Zum Inhalt

Dermatoskopie bei entzündlichen Dermatosen

  • Open Access
  • 02.06.2025
  • Originalie
Erschienen in:

Zusammenfassung

Das klassische Anwendungsgebiet der Dermatoskopie ist die Unterscheidung und korrekte Klassifizierung unterschiedlicher gut- und bösartiger Hauttumoren (melanozytär und nichtmelanozytär). In der letzten Dekade sind zahlreiche weitere Indikationen hinzugekommen, sodass die Dermatoskopie mittlerweile auch regelhaft in der allgemeinen Dermatologie, also bei nichtneoplastischen Dermatosen, verwendet wird. Eine der ersten Indikationen waren hierbei entzündlichen Dermatosen (Inflammoskopie). Es ist dermatoskopisch möglich, entzündliche Erkrankungen sicher voneinander zu unterscheiden. Darüber hinaus liefert sie auch wertvolle Hinweise, um das Therapieansprechen frühzeitig zu beurteilen.
QR-Code scannen & Beitrag online lesen

Hinweis des Verlags

Der Verlag bleibt in Hinblick auf geografische Zuordnungen und Gebietsbezeichnungen in veröffentlichten Karten und Institutsadressen neutral.
Die ersten Berichte über den Einsatz der Dermatoskopie liegen mehr als 100 Jahre zurück und datieren aus dem Jahr 1920. Sie stammen von Johann Saphier, der unterschiedliche – auch entzündliche – Hautveränderungen mithilfe eines binokulären Mikroskops untersuchte. Seither hat die Dermatoskopie eine rasante Weiterentwicklung durchlaufen und gilt heute als Standardinstrument in der dermatologischen Praxis – hier vor allem in der Unterscheidung und korrekten Klassifizierung von pigmentierten und unpigmentierten Hauttumoren. Daneben wird diese Technik mittlerweile auch in der Diagnostik von entzündlichen Dermatosen (Inflammoskopie), Nagelerkrankungen (Onychoskopie), Haarerkrankungen (Trichoskopie), Schleimhautläsionen (Mukoskopie) und parasitären Erkrankungen (Entomodermoskopie) eingesetzt [111].
Der Begriff „Inflammoskopie“ beschreibt die Dermatoskopie von entzündlichen Hauterkrankungen wie etwa der Psoriasis, dem Lichen ruber planus, dem Lupus erythematodes oder der Pityriasis rosea [1217]. In Analogie zur Musteranalyse bei melanozytären Tumoren hat man sich auch hier auf eine standardisierte Terminologie geeinigt und verwendet 5 Grundmuster zur Klassifizierung von entzündlichen Hauterkrankungen [15]:
  • Gefäße (Morphologie und Verteilung)
  • Schuppen (Farbe und Verteilung)
  • Follikuläre Strukturen (Verhornung, Pigmentierung)
  • „Andere Strukturen“ (Farbe, Morphologie)
  • Spezifische Clues
Dieser Artikel soll einen Überblick über die Dermatoskopie ausgewählter entzündlicher Erkrankungen geben.

Psoriasis

Die Psoriasis ist eine sehr häufige Dermatose, die etwa 2 % der Bevölkerung betrifft. Klinisch werden unterschiedliche Varianten unterschieden, die sich unter anderem hinsichtlich ihrer Lokalisation und Verlaufsform unterscheiden. Auch wenn die Diagnose häufig klinisch gestellt wird, kann die Dermatoskopie bei untypischen oder unklaren Befunden wertvolle Hinweise liefern.
Die klassische Psoriasis vulgaris präsentiert sich klinisch mit scharf begrenzten erythematosquamösen Plaques. Dermatoskopisch finden sich hier typischerweise regelmäßig angeordnete Punktgefäße (lineares oder zirkuläres Muster), die sich auf einem rosafarbenen Hintergrund abbilden. Außerdem gehören weiße Schuppen, die sich entweder im Zentrum der Läsion befinden oder fleckförmig über diese verteilt sind, zum klassischen dermatoskopischen Bild (Abb. 1; [1416, 18]). Interessant sind die Daten einer retrospektiven Auswertung, die das Vorhandensein der weißen Schuppung mit der Körperregion korrelierte [19]. Diese fand man bei allen Läsionen der Kopfhaut und palmoplantar sowie nahezu immer im Gesicht. Im Falle einer Psoriasis inversa konnte sie in nur 13,2 % nachgewiesen werden und niemals bei genitalen Läsionen. Die regelmäßig verteilten Punktgefäße wurden in nahezu allen Psoriasisherden ungeachtet der Lokalisation zu finden.
Abb. 1
Klassische Psoriasisplaque mit regelmäßig verteilten Punktgefäßen sowie einer zentralen silbrig-weißen Schuppung auf einem rosafarbenen Hintergrund
Bild vergrößern
Neben ihrem Einsatz in der Diagnostik der Psoriasis kann man sie auch zur Beurteilung des Therapieerfolgs verschiedener lokaler und systemischer Therapien einsetzen [2022]. In einer Arbeit [20] wurden die Patienten mit einer Schmalband-UVB-Therapie über 8 Wochen, in der anderen mit einem Calcipotriol/Betamethason-haltigen Schaum über 4 Wochen [21] behandelt. In beiden Fällen waren glomeruläre Gefäße signifikant mit einem schlechten therapeutischen Ansprechen korreliert, während Punktgefäße mit einem sehr guten therapeutischen Ansprechen assoziiert waren. Außerdem konnte gezeigt werden [21], dass die Persistenz von Gefäßen innerhalb der Psoriasisläsionen nach 4 Wochen Therapie signifikant mit Rezidiven einherging.
Das Wissen um therapieassoziierte dermatoskopische Muster unterstützt die individuelle Therapiewahl
Da zunehmend Biologika in der Therapie der Psoriasis eingesetzt werden, hat man auch hier versucht, dermatoskopische Muster zu finden, die mit einem Therapieansprechen korrelieren [22]. 75 Patienten wurden mit Adalimumab, Etanercept, Infliximab oder Ustekinumab behandelt. Eine Zielläsion pro Patient an Stamm oder Extremitäten wurde im Rahmen der 4 Studienvisiten (Erstvisite, Visiten nach 1 Monat, nach 2 Monaten und nach 6 Monaten) beurteilt. Es wurde gezeigt, dass regulär verteilte Gefäße mit keinem Therapieansprechen, knäuelartig verteilte Gefäße mit einem partiellen und das Fehlen von Gefäßen mit einem kompletten Therapieansprechen korrelieren.
Es konnte auch nachgewiesen werden, dass hämorrhagische Punkte, die unter derartigen Therapien auftreten, ein valider Hinweis und früher prädiktiver Marker für ein gutes klinisches Ansprechen sind.
Das Wissen um klinische und dermatoskopische Muster, die mit einem guten und schlechten Ansprechen auf eine topische oder systemische Behandlung korrelieren, ist für die Wahl der individuellen Therapie und einen rechtzeitigen Therapiewechsel relevant.

Ekzematöse Dermatitis

Bei Ekzemen finden sich dermatoskopisch ebenfalls Gefäße, die – im Gegensatz zur Psoriasis – fleckförmig über die Läsionen verteilt sind und sich auf einem gelblich-roten Hintergrund abbilden. Die Schuppung hat ebenfalls einen eher gelblichen Farbton und ist fleckig über die Läsion verteilt (Abb. 2; [1416]).
Abb. 2
Bild einer ekzematösen Dermatitis. Im Gegensatz zur Psoriasis sind die Gefäße und auch die Schuppung fleckförmig über die Läsion verteilt. Die Läsionen haben zudem einen eher gelblich-roten Farbton
Bild vergrößern

Pityriasis rosea

Klinisch finden sich bei der Pityriasis rosea („Röschenflechte“) unterschiedlich große, längliche, disseminiert entlang der Hautspaltlinien verteilte, rosafarbene, schuppende Plaques („Tannenbaummuster“). Die typische Primärplaque am Stamm zeigt die charakteristische nach innen gerichtete Schuppenkrause („Collerette“). Im Unterschied zur Psoriasis oder Ekzemen sind hier Gefäße dermatoskopisch meistens nicht zu sehen oder nur lose verteilte Punktgefäße. In Analogie zum klinischen Bild findet man zudem die randständige, durchsichtig weiße Schuppung auf einem rötlich-hautfarbenen Hintergrund (Abb. 3; [1416]).
Abb. 3
Die Pityriasis rosea zeigt die charakteristische nach innen gerichtete, randständige, durchsichtig weiße Schuppung („Collerette“) auf einem rötlich-hautfarbenen Hintergrund. Im Unterschied zur Psoriasis oder Ekzemen sind hier Gefäße dermatoskopisch meistens nicht zu sehen oder nur lose verteilte Punktgefäße
Bild vergrößern

Lichen ruber planus und Erythema dyschronicum perstans

Der Lichen ruber planus ist klinisch durch seine typischen halbkugeligen, polygonalen livid-rötlichen, lackartig glänzenden Papeln charakterisiert, die sehr stark jucken. Durch Konfluenz können sich große Plaques bilden. In manchen Fällen treten die Effloreszenzen generalisiert auf (Lichen ruber exanthematicus). Sehr typisch sind auch netzartig angeordnete, weiße, nicht wegwischbare Streifen, die besonders an den hautnahen Schleimhäuten sichtbar sind (Wickham-Streifen).
In der Dermatoskopie findet man peripher angeordnete Punkt- und Haarnadelgefäße auf einem rötlich-violetten Hintergrund. Zudem das Netzwerk aus weißen Streifen und typischerweise keine Schuppen (Abb. 4; [1416]). Die Wickham-Streifung ist Ausdruck einer fokalen Verbreiterung des Stratum granulosum und pathognomonisch für das Vorliegen eines Lichen ruber planus. Somit ist dermatoskopisch die Abgrenzung zu anderen entzündlichen Dermatosen sicher möglich, auch wenn keine Schleimhautveränderungen vorliegen.
Abb. 4
Beim Lichen ruber planus erkennt man peripher angeordnete Punkt- und Haarnadelgefäße auf einem rötlich-violetten Hintergrund; zudem das Netzwerk aus weißen Streifen (Wickham-Streifen) und typischerweise keine Schuppen
Bild vergrößern
Die typisch perlweiße Wickham-Streifung kann aber stark variieren, insbesondere bei Personen der Hauttypen V und VI nach Fitzpatrick. Eine Fallserie an 5 Patienten [23] konnte nachweisen, dass die Streifen bei diesen beiden Hauttypen auch verschiedene Farben („Regenbogenmuster“) oder blau-weiße Areale zeigen können. Zudem wurden in den Läsionen keine vaskulären Strukturen gefunden.
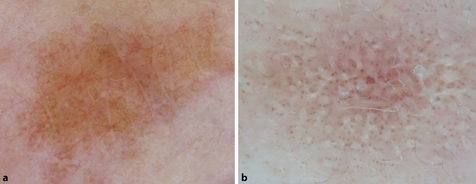
Das Erythema dyschronicum perstans („ashy dermatosis“) tritt meist bei dunkelhäutigen Personen auf und wird als Endzustand eine Lichen ruber exanthematicus oder eines lichenoiden Arzneimittelexanthems diskutiert. Je nach dermatoskopischem Bild sind Aussagen über die Persistenz der postinflammatorischen Hyperpigmentierung möglich. Eine strukturlose braune Pigmentierung ohne granuläre Strukturen spricht eher für eine schnelle Abheilung. Graue Maculae mit graubraunen Punkten und Globuli (dermalen Melanophagen entsprechend), die entweder längs oder clusterartig in einigen Arealen der Wickham-Streifung angeordnet sind („ashy holes“), deuten auf einen längeren Verlauf hin (Abb. 5; [2426]).
Abb. 5
Mithilfe der Dermatoskopie sind Aussagen über die Persistenz der postinflammatorischen Hyperpigmentierung beim Erythema dyschronicum perstans möglich. Während eine strukturlose braune Pigmentierung ohne granuläre Strukturen eher für eine schnelle Abheilung spricht (a), deuten graue Maculae mit graubraunen Punkten und Globuli auf einen längeren Verlauf hin (b)
Bild vergrößern

Pityriasis rubra pilaris

Die Pityriasis rubra pilaris (RPR) ist eine seltene Hauterkrankung, die sich klinisch typischerweise mit follikulären keratotischen Pfropfen, rötlich-orangefarbenen Plaques und palmoplantarer Hyperkeratose präsentiert. Durch Konfluenz der Plaques kann das klinische Bild bis hin zur Erythrodermie reichen. Nicht pathognomisch, aber sehr typisch sind Inseln unbefallener Haut („Nappes chlaires“) [27]. In manchen Fällen, gerade bei atypischen Präsentationen, ist die klinische und histopathologische Abgrenzung zu einer Psoriasis herausfordernd.
Es sind einige typische dermatoskopische Muster beschrieben, die diese Unterscheidung erleichtern [27]. Bei der RPR finden sich charakteristisch rundlich-ovale rötlich-gelbe Areale mit follikulären Pfropfen und einem zentralen Haar sowie perifollikuläre gelbliche Halos. Während zahlreiche Punktgefäße das dermatoskopische Bild der Psoriasis prägen, kommen diese bei einer RPR nicht vor. Man findet hier vereinzelt unterschiedliche Gefäße (vorwiegend lineäre), welche die Papeln und Plaques umgeben [16, 27].

Entzündliche Dermatosen des Gesichts

Entzündliche Dermatosen des Gesichts können sich klinisch sehr ähnlich präsentieren, sodass auch hier spezifische dermatoskopische Muster die Differenzierung erleichtern sollen [16, 28].

Rosazea

Die Rosacea erythematosa-telenagiectatica ist die am besten untersuchte Form. Ein spezifisches und nahezu immer vorhandenes Muster besteht aus lineären Gefäßen, die ein polygonal-vieleckiges Bild ergeben (vaskuläre Polygone). Zusätzlich kann man Rosetten, weißlich-gelbe Schuppen und erweiterte Follikel finden – diese Muster sind aber wenig spezifisch. Vaskuläre Polygone gemeinsam mit Pusteln und orangefarbenen strukturlosen Arealen charakterisieren das dermatoskopische Bild der papulopustulösen und granulomatösen Rosazea [16, 28].

Seborrhoische Dermatitis

Ähnlich wie auch andere Ekzemformen zeigt die seborrhoische Dermatitis fleckförmig über die Läsionen verteilte Punktgefäße sowie gelbliche Schuppen, die sich auf einem rötlich-gelben Hintergrund abbilden. Seltener finden sich auch verzweigte Gefäße (insbesondere an der Kopfhaut) und unspezifische Muster wie weiße Areale und follikuläre Pfropfen [16, 28].

Demodikose

Die Demodikose ist eine noch häufig unterschätzte entzündliche Erkrankung des Gesichts und stellt eine wichtige Differenzialdiagnose zur Rosazea und der seborrhoischen Dermatitis dar. Charakteristisch ist das Vorliegen des Demodex-Schwanzes, einer weißen follikulären Masse. Er entspricht einer Mischung aus keratotischem Material und Milben in den Haarfollikeln. Ein weiteres typisches Merkmal ist die Demodex-Follikelöffnung, die sich als weißlich-gelbe follikuläre Masse, die von einem roten Hof umgeben ist, präsentiert [16, 28].

Diskoider Lupus erythematodes

Das klinische und dermatoskopische Bild des diskoiden Lupus erythematodes ist abhängig vom Krankheitsstadium. Frühe Läsionen zeigen weiße Schuppen und unterschiedliche Muster an den Follikeln. Zum einen rote follikuläre Punkte mit perifollikulären Höfen (umgekehrtes Erdbeermuster) oder follikuläre weißlich-gelbe keratotische Pfropfen. Der Hintergrund der Läsionen ist üblicherweise rot. Vor allem im Randbereich können Gefäße unterschiedlicher Morphologie (Punktgefäße, lineär-irreguläre Gefäße und/oder verzweigte Gefäße) zusätzlich sichtbar sein.
Im Gegensatz hierzu erkennt man in späten Stadien weiße strukturlose Areale, Haarverlust und ebenfalls oben erwähnte unterschiedliche Gefäße [16, 28].

UV-Dermatoskopie

Eine recht neue Weiterentwicklung der konventionellen Dermatoskopie ist die ultraviolett-induzierte Fluoreszenz Dermatoskopie („ultraviolet-induced fluorescence dermoscopy“, UVFD). Hierbei wird eine UV-Lichtquelle (365 nm) verwendet, um auf Basis des Stokes-Shift-Phänomens die Fluoreszenz durch Hautchromophore sichtbar zu machen. Dadurch sollen UV-induzierte Floreszenzen sichtbar gemacht werden und die Unterscheidung unterschiedlicher Dermatosen erleichtert werden [29]. Es seien hier beispielhaft die papulosquamösen Dermatosen dargestellt. Während die Psoriasis eine rote Fluoreszenz zeigt, ist beim Lichen planus, der Pityriasis rosea und der Pityriasis lichenoides chronica keine Fluoreszenz vorhanden. Die Autoren schlussfolgern, dass die die UVFD die Erkennung und Differenzierung von nichtneoplastischen Dermatosen verbessert. Sie sollte aber stets in Kombination mit der konventionellen Dermatoskopie verwendet werden, um die beste diagnostische Genauigkeit zu erzielen.

Fazit für die Praxis

  • Die Dermatoskopie von entzündlichen Hauterkrankungen (Inflammoskopie) hat Einzug in die klinische Routine gehalten.
  • Es gibt sehr valide dermatoskopische Kriterien für eine Vielzahl von entzündlichen Dermatosen. Somit wird zum einen die diagnostische Genauigkeit erhöht, zum anderen können die verschiedenen Entitäten auch sicher voneinander unterschieden werden.
  • Das Ansprechen unterschiedlicher topischer und systemischer Therapien der Psoriasis kann dermatoskopisch anhand spezieller Muster beurteilt werden.
  • Die Ultraviolett-induzierte Fluoreszenz-Dermatoskopie kann zusätzlich zur konventionellen Dermatoskopie verwendet werden, um die diagnostische Treffsicherheit zu erhöhen.

Einhaltung ethischer Richtlinien

Interessenkonflikt

T. Kränke gibt an, dass kein Interessenkonflikt besteht.
Für diesen Beitrag wurden von den Autor/-innen keine Studien an Menschen oder Tieren durchgeführt. Für die aufgeführten Studien gelten die jeweils dort angegebenen ethischen Richtlinien.
Open Access Dieser Artikel wird unter der Creative Commons Namensnennung 4.0 International Lizenz veröffentlicht, welche die Nutzung, Vervielfältigung, Bearbeitung, Verbreitung und Wiedergabe in jeglichem Medium und Format erlaubt, sofern Sie den/die ursprünglichen Autor(en) und die Quelle ordnungsgemäß nennen, einen Link zur Creative Commons Lizenz beifügen und angeben, ob Änderungen vorgenommen wurden. Die in diesem Artikel enthaltenen Bilder und sonstiges Drittmaterial unterliegen ebenfalls der genannten Creative Commons Lizenz, sofern sich aus der Abbildungslegende nichts anderes ergibt. Sofern das betreffende Material nicht unter der genannten Creative Commons Lizenz steht und die betreffende Handlung nicht nach gesetzlichen Vorschriften erlaubt ist, ist für die oben aufgeführten Weiterverwendungen des Materials die Einwilligung des jeweiligen Rechteinhabers einzuholen. Weitere Details zur Lizenz entnehmen Sie bitte der Lizenzinformation auf http://​creativecommons.​org/​licenses/​by/​4.​0/​deed.​de.

Hinweis des Verlags

Der Verlag bleibt in Hinblick auf geografische Zuordnungen und Gebietsbezeichnungen in veröffentlichten Karten und Institutsadressen neutral.
download
DOWNLOAD
print
DRUCKEN
Titel
Dermatoskopie bei entzündlichen Dermatosen
Verfasst von
Dr. Teresa Kränke
Publikationsdatum
02.06.2025
Verlag
Springer Vienna
Erschienen in
hautnah / Ausgabe 3/2025
Print ISSN: 1866-2250
Elektronische ISSN: 2192-6484
DOI
https://doi.org/10.1007/s12326-025-00722-9
1.
Zurück zum Zitat Saphier J (1920) Die Dermatoskopie. Arch f Dermat 128:1–19CrossRef
2.
Zurück zum Zitat Bahmer FA, Fritsch P, Kreusch J et al Terminology in surface microscopy. Consensus meeting of the Committee on Analytical Morphology of the Arbeitsgemeinschaft Dermatologische Forschung, Hamburg, Federal Republic of Germany, Nov. 17, 1989. J Am Acad Dermatol 1990(23):1159–1162
3.
Zurück zum Zitat Horsch A, Stolz W, Neiss A et al (1997) Improving early recognition of malignant melanomas by digital image analysis in dermatoscopy. Stud Health Technol Inform 43(Pt B):531–535PubMed
4.
Zurück zum Zitat Kittler H, Pehamberger H, Wolff K, Binder M (2002) Diagnostic accuracy of dermoscopy. Lancet Oncol 3:159–165CrossRefPubMed
5.
Zurück zum Zitat Haenssle HA, Krueger U, Vente C et al (2006) Results from an observational trial: digital epiluminescence microscopy follow-up of atypical nevi increases the sensitivity and the chance of success of conventional dermoscopy in detecting melanoma. J Invest Dermatol 126:980–985CrossRefPubMed
6.
Zurück zum Zitat Kittler H (2007) Dermatoscopy: introduction of a new algorithmic method based on pattern analysis for diagnosis of pigmented skin lesions. Dermatopathol Pract Concept 13:
7.
Zurück zum Zitat Argenziano G, Cerroni L, Zalaudek I et al (2012) Accuracy in melanoma detection: a 10-year multicenter survey. J Am Acad Dermatol 67:54–59CrossRefPubMed
8.
Zurück zum Zitat Blum A, Simionescu O, Argenziano G et al (2011) Dermoscopy of Pigmented Lesions of the Mucosa and the Mucocutaneous Junction. Results of a Multicenter Study by the International Dermoscopy Society (IDS). Arch Dermatol 147:1181–1187CrossRefPubMed
9.
Zurück zum Zitat Zalaudek I, Lallas A, Moscarella E et al (2013) The dermatologist’s stethoscope-traditional and new applications of dermoscopy. Dermatol Pract Concept 3:67–71CrossRefPubMedPubMedCentral
10.
Zurück zum Zitat Blum A, Kreusch J, Stolz W et al (2017) Dermatoskopie bei malignen und benignen Hauttumoren – Indikation und standardisierte Terminologie. Hautarzt 68:653–673CrossRefPubMed
11.
Zurück zum Zitat Haensssle HA, Fink C, Stolz W et al (2019) Dermatoskopie in Sonderlokalisationen. Nägel, akrale Haut, Gesicht und Mukosa. CME. Hautarzt 70:295–311CrossRef
12.
Zurück zum Zitat Zalaudek I, Argenziano G, Di Stefani A et al (2006) Dermoscopy in general dermatology. Dermatology 212(1):7–18CrossRefPubMed
13.
Zurück zum Zitat Lallas A, Apalla Z, Lefaki I et al (2012) Dermoscopy of discoid lupus erythematosus. Br J Dermatol 168(2):282–288
14.
Zurück zum Zitat Lallas A, Kyrgidis A, Tzellos TG et al (2012) Accuracy of dermoscopic criteria for the diagnosis of psoriasis, dermatitis, lichen planus and pityriasis rosea. Br J Dermatol 166(6):1198–1205CrossRefPubMed
15.
Zurück zum Zitat Errichetti E, Zalaudek I, Kittler H et al (2020) Standardization of dermoscopic terminology and basic dermoscopic parameters to evaluate in general dermatology (non-neoplastic dermatoses): An expert consensus meeting on behalf of the International Dermsocopy Society. Br J Dermatol 182(2):454–467CrossRefPubMed
16.
Zurück zum Zitat Erichetti E (2019) Dermoscopy of inflammatory dermatoses (Inflammoscopy): An up-to-date overview. Dermatol Pract Concept 9(3):169–180CrossRef
17.
Zurück zum Zitat Lallas A, Argenziano G, Zalaudek I et al (2016) Dermoscopic hemorrhagic dots: an early predictor of response of psoriasis to biologic agents. Dermatol Pract Concept 6(4):7–12CrossRefPubMedPubMedCentral
18.
Zurück zum Zitat Lallas A, Apalla Z, Tzellos T, Lefaki I (2012) Photoletter to the editor: Dermoscopy in clinically atypical psoriasis. J Dermatol Case Rep 6(2):61–62CrossRefPubMedPubMedCentral
19.
Zurück zum Zitat Lallas A, Apalla Z, Argenziano G et al (2014) Dermoscopic pattern of psoriatic lesions on specific body sites. Dermatology 228(3):250–254CrossRefPubMed
20.
Zurück zum Zitat Errichetti E, Stinco G (2018) Clinical and dermoscopic response predictors in psoriatic patients undergoing narrowband ultraviolet B phototherapy: results from a prospective study. Int J Dermatol 57(6):681–686CrossRefPubMed
21.
Zurück zum Zitat Errichetti E, Croatto M, Arnoldo L, Stinco G (2020) Plaque-type psoriasis treated with calcipotriene plus betamethasone dipropionate aerosol foam: A prospective study on clinical and dermoscopic predictor factors in response achievement and retention. Dermatol Ther 10(4):757–767CrossRef
22.
Zurück zum Zitat Lallas A, Argenziano G, Zalaudek I et al (2015) Dermoscopic hemorrhagic dots: an early predictor of response of psoriasis to biologic agents. Dermatol Pract Concept 6(4):7–12
23.
Zurück zum Zitat Garcia Garcia B, Munguia-Calzada P, Auban-Pariente J et al (2019) Dermoscopy of lichen planus: Vascular und Wickham striae variations in the skin of color. Australas J Dermatol 60(4):301–304CrossRefPubMed
24.
Zurück zum Zitat Zalaudek I, Argenziano G (2006) Dermoscopy subpatterns of inflammatory disorders. Arch Dermatol 142(6):808CrossRefPubMed
25.
Zurück zum Zitat Vázquez-López F, Vidal AM, Zalaudek I (2010) Dermoscopic subpatterns of ashy dermatosis related to lichen planus. Arch Dermatol 146(1):110CrossRefPubMed
26.
Zurück zum Zitat Portela PS, Melo DF, Ormiga P et al (2013) Dermoscopy of lichen aureus. An Bras Dermatol 8(2):253–255CrossRef
27.
Zurück zum Zitat Jha AK, Lallas A, Sonthalia S et al (2018) Differentiation of pityriasis rubra pilaris from plaque psoriasis by dermoscopy. Dermatol Pract Concept 8(4):299–302CrossRefPubMedPubMedCentral
28.
Zurück zum Zitat Lallas A, Argenziano G, Apalla Z et al (2014) Dermoscopic patterns of common facial inflammatory skin diseases. J Eur Acad Dermatol Venereol 28(5):609–614CrossRefPubMed
29.
Zurück zum Zitat Errichetti E, Pietkiewicz P, Bhat YJ et al (2025) Diagnostic accuracy of ultraviolet-induced fluorescence dermoscopy in non-neoplastic dermatoses (general dermatology): A multicentric retrospective comparative study. J Eur Acad Dermatol Venereol 39(1):97–108CrossRefPubMed