Zum Inhalt

Complete remission of disseminated Langerhans cell sarcoma after stem cell transplantation

A case report

  • Open Access
  • 15.01.2020
  • case report
Erschienen in:

Summary

With fewer than 100 cases described in the English literature so far, Langerhans cell sarcoma represents an orphan malignant disease deriving from histiocytic cells. Clinical course is extremely aggressive and associated with poor survival rates, especially in disseminated condition. Herein, we describe the case of a young patient with fulminant development of metastatic Langerhans cell sarcoma, who achieved persistent remission after polychemotherapy and subsequent high-dose chemotherapy with autologous stem cell transplantation.

Publisher’s Note

Springer Nature remains neutral with regard to jurisdictional claims in published maps and institutional affiliations.

Case report

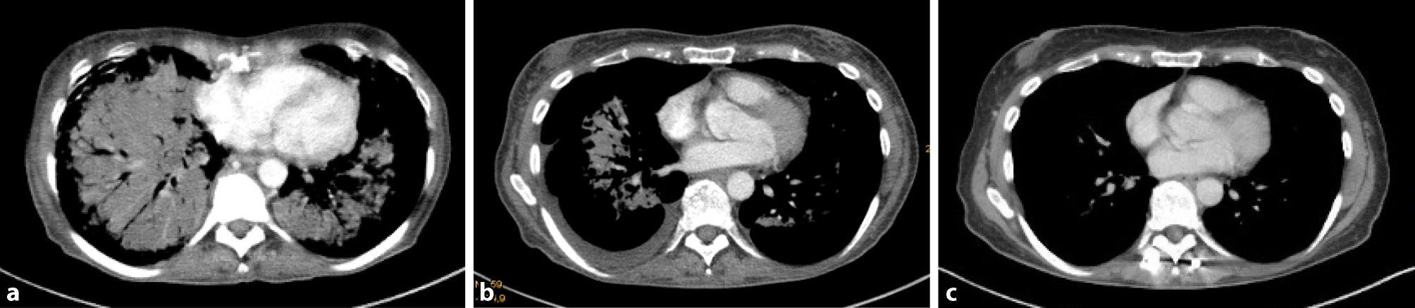
A 55-year-old woman first presented to a different department in August 2017 due to persistent cough with sputum, loss of weight and night sweat since one month. Medical history comprised bronchial asthma and positive smoking status with 15 pack–years. Arterial oxygen saturation was lowered and chest X‑ray revealed micronodular pulmonary lesions atypical for an infection. In the computer tomography (CT) scan of thorax and abdomen multiple, partly confluating lesions in the lungs (Fig. 1a), liver and pancreas were detected, as well as suspicious peritoneal and osseous metastases.
Fig. 1
Course of disease remission delineated by computed tomography of thorax: a at initial diagnosis, disseminated pulmonary metastases; b after one cycle of chemotherapy, partial remission; c one year after high-dose chemotherapy with autologous stem cell transplant, complete remission
Bild vergrößern
In fluorodeoxyglucose positron emission tomography computed tomography (FDG PET CT) neoplastic retention was shown in countless, disseminated pulmonary, peritoneal, osseous and lymphatic lesions (Fig. 2a). Aspiration biopsy from the right lower lobe was conducted by means of bronchoscopy (Fig. 3a). However, cytology could not affirm malignant cells and testing for tumor markers was negative. Finally, a cervical lymph node was extirpated for further analysis. Immunohistochemistry revealed dense foci of CD68-positive histiocytic tumor cells and multinuclear giant cells of Langerhans type (Fig. 3b). Staining for TTF‑1, p40, Melan‑A, HMB45, CD20, CD3, CD21 and CD123 was negative; however S100 and CD1a were positive (Fig. 3c,d). Meeting the criteria of malignant cells, the scarce diagnosis of Langerhans cell sarcoma was made. FoundationOne® analysis revealed genomic alterations in MAP2K1 (MEK1), PTEN (loss), CXCR4, FAS (loss exons 2–9), SMARCA4, TNFRSF14 and TP53 without therapeutic implication. Tumor mutation burden (TMB) was low and BRAF was wildtype. Ki-67 accounted for 70% correlating with a rapid clinical course of disease. A transfer to our department took place after lymph node extirpation. From date of first presentation to introduction of therapy (lagtime 40 days), the patient developed an oxygen demand of six liters per minute.
Fig. 2
Course of disease remission delineated by whole body fluorodeoxyglucose positron emission tomography: a at initial diagnosis, disseminated pulmonary metastases; b after one cycle of chemotherapy, partial remission; c one year after high-dose chemotherapy with autologous stem cell transplant, complete remission
Bild vergrößern
Fig. 3
Langerhans cell sarcoma: a hematoxylin and eosin stain; b lymph node infiltrate with Langerhans cells; c expression of CD1a; d expression of S100
Bild vergrößern
Considering the young patient age, good pre-existing general condition and disseminated illness, we decided for subsequent polychemotherapy and stem cell transplantation. In September 2017, the patient received a preliminary phase with vinblastine (3 mg/m2 on day 1) and dexamethasone (40 mg on days 1–3), followed by primary chemotherapy with six cycles of cyclophosphamide (750 mg/m2 on day 1), doxorubicin (50 mg/m2 on day 1), vincristine (1.4 mg/m2 on day 1), and prednisolone (40 mg/m2 on days 1–5) (CHOP). The first cycle already led to a good partial remission (Fig. 1b and 2b); oxygen demand was reduced to two liters per minute. After reaching complete remission and successful stem cell apheresis, high-dosage therapy with carmustine (300 mg/m2 on day 1), cytarabine (400 mg/m2 on days 2–5), etoposide (200 mg/m2 on days 1–5), and melphalane (120 mg/m2 on day 6) with subsequent autologous stem cell transplantation was administered in May 2018. At the present time, one year later, the patient is in excellent general condition without oxygen demand and complete remission is still persisting (Fig. 1c and 2c).

Critical discussion and review of the literature

Langerhans cell sarcoma (LCS) is a rare malignant disease deriving from antigen-presenting cells within the histiocytic system [1]. Given its extreme scarcity with less than 100 cases reported in the English literature so far, there is a lack of evidence regarding the most appropriate treatment regimen [2].
In contrast to Langerhans cell histiocytosis (LCH), LCS is characterized by an aggressive clinical course and overtly malignant cytologic features [3]. The most frequent sites of presentation are lymph nodes (75%), followed by the skin (50%), lung, liver, and spleen [2]. Langerhans cells typically show longitudinally grooved nuclei and Birbeck granules and are confirmed by positive immunohistochemical staining for CD1a, CD207 (Langerin) and S‑100 protein [4]. Overall survival in patients with LCS is reported for 58% at 1 year and 28% at 5 years. With increase of tumor burden survival rates even deteriorate significantly. Until now, no case achieving 5‑year survival in disseminated disease has been described [2].
As it comes to treatment options (Table 1), multimodality therapy seems to be beneficial. In patients with single-site involvement (33%) or locoregional disease (26%) complete surgical excision is recommended. In case of positive resection margins, immunosuppression, or simultaneous hematological disease, adjuvant chemotherapy or combined chemoradiotherapy seems to be effective. For patients with disseminated disease (41%) high-dose chemotherapy and autologous stem cell transplantation appears to be a reasonable and potentially curative treatment option. However, so far only a few cases of stem cell transplantation in LCS have been reported, three of which achieved complete remission [57].
Table 1
Treatment options. Data adopted from [2]
Treatment modalitya
Proportion of treated patients (%)
Chemotherapy
71
Surgery
47
Radiotherapy
15
Stem cell transplantation
6
No therapy
6
aAlone or in combination

Conclusion

Langerhans cell sarcoma is an extremely rare disease associated with poor clinical outcome. Due to a lack of data, standard treatment regimens have not been established yet. With this case report, we want to emphasize the role of high-dose chemotherapy and autologous stem cell transplantation as a curative treatment option for patients with disseminated disease. In addition, the case supports the necessity for a rapid clarification of diagnosis in such situations.

Conflict of interest

V. Schlintl, K. Schlick, G. Russ, S. Gampenrieder, C. Monzo Fuentes, T. Kos, F. Renneberg, L. Rettenbacher, J. Gradl, K. Sotlar, A. Hoffmann and R. Greil declare that they have no competing interests.
Open Access This article is licensed under a Creative Commons Attribution 4.0 International License, which permits use, sharing, adaptation, distribution and reproduction in any medium or format, as long as you give appropriate credit to the original author(s) and the source, provide a link to the Creative Commons licence, and indicate if changes were made. The images or other third party material in this article are included in the article’s Creative Commons licence, unless indicated otherwise in a credit line to the material. If material is not included in the article’s Creative Commons licence and your intended use is not permitted by statutory regulation or exceeds the permitted use, you will need to obtain permission directly from the copyright holder. To view a copy of this licence, visit http://creativecommons.org/licenses/by/4.0/.

Publisher’s Note

Springer Nature remains neutral with regard to jurisdictional claims in published maps and institutional affiliations.
Download
Titel
Complete remission of disseminated Langerhans cell sarcoma after stem cell transplantation
A case report
Verfasst von
Verena Schlintl
Konstantin Schlick
Gudrun Russ
Simon Peter Gampenrieder
Claudia Monzo Fuentes
Tea Kos
Felix Renneberg
Lukas Rettenbacher
Johann Gradl
Karl Sotlar
Alexander Hoffmann
Univ. Prof. Dr. Richard Greil
Publikationsdatum
15.01.2020
Verlag
Springer Vienna
Erschienen in
memo - Magazine of European Medical Oncology / Ausgabe 1/2020
Print ISSN: 1865-5041
Elektronische ISSN: 1865-5076
DOI
https://doi.org/10.1007/s12254-019-00560-5
1.
Zurück zum Zitat Male D, Brostoff J, Roth DB, Roitt IM. Lymphoid organs immunology. Amsterdam: Elsevier; 2013.
2.
Zurück zum Zitat Howard JE. Langerhans cell sarcoma: a systematic review. Cancer Treat Rev. 2015;41(4):320–31. https://doi.org/10.1016/j.ctrv.2015.02.011.CrossRefPubMed
3.
Zurück zum Zitat Pileri SA, Grogan TM, Harris NL, et al. Tumours of histiocytes and accessory dendritic cells: an immunohistochemical approach to classification from the international lymphoma study group based on 61 cases. Histopathology. 2002;41:1–29.CrossRef
4.
Zurück zum Zitat Jaffe ES, Harris NL, Stein H, Vardiman JW. Pathology and genetics of tumours of haematopoietic and lymphoid tissues. WHO classification of tumours. Lyon: IARC Press; 2001. p. 283.
5.
Zurück zum Zitat Sagransky MJ, Deng AC, Magro CM. Primary cutaneous langerhans cell sarcoma: a report of four cases and review of the literature. Am J Dermatopathol. 2013;35:196–204.CrossRef
6.
Zurück zum Zitat Ratei R, Hummel M, Anagnostopoulos I, et al. Common clonal origin of an acute B‑lymphoblastic leukaemia and a langerhans cell sarcoma: evidence for hematopoietic plasticity. Haematologica. 2010;95:1461–6.CrossRef
7.
Zurück zum Zitat Chung WD, Im SA, Chung NG, Park GS. Langerhans cell sarcoma in two young children: imaging findings on initial presentation and recurrence. Korean J Radiol. 2013;14:520–4.CrossRef