Zum Inhalt

Sichere und weniger sichere Ultraschallmarker der extrauterinen Schwangerschaft (EUG)

Erschienen in:

Hinweis des Verlags

Der Verlag bleibt in Hinblick auf geografische Zuordnungen und Gebietsbezeichnungen in veröffentlichten Karten und Institutsadressen neutral.
Rasch durchführbare Labortests und der Vaginalultraschall haben in den letzten Jahren eine spürbare Veränderung in Diagnostik und Therapie der ektopen Schwangerschaft mit sich gebracht. Dies führt zwangsläufig zu einer Phase der Unsicherheit, wenn noch kein topischer Fruchtsack im Uterus gesehen wird. Die „pregnancy of unknown location“ (PUL) ist inzwischen zu einer alltäglichen Diagnose in Praxen und Spitalsambulanzen geworden. Der Druck der Patientinnen – die nahezu unweigerlich am nächsten Tag eine Fernreise antreten wollen – auf diagnostische Sicherheit kann zu voreiligen Fehldiagnosen führen. Mithilfe des HCG-Verlaufs über 48 h und Fahndung nach dem „blob“ und dem „bagel“ im Vaginalschall kann eine Diagnose und Prognose der PUL erreicht werden.
Es bildet die Tubarschwangerschaft eine so colossale Lebensgefahr für die Frau, dass man Alles aufbringen muss, die sichere Diagnose vor der Katastrophe zu stellen [1].
Das klinische Bild der ektopen Schwangerschaft (EUG) hat sich in den letzten 100 Jahren und erst recht in den letzten 20 Jahren deutlich gewandelt: Die klassische Eileiterschwangerschaft, die 8–10 Wochen nach der Konzeption dramatisch rupturiert, ist heute selten geworden, wobei die Bedrohung durch diese Pathologie nie ganz verschwinden wird. Wir wollen uns in diesem Beitrag auf die mit Abstand häufigste EUG, die tubare EUG, konzentrieren und andere Lokalisationen (isthmisch, zervikal, Sectionarbe, ovariell) nicht behandeln.
Mittlerweile wird ein großer Teil der Schwangerschaften schon mittels laborchemischer Schwangerschaftstests festgestellt, noch bevor auch mit den besten und höchst auflösenden Vaginalultraschallsonden eine intrauterine Schwangerschaft dargestellt und gesehen werden kann. Dies führte zur Einführung einer neuen Kategorie, der „pregnancy of unknown location“ (PUL). Jedes zweite Kind und nahezu alle Zwillinge beginnen ihr Dasein heute als PUL. Die Diagnose „PUL“ ist kein Zeichen von Ultraschallinkompetenz, sondern zeigt in den meisten Fällen nur, dass die Schwangerschaft noch zu klein/zu früh für eine sonographische Diagnose war.

Der „blob“ und der „bagel“

Die Diagnose einer ektopen Schwangerschaft besteht in der eindeutigen Darstellung einer extrauterinen Struktur im Adnexbereich. Dies gelingt am ehesten, wenn die Schwangerschaft schon weiter fortgeschritten ist, man einen leeren Uterus und daneben einen Fruchtsack, vielleicht sogar mit Dottersack und Embryo, im Vaginalschall darstellen kann (Abb. 1). Man wird eine Woche nach Ausfall der Regelblutung nicht abwarten, bis sich in den nächsten Wochen das Vollbild der EUG entwickeln kann, sondern wird bei der Diagnose PUL nach diskreteren Hinweiszeichen fahnden, vornehmlich dem Klecks („blob sign“) und dem „bagel“ [2].
Abb. 1
Eine vitale ektope Schwangerschaft (EUG) liegt der deutlich gefüllten maternalen Harnblase an. Derartige „klassische“ Ultraschallbefunde sind heute selten geworden
Bild vergrößern
Beim „blob“ zeigt sich eine inhomogene, meist nicht an allen Seiten scharf abgegrenzte Struktur, die nicht dem Ovar und dem Uterus zugeordnet werden kann (58 % aller Fälle; Abb. 2). Schon etwas weiter ist eine Schwangerschaft, die sich als „bagel“ zeigt und wo im Zentrum der „blob“-Struktur ein leerer Fruchtsack gesehen werden kann (21 % aller Fälle; Abb. 3). Den Fruchtsack mit darin erkennbaren embryonalen Anteilen sah man in einer Metaanalyse in 13 % der Fälle, bei denen sich eine PUL als ektope Schwangerschaft herausgestellt hatte ([3]; Tab. 1).
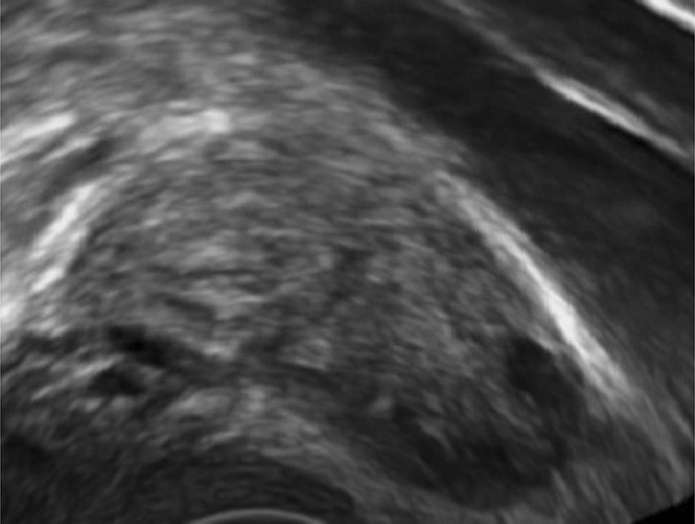
Abb. 2
Das „blob sign“: Ein normales Ovar mit Follikel liegt der Iliakalvene an, in der Bildmitte beginnt eine unscharf abgegrenzte Struktur, die sich bei Palpation anders als das Ovar bewegt. Dieser „Klecks“/„blob“ ist die ektope Schwangerschaft
Bild vergrößern
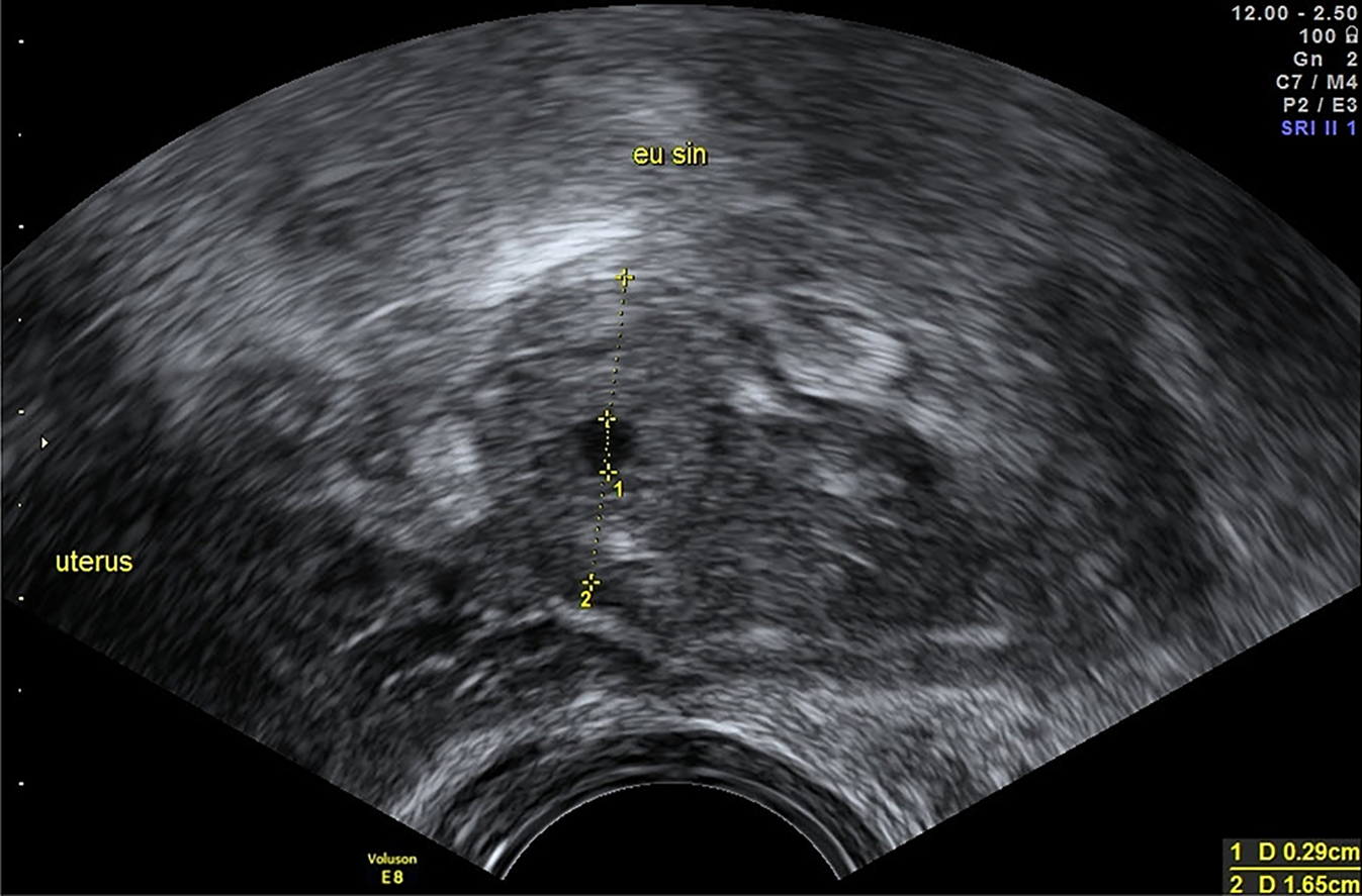
Abb. 3
Das „bagel sign“: Eine kreisrunde Ringstruktur umgibt einen echoarmen Fruchtsack
Bild vergrößern
Tab. 1
Sonographische Marker der extrauterinen Schwangerschaft (EUG)
1.
Inhomogene Masse neben dem Ovar, das sich bei Palpation anders als das Ovar bewegt („the ‚blob‘ sign“)
2.
Eine ektope Struktur mit einem hyperechogenen Ring um den Fruchtsack („the ‚bagel‘ sign“)
3.
Ein „richtiger“ Fruchtsack mit erkennbaren fetalen Anteilen mit und ohne Dottersack und Herzaktion

Flüssigkeit im Douglas und Pseudofruchtsack

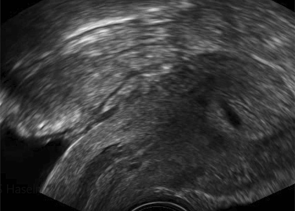
In den Anfangsjahren des Ultraschalls, als der Vaginalschall noch wenig verbreitet war, waren der Pseudofruchtsack und die freie Flüssigkeit im Douglas-Raum noch wichtige Erkennungsmerkmale, die den Verdacht auf eine EUG lenkten (Abb. 4). Der Pseudofruchtsack weist auf eine sekretorische Umwandlungsreaktion des Endometriums in Dezidua hin. Wenn er sich zeigt, dann als zentrale, unscharf begrenzte Flüssigkeitsansammlung entsprechend einer Serometra. Mit einem Fruchtsack sollte sie nicht verwechselt werden, da ein intakter früher Fruchtsack meist leicht exzentrisch im Cavum uteri liegt und am Rand eine markante, echodense deziduale Reaktion aufweist. Allerdings kann ein früher Spontanabort ein ähnliches sonographisches Bild aufweisen wie der Pseudofruchtsack.
Abb. 4
Zwei unsichere Marker für EUG: freie Flüssigkeit im Douglas (links im Bild) und ein „Pseudofruchtsack“ mit einer zentralen Flüssigkeitsansammlung im Cavum uteri (rechts im Bild). Beide treten nur bei zeitlich fortgeschritteneren EUG auf, wie im Fall von Abb. 1
Bild vergrößern
Freie Flüssigkeit im Douglas ist ebenfalls ein historischer Marker aus einer Zeit, als ektope Schwangerschaften erst durch Blutung in die Bauchhöhle auffielen. Schon in älteren Übersichtsarbeiten findet man nur in 40–80 % der ektopen Schwangerschaften im Ultraschall freie Flüssigkeit im Douglas. Umgekehrt dürfen die Abwesenheit von freier Flüssigkeit sowie ein leeres Cavum uteri ohne Fruchtsack und ohne Pseudofruchtsack keinesfalls zu der Annahme führen, eine ektope Schwangerschaft könne ausgeschlossen werden.

Ultraschall als Teil diagnostische SOP mithilfe von Apps

Eine Frau hat ein HCG von 1100 IU, sie ist asymptomatisch, schmerzfrei, hat keine Blutung, die Regelblutung hätte vor drei Tagen kommen sollen. Im Ultraschall sieht man hoch aufgebautes Endometrium, weder einen Fruchtsack noch einen Pseudofruchtsack, neben dem Uterus keinen „blob“, keinen „bagel“ und am Ovar nur ein schönes Corpus luteum. Man hat also, dank der modernen Technik, eine PUL, eine „pregnancy of unknown location“. Prinzipiell kann diese Befundkonstellation auf drei Diagnosen hinweisen:
a)
Eine intakte Einlings- oder Mehrlingsschwangerschaft
 
b)
Einen frühen Abortus („failed PUL“)
 
c)
Eine ektope Schwangerschaft
 
Zu diesem Zeitpunkt ist weder eine Laparoskopie noch Methotrexat angebracht, hier muss abgewartet werden, bis Klarheit in der Diagnostik erreicht ist. Auch ein von der Patientin gewünschter Schwangerschaftsabbruch ist zu diesem Zeitpunkt und bei dieser Befundkonstellation zwar legal, aber riskant: Jüngst wurde vor einem österreichischen Gericht ein Fall verhandelt, bei dem die Klägerin fünf Wochen nach dem gesetzeskonform durchgeführten vermeintlichen Schwangerschaftsabbruch an einer rupturierten Eileiterschwangerschaft akut operiert werden musste, sie klagte auf Schmerzensgeld.
Die rasch verfügbare Serum-HCG-Bestimmung ist wertvoll, aber ein einziger HCG-Wert würde 67 % aller EUG ohne adäquate Nachsorge heimschicken. Der HCG-Verlauf ist am besten für Messungen im Abstand von 48 h validiert: Nehmen wir an, die Patientin in unserem Beispiel weist 48 h später einen HCG-Wert von 900 auf, dann dividieren wir diesen Wert durch den Ausgangswert von 1100. Dies ergibt 0,82. Ist der Wert 48 h später auf 1900 angestiegen, so beträgt die HCG-Ratio 1,72. Die Verdachtszone auf EUG liegt bei einer HCG-Ratio von 0,87 bis 1,66 (Tab. 2).
Tab. 2
HCG-Wert nach 48 h dividiert durch den Ausgangswert [6]
\(\frac{\text{HCG nach 48h}}{\text{HCG }\text{Ausgangswert 0 h}}\)
HCG-Ratio
<0,87
Spontanabort/„failed PUL“
0,88–1,65
EUG wahrscheinlich
>1,65
Intakte Schwangerschaft
Wesentlich genauer und mit einer individualisierten Risikoberechnung ist die von Klinikern und Biostatistikern in England und Belgien entwickelte App Early Pregnancy PUL Model M6. Im App-Store kostet sie knapp 6 €, am Computer ist sie gratis [4]. Sie ermöglicht fakultativ auch die Eingabe des Ausgangswerts von Progesteron und führt eine plausible graphische individualisierte Risikoberechnung durch (Abb. 5; [5]).
Abb. 5
Die PUL Model M6 App mit HCG-Anstieg innerhalb von 48 h (http://www.earlypregnancycare.co.uk/)
Bild vergrößern

Was bringt die Messung des Progesterons im Serum?

Progesteron ist ein in vielen Ländern verwendeter prognostischer Marker für den zu erwartenden „Erfolg“ einer frühen Schwangerschaft (Tab. 3). Der Serumprogesteronwert sagt aber nichts über die Lokalisation einer Schwangerschaft aus, sondern im Idealfall lediglich, dass Corpus luteum und Trophoblast so funktionieren, dass eine heranwachsende intakte Schwangerschaft möglich wäre. Wenn die Patientin mikronisiertes vaginales Progesteron wie Utrogestan® nimmt, wird diese extern zugefügte Substanz im peripheren Serumprogesteron mitbestimmt. Daher hat sich die Serumprogesteronbestimmung bei Unklarheiten in der Frühschwangerschaft und der Fahndung nach EUG bei uns nicht durchgesetzt. Selbst in Ländern wie Großbritannien und Australien, die viele Jahre bei der Diagnose der EUG auf das One-stop-clinic-Konzept fixiert waren, ist man inzwischen zu der Empfehlung übergegangen, zwei HCG-Werte im Abstand von 48 h zu vergleichen [6].
Tab. 3
Grenzwerte für prädiktive Aussagen des Serumprogesterons in der Frühschwangerschaft [8]
≤10 nmol bzw. 3 µg/l
Keine intakte Schwangerschaft zu erwarten
≤20 nmol/l bzw. 6,2 µg/l
Hoher Vorhersagewert Abortus
≥60 nmol bzw. 18 µg/l
Hoher Vorhersagewert intakte Schwangerschaft

Zusammenfassung – zwischen PUL und EUG

Die Patientin, die sofort nach Ausbleiben der Regelblutung zu Schwangerschaftstest und Vaginalschall kommt, wird häufig eine Phase der Unsicherheit als PUL durchlaufen, bis eine topische, vitale Schwangerschaft festgestellt werden kann. Dagegen ist die Patientin selten geworden, die nicht wusste, dass sie schwanger ist und mit einer rupturierten ektopen Schwangerschaft in die Notaufnahme eingeliefert wird. Beim Vaginalultraschall sollte man sich vor Zwängen hüten, ab welchem Grenzwert eine topische Schwangerschaft gesehen werden „muss“. Wenn der Schall weder einen topischen Fruchtsack noch einen „blob“ oder „bagel“ aufweist, kann die Zeitspanne von 48 h zwischen zwei HCG-Bestimmungen und deren Bewertung mit validierten Schemata meist Klarheit bringen. Klinischer Befund und Vaginalultraschall können nach Ablauf dieser Zeit auch wesentlich deutlicher sein als bei der Erstvorstellung [7].

Einhaltung ethischer Richtlinien

Interessenkonflikt

C. Brezinka gibt an, dass kein Interessenkonflikt besteht.
Für diesen Beitrag wurden vom Autor keine Studien an Menschen oder Tieren durchgeführt. Für die aufgeführten Studien gelten die jeweils dort angegebenen ethischen Richtlinien.
Open Access. Dieser Artikel wird unter der Creative Commons Namensnennung 4.0 International Lizenz (http://creativecommons.org/licenses/by/4.0/deed.de) veröffentlicht, welche die Nutzung, Vervielfältigung, Bearbeitung, Verbreitung und Wiedergabe in jeglichem Medium und Format erlaubt, sofern Sie den/die ursprünglichen Autor(en) und die Quelle ordnungsgemäß nennen, einen Link zur Creative Commons Lizenz beifügen und angeben, ob Änderungen vorgenommen wurden.

Hinweis des Verlags

Der Verlag bleibt in Hinblick auf geografische Zuordnungen und Gebietsbezeichnungen in veröffentlichten Karten und Institutsadressen neutral.
download
DOWNLOAD
print
DRUCKEN
Titel
Sichere und weniger sichere Ultraschallmarker der extrauterinen Schwangerschaft (EUG)
Verfasst von
Ao. Univ.-Prof. Dr. Christoph Brezinka
Publikationsdatum
01.12.2019
Verlag
Springer Vienna
Erschienen in
Gynäkologie in der Praxis / Ausgabe 4/2019
Print ISSN: 3005-0758
Elektronische ISSN: 3005-0766
DOI
https://doi.org/10.1007/s41974-019-00117-8
1.
Zurück zum Zitat Zweifel P (1889) Die geburtshülfliche Untersuchung. In: Lehrbuch der Geburtshülfe für Studierende und Ärzte. Enke Verlag, Stuttgart, S 96–119
2.
Zurück zum Zitat Nadim B, Leonardi M, Infante F, Lattouf I, Reid S, Condous G (2019) Rationalizing the management of pregnancies of unknown location: diagnostic accuracy of human chorionic gonadotropin ratio-based decision tree compared to the risk prediction model M4. Acta Obstet Gynecol Scand. https://doi.org/10.1111/aogs.13752 CrossRefPubMed
3.
Zurück zum Zitat Richardson A, Gallos I, Dobson S, Campbell BK, Coomarasamy A, Raine-Fenning N (2016) Accuracy of first-trimester ultrasound in diagnosis of tubal ectopic pregnancy in the absence of an obvious extrauterine embryo: systematic review and meta-analysis. Ultrasound Obstet Gynecol 47:28–37CrossRef
4.
Zurück zum Zitat NIHR CLAHRC (2019) Early pregnancy PUL model M6. www.earlypregnancycare.co.uk. Zugegriffen: 18. Nov. 2019
5.
Zurück zum Zitat Bobdiwala S, Christodoulou E, Farren J, Mitchell-Jones N, Kyriacou C, Al-Memar M, Ayim F, Chohan B, Kirk E, Abughazza O, Guruwadahyarhalli B, Guha S, Vathanan V, Bottomley C, Gould D, Stalder C, Timmerman D, Van Calster B, Bourne T (2019) Triaging women with a pregnancy of unknown location using a two-step triage protocol including the M6 model: a clinical implementation study. Ultrasound Obstet Gynecol. https://doi.org/10.1002/uog.20420 CrossRefPubMed
6.
Zurück zum Zitat Van Calster B, Bobdiwala S, Guha S, Van HK, Al-Memar M, Harvey R, Farren J, Kirk E, Condous G, Sur S, Stalder C, Timmerman D, Bourne T (2016) Managing pregnancy of unknown location based on initial serum progesterone and serial serum hCG levels: development and validation of a two-step triage protocol. Ultrasound Obstet Gynecol 48:642–649CrossRef
7.
Zurück zum Zitat No authors listed (2019) ACOG practice bulletin no. 193: tubal ectopic pregnancy: correction. Obstet Gynecol 133:1059CrossRef
8.
Zurück zum Zitat Guha S, Ayim F, Ludlow J, Sayasneh A, Condous G, Kirk E, Stalder C, Timmerman D, Bourne T, Van Calster B (2014) Triaging pregnancies of unknown location: the performance of protocols based on single serum progesterone or repeated serum hCG levels. Hum Reprod 29:938–945CrossRef
Bildnachweise
Frau in Spitalsbett/© tunedin / stock.adobe.com