Zum Inhalt

Diffuse Adenomyomatose der Gallenblase

  • 22.10.2025
  • Aktuelle Bilder
Erschienen in:

Auszug

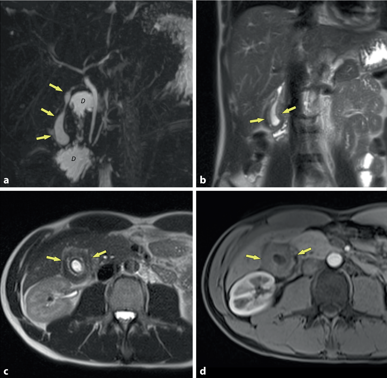
Ein 33-jähriger Patient, der seit 1 Jahr immer wieder unter postprandialem Unwohlsein und Druckgefühl im rechten Oberbauch litt, wurde an unsere Institution überwiesen. Die Beschwerden hatten in den letzten 6 Monaten vor der Aufnahme deutlich zugenommen und waren mittlerweile praktisch nach jeder Mahlzeit vorhanden. Eine auswärts durchgeführte Oberbauchsonographie zeigte eine stark verdickte Gallenblasenwand (max. 1 cm), jedoch ohne Hinweis auf das Vorliegen entzündlicher Veränderungen oder Steine. Im auswärts durchgeführten Labor zeigten sich unauffällige Leberfunktionsparameter und kein Hinweis auf das Vorliegen einer Entzündung. Der Patient brachte Bilder einer auswärts durchgeführten Magnetresonanzcholangiopankreatikographie (MRCP) mit. Diese zeigte eine diffuse Wandverdickung der Gallenblase mit geringem Volumen, jedoch keine entzündlichen Veränderungen. Vor allem war aber keine Lithiasis nachweisbar (Abb. 1).
Abb. 1
Die koronale Magnetresonanzcholangiopankreatikographie (MRCP; a) zeigt das geringe Volumen der Gallenblase (Pfeile; D Flüssigkeit im Duodenum). Die koronale (b) und die axiale T2-gewichtete MRT(Magnetresonanztomographie)-Sequenz (c) zeigen anschaulich die zirkuläre, gleichmäßige Wandverdickung der Gallenblase mit sehr geringem Volumen. Gallensteine oder ein entzündliches Ödem des umgebenden Fettgewebes sind nicht nachweisbar. Die kontrastmittelverstärkte MRT (d) zeigt nur geringes Enhancement der Gallenblasenwand, was für einen Tumor oder eine Cholezystitis ungewöhnlich wäre
Bild vergrößern
Titel
Diffuse Adenomyomatose der Gallenblase
Verfasst von
Prim. Univ.-Prof. Dr. Wolfgang Schima, MSc
Andreas Nader
Klaus Kaserer
Publikationsdatum
22.10.2025
Verlag
Springer Vienna
Erschienen in
Journal für Gastroenterologische und Hepatologische Erkrankungen / Ausgabe 4/2025
Print ISSN: 1728-6263
Elektronische ISSN: 1728-6271
DOI
https://doi.org/10.1007/s41971-025-00242-6
Dieser Inhalt ist nur sichtbar, wenn du eingeloggt bist und die entsprechende Berechtigung hast.