Zum Inhalt

Wenn Husten plötzlich Flügel bekommt

  • Open Access
  • 06.03.2025
  • Husten
  • Originalie
Erschienen in:

Zusammenfassung

In diesem Fallbericht wird ein 8‑jähriger Junge mit Belastungsdyspnoe, Leistungsminderung und signifikantem Gewichtsverlust vorgestellt – Symptome, die im Zusammenhang mit einer Exposition gegenüber Vogelproteinen standen, führten letztlich zur Diagnose einer exogen allergischen Alveolitis. Allgemein beschreibt die Hypersensitivitätspneumonitis (HP) eine komplexe immunologische Reaktion, bei der sowohl Typ-III- als auch Typ-IV-Hypersensitivitätsmechanismen beteiligt sind. Die Erkrankung kann in jedem Alter auftreten, im Kindesalter manifestiert sie sich oft um das 10. Lebensjahr, während Erwachsene häufig beruflich exponiert sind. Radiologisch finden sich bei der nicht-fibrotischen Form Milchglastrübungen, Mosaikmuster und Air-Trapping, während fibrotische Veränderungen wie Retikulationen, Traktionsbronchiektasen und Honigwaben auftreten. Diagnostisch hinweisend sind neben den IgG-Präzipitinen auch eine Lymphozytose in der bronchoalverolären Lavage. Eine frühzeitige Allergenkarenz in Kombination mit systemischer Steroidtherapie führt meist zu einer klinischen Verbesserung, wohingegen erneute Exposition rasch ein Wiederauftreten der Symptome bewirken kann.
QR-Code scannen & Beitrag online lesen

Hinweis des Verlags

Der Verlag bleibt in Hinblick auf geografische Zuordnungen und Gebietsbezeichnungen in veröffentlichten Karten und Institutsadressen neutral.

Fallbericht

Über die Kinderrettungsstelle erfolgte die Aufnahme eines 8‑jährigen Jungen mit Leistungsminderung bei körperlicher Belastung, Dyspnoe nach dem Steigen einer Treppenstufe sowie Gewichtsverlust über 10 % des Ausgangsgewichts aufgrund von Appetitverlust. In einem auswärtig durchgeführten Röntgen-Thorax wurde in Zusammenschau mit der Anamnese der Verdacht auf eine Miliartuberkulose gestellt.
Bei Aufnahme präsentierte sich der Patient mit interkostalen Einziehungen und leichter Tachypnoe, nebenbefundlich lag eine Trichterbrust vor. Die orientierend durchgeführte Laboranalyse war nicht wegweisend, unauffällig waren u. a. Blutbild, Quantiferon-Test und HIV-Serologie, sodass eine weiterführende Diagnostik veranlasst wurde. Das Röntgen-Thorax (Abb. 1) zeigte ubiquitäre disseminierte alveoläre Infiltrate und bihiläre Lymphadenopathie, passend zu einem infektiösen Geschehen.
Abb. 1
Röntgen-Thorax p.-a. vom Aufnahmetag
Bild vergrößern
In der Lungenfunktion wies der Patient eine restriktive Ventilationsstörung auf (Tab. 1).
Tab. 1
Lungenfunktion und DLCO-Messung (initial und im Verlauf)
 
FVC
FEV1/FVC
TLC
DLCO
KCO
VA
Datum
In % (GLI Referenzwerte)
In % (GLI Rechner, Hb-korrigiert)
Vor Behandlung
41
100
78
Nach 1. Behandlung
70
95
62,3
97,2
72,6
Vor 2. Behandlung
91
102
91
83,9
87,6
94,9
Nach 2. Behandlung
92
101
93
99,1
101,0
99,1
DLCO Diffusionskapazität der Lunge für Kohlenmonoxid (CO), FVC forcierte Vitalkapazität, FEV1 forciertes exspiratorisches Volumen in einer Sekunde (auch Einsekundenkapazität), TLC totale Lungenkapazität, KCO Kohlenmonoxid Transfer-Koeffizient (auch Krogh-Faktor), VA Alveolarvolumen, GLI Global Lung Initiative
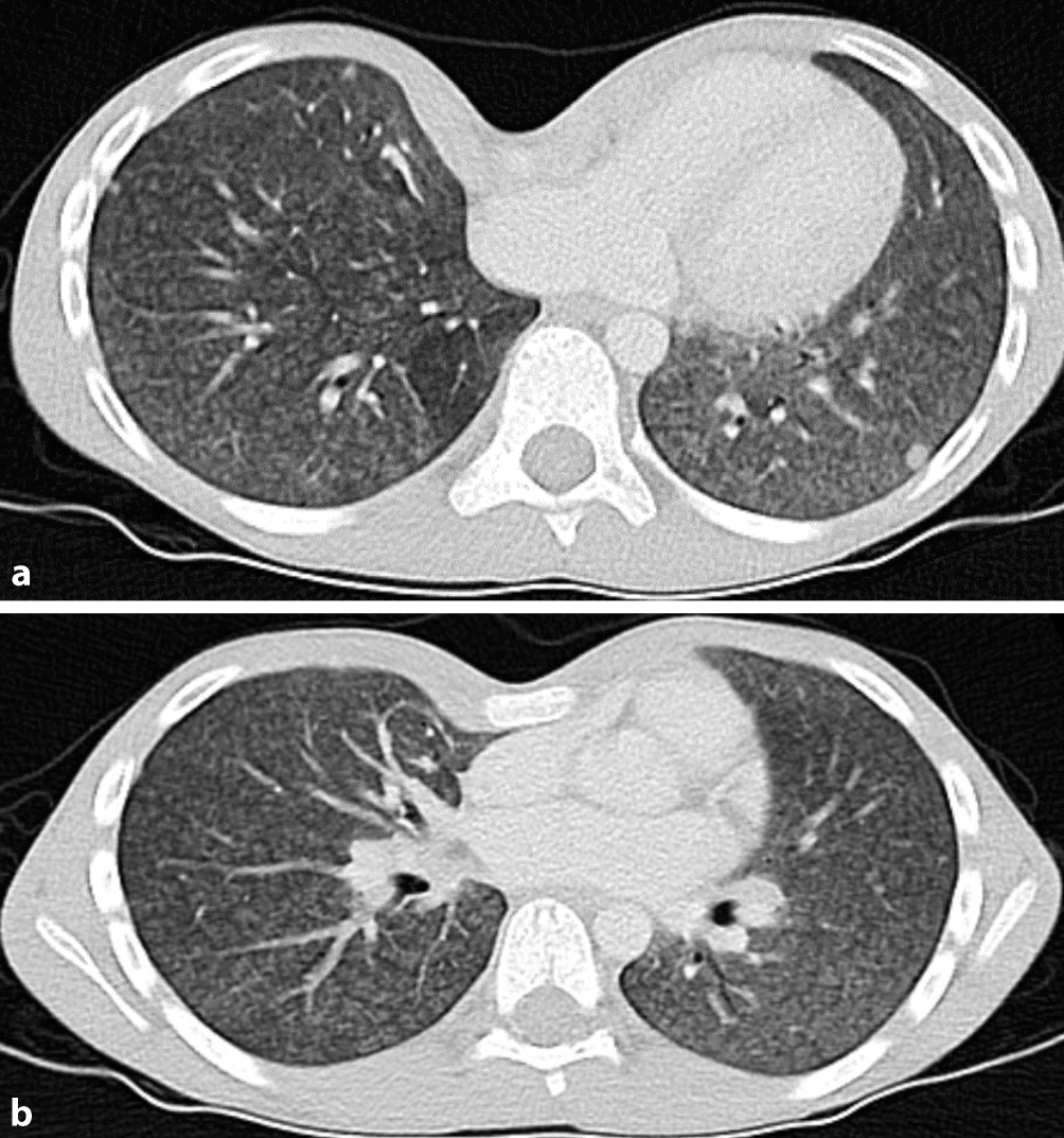
Die im Verlauf veranlasste Schnittbildgebung mittels Computertomographie (CT) detektierte bipulmonal ubiquitäre zentrilobuläre Milchglas-Noduli, multiple Rundherde und ein angedeutetes Air-Trapping (Abb. 2).
Abb. 2
Computertomographie (CT) Thorax vom 3. stationären Tag mit angedeutetem Air-trapping (a) und multiplen Noduli (b)
Bild vergrößern
Die Familie hält 15 Tauben direkt unter dem Kinderzimmerfenster des Patienten
Aufgrund des CT-Befunds und der von den radiologischen Kolleg:innen geäußerten Verdachtsdiagnose „(sub)akute exogen allergische Alveolitis“ wurde die Anamnese dahingehend um die Umgebungsanamnese erweitert. Der ältere Bruder des Patienten (20 Jahre) zeigte eine ähnliche Symptomatik, die Mutter hatte zudem ein vorbeschriebenes Asthma bronchiale. Die Familie hält 15 Tauben in einer Vogelvoliere, direkt unter dem Kinderzimmerfenster des Patienten. Damit hatte sein Husten plötzlich Flügel bekommen.
Die weiteren diagnostischen Schritte erfolgten zur Bestätigung der vorliegenden Exposition gegenüber Vogelprotein (Tab. 2) sowie zum Ausschluss weiterer Differenzialdiagnosen. In der Bronchoskopie zeigte sich als zusätzlicher suggestiver Marker ein verminderter Quotient (< 1) von CD4/CD8-Zellen in der bronchoalveolären Lavage. Makroskopisch zeigte sich zudem eine ubiquitär entzündete bronchiale Schleimhaut (Abb. 3).
Tab. 2
Präzipitine (IgG-Nachweis) vor Behandlungsbeginn
 
Einheit
Referenz
Ergebnis
Papagei (Serum, Feder, Fäces) IgG
mg/l
< 10,0
>200,0 +
Taube (Serum, Feder, Fäces) IgG
µg/ml
< 10,0
>200,0 +
Wellensittich (Fäces) IgG
mg/l
< 9,0
>200,0 +
IgG Immunglobulin G
Abb. 3
Bronchoskopie am 3. stationären Tag mit Sicht auf die Karina (a) und nach Abgang der Karina (b)
Bild vergrößern
Unter den stationären Bedingungen und der damit einhergehenden Allergenkarenz sowie dem initiierten intravenösen Methylprednisolon-Puls kam es rasch zu einer klinischen Besserung. Zur Vermeidung einer Reexposition wurde nach der Entlassung die Unterbringung bei der Tante veranlasst. Im Abstand von je 4 Wochen erfolgten zwei weitere geplante stationäre Aufnahmen zur Puls-Therapie, zwischen dem 1. und 2. Aufenthalt erhielt der Patient zudem eine Sockeltherapie mit oralem Kortikosteroid. Vor der 2. intravenösen Therapie war die Klinik bereits komplett regredient und die Lungenfunktion (Tab. 1) hatte sich normalisiert. Die Familie hatte später im Rahmen eines Zoobesuchs nach Betreten eines Vogelhauses den Patienten unfreiwillig erneut gegenüber Vogelprotein exponiert, sodass die Symptomatik prompt wieder aufgetreten war. Sein Husten hatte also wieder Flügel bekommen.

Hypersensitivitätspneumonitis

Die Hypersensitivitätspneumonitis (HP) ist eine komplexe immunologische Reaktion, bestehend aus einer Typ III (Immunkomplex-) und einer Typ IV (zellvermittelten) Hypersensitivitätsreaktion. Das Lungenparenchym von dafür empfänglichen Patient:innen reagiert überempfindlich auf wiederholte Inhalationen eines Allergens nach vorheriger Sensibilisierung [13]. Die Bezeichnung „exogen allergische Alveolitis“ (EAA) wird im englischsprachigen Raum nicht mehr verwendet, da die Entzündungsreaktion nicht nur die Alveolen, sondern auch die Bronchiolen, betrifft.
HP tritt bei Kindern meist um das 10. Lebensjahr auf – Erwachsene sind häufig beruflich exponiert
Die Krankheit kann prinzipiell in jedem Alter auftreten, betrifft jedoch häufig das mittlere Alter (50–60 Jahre). Betroffene erwachsene Personen sind häufig beruflich exponiert, wie Farmer und Vogelzüchter [2]. Im Kindesalter liegt das Manifestationsalter um das 10. Lebensjahr, es können aber auch Kleinkinder betroffen sein [4, 5]. In Deutschland wird etwa die Hälfte aller neuen Fälle von interstitiellen Lungenerkrankungen im Kindesalter durch eine Hypersensitivitätspneumonitis auslöst. Generell sollte daher bei diagnostizierten Patient:innen immer eine Umgebungsanamnese und die Untersuchung weiterer Familienmitglieder veranlasst werden [2, 4, 5]. Letzteres kann durch die Zuhilfenahme von Fragebögen erfolgen, wie den in mehreren europäischen Sprachen verfügbare von der Swiss Society of Pneumology [7].
Die traditionelle Einteilung in akut, subakut und chronisch wurde verlassen, neu wird klassifiziert in eine nicht-fibrotische und fibrotische Hypersensitivitätspneumonitis [2, 4]. Als Auslöser gelten Proteine aus pflanzlichen, mikrobiellen und tierischen Quellen sowie nichtorganische Chemikalien. Die Antigene sind kleiner als 5 µm und erreichen aufgrund ihrer Größe die Alveolen. Es sind mehr als 300 Auslöser bekannt, darunter auch Vogelproteine, welche die sog. „pigeon-breeder lung“ oder „bird fancier’s disease“ auslösen [2, 8, 9].

Klinik

Die nicht-fibrotische HP beginnt akut innerhalb weniger Stunden nach Exposition. Fast alle Patient:innen zeigen als klinisches Symptom eine Belastungsdyspnoe, ein Großteil der Betroffenen hat zusätzlich Husten. Als typische Befunde sind bei der Hälfte der erkrankten Personen sowohl Knistern („crackles“) als auch Quietschen/Kreischen („squawks“) auskultierbar. Des Weiteren können unspezifische Symptome wie Schüttelfrost, subfebrile Temperaturen und Unwohlsein auftreten. Die Beschwerden verschwinden unter Karenzmaßnahmen nach 1–2 Tagen [2, 3, 5]. Bei der fibrotischen Hypersensitivitätspneumonitis kommt es zu einem allmählichen Beginn der Symptomatik mit vorrangig Husten und Dyspnoe. Die Patient:innen können teilweise auch akute Verschlechterungen wie bei pulmonalen Exazerbationen aufweisen. Als Zeichen der chronischen Exposition können zusätzliche Manifestationen wie Trommelschlegelfinger und Gewichtsverlust vorliegen [3, 5, 11]. Die berichtete Symptomatik bei der nicht-fibrotischen und fibrotischen Hypersensitivitätspneumonitis sind klinisch ähnlich und äußerlich nicht einfach zu unterscheiden, doch die Einteilung ist für den weiteren Verlauf und die Prognose entscheidend [1, 12].
Differenzialdiagnostisch sollten u. a. Infektionen wie primäre Bronchiolitiden, aber auch Mikroaspirationen und Systemerkrankungen wie Sarkoidose ausgeschlossen werden. Die Diagnose Hypersensitivitätspneumonitis sollte immer erwogen werden, wenn trotz einer eingeleiteten Therapie (z. B. antibiotisch oder inhalativ-antientzündlich) eine pulmonale Symptomatik persistiert, in Kombination mit Karenzmaßnahmen aber zum Sistieren der Beschwerden und nach erneutem Kontakt zu einem Rezidiv führt [2, 3].

Pathophysiologie/Histologie

Pathophysiologisch kommt es nach der Inhalation des auslösenden Antigens zu einer Interaktion mit Antigen-präsentierenden Zellen in den Atemwegen. Stimulierte B‑Zellen (Plasmazellen) produzieren Immunglobulin-G(IgG)-Antikörper, welche – im peripheren Blut als Präzipitine nachweisbar – lediglich die Exposition gegenüber dem Antigen bestätigen. Makrophagen fusionieren zu multizellulären Riesenzellen, es formieren sich Granulome. Durch Differenzierung von Fibroblasten zu Myofibroblasten und damit einhergehender Produktion von Kollagen und extrazellulärer Matrix kommt es zu einer Fibrosierung [1, 8]. Typische histologische Befunde der nicht-fibrotischen Hypersensitivitätspneumonitis sind lymphozytäre Infiltrate mit – vor allem interstitiell vorhandenen – Granulomen, während die fibrotische Form selten Granulome, dafür aber regelhaft eine bronchiolozentrische Fibrose sowie pathognomonisch peribronchioläre Metaplasien aufweist [2, 8, 13, 14].

Diagnosestellung

Der Nachweis von spezifischem IgG ist einzig beweisend für eine Exposition gegenüber einem Allergen, ein positiver Test bestätigt jedoch nicht die Diagnose einer Hypersensitivitätspneumonitis [2, 15]. In der bronchoalveolären Lavage ist das Vorliegen einer Lymphozytose diagnostisch hinweisend, bei der nicht-fibrotischen Form ist zudem die CD4- zu CD8-Ratio erniedrigt [2, 3, 5, 14]. Im Kindesalter wird auf die Durchführung von Biopsien und bronchialen Provokationen in aller Regel verzichtet [5, 15, 16]. Initial kann ein Röntgen-Thorax bei bis zu einem Drittel der Patient:innen normal ausfallen. In der Computertomographie des Thorax können bei der nicht-fibrotischen Form Milchglastrübungen und Mosaikmuster sowie – in Exspirationsaufnahmen – Air-Trapping dargestellt werden. Spezifisch ist zudem das Vorliegen des „three density pattern“, ein Nebeneinander von drei unterschiedlichen Densitäten. Bei der fibrotischen Hypersensitivitätspneumonitis finden sich zusätzlich fibrotische Veränderungen mit Retikulationen, Traktionsbronchiektasen und Honigwaben [2, 5, 8, 13, 14].

Therapeutische Maßnahmen

Bei frühzeitiger Diagnosestellung sind bei der nicht-fibrotischen Hypersensitivitätspneumonitis unter konsequenter Antigenkarenz die klinischen, radiologischen und histologischen Veränderungen reversibel. Daher kann ein stationärer Aufenthalt im Krankenhaus, welcher gleichzeitig eine Karenzmaßnahme gegenüber dem Allergen darstellt, bereits zu einer klinischen Verbesserung führen. Eine Entlassung in die Häuslichkeit oder in den Arbeitsalltag mit Wiederaufnahme des Allergenkontakts dahingegen führt zur erneuten Symptomatik [5, 17].
Gegenwärtig wird für die nicht-fibrotische HP eine systemische Steroidtherapie empfohlen, bei der fibrotischen Form können zusätzlich Medikamente wie Mycophenolatmofetil, Azathioprin oder Hydroxychloroquin eingesetzt werden. Zudem ist die antifibrotische Therapie mit Nintedanib, einem Tyrosinkinase-Inhibitor, von der FDA (Food and Drug Administration) für die fibrotische Hypersensitivitätspneumonitis zugelassen [13, 18]. Für das antifibrotisch wirksame Medikament Pirfenidon liegt dagegen keine Zulassung für diese Indikation vor [17]. Die Prognose ist abhängig von dem Grad der Fibrose, gleichermaßen wird auch das Überleben nach Lungentransplantation – als Ultima Ratio – durch den Schweregrad beeinflusst.
Primärprävention sollte daher bei denjenigen Arbeitsplätzen mittels Schutzmaßnahmen durchgeführt werden, an denen eine Exposition gegenüber auslösenden Allergenen wahrscheinlich ist. Bei Nachweis einer Hypersensitivitätspneumonitis sollte zudem eine Umgebungsanalyse arbeitsplatzbezogen und im familiären Umfeld durchgeführt werden [2, 3, 12, 19].

Analogien aus der Zauberwelt

Die Hypersensitivitätspneumonitis kann dargestellt werden mit Analogien aus der Zauberwelt (Abb. 4) von Harry Potter. Die betroffenen Personen sind häufig Männer im mittleren Alter mit Kontakt zu Vögeln, wie Hagrid mit seinem Hippogreif Seidenschnabel. Die Krankheit wird unterteilt in fibrotisch und nicht-fibrotisch. Die Symptome sind schwer zu unterscheiden, wie die Weasley-Zwillinge, aber nur ein Verlauf endet tödlich. Leitsymptom ist die Belastungsdyspnoe, die Lungenfunktion zeigt Hinweise auf eine restriktive Ventilationsstörung. Die Bestimmung der Präzipitine ist nicht beweisend, aber zusammen mit radiologischen Veränderungen („three density sign“ oder Glaskugel beim Wahrsagen) und histologischen Auffälligkeiten suggestiv. Durch Allergenkarenz (Aufenthalt im Krankenflügel) sowie systemischer Steroidgabe (flüssiges Glück, Felix Felicis) kann bei der nicht-fibrotischen Form eine vollständige Restitution erreicht werden.
Abb. 4
Hypersensitivitätspneumonitis – Analoga zur Welt von Harry PotterTM
Bild vergrößern

Einhaltung ethischer Richtlinien

Interessenkonflikt

M. Yoosefi Moridani gibt an, dass kein Interessenkonflikt besteht.
Für diesen Beitrag wurden von den Autor/-innen keine Studien an Menschen oder Tieren durchgeführt. Für die aufgeführten Studien gelten die jeweils dort angegebenen ethischen Richtlinien. Für Bildmaterial oder anderweitige Angaben innerhalb des Manuskripts, über die Patient/-innen zu identifizieren sind, liegt von ihnen und/oder ihren gesetzlichen Vertretern/Vertreterinnen eine schriftliche Einwilligung vor.
Open Access Dieser Artikel wird unter der Creative Commons Namensnennung 4.0 International Lizenz veröffentlicht, welche die Nutzung, Vervielfältigung, Bearbeitung, Verbreitung und Wiedergabe in jeglichem Medium und Format erlaubt, sofern Sie den/die ursprünglichen Autor(en) und die Quelle ordnungsgemäß nennen, einen Link zur Creative Commons Lizenz beifügen und angeben, ob Änderungen vorgenommen wurden. Die in diesem Artikel enthaltenen Bilder und sonstiges Drittmaterial unterliegen ebenfalls der genannten Creative Commons Lizenz, sofern sich aus der Abbildungslegende nichts anderes ergibt. Sofern das betreffende Material nicht unter der genannten Creative Commons Lizenz steht und die betreffende Handlung nicht nach gesetzlichen Vorschriften erlaubt ist, ist für die oben aufgeführten Weiterverwendungen des Materials die Einwilligung des jeweiligen Rechteinhabers einzuholen. Weitere Details zur Lizenz entnehmen Sie bitte der Lizenzinformation auf http://​creativecommons.​org/​licenses/​by/​4.​0/​deed.​de.

Hinweis des Verlags

Der Verlag bleibt in Hinblick auf geografische Zuordnungen und Gebietsbezeichnungen in veröffentlichten Karten und Institutsadressen neutral.
download
DOWNLOAD
print
DRUCKEN
Titel
Wenn Husten plötzlich Flügel bekommt
Verfasst von
Dr. med. Mehrak Yoosefi Moridani
Publikationsdatum
06.03.2025
Verlag
Springer Vienna
Erschienen in
hautnah / Ausgabe 2/2025
Print ISSN: 1866-2250
Elektronische ISSN: 2192-6484
DOI
https://doi.org/10.1007/s12326-025-00707-8
1.
Zurück zum Zitat Barnes H, Troy L, Lee CT et al (2022) Hypersensitivity pneumonitis: Current concepts in pathogenesis, diagnosis, and treatment. Allergy 77:442–453CrossRefPubMed
2.
Zurück zum Zitat Churg (2022) Hypersensitivity pneumonitis: new concepts and classifications. Mod Pathol 35:15–27CrossRefPubMed
3.
Zurück zum Zitat Chandra D, Cherian SV (2023) Hypersensitivity Pneumonitis. StatPearls Publishing, Treasure, Island (FL)
4.
Zurück zum Zitat Zhang F, Yang T, Liu Z et al (2022) Clinical Features of Hypersensitivity Pneumonitis in Children: a single center study. Front Pediatr 9:789183CrossRefPubMedPubMedCentral
5.
Zurück zum Zitat Wawszczak M, Bielecka Z, Szczukocki M (2021) Hypersensitivity pneumonitis in children. Ann Agric Environ Med 28(2):214–219CrossRefPubMed
6.
Zurück zum Zitat Griese M, Haug M, Hartl D et al (2013) Hypersensitivity pneumonitis: lessons for diagnosis and treatment or a rare entity in children. Orphanet J Rare Dis 8(8):121CrossRefPubMedPubMedCentral
7.
Zurück zum Zitat Pohle S, Guler SA, Hostettler K et al (2023) Swiss Hypersensitivity Pneumonitis Exposure Questionnaire: a regionally adapted and easy-to-use aide for patients and clinicians. Respiration 102(6):465–468CrossRefPubMed
8.
Zurück zum Zitat Dabiri M, Jehangir M, Khoshpouri P et al (2022) Hypersensitivity Pneumonitis: A Pictorial Review Based on the New ATS/JRS/ALAT Clinical Practice Guideline for Radiologists and Pulmonologists. Diagnostics 2874:
9.
Zurück zum Zitat Barnes H, Lu J, Johannson KA (2022) Development of a Knowledge-sharing Website for Hypersensitivity Pneumonitis Exposures. Ats Scholar 3(3):460–467CrossRefPubMedPubMedCentral
10.
Zurück zum Zitat Rosen Y (2022) Pathology of Granulomatous Pulmonary Diseases. Arch Pathol Lab Med 146:233–251CrossRefPubMed
11.
Zurück zum Zitat Chopra A, Avadhani V, Tiwari A et al (2020) Granulomatous lung disease: clinical aspects. Expert Rev Respir Med 14(10):1045–1063CrossRefPubMed
12.
Zurück zum Zitat Creamer AW, Barrat SL (2020) Prognostic factors in chronic hypersensitivity pneumonitis. Eur Respir Rev 29:190167CrossRefPubMedPubMedCentral
13.
Zurück zum Zitat Fernández Pérez ER, Travis WD, Lynch DA et al (2021) Diagnosis and Evaluation of Hypersensitivity Pneumonitis: CHEST Guideline and Expert Panel Report. Chest 160(2):e97–e156CrossRefPubMed
14.
Zurück zum Zitat Hamblin M, Prosch H, Vasakova M (2022) Diagnosis, course and management of hypersenitivity pneumonitis. Eur Respir Rev 31:21069CrossRef
15.
Zurück zum Zitat Mastrorilli C, Pecoraro L, Arasie S et al (2022) Pediatric hypersensitivity pneumonitis: literature update and proposal of a diagnostic Algorithm. Ital J Pediatr 48:51CrossRefPubMedPubMedCentral
16.
Zurück zum Zitat Zhan X, Du Y, Luo J et al (2023) Features of transbronchial lung cryobiopsy-diagnosed fibrotic hypersensitivity pneumonitis. Clin Respir J 17:50–58CrossRefPubMed
17.
Zurück zum Zitat Koschel D, Behr J, Berger M et al S2k-Leitlinie Diagnostik und Therapie der exogen-allergischen Alveolitis (EAA), AWMF-Leitlinie 2024; 020/036
18.
Zurück zum Zitat Ozsezen B, Nursun ÖH, Emiralioglu N et al (2022) Clinical radiological and pathological staging of children with hypersensitivity pneumonitis. Pediatr Pulmonol 57:2344–2355CrossRefPubMed
19.
Zurück zum Zitat Chen X, Yang X, Ren Y et al (2023) Clinical characteristics of hypersensitivity pneumonitis: non-fibrotic and fibrotic subtypes. Chinese Medical Journal
Bildnachweise
Röntgenbild/© beim Autor