Zum Inhalt

Der abdominale Ultraschall in der Gynäkologie

  • Open Access
  • 01.12.2020
  • Tipps & Tricks im Gyn-Ultraschall
Erschienen in:
Seit ihrer Verbreitung Mitte der 1980er-Jahre hat die Vaginalsonde eine derart dominante Rolle im gynäkologischen Ultraschall bekommen, dass die Fertigkeit, auch von abdominal Informationen über das weibliche Genital zu bekommen, in Vergessenheit zu geraten droht.
In der Kinder- und Jugendgynäkologie, aber auch bei jungen Frauen mit Migrationshintergrund und entsprechend hohem Stellenwert des intakten Hymens kann der Abdominalultraschall der einzige Weg sein, in kritischen Situationen Informationen über Uterus und Adnexe zu gewinnen. Aus diesem Grund empfiehlt es sich, keine Gelegenheit vorbeigehen zu lassen, um vor oder nach der Durchführung eines Vaginalschalls im Praxis- und Ambulanzalltag den Situs auch noch von abdominal zu schallen. Nur so hat man dann, wenn man auf den Abdominalschall angewiesen ist, das Wissen und die Sicherheit, um die Methode entsprechend ihrer diagnostischen Kapazität auszunützen.

Hierfür 10 Tipps

Anatomisch richtig einstellen

Wie beim Vaginalschall brauchen Sie ein Schema, in dem Sie schallen und dokumentieren. Beschriftungen im Bild für die Fotodokumentation, einschließlich der Seitenangabe bei Ovarien, sind dabei keine Schande. Der Uterus ist meist auch abdominal gut zu erkennen, ein stimuliertes Ovar mit Follikeln kann oft recht gut, ein postmenopausales Ovar kann gar nicht abgrenzbar sein (Abb. 1). Benennen Sie im Zweifel besser keine Darmschlinge als Ovar!
Abb. 1
Abdominalschall bei 16-jähriger Patientin mit prämenstruellen Schmerzen. Das hoch aufgebaute Endometrium mit 10 mm ist gut erkennbar. Ein Beharren auf einer wesentlich volleren Blase (wie in Abb. 2) würde kaum eine Befunderweiterung bringen
Bild vergrößern

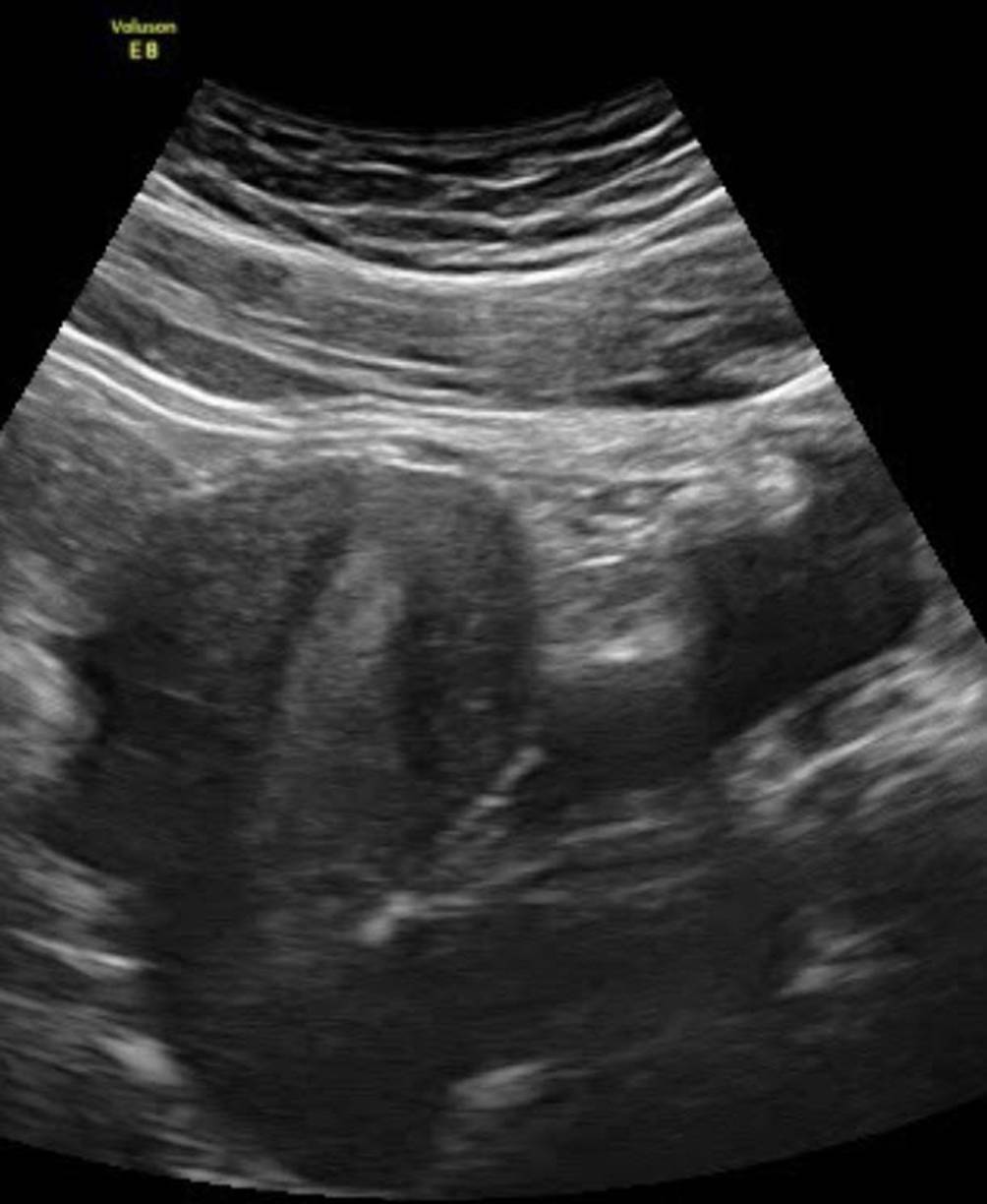
Kein Zwang zur vollen Harnblase!

Eine sehr volle Harnblase der Patientin galt vor der Verbreitung des Vaginalschalls als das ideale „Fenster“ für den gynäkologischen Abdominalschall und damit als Verpflichtung für die Patientin. Dies hatte bei den Ultraschallgeräten im letzten Jahrhundert auch seine Richtigkeit, mittlerweile sind die Geräte so gut geworden, dass man nicht mehr penetrant darauf bestehen muss. Eine sehr volle Blase ist für die Patientin während der Untersuchung ausgesprochen unangenehm, sie schafft auch eine Distanz zwischen dem Schallkopf und dem Untersuchungsobjekt, dem Uterus und den Ovarien (Abb. 2). Außerdem kann die lange Flüssigkeitsstrecke zu Reverberationen, Verschattungen und Artefakten im Untersuchungsgebiet führen. Wenig sinnvoll ist es, die Patientin trinken zu lassen und eine Viertelstunde später erneut zu schallen: Die Flüssigkeit im Dünndarm führt dann zu einem noch ungenaueren Bild im kleinen Becken.
Abb. 2
Eine übervolle Blase – wie in diesem Bild – führt dazu, dass das Endometrium wesentlich schlechter abgrenzbar ist
Bild vergrößern

Spiralen sind unsere besten Freunde

Wer im gynäkologischen Ultraschall (abdominal wie vaginal) noch unsicher ist, hat vor allem durch Kupfer-IUD eine große Hilfe bei der Orientierung [1]. Dies gilt auch für die Anwendung der 3‑D-Option von abdominal, wobei sich die Presets für das erste Schwangerschaftstrimenon bei den meisten Geräten als ideal erweisen (Abb. 3a, b).
Abb. 3
Nicht ganz im Fundus uteri lokalisierte Kupferspirale im B‑Mode-Schall (a) und im 3‑D-Schall (b), jeweils von abdominal
Bild vergrößern

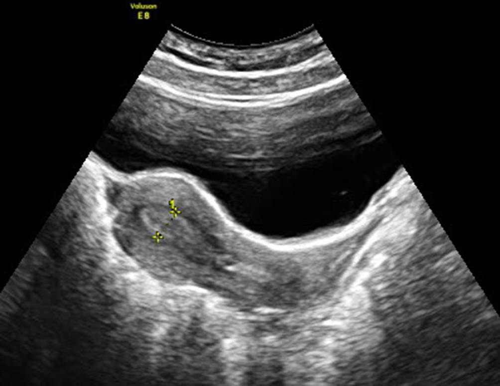
Nicht jeder weiße Streifen ist ein Endometrium

Aber meistens zum Glück doch: Es hilft bei der Längsorientierung des Uterus, vor allem bei jugendlichen Patientinnen mit prämenstruellen Schmerzen (Abb. 4). Die Demarkierung von Myomen und Adenomyoseherden kann im Abdominalschall stärker als weißer Streifen imponieren, als man dies von den differenzierteren Einstellungen des Vaginalschalls gewohnt ist. Auch Dermoidzysten können markante echodense Streifen haben, die nicht dazu führen dürfen, die Zyste als Uterus anzusprechen (Abb. 5).
Abb. 4
Uterus bei 14-jähriger Patientin in der zweiten Zyklushälfte mit ausreichender Blasenfüllung. Das Endometrium ist mit 9 mm gemessen
Bild vergrößern
Abb. 5
Dermoidzyste im linken Adnexbereich von abdominal. Der echodense Streifen stellte sich dann als die für Dermoide typischen Haarbüschel heraus
Bild vergrößern

3-D funktioniert auch im Abdominalschall

Lassen Sie das Potenzial Ihres Geräts nicht ungenutzt! Uterusfehlbildungen sind im B‑Mode nur mit großem Geschick, Erfahrung und Glück zu erkennen, während dies im 3‑D-Schall auch von abdominal meist rasch und einfach gelingt (Abb. 6). Auch bei der Differenzierung von Adnexzysten ist der 3‑D-Schall hilfreich (Abb. 7). In stimulierten Zyklen, wenn es um die Entscheidung geht, ob und wann die Ovulation medikamentös ausgelöst werden soll, ist zwar grundsätzlich der Vaginalschall zu bevorzugen, da er durch die kürzeren Abstände und meist höhere Auflösung wesentlich präziser ist. Kann aber nur der Abdominalschall zum Einsatz kommen, bringt die 3‑D-Funktion eine wertvolle Befunderweiterung und eine klinische Entscheidungshilfe (Abb. 8a, b).
Abb. 6
Komplett septierter Uterus (U2 nach ESHRE) bzw. partieller Uterus septus (V nach AFS) im Abdominalschall mit 3‑D-Funktion
Bild vergrößern
Abb. 7
Multilokuläre Zyste (nach IOTA) mit mehreren Septen und Maximaldurchmesser von 4 cm im Abdominalschall. Das 3‑D-Bild hilft bei der Bildung eines plausiblen Gesamteindrucks
Bild vergrößern
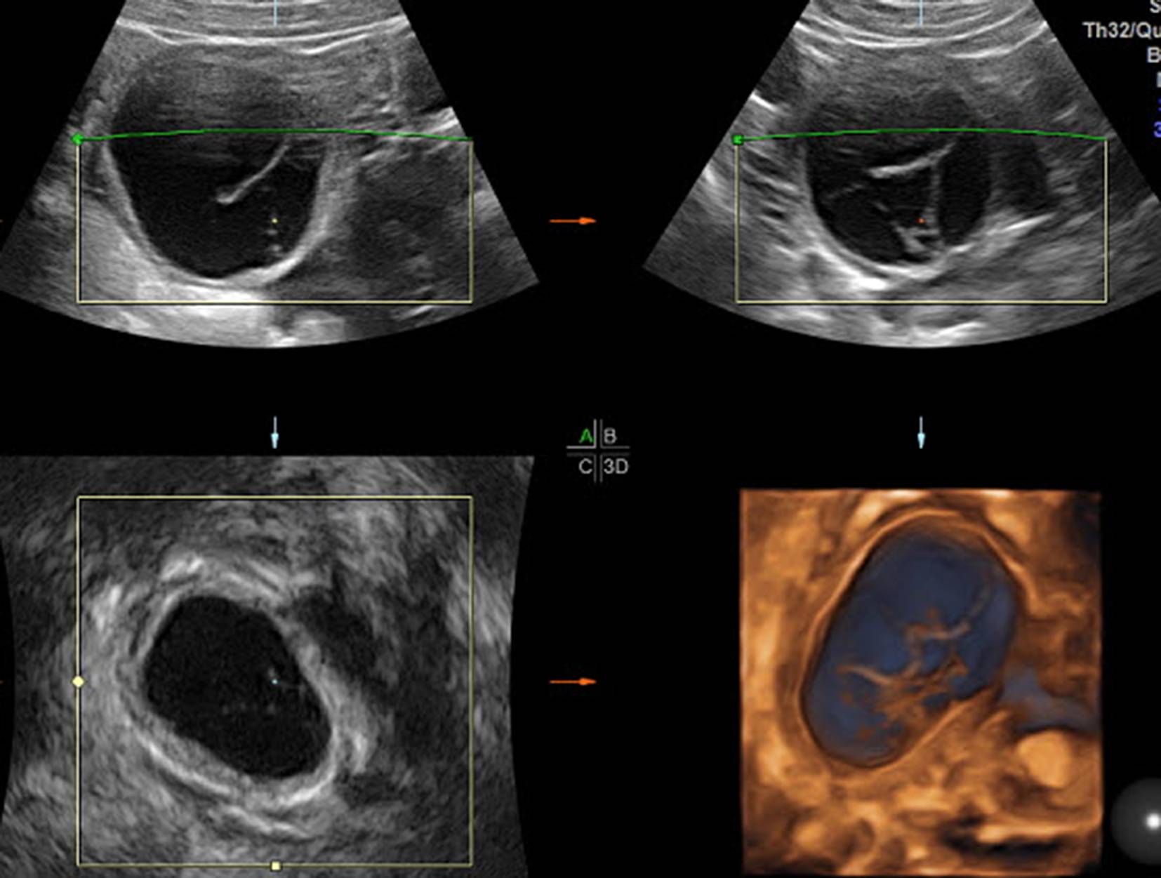
Abb. 8
a Medikamentös stimuliertes Ovar am 12. Zyklustag mit einem 15 mm-Follikel von abdominal geschallt. b Die Anwendung des 3‑D-Schalls zeigt die im B‑Mode nicht so gut erkennbaren Follikel und hilft bei der Entscheidung, ob in diesem Zyklus eine Ovulation ausgelöst werden soll oder nicht
Bild vergrößern

Zysten messen und beschreiben – genauso wie im Vaginalschall

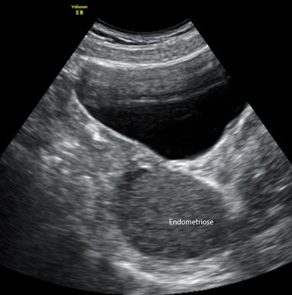
Adnexzysten gilt es zunächst möglichst in drei Ebenen auszumessen und ihren Inhalt zu beschreiben. Für eine einheitliche Befundsprache sollten die IOTA-Kriterien zur Anwendung kommen [2]. Wenn eine vaginale Ultraschalluntersuchung nicht möglich ist, so muss man versuchen, mithilfe des Abdominalschalls die Zyste so präzise wie möglich zu beschreiben. Endometriosezysten (Abb. 9), Dermoidzysten (Abb. 10) und alle weiteren zystischen Strukturen sehen im Abdominalschall nicht so viel anders aus als von vaginal. Meist sind sie weniger gut abgrenzbar, wie oben angeführt kann dabei der 3‑D-Schall eine große Hilfe sein (Abb. 11).
Abb. 9
Endometriosezyste von abdominal mit homogener „ground glass appearance“
Bild vergrößern
Abb. 10
Dermoidzyste mit mehreren unregelmäßig verteilten echodensen Bereichen von abdominal
Bild vergrößern
Abb. 11
Unilokuläre Zyste nach IOTA von abdominal geschallt mit 3‑D-Funktion
Bild vergrößern

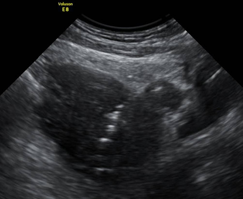
Nicht jedes erkennbare Ovar einer Jugendlichen ist gleich ein PCO!

Mädchen nach Menarche haben im Ultraschall oft gut abgrenzbare Ovarien mit mehreren Follikeln (Abb. 12). Dieses Bild verleitet immer wieder – auf Basis der fast 20 Jahre alten Rotterdam-Kriterien – zu einer voreiligen Verwendung der Bezeichnung PCO und einer entsprechenden Befundmitteilung. Bereits ein kurzes Suchen in einer Internetsuchmaschine am Handy löst bei den betroffenen Mädchen und ihren Müttern Panik aus. PCO ist eine komplexe metabolische Störung, keine Ultraschallschnelldiagnose [3]!
Abb. 12
Normales Ovar einer 13-jährigen Patientin, die mit Verdacht auf PCO zugewiesen wurde, im Abdominalschall
Bild vergrößern

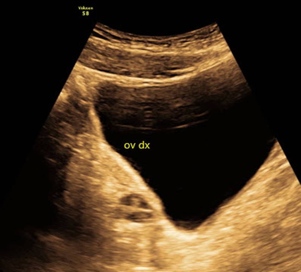
Auch außerhalb des kleinen Beckens schallen

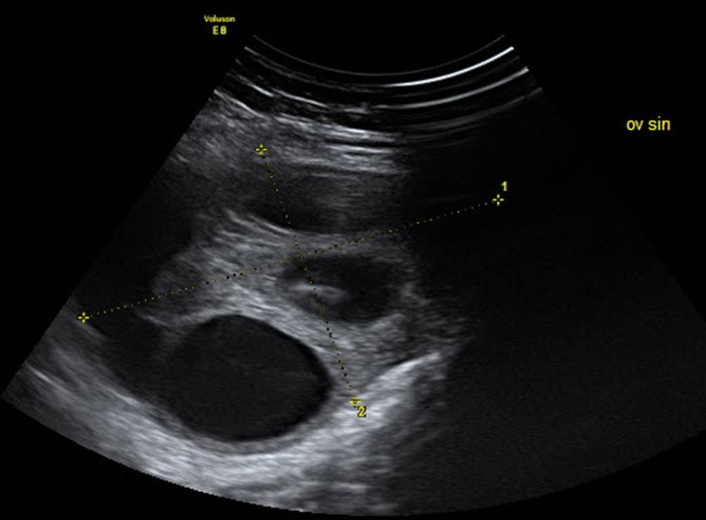
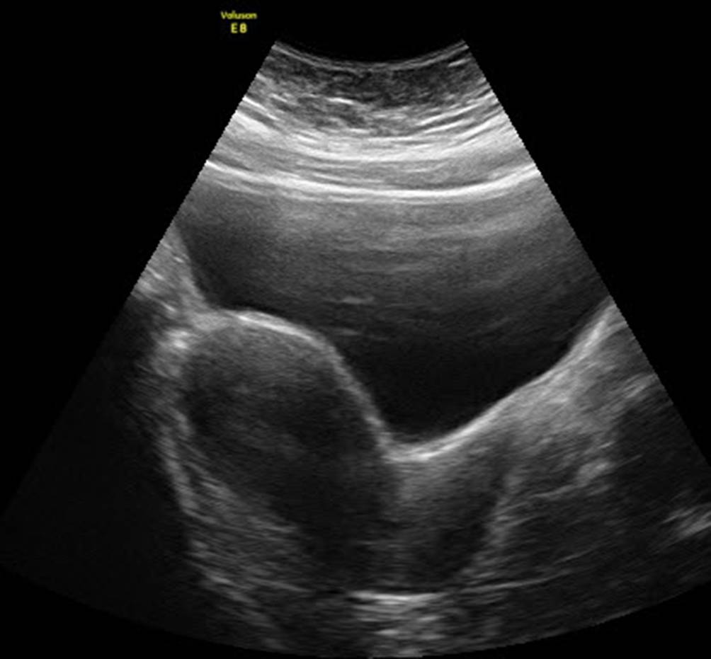
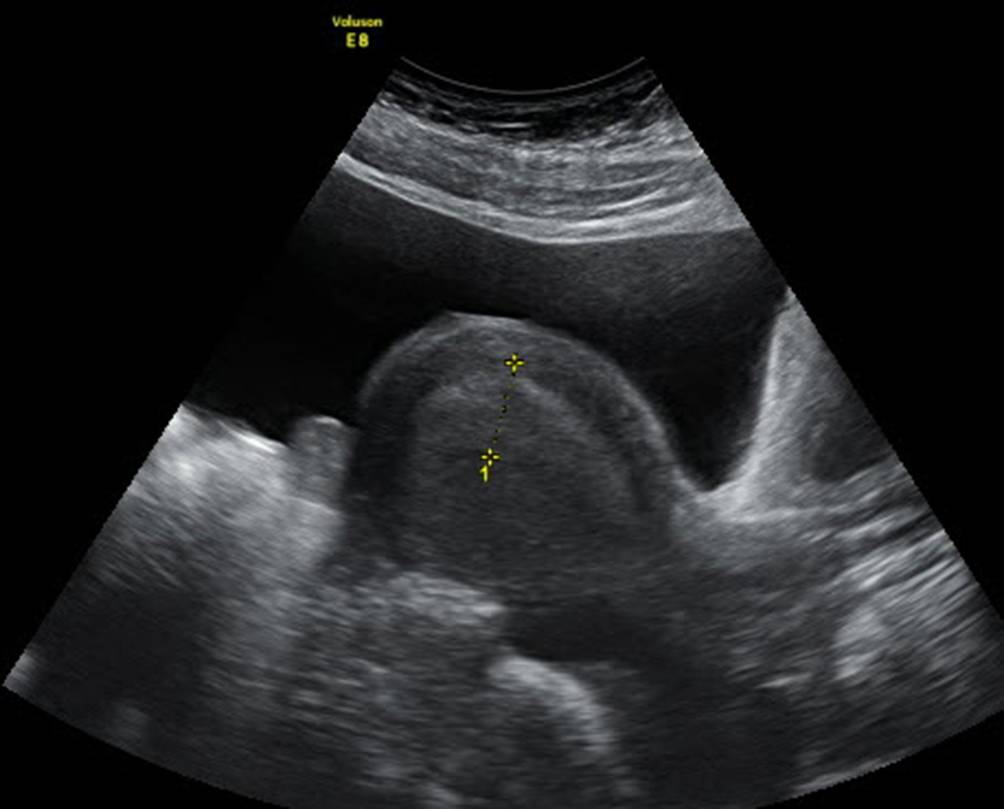
Das ovarielle Hyperstimulationssyndrom (OHSS) ist dank der heutigen Stimulationsprotokolle selten geworden, daher ist es sehr wahrscheinlich, dass es – wenn es doch einmal auftritt – ÄrztInnen einer Notaufnahme noch nie zuvor gesehen haben. Markant vergrößerte Ovarien und eine Flüssigkeitsansammlung in der Bauchhöhle sind ein wesentliches Charakteristikum des OHSS (Abb. 13). Der mit der Vaginalsonde einsehbare Bereich ermöglicht keine verlässliche Einschätzung des Volumens der freien Flüssigkeit. Daher muss fast zwangsläufig die Abdominalsonde verwendet werden. Wichtig ist eine standardisierte und gut dokumentierte Messung (Abb. 14). Den Schallkopf im rechten Oberbauch so einstellen, dass man den Unterrand der Leber sieht (Abb. 15): Eine Serie von Messungen an dieser Stelle gibt die verlässlichste Information, ob ein OHSS-Aszites über Tage zunimmt, konstant bleibt oder abnimmt [4]. Es besteht die Möglichkeit, die Menge der freien Flüssigkeit in den vier Quadranten des Abdomens zu addieren und – ähnlich dem Amniotic-fluid-Index im Schwangerenultraschall – aus den einzelnen Messstrecken einen Aszitesindex zu dokumentieren [5]. Nützlich ist es auch, sich von Kollegen, die z. B. als Gastroenterologen täglich im Oberbauch ultraschallen, einige Tipps geben zu lassen und deren Leitlinien zur Asziteskontrolle und Punktion zu beachten [6].
Abb. 13
Überstimuliertes Ovar mit Maximallänge 8 cm von abdominal
Bild vergrößern
Abb. 14
Uterus mit Aszites bei OHSS, die Endometriumdicke wird mit 15 mm gemessen
Bild vergrößern
Abb. 15
Rechter Oberbauch mit Aszites bei OHSS. Die Messung der Flüssigkeit erfolgt auf Höhe des unteren Leberrands
Bild vergrößern
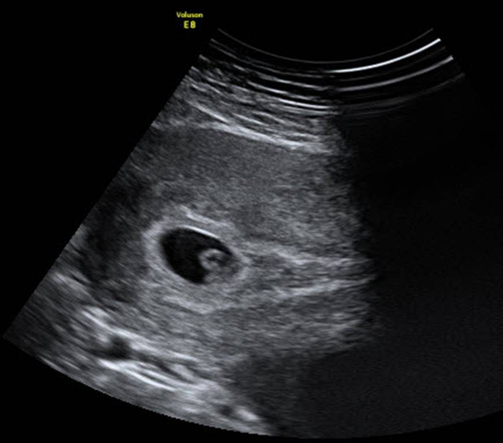
Abb. 16
Dottersack und Embryo mit 8 mm Scheitel-Steiß-Länge im Abdominalschall. Auch wenn der Vaginalschall in der Frühschwangerschaft wesentlich präziser ist, empfiehlt es sich, den Abdominalschallkopf zur Hand zu nehmen und den Uterus sowie den Adnexbereich beidseits durchzumustern
Bild vergrößern

Abdominaler „Sicherheitsschall“

In der Frühschwangerschaft vor oder nach dem Vaginalschall: Sie sehen, wo der Fruchtsack im Uterus liegt, Sie bemerken rechtzeitig Zysten im Adnexbereich (Abb. 16). Auf die seltenen zervikalen und cornualen Schwangerschaften wird man auch eher mit der Abdominalsonde aufmerksam als von vaginal. Auch eine intakte intrauterine Schwangerschaft schließt eine extrauterine Schwangerschaft nicht aus: Heterotope Schwangerschaften sind selten, entdeckt werden sie eher, wenn im Anschluss an den Vaginalschall der Frühschwangerschaft noch einmal mit der Abdominalsonde „drübergeschaut“ wird.

Stellen Sie sich das passende Preset für abdominalen Gyn-Schall ein

Die Werkseinstellungen sind oft sehr grobkörnig. Manchmal geben Presets aus den Pregnancy-Modulen oder den Oberbauchmodulen der Internisten und Kinderärzte wesentlich bessere Bilder von Uterus und Ovarien. Setzen Sie sich in einer ruhigen Stunde mit der Bedienungsanleitung ans Gerät oder lassen Sie sich die Presets vom Servicetechniker erklären und einstellen!
Ultraschallen lernt man nur durch Ultraschallen! Das gilt für den Abdominalschall genauso wie für den Vaginalschall, für den Schwangerenschall genauso wie für den gynäkologischen Schall. Legen Sie sich Ihr privates Logbuch an Befunden an, zu denen Sie die Verläufe kennen!

Einhaltung ethischer Richtlinien

Interessenkonflikt

C. Brezinka gibt an, dass kein Interessenkonflikt besteht.
Für diesen Beitrag wurden vom Autor keine Studien an Menschen oder Tieren durchgeführt. Für die aufgeführten Studien gelten die jeweils dort angegebenen ethischen Richtlinien.
Open Access Dieser Artikel wird unter der Creative Commons Namensnennung 4.0 International Lizenz veröffentlicht, welche die Nutzung, Vervielfältigung, Bearbeitung, Verbreitung und Wiedergabe in jeglichem Medium und Format erlaubt, sofern Sie den/die ursprünglichen Autor(en) und die Quelle ordnungsgemäß nennen, einen Link zur Creative Commons Lizenz beifügen und angeben, ob Änderungen vorgenommen wurden.
Die in diesem Artikel enthaltenen Bilder und sonstiges Drittmaterial unterliegen ebenfalls der genannten Creative Commons Lizenz, sofern sich aus der Abbildungslegende nichts anderes ergibt. Sofern das betreffende Material nicht unter der genannten Creative Commons Lizenz steht und die betreffende Handlung nicht nach gesetzlichen Vorschriften erlaubt ist, ist für die oben aufgeführten Weiterverwendungen des Materials die Einwilligung des jeweiligen Rechteinhabers einzuholen.
Weitere Details zur Lizenz entnehmen Sie bitte der Lizenzinformation auf http://creativecommons.org/licenses/by/4.0/deed.de.

Hinweis des Verlags

Der Verlag bleibt in Hinblick auf geografische Zuordnungen und Gebietsbezeichnungen in veröffentlichten Karten und Institutsadressen neutral.
download
DOWNLOAD
print
DRUCKEN
Titel
Der abdominale Ultraschall in der Gynäkologie
Verfasst von
Ao. Univ.-Prof. Dr. Christoph Brezinka
Publikationsdatum
01.12.2020
Verlag
Springer Vienna
Erschienen in
Gynäkologie in der Praxis / Ausgabe 4/2020
Print ISSN: 3005-0758
Elektronische ISSN: 3005-0766
DOI
https://doi.org/10.1007/s41974-020-00164-6
1.
Zurück zum Zitat Brezinka C (2019) Die richtig und die falsch liegende Spirale. J Gynäkol Endokrinol AT 29:55–58CrossRef
2.
Zurück zum Zitat Knafel A, Banas T, Nocun A et al (2016) Prospektive externe Validierung der „International Ovarian Tumor Analysis (IOTA) Simple Rules“ durch Level I und II Untersucher. Ultraschall Med 37:516–523PubMed
3.
Zurück zum Zitat Brezinka C (2017) Wann ist PCO wirklich PCO? J Gynäkol Endokrinol AT 11:26–28
4.
Zurück zum Zitat Battaglia C, Mancini F, Persico N, Zaccaria V, de Aloysio D (2004) Ultrasound evaluation of PCO, PCOS and OHSS. Reprod Biomed Online 9:614–619CrossRef
5.
Zurück zum Zitat Szkodziak P, Czuczwar P, Pyra K et al (2018) Ascites Index—an attempt to objectify the assessment of ascites. J Ultrason 18:140–147CrossRef
6.
Zurück zum Zitat Gerbes AL, Gulberg V, Sauerbruch T et al (2011) S‑3 Leitlinie Ascites, spontan bakterielle Peritonitis, hepatorenales Syndrom. Z Gastroenterol 49:749–779CrossRef