Zum Inhalt

Gestieltes Hämangiom der Leber simuliert Dünndarm-GIST

  • 12.01.2025
  • Aktuelle Bilder
Erschienen in:

Auszug

Eine 59-jährige Patientin mit linksseitigen Nierenkoliken wurde auswärts zu einer Nativ-CT der nierenableitenden Harnwege zugewiesen, welche ein linksseitiges Ureterkonkrement und eine Hydronephrose Grad II zeigte (Abb. 1). Zusätzlich fand sich eine Raumforderung im rechten Mittelbauch, welche in dieser Nativ-CT als Dünndarm-GIST befundet wurde. Eine daraufhin durchgeführte Ultraschall-gezielte Stanzbiopsie (Abb. 2), welche nur wenig Material ergab, wurde pathohistologisch als „spindelzelliger Tumor“ befundet. Eine chirurgische Resektion wurde empfohlen und die Patientin suchte dazu unsere Institution auf. Zur besseren Abklärung der Raumforderung führten wir eine mehrphasige Kontrastmittel-verstärkte Multidetektor-CT (MDCT) des Abdomens durch. Diese bestätigte den Befund eines vom Dünndarm ausgehenden Tumors nicht. Es konnte gezeigt werden, dass es sich um eine gestielte, vom kaudalen Rand des rechten Leberlappens abgehende Raumforderung mit arterieller und venöser Gefäßversorgung aus der Leber handelte (Abb. 3, Video 1). Auffällig war ein inhomogenes Kontrastmittel-Enhancement, wobei die periphere, sehr intensive Kontrastmittelaufnahme an ein Hämangiom erinnerte. Zur näheren Eingrenzung der Ätiologie wurde noch eine Gadolinium-verstärkte Magnetresonanztomographie (MRT) durchgeführt, welche regressive Veränderungen der Raumforderung darstellte, mit Anteilen Hämangiom-typischen Enhancements (Abb. 4).
Abb. 1
Die Nativ-MDCT von Niere und ableitenden Harnwegen zeigt das proximale Ureterkonkrement links (kleiner Pfeil) und den Zufallsbefund einer Raumforderung im rechten Mittelbauch (große Pfeile), mit Nahebeziehung zu Darmschlingen
Bild vergrößern
Abb. 2
Der Tumor wurde Ultraschall-gezielt biopsiert (Pfeile)
Bild vergrößern
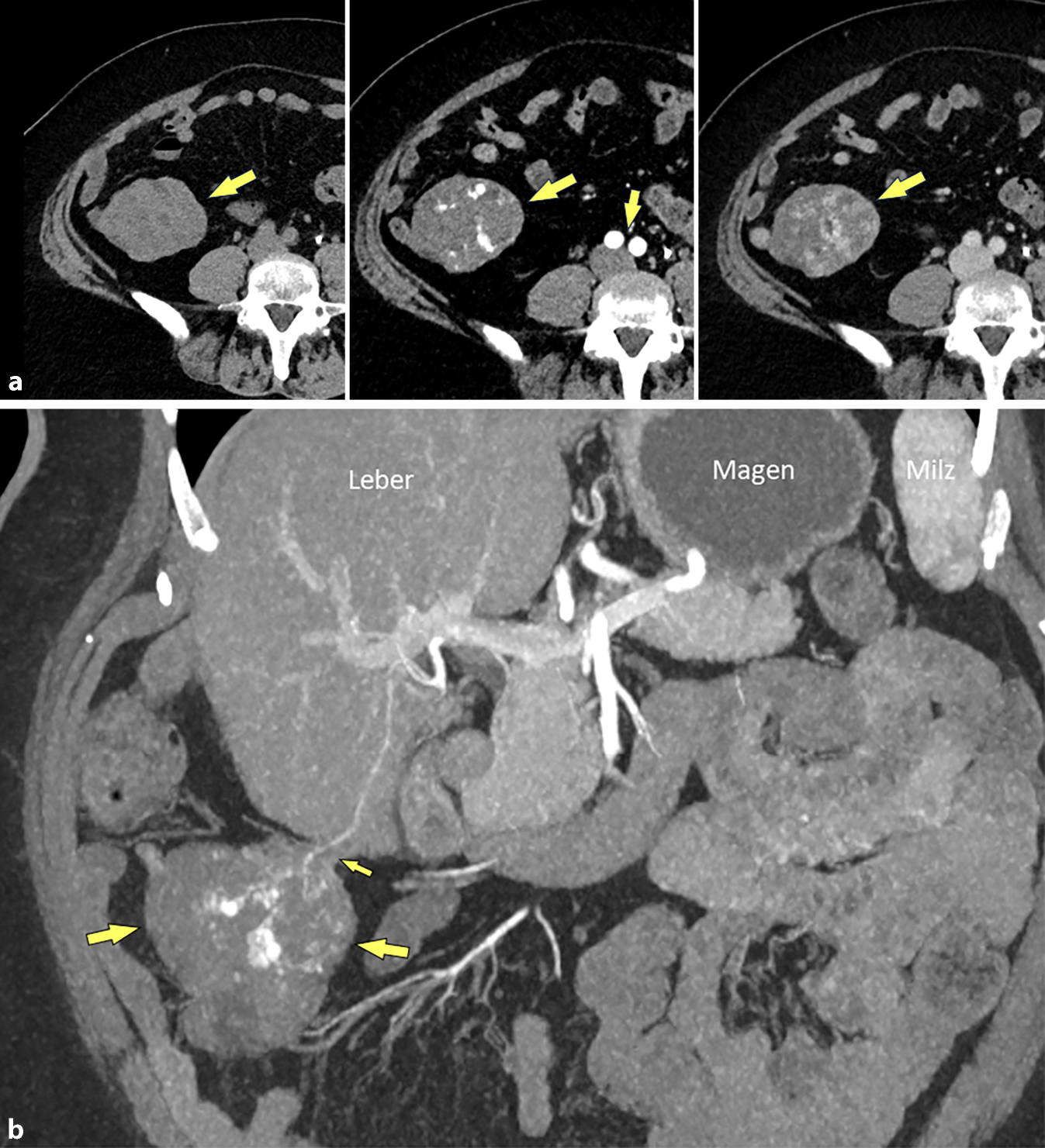
Abb. 3
Kontrastmittel-verstärkte MDCT. a Die dynamische CT (nativ, arterielle Phase, portal-venöse Phase) zeigt ein Hämangiom-typisches fleckiges Kontrastmittel-Enhancement (große Pfeile), ähnlich dem Gefäß-Enhancement auf Höhe der Aortenbifurkation (kleine Pfeile). b Wegweisend für den Ursprung der Raumforderung aus der Leber ist die Darstellung des Gefäßstiels in der coronalen-3D-Rekonstruktion, mit arterieller Gefäßversorgung des Tumors (große Pfeile) aus der Leber (kleiner Pfeil)
Bild vergrößern
Abb. 4
Die MRT in coronaler Rekonstruktion (a) zeigt ebenfalls den Gefäßstiel (kleiner Pfeil) und die (initial irreführende) Nahebeziehung zum Darm. Das axiale MR-Bild (b) zeigt die inhomogene Signalintensität des Hämangioms mit regressiven Veränderungen (ein Hämangiom sollte typischerweise homogen hyperintens = signalreich sein)
Bild vergrößern
Titel
Gestieltes Hämangiom der Leber simuliert Dünndarm-GIST
Verfasst von
Prim. Univ.-Prof. Dr. Wolfgang Schima, MSc
Edith Eisenhuber
Oskar Koperek
Brigitte Obermayer
Matthias Paireder
Publikationsdatum
12.01.2025
Verlag
Springer Vienna
Erschienen in
Journal für Gastroenterologische und Hepatologische Erkrankungen / Ausgabe 1/2025
Print ISSN: 1728-6263
Elektronische ISSN: 1728-6271
DOI
https://doi.org/10.1007/s41971-024-00215-1
Dieser Inhalt ist nur sichtbar, wenn du eingeloggt bist und die entsprechende Berechtigung hast.
Dieser Inhalt ist nur sichtbar, wenn du eingeloggt bist und die entsprechende Berechtigung hast.