Zum Inhalt

Die Gestationsaltersbestimmung mit Ultraschall

  • Open Access
  • 05.09.2019
  • Tipps & Tricks im Gyn-Ultraschall
Erschienen in:
download
DOWNLOAD
print
DRUCKEN
insite
SUCHEN

Hinweis des Verlags

Der Verlag bleibt in Hinblick auf geografische Zuordnungen und Gebietsbezeichnungen in veröffentlichten Karten und Institutsadressen neutral.
Die Berechnung eines Geburtstermins (EGT) auf Basis der letzten Regel ist notorisch unverlässlich, vor allem dann, wenn sich die Schwangere nicht erinnern kann. Die Berechnung auf Basis von Ultraschallmessungen ergibt zwar ein scheinbar exaktes Datum, doch auch hier kann man, ohne es zu bemerken, Ungenauigkeiten von einer Woche und mehr festschreiben. Die Festlegung auf einen Geburtstermin mag für bürokratische Fristenläufe und Stichtage wie den Beginn von Mutterschutz und Karenz wichtig sein. Bei der Entscheidung, etwa eine Geburt einzuleiten oder nicht, sollte man sich stets der immanenten Ungenauigkeit des errechneten Termins bewusst sein. Im Zweifel kann es von Vorteil sein, der Genese des Geburtstermins – wer den wann, auf welcher Basis, festgelegt hat – bei der Patientin nachzugehen.
Seit gut 200 Jahren wird das Alter der menschlichen Schwangerschaft mit der Naegele-Regel bestimmt (Tab. 1). Diese Regel basiert auf der Prämisse, dass bei allen Frauen die Ovulation und mit ihr die Konzeption 14 Tage nach dem Beginn der Regelblutung stattfindet. Auf der Naegele-Regel beruhen alle Schwangerschaftsrechner, sowohl die kreisförmigen Rechenschieber wie auch die Kalkulatoren in PIA, Astraia und anderen Dokumentationsprogrammen.
Tab. 1
Naegele-Regel bei spontaner Schwangerschaft und assistierter Reproduktion
Errechneter Geburtstermin = [erster Tag der letzten Regelblutung] + 7 Tage − 3 Monate + 1 Jahr
Bei IVF oder Kryotransfer der Blastozyste: den Tag 19 Tage vor dem Transferdatum als Tag der letzten Regel nach Naegele nehmen
Bei IVF oder Kryo im Tag‑3 Transfer („cleavage state“): den Tag 17 Tage vor dem Transferdatum als Tag der letzten Regel nach Naegele nehmen
Vom errechneten Geburtstermin sind eine Reihe von Dingen abhängig: 8 Wochen vor dem Geburtstermin beginnt in Österreich das gesetzliche Arbeitsverbot, die meisten Personalabteilungen wollen von ihren Mitarbeiterinnen, die eine Schwangerschaft melden, möglichst frühzeitig einen verbindlichen Geburtstermin wissen, auf dessen Basis dann Mutterschutz und Karenz berechnet werden können. Aber auch Fristen für die Screeninguntersuchungen in der Schwangerschaft sowie das empfohlene Gestationsalter, ab denen bei bestimmten Risikokonstellationen die Geburt eingeleitet werden soll, hängen stark vom einmal errechneten Geburtstermin ab.
Die auf der Angabe der letzten Regel basierenden Geburtstermine treffen nur in 30 % zu, sind also recht unverlässlich [1]. Die Ovulation findet keineswegs genau am 14. Zyklustag statt, sondern hat eine Streuung vom 9. bis zum 30. Zyklustag [2]. Nur 10 % aller Frauen ovulieren am 14. Zyklustag, der häufigste Tag des Eisprungs ist der 16. Zyklustag [3]. Nicht alle Frauen führen einen Regelkalender, viele können sich an die letzte Regel nicht erinnern und geben, schon allein um das penetrante Nachfragen zu beenden, ein ungefähres Datum an. Dabei wird der 15. eines Monats 2,5-mal häufiger gewählt als jeder andere Tag [4]. Viele muslimische Frauen geben auf die Frage nicht den ersten, sondern den letzten Tag der Regel an, da sie dann die rituelle Waschung Güsül abdesti (türkisch)/غسل Ghushl (arabisch) durchführen.
So hat es sich seit mehr als 20 Jahren eingebürgert, das Gestationsalter auf Basis der Ultraschallbiometrie im ersten Trimenon zu berechnen und den Geburtstermin damit auf eine scheinbar objektive, robuste und tagesgenaue Basis zu stellen. Doch auch diese Methode hat ihre immanenten Ungenauigkeiten.
Dies liegt auch am Alter der zugrunde liegenden Referenzkurven, die meist in den 1970er-Jahren aus Messungen bei Frauen mit verlässlicher Regelanamnese mit Abdominalschall erstellt wurden. Die bis heute in nahezu allen Ultraschallgeräten und Dokumentationssoftwares hinterlegte Kurve von Hugh Robinson hatte dieser 1971/1972 an 80 schwangeren Patientinnen mit insgesamt 214 Untersuchungen mittels Abdominalschall erstellt. Die Grundannahme war, dass alle Frauen 14 Tage nach der letzten Regel ovulieren [5]. In einer 40 Jahre später mit Vaginalschall durchgeführten belgischen Studie an 3710 normalen Einlingsschwangerschaften zeigte sich, dass die Robinson-Kurve in der 6. SSW das Gestationsalter um 4 Tage unterschätzt (3,7 mm Differenz im CRL), dafür in der 11.–14. SSW um einen Tag (0,8–1 mm) überschätzt. Die aus dem Jahr 1982 stammenden Hadlock-Kurven unterschätzen das Gestationsalter in der 6. SSW um 3 Tage (2,7 mm) und überschätzen es in der 14. SSW um 2 Tage (4,8 mm) [6].
Die Scheitel-Steiß-Länge (SSL), auf Englisch „crown rump length“ (CRL), stammt aus der klassischen Embryologie der Carnegie-Klassifikation und wurde auf die Ultraschallbiometrie übertragen. Bereits derselbe Untersucher kann bei Messungen an derselben Patientin am selben Tag Ergebnisse dokumentieren, die einen Unterschied von 1,27 Tagen bedeuten, die Variabilität bei verschiedenen ausgebildeten und erfahrenen Untersuchern beträgt 1,37 Tage im Gestationsalter [7].
An den potenziellen Ungenauigkeiten bei der Festlegung des Gestationsalters, die an der natürlichen Variabilität der Zeitpunkte der Ovulation und der Implantation sowie der Langlebigkeit der Spermien liegen, kann auch der exakteste Ultraschall nichts ändern. Allerdings kann durch Beachtung möglicher Fehlerquellen und genaue Messung anhand der publizierten Standards verhindert werden, dass weitere Fehler dazu kommen [8].
Biometrie in der frühen Frühschwangerschaft (Tab. 2).
1.
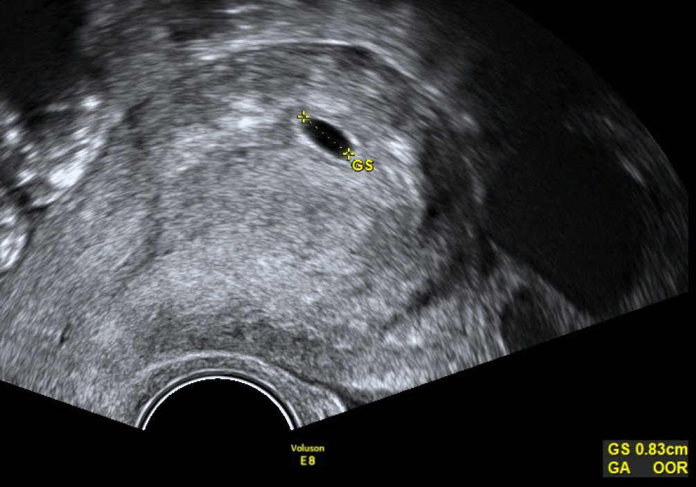
Bei gerade erst sichtbarem Fruchtsack muss dieser in drei Ebenen gemessen werden und der Mittelwert dann zur Berechnung herangezogen werden (Abb. 1).
 
2.
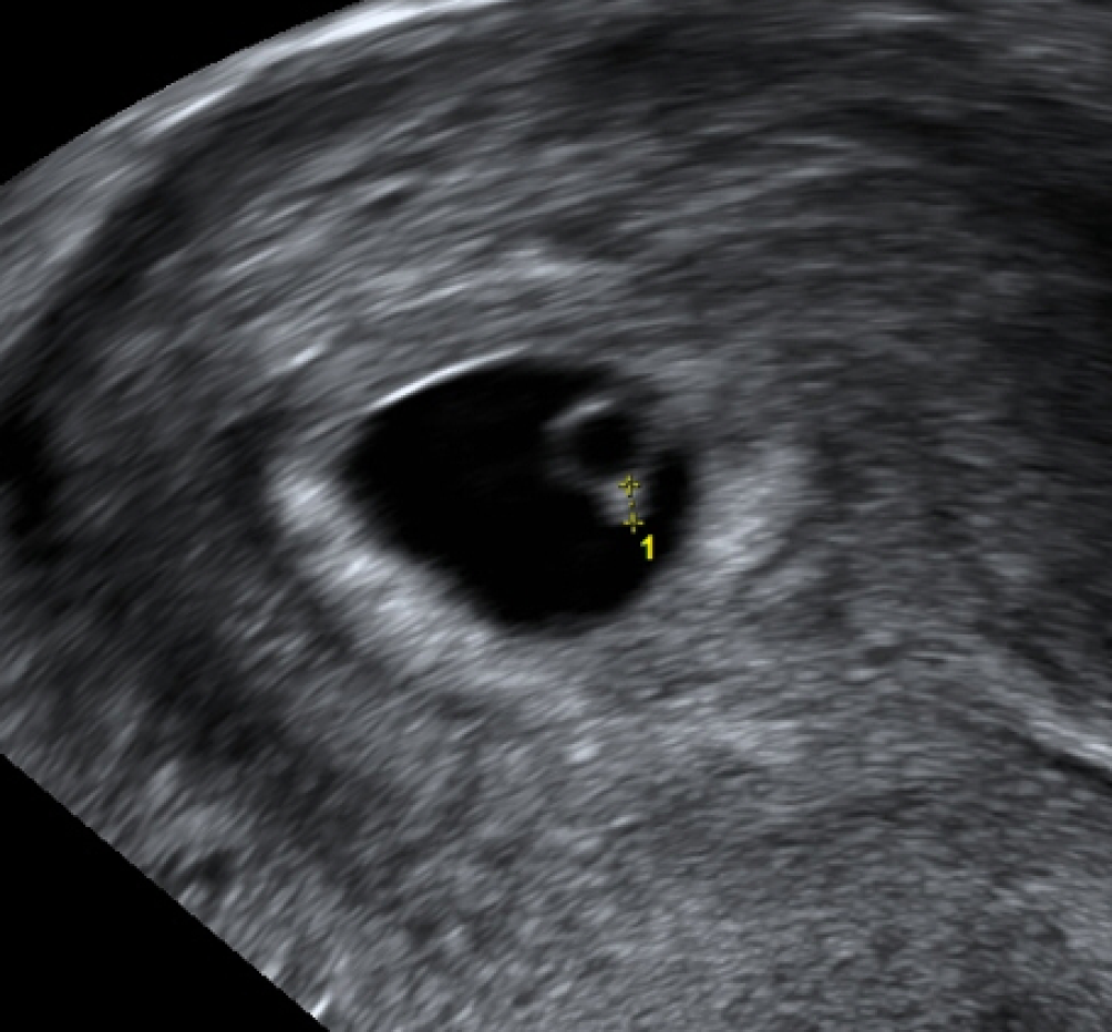
Hauptfehlerquelle ist die Messung des Embryos mit dem Dottersack, hier kann durch Einbeziehung des Dottersacks in die Messstrecke das tatsächliche Gestationsalter um bis zu eine Woche überschätzt werden (Abb. 2).
 
3.
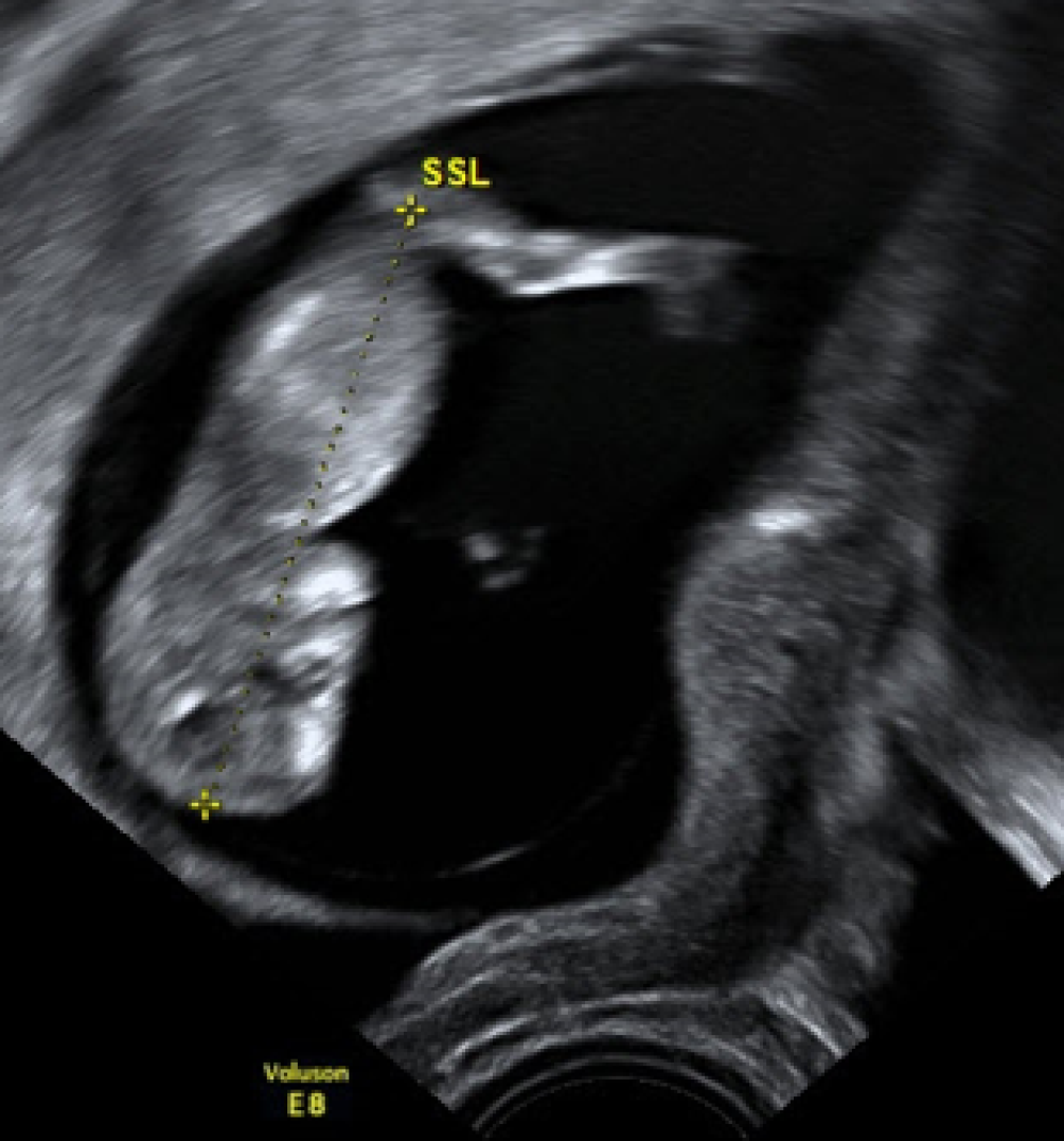
Ein 3‑D-Schall ist schön, die darin abgegriffenen Messstrecken sind allerdings wesentlich ungenauer als die von B‑Mode-Aufnahmen (Abb. 3 und 4).
 
4.
Die Unterscheidung von Schädel und Steiß, die zephalokaudale Distinktion, ist ab der 7. SSW möglich (Abb. 5).
 
Tab. 2
Grad der Ungenauigkeit der Bestimmung des Geburtstermins nach Angaben zur Konzeption [10]
Verlässlichkeit des Geburtstermins nach Konzeptionsmethode
IVF mit bekanntem Punktions- und Transfertermin
±1 Tag
Ovulationsauslösung + GV zum Optimum
±3 Tage
Ovulationsauslösung und intrauterine Insemination
±3 Tage
Nur ein GV im Zyklus
±3 Tage
Geführter Temperaturkalender oder Ovulationstest
±3 Tage
Abb. 1
Ein 8 × 4 × 7 mm, im Mittel also 6 mm messender Fruchtsack in der Frühschwangerschaft noch ohne Dottersack und Embryo
Bild vergrößern
Abb. 2
Erste Zeichen eines Embryos mit 2,2 mm Länge, direkt dem Dottersack anliegend (6 + 0 SSW nach Pexsters)
Bild vergrößern
Abb. 3
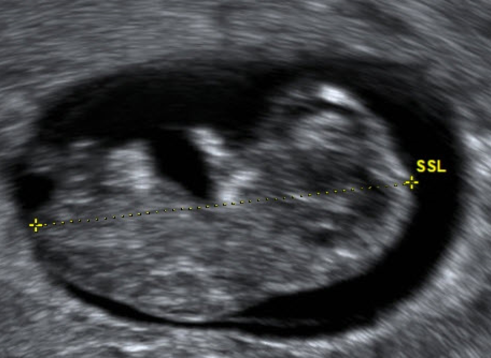
30 mm CRL – hier liegen Robinson, Pexsters und Hadlock alle bei 9 + 5 SSW
Bild vergrößern
Abb. 4
Selber Embryo wie in Abb. 4 im Zuge derselben Untersuchung. 3‑D ist optisch wesentlich anschaulicher als B‑Mode, allerdings bei Einbringen der Messstrecken wesentlich ungenauer
Bild vergrößern
Abb. 5
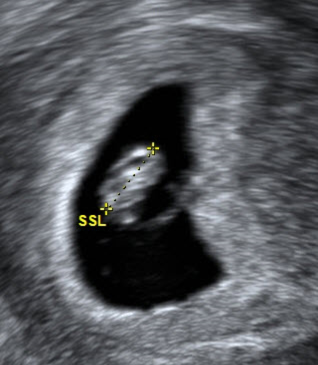
7 mm langer Embryo, 6 + 2 SSW nach der Robinson-Kurve und 6 + 4 SSW nach der Pexsters-Kurve
Bild vergrößern
Biometrie in der 10.–14. SSW (Tab. 3).
1.
Der Embryo ist nun sehr beweglich, er kann sich zusammenbeugen und strecken, hier ist mit einer gewissen Geduld eine Ruhephase des Embryos abzuwarten, in der er möglichst „gerade“ ist, und dann erst zu messen (Abb. 6).
 
2.
Die in vielen Ultraschallgeräten mit der Messstrecke mitgelieferten Gestationsaltersberechnungen, immer auf den Tag genau, manchmal noch mit Stellen hinter dem Komma, sollten deaktiviert werden, da sie eine scheinbare Sicherheit suggerieren und die mitsehenden Schwangeren und ihre Angehörigen verwirren.
 
3.
Bei IVF/ICSI/Kryoschwangerschaften den EGT nicht auf Basis der Biometrie später umdatieren! ART-Embryonen wachsen genauso wie normal gezeugte [9]!
 
Tab. 3
Eine nach der 26. SSW durchgeführte Ultraschallbiometrie hat bei der Festlegung des Geburtstermins eine potenzielle Ungenauigkeit von mindestens drei Wochen [10]
Ungenauigkeit des Geburtstermins mit Ultraschall nach Gestationsalter und gemessenen Strukturen
Fruchtsack 5–6 SSW
±3–4 Tage
CRL 6–13 SSW
±3–7 Tage
FL-BPD-FOD 14–20 SSW
±10 Tage
FL-BPD-FOD 20–26 SSW
±11–16 Tage
FL-BPD-FOD 26–32 SSW
±21–25 Tage
Abb. 6
40,6 mm CRL, 10 + 5 SSW nach Robinson und Hadlock, 10 + 4 SSW nach Pexsters
Bild vergrößern

Einhaltung ethischer Richtlinien

Interessenkonflikt

C. Brezinka gibt an, dass kein Interessenkonflikt besteht.
Für diesen Beitrag wurden vom Autor keine Studien an Menschen oder Tieren durchgeführt. Für die aufgeführten Studien gelten die jeweils dort angegebenen ethischen Richtlinien.
Open Access. Dieser Artikel wird unter der Creative Commons Namensnennung 4.0 International Lizenz (http://​creativecommons.​org/​licenses/​by/​4.​0/​deed.​de) veröffentlicht, welche die Nutzung, Vervielfältigung, Bearbeitung, Verbreitung und Wiedergabe in jeglichem Medium und Format erlaubt, sofern Sie den/die ursprünglichen Autor(en) und die Quelle ordnungsgemäß nennen, einen Link zur Creative Commons Lizenz beifügen und angeben, ob Änderungen vorgenommen wurden.

Hinweis des Verlags

Der Verlag bleibt in Hinblick auf geografische Zuordnungen und Gebietsbezeichnungen in veröffentlichten Karten und Institutsadressen neutral.
download
DOWNLOAD
print
DRUCKEN
Titel
Die Gestationsaltersbestimmung mit Ultraschall
Verfasst von
Ao. Univ.-Prof. Dr. Christoph Brezinka
Publikationsdatum
05.09.2019
Verlag
Springer Vienna
Erschienen in
Gynäkologie in der Praxis / Ausgabe 3/2019
Print ISSN: 3005-0758
Elektronische ISSN: 3005-0766
DOI
https://doi.org/10.1007/s41974-019-00109-8
1.
Zurück zum Zitat Mahendru AA, Wilhelm-Benartzi CS, Wilkinson IB, McEniery CM, Johnson S, Lees C (2016) Gestational length assignment based on last menstrual period, first trimester crown-rump length, ovulation, and implantation timing. Arch Gynecol Obstet 294:867–876. https://​doi.​org/​10.​1007/​s00404-016-4153-3 CrossRefPubMedPubMedCentral
2.
Zurück zum Zitat Johnson S, Shaw R, Parkinson P, Ellis J, Buchanan P, Zinaman M (2011) Home pregnancy test compared to standard-of-care ultrasound dating in the assessment of pregnancy duration. Curr Med Res Opin 27:393–401. https://​doi.​org/​10.​1185/​03007995.​2010.​545378 CrossRefPubMed
3.
Zurück zum Zitat Bergsjo P, Denman DW III, Hoffman HJ, Meirik O (1990) Duration of human singleton pregnancy. A population-based study. Acta Obstet Gynecol Scand 69:197–207CrossRefPubMed
4.
Zurück zum Zitat Waller DK, Spears WD, Gu Y, Cunningham GC (2000) Assessing number-specific error in the recall of onset of last menstrual period. Paediatr Perinat Epidemiol 14:263–267CrossRefPubMed
5.
Zurück zum Zitat Robinson HP, Fleming JE (1975) A critical evaluation of sonar “crown-rump length” measurements. Br J Obstet Gynaecol 82:702–710CrossRef
6.
Zurück zum Zitat Pexsters A, Daemen A, Bottomley C, Van SD, De CL, De MB, D’Hooghe T, Lees C, Timmerman D, Bourne T (2010) New crown-rump length curve based on over 3500 pregnancies. Ultrasound Obstet Gynecol 35:650–655. https://​doi.​org/​10.​1002/​uog.​7654 CrossRefPubMed
7.
Zurück zum Zitat Kagan KO, Hoopmann M, Baker A, Huebner M, Abele H, Wright D (2012) Impact of bias in crown-rump length measurement at first-trimester screening for trisomy 21. Ultrasound Obstet Gynecol 40:135–139. https://​doi.​org/​10.​1002/​uog.​11095 CrossRefPubMed
8.
Zurück zum Zitat Blaas HG, Hasenohrl G, Staudach A (2018) Embryologie und Frühschwangerschaft. In: Gembruch U, Hecher K, Steiner H (Hrsg) Ultraschalldiagnostik in Geburtshilfe und Gynäkologie. Thieme, Stuttgart, S 31–68CrossRef
9.
Zurück zum Zitat Eindhoven SC, van Uitert EM, Laven JS, Willemsen SP, Koning AH, Eilers PH, Exalto N, Steegers EA, Steegers-Theunissen RP (2014) The influence of IVF/ICSI treatment on human embryonic growth trajectories. Hum Reprod 29:2628–2636. https://​doi.​org/​10.​1093/​humrep/​deu271 CrossRefPubMed
10.
Zurück zum Zitat Benson C, Doubilet P (2017) Fetal biometry and growth. In: Norton ME (Hrsg) Callen’s ultrasonography in obstetrics and gynecology, 6. Aufl. Elsevier, Philadelphia, S 118–131