Zum Inhalt

Intrathyreoidales hormoninaktives Nebenschilddrüsenkarzinom

  • 01.03.2019
  • Der Schilddrüsenfall
Erschienen in:

Auszug

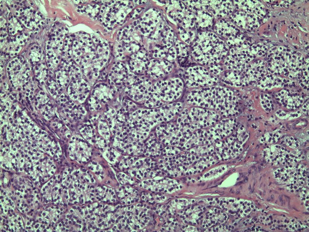
Im Rahmen einer Gesundenuntersuchung wurde bei einem 50-jährigen sonst gesunden Patienten ein 24 mm großer, hypoechogener, teilweise stark vaskularisierter Knoten im linken Schilddrüsenlappen entdeckt (Abb. 1). Auffallend war in der Läsion links eine starke Retention des Tracers im MIBI-Scan. Präoperativ war das Serumkalzium im Normbereich, allerdings wurde das Parathormon präoperativ nicht bestimmt. Das Serumkalzitonin war ebenfalls im Normbereich. Im Schnellschnitt fand sich exzentrisch im Hemithyreoidektomiepräparat ein 2,3 cm großer, partiell zystischer Knoten, welcher aus graugelb, teils grauweiß gefärbtem Gewebe mit erhöhter Konsistenz bestand. Die Entscheidung des Pathologen war Schilddrüsenkarzinom ohne genauere Spezifizierung. Folglich wurde eine totale Thyreoidektomie mit funktioneller Neck Dissection beidseits durchgeführt. Die definitive histologische Untersuchung ergab allerdings ein intrathyreoidal gelegenes Nebenschilddrüsenkarzinom pT1b, N0 (0/33), V0, L0, Pn1, R0. Die Tumorformationen zeigten abschnittsweise ein irreguläres trabekuläres Baumuster mit auch klein-solidem insulär genestetem Zellbild sowie typischerweise einer starken fibrösen Kapsel mit in die Tumorformationen reichenden Septen (Abb. 2). Der Proliferationsindex Ki67 lag im Bereich zelldichter Tumorabschnitte bei maximal 5 %. Keiner der Lymphknoten zeigte einen Tumorbefall. Bemerkenswert war, dass die normale rechte obere Nebenschilddrüse symmetrisch auf gleicher Höhe wie links das Karzinom intrathyreoidal positioniert war. Der postoperative Verlauf war völlig ungestört. Parathormon und Kalzium am ersten postoperativen Tag waren leicht vermindert, aber bei der Entlassung am 3. postoperativen Tag waren beide Parameter bereits wieder im Normbereich. Der Patient hatte keine Kribbelparästhesien. Die Stimmbandfunktion war intakt. Der Patient ist nun 4 Jahre und 3 Monate rezidivfrei!
Abb. 1
Die präoperative Sonografie zeigt links den hypoechogenen, zum Teil zystischen Knoten
Bild vergrößern
Abb. 2
Histologie des Nebenschilddrüsenkarzinoms mit den hellen Zellen
Bild vergrößern
Titel
Intrathyreoidales hormoninaktives Nebenschilddrüsenkarzinom
Verfasst von
Univ.-Prof. Dr. Rupert Prommegger
Werner Kirchebner
Thomas Brunhuber
Publikationsdatum
01.03.2019
Verlag
Springer Vienna
Erschienen in
Journal für Endokrinologie, Diabetologie und Stoffwechsel / Ausgabe 1/2019
Print ISSN: 3004-8915
Elektronische ISSN: 3004-8923
DOI
https://doi.org/10.1007/s41969-019-0059-6