Zum Inhalt

Diagnose und Therapie des Sjögren-Syndroms

  • Open Access
  • 03.06.2019
  • Originalien
Erschienen in:

Zusammenfassung

Das primäre Sjögren-Syndrom ist eine häufige Kollagenose, die etwa 0,01–0,09 % der Bevölkerung betrifft. Chronische Xerophthalmie und Xerostomie sind die häufigsten Symptome dieser Erkrankung und sollten durch objektive Tests wie den Schirmer- und Saxon-Test bestätigt werden. Auch seltenere Symptome wie Arthritiden, Parotisschwellungen, interstitielle Lungen- und Nierenerkrankung und Entzündungen des zentralen und peripheren Nervensystems sollten hinsichtlich eines Sjögren-Syndroms weiter abgeklärt werden. Die weiteren diagnostischen Maßnahmen sollten eine Lippenspeicheldrüsenbiopsie und den Nachweis von Ro/SSA- und La/SSB-Antikörpern enthalten.
In bis zu 70 % der Fälle verläuft das Sjögren-Syndrom mit niedriger Krankheitsaktivität, sodass eine symptomatische Lokaltherapie, die orale Applikation von Pilocarpin und von nichtsteroidalen Antirheumatika ausreichend wirksam sind. Therapierefraktäre Arthritiden, Parotisschwellungen, interstitielle Lungen- oder Nierenerkrankung, Entzündungen im zentralen und peripheren Nervensystem und Vaskulitiden erfordern eine immunsuppressive Therapie. Europäische Guidelines empfehlen den Einsatz von Methotrexat und Hydroxychloroquin zur Therapie von Arthritiden, obwohl klinische Studien zu deren Wirksamkeit fehlen. Studien mit hoher Qualität für den Einsatz von anderen Immunsuppressiva wie Azathioprin, Mycophenolat und Cyclophosphamid sowie von Biologika wie zum Beispiel Rituximab, Belimumab und Abatacept fehlen ebenfalls. Aus offenen Studien und Fallbeschreibungen ist deren Einsatz bei schweren Organmanifestationen aber gerechtfertigt.
Aktualisierung von: Hermann J, Horwath-Winter J (2011) Diagnose und Therapie des Sjögren-Syndroms. J Miner Stoffwechs 18(2):72–76
Aus Gründen der besseren Lesbarkeit wird in diesem Beitrag überwiegend das generische Maskulinum verwendet. Dies impliziert immer beide Formen, schließt also die weibliche Form mit ein.

Hinweis des Verlags

Der Verlag bleibt in Hinblick auf geografische Zuordnungen und Gebietsbezeichnungen in veröffentlichten Karten und Institutsadressen neutral.
Das Sjögren-Syndrom ist eine systemische Autoimmunerkrankung, die 1933 erstmals vom schwedischen Ophthalmologen Henrik Samuel Conrad Sjögren beschrieben wurde. Man unterscheidet ein primäres Sjögren-Syndrom, welches isoliert oder im Rahmen einer organspezifischen Autoimmunerkrankung (Thyreoiditis, primär biliäre Cholangitis) auftritt und ein sekundäres Sjögren-Syndrom im Rahmen einer anderen Kollagenose (Tab. 1; [9, 23]). Nachdem erstmals 1975 Klassifikationskriterien für das Vorliegen eines Sjögren-Syndroms erstellt wurden, können die aktuell bestehenden europäisch-amerikanischen Klassifikationskriterien von 2016 als Hilfestellung bei der Diagnose des Sjögren-Syndroms herangezogen werden (Tab. 2; [35]).
Tab. 1
Ursachen und Häufigkeit des sekundären Sjögren-Syndroms
Erkrankung
Häufigkeit (%)
Systemischer Lupus erythematodes
15–36
Rheumatoide Arthritis
20–32
Systemische Sklerose
11–24
Idiopathische inflammatorische Myopathie
9–18
Tab. 2
Europäisch-amerikanische Klassifikationskriterien des primären Sjögren-Syndroms von 2016
Parameter
Score
Speicheldrüsenbiopsie aus der Unterlippe mit fokaler lymphozytärer Sialadenitis und Fokus-Score mit ≥1 Fokus/4 mm2
3
Nachweis von Anti-SS-A/Ro-Antikörpern
3
Okulärer Färbeindex ≥5 (oder van-Bijsterveld-Score ≥4) in mindestens einem Auge
1
Schirmer-Test ≤5 mm in 5 min in mindestens einem Auge
1
Speichelflussmessung (unstimuliert) ≤0,1 ml/min
1
Primäres Sjögren-Syndrom, wenn
1. Mindestens ein folgendes Einschlusskriterium vorliegt:
a. Tägliche, beeinträchtigende trockene Augen für mehr als 3 Monate
b. Sand- oder Fremdkörpergefühl in den Augen
c. Mehr als 3‑mal pro Tag müssen die Augen mit Tränenersatz eingetropft werden
d. Tägliches Gefühl der Mundtrockenheit für mehr als 3 Monate
e. Notwendige Flüssigkeitszufuhr, um feste Speisen schlucken zu können
2. Keine Ausschlusskriterien vorliegen. Diese sind:
a. Anamnese einer Bestrahlung im Kopf‑/Halsbereich
b. Aktive Hepatitis C (PCR positiv)
c. Vorliegen von AIDS
d. Vorliegen einer Sarkoidose
e. Vorliegen einer Amyloidose
f. Vorliegen einer Graft-versus-Host-Erkrankung
g. Vorliegen einer IgG4-assoziierten Erkrankung
3. Der Summenscore mindestens 4 Punkte beträgt
Legt man epidemiologischen Untersuchungen standardisierte Klassifikationskriterien des Sjögren-Syndroms zugrunde, so dürfte die Prävalenz des primären Sjögren-Syndroms bei etwa 0,01–0,09 % der Gesamtbevölkerung liegen [30]. Damit ist das primäre Sjögren-Syndrom nach dem systemischen Lupus erythematodes die zweithäufigste Kollagenose [10]. Die Inzidenz des primären Sjögren-Syndroms liegt bei etwa 5–9 pro 100.000 Einwohner und Jahr. Frauen erkranken etwa 9‑mal häufiger an einem primären Sjögren-Syndrom und das mittlere Erkrankungsalter liegt mit etwa 56 Jahren deutlich höher als beim systemischen Lupus erythematodes [30].
Pathophysiologisch steht am Beginn der Erkrankung eine möglicherweise viral getriggerte Entzündung der glandulären Epithelzellen, die apoptotisch werden, Autoantigene freisetzen und über die Produktion von Interferone vom Typ I zu einer Aktivierung des spezifischen Immunsystems einschließlich von CD8+-T-Lymphozyten und B‑Lymphozyten führen. In den exokrinen Drüsen entstehen unter anderem durch den B‑Zell-Aktivierungsfaktor (BAFF) Keimzentren mit reifen Plasmazellen, die Autoantikörper zum Beispiel gegen Muskarinrezeptoren bilden und zu den Funktionsstörungen der Drüsen beitragen [23].
Das Kardinalsymptom des Sjögren-Syndroms ist eine bei allen Patienten durch eine Funktionsstörung der exokrinen Drüsen hervorgerufene Sicca-Symptomatik der Augen und/oder des Mundes, aber auch der Haut, des Respirationstraktes und/oder des Genitales [44]. Eine Sicca-Symptomatik der Augen tritt allerdings mit zunehmendem Lebensalter bei bis zu 50 % der Bevölkerung auf [34, 38], woraus hervorgeht, dass nur bei einem kleinen Teil der Patienten mit Sicca-Symptomatik ein Sjögren-Syndrom vorliegt. Eine typische Komplikation des Sjögren-Syndroms ist die Entwicklung eines Lymphoms in etwa 5–10 % der Patienten [47].

Diagnostik des Sjögren-Syndroms

Das Sjögren-Syndrom ist eine auch unter Ärzten wenig bekannte Autoimmunerkrankung, die allerdings in bis zu 71 % der Fälle auch mit extraglandulären Manifestationen einhergeht [31].

Klinische Befunde

Wegweisend für die Diagnose eines Sjögren-Syndroms ist bei der Mehrzahl der Patienten eine Sicca-Symptomatik über mindestens 3 Monate, obwohl Polyarthralgien, Raynaud-Phänomen oder eine pathologisch erhöhte Blutsenkungsgeschwindigkeit (BSG) sowie eine Hypergammaglobulinämie ebenfalls Ausdruck eines Sjögren-Syndroms sein können (Tab. 3).
Tab. 3
Initialsymptome des primären Sjögren-Syndroms
Manifestationen
Anteil (%)
Subjektive Xerophthalmie
47
Subjektive Xerostomie
43
Arthralgien/Arthritiden
28
Beidseitige Parotisschwellung
24
Raynaud-Phänomen
21
Fieber/Müdigkeit
10
Dyspareunie
5
Lungenbeteiligung
2
Nierenbeteiligung
1
Die Sicca-Symptomatik ist bei zwei Drittel der Patienten Erstsymptom des Sjögren-Syndroms und manifestiert sich als Xerophthalmie am Auge und/oder als Xerostomie im Mund. Bei Vorliegen einer Xerophthalmie schildern die Betroffenen besonders ein Fremdkörper- oder Trockenheitsgefühl in den Augen. Bei einem Teil der Patienten wird die verminderte Tränensekretion als Keratoconjunctivitis sicca manifest. Diese Erkrankung geht meist mit einer deutlichen Augenoberflächenschädigung einher, die auch zu einer Hornhautentzündung und Hornhauteinschmelzung führen kann. Ähnlich häufig ist die Xerostomie Erstsymptom des Sjögren-Syndroms, wobei die Erkrankten die einsetzende Mundtrockenheit meist als nicht krankheitsrelevant erachten und mit einer vermehrten Flüssigkeitszufuhr kompensieren. Erst eine ausgeprägte Xerostomie mit nächtlichem Trinkzwang, Schluckstörungen für trockene Speisen und Störungen beim Sprechen werden den meisten Patienten bewusst und sind für den behandelnden Arzt gute klinische Hinweise auf ein Sjögren-Syndrom. Auch eine im frühen Erwachsenenalter auftretende Parodontitis mit vorzeitigem Zahnverlust als Folge der verminderten Bakterizidie der reduzierten Speichelmenge ist ein wichtiges, auf ein Sjögren-Syndrom hinweisendes Symptom [39].
Ein Drittel der Patientinnen und Patienten mit einem Sjögren-Syndrom präsentiert sich mit entzündlichen Arthralgien ohne synovitische Schwellungen [46]. Charakteristisch sind symmetrische Polyarthralgien mit Befall der Sprunggelenke, Finger- und Zehengrundgelenke, Handgelenke und Schultergelenke [13]. Typische Arthritiden finden sich in weniger als 5 % der Patienten mit Sjögren-Syndrom.
In der Literatur werden Parotisschwellungen als häufiges Erstsymptom bei bis zu 49 % der Betroffenen angegeben [36]. In unserem eigenen Patientenkollektiv waren jedoch zum Zeitpunkt der Diagnosestellung nur bei 5 % der 118 Patienten mit Sjögren-Syndrom Parotisschwellungen erhebbar.
Weitere Symptome, die auf ein Sjögren-Syndrom hinweisen können, sind ein ungeklärtes allgemeines Krankheitsgefühl, ein Raynaud-Phänomen, eine Hypergammaglobulinämie sowie selten eine interstitielle Lungenerkrankung, eine interstitielle Nephritis, eine leukozytoklastische Vaskulitis oder zentrale und periphere neurologische Störungen [3, 15].
Weisen klinische Symptome auf ein Sjögren-Syndrom hin, müssen diese objektiviert werden. Eine vom Patienten angegebene Sicca-Symptomatik an den Augen sollte durch einen Schirmertest und eine spezifische ophthalmologische Untersuchung mit Beurteilung der Tränenfilmqualität und der Augenoberfläche bestätigt werden. Beim Schirmertest wird ohne vorherige Gabe eines Lokalanästhetikums ein Filterpapierstreifen in das Unterlid gehängt und die Distanz der befeuchteten Strecke nach 5 min bestimmt. Eine Befeuchtung von 5 mm oder weniger gilt als pathologisch verminderte Tränensekretion [17]. Der Schirmertest muss für die Diagnosestellung durch eine Fluoreszeinfärbung des Tränenfilms und der kornealen Oberfläche ergänzt werden, wobei an der Spaltlampe mit diesem Farbstoff eine verminderte Stabilität des Tränenfilms bzw. Hornhautschäden sichtbar gemacht werden können. Um eine Schädigung der Bindehaut beurteilen zu können, ist es notwendig, Farbstoffe wie Lissamingrün und Bengalrosa einzusetzen (Abb. 1a, b).
Abb. 1
a Schädigung der Hornhaut, sichtbar gemacht durch den Farbstoff Fluoreszein. b Schädigung der Bindehaut sichtbar gemacht durch Bengalrosa
Bild vergrößern
Für die Objektivierung der Speichelsekretion stehen neben anderen Methoden der Saxon-Test, die Sialometrie und die Speicheldrüsenszintigraphie zur Verfügung [16]. Beim Saxon-Test wird eine Kompresse für 2 min gekaut und die Gewichtsdifferenz der Kompresse vor und nach dem Kauen bestimmt. Eine Zunahme des Gewichtes der Kompresse von <2,75g/2 min gilt als pathologisch [20]. Bei der Speicheldrüsenszintigraphie wird die Aufnahme und stimulierte Sekretion von 99mTechnetium(Tc)-Pertechnetat über den großen Speicheldrüsen szintigraphisch dargestellt (Abb. 2). Wenn die maximale Aufnahme von 99mTc in die Speicheldrüsen und die Geschwindigkeit der 99mTc-Ausscheidung als Zielparameter verwendet werden, liegt die Spezifität für das Vorliegen eines Sjögren-Syndroms bei über 80 % [27].
Abb. 2
Szintigraphisches Bild einer pathologischen Speicheldrüsenfunktion bei Sjögren-Syndrom (zur Verfügung gestellt von Univ. Prof. Dr. R. Lipp, Klinische Abteilung für Nuklearmedizin, Universitätsklinik für Radiologie, Medizinische Universität Graz). Auffallend ist der stark verlangsamte Anstieg der Traceraufnahme von 99mTc-Pertechnetat in die Speicheldrüsen und der schwache und verzögerte Abfluss des Tracers aus den Speicheldrüsen nach einer Reizmahlzeit. 1, 2 rechte und linke Parotis, 3, 4 rechte und linke Submandibulardrüsen
Bild vergrößern
Ein anamnestisch angegebenes Raynaud-Phänomen sollte durch einen Kälteprovokationstest verifiziert werden.

Labortests

Wie bereits erwähnt sind eine pathologisch erhöhte BSG, eine Hypergammaglobulinämie, eine Hypokomplementämie, eine Leukopenie oder eine renale tubuläre Acidose im Rahmen einer interstitiellen Nephritis, wenn die Veränderungen nicht durch eine andere Erkrankung erklärbar sind, manchmal die einzigen Hinweise auf ein Sjögren-Syndrom.
Im Serum nachweisbare Ro(SSA)- und La(SSB)-Antikörper sind mit dem Sjögren-Syndrom assoziierte Autoantikörper, wobei Ro-Antikörper mit maximal 60 % eine höhere Sensitivität und La-Antikörper mit über 90 % die höhere Spezifität aufweisen [22, 31]. Der Nachweis von Antikörpern gegen α‑Fodrin hat bei fehlendem Nachweis von Ro- und La-Antikörpern diagnostische Bedeutung, wird aber nicht in allen Laboratorien angeboten [45]. Obwohl Autoantikörper gegen einen Peptidabschnitt des Muscarin-M3-Rezeptors bei Patienten mit Sjögren-Syndrom gefunden wurden, hat sich ein Test zum Nachweis dieser Antikörper bisher im klinischen Alltag nicht durchgesetzt [1].

Speicheldrüsenbiopsie

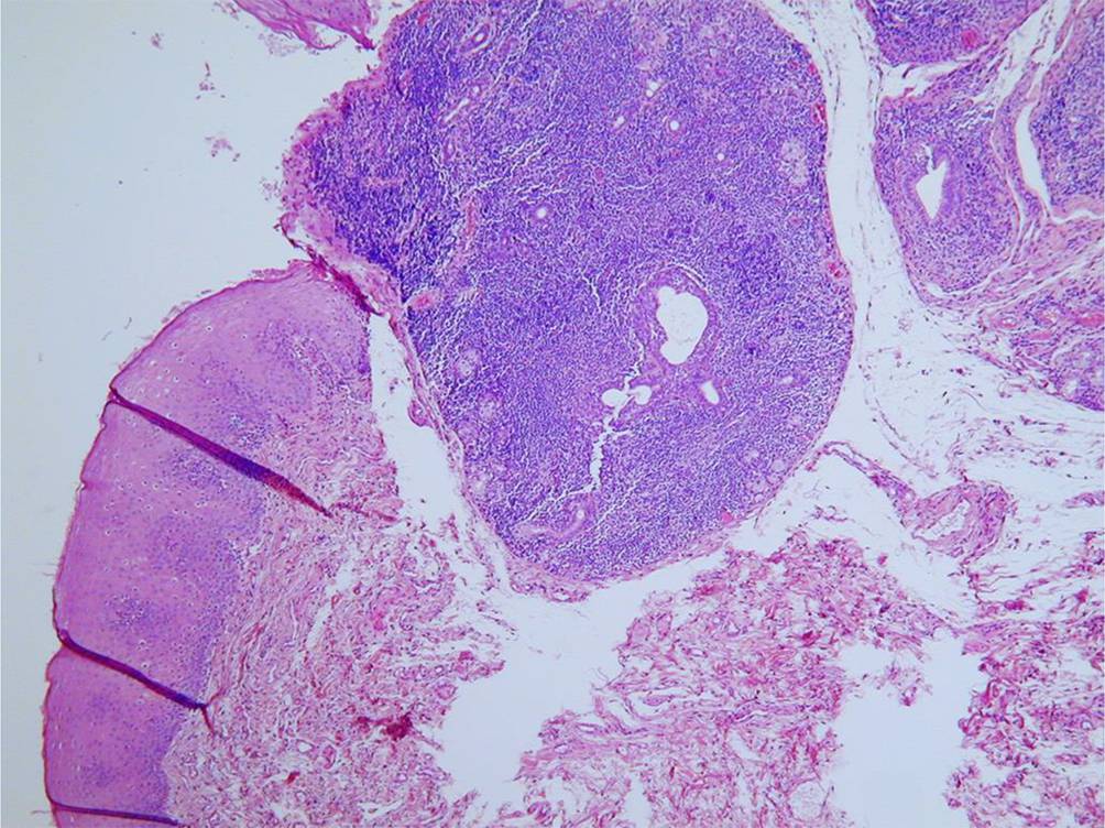
Bei Patienten mit Hinweisen auf ein Sjögren-Syndrom ist zur Diagnosesicherung, zur Abgrenzung anderer mit einer Sicca-Symptomatik einhergehenden Erkrankungen wie einer Sarkoidose oder einer IgG4-assoziierten Erkrankung sowie zur Abgrenzung eines sekundären Sjögren-Syndroms eine Speicheldrüsenbiopsie erforderlich [21, 35]. Die Biopsie erfolgt als ambulanter Eingriff an der Unterlippe und die histologische Auswertung von lymphozytären Aggregaten durch die Bestimmung des Fokus-Scores nach Chisholm und Mason ([5]; Abb. 3). Ein Fokus-Score von ≥1 weist mit einer Spezifität von 82 % auf ein Sjögren-Syndrom hin [41].
Abb. 3
Typisches histologisches Bild eines Sjögren-Syndroms mit fokaler lymphoplasmazellulärer Infiltration (zur Verfügung gestellt von OA Dr. M. Scarpatetti, Institut für Pathologie, Medizinische Universität Graz)
Bild vergrößern
Nach den im Jahr 2016 weiterentwickelten europäisch-amerikanischen Klassifikationskriterien [35] liegt ein primäres Sjögren-Syndrom dann vor, wenn bei signifikanter und objektivierbarer Sicca-Symptomatik der Augen und/oder des Mundes eine pathologische Speicheldrüsenbiopsie und/oder eine signifikant erhöhte Konzentration an Ro/SSA-Antikörpern gefunden werden. Ein sekundäres Sjögren-Syndrom kann bei Vorliegen einer Kollagenose dann diagnostiziert werden, wenn neben einer Xerophthalmie und Xerostomie 2 der folgenden 3 Befunde vorliegen: pathologisch verminderte Tränen- oder Speichelsekretion, positive Lippenspeicheldrüsenbiopsie.

Therapie des Sjögren-Syndroms

Da nur etwa 15 % der Patienten mit Sjögren-Syndrom schwerwiegende extraglanduläre Organmanifestationen entwickeln [2], steht die lokale und ggf. systemische symptomatische Therapie der Sicca-Symptomatik und/oder der entzündlichen Arthralgien im Vordergrund. Für nichtpharmakologische Interventionen liegt jedoch bisher keine gesicherte Evidenz vor [12].
Die Standardtherapie der Xerophthalmie und der Keratoconjunctivitis sicca besteht in der lokalen Applikation von Tränenersatzmitteln [14, 17]. Mit zunehmender Schwere der Symptomatik werden höhervisköse Substanzen wie Hyaluronsäure und Carbomere tagsüber als Augentropfen und abends als Augengele eingesetzt. Da Konservierungsmittel nachweislich schädigend für den Tränenfilm und die Augenoberfläche sind, ist die Behandlung mit nicht konservierten Präparaten medizinisch indiziert [11, 18]. Additiv führen die lokale Wärmezufuhr mit feucht-warmen Umschlägen und eine Lidrandmassage zur Linderung der Beschwerden. Durch diese Maßnahmen werden Fette der Lidranddrüsen freigesetzt und damit die Stabilität des Tränenfilms verbessert. Die entzündlichen Veränderungen, die beim trockenen Auge im Rahmen des Sjögren-Syndroms besonders häufig und ausgeprägt auftreten können, sind mit topisch applizierten antiinflammatorischen Substanzen gut therapierbar. Glucocorticoidhaltige Präparate können aufgrund der Nebenwirkungen nur kurzfristig eingesetzt werden. Die lokale Anwendung von Cyclosporin A hat sich seit einigen Jahren als sehr wirksam erwiesen und kann auch über lange Zeit durchgeführt werden [4].
Zusätzlich kann auch ein zuerst temporärer und schließlich ein permanenter Verschluss der Tränenabflusswege durch die Applikation von sog. Punctum Plugs (Tränenwegsstöpsel) hilfreich sein. Die Behandlung führt dazu, dass die künstliche Tränenflüssigkeit über längere Zeit das Auge feucht hält [18].
Die Therapie der Xerostomie gestaltet sich im Vergleich zur Therapie der Xerophthalmie ungleich schwieriger [28]. Empfohlen werden eine gründliche Mundhygiene, die limitierte Zufuhr von zuckerhaltiger Nahrung und die Vermeidung von Nahrungs- und Flüssigkeitszufuhr zwischen den Mahlzeiten, vor dem Schlafengehen und während der Nacht. Bei Patienten mit Zahnproblemen sollten saure und zuckerhaltige Produkte vermieden werden. Die Zähne sollten 2‑mal pro Tag mit einer hochfluorierten Zahnpasta geputzt werden. Zur Anregung der Speichelsekretion kann das Kauen von zuckerfreiem Kaugummi empfohlen werden. Als Speichelersatzmittel können die nur wenig und kurz wirksamen Methylzellulosederivate verwendet werden. Wichtig sind regelmäßige, z. B. 3‑monatliche, jeweils über 2 Wochen durchgeführte, Mundspülungen mit Chlorhexidin und eine zahnärztliche Überwachung, um eine frühzeitige Parodontose und eine Candida-Besiedelung hintan zu halten. Eine orale Candida-Infektion sollte mit Fungostatika über 7 Tage behandelt werden.
Zur Therapie der vaginalen Sicca-Symptomatik sind nichtöstrogenhaltige Linimente und eine gynäkologische Betreuung anzuraten.
Bei ausgeprägter lokaler oder systemischer Sicca-Symptomatik kann Pilocarpin als cholinerg wirksames Pharmazeutikum in einer Dosis von maximal 30 mg täglich eingesetzt werden [40]. Nebenwirkungen wie Kopfschmerzen, Schweißneigung, Tachykardie und verstärkter Harndrang können durch eine einschleichende Dosierung minimiert werden. Die spezifisch den Muscarin-M1- und Muscarin-M3-Rezeptor stimulierende Substanz Cevimelin hat eine deutlich längere Halbwertszeit als Pilocarpin und ist in den USA zur Therapie der Sicca-Symptomatik beim Sjögren-Syndrom und nach Bestrahlung der Speicheldrüsen zugelassen. In Europa wurde die Zulassung von der Europäischen Arzneimittel-Agentur (EMA) wegen nicht ausreichend belegter Wirksamkeit und ungenügenden Studien zur klinischen Sicherheit bisher verweigert.
Bei entzündlichen Arthralgien im Rahmen des Sjögren-Syndroms können nichtsteroidale Antirheumatika als Erstlinientherapie verschrieben werden [23].
Die Therapie des Sjögren-Syndroms mit Immunsuppressiva beschränkt sich vorwiegend auf extraglanduläre Manifestationen an den Gelenken, den Lungen und des Nervensystems [2]. Zusätzlich kann eine Beteiligung der Nieren meist in Form einer interstitiellen Nephritis, eine Vaskulitis vorwiegend der Haut oder selten eine Myositis eine immunsuppressive Therapie erforderlich machen.
Glucocorticoide sollen nur bei systemischen Komplikationen des Sjögren-Syndroms wie bei Lungenbeteiligung oder einer neurologischen Manifestation für kurze Zeit eingesetzt werden [32, 43].
Hydroxychloroquin führte in Studien zu einer geringen Reduktion der Sicca-Symptomatik und auch von Gelenkschmerzen, sodass europäische Guidelines die Anwendung von Hydroxychloroquin bei Gelenkbeteiligung und Müdigkeit empfehlen [33]. In einer Metaanalyse wurde jedoch keine sichere Wirksamkeit von Hydroxychloroquin in der Therapie des Sjögren-Syndroms gefunden [42].
Methotrexat verbesserte die Sicca-Symptomatik am Auge und im Mund, führte aber zu keiner Änderung der objektiven Parameter der Drüsensekretion [37]. Die Wirksamkeit von Methotrexat in der Therapie von mit dem Sjögren-Syndrom assoziierten Arthralgien und Arthritiden ist klinisch nicht geprüft, diese Substanz wird in europäischen Richtlinien zur Therapie von Arthritiden jedoch empfohlen [33].
Für die Anwendung von Azathioprin in der Therapie von pulmonalen und myelopathischen Komplikationen des Sjögren-Syndroms liegen positive Fallberichte vor. Eine doppelblinde, placebokontrollierte Studie von Azathioprin in einer sehr niedrigen Dosis von 1 mg/kg/Tag zeigte allerdings bei Patienten mit Sjögren-Syndrom keine signifikante Wirksamkeit [29].
Fallberichte dokumentieren eine Wirksamkeit von Mycophenolat-Mofetil besonders bei Sjögren-Syndrom mit interstitieller Lungenerkrankung und europäische Guidelines empfehlen die Anwendung von Mycophenolat bei Lungenbeteiligung, obwohl entsprechende klinische Studien dafür fehlen [33].
Es gibt Fallberichte, die eine Wirksamkeit von Cyclosporin A bei interstitieller Zystitis und Pneumonitis im Rahmen eines Sjögren-Syndroms beschreiben [6]. Cyclosporin A war in einer offenen Phase-II-Studie auch bei Arthritiden wirksam [19]; wegen seiner schlechten Verträglichkeit sollte diese Substanz aber nicht längerfristig angewendet werden.

Therapie des Sjögren-Syndroms mit Biologika

Während 2 von 3 kontrollierten Studien mit TNF-Blockern keinen klinischen Effekt zeigten, führte Rituximab – ein chimärer Antikörper gegen das CD20-Oberflächenmolekül, das zu einer Depletion von B‑Lymphozyten und zu einer Reduktion der Immunglobulinkonzentration im Serum führt – in 2 Studien zu einer Verbesserung von subjektiven und objektiven Parametern der Sicca-Symptomatik einschließlich der Müdigkeit sowie von extraglandulären Manifestationen an der Lunge und am Nervensystem [7, 25]. In 2 placebokontrollierten Phase-II-Studien wurde unter einer Therapie mit Rituximab das primäre Therapieziel einer Verbesserung der Sicca-Symptomatik sowie von Gelenkschmerzen und Müdigkeit jedoch nicht erreicht [8]. Deshalb und wegen vereinzelter Berichte über das Auftreten einer progressiven multifokalen Leukenzephalopathie sollte diese Therapie auf schwere und therapierefraktäre Fälle beschränkt werden.
In einer offenen Phase-II-Studie über 24 Wochen führte die intravenöse Gabe von 10 mg/kgKG Belimumab in der Woche 0, 2, 4 und dann alle 4 Wochen zu einer signifikanten Besserung der anhand eines Scores gemessenen Krankheitsaktivität des Sjögren-Syndroms, nicht jedoch der subjektiven und objektiven Symptome der Sicca-Symptomatik [24].
Eine ähnliche Wirksamkeit zeigte sich unter einer Therapie des Sjögren-Syndroms mit Abatacept. In einer offenen Studie an 15 Patienten kam es zu einer signifikanten Verbesserung der anhand eines Scores gemessenen Krankheitsaktivität des Sjögren-Syndroms sowie der Müdigkeit und Lebensqualität, nicht jedoch der Tränen- und Speichelsekretion [26].

Fazit für die Praxis

  • Das primäre Sjögren-Syndrom gehört neben dem systemischen Lupus erythematodes zu den häufigen Kollagenosen und führt bei etwa 5–10 % der Patienten zum Auftreten eines malignen Lymphoms.
  • Xerophthalmie und Xerostomie sind die Kardinalsymptome der Erkrankung. Das Sjögren-Syndrom kann sich jedoch auch extraglandulär an der Lunge, der Niere, am zentralen und peripheren Nervensystem sowie als Kleingefäßvaskulitis manifestieren. Für die Diagnosestellung sind neben dem Nachweis einer objektiven Sekretionsstörung der exokrinen Drüsen auch eine pathologische Speicheldrüsenbiopsie und/oder der Nachweis von Ro/SSA-Antikörpern erforderlich.
  • Die Mehrzahl der Patienten mit Sjögren-Syndrom kann lokal mit Lubrikantien und antiinflammatorischen Substanzen behandelt werden. Bei Organmanifestationen werden Glucocorticoide und Immunsuppressiva eingesetzt, wobei für die eingesetzten Substanzen bisher eine ausreichende klinische Wirksamkeit wissenschaftlich nicht nachgewiesen ist.
  • An österreichischen Universitäten, insbesondere in Graz, laufen allerdings klinische Studien mit Biologika, die auf die Möglichkeit, das Sjögren-Syndrom in Zukunft effektiv behandeln zu können, hindeuten.

Einhaltung ethischer Richtlinien

Interessenkonflikt

J. Hermann und J. Horwath-Winter geben an, dass kein Interessenkonflikt besteht.
Für diesen Beitrag wurden von den Autoren keine Studien an Menschen oder Tieren durchgeführt. Für die aufgeführten Studien gelten die jeweils dort angegebenen ethischen Richtlinien.
Open Access. Dieser Artikel wird unter der Creative Commons Namensnennung 4.0 International Lizenz (http://​creativecommons.​org/​licenses/​by/​4.​0/​deed.​de) veröffentlicht, welche die Nutzung, Vervielfältigung, Bearbeitung, Verbreitung und Wiedergabe in jeglichem Medium und Format erlaubt, sofern Sie den/die ursprünglichen Autor(en) und die Quelle ordnungsgemäß nennen, einen Link zur Creative Commons Lizenz beifügen und angeben, ob Änderungen vorgenommen wurden.

Hinweis des Verlags

Der Verlag bleibt in Hinblick auf geografische Zuordnungen und Gebietsbezeichnungen in veröffentlichten Karten und Institutsadressen neutral.
download
DOWNLOAD
print
DRUCKEN
Titel
Diagnose und Therapie des Sjögren-Syndroms
Verfasst von
PD Dr. Josef Hermann
Jutta Horwath-Winter
Publikationsdatum
03.06.2019
Verlag
Springer Vienna
Erschienen in
Journal für Mineralstoffwechsel & Muskuloskelettale Erkrankungen / Ausgabe 2/2019
Print ISSN: 2412-8260
Elektronische ISSN: 2412-8287
DOI
https://doi.org/10.1007/s41970-019-0073-6
1.
Zurück zum Zitat Bacman S, Berra A, Sterin-Borda L et al (2001) Muscarinic acetylcholine receptor antibodies as a new marker of dry eye Sjogren syndrome. Invest Ophthalmol Vis Sci 42:321–327PubMed
2.
Zurück zum Zitat Baldini C, Pepe P, Quartuccio L et al (2014) Primary Sjogren’s syndrome as a multi-organ disease: impact of the serological profile on the clinical presentation of the disease in a large cohort of Italian patients. Rheumatology 53:839–844CrossRef
3.
Zurück zum Zitat Both T, Dalm VA, Van Hagen PM et al (2017) Reviewing primary Sjogren’s syndrome: beyond the dryness—From pathophysiology to diagnosis and treatment. Int J Med Sci 14:191–200CrossRef
4.
Zurück zum Zitat Brewitt H, Polzer H (2001) Medikamentöse Therapie des Trockenen Auges. Klinische und pharmakologische Aspekte. In: Brewitt H, Zierhut M (Hrsg) Trockenes Auge: Anatomie, Physiologie, Pathophysiologie, Diagnostik, Therapie. Kaden, Heidelberg, S 169–182
5.
Zurück zum Zitat Chisholm DM, Mason DK (1968) Labial salivary gland biopsy in Sjogren’s disease. J Clin Pathol 21:656–660CrossRef
6.
Zurück zum Zitat Darrieutort-Laffite C, Andre V, Hayem G et al (2015) Sjogren’s syndrome complicated by interstitial cystitis: a case series and literature review. Joint Bone Spine 82:245–250CrossRef
7.
Zurück zum Zitat Dass S, Bowman SJ, Vital EM et al (2008) Reduction of fatigue in Sjogren syndrome with rituximab: results of a randomised, double-blind, placebo-controlled pilot study. Ann Rheum Dis 67:1541–1544CrossRef
8.
Zurück zum Zitat Devauchelle-Pensec V, Mariette X, Jousse-Joulin S et al (2014) Treatment of primary Sjogren syndrome with rituximab: a randomized trial. Ann Intern Med 160:233–242CrossRef
9.
Zurück zum Zitat Dörner T (2001) Sjögren-Syndrom. In: Zeidler H, Zacher J, Hiepe F (Hrsg) Interdisziplinäre klinische Rheumatologie. Springer, Berlin Heidelberg New York, S 922–928
10.
Zurück zum Zitat Furst DE, Clarke AE, Fernandes AW et al (2013) Incidence and prevalence of adult systemic lupus erythematosus in a large US managed-care population. Lupus 22:99–105CrossRef
11.
Zurück zum Zitat Gomes JAP, Azar DT, Baudouin C et al (2017) TFOS DEWS II iatrogenic report. Ocul Surf 15:511–538CrossRef
12.
Zurück zum Zitat Hackett KL, Deane KH, Strassheim V et al (2015) A systematic review of non-pharmacological interventions for primary Sjogren’s syndrome. Rheumatology 54:2025–2032CrossRef
13.
Zurück zum Zitat Haga HJ, Peen E (2007) A study of the arthritis pattern in primary Sjogren’s syndrome. Clin Exp Rheumatol 25:88–91PubMed
14.
Zurück zum Zitat Hansen A, Dorner T (2010) Current therapeutic options in Sjogren’s syndrome. Z Rheumatol 69:19–24CrossRef
15.
Zurück zum Zitat Hermann J, Kovacs G, Scheidl S (2008) Interdisciplinary point of contact between rheumatology and pneumology. Z Rheumatol 67:407–410, 412–404PubMed
16.
Zurück zum Zitat Hernandez-Molina G, Sanchez-Hernandez T (2013) Clinimetric methods in Sjogren’s syndrome. Semin Arthritis Rheum 42:627–639CrossRef
17.
Zurück zum Zitat Jacobi C, Cursiefen C (2010) Ophthalmological complications in Sjogren’s syndrome. Z Rheumatol 69:32–40CrossRef
18.
Zurück zum Zitat Jones L, Downie LE, Korb D et al (2017) TFOS DEWS II management and therapy report. Ocul Surf 15:575–628CrossRef
19.
Zurück zum Zitat Kedor C, Hagemann A, Zernicke J (2015) Effectiveness an safety of low-dose cyclosporine A in patients with primary Sjögren’s syndrome (PSS) with articular involvement—results of a pilote study. Ann Rheum Dis 74:341CrossRef
20.
Zurück zum Zitat Kohler PF, Winter ME (1985) A quantitative test for xerostomia. The Saxon test, an oral equivalent of the Schirmer test. Arthritis Rheum 28:1128–1132CrossRef
21.
Zurück zum Zitat Krenn V, Jakobs M, Kriegsmann J et al (2010) Is bioptic assurance reasonable in patients with Sjogren’s syndrome? From focus score to diagnosing vasculitides. Z Rheumatol 69:11–18CrossRef
22.
Zurück zum Zitat Locht H, Pelck R, Manthorpe R (2008) Diagnostic and prognostic significance of measuring antibodies to alpha-fodrin compared to anti-Ro-52, anti-Ro-60, and anti-La in primary Sjogren’s syndrome. J Rheumatol 35:845–849PubMed
23.
Zurück zum Zitat Mariette X, Criswell LA (2018) Primary Sjogren’s Syndrome. N Engl J Med 378:931–939CrossRef
24.
Zurück zum Zitat Mariette X, Seror R, Quartuccio L et al (2015) Efficacy and safety of belimumab in primary Sjogren’s syndrome: results of the BELISS open-label phase II study. Ann Rheum Dis 74:526–531CrossRef
25.
Zurück zum Zitat Meijer JM, Meiners PM, Vissink A et al (2010) Effectiveness of rituximab treatment in primary Sjogren’s syndrome: a randomized, double-blind, placebo-controlled trial. Arthritis Rheum 62:960–968CrossRef
26.
Zurück zum Zitat Meiners PM, Vissink A, Kroese FG et al (2014) Abatacept treatment reduces disease activity in early primary Sjogren’s syndrome (open-label proof of concept ASAP study). Ann Rheum Dis 73:1393–1396CrossRef
27.
Zurück zum Zitat Nishiyama S, Miyawaki S, Yoshinaga Y (2006) A study to standardize quantitative evaluation of parotid gland scintigraphy in patients with Sjogren’s syndrome. J Rheumatol 33:2470–2474PubMed
28.
Zurück zum Zitat Price EJ, Rauz S, Tappuni AR et al (2017) The British Society for Rheumatology guideline for the management of adults with primary Sjogren’s Syndrome. Rheumatology 56:e24–e48CrossRef
29.
Zurück zum Zitat Price EJ, Rigby SP, Clancy U et al (1998) A double blind placebo controlled trial of azathioprine in the treatment of primary Sjogren’s syndrome. J Rheumatol 25:896–899PubMed
30.
Zurück zum Zitat Qin B, Wang J, Yang Z et al (2015) Epidemiology of primary Sjogren’s syndrome: a systematic review and meta-analysis. Ann Rheum Dis 74:1983–1989CrossRef
31.
Zurück zum Zitat Ramos-Casals M, Solans R, Rosas J et al (2008) Primary Sjogren syndrome in Spain: clinical and immunologic expression in 1010 patients. Medicine (Baltimore) 87:210–219CrossRef
32.
Zurück zum Zitat Roca F, Dominique S, Schmidt J et al (2017) Interstitial lung disease in primary Sjogren’s syndrome. Autoimmun Rev 16:48–54CrossRef
33.
Zurück zum Zitat Saraux A, Pers JO, Devauchelle-Pensec V (2016) Treatment of primary Sjogren syndrome. Nature reviews. Rheumatology 12:456–471PubMed
34.
Zurück zum Zitat Schein OD, Hochberg MC, Munoz B et al (1999) Dry eye and dry mouth in the elderly: a population-based assessment. Arch Intern Med 159:1359–1363CrossRef
35.
Zurück zum Zitat Shiboski CH, Shiboski SC, Seror R et al (2017) 2016 American College of Rheumatology/European League Against Rheumatism classification criteria for primary Sjogren’s syndrome: A consensus and data-driven methodology involving three international patient cohorts. Ann Rheum Dis 76:9–16CrossRef
36.
Zurück zum Zitat Skopouli FN, Dafni U, Ioannidis JP et al (2000) Clinical evolution, and morbidity and mortality of primary Sjogren’s syndrome. Semin Arthritis Rheum 29:296–304CrossRef
37.
Zurück zum Zitat Skopouli FN, Jagiello P, Tsifetaki N et al (1996) Methotrexate in primary Sjogren’s syndrome. Clin Exp Rheumatol 14:555–558PubMed
38.
Zurück zum Zitat Stapleton F, Alves M, Bunya VY et al (2017) TFOS DEWS II epidemiology report. Ocul Surf 15:334–365CrossRef
39.
Zurück zum Zitat Stiller M (2005) Die orale Komponente des Sjögren-Syndroms—diagnostische Aspekte und zahnmedizinisch-therapeutische Konsequenzen. Akt Rheumatol 30:41–45CrossRef
40.
Zurück zum Zitat Tsifetaki N, Kitsos G, Paschides CA et al (2003) Oral pilocarpine for the treatment of ocular symptoms in patients with Sjogren’s syndrome: a randomised 12 week controlled study. Ann Rheum Dis 62:1204–1207CrossRef
41.
Zurück zum Zitat Vitali C, Bombardieri S, Moutsopoulos HM et al (1993) Preliminary criteria for the classification of Sjogren’s syndrome. Results of a prospective concerted action supported by the European Community. Arthritis Rheum 36:340–347CrossRef
42.
Zurück zum Zitat Wang SQ, Zhang LW, Wei P et al (2017) Is hydroxychloroquine effective in treating primary Sjogren’s syndrome: a systematic review and meta-analysis. BMC Musculoskelet Disord 18:186CrossRef
43.
Zurück zum Zitat Williams CS, Butler E, Roman GC (2001) Treatment of myelopathy in Sjogren syndrome with a combination of prednisone and cyclophosphamide. Arch Neurol 58:815–819CrossRef
45.
Zurück zum Zitat Witte T, Matthias T, Bierwirth J et al (2007) Antibodies against alpha-fodrin are associated with sicca syndrome in the general population. Ann N Y Acad Sci 1108:414–417CrossRef
46.
Zurück zum Zitat Youinou P, Moutsopoulos HM, Pennec YL (1990) Clinical features of Sjogren’s syndrome. Curr Opin Rheumatol 2:687–693CrossRef
47.
Zurück zum Zitat Zintzaras E, Voulgarelis M, Moutsopoulos HM (2005) The risk of lymphoma development in autoimmune diseases: a meta-analysis. Arch Intern Med 165:2337–2344CrossRef