Zum Inhalt

Die Nebenniere: zwischen Diagnostik, konservativer und operativer Therapie

Erschienen in:

Zusammenfassung

Die Nebennieren spielen eine zentrale Rolle in der Regulation verschiedenster Stoffwechselprozesse im Körper, nicht zuletzt aufgrund der adrenalen Produktion des lebenswichtigen Hormons Hydrokortison. Erkrankungen der Nebenniere manifestieren sich als Funktionsstörungen in der Produktion der einzelnen Nebennierenhormone und/oder stellen als zufällig aufgefallene Raumforderungen nicht nur die Endokrinologen, sondern immer wieder auch andere Fachdisziplinen vor diagnostische und therapeutische Herausforderungen. Die aktuelle europäische Leitlinie zu Inzidentalomen der Nebennieren gibt hierzu gute Handlungsanweisungen für die Praxis. Dennoch steht sehr häufig am Ende der Entscheidungskette ein interdisziplinäres Team, in welchem die Fälle besprochen werden sollten.

Hinweis des Verlags

Der Verlag bleibt in Hinblick auf geografische Zuordnungen und Gebietsbezeichnungen in veröffentlichten Karten und Institutsadressen neutral.

Anatomie und Physiologie

Die Nebennieren liegen neben bzw. oberhalb der Nieren und sind entsprechend paarig angelegt. Die Nebennieren bestehen aus der Nebennierenrinde und dem Nebennierenmark. Im Nebennierenmark werden die Katecholamine, vorrangig Adrenalin und Noradrenalin, produziert. Die Nebennierenrinde besteht aus 3 Zonen. Die äußerste Zone, die Zona glomerulosa, ist für die Produktion der Mineralokortikoide, v. a. Aldosteron, zuständig. In der mittleren Zone, der Zona fasciculata, werden die Glukokortikoide, u. a. Hydrokortison (Kortisol), produziert. In der innersten Zone, der Zona reticularis, werden die adrenalen Androgene gebildet. Das wichtigste Hormon der Nebennierenrinde ist das Kortisol. Ohne Kortisol ist der Mensch nicht lebensfähig. Die Steuerung der Nebennierenrinde erfolgt z. T über die Hypophyse, dies gilt für die Produktion und Freisetzung von Hydrokortison und der adrenalen Androgene. Die Produktion und Freisetzung von Aldosteron werden über das Renin-Angiotensin-System gesteuert.

Funktionsstörungen der Nebenniere

Funktionsstörungen der Nebenniere können die Nebenniere in ihrer Gesamtheit oder nur jeweils einzelne Hormone betreffen. Bei der Funktionsstörung kann es sich entweder um eine Über- oder eine Unterfunktion handeln.
Eine Nebennierenunterfunktion im Sinne einer sog. primären Nebenniereninsuffizienz betrifft in der Regel sämtliche Hormone der Nebennierenrinde. Bei einer sekundären bzw. tertiären Nebenniereninsuffizienz liegt die Ursache der Unterfunktion in der Hypophyse bzw. im Hypothalamus. Hierbei fallen lediglich die ACTH(adrenokortikotropes Hormon)-abhängigen Glukokortikoide und Androgene aus, die Aldosteronproduktion ist nicht betroffen, und dieses Hormon muss dementsprechend auch nicht substituiert werden. Eine primäre Nebenniereninsuffizienz ist meist irreversibel und bedarf einer lebenslangen Hormonsubstitutionstherapie mit Hydrokortison und Fludrokortison, welches mit seiner Wirkung dem Aldosteron entspricht. Die Substitution mit Hydrokortison muss in Stresssituationen wie beispielsweise Krankheiten oder Operationen angepasst, d. h. erhöht werden. Die Patienten sollten hierzu eine Schulung und einen Notfallausweis erhalten. Die Patienten lernen in einer solchen Schulung, wie sie selbstständig ihre Dosis anpassen können und müssen. Der Notfallausweis gibt den mit- und weiterbehandelnden Ärzten für bestimmte Situationen, wie eine Operation, konkrete Dosierungsempfehlungen des Hydrokortisons. Die Hydrokortisonsubstitutionstherapie ist lebensnotwendig und darf nicht einfach beendet werden.
Eine sekundäre oder tertiäre Nebenniereninsuffizienz können je nach Ursache reversibel sein. Mittels Funktionstestung kann man überprüfen, ob die körpereigene Hormonproduktion wieder adäquat funktioniert und somit die Substitutionstherapie beendet werden kann. So kann es beispielsweise nach einer länger dauernden hochdosierten Steroidtherapie aufgrund einer anderen Erkrankung zu einer tertiären Nebenniereninsuffizienz kommen, die aber dann nach mehreren Wochen oder Monaten komplett reversibel ist.
Eine Unterfunktion des Nebennierenmarks spielt praktisch keine Rolle, da dessen Funktion u. a. durch den Grenzstrang bzw. das sympathische Nervensystem übernommen werden kann.
Eine Überfunktion der Nebenniere kann von jeder Zone der Nebennierenrinde oder vom Nebennierenmark ausgehen. Meist finden sich eine oder mehrere Raumforderungen in der Nebenniere, die ursächlich für die Hormonüberproduktion sind. In den meisten Fällen sind diese Raumforderungen benigne, aber es gibt auch maligne Tumoren der Nebenniere, die metastasieren können. Durch die Hormonüberproduktion kommt es je nach produziertem Hormon zu einer typischen klinischen Symptomatik, die Anlass zu einer entsprechenden weiterführenden Diagnostik gibt.

Hyperaldosteronismus oder Conn-Syndrom

Bei dieser Funktionsstörung wird vermehrt Aldosteron ausgeschüttet. Es kann zu Elektrolytstörungen mit einer Hypokaliämie und selten Hypernatriämie kommen, gelegentlich sind die Kaliumwerte aber komplett unauffällig. Des Weiteren findet sich typischerweise eine arterielle Hypertonie, z. T. schwer einstellbar. Diese schwer einstellbare oder neu aufgetretene Hypertonie ist meist Anlass für eine entsprechende Diagnostik hinsichtlich des Hyperaldosteronismus.

Hyperkortisolismus oder adrenales Cushing-Syndrom

Das klinische Bild eines Cushing-Syndroms kann je nach Dauer der Erkrankung eine Vielzahl von Symptomen umfassen. Hierzu gehören Stammfettsucht, Vollmondgesicht, Osteoporose mit multiplen Frakturen, Hirsutismus bei Frauen. Zusätzlich finden sich häufig Gerinnungsstörungen, zum einen besteht ein erhöhtes Thromboserisiko, zum anderen tritt aber auch eine vermehrte Blutungsneigung mit Hämatomneigung und Hauteinblutungen auf. Weiterhin können sich im Bereich des Abdomens sog. Striae rubrae finden. Es besteht eine erhöhte Infektneigung, was bei einem unbehandelten Cushing-Syndrom nicht selten bis hin zum Tod im Rahmen einer schweren Sepsis führen kann. Weitere Symptome sind häufig ein Bluthochdruck und ein steroidinduzierter Diabetes mellitus. Bei milder verlaufenden Formen des Cushing-Syndroms, früher auch als subklinisches Cushing-Syndrom beschrieben, finden sich zwar nicht unbedingt die typischen klinischen Stigmata, aber es zeigt sich insgesamt eine erhöhte Mortalität, bedingt durch ein signifikant erhöhtes kardiovaskuläres Risiko.

Überproduktion von adrenalen Androgenen

Bei einer Überproduktion von Androgenen finden sich bei prämenopausalen Frauen Zyklusstörungen bis hin zur sekundären Amenorrhö. Weiterhin treten ein Hirsutismus und Virilisierungserscheinungen in unterschiedlichem Ausmaß auf. Bei Männern dagegen finden sich keine typischen Symptome. Eine Androgenüberproduktion findet sich vorrangig beim Nebennierenrindenkarzinom.

Überproduktion von Katecholaminen oder Phäochromozytom

Bei einem Phäochromozytom handelt es sich um einen häufig gutartigen Tumor des Nebennierenmarks. Hierbei findet sich eine vermehrte Produktion sowohl von Adrenalin als auch von Noradrenalin, teilweise aber auch nur vorrangig eines der beiden. Seltener tritt eine Überproduktion von Dopamin auf, dies kann dann ein Hinweis auf Malignität sein. Ein Phäochromozytom kann einseitig oder beidseitig auftreten, bei beidseitigem Auftreten sollte immer an eine genetische Ursache gedacht werden. Ebenso sollte bei einem Manifestationsalter unter 50 Jahren immer eine humangenetische Beratung empfohlen werden. Eine Katecholaminüberproduktion kann zu einer dauerhaften oder nur anfallsweise auftretenden Hypertonie führen, gelegentlich auch nur zu einer Tachykardie, je nachdem, welches Hormon vorrangig produziert wird. Gelegentlich findet sich eine diabetische Stoffwechsellage. In Einzelfällen präsentieren sich die Betroffenen auch nur mit einer Hyperhidrose.

Nebennierenraumforderungen

Bei den genannten Syndromen mit einer Hormonüberproduktion lassen sich in der Bildgebung entsprechend Raumforderungen der Nebenniere nachweisen, welche im Einzelfall auch mal relativ klein sein können. Raumforderungen der Nebenniere können aber nicht nur direkt von der Nebenniere ausgehen, sondern es kann sich um Raumforderungen anderen Ursprungs handeln. Eine Zusammenstellung findet sich in Tab. 1.
Tab. 1
Nebennierenraumforderungen (Entitäten)
Benigne
Maligne
Sonstige
Adenom
– Hormonaktiv
– Hormoninaktiv
Karzinom
– Hormonaktiv
– Hormoninaktiv
Tuberkulose
Einblutung
Phäochromozytom
Phäochromozytom
(Angio‑)Myelolipom
Metastasen
Zyste
Lymphom
Ganglioneurom
Makronoduläre Hyperplasie (i. d. R. bds.)
Mikronoduläre Hyperplasie (i. d. R. bds.)
Wenn nicht gezielt aufgrund von Symptomen einer Nebennierenfunktionsstörung nach einer Nebennierenraumforderung gesucht wird, finden sich diese meist als Zufallsbefund im Rahmen einer Bildgebung, die primär nicht intendiert war, um Nebennierenraumforderungen zu detektieren. In diesem Fall spricht man zunächst von den sog. Inzidentalomen. Die Angaben zur Häufigkeit variieren je nach Literatur bzw. Fallserie (Autopsien, Chirurgie oder Bildgebung) zwischen 1 und 10 %. Der Häufigkeitsgipfel findet sich um das 50.–60. Lebensjahr. Findet sich eine Raumforderung bei jüngeren Personen, ist die Wahrscheinlichkeit für Malignität deutlich erhöht. Des Weiteren ist die Wahrscheinlichkeit für Malignität bei größeren Raumforderungen (größer als 6 cm) mit 25 % deutlich höher als bei kleineren.
Wenn man in der Bildgebung eine Nebennierenraumforderung, ein Inzidentalom, entdeckt, stellen sich 2 essenzielle Fragen:
1.
Ist die Raumforderung benigne oder maligne?
 
2.
Liegt eine Hormonproduktion vor?
 
Zu der ersten Frage kann die Bildgebung entscheidende Hinweise geben. Die zweite Frage lässt sich mit einer erweiterten Labordiagnostik inklusive eventueller Funktionstests einzelner Hormonachsen beantworten.

Bildgebung

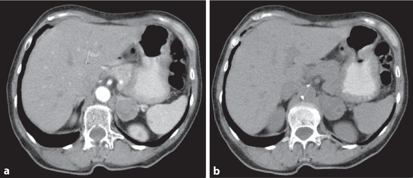
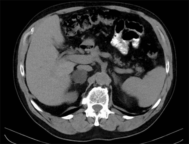
Nebennierenraumforderungen können je nach Größe der Raumforderung in jeder Bildgebung des Oberbauchs detektiert werden. Wenn diese Bildgebung nicht initial für die Darstellung der Nebennieren intendiert war, kann es je nach verwendeter Bildgebung erforderlich sein, ein ergänzendes Verfahren einzusetzen. Erste Aussagen können zwar in der Regel bereits mit der ersten Bildgebung getroffen werden, wie Größe und Lage und Abgrenzbarkeit zu umliegenden Strukturen und Organen. Um die Dignität der zufällig aufgefallenen Nebennierenraumforderung zu klären, ist aber häufig die initiale Bildgebung nicht adäquat. Das Diagnostikum der ersten Wahl bei der Frage nach der Dignität ist eine native Computertomographie (CT) des Oberbauchs. Hierbei wird die Dichte der Nebennierenraumforderung im CT ermittelt, und bei einer Dichte von 10 Hounsfield-Einheiten (HU) oder weniger (bedingt durch den hohen Fettanteil von Adenomen) ist von einer benignen Raumforderung auszugehen, wobei ein zusätzliches Kriterium auch die Homogenität der Raumforderung ist. Bei höheren Dichtewerten in der nativen CT müssen ggf. weitere Kriterien, wie zusätzliche Kontrastmittelphasen (3-Phasen-Kontrastmittel-CT), zur genaueren Charakterisierung hinzugezogen werden. Alternativ, insbesondere bei jüngeren Personen oder Schwangeren, kann auch eine Magnetresonanztomographie (MRT) zum Einsatz kommen. Diese wäre auch bei Patienten mit Kontraindikationen gegen eine Kontrastmittelgabe bei der CT als ergänzendes Diagnostikum zu verwenden. Hier ist am besten ein sog. „chemical shift“ MRT geeignet, um zwischen benignen und malignen Raumforderungen zu unterscheiden. Dabei wird ein definierter Signalabfall zwischen der sog. In- und Opposed-Phase als Kriterium für benigne Raumforderungen gewertet. In Abb. 1 ist ein typisches Adenom in einer nativen CT des Oberbauchs zu sehen. Abb. 2 und 3 zeigen jeweils das native Bild und die arterielle KM-Phase. Abb. 2 zeigt dabei einen Fall eines lokal fortgeschrittenen und metastasierten Nebennierenrindenkarzinoms. In Abb. 3 findet sich ein Phäochromozytom.
Abb. 1
Computertomographie (nativ) eines Nebennierenadenoms rechts
Bild vergrößern
Abb. 2
Computertomographie eines lokalfortgeschrittenen Nebennierenkarzinoms links mit Peritonealkarzinose (a arterielle KM-Phase, b nativ)
Bild vergrößern
Abb. 3
Computertomographie eines Phäochromozytoms links (a arterielle KM-Phase, b nativ)
Bild vergrößern
Je nach weiterer Fragestellung können zusätzliche bildgebende Verfahren zum Einsatz kommen. Dabei spielen zusätzliche nuklearmedizinische Verfahren insbesondere bei Verdacht auf ein Phäochromozytom eine wichtige Rolle. Hier kann entweder eine MIBG-Szintigraphie (Metajodbenzylguanidinszintigraphie) durchgeführt werden oder eine 18F(Fluor)-DOPA(Dihydroxyphenylalanin)-PET-CT zum Einsatz kommen, wobei letztere je nach Zentrum nicht unbedingt verfügbar ist.
Eine FDG-PET-CT (18Fluor-Desoxyglukose-PET-CT) kommt v. a. zum Einsatz, wenn im Raum steht, dass es sich um eine maligne Raumforderung handelt. Eine besondere Rolle nimmt das FDG-PET-CT dann ein, wenn bei einem Malignom anderen Ursprungs als der Nebenniere weitere Metastasen ausgeschlossen werden sollen, beispielsweise vor einer eventuellen Operation der Nebennierenmetastase.

Hormondiagnostik

Zufällig entdeckte Raumforderungen können, wenn sie von der Nebenniere direkt ausgehen, entweder hormonell aktiv oder inaktiv sein. Bei hormonell aktiven Raumforderungen ist in der Regel eine Therapie erforderlich, während gutartige hormonell inaktive Raumforderungen je nach Größe keiner weiteren Behandlung bedürfen.
Zunächst stehen die Anamnese und die klinische Untersuchung an erster Stelle. Hier ist nach Befunden und Symptomen, die auf eine hormonelle Aktivität hinweisen können, zu suchen. Die entsprechenden Symptome sind weiter oben unter den Überfunktionen der einzelnen Nebennierenhormone beschrieben.
Im Rahmen der Hormondiagnostik sollte bei allen Patienten mit Nebennierenraumforderungen ein Hyperkortisolismus ausgeschlossen werden, auch bei Fehlen typischer Stigmata eines Cushing-Syndroms. Am besten ist hierfür als Screeningtest der 1‑mg-Dexamethason-Hemmtest geeignet. Dieser funktioniert so, dass um 23 Uhr 1 mg Dexamethason eingenommen und am nächsten Morgen um 8 Uhr das Kortisol im Serum gemessen werden. Der Test ist unauffällig, wenn dieser Wert unter 1,8 µg/dl (50 nmol/l) liegt. Bei einem auffälligen Befund sollte noch ACTH im Plasma gemessen werden, welches bei einem adrenalen Cushing-Syndrom erniedrigt ist. In einzelnen Fällen kann es erforderlich sein, eine weitere Hormondiagnostik, wie beispielsweise die Bestimmung der Kortisolausscheidung im 24-h-Sammelurin, zu ergänzen. Grenzwertige Befunde müssen ggf. im Verlauf nochmals reevaluiert werden.
Eine Diagnostik auf einen Hyperaldosteronismus wird vorrangig nur bei Vorhandensein einer arteriellen Hypertonie und/oder rezidivierender Hypokaliämien empfohlen. Als Screeningtest dient hier die Bestimmung des Aldosteron-Renin-Quotienten. Da dieser Quotient sehr stark von der eingenommenen antihypertensiven Medikation beeinflusst wird, muss die Medikation vorab umgestellt werden. Dabei müssen Medikamente wie Spironolacton, Eplerenon und Drospirenon mindestens 4 Wochen, andere Antihypertensiva, wie Betablocker, andere Diuretika, AT1-Blocker und ACE-Hemmer mindestens 1 Woche pausiert sein. Unproblematisch bei der Messung sind Alphablocker, Kalziumantagonisten (vorrangig vom Verapamiltyp) und Dihydralazin, auf diese Präparate müsste der Patient dann ggf. umgestellt werden. Bei auffälligem Quotienten können sich als Bestätigungstest dann ein Kochsalzbelastungstest und ggf. ein Orthostasetest anschließen, ein ergänzender Nebennierenvenenkatheter ist insbesondere bei Nachweis beidseitiger Raumforderungen vor Planung einer operativen Intervention erforderlich.
Eine Diagnostik auf ein Phäochromozytom sollte wiederum bei allen Patienten mit Nebennierenraumforderung erfolgen, insbesondere auch dann, wenn bei malignitätsverdächtigen Raumforderungen ggf. eine Punktion geplant ist. Als Screeningtest eignet sich hier am besten die Bestimmung der Metanephrine und Normetanephrine, entweder im Plasma oder im angesäuerten 24-h-Sammelurin. Hier können zwar einzelne Antihypertensiva den Messwert auch beeinflussen, eine Umstellung der Medikation ist aber in der Regel für die Screeningdiagnostik nicht erforderlich.
Eine Bestimmung der adrenalen Androgene wird nicht routinemäßig empfohlen, lediglich bei klinischen Befunden eines Hirsutismus oder einer Virilisierung, d. h. bei Verdacht auf Malignität, sollte DHEAS (Dehydroepiandrosteronsulfat) bestimmt werden, wobei der prädiktive Wert kontrovers diskutiert wird, jedoch kann der Parameter ggf. im Weiteren als Verlaufsmarker dienen.

Punktion von Nebennierenraumforderungen

Eine Punktion von Nebennierenraumforderungen wird in der Regel nicht empfohlen. Lediglich bei Verdacht auf Metastasen eines Tumors anderen Ursprungs kann eine Punktion erwogen werden, wenn dies eine therapeutische Konsequenz hat. Ein Phäochromozytom sollte auf jeden Fall vorher ausgeschlossen sein. Idealerweise sollte der Fall zuvor in einem interdisziplinären Team besprochen werden.

Therapie bei Nebennierenraumforderungen

Die Therapie von Nebennierenraumforderungen ist abhängig von der Dignität und der hormonellen Aktivität der Raumforderung. Raumforderungen mit einer Größe von weniger als 4 cm und ohne Hinweis auf eine hormonelle Aktivität bedürfen keiner Therapie, und es sind nach der aktuellen europäischen Leitlinie keine Verlaufskontrollen empfohlen. Raumforderungen, für die diese Kriterien nicht zutreffen, sollten idealerweise in einem interdisziplinären Team besprochen werden. Therapie der Wahl bei einer Raumforderung mit hormoneller Aktivität ist die Operation, in der Regel kommen hier laparoskopische Verfahren zum Einsatz. In Abhängigkeit davon, welches Hormon produziert wird, sind eine spezielle Vor- und/oder Nachbehandlung erforderlich.
Bei einem adrenalen Cushing-Syndrom ist in der Regel die kontralaterale Nebenniere in ihrer Kortisolproduktion supprimiert. Daher ist eine peri- und postoperative Hydrokortisonsubstitution, analog zur Behandlung einer aus anderen Gründen bestehenden primären oder sekundären/tertiären Nebenniereninsuffizienz, erforderlich. Die Dosierungen sind die gleichen wie bei einer Nebenniereninsuffizienz anderer Genese. Im Verlauf kann sich die kontralaterale Nebenniere so weit erholen, dass sie die Funktion komplett übernimmt. Dies ist durch entsprechende Funktionstestungen im Verlauf nachzuweisen. Bis dahin ist aber die Hydrokortisonsubstitutionstherapie für die betroffenen Patienten lebensnotwendig. Idealerweise empfiehlt sich eine entsprechende endokrinologische Mitbetreuung prä- und postoperativ. Sollte ein operativer Eingriff bei einem adrenalen Cushing-Syndrom nicht möglich sein, kann alternativ mit Präparaten, welche einzelne Schritte der Kortisolbiosynthese blockieren (Ketoconazol, Metopiron oder Osilodrostat), eine medikamentöse Behandlung des Cushing-Syndroms erfolgen.
Liegt ein Hyperaldosteronismus vor, wird eine Vorbehandlung mit einem Aldosteronantagonisten (vorrangig Spironolacton) empfohlen, um eine postoperative mineralokortikoide Insuffizienz zu verhindern. Diese Therapie muss nach der Operation beendet werden. Je nach Alter des Patienten und Dauer der arteriellen Hypertonie können evtl. weitere eingenommene Antihypertensiva ebenfalls abgesetzt oder reduziert werden. Es kann aber sein, dass weiterhin eine antihypertensive Medikation erforderlich ist und die Operation nur eine teilweise Besserung, im Einzelfall auch keine Besserung, der Blutdruckeinstellung bringt, weshalb auch hier präoperativ eine Besprechung im interdisziplinären Team unbedingt zu empfehlen ist. Alternativ zur Operation kann bei einem Hyperaldosteronismus eine dauerhafte Therapie mit Spironolacton oder Eplerenon, wobei Letzteres in dieser Indikation nicht zugelassen ist, erfolgen.
Ein Phäochromozytom muss zwingend mittels Alphablockade vorbehandelt werden, um intraoperative hypertensive Krisen zu vermeiden. Je nach parallel vorhandener Tachykardie kann ergänzend eine Betablockade notwendig sein, die aber erst nach der Alphablockade gestartet werden sollte, da es sonst zu paradoxen hypertensiven Entgleisungen kommen kann. Die Alphablockertherapie sollte idealerweise mindestens 10–14 Tage vor geplanter Operation eingeleitet werden. Um eine optimale Blockade zu erreichen, kann hier einige Tage präoperativ eine weitere Einstellung unter stationären Bedingungen sinnvoll sein, da es unter der häufig notwendigen relativ hohen Dosierung des Alphablockers zur Kreislaufdepression kommen kann. Intraoperativ ist auf eine ausreichende Volumenzufuhr zu achten, da es nach Entfernung des Tumors sonst zu starken Blutdruckabfällen kommt. Die Alpha- und Betablockade sind mit der Operation zu beenden. Bei Diagnose eines Phäochromozytoms sollte eine humangenetische Diagnostik, insbesondere bei jüngeren Personen, angestrebt werden. Aufgrund eines gewissen Rezidivrisikos und histologisch nie sicher auszuschließender Malignität ist im Anschluss an den operativen Eingriff eine regelmäßige Nachsorge beim Endokrinologen wichtig. Sollte eine Operation nicht möglich oder gewünscht sein, kann alternativ eine dauerhafte Alphablockertherapie, ggf. in Kombination mit einem Betablocker, erfolgen.
Bei Verdacht auf Malignität, insbesondere bei Hinweisen auf ein Nebennierenrindenkarzinom, kann bei kleinen Tumoren ohne Hinweis auf eine Metastasierung der Tumor prinzipiell auch mit einem laparoskopischen Verfahren entfernt werden. Bei größeren Tumoren und/oder Verdacht auf lokale Infiltration oder Metastasen sollte direkt ein offenes Verfahren zum Einsatz kommen. Um das optimale Verfahren für den Patienten zu wählen, sollten diese Fälle immer in einem interdisziplinären Team vorab besprochen werden.
Nebennierenraumforderungen, die größer als 4 cm sind, aber keine Malignitätskriterien aufweisen, oder kleinere Raumforderungen mit intermediären Kriterien hinsichtlich der Dignität in der Bildgebung, können zunächst nur beobachtet werden. Es wird eine Kontrollbildgebung nach 6–12 Monaten empfohlen. Bei einem Wachstum von mehr als 20 % oder 5 mm in einem Diameter würde dann eine Operation empfohlen werden, bei einem geringeren Wachstum wäre eine weitere Verlaufskontrolle wieder nach 6–12 Monaten möglich.
Eine Sonderkonstellation stellt der Verdacht auf eine autonome Kortisolproduktion dar. Hierbei liegt kein manifestes Cushing-Syndrom vor, es findet sich aber eine auffällige Hormondiagnostik mit nicht ausreichender Kortisolsuppression im Dexamethasonhemmtest. Diese Konstellation wurde früher auch als subklinisches Cushing-Syndrom bezeichnet. Diese Patienten beobachtet man vorrangig hinsichtlich ihrer kardiovaskulären Risikofaktoren, welche dann entsprechend medikamentös einzustellen sind. Eine Operation wäre nur bei Entwicklung eines manifesten Cushing-Syndroms zu empfehlen, da ansonsten ein Nutzen gegenüber den potenziellen Risiken der Operation bisher nicht sicher belegt werden konnte.
Bei Vorhandensein beidseitiger Raumforderungen sollte jede Raumforderung für sich getrennt betrachtet werden. Bei einem Hyperaldosteronismus kann ggf. ein Nebennierenvenenkatheter eine Lateralisierung der Hormonproduktion nachweisen, bei einem Hyperkortisolismus ist dies nicht sicher möglich. Bei einem Phäochromozytom hilft hier meist die nuklearmedizinische Diagnostik weiter. Die Entscheidung für eine beidseitige Adrenalektomie sollte genau abgewogen und interdisziplinär besprochen werden. Hier ist insbesondere die lebenslang notwendige Hormonsubstitution mit Hydrokortison in Relation zu dem Nutzen einer Entfernung beider Nebennieren zu stellen.

Zusammenfassung zum praktischen Vorgehen bei Nachweis eines Inzidentaloms der Nebenniere in der Bildgebung

Primärdiagnostik:
1.
Dignitätsklärung
  • CT nativ oder
  • MRT mit „chemical shift“
  • Ggf. ergänzende Bildgebung
 
2.
Hormondiagnostik
  • Dexamethasonhemmtest mit 1 mg
  • Metanephrine und Normetanephrine im Plasma oder 24-h-Sammelurin
  • Bei Hypertonie und/oder Hypokaliämie Aldosteron-Renin-Quotient (ggf. vorher Umstellung Medikation erforderlich)
  • Bei V. a. Malignität DHEAS (optional)
 
Empfehlung zum weiteren Vorgehen:
a.
Eindeutiges Adenom, ohne Hinweis auf hormonelle Aktivität, Größe < 4 cm
  • Keine weiteren Kontrollen erforderlich
 
b.
Eindeutiges Adenom, ohne Hinweis auf hormonelle Aktivität, Größe > 4 cm
  • Besprechung im interdisziplinären Team
  • Bildmorphologische Kontrollen in 6–12 Monaten
  • Wachstum > 20 % ggf. Operation
 
c.
Nicht eindeutig benigne, aber auch nicht eindeutig maligne, ohne Hinweis auf hormonelle Aktivität, Größe < 4 cm
  • Besprechung im interdisziplinären Team
  • Bildmorphologische Kontrolle in 6–12 Monaten
  • Ggf. Operation
 
d.
Malignitätskriterien der Raumforderung, jegliche Größe,
  • Besprechung im interdisziplinären Team
  • Auf jeden Fall Ausschluss Phäochromozytom
  • Ggf. Punktion
  • Operation
 
e.
Hormonelle Aktivität, benigne oder maligne
  • Ggf. weiterführende ergänzende Diagnostik (z. B. Nebennierenvenenkatheter, MIBG-Szintigraphie usw.)
  • Besprechung im interdisziplinären Team
  • Operation (mit ggf. Vorbehandlung) oder
  • Spezifische medikamentöse Therapie
 

Einhaltung ethischer Richtlinien

Interessenkonflikt

T. Bergmann gibt an, dass kein Interessenkonflikt besteht.
Für diesen Beitrag wurden von den Autor/-innen keine Studien an Menschen oder Tieren durchgeführt. Für die aufgeführten Studien gelten die jeweils dort angegebenen ethischen Richtlinien.
Open Access Dieser Artikel wird unter der Creative Commons Namensnennung 4.0 International Lizenz veröffentlicht, welche die Nutzung, Vervielfältigung, Bearbeitung, Verbreitung und Wiedergabe in jeglichem Medium und Format erlaubt, sofern Sie den/die ursprünglichen Autor(en) und die Quelle ordnungsgemäß nennen, einen Link zur Creative Commons Lizenz beifügen und angeben, ob Änderungen vorgenommen wurden.
Die in diesem Artikel enthaltenen Bilder und sonstiges Drittmaterial unterliegen ebenfalls der genannten Creative Commons Lizenz, sofern sich aus der Abbildungslegende nichts anderes ergibt. Sofern das betreffende Material nicht unter der genannten Creative Commons Lizenz steht und die betreffende Handlung nicht nach gesetzlichen Vorschriften erlaubt ist, ist für die oben aufgeführten Weiterverwendungen des Materials die Einwilligung des jeweiligen Rechteinhabers einzuholen.
Weitere Details zur Lizenz entnehmen Sie bitte der Lizenzinformation auf http://​creativecommons.​org/​licenses/​by/​4.​0/​deed.​de.

Hinweis des Verlags

Der Verlag bleibt in Hinblick auf geografische Zuordnungen und Gebietsbezeichnungen in veröffentlichten Karten und Institutsadressen neutral.
download
DOWNLOAD
print
DRUCKEN
Titel
Die Nebenniere: zwischen Diagnostik, konservativer und operativer Therapie
Verfasst von
Dr. med. Tanja Bergmann
Publikationsdatum
07.11.2022
Verlag
Springer Vienna
Erschienen in
Journal für Urologie und Urogynäkologie/Österreich / Ausgabe 4/2022
Print ISSN: 1023-6090
Elektronische ISSN: 1680-9424
DOI
https://doi.org/10.1007/s41972-022-00177-7
1.
Zurück zum Zitat Fassnacht M, Arlt W, Bancos I, Dralle H, Newell-Price J, Sahdev A, Tabarin A, Terzolo M, Tsagarakis S, Dekkers OM (2016) Management of adrenal incidentalomas: European Society of Endocrinology Clinical Practice Guideline in collaboration with the European Network fort he Study of Adrenal Tumors. Eur J Endocrinol 175(2):G1–G34. https://​doi.​org/​10.​1530/​EJE-16-0467CrossRefPubMed
2.
Zurück zum Zitat Sherlock M, Scarsbrook A, Abbas A, Fraser S, Limumpornpetch P, Dineen R, Stewart PM (2020) Adrenal Incidentaloma. Endocr Rev 41(6):775–820. https://​doi.​org/​10.​1210/​endrev/​bnaa008CrossRefPubMedPubMedCentral
Bildnachweise
Nebennierenadenom/© Dr. med. Tanja Bergmann