker A, Landgraeber S, Haversath M, Li X, Zilkens C et al (2016) Long-term clinical results after iloprost treatment for bone marrow edema and avascular necrosis. Orthop Rev (Pavia) 8(1):23–27CrossRef
53.
Zurück zum Zitat Ringe JD, Dorst A, Faber H (2005) Effective and rapid treatment of painful localized transient osteoporosis (bone marrow edema) with intravenous ibandronate. Osteoporos Int 16(12):2063–2068PubMedCrossRef
54.
Zurück zum Zitat Bartl C, Imhoff A, Bartl R (2012) Treatment of bone marrow edema syndrome with intravenous Ibandronate. Arch Orthop Trauma Surg 132(12):1781–1788PubMedCrossRef
55.
Zurück zum Zitat Singh D, Ferrero A, Rose B, Goldberg A, Cullen N (2016) Bone marrow edema syndrome of the foot and ankle: Mid- to long-term follow-up in 18 patients. Foot Ankle Spec 9(3):218–226PubMedCrossRef
56.
Zurück zum Zitat Capone A, Podda D, Ennas F, Iesu C, Casciu L, Civinini R (2011) Hyperbaric oxygen therapy for transient bone marrow oedema syndrome of the hip. HIP Int 21(2):211–216PubMedCrossRef
57.
Zurück zum Zitat Kesemenli CC, Memisoglu K, Muezzinoglu US, Akansel G (2013) Treatment for painful bone marrow edema by open wedge tibial osteotomy. Eur J Orthop Surg Traumatol 23(7):825–829PubMedCrossRef
58.
Zurück zum Zitat Chatterjee D, McGee A, Strauss E, Youm T, Jazrawi L (2015) Subchondral calcium phosphate is ineffective for bone marrow edema lesions in adults with advanced osteoarthritis. Clin Orthop Relat Res 473(7):2334–2342PubMedPubMedCentralCrossRef
59.
Zurück zum Zitat Ververidis AN, Paraskevopoulos K, Tilkeridis K, Riziotis G, Tottas S, Drosos GI (2020) Surgical modalities for the management of bone marrow edema of the knee joint. J Orthop 17:30–37. https://doi.org/10.1016/j.jor.2019.08.025CrossRefPubMed