Zum Inhalt

Impact of the WHO-5 classification of haematolymphoid tumours on clinical practice

  • Open Access
  • 12.11.2024
  • short review
Erschienen in:
Download

Summary

The long-awaited 2022 World Health Organization Classification of Haematolymphoid Tumours (WHO-5-HAEM) has finally been published as part of the IARC Blue Book series. This two-volume edition is significantly more comprehensive than its predecessors, reflecting the integration of extensive advancements in genetic and molecular understanding, alongside clinically relevant findings. This brief review will highlight the key changes in the classification of the most common B‑cell lymphoproliferative disorders, specifically follicular lymphomas and large B‑cell lymphomas (LBCL). It will also introduce new entities and summarize the most critical updates within these lymphoma categories.
Presented in part at the OEGHO annual meeting, April 2024, in Vienna

Publisher’s Note

Springer Nature remains neutral with regard to jurisdictional claims in published maps and institutional affiliations.
The new World Health Organization Classification for Haematolymphoid Tumours (WHO-5-HAEM) 2022 print version (“Blue Book”) was published very recently [1]. The work is divided into two parts: Part A provides a general introduction to haematological tumours and includes chapters on myeloid, histiocytic and dendritic neoplasms. The second part comprises chapters on lymphoid neoplasms, stroma-associated proliferations, and genetic tumour syndromes associated with haematolymphoid neoplasms.
The new classification includes important changes and updates based primarily on new molecular insights that are both diagnostically and therapeutically relevant.
The WHO-5-HAEM follows a similar structure to preceding editions. The new classification emphasizes the hierarchical organization, improving the clarity and practicality of different disease categories. Special attention is given to achieving a balance between scientific knowledge, clinical relevance and global acceptance. The new classification no longer lists provisional entities.
In addition to the inclusion of multiple clinico-pathological parameters, modern diagnostics focus primarily on determining therapeutically and/or prognostically relevant biomarkers. A multimodal approach to diagnostics implies several, often sequential diagnostic steps, which typically do not all occur simultaneously due to differences in technical time requirements. To avoid delays in the treatment process, the improved hierarchical structure of findings is of practical clinical–therapeutic significance: As a first step, the category for a given lesion may be indicated in the (initial) report, with the note that additional investigations, if necessary, are underway to further characterize the entity. In the new classification, each chapter lists “essential” (“must-have”) and “desirable” (“nice-to-have”) diagnostic criteria, allowing even smaller, non-specialized institutions to perform primary diagnostics. Further diagnostics may then be conducted in specialized laboratories or reference centres.
A challenge is posed by multimodal findings, which are sometimes conducted independently by different institutions (e.g. pathology, laboratory medicine, molecular biology and genetics are often involved in the diagnosis of haematopoietic neoplasms). Close multidisciplinary collaboration is essential, with clinical case managers bearing significant responsibility for consolidating and accurately interpreting individual findings. Regularly conducted and structured interdisciplinary tumour boards are certainly advantageous in this context, since precise classification of haematopoietic neoplasms serves as the basis for evidence-based modern treatment concepts and accurate prognosis prediction.
This short review focuses on the changes in the classification of the most common forms of B‑cell lymphoproliferations, i.e. follicular lymphomas and large B‑cell lymphomas.
The key changes for B‑cell lymphomas and new B‑cell entities in WHO-5-HAEM are presented in Table 1.
Table 1
WHO-5-HAEM classification: most important changes and new entities
Entity
Comment
Tumour-like lesions with B‑cell-predominance
B‑NHL “mimics”, e.g. IgG 4-associated disease, Castleman disease, …
B‑lymphoblastic leukaemia/lymphomas with ETV6::RUNX1-like features and TCF3::HLF Fusion
Splenic B‑cell lymphoma with prominent nucleoli
HCL‑V, cases of B‑PLL (WHO-4R)
Primary cutaneous marginal zone B‑cell lymphomas
Prior inclusion in category of MALT lymphomas
Transformed indolent B‑NHL
For example Richter syndrome, transformed FL, …
Fibrin-associated large-cell B‑NHL
Prior subtype of DLBCL in association with chronic inflammation
“Fluid overload”-associated large B‑NHL
Primary large B‑cell lymphomas of immune-privileged localizations
Primary DLBCL of CNS, intraocular/vitreoretinal areas, primary testicular LBCL
Lymphoproliferations and lymphomas in association with immunodeficiency and -dysregulation
LPD in association with Immunosuppression such as PTLD, viral infections (e.g. HIV), iatrogenic ID settings, primary ID, …
Cold-agglutinin disease (CAD)
Monoclonal gammopathy of renal significance (MGRS)
Tumour-like lesions with T‑cell-predominance
Kikuchi–Fujimoto disease, indolent T‑lymphoblastic proliferations, ALPS
Primary cutaneous PTCL, NOS
Exclusion of other CTCL entities
Indolent NK-LPD of the GI tract
EBV-positive nodal T‑ and NK-cell lymphomas
ALPS autoimmune lymphoproliferative syndrome, B‑PLL B-prolymphocytic leukaemia, CTCL cutaneous T-cell lymphoma, DLBCL diffuse large B‑cell lymphoma, EBV Epstein–Barr virus, FL follicular lymphoma, HCL‑V hairy cell leukaemia variant, LBCL large B‑cell lymphoma, LPD lymphoproliferative disorder, MALT mucosa associated lymphoid tissue, NOS not otherwise specified

Follicular lymphoma

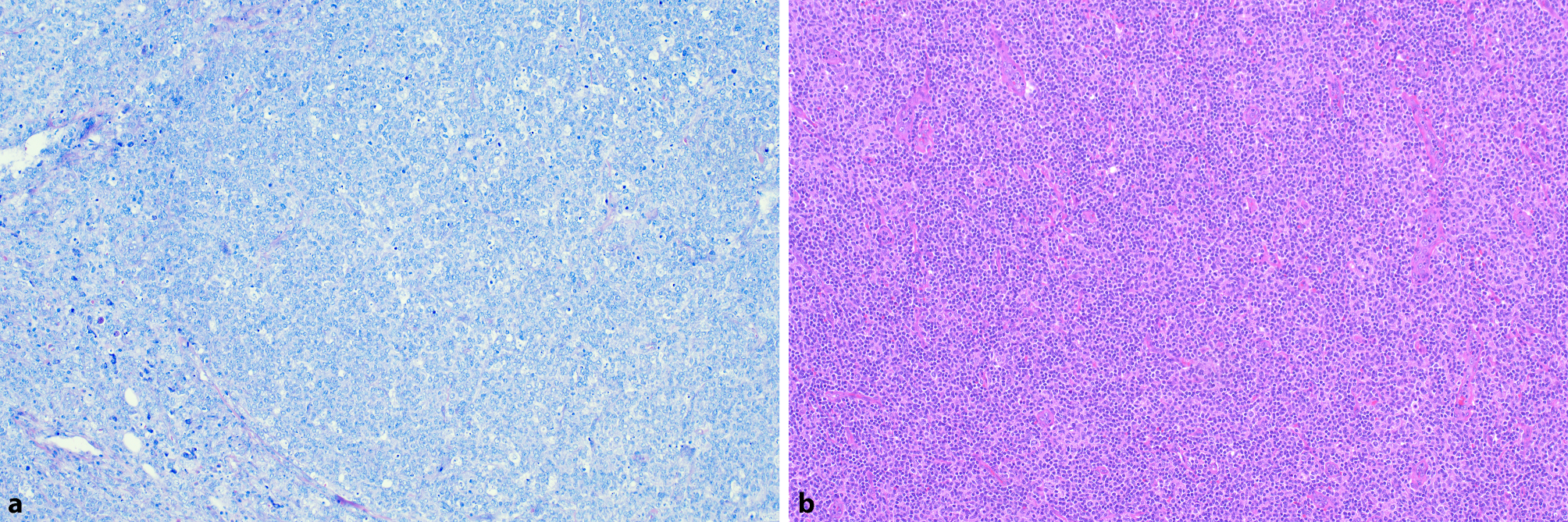
The most significant changes pertain to the group of follicular lymphomas (FLs). In addition to the common “classic” FL (cFLs), FLs with unusual cytological features (uFLs; [2]; Fig. 1a), are now defined. Moreover, a group of FLs with a predominantly diffuse growth pattern (dFLs; [3]; Fig. 1b), is now acknowledged. Traditionally, cFLs were categorized into grades I/II, IIIA, and IIIB based on the number of centroblasts (CB) per microscopic high-power field ([4]; specifically the absolute number of CB in neoplastic follicles per 0.458 mm2 in area had to be counted or estimated). However, a notable change in the new classification is the henceforth merely optional nature of morphological grading for cFL, which is now considered obsolete due to limited reproducibility [5] and minimal clinical differences [6] between FL I/II and FL IIIA. Lymphomas formerly known as FL 3B composed entirely of CB in a follicular growth pattern is now designated as follicular large B‑cell lymphoma (FLBCL; [2, 7]). The uFLs are characterized by medium-sized tumour cells with a predominately immature or blastoid appearance (Fig. 1a) or large centrocytes (CC). This subtype is clinically, pathologically and genetically distinct from cFL and may be associated with poorer prognosis [2].
Fig. 1
a Follicular lymphoma with unusual cytological features composed of medium-sized blastoid cells in a follicular growth pattern. Giemsa stain, original magnification × 20. b Follicular lymphoma with diffuse growth pattern showing mostly small lymphoid centrocyte-like cells with irregular nuclear contours and very few centroblasts arranged in a purely diffuse growth pattern. H&E stain, original magnification × 20
Bild vergrößern
The dFL (Fig. 1b) often form large tumour masses in the inguinal region, present in limited stages and have a relatively good prognosis [3, 8]. They usually lack BCL‑2 rearrangements, whereas mutations of STAT6 are frequently found [9].
Follicular lymphomas occurring at special sites, such as duodenal-type FL [10] and primary cutaneous FL [11], as well as paediatric-type FL [12] are still acknowledged as separate entities due to their specific clinico-pathological features.
The key changes of the new classification of FL with regard to prior classifications are listed in Table 2.
Table 2
WHO‑5 follicular lymphomas: differences to prior classifications
 
WHO 2001
WHO 2008/16
WHO-5-HAEM
FL grade 1-3A
+
+
Classic FL (optional grading 1–3A)
FL grade 3B
+
+
Follicular large B‑cell lymphoma
FL with unusual cytologic features
FL with a predominantly diffuse growth pattern
Localized special types
(specific clinic, genetics, histopathology, microenvironment)
Paediatric type
+
+
Primary cutaneous
+
+
Duodenal type
+
+
In situ
+
+
FL follicular lymphoma

Large B-cell lymphoma

Large B‑cell NHLs comprise a heterogeneous group, with diffuse large B‑cell lymphoma, not otherwise specified (DLBCL, NOS), representing the largest subgroup [13]; within this group, histologically, genetically as well as clinically diverse lesions are found. Alongside DLBCL, NOS, 17 other specific large B‑cell entities are listed based on genetic characteristics, clinical context or specific (extranodal) localization. The classification now differentiates between classic Burkitt lymphoma and high-grade B-cell lymphomas with 11q aberrations (HGBCL-11q; [14]), which are morphologically and immunophenotypically similar but distinct in terms of mutation profiles. Additionally, extranodal lymphomas of immunoprivileged sites are now grouped together, encompassing primary CNS, vitreoretinal and testicular LBCLs, characterized by anatomical and functional immunoregulatory barriers, as well as largely identical morphological and genetic features [1517]. Other extranodal LBCLs (e.g. skin, ovary, breast) are expected to be included in this category in the future.
The newly termed “mediastinal grey zone lymphoma” corresponds to the entity previously classified as “unclassified B‑cell lymphoma with intermediate features between DLBCL and classical Hodgkin lymphoma” in WHO-4R; the new term should be reserved solely for lesions localized in the mediastinum [18].
A comprehensive restructuring occurred in the WHO-5-HAEM for the group of immunodeficiency- (ID) and dysregulation (IDD)-associated diseases. Whereas previous classifications listed diseases based on the underlying form of IDD (e.g. primary and secondary ID, iatrogenic ID, post-transplantation-associated ID), the WHO-HAEM5 now adopts a different approach due to the fundamentally identical forms of lymphoproliferations that can occur in the ID setting regardless of the underlying cause. The histological diagnosis (i.e. hyperplasia, polymorphic lymphoproliferation, mucocutaneous ulcer, manifest lymphoma) is prioritized, followed by any potential viral association (EBV, KSHV/HHV8), and then the specific type of IDD. This new nomenclature avoids inconsistencies regarding terminology and diagnostic criteria for similar lesions in different forms of underlying IDD, thereby facilitating multidisciplinary collaboration in clinical management. Of note is the inclusion of relatively “newly” described forms of IDD [19]: This chapter also includes lymphoproliferative disorders (LPDs) that occur after polychemotherapy for solid tumours and haematologic neoplasms, as well as immunosenescence-associated lymphomas [20] and those resulting from CAR-T cell [21] or checkpoint inhibitor therapies [22].

Note

An unfortunate development regarding the classification update should also be emphasized: After nearly 30 years of a globally accepted consensus classification—beginning with the REAL classification in 1994 and continuing through successive editions of the WHO Blue Books until 2017—we are now sadly challenged with two different classifications released in close succession. In parallel with the WHO draft published in Leukemia in June 2022 [23], a second classification of haematolymphoid neoplasms drafted by the International Consensus Classification (ICC) was released in the September 2022 issue of Blood [24]. Both classifications were authored by highly prominent, but distinct groups of experts.
The two classifications for the lymphatic system are based on essentially the same scientific findings and publications from recent years and, luckily, differ only slightly. This is in contrast to the classifications for myeloid and histiocytic/dendritic system lesions, which exhibit more significant discrepancies. The most notable differences in the lymphoid classifications pertain to rare lymphomas/leukaemias (e.g. B‑cell prolymphocytic leukaemia, which is still recognized by the ICC, while it has been removed from the WHO classification). Moreover, the controversial omission of FL grading in the WHO remains mandatory in the ICC classification. Within the group of LBCL there are slight differences concerning, e.g. the rare subtype of LBCL with IRF4 rearrangement, which is a separate entity in WHO-5-HAEM, whereas in ICC it is a subtype of FL. For a detailed comparison of the differences between the two classifications, please refer to additional literature [25]. The concurrent use of both systems carries the risk of conflicting classifications within certain lymphoma subtypes, leading to uncertainty in diagnosis and management. It is therefore indispensable for both parties to reach a unified and coordinated classification as soon as possible in order to resolve this dilemma.

Conclusion

The new WHO-5-HAEM classification is user-friendly and easy to apply due to its improved hierarchical reporting structure. Particular attention has been paid to the clinical relevance of the various examinations required for reporting. The definition of “essential” and “desirable” diagnostic criteria facilitates primary reporting, even in non-specialized laboratories, thereby contributing to accelerated diagnostics. The restructuring, homogeneous grouping and nomenclature of IDD-associated lymphoproliferations allow for improved clinical applicability, including uniform clinico–therapeutic approaches. New chapters on diagnostically important reactive lymphoproliferations (“mimics”), transformed lymphomas and genetic predisposition syndromes reflect their increasing clinical significance. A reorganization and somewhat controversial change in the chapter on follicular lymphomas, with the elimination of mandatory grading, is likely to lead to further discussion in the future. In this sense, the new classification should be seen as a continuous spectrum of knowledge accumulation and expansion, rather than a rigid concept, especially considering the rapid increase in molecular insights.

Conflict of interest

R. Brand and I. Simonitsch-Klupp declare that they have no competing interests.
Open Access This article is licensed under a Creative Commons Attribution 4.0 International License, which permits use, sharing, adaptation, distribution and reproduction in any medium or format, as long as you give appropriate credit to the original author(s) and the source, provide a link to the Creative Commons licence, and indicate if changes were made. The images or other third party material in this article are included in the article’s Creative Commons licence, unless indicated otherwise in a credit line to the material. If material is not included in the article’s Creative Commons licence and your intended use is not permitted by statutory regulation or exceeds the permitted use, you will need to obtain permission directly from the copyright holder. To view a copy of this licence, visit http://creativecommons.org/licenses/by/4.0/.

Publisher’s Note

Springer Nature remains neutral with regard to jurisdictional claims in published maps and institutional affiliations.
Download
Titel
Impact of the WHO-5 classification of haematolymphoid tumours on clinical practice
Verfasst von
Rosa Brand, M.D.
Ingrid Simonitsch-Klupp, M.D.
Publikationsdatum
12.11.2024
Verlag
Springer Vienna
Erschienen in
memo - Magazine of European Medical Oncology / Ausgabe 4/2024
Print ISSN: 1865-5041
Elektronische ISSN: 1865-5076
DOI
https://doi.org/10.1007/s12254-024-01002-7
1.
Zurück zum Zitat WHO Classification of Tumours Editorial Board. Haematolymphoid tumours. Lyon (France): International Agency for Research on Cancer; 2024. (WHO classification of tumours series, 5th ed.; vol. 11) https://publications.iarc.who.int/637.
2.
Zurück zum Zitat Laurent C, Adélaïde J, Guille A, et al. High-grade follicular lymphomas exhibit clinicopathologic, cytogenetic, and molecular diversity extending beyond grades 3A and 3B. Am J Surg Pathol. 2021;45(10):1324–36.CrossRefPubMed
3.
Zurück zum Zitat Katzenberger T, Kalla J, Leich E, et al. A distinctive subtype of t(14;18)-negative nodal follicular non-Hodgkin lymphoma characterized by a predominantly diffuse growth pattern and deletions in the chromosomal region 1p36. Blood. 2009;113(5):1053–61.CrossRefPubMed
4.
Zurück zum Zitat Mann RB, Berard CW. Criteria for the cytologic subclassification of follicular lymphomas: a proposed alternative method. Hematol Oncol. 1983;1(2):187–92.CrossRefPubMed
5.
Zurück zum Zitat Rimsza LM, Li H, Braziel RM, et al. Impact of histological grading on survival in the SWOG S0016 follicular lymphoma cohort. Haematologica. 2018;103(4):e151–e3.CrossRefPubMedPubMedCentral
6.
Zurück zum Zitat Kroft SH. Stratification of follicular lymphoma: time for a paradigm shift? Am J Clin Pathol. 2019;151(6):539–41.CrossRefPubMed
7.
Zurück zum Zitat Koch K, Richter J, Hanel C, et al. Follicular lymphoma grade 3B and diffuse large B‑cell lymphoma present a histopathological and molecular continuum lacking features of progression/ transformation. Haematologica. 2022;107(9):2144–53.CrossRefPubMedPubMedCentral
8.
Zurück zum Zitat Siddiqi IN, Friedman J, Barry-Holson KQ, et al. Characterization of a variant of t(14;18) negative nodal diffuse follicular lymphoma with CD23 expression, 1p36/TNFRSF14 abnormalities, and STAT6 mutations. Mod Pathol. 2016;29(6):570–81.CrossRefPubMed
9.
Zurück zum Zitat Nann D, Ramis-Zaldivar JE, Müller I, et al. Follicular lymphoma t(14;18)-negative is genetically a heterogeneous disease. Blood Adv. 2020;4(22):5652–65.CrossRefPubMedPubMedCentral
10.
Zurück zum Zitat Schmatz AI, Streubel B, Kretschmer-Chott E, et al. Primary follicular lymphoma of the duodenum is a distinct mucosal/submucosal variant of follicular lymphoma: a retrospective study of 63 cases. J Clin Oncol. 2011;29(11):1445–51.CrossRefPubMed
11.
Zurück zum Zitat Willemze R, Kerl H, Sterry W, Berti E, et al. EORTC classification for primary cutaneous lymphomas: a proposal from the cutaneous lymphoma study group of the European organization for research and treatment of cancer. Blood. 1997;90(1):354–71.PubMed
12.
Zurück zum Zitat Quintanilla-Martinez L, Sander B, Chan JK, et al. Indolent lymphomas in the pediatric population: follicular lymphoma, IRF4/MUM1+ lymphoma, nodal marginal zone lymphoma and chronic lymphocytic leukemia. Virchows Arch. 2016;468(2):141–57.CrossRefPubMed
13.
Zurück zum Zitat Sehn LH, Salles G. Diffuse large B‑cell lymphoma. N Engl J Med. 2021;384(9):842–58.CrossRefPubMedPubMedCentral
14.
Zurück zum Zitat Salaverria I, Martin-Guerrero I, Wagener R, et al. A recurrent 11q aberration pattern characterizes a subset of MYC-negative high-grade B-cell lymphomas resembling Burkitt lymphoma. Blood. 2014;123(8):1187–98.CrossRefPubMedPubMedCentral
15.
Zurück zum Zitat Montesinos-Rongen M, Brunn A, Bentink S, et al. Gene expression profiling suggests primary central nervous system lymphomas to be derived from a late germinal center B cell. Leukemia. 2008;22(2):400–5.CrossRefPubMed
16.
Zurück zum Zitat Belhouachi N, Xochelli A, Boudjoghra M, et al. Primary vitreoretinal lymphomas display a remarkably restricted immunoglobulin gene repertoire. Blood Adv. 2020;4(7):1357–66.CrossRefPubMedPubMedCentral
17.
Zurück zum Zitat Ferry JA, Harris NL, Young RH, et al. Malignant lymphoma of the testis, epididymis, and spermatic cord. A clinicopathologic study of 69 cases with immunophenotypic analysis. Am J Surg Pathol. 1994;18(4):376–90.CrossRefPubMed
18.
Zurück zum Zitat Pilichowska M, Pittaluga S, Ferry JA, et al. Clinicopathologic consensus study of gray zone lymphoma with features intermediate between DLBCL and classical HL. Blood Adv. 2017;1(26):2600–9.CrossRefPubMedPubMedCentral
19.
Zurück zum Zitat Dojcinov SD, Venkataraman G, Pittaluga S, et al. Age-related EBV-associated lymphoproliferative disorders in the Western population: a spectrum of reactive lymphoid hyperplasia and lymphoma. Blood. 2011;117(18):4726–35.CrossRefPubMedPubMedCentral
20.
Zurück zum Zitat Natkunam Y, Gratzinger D, Chadburn A, et al. Immunodeficiency-associated lymphoproliferative disorders: time for reappraisal? Blood. 2018;132(18):1871–8.CrossRefPubMedPubMedCentral
21.
Zurück zum Zitat Melody M, Epperla N, Shouse G, et al. Subsequent malignant neoplasms in patients previously treated with anti-CD19 CAR T‑cell therapy. Blood Adv. 2024;8(10):2327–31.CrossRefPubMedPubMedCentral
22.
Zurück zum Zitat Ohmoto A, Fuji S. Rapid T‑cell lymphoma progression associated with immune checkpoint inhibitors. Expert Rev Hematol. 2023;16(7):535–41.CrossRefPubMed
23.
Zurück zum Zitat Alaggio R, Amador C, Anagnostopoulos I, et al. The 5th edition of the world health organization classification of haematolymphoid tumours: lymphoid neoplasms. Leukemia. 2022;36(7):1720–48.CrossRefPubMedPubMedCentral
24.
Zurück zum Zitat Campo E, Jaffe ES, Cook JR, et al. The international consensus classification of mature lymphoid neoplasms: a report from the clinical advisory committee. Blood. 2022;140(11):1229–53.CrossRefPubMedPubMedCentral
25.
Zurück zum Zitat Karube K, Satou A, Kato S. New classifications of B‑cell neoplasms: a comparison of 5th WHO and international consensus classifications. Int J Hematol. 2024; https://doi.org/10.1007/s12185-024-03781-5.CrossRefPubMed