Zum Inhalt

Diagnose und Therapie der Echinokokkose

  • Open Access
  • 27.11.2024
  • Originalien
Erschienen in:

Zusammenfassung

Die alveoläre (AE) und zystische Echinokokkose (CE) sind seltene Zoonosen, bei denen der Mensch durch die Larven des Fuchs- oder Hundebandwurms infiziert wird. Echinococcus multilocularis, der Erreger der AE, kommt hauptsächlich in der nördlichen Hemisphäre vor, einschliesslich Mittel- und Westeuropa. Im Gegensatz dazu ist Echinococcus granulosus, der Erreger der CE, weltweit verbreitet, kommt in Europa vor allem im Mittelmeerraum, in Südosteuropa und Osteuropa vor. In Deutschland, Frankreich, der Schweiz und Österreich wird die CE nahezu ausschliesslich bei Immigranten diagnostiziert. Obwohl die AE selten ist, zeigt sich in Europa seit der Jahrtausendwende ein Anstieg der Inzidenz. Die Diagnose beider Erkrankungen erfolgt durch Bildgebung, Serologie und gelegentlich histopathologische oder molekularbiologische Tests. Die Therapieansätze und Prognosen unterscheiden sich deutlich. Die Therapie der AE hängt von der Ausdehnung der Erkrankung ab. Internationale Leitlinien empfehlen bei operabler AE eine chirurgische Resektion mit anschliessender Rezidivprophylaxe durch Benzimidazole für zwei Jahre. Bei Inoperabilität ist eine lebenslange Therapie mit Benzimidazolen notwendig, wobei ca. ein Drittel der Patienten später einen Therapieabsetzversuch unternehmen kann. Seit der Einführung der Benzimidazoltherapie hat sich die Prognose der AE erheblich verbessert, und die Lebenserwartung der betroffenen Patienten ist nahezu mit der der Normalbevölkerung vergleichbar. Die CE kann je nach Stadium chirurgisch reseziert, interventionell behandelt oder medikamentös therapiert werden. In einigen Fällen wird auch eine Beobachtung (Watch-and-wait-Strategie) empfohlen. Die Prognose der CE ist in der Regel gut.
QR-Code scannen & Beitrag online lesen

Hinweis des Verlags

Der Verlag bleibt in Hinblick auf geografische Zuordnungen und Gebietsbezeichnungen in veröffentlichten Karten und Institutsadressen neutral.

Alveoläre Echinokokkose

Epidemiologie und Lebenszyklus

Die alveoläre Echinokokkose (AE) ist eine seltene Zoonose, die durch das Larvengewebe des Fuchsbandwurms Echinococcus multilocularis verursacht wird. Dieser Parasit ist ausschliesslich auf die nördliche Hemisphäre beschränkt. Zu den hochendemischen Regionen gehören Westeuropa, Mitteleuropa, Zentralasien, China, Japan und Russland. Der komplexe Lebenszyklus des Parasiten umfasst Hundearten (Canidae), hauptsächlich Füchse, als Endwirte und kleine Nagetiere, insbesondere Feldmäuse, als Zwischenwirte. Menschen infizieren sich durch die akzidentelle orale Aufnahme von Eiern. Allerdings stellt der Mensch einen Fehlwirt dar, da der Lebenszyklus des Parasiten bei ihm endet [1]. Zu den Risikofaktoren für eine Infektion zählen Arbeiten in der Landwirtschaft, das Leben in ländlichen Gebieten, Gartenarbeit, der Konsum von ungewaschenem Gemüse und der Kontakt zu Hunden [2].
Im Darm des Zwischenwirts entwickeln sich die Parasiteneier zu sogenannten Onkosphären, die vorzugsweise in die Leber (in 99 % der Fälle) wandern und sich dort zum tumorösen Larvengewebe (Metazestodenstadium) entwickeln [1]. In selteneren Fällen können auch andere Organe wie Lunge, Milz, Nieren oder das Gehirn betroffen sein [1, 3]. Der Name der Erkrankung leitet sich von der Histopathologie des Metazestodengewebes ab, das aus vielen kleinen Zysten besteht, die alveolenähnliche Strukturen bilden. Diese Zysten haben drei Schichten: eine vom Parasiten gebildete Keimschicht und eine azelluläre Laminarschicht sowie eine bindegewebige Adventitia, die vom Wirt stammt. Das parasitäre Gewebe verhält sich im betroffenen Organ ähnlich wie ein bösartiger Tumor mit infiltrativem Wachstum und gelegentlich auch Metastasierung. Besonders in der Leber kann das infiltrative Wachstum zu Gefäss- oder Gallengangsverschlüssen führen, was chirurgische Eingriffe erschwert. Das Wachstum der Larven verläuft langsam, weshalb die Krankheit oft lange asymptomatisch bleibt. Zwischen Infektion und Diagnose können vermutlich 5–15 Jahre vergehen. Symptome sind vor allem Oberbauchschmerzen oder cholestatische Beschwerden wie Ikterus und Juckreiz [1, 3, 4]. In fortgeschrittenen Stadien treten Kachexie und Symptome der portalen Hypertonie auf. Ohne adäquate Behandlung war die AE in den meisten Fällen tödlich, mit einer 10-Jahres-Mortalität von 90 % [5].
Seit der Jahrtausendwende wurde eine Zunahme der AE-Fälle verzeichnet, insbesondere in Deutschland, der Schweiz und Frankreich, wo sich die Inzidenz verdoppelt oder verdreifacht hat [69]. Verschiedene Hypothesen versuchen dieses Phänomen zu erklären. Nach der Tollwuteradikation in den 1980er-Jahren stieg in der Schweiz die Fuchspopulation erheblich an, mit einer zunehmenden Ausbreitung auch in dicht besiedelte Gebiete [6, 10]. Schätzungsweise 30–50 % der Füchse in den Städten sind Träger des Parasiten [10]. Die daraus resultierende zunehmende Umweltkontamination mit Parasiteneiern könnte sehr wohl für die steigende Zahl an AE erkrankter Patienten verantwortlich sein [11].
Eine weitere Hypothese für den Anstieg der AE-Fälle umfasst eine möglicherweise grössere Empfänglichkeit der Bevölkerung. Seroepidemiologische Daten deuten darauf hin, dass nicht jeder Mensch, der mit E.-multilocularis-Eiern in Kontakt kommt, auch eine AE entwickelt [12]. Welche Faktoren nun zu einer erfolgreichen Abwehr des Parasiten beitragen, ist jedoch weitestgehend unbekannt. Eine französische Studie postulierte, dass eine Zunahme immunsupprimierter Patienten ebenfalls zu den steigenden Fallzahlen beitragen könnte [7]. Dies ist jedoch umstritten, denn viele dieser Patienten werden in einem früheren, asymptomatischen Stadium mit kleineren Läsionen diagnostiziert [9]. Möglicherweise ist der verstärkte Einsatz von bildgebenden Verfahren in dieser Population Grund für die häufigere Diagnose. Bei manchen dieser Patienten stellt sich auch die Frage, ob sie je zu Lebzeiten symptomatisch geworden wären.

Bildgebung

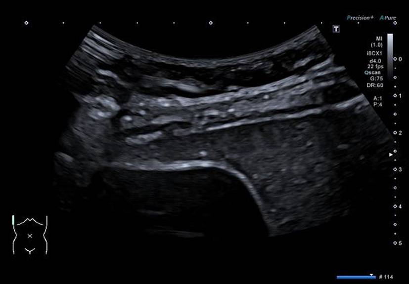
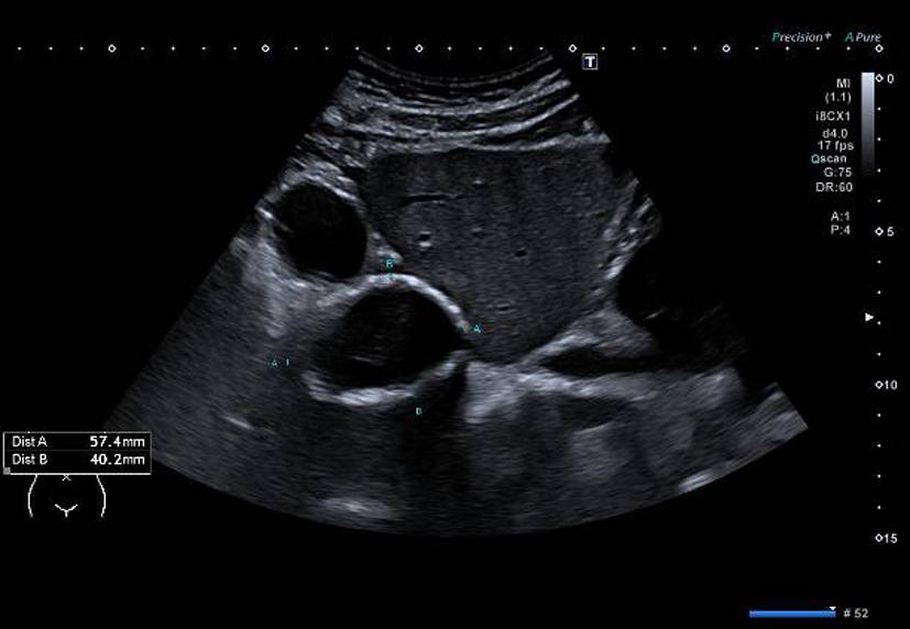
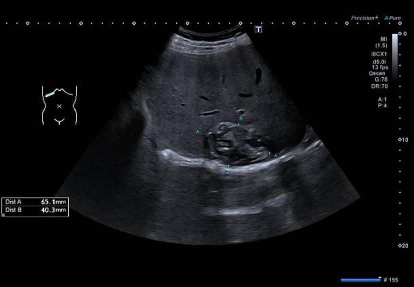
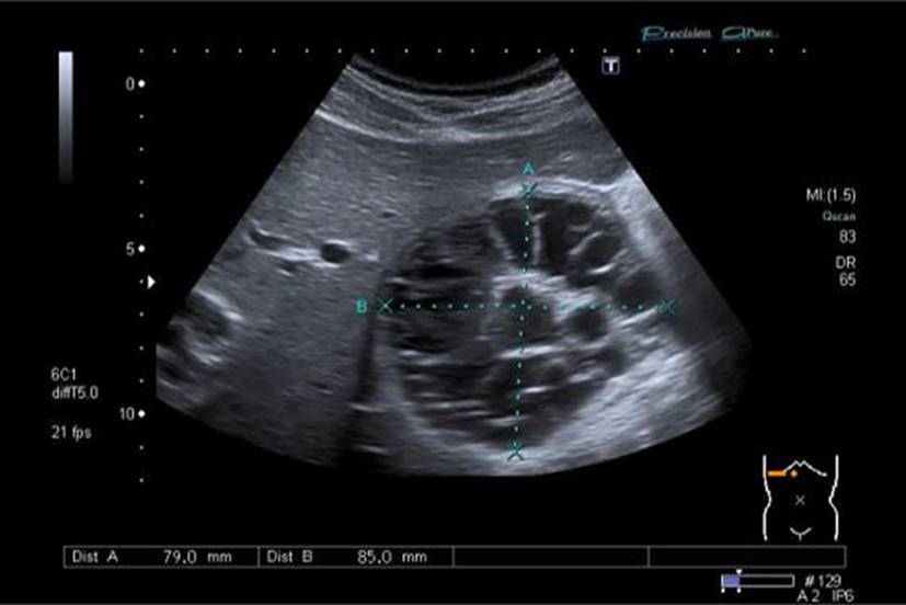
Die alveoläre Echinokokkose (AE) zeigt in der Bildgebung eine breite morphologische Variabilität und kann sowohl zystische als auch solide oder gemischt zystisch-solide Strukturen aufweisen (Abb. 1). Selbst für erfahrene Radiologen ist es oft schwierig, AE-Läsionen von malignen Erkrankungen wie intrahepatischem Cholangiokarzinom oder Lebermetastasen sowie von benignen Veränderungen wie Hämangiomen oder zystischer Echinokokkose zu unterscheiden. Zur Klassifizierung von AE-Läsionen wurden für Ultraschall, CT und MRT verschiedene deskriptive Systeme entwickelt [1315]. Diese haben aktuell vor allem in der Forschung eine Bedeutung. Im Ultraschall erscheint eine AE häufig als avaskulärer, gemischt echogener Tumor mit pseudozystischen oder verkalkten Anteilen, was gelegentlich Hämangiomen oder Metastasen ähneln kann [15]. Ein wichtiger Aspekt in der Bildgebung ist, dass der Nachweis von Verkalkungen nicht als Zeichen einer inaktiven Erkrankung gewertet werden darf [16].
Abb. 1
Verschiedene Präsentationen der alveolären Echinokokkose im Ultraschall. a AE, metastasenähnlich, b AE, hämangiomähnlich, c AE, primär zystisch, d AE, primär solide
Bild vergrößern
Besonders wertvoll für die Diagnostik ist die FDG-PET, da sie Entzündungsreaktionen um die Läsion herum abbildet, die als indirektes Zeichen der Parasitenaktivität interpretiert werden können [17, 18]. Dies hilft auch bei der Selektion inoperabler Patienten für einen möglichen Therapieabbruch [17, 18]. Die Sensitivität der FDG-PET lässt sich durch eine zusätzliche Messung drei Stunden nach der üblichen 1‑Stunden-Aufnahme steigern [19]. Die prognostische Relevanz dieser späten Messung ist jedoch unklar, insbesondere ob ein höheres Risiko für ein Rezidiv nach Behandlungsende besteht, wenn in der Spätmessung noch metabolische Aktivität nachweisbar ist.

Serologie

Die spezifische Serologie zur Diagnose der Echinokokkose umfasst den Nachweis von Antikörpern des Wirts gegen verschiedene Echinococcus-spp.-Antigene, die mittels ELISA, Western-Blot oder Lateral-Flow-Assay detektiert werden. Dabei kommen sowohl gereinigte Antigene aus Metazestodenisolaten, die im Tiermodell gewonnen wurden, als auch rekombinante Antigene zum Einsatz. Metazestodenisolate stammen sowohl von E. multilocularis als auch von E. granulosus. Da die meisten Antigene eine geringe Spezifität in Bezug auf Echinococcus spp. aufweisen (Kreuzreaktionen in 53–86 %), reicht dies nicht zur Differenzierung zwischen den Spezies aus. Umgekehrt können für die Diagnose der alveolären Echinokokkose (AE) spezifische Antigene von E. granulosus s. l., wie z. B. EgP und EgHF, verwendet werden, die eine Sensitivität von 95 % für die AE und 93 % für die zystische Echinokokkose (CE) aufweisen. Durch den Einsatz mehrerer Antigene kann die Sensitivität der Serologie weiter gesteigert werden [20]. Zur Unterscheidung der AE von einer CE sind die rekombinanten Antigene recEm18 und recEm95 besonders geeignet, da sie eine niedrigere Kreuzreaktionsrate von 13 bis 14 % aufweisen [20]. Bei dieser Differenzierung ist jedoch stets die Herkunft des Patienten zu berücksichtigen. Die Spezifität der Antigene kann auch vom klinischen Kontext beeinflusst werden, insbesondere bei gleichzeitiger Infektion mit anderen Parasiten [20]. Falsch-positive Ergebnisse wurden auch bei chronischer Urtikaria beobachtet.
Die Serologie hat auch nach der Diagnose der AE einen wichtigen Stellenwert. Nach chirurgischer Resektion oder unter medikamentöser Therapie sinken die Antikörper, insbesondere die von Em18 (früher bekannt als EmII/3-10). Ein Wiederanstieg der Antikörper kann hingegen auf ein Rezidiv hinweisen [21]. Der Verlauf der Em18- oder Em2plus-Antikörper wurde ebenfalls genutzt, um inoperable AE-Patienten für einen Versuch des Therapieabbruchs zu selektionieren [19, 22].

Histologie

Aufgrund der hohen Sensitivität der serologischen Marker ist eine histopathologische Bestätigung bei einer alveolären Echinokokkose (AE) meist nicht erforderlich. Wenn eine Gewebeuntersuchung erfolgt, geschieht dies in der Regel postoperativ durch die Analyse des im Resektat nachgewiesenen Metazestodengewebes. In manchen Fällen, insbesondere bei metastasenähnlichem Bild in der Bildgebung und/oder negativer Serologie, wird zur differenzialdiagnostischen Abklärung der nachgewiesenen Läsion eine Stanzbiopsie vorgenommen. Zur Unterscheidung zwischen AE und zystischer Echinokokkose (CE) werden neben der klassischen morphologischen Beurteilung zunehmend spezifische immunhistochemische monoklonale Antikörper verwendet, wie mAB Em2G11 und mAB EmG3 [23]. Diese Antikörper sind auch bei ausgedehnter Nekrose oft diagnostisch hilfreich sowie für die histopathologische Beurteilung der Parasitenvitalität [23, 24]. Zudem kann der Nachweis von Echinokokken-DNA mittels PCR erfolgen [25].

Diagnose und Staging

Die WHO definiert die Diagnose einer Echinokokkose anhand von drei Kategorien (Abb. 2; [26]). Ein „möglicher Fall“ liegt vor, wenn entweder ein passender Befund in der Bildgebung oder eine positive Serologie vorliegt. Ein „wahrscheinlicher Fall“ wird diagnostiziert, wenn sowohl eine typische Bildgebung als auch eine spezifisch positive Serologie vorhanden sind. Ein „bewiesener Fall“ ist gegeben, wenn zusätzlich ein histopathologischer Nachweis von Metazestodengewebe oder ein molekularbiologischer Nachweis von Echinococcus-DNA erfolgt. Diese Klassifikation ist rein deskriptiv und spiegelt nicht die diagnostische Sicherheit wider. In der klinischen Praxis reicht jedoch häufig die „wahrscheinliche“ Diagnose aus, um Therapieentscheidungen zu treffen.
Abb. 2
Diagnoseklassifikation der alveolären Echinokokkose gemäss WHO. AE alveoläre Echinokokkose, US Ultraschall, CT Computertomographie, MRI Magnetresonanztomographie, PET Positronenemissionstomographie, IHC Immunhistochemie, PCR Polymerase-Kettenreaktion
Bild vergrößern
Für das Staging der alveolären Echinokokkose (AE) existiert ein Klassifikationssystem, das dem TNM-System bei Krebserkrankungen ähnelt, das sogenannte PNM-Staging [27]. Dabei steht „P“ für die Ausbreitung des Parasiten in der Leber, „N“ für die Invasion benachbarter Organe und „M“ für das Vorhandensein von Metastasen (Tab. 1). Im Gegensatz zum TNM-Stadium bei Krebs besteht beim PNM-Stadium jedoch keine direkte Verbindung zwischen dem Stadium und der Operabilität oder dem Überleben (gesamt oder AE-spezifisch). So kann ein Patient mit P1N0M0 (Stadium I) aufgrund beidseitiger Leberläsionen nicht operabel sein, während ein Patient im Stadium P3N1M0 (Stadium IIIb) durch eine erweiterte Hemihepatektomie geheilt werden kann. Das PNM-System dient daher vor allem der Klassifikation der Fälle und nicht zur Ableitung von Therapieentscheidungen.
Tab. 1
PNM-Klassifikation und Stadieneinteilung
P
Primäre hepatische Lokalisation
X
Kann nicht bestimmt werden
0
Kein Leberbefall
1
Periphere Läsion ohne hilären Gefäss‑/Gallengangsbefall
2
Zentrale Läsion mit hilärem Gefäss‑/Gallengangsbefall eines Leberlappens*
3
Zentrale Läsion mit hilärem Gefäss‑/Gallengangsbefall beider Leberlappen* oder Beteiligung von 2 oder mehr Lebervenen
4
Jegliche Leberläsion, die sich entlang der Gefässe (V. cava, Pfortader, Leberarterie) ausbreitet
N
Beteiligung benachbarter Organe/Gewebe (per continuitatem)
X
Kann nicht bestimmt werden
0
Keine Beteiligung benachbarter Organe/Gewebe
1
Beteiligung benachbarter Organe/Gewebe
M
Vorliegen von Metastasen
X
Nicht gänzlich abgeklärt (mind. Röntgen Thorax/Schädel-CT)
0
Keine Fernmetastasen
1
Fernmetastasen vorhanden
Stadium
P
N
M
I
1
0
0
II
2
0
0
IIIa
3
0
0
IIIb
1–3
1
0
IV
4
0
0
 
4
jegliches
1
jegliches
0
1

Therapie der AE

Die Konsensusrichtlinien empfehlen eine chirurgische Resektion als bevorzugte Therapie der AE, sofern ein kurativer Ansatz möglich ist [26]. Voraussetzung dafür ist neben der Resektabilität der Leberläsionen der Ausschluss von inoperablen extrahepatischen Manifestationen, wie beispielsweise in der Lunge oder im Gehirn. Daher wird vor der Operation ein vollständiges Staging mittels CT des Thorax/Abdomens und CT/MRI des Gehirns empfohlen. Nach der Resektion sollte eine zweijährige medikamentöse Nachbehandlung mit Benzimidazolen zur Rezidivprophylaxe erfolgen [26]. Da Spätrezidive auch nach mehr als zehn Jahren auftreten können, ist eine bildgebende und serologische Überwachung für mindestens zehn Jahre postoperativ erforderlich, auch bei Patienten, die kurativ operiert wurden [26]. Auf palliative Resektionen wird inzwischen verzichtet, da sie keinen Überlebensvorteil im Vergleich zu einer rein medikamentösen Therapie bieten [28].
Für inoperable Patienten ist eine lebenslange medikamentöse Therapie mit Benzimidazolen empfohlen [26]. Neuere Studien deuten jedoch darauf hin, dass etwa ein Drittel dieser Patienten nach mindestens zweijähriger Therapie für einen Therapieunterbruch infrage kommen könnte [17, 18]. Diese Patienten lassen sich durch eine Kombination aus negativen Ergebnissen des serologischen Markers Anti-Em18 und einer negativen 1 h-FDG-PET oder einem negativen Anti-Em2plus und einer negativen 3 h-FDG-PET identifizieren [18, 19]. Auch nach einem Therapieunterbruch ist eine kontinuierliche Überwachung notwendig. Diese Vorgehensweise liegt jedoch aktuell noch ausserhalb der Konsensusrichtlinien und sollte nur in spezialisierten Zentren mit entsprechender Erfahrung durchgeführt werden.
Etwa 10 % der AE-Patienten zeigen als erstes Symptom einen Ikterus [4]. In solchen Fällen wird häufig ein interventioneller Eingriff durchgeführt, etwa mittels endoskopisch-retrograder Cholangiopankreatikographie (ERCP) oder perkutaner transhepatischer Cholangiographie mit Drainage (PTCD). Diese Verfahren sind jedoch oft mit wiederholten Eingriffen und Infektkomplikationen verbunden [29, 30]. Eine retrospektive Schweizer Studie zeigte, dass eine konservative Behandlung mit Benzimidazolen bei Patienten mit Ikterus in den meisten Fällen die Cholestase innerhalb von sechs Monaten erfolgreich beheben kann und gleichzeitig weniger Infektkomplikationen auftreten [31].
Bei der langfristigen Behandlung mit Benzimidazolen kann es gelegentlich zu einem Therapieversagen kommen, das meist durch unerwünschte Arzneimittelwirkungen, seltener durch mangelnde Wirksamkeit des Medikaments verursacht wird [4]. Alternativen zu Benzimidazolen sind jedoch kaum erforscht. Die wenigen vorhandenen Daten stammen aus Fallberichten, kleinen Fallserien und In-vitro-Experimenten. In einer solchen Fallserie wurde teilweise erfolgreich Amphotericin B eingesetzt [32], während Nitazoxanid und Mefloquin keine zufriedenstellenden Ergebnisse zeigten [32].
Eine Lebertransplantation wird nur dann als Therapieoption in Betracht gezogen, wenn lebensbedrohliche biliäre oder vaskuläre Komplikationen auftreten, die anderweitig nicht beherrschbar sind. Dies ist auch angesichts der sonst guten Prognose inoperabler Patienten unter langfristiger Benzimidazoltherapie und des hohen Rezidivrisikos der AE nach einer Transplantation zu beachten [33, 34].

Zystische Echinokokkose

Epidemiologie

Die zystische Echinokokkose (CE), verursacht durch den Parasiten Echinococcus granulosus, ist eine weltweit vorkommende Zoonose, die insbesondere in ländlichen Gebieten endemisch ist. Sie tritt etwa zehnmal häufiger auf als die alveoläre Echinokokkose (AE). Die Prävalenz der CE hat sich in verschiedenen Regionen unterschiedlich entwickelt. In Südeuropa (Spanien, Italien) nahm die jährliche Inzidenz in den letzten Jahren ab, während sie in Südost- und Osteuropa (besonders auf dem Balkan und in den baltischen Staaten) sowie in einigen westeuropäischen Ländern (u. a. Deutschland und Schweiz) aufgrund von Migration aus Hochrisikogebieten anstieg [35]. Auch in Zentralasien wurden seit dem Zerfall der Sowjetunion vermehrt Fälle beobachtet [36].

Bildgebung

Die CE zeigt sich in der Bildgebung überwiegend typisch (Tab. 2). Sie wird hauptsächlich durch bildgebende Verfahren diagnostiziert. Ein wichtiges Unterscheidungsmerkmal der CE gegenüber einfachen Leberzysten oder zystischen Tumoren wie dem biliären Zystadenom ist der Nachweis einer doppelten Wandstruktur sowie das Fehlen der Durchblutung der Septen. Zur Charakterisierung der Zysten wird ein von der WHO propagiertes Klassifikationssystem mit fünf Stadien verwendet, das zwischen aktiven (CE1 und CE2), Übergangs- (CE3) und inaktiven Stadien (CE4 und CE 5) unterscheidet [26]. Dieses System ist nicht nur für die Diagnose, sondern auch für die Beurteilung des Therapieansprechens unter Benzimidazolbehandlung hilfreich. Zu beachten ist, dass Zysten, insbesondere im Übergangsbereich zwischen CE3b und CE4/5, in ein aktiveres Stadium zurückkehren können [37]. Obwohl das Klassifikationssystem ursprünglich auf Ultraschalluntersuchungen basierte, hat sich gezeigt, dass auch andere bildgebende Verfahren, insbesondere die MRT, eine zuverlässige Stadieneinteilung ermöglichen [38].
Tab. 2
WHO-Klassifikationssystem der zystischen Echinokokkose im Ultraschall
Aktive Stadien
CE1
(einzelne, doppelwandige Zyste)
CE2
(Zyste mit Tochterzysten)
Übergangsstadien
CE3a
(abgelöste Endozyste, „Wasserlilienzeichen“)
CE3b
(Abnahme Anzahl Tochterzysten, zunehmend solider Zysteninhalt)
Inaktive Stadien
CE4
(ausschliesslich solider Zysteninhalt)
CE5
(kalzifizierte Zyste, „Eischale“)

Serologie

Bei der Serologie zeigt sich, dass die Sensitivität der Tests besonders in den inaktiven Stadien (CE4 und CE5), aber auch im aktiven Stadium CE1 deutlich eingeschränkt ist. [39]. Eine negative Serologie schliesst daher eine zystische Echinokokkose nicht aus. Bei einem typischen Bild, wie etwa einer doppelwandigen Zyste bei einem Patienten aus einem Endemiegebiet, muss die Diagnose weiterverfolgt werden.

Diagnose/Staging

Neben der Zystenklassifikation gibt es kein allgemeines Staging-System für die CE. Bei der Diagnose sollte jedoch auch nach extrahepatischen Manifestationen der Erkrankung gesucht werden, da die CE neben der Leber auch andere Organe betreffen kann.

Therapie

Die CE lässt sich gegenüber der AE aufgrund ihres verdrängenden und nicht infiltrierenden Wachstums relativ einfach chirurgisch entfernen oder minimal-invasiv mittels PAIR (Punktion, Aspiration, Instillation und Reaspiration) oder MoCaT (modifizierte Kathetertechnik) behandeln. Für eine kurative Therapie ist die vollständige Entfernung der gesamten Zyste, einschliesslich der Adventitia, entscheidend. Bleibt ein Teil der Zyste zurück, wie es bei der subtotalen Zystektomie (Endozystektomie), partiellen Zystektomie oder bei perkutanen Techniken der Fall sein kann, besteht ein erhöhtes Risiko für ein Rezidiv. Es herrscht jedoch weiterhin Uneinigkeit darüber, wie radikal der chirurgische Eingriff sein muss.
Die Wahl der besten Therapie hängt vom Zystenstadium sowie der lokalen chirurgischen und interventionellen Expertise ab [26]. Inaktive Stadien (CE4/5) benötigen keine Therapie und können zunächst beobachtet werden [26]. Bei kleinen (< 5 cm) CE1- und CE3a-Läsionen kann eine rein medikamentöse Therapie mit Benzimidazolen versucht werden, um die Zysten in ein inaktives Stadium zu überführen [26]. Zu beachten ist jedoch, dass das Risiko einer Reaktivierung bei diesen Zysten höher ist als bei Zysten, die bereits bei der Diagnose inaktiv waren [37]. Grössere Zysten sowie solche in den Stadien CE2 und CE3b sprechen in der Regel nicht auf eine medikamentöse Therapie an. Bei entsprechender Expertise können hier minimal-invasive Verfahren wie PAIR oder MoCaT angewendet werden. Diese Techniken beinhalten die Punktion der Zyste, Zerstörung der Laminarschicht und Septen mittels Katheter, Aspiration des Zysteninhalts sowie die Instillation und Reaspiration einer parasitoziden Flüssigkeit (z. B. 20 % NaCl oder 95 % Alkohol; [26]). Diese Methoden sind hinsichtlich der Effektivität mit der chirurgischen Resektion vergleichbar, weisen jedoch niedrigere Komplikationsraten und kürzere Krankenhausaufenthalte auf [40]. Bei Vorhandensein einer zystobiliären Fistel – häufig bei Zysten > 7,5 cm – sollten diese Verfahren jedoch vermieden werden, da es zu Gallenwegsverätzungen und sekundär sklerosierender Cholangitis kommen kann [26]. Für die Stadien CE1 bis CE3b ist die chirurgische Resektion eine gute Option. Die Wahl des chirurgischen Verfahrens hängt von der lokalen Expertise ab, wobei zukünftig voraussichtlich zunehmend minimal-invasive Eingriffe bevorzugt werden.
Die medikamentöse Behandlung mit Benzimidazolen vor und nach chirurgischen oder perkutanen Eingriffen wird aufgrund fehlender solider Daten unterschiedlich gehandhabt. In der Regel wird die Benzimidazoltherapie bei chirurgischen Eingriffen 1–7 Tag vor dem Eingriff begonnen und für 1–3 Monate fortgesetzt. Bei perkutanen Eingriffen wird eine prä- und postinterventionelle Benzimidazolbehandlung über 1–4 Monate empfohlen [5].
Wegen des Risikos von Spätrezidiven ist eine langfristige Nachsorge, mindestens über 10 Jahre, erforderlich.

Einhaltung ethischer Richtlinien

Interessenkonflikt

A. Deibel und B. Müllhaupt geben an, dass kein Interessenkonflikt besteht.
Für diesen Beitrag wurden von den Autor/-innen keine Studien an Menschen oder Tieren durchgeführt. Für die aufgeführten Studien gelten die jeweils dort angegebenen ethischen Richtlinien.
Open Access Dieser Artikel wird unter der Creative Commons Namensnennung 4.0 International Lizenz veröffentlicht, welche die Nutzung, Vervielfältigung, Bearbeitung, Verbreitung und Wiedergabe in jeglichem Medium und Format erlaubt, sofern Sie den/die ursprünglichen Autor(en) und die Quelle ordnungsgemäß nennen, einen Link zur Creative Commons Lizenz beifügen und angeben, ob Änderungen vorgenommen wurden.
Die in diesem Artikel enthaltenen Bilder und sonstiges Drittmaterial unterliegen ebenfalls der genannten Creative Commons Lizenz, sofern sich aus der Abbildungslegende nichts anderes ergibt. Sofern das betreffende Material nicht unter der genannten Creative Commons Lizenz steht und die betreffende Handlung nicht nach gesetzlichen Vorschriften erlaubt ist, ist für die oben aufgeführten Weiterverwendungen des Materials die Einwilligung des jeweiligen Rechteinhabers einzuholen.
Weitere Details zur Lizenz entnehmen Sie bitte der Lizenzinformation auf http://creativecommons.org/licenses/by/4.0/deed.de.

Hinweis des Verlags

Der Verlag bleibt in Hinblick auf geografische Zuordnungen und Gebietsbezeichnungen in veröffentlichten Karten und Institutsadressen neutral.
download
DOWNLOAD
print
DRUCKEN
Titel
Diagnose und Therapie der Echinokokkose
Verfasst von
Dr. med. Ansgar Deibel
Prof. Dr. Beat Müllhaupt
Publikationsdatum
27.11.2024
Verlag
Springer Vienna
Erschienen in
Schweizer Gastroenterologie / Ausgabe 4/2024
Print ISSN: 2662-7140
Elektronische ISSN: 2662-7159
DOI
https://doi.org/10.1007/s43472-024-00153-6
1.
Zurück zum Zitat Eckert J, Deplazes P (2004) Biological, epidemiological, and clinical aspects of echinococcosis, a zoonosis of increasing concern. Clin Microbiol Rev 17(1):107–135. https://doi.org/10.1128/cmr.17.1.107-135.2004CrossRefPubMedPubMedCentral
2.
Zurück zum Zitat Piarroux M, Piarroux R, Knapp J, Bardonnet K, Dumortier J, Watelet J et al (2013) Populations at risk for alveolar echinococcosis, France. Emerg Infect Dis 19(5):721–728. https://doi.org/10.3201/eid1905.120867CrossRefPubMedPubMedCentral
3.
Zurück zum Zitat Piarroux M, Piarroux R, Giorgi R, Knapp J, Bardonnet K, Sudre B et al (2011) Clinical features and evolution of alveolar echinococcosis in France from 1982 to 2007: results of a survey in 387 patients. J Hepatol 55(5):1025–1033. https://doi.org/10.1016/j.jhep.2011.02.018CrossRefPubMed
4.
Zurück zum Zitat Gruner B, Kern P, Mayer B, Grater T, Hillenbrand A, Barth TEF et al (2017) Comprehensive diagnosis and treatment of alveolar echinococcosis: a single-center, long-term observational study of 312 patients in Germany. GMS Infect Dis 5:Doc1. https://doi.org/10.3205/id000027CrossRefPubMedPubMedCentral
5.
Zurück zum Zitat Kern P, Menezes da Silva A, Akhan O, Müllhaupt B, Vizcaychipi KA, Budke C, Vuitton DA (2017) The Echinococcoses: diagnosis, clinical management and burden of disease. Adv Parasitol 96:259–369. https://doi.org/10.1016/bs.apar.2016.09.006CrossRefPubMed
6.
Zurück zum Zitat Schweiger A, Ammann RW, Candinas D, Clavien PA, Eckert J, Gottstein B et al (2007) Human alveolar echinococcosis after fox population increase, Switzerland. Emerg Infect Dis 13(6):878–882. https://doi.org/10.3201/eid1306.061074CrossRefPubMedPubMedCentral
7.
Zurück zum Zitat Chauchet A, Grenouillet F, Knapp J, Richou C, Delabrousse E, Dentan C et al (2014) Increased incidence and characteristics of alveolar echinococcosis in patients with immunosuppression-associated conditions. Clin Infect Dis 59(8):1095–1104. https://doi.org/10.1093/cid/ciu520CrossRefPubMed
8.
Zurück zum Zitat Mueller MC, Marx M, Peyerl-Hoffmann G, Kern WV (2020) Spatial distribution and incidence trend of human alveolar echinococcosis in southwest Germany: increased incidence and urbanization of the disease? Infection 48(6):923–927. https://doi.org/10.1007/s15010-020-01479-4CrossRefPubMedPubMedCentral
9.
Zurück zum Zitat Deibel A, Meyer zu Schwabedissen C, Husmann L, Grimm F, Deplazes P, Reiner CS, Müllhaupt B (2022) Characteristics and clinical course of alveolar echinococcosis in patients with Immunosuppression-associated conditions: a retrospective cohort study. Pathogens 11(4):441. https://doi.org/10.3390/pathogens11040441CrossRefPubMedPubMedCentral
10.
Zurück zum Zitat Deplazes P, Hegglin D, Gloor S, Romig T (2004) Wilderness in the city: the urbanization of Echinococcus multilocularis. Trends Parasitol 20(2):77–84. https://doi.org/10.1016/j.pt.2003.11.011CrossRefPubMed
11.
Zurück zum Zitat Romig T, Thoma D, Weible AK (2006) Echinococcus multilocularis—a zoonosis of anthropogenic environments? J Helminthol 80(2):207–212. https://doi.org/10.1079/joh2006347CrossRefPubMed
12.
Zurück zum Zitat Romig T, Kratzer W, Kimmig P, Frosch M, Gaus W, Flegel WA et al (1999) An epidemiologic survey of human alveolar echinococcosis in southwestern Germany. Römerstein Study Group. Am J Trop Med Hyg 61(4):566–573. https://doi.org/10.4269/ajtmh.1999.61.566CrossRefPubMed
13.
Zurück zum Zitat Graeter T, Kratzer W, Oeztuerk S, Haenle MM, Mason RA, Hillenbrand A et al (2016) Proposal of a computed tomography classification for hepatic alveolar echinococcosis. World J Gastroenterol 22(13):3621–3631. https://doi.org/10.3748/wjg.v22.i13.3621CrossRefPubMedPubMedCentral
14.
Zurück zum Zitat Kodama Y, Fujita N, Shimizu T, Endo H, Nambu T, Sato N et al (2003) Alveolar echinococcosis: MR findings in the liver. Radiology 228(1):172–177. https://doi.org/10.1148/radiol.2281020323CrossRefPubMed
15.
Zurück zum Zitat Kratzer W, Gruener B, Kaltenbach TE, Ansari-Bitzenberger S, Kern P, Fuchs M et al (2015) Proposal of an ultrasonographic classification for hepatic alveolar echinococcosis: Echinococcosis multilocularis Ulm classification-ultrasound. World J Gastroenterol 21(43):12392–12402. https://doi.org/10.3748/wjg.v21.i43.12392CrossRefPubMedPubMedCentral
16.
Zurück zum Zitat Azizi A, Blagosklonov O, Lounis A, Berthet L, Vuitton DA, Bresson-Hadni S, Delabrousse E (2015) Alveolar echinococcosis: correlation between hepatic MRI findings and FDG-PET/CT metabolic activity. Abdom Imaging 40(1):56–63. https://doi.org/10.1007/s00261-014-0183-0CrossRefPubMed
17.
Zurück zum Zitat Deibel A, Stocker D, Meyer Zu Schwabedissen C, Husmann L, Kronenberg PA, Grimm F et al (2022) Evaluation of a structured treatment discontinuation in patients with inoperable alveolar echinococcosis on long-term benzimidazole therapy: a retrospective cohort study. PLoS Negl Trop Dis 16(1):e10146. https://doi.org/10.1371/journal.pntd.0010146CrossRefPubMedPubMedCentral
18.
Zurück zum Zitat Ammann RW, Stumpe KD, Grimm F, Deplazes P, Huber S, Bertogg K et al (2015) Outcome after discontinuing long-term benzimidazole treatment in 11 patients with non-resectable alveolar echinococcosis with negative FDG-PET/CT and anti-EmII/3-10 serology. PLoS Negl Trop Dis 9(9):e3964. https://doi.org/10.1371/journal.pntd.0003964CrossRefPubMedPubMedCentral
19.
Zurück zum Zitat Caoduro C, Porot C, Vuitton DA, Bresson-Hadni S, Grenouillet F, Richou C et al (2013) The role of delayed 18F-FDG PET imaging in the follow-up of patients with alveolar echinococcosis. J Nucl Med 54(3):358–363. https://doi.org/10.2967/jnumed.112.109942CrossRefPubMed
20.
Zurück zum Zitat Kronenberg PA, Deibel A, Gottstein B, Grimm F, Mullhaupt B, Meyer Zu Schwabedissen C et al (2022) Serological assays for alveolar and cystic echinococcosis‑A comparative multi-test study in Switzerland and Kyrgyzstan. Pathogens. https://doi.org/10.3390/pathogens11050518CrossRefPubMedPubMedCentral
21.
Zurück zum Zitat Ammann RW, Renner EC, Gottstein B, Grimm F, Eckert J, Renner EL (2004) Immunosurveillance of alveolar echinococcosis by specific humoral and cellular immune tests: long-term analysis of the Swiss chemotherapy trial (1976–2001). J Hepatol 41(4):551–559. https://doi.org/10.1016/j.jhep.2004.06.015CrossRefPubMed
22.
Zurück zum Zitat Ammann RW, Fleiner-Hoffmann A, Grimm F, Eckert J (1998) Long-term mebendazole therapy may be parasitocidal in alveolar echinococcosis. J Hepatol 29(6):994–998. https://doi.org/10.1016/s0168-8278(98)80129-3CrossRefPubMed
23.
Zurück zum Zitat Reinehr M, Micheloud C, Grimm F, Kronenberg PA, Grimm J, Beck A et al (2020) Pathology of echinococcosis: a morphologic and Immunohistochemical study on 138 specimens with focus on the differential diagnosis between cystic and alveolar echinococcosis. Am J Surg Pathol 44(1):43–54. https://doi.org/10.1097/PAS.0000000000001374CrossRefPubMed
24.
Zurück zum Zitat Robers S, Reinehr M, Haibach L, Furrer E, Cincera A, Kronenberg PA et al (2024) Histopathological assessment of the viability of hepatic alveolar echinococcosis. Histopathology. https://doi.org/10.1111/his.15280CrossRefPubMed
25.
Zurück zum Zitat Roelfsema JH, Nozari N, Pinelli E, Kortbeek LM (2016) Novel PCRs for differential diagnosis of cestodes. Exp Parasitol 161:20–26. https://doi.org/10.1016/j.exppara.2015.12.010CrossRefPubMed
26.
Zurück zum Zitat Brunetti E, Kern P, Vuitton DA (2010) Expert consensus for the diagnosis and treatment of cystic and alveolar echinococcosis in humans. Acta Trop 114(1):1–16. https://doi.org/10.1016/j.actatropica.2009.11.001CrossRefPubMed
27.
Zurück zum Zitat Kern P, Wen H, Sato N, Vuitton DA, Gruener B, Shao Y et al (2006) WHO classification of alveolar echinococcosis: principles and application. Parasitol Int 55(Suppl):S283–S287. https://doi.org/10.1016/j.parint.2005.11.041CrossRefPubMed
28.
Zurück zum Zitat Kadry Z, Renner EC, Bachmann LM, Attigah N, Renner EL, Ammann RW, Clavien PA (2005) Evaluation of treatment and long-term follow-up in patients with hepatic alveolar echinococcosis. Br J Surg 92(9):1110–1116. https://doi.org/10.1002/bjs.4998CrossRefPubMed
29.
Zurück zum Zitat Stojkovic M, Junghanss T, Veeser M, Weber TF, Sauer P (2016) Endoscopic treatment of biliary stenosis in patients with alveolar echinococcosis—report of 7 consecutive patients with serial ERC approach. PLoS Negl Trop Dis 10(2):e4278. https://doi.org/10.1371/journal.pntd.0004278CrossRefPubMedPubMedCentral
30.
Zurück zum Zitat Ambregna S, Koch S, Sulz MC, Gruner B, Ozturk S, Chevaux JB et al (2017) A European survey of perendoscopic treatment of biliary complications in patients with alveolar echinococcosis. Expert Rev Anti Infect Ther 15(1):79–88. https://doi.org/10.1080/14787210.2017.1252260CrossRefPubMed
31.
Zurück zum Zitat Müller S, Ghafoor S, Meyer Zu Schwabedissen C, Grimm F, Murray FR, Husmann L et al (2023) Management of biliary obstruction in patients with newly diagnosed alveolar echinococcosis: a Swiss retrospective cohort study. Swiss Med Wkly 153:40116. https://doi.org/10.57187/smw.2023.40116CrossRefPubMed
32.
Zurück zum Zitat Burkert S, Peters L, Bloehdorn J, Grüner B (2022) Salvage therapy for alveolar echinococcosis—A case series. Pathogens. https://doi.org/10.3390/pathogens11030333CrossRefPubMedPubMedCentral
33.
Zurück zum Zitat Torgerson PR, Schweiger A, Deplazes P, Pohar M, Reichen J, Ammann RW et al (2008) Alveolar echinococcosis: from a deadly disease to a well-controlled infection. Relative survival and economic analysis in Switzerland over the last 35 years. J Hepatol 49(1):72–77. https://doi.org/10.1016/j.jhep.2008.03.023CrossRefPubMed
34.
Zurück zum Zitat Koch S, Bresson-Hadni S, Miguet JP, Crumbach JP, Gillet M, Mantion GA et al (2003) Experience of liver transplantation for incurable alveolar echinococcosis: a 45-case European collaborative report. Transplantation 75(6):856–863. https://doi.org/10.1097/01.Tp.0000054230.63568.79CrossRefPubMed
35.
Zurück zum Zitat Casulli A, Abela-Ridder B, Petrone D, Fabiani M, Bobic B, Carmena D et al (2023) Unveiling the incidences and trends of the neglected zoonosis cystic echinococcosis in Europe: a systematic review from the MEmE project. Lancet Infect Dis 23(3):e95–e107. https://doi.org/10.1016/S1473-3099(22)00638-7CrossRefPubMed
36.
Zurück zum Zitat Paternoster G, Boo G, Wang C, Minbaeva G, Usubalieva J, Raimkulov KM et al (2020) Epidemic cystic and alveolar echinococcosis in Kyrgyzstan: an analysis of national surveillance data. Lancet Glob Health 8(4):e603–e611. https://doi.org/10.1016/S2214-109X(20)30038-3CrossRefPubMed
37.
Zurück zum Zitat Brunetti E, Tamarozzi F (2023) Watch-and-wait approach for inactive echinococcal cysts: scoping review update since the issue of the WHO-IWGE Expert Consensus and current perspectives. Curr Opin Infect Dis 36(5):326–332. https://doi.org/10.1097/qco.0000000000000943CrossRefPubMedPubMedCentral
38.
Zurück zum Zitat Stojkovic M, Rosenberger K, Kauczor HU, Junghanss T, Hosch W (2012) Diagnosing and staging of cystic echinococcosis: how do CT and MRI perform in comparison to ultrasound? PLoS Negl Trop Dis 6(10):e1880. https://doi.org/10.1371/journal.pntd.0001880CrossRefPubMedPubMedCentral
39.
Zurück zum Zitat Tamarozzi F, Silva R, Fittipaldo VA, Buonfrate D, Gottstein B, Siles-Lucas M (2021) Serology for the diagnosis of human hepatic cystic echinococcosis and its relation with cyst staging: A systematic review of the literature with meta-analysis. PLoS Negl Trop Dis 15(4):e9370. https://doi.org/10.1371/journal.pntd.0009370CrossRefPubMedPubMedCentral
40.
Zurück zum Zitat Mönnink GLE, Stijnis C, van Delden OM, Spijker R, Grobusch MP (2021) Percutaneous versus surgical interventions for hepatic cystic echinococcosis: a systematic review and meta-analysis. Cardiovasc Intervent Radiol 44(11):1689–1696. https://doi.org/10.1007/s00270-021-02911-4CrossRefPubMedPubMedCentral