Zum Inhalt

Hemoptoe, thin-walled lung cysts, and spontaneous pneumothorax are features of metastatic cutaneous angiosarcoma

A case report

  • Open Access
  • 11.05.2022
  • case report
Erschienen in:
Download

Summary

We present a case of bilateral cystic lung metastases originating from cutaneous angiosarcoma (cAS) of the scalp in a 73-year-old man. He presented with hemoptysis and recurrent bilateral pneumothorax. The clinical, radiological, and histological features and a potential pathophysiological mechanism of pulmonary changes in cutaneous angiosarcoma are discussed.

Publisher’s Note

Springer Nature remains neutral with regard to jurisdictional claims in published maps and institutional affiliations.

Introduction

Cutaneous angiosarcoma is a rare neoplasm that originates from endothelial cells of blood vessels. It accounts for less than 1% of all soft tissue sarcomas and typically develops on the face or scalp [1]. Elderly men are the most affected group. cAS is often associated with either chronic lymphedema or previous irradiation [1, 2].
The lung is the most common site of metastatic involvement in cAS, which typically presents as cystic lesions [3]. The symptoms include hemoptysis [3, 4], pneumothorax [5, 6], pneumomediastinum [7], and hemothorax [6], the latter three being caused by rupture of a cystic metastasis.
Because of the low incidence and the peculiar radiological and clinical presentation, pulmonary metastasis of cAS is often misdiagnosed as mere pulmonary cyst. There are only a few case reports or case series describing cAS affecting the lungs.
We report on a patient with a complex course of pulmonary metastasis of a cutaneous angiosarcoma of the scalp who developed rapidly growing cystic lesions, spontaneous bilateral pneumothorax, intrapulmonary bleeding, and hemoptysis.

Case report

Two weeks after a first episode of right-sided pneumothorax, which had been treated by chest tube in a peripheral hospital, a 73-year-old male, ex-smoker since 2 years but 60 packyears, presented with recurrent pneumothorax on the right side and slight hemoptoe.
The patient’s history included a parieto-occipital cutaneous angiosarcoma treated by tumor excision and radiation therapy 17 years previously, with local recurrence that had required resection and split-thickness skin grafting 3 years ago. In addition, he had had prostatectomy for carcinoma of the prostate 14 years ago. An outpatient CT scan because of chest pain 8 months previously had shown two thin-walled cysts in the right lower lobe. Despite not taking any anticoagulants, the patient had noticed one episode of slight hemoptysis 3 months ago. The CT scan following that episode had revealed an increase in number of the cysts (four in the right and two in the left lower lobe, with subpleural localization of one cyst on each side), which showed subliminal 18F-fluorodeoxyglucose (FDG) metabolic activity with a standardized uptake value (SUV) of 1.7–2.04. Laboratory and microbiological investigations excluded alpha‑1 antitrypsin deficiency, histiocytosis X, pneumocystis carinii, SARS-CoV‑2, mycobacterial infection. As hemoptysis had subsided spontaneously, the patient had refused any invasive diagnostics.
Thoracic CT scan again showed progression. The bilateral lesions had increased in maximum diameter by 3 to 6 mm each, and measured between 10 and 47 mm (Fig. 1). After chest-tube drainage the lung re-expanded; however, there was a pronounced pulmopleural fistula. During thoracoscopy, a ruptured cyst in the apical segment of the lower lobe was identified and removed by wedge resection.
Fig. 1
Thin-walled pulmonary cysts in the right and left lower lobes in the a upper, b middle, and c lower lung fields
Bild vergrößern
Histopathological workup showed a metastatic spindle cell tumor with CD31 and ERG avian V‑ets erythroblastosis virus E26 oncogene homolog expression, confirming the diagnosis of metastatic angiosarcoma (Fig. 2). MYC oncogene was positive in few, singular cells only.
Fig. 2
a Irregularly shaped anastomosing vascular channels lined by sheets of atypical endothelial cells with an infiltrative growth pattern (H&E stain). Tumor cells demonstrate a membranous positivity for CD31 (b) and nuclear positivity for ERG (c)
Bild vergrößern
After an uneventful course during which he did not experience further hemoptoe, the patient was discharged on day 5. Since the patient would not have functionally tolerated complete resection of all metastatic lesions, oncological treatment with paclitaxel was initiated.
One month later, the patient was re-admitted with left-sided tension pneumothorax, pronounced hemoptysis, and respiratory insufficiency. The lung re-expanded following chest-tube drainage.
Thoracic CT scan revealed another increase in size of the cysts by an average of 5 mm. A large one in the left lower lobe was filled with liquid and surrounded by dense intrapulmonary opacity, suggesting hemorrhage (Fig. 3). By interventional radiology, the segmental pulmonary arteries 8 and 9 on the left side were identified as the source of the bleeding and were coiled, whereupon hemoptysis subsided (Figs. 4 and 5). The chest tube could be removed uneventfully.
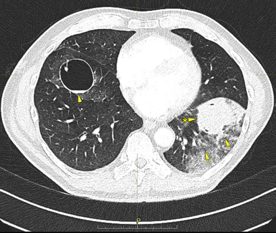
Fig. 3
Pulmonary cyst in the right lower lobe (arrow), pulmonary liquid-filled cyst (arrow with asterisk) in the left lower lobe surrounded by dense intrapulmonary opacity (arrows with double asterisks)
Bild vergrößern
Fig. 4
Angiography of the pulmonary artery shows contrast medium extravasation (arrow)
Bild vergrößern
Fig. 5
The segmental artery is embolized with coils (arrow with asterisk)
Bild vergrößern
Two weeks later, the patient was re-admitted with severe recurrent hemoptysis. The cystic lesion in the left lower lobe had increased by 18 mm in maximum diameter, now comprising the majority of the left lower lobe with the coiling material in unchanged position. Emergency left lower lobectomy was done via thoracotomy. After an uneventful course, the patient was discharged to home care. Up to the time of writing, 1 year after the operation, 10 treatment cycles with paclitaxel (80 mg/m2 body surface) have been administered without significant side effects. There has been no further recurrence of pneumothorax or hemoptysis and the patient is up and well.

Discussion

Cutaneous scalp angiosarcoma (cAS) is a rare, aggressive malignant vascular neoplasm with an incidence of about 0.5 cases per 1,000,000 persons per year [1]. Epidemiological studies indicate that cAS account for less than 1% of all soft tissue sarcomas [1, 8]. They usually occur in males, most of them aged over 60 years [1]. In about 60% of cases, cAS originates in the head and neck region [1].
The lung is the most likely site for metastasis of cutaneous AS [3]. Because of the rare incidence of pulmonary involvement, relevant epidemiological data are not at hand. Only few cases and case series have been reported [3, 5, 911]. The clinical presentation, radiological features, and histological pattern of pulmonary metastasis of cAS are characteristic and unique.
In most cases the first symptom of pulmonary spread of cAS is hemoptoe or hemoptysis [1, 4, 12, 13]. Other findings are spontaneous recurrent pneumothorax [3, 11] and rarely hemothorax [14] or pneumomediastinum [7]. The presence of a history of cAS and radiological changes, especially a combination of two or more of these features as found in our patient, should raise the suspicion of pulmonary metastasis. The most peculiar feature in our case of pulmonary metastasis was the long delay of 17 years since initial tumor presentation and a 3-year delay since local recurrence. We were unable to find another report describing such a long interval, since most lung metastases occur synchronously or a few months after treatment of the primary tumor [1, 3, 4].
Radiologically, pulmonary cysts of variable size [3, 6, 1013] with wall thickness less than 2 mm are typical findings. Additional ground-glass opacities indicate hemorrhage [15, 16]. Due to the thin walls the tumor load is low, and positron-emission tomography (PET) may be misleading since maximum standardized uptake values (SUV) often fail to indicate malignancy. Also, in the present case, PET indicated benign, rather than malignant changes [12].
Histopathology reveals cavities with thin walls, the inner surface of which is lined by tumor cells. They show a diffuse growth pattern, infiltrating the adjacent lung along collagen bundles. Necrosis or fibrosis is usually absent [3, 17]. The tumor cells may be difficult to discern. Immunohistochemical staining including factor VIII, podoplanin, endothelial markers (CD31, CD34, ERG avian V‑ets erythroblastosis virus E26 oncogene homolog), FLI1 (“friend leukemia factor”), and matrix metalloproteinase‑1 (MMP-1) can help to identify cAS in the cyst walls [17, 18]. Our case showed abundant expression of CD31 and ERG avian V‑ets erythroblastosis virus E26 oncogene homolog, whereas MYC oncogene was positive in very few, singular cells. Therefore, considering the age of the patient and keeping in mind the fact that the primary had not been radiation induced, the pathologists decided not to proceed to an evaluation of CIC rearrangement. This marker, which indicates poor prognosis, is common in younger individuals and especially in cases associated with radiation therapy [1, 19].
A clear-cut mechanism for the peculiar growth pattern featuring thin-walled cysts has not yet been defined. However, the group of Masuzava et al. suggested a potential explanation. Similar to cells within the cysts in lymphangioleiomyomatosis (LAM), the cAS tumor cells produce matrix metalloproteinase 1 (MMP‑1; collagenase 1). This enzyme is capable of degrading interstitial collagen types 1 to 3 as well as elastin, all of which are components of the alveolar wall. Formation of a central necrosis within a solid metastasis along with a high proteinase activity is another possible mechanism for cyst formation [17, 18]. The specimen of our patient was devoid of any necrosis, however.
Rupture of cystic metastases at the lung surface causing pneumothorax or profuse bleeding may require resection. Yet, as also in our patient, lesions are usually localized deeply within the parenchyma with multiple bilateral spread foci. Therefore, complete resection is usually impossible due to both anatomical and functional reasons. Currently, paclitaxel seems to provide the best systemic treatment option, with long-term tumor control even in case of gross dissemination [20, 21].

Conclusion

Cutaneous angiosarcoma (cAS) is a rare vascular malignancy. The lung is the typical and most common site of metastasis. Clinical symptoms include hemoptoe, spontaneous recurrent pneumothorax, and rarely hemothorax. Radiologically, multiple thin-walled cysts are found. The present case features the typical symptoms and radiological findings, emphasizing the importance of correct interpretation of pneumothorax and hemoptysis in patients with a history of cAS.

Conflict of interest

I. Mykoliuk, M. Zacharias, O. Sankin, J. Lindenmann, and F.-M. Smolle-Juettner declare that they have no competing interests.
Open Access This article is licensed under a Creative Commons Attribution 4.0 International License, which permits use, sharing, adaptation, distribution and reproduction in any medium or format, as long as you give appropriate credit to the original author(s) and the source, provide a link to the Creative Commons licence, and indicate if changes were made. The images or other third party material in this article are included in the article’s Creative Commons licence, unless indicated otherwise in a credit line to the material. If material is not included in the article’s Creative Commons licence and your intended use is not permitted by statutory regulation or exceeds the permitted use, you will need to obtain permission directly from the copyright holder. To view a copy of this licence, visit http://creativecommons.org/licenses/by/4.0/.

Publisher’s Note

Springer Nature remains neutral with regard to jurisdictional claims in published maps and institutional affiliations.
Download
Titel
Hemoptoe, thin-walled lung cysts, and spontaneous pneumothorax are features of metastatic cutaneous angiosarcoma
A case report
Verfasst von
Dr. med. Iurii Mykoliuk
Dr.med.univ. Martin Zacharias
Dr.med. Oliver Sankin
Assoz. Prof. PD Dr.med.univ. Jörg Lindenmann
Univ.-Prof. Dr. med.univ. Freyja-Maria Smolle-Juettner
Publikationsdatum
11.05.2022
Verlag
Springer Vienna
Erschienen in
Wiener Medizinische Wochenschrift / Ausgabe 11-12/2023
Print ISSN: 0043-5341
Elektronische ISSN: 1563-258X
DOI
https://doi.org/10.1007/s10354-022-00934-1
1.
Zurück zum Zitat Ronchi A, Cozzolino I, Zito MF, De Chiara A, Argenziano G, Moscarella E, et al. Primary and secondary cutaneous angiosarcoma: Distinctive clinical, pathological and molecular features. Ann Diagn Pathol. 2020;48:151597.CrossRefPubMed
2.
Zurück zum Zitat Kamo R, Ishii M. Histological differentiation, histogenesis and prognosis of cutaneous angiosarcoma. Osaka City Med J. 2011;57(1):31–44.PubMed
3.
Zurück zum Zitat Wang H, Shi J, Liu H, Chen Y, Wang Y, Wang W, et al. Clinical and diagnostic features of angiosarcoma with pulmonary metastases: a retrospective observational study. Medicine. 2017;96(36):e8033.CrossRefPubMedPubMedCentral
4.
Zurück zum Zitat Patel AM, Ryu JH. Angiosarcoma in the lung. Chest. 1993;103(5):1531–5.CrossRefPubMed
5.
Zurück zum Zitat Isowa M, Tanaka S, Nakanobo R, Yamada Y, Date H. Refractory pneumothorax and hemothorax associated with metastatic scalp angiosarcoma. Surg Case Rep. 2020;6(1):272.CrossRefPubMedPubMedCentral
6.
Zurück zum Zitat Nomura M, Nakaya Y, Saito K, Miyoshi H, Kishi F, Hibino S, et al. Hemopneumothorax secondary to multiple cavitary metastasis in angiosarcoma of the scalp. Respiration. 1994;61(2):109–12.CrossRefPubMed
7.
Zurück zum Zitat Park SI, Choi E, Lee HB, Rhee YK, Chung MJ, Lee YC. Spontaneous pneumomediastinum and hemopneumothoraces secondary to cystic lung metastasis. Respiration. 2003;70(2):211–3.CrossRefPubMed
8.
Zurück zum Zitat Rouhani P, Fletcher CD, Devesa SS, Toro JR. Cutaneous soft tissue sarcoma incidence patterns in the U.S. : an analysis of 12,114 cases. Cancer. 2008;113(3):616–27.CrossRefPubMed
9.
Zurück zum Zitat Kitagawa M, Tanaka I, Takemura T, Matsubara O, Kasuga T. Angiosarcoma of the scalp: report of two cases with fatal pulmonary complications and a review of Japanese autopsy registry data. Virchows Arch A Pathol Anat Histopathol. 1987;412(1):83–7.CrossRefPubMed
10.
Zurück zum Zitat Chang JH, Kim JH, Hong SH, Song ME, Ryu YJ, Lee JH, et al. Angiosarcoma presenting with spontaneous hydropneumothorax: report of a case and review of the literature. Open Respir Med J. 2014;8:48–54.CrossRefPubMedPubMedCentral
11.
Zurück zum Zitat Chen W, Shih CS, Wang YT, Tseng GC, Hsu WH. Angiosarcoma with pulmonary metastasis presenting with spontaneous bilateral pneumothorax in an elderly man. J Formos Med Assoc. 2006;105(3):238–41.CrossRefPubMed
12.
Zurück zum Zitat Andersen KF, Albrecht-Beste E, Berthelsen AK, Loft A. Angiosarcoma of the scalp: metastatic pulmonary cystic lesions initially misinterpreted as benign findings on 18F-FDG PET/CT. Diagnostics. 2015;6(1). https://doi.org/10.3390/diagnostics6010001.CrossRefPubMedPubMedCentral
13.
Zurück zum Zitat Aryal S, Chu C, Morehead RS. An 83-year-old man with bilateral spontaneous pneumothoraces and multiple cysts. Chest. 2011;139(6):1536–9.CrossRefPubMed
14.
Zurück zum Zitat Varsano S, Edelstein E, Gendel B, Smorzik J. Bilateral and unilateral spontaneous massive hemothorax as a presenting manifestation of rare tumors. Respiration. 2003;70(2):214–8.CrossRefPubMed
15.
Zurück zum Zitat Hansell DM, Bankier AA, MacMahon H, McLoud TC, Müller NL, Remy J. Fleischner Society: glossary of terms for thoracic imaging. Radiology. 2008;246(3):697–722.CrossRefPubMed
16.
Zurück zum Zitat Yu M, Huang W, Wang Y, Wang G, Wang L, Tao W, et al. Pulmonary angiosarcoma presenting with diffuse alveolar hemorrhage: a case report. Ann Transl Med. 2021;9(1):74.CrossRefPubMedPubMedCentral
17.
Zurück zum Zitat Masuzawa M, Mikami T, Numata Y, Tokuyama W, Masuzawa M, Murakumo Y, et al. Association of D2-40 and MMP‑1 expression with cyst formation in lung metastatic lesions of cutaneous angiosarcoma on the scalp: immunohistochemical analysis of 23 autopsy cases. Hum Pathol. 2013;44(12):2751–9.CrossRefPubMed
18.
Zurück zum Zitat Takeuchi T, Iwasaki S, Miyazaki J, Nozaki Y, Takahashi M, Ono M, et al. Matrix metalloproteinase‑1 expression in splenic angiosarcoma metastasizing to the serous membrane. Int J Clin Exp Pathol. 2010;3(6):634–9.PubMedPubMedCentral
19.
Zurück zum Zitat Huang SC, Zhang L, Sung YS, Chen CL, Kao YC, Agaram NP, et al. Recurrent CIC gene abnormalities in angiosarcomas: a molecular study of 120 cases with concurrent investigation of PLCG1, KDR, MYC, and FLT4 gene alterations. Am J Surg Pathol. 2016;40(5):645–55.CrossRefPubMedPubMedCentral
20.
Zurück zum Zitat Nagano T, Yamada Y, Ikeda T, Kanki H, Kamo T, Nishigori C. Docetaxel: a therapeutic option in the treatment of cutaneous angiosarcoma: report of 9 patients. Cancer. 2007;110(3):648–51.CrossRefPubMed
21.
Zurück zum Zitat Isogai R, Kawada A, Aragane Y, Tezuka T. Successful treatment of pulmonary metastasis and local recurrence of angiosarcoma with docetaxel. J Dermatol. 2004;31(4):335–41.CrossRefPubMed