Zum Inhalt

Das Corpus luteum im gynäkologischen Ultraschall

  • Open Access
  • 01.06.2020
  • Tipps & Tricks im Gyn-Ultraschall
Erschienen in:

Hinweis des Verlags

Der Verlag bleibt in Hinblick auf geografische Zuordnungen und Gebietsbezeichnungen in veröffentlichten Karten und Institutsadressen neutral.
Durch sein oft dramatisches Erscheinungsbild im Ultraschall, gekoppelt mit einer eindrucksvollen Vaskularisation im Farbdoppler, ist das Corpus luteum der häufigste Grund für Zuweisungen wegen Verdacht auf einen malignen Ovarialtumor. Wissen um die dynamische Entwicklung des Corpus luteum (CL) – das im Falle einer Schwangerschaft als Corpus luteum graviditatis eine Lebenszeit von bis zu 8 Wochen haben kann – und die höchst unterschiedlichen sonographischen Bilder helfen maßgeblich bei der Vermeidung von beunruhigenden Fehldiagnosen und unnötigen Eingriffen.
Das Corpus luteum (CL) ist die abwechslungsreichste und damit auch die potenziell verwirrendste Struktur im gynäkologischen Ultraschall. Unmittelbar nach der Ovulation beginnt in den Strukturen des bisherigen Follikels ein intensiver Prozess der Luteogenese – die Granulosa- und Thekazellen verändern sich, die Vaskularisation in diesem Bereich nimmt massiv zu. All dies hat große Auswirkungen auf das Bild, das man im Ultraschall von einem Ovar in der zweiten Zyklushälfte bekommt. Es gibt kein „typisches“ Corpus-luteum-Bild, es ist gerade die große Variabilität, auch bei derselben Patientin im Lauf der zweiten Zyklushälfte und erst recht in verschiedenen Zyklen, die prägend für die Sonomorphologie des CL ist. Nur wenn die Patientin in einem Kinderwunschprogramm ist und wenige Tage zuvor im Vaginalultraschall ein dominanter Follikel an einem Ovar gesehen wurde, wird man die Nachfolgestruktur an derselben Seite auch eindeutig als Corpus luteum ansprechen können. Dabei können mehrere Erscheinungsbilder unterschieden werden:
a)
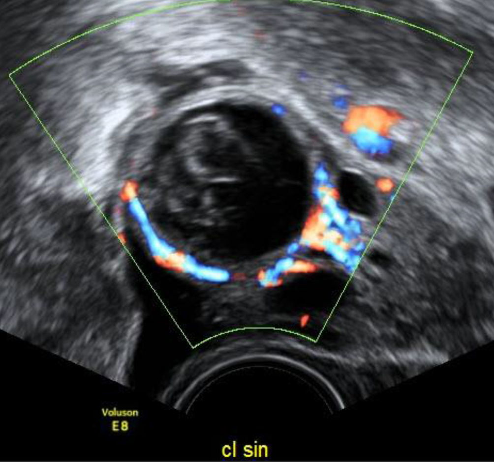
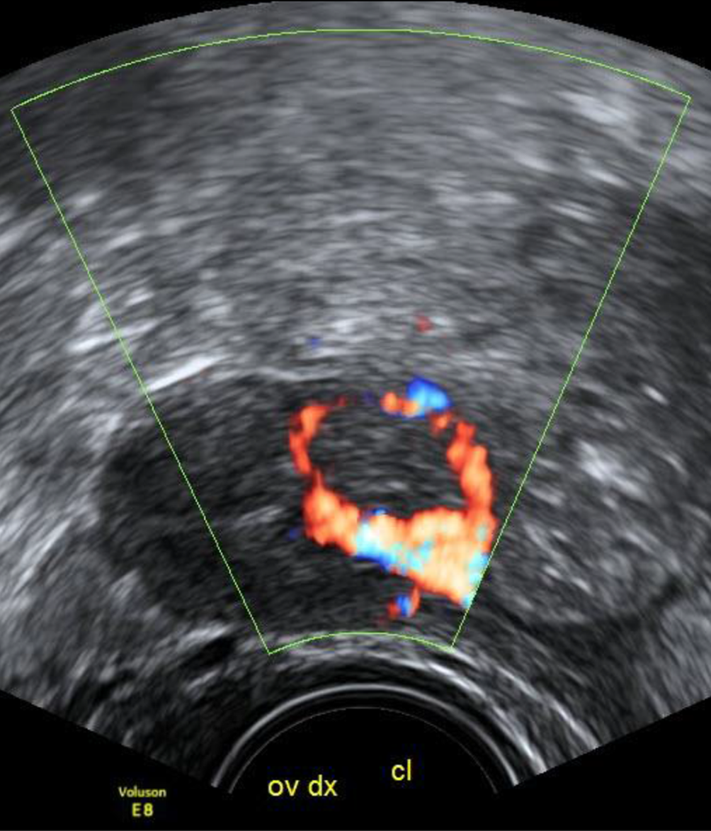
Das Corpus luteum unterscheidet sich nicht vom Ovarparenchym, erst wenn man den Farbdoppler aktiviert, zeigt sich ein zirkulärer „ring of fire“ (Abb. 1).
 
b)
Der rupturierte Follikel füllt sich in den Stunden nach der Ovulation mit Blut: dies führt zu mäßig bis stark echodensen, meist nur diffus abgegrenzten Strukturen im Inneren (Abb. 2).
 
c)
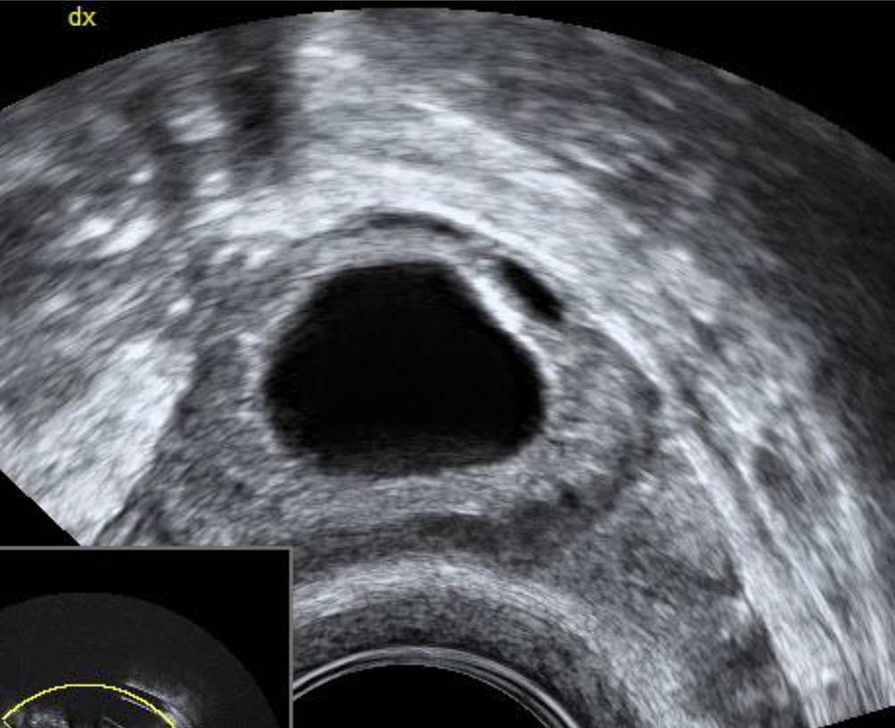
Es werden wenige oder gar keine Koagel gesehen, dafür eine „central fluid-filled cavity“ (CFFC), ein flüssigkeitsgefüllter Raum im Zentrum des Corpus luteum, der über einige Tage bestehen kann. Dieser Befund wird von manchen Autoren auch als „follicular refilling“ bezeichnet, da in solchen Fällen das Corpus Luteum wie ein präovulatorischer Follikel aussehen kann (Abb. 3 und 4). Bei einer Nachfolgeuntersuchung einige Tage später sind diese Strukturen meist kleiner.
 
Abb. 1
Ein von Erscheinungsbild und Echodensität nicht vom restlichen Ovar zu unterscheidendes Corpus luteum zeigt sich im Farbdoppler durch die markante zirkuläre Vaskularisation, den „ring of fire“
Bild vergrößern
Abb. 2
Die Einblutung in das Corpus luteum fällt als Serie von parallel angeordneten, dünnen, leicht echodensen Streifen auf, die auf das echodensere Fibrin zurückgeführt werden (Größe des CL 22 × 18 mm)
Bild vergrößern
Abb. 3
Dieses Corpus luteum hat eine große „central fluid-filled cavity“ ohne Zeichen von Koageln im Inneren. Dieser Befund wird auch „follicular refilling“ genannt
Bild vergrößern
Abb. 4
In diesem Fall des „follicular refilling“ haben sich Koagel gebildet, die knapp die Hälfte des Flüssigkeitsraums ausfüllen. Sie sind nicht vaskularisiert
Bild vergrößern
Sehr hilfreich ist der Farbdoppler bei der Feststellung eines Corpus luteum – die für die endokrine Aktivität des Organs nötige periphere Vaskularisation zeigt sich in einer meist kreisrunden, 1–2 cm großen charakteristischen Struktur im Ovar – im Ultraschalljargon, seit es den Farbdoppler gibt, als „ring of fire“ bekannt. Diese Vaskularisation nimmt rund 10 Tage nach der Ovulation ab, mit Beginn der Monatsblutung ist sie kaum mehr vorhanden. Solide Strukturen im Inneren der Flüssigkeit kann man nur dann sicher als Koagel beschreiben, wenn sie im Farbdoppler nicht vaskularisiert sind. Wären die echodensen Strukturen innerhalb der Flüssigkeit in Abb. 4 vaskularisiert, müsste die Verdachtsdiagnose auf ein Muzinkystom oder ein Malignom lauten und der Befund müsste nach den IOTA-Kriterien beurteilt werden [1].
Der 3‑D-Ultraschall kann bei der Darstellung des Corpus luteum diagnostisch durchaus hilfreich sein: Die Tomographic-ultrasound-Methode ermöglicht es, in vorher gewählten Abständen bis zu 9 Schnitte des Ovars nebeneinander am Bildschirm darzustellen und sich ein Bild von dem CL innerhalb des Ovars zu machen (Abb. 5). Die Sono-AVC™-Methode hat ihren idealen Einsatz in der ersten Zyklushälfte. Bei einem deutlich flüssigkeitsgefüllten Corpus luteum kann dieses als irregulär umrandete Struktur dargestellt werden (Abb. 6). Die manuelle 3‑D-Darstellung des Corpus luteum mit dem integrierten Grafikprogramm kann nur offline nach der eigentlichen Untersuchung durchgeführt werden. Der diagnostische Mehrwert ist begrenzt (Abb. 7; [2]).
Abb. 5
Mit „tomographic ultrasound imaging“ lassen sich mehrere Bereiche eines Corpus luteum in Schnitten mit vorher festgelegter Größe durchmustern
Bild vergrößern
Abb. 6
Corpus luteum (rot) mit Sono-AVC. Im Gegensatz zu einem kreisrunden präovulatorischen Follikel ist das Corpus luteum längsoval mit lokalen Eindellungen
Bild vergrößern
Abb. 7
Die manuelle 3‑D-Darstellung des Corpus luteum mit dem integrierten Grafikprogramm kann nur offline nach der eigentlichen Untersuchung durchgeführt werden. Der diagnostische Mehrwert ist überschaubar
Bild vergrößern

Der luteinisierte nichtrupturierte Follikel (LUF)

Eine Besonderheit stellt der LUF dar, der „luteinized unruptured follicle. Die Ovulation findet nicht statt und der Follikel bleibt einfach bestehen. Die luteale Konversion findet bei LUF nicht statt, der Follikel wächst im Durchmesser, die Echodensität der Wand nimmt zu, der Gestagenspiegel im Serum nimmt zu, die Körpertemperatur steigt an. Eine Größenzunahme auf bis zu 30–35 mm mit Persistenz in den nächsten Zyklus hinein ist nicht ungewöhnlich – es entsteht eine „Ultraschallzyste“. Diese ist im 3‑D-Schall weniger gezackt und glatter als ein Corpus luteum (Abb. 8). LUF-Zyklen kommen bei 23 % aller Frauen im fertilen Alter und bei 73 % aller Frauen mit Endometriose vor [3]. Eine Assoziation mit über längere Zeit eingenommenen NSAID und speziell COX-II-Hemmern wurde beschrieben [4]. Häufig werden LUF in der Veterinärmedizin beschrieben [5].
Abb. 8
Luteinisierter nichtrupturierter Follikel (LUF) am 30. Zyklustag (Durchmesser 25 mm). Die echodense Wand unterscheidet ihn von einem präovulatorischen Follikel
Bild vergrößern

Das Corpus luteum in die Differenzialdiagnose einbeziehen

Ein Corpus luteum als physiologische Folge eines zur Ovulation herangereiften Follikels ist dann leicht zu diagnostizieren, wenn – meist bei Kinderwunsch – schon in der ersten Zyklushälfte Vaginalultraschalluntersuchungen mit Follikulometrie stattfanden. Dies wird eher die Ausnahme sein, viel häufiger werden mittzyklische Schmerzen die Indikation für den Ultraschall sein, der bei einer meist jungen Patientin häufig in einer Krankenhausnotaufnahme stattfindet. Dort werden dann – oft nur mit Abdominalschall und ohne gynäkologisches Knowhow des ultraschallenden Personals – dramatische Verdachtsdiagnosen geäußert, die wiederum zu vermeidbaren Eingriffen und unnötigen stationären Aufenthalten führen. Bei der Frau im fertilen Lebensalter, die nicht hormonell verhütet, sollte auf jeden Fall der Zykluszeitpunkt berechnet und der Befund eines physiologischen Corpus luteum in die Differenzialdiagnose einbezogen werden.

Einhaltung ethischer Richtlinien

Interessenkonflikt

C. Brezinka gibt an, dass kein Interessenkonflikt besteht.
Für diesen Beitrag wurden vom Autor keine Studien an Menschen oder Tieren durchgeführt. Für die aufgeführten Studien gelten die jeweils dort angegebenen ethischen Richtlinien.
Open Access. Dieser Artikel wird unter der Creative Commons Namensnennung 4.0 International Lizenz veröffentlicht, welche die Nutzung, Vervielfältigung, Bearbeitung, Verbreitung und Wiedergabe in jeglichem Medium und Format erlaubt, sofern Sie den/die ursprünglichen Autor(en) und die Quelle ordnungsgemäß nennen, einen Link zur Creative Commons Lizenz beifügen und angeben, ob Änderungen vorgenommen wurden.
Die in diesem Artikel enthaltenen Bilder und sonstiges Drittmaterial unterliegen ebenfalls der genannten Creative Commons Lizenz, sofern sich aus der Abbildungslegende nichts anderes ergibt. Sofern das betreffende Material nicht unter der genannten Creative Commons Lizenz steht und die betreffende Handlung nicht nach gesetzlichen Vorschriften erlaubt ist, ist für die oben aufgeführten Weiterverwendungen des Materials die Einwilligung des jeweiligen Rechteinhabers einzuholen.
Weitere Details zur Lizenz entnehmen Sie bitte der Lizenzinformation auf http://​creativecommons.​org/​licenses/​by/​4.​0/​deed.​de.

Hinweis des Verlags

Der Verlag bleibt in Hinblick auf geografische Zuordnungen und Gebietsbezeichnungen in veröffentlichten Karten und Institutsadressen neutral.
download
DOWNLOAD
print
DRUCKEN
Titel
Das Corpus luteum im gynäkologischen Ultraschall
Verfasst von
Ao. Univ.-Prof. Dr. Christoph Brezinka
Publikationsdatum
01.06.2020
Verlag
Springer Vienna
Erschienen in
Gynäkologie in der Praxis / Ausgabe 2/2020
Print ISSN: 3005-0758
Elektronische ISSN: 3005-0766
DOI
https://doi.org/10.1007/s41974-020-00139-7
1.
Zurück zum Zitat Timmerman D, Ameye L, Fischerova D, Epstein E, Melis GB, Guerriero S, Van HC, Savelli L, Fruscio R, Lissoni AA, Testa AC, Veldman J, Vergote I, Van HS, Bourne T, Valentin L (2010) Simple ultrasound rules to distinguish between benign and malignant adnexal masses before surgery: prospective validation by IOTA group. BMJ 341:c6839CrossRef
2.
Zurück zum Zitat Brezinka C (2014) 3D ultrasound imaging of the human corpus luteum. Reprod Biol 14:110–114CrossRef
3.
Zurück zum Zitat Bashir ST, Baerwald AR, Gastal MO, Pierson RA, Gastal EL (2018) Follicle growth and endocrine dynamics in women with spontaneous luteinized unruptured follicles versus ovulation. Hum Reprod 33:1130–1140CrossRef
4.
Zurück zum Zitat Micu MC, Micu R, Ostensen M (2011) Luteinized unruptured follicle syndrome increased by inactive disease and selective cyclooxygenase 2 inhibitors in women with inflammatory arthropathies. Arthritis Care Res 63:1334–1338CrossRef
5.
Zurück zum Zitat Miro J, Viles K, Anglada O, Marin H, Jordana J, Crisci A (2015) Color Doppler provides a reliable and rapid means of monitoring luteolysis in female donkeys. Theriogenology 83:485–490CrossRef