Zum Inhalt

Clip migration into the duodenum after laparoscopic oncological hemicolectomy—a case report

  • Open Access
  • 30.05.2025
  • case report
Erschienen in:
download
DOWNLOAD
print
DRUCKEN
insite
SUCHEN

Summary

Clip migration is a rare but serious complication following laparoscopic procedures. Only isolated case reports of clip migration after colon resections have been published to date. We report a case of migration of a polymer vascular ligature clip into the duodenum in a 40-year-old, otherwise physically fit patient, who presented with acute abdomen 7 months after undergoing laparoscopic right hemicolectomy for cecal cancer. Intraoperatively a clip was found in the duodenal lumen associated with anastomotic stump insufficiency and fistula formation into the duodenum, confirmed by CT scan showing a chronically inflamed intraabdominal cavity resembling an abscess. Nine days after emergency surgery the patient was discharged home and is currently in oncological and clinical remission.

Publisher’s Note

Springer Nature remains neutral with regard to jurisdictional claims in published maps and institutional affiliations.

Introduction

Hemicolectomy with complete mesocolic excision (CME) has become surgical standard in the treatment of right-sided colon cancer [1]. With regard to oncological and clinical outcomes, laparoscopic right hemicolectomy is considered equivalent to the open procedure when performed by experienced surgeons [1]. Clip migration is a rare but serious complication following laparoscopic procedures. To date, only isolated cases have been described in the literature after colorectal surgery [24].
We herein describe a complicated course of treatment following oncological laparoscopic hemicolectomy due to clip migration and local infection, which appears to be a rare or underreported complication and has not yet been reported in the published literature. The case report was prepared in accordance with the CARE guidelines [5].

Case report

During an index colonoscopy due to a positive family history, a broad-based adenoma was identified in the cecum of a 40-year-old male patient by an external endoscopist.
The clinical course and timeline of the case started with tumor removal in our hospital using endoscopic submucosal dissection (ESD). High-grade mucosal dysplasia and a transition to invasive adenocarcinoma were confirmed histologically. Subsequent preoperative staging did not indicate distant metastasis, leading to the recommendation of surgical treatment after discussion in the institution’s interdisciplinary tumor board.
A laparoscopic, oncological right hemicolectomy with CME and reconstruction with an ileotransverse laterolateral anastomosis was performed without initial complications. Vascular supply to the ileocolic artery and vein was managed near their respective origins from the superior mesenteric vessels at the lower edge of the pancreas using polymer clips (GRENA® Ligating Clips L purple; GRENA Ltd. Brentford, UK). The right colonic vessels were dissected during CME, and, due to their small caliber, ligated with a Ligasure® (Medtronic GmbH, 710 Medtronic Parkway, Minneapolis, MN 55432-5604 USA) device.
The final histopathological examination confirmed a moderately differentiated adenocarcinoma of the cecum, immunohistochemically microsatellite-stable, G2, pT2, pN1a (1/46), L0, V0, Pn0, R0 (UICC [Union Internationale Contre le Cancer] stage IIIA). The patient was discharged from the hospital in good overall condition.
Following discussion of his case in the interdisciplinary tumor board and due to nodal positivity, adjuvant combination chemotherapy with capecitabine and oxaliplatin (CAPOX) was initiated for four scheduled cycles over 3 months.
In the further course, the patient presented to our hospital twice due to abdominal pain and increased inflammatory parameters. The CT scan suggested microperforation of the laterolateral ileotransversostomy, necessitating hospitalization with intravenous antibiotics (piperacillin/tazobactam 3 × 4.5 g/day for 10 days). Conservative measures led to a rapid improvement of symptoms.
After receiving the third course of chemotherapy, another increase in infection parameters and abdominal pain occurred. Another CT scan was performed and showed an inflammatory retention between the anastomosis and the duodenum. After yet another course of antibiotics, the inflammatory parameters declined. Chemotherapy was terminated prematurely after the third cycle due to repeated inflammatory complications.
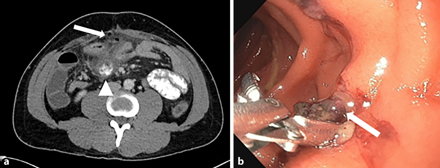
Seven months after the primary operation, the patient again presented to the emergency department with acute and severe abdominal pain. A CT scan (Fig. 1a) now confirmed a free hollow organ perforation with generalized peritonitis. Immediate surgical exploration was indicated. Preoperatively and already under general anesthesia, an esophagogastroduodenoscopy was performed, which revealing a GRENA® clip that had partially migrated into the duodenal lumen (Fig. 1b), causing an intraabdominal fistula from an abscess cavity to the duodenum.
Fig. 1
a Axial CT scan of the abdomen. Arrow showing free air in the abdominal cavity and signs of acute peritonitis. Arrowhead showing inflammatory process suggestive of abscess formation at the duodenum. b Gastroscopic view. Arrow showing the polymer clip protruding into the duodenum at the tip of endoscopic grasper
Bild vergrößern
After subsequent median laparotomy, the clip was removed and an already evacuated abscess cavity between the duodenum and the anastomosis was found along with a small leak at the ileal stump. The fistula into the duodenum was confirmed in simultaneous esophagogastroduodenoscopy.
During surgery the ileocecal stump of the pre-existing anastomosis was shortened. The duodenal fistula was sutured with two rows of absorbable running suture. Due to concomitant adhesive small bowel obstruction with segmental stenosis formation, a small bowel resection was performed. Reconstruction was achieved with a laterolateral ileoileostomy.
The subsequent postoperative course was uneventful. Inflammatory parameters regressed under established intravenous antibiotic therapy, and oral intake of fluids and solid food was resumed. The patient was free of abdominal complaints and was discharged for oncological follow-up. To date, the patient remains free of recurrence or abdominal complaints.

Discussion

Clip migration and subsequent abscess formation following hemicolectomy with CME is an either underreported or very rare complication [24].
The central ligation of vessels using clips is understood to be a safe and established method but can, as demonstrated in this case, cause severe local complications [6, 7]. The choice between using suture ligation, clips with a polymer structure, clips made of titanium or a stapler, or an electronic or ultrasound device for vessel ligation during this common operation currently depends on the operating surgeon’s preference or the institution’s standard operating procedures. To date, no superiority of any of these methods has been demonstrated [6, 8, 9].
However, clip-associated complications can relevantly impede patients’ oncological treatment or force care providers to abandon the scheduled course of management altogether.
Since alternatives to polymer clips for this step of a common surgical procedure are readily available, the benefits of polymer clips should be carefully weighed against potential risks during surgical decision-making.
The pathomechanism of clip migration has not yet been clarified. In the case of hemicolectomy with CME, clip migration into the duodenum could be prompted by the close relationship between the duodenum and the clip, with direct infiltration into the duodenal wall and perforation through the base of an ulcer. Another theory has been formulated in the context of clip migration in cholecystectomy: incorrect clip application or clip slippage could lead to leakage of bile and, triggered by local inflammation, erode the bowel wall and possibly lead to migration [4].
Minvera et al. presented two cases of bowel obstruction and perforation after laparoscopic colon resection 1 year after the initial operation caused by clips dislodged and migrated from the inferior mesenteric artery (IMA). Either because of the short vessel stump, which could lead to slippage in the early postoperative course resulting in bleeding, or because of adherent small bowel movement resulting in dislodging [4].
Clip placement, severe inflammation, or bleeding can provoke clip migration. The rejection reaction caused by foreign material could also represent a relevant pathomechanism [3]. Another theory includes remaining foreign objects such as lost gallstones, gossypiboma, or remaining clips [2]. Komori et al. presented a case of a sterile abscess caused by metal clips after sigmoidectomy due to colon cancer [2]. Contrary to our case, the abscess did not cause a perforation.
If the postoperative course is unremarkable, follow-up care is recommended in accordance with oncological follow-up schedules for these patients, and no specific surgical follow-up care is necessary. In line with the management of the current case, in the case of unclear postoperative findings, we suggest further clarification by means of blood test, computed tomography, and, if necessary, endoscopy to rule out local complications. In view of the small number of cases described, to date, no definitive recommendation for the clinical workup of these patients can be made.
Strongpoints of this case report include the complete workup and documentation of the case and the fact that it is the only described case of clip migration after CME in the published literature. Despite best efforts and meticulous planning, the retrospective nature of case reports, the single patient, and the single-center experience remain limitations of this work.

Conclusion

Clip migration and subsequent abscess formation following hemicolectomy with CME is an either underreported or very rare complication. The method of vessel ligation remains at the operating surgeon’s discretion. If, however, a postoperative complication is suspected, rapid diagnosis and immediate appropriate management are essential. Further studies and reports are necessary before definitive recommendations regarding the best method of vessel ligation and management of complications can be made.

Declarations

Conflict of interest

I. Dornauer, T. Jäger, P. Schredl, I. Mühlbacher, K. Rokitte, K. Emmanuel, J. Holzinger, F. Singhartinger, J.M. Kern, and M. Lechner declare that they have no competing interests. K. Emmanuel is a member of the faculty board in european surgery and recuses himself from every editorial procedure of this submission including peer-review and academic decisions.

Ethical standards

After discussion with the regional ethics committee, formal ethical review and approval are not required for retrospective case reports in accordance with the local legislation and institutional requirements. Informed consent: The patient provided his written informed consent to participate in the workup of this case, including publication of any potentially identifiable images or data included in this article. Written informed consent was obtained from the patient for the scientific use and publication of obtained data.
Open Access This article is licensed under a Creative Commons Attribution 4.0 International License, which permits use, sharing, adaptation, distribution and reproduction in any medium or format, as long as you give appropriate credit to the original author(s) and the source, provide a link to the Creative Commons licence, and indicate if changes were made. The images or other third party material in this article are included in the article's Creative Commons licence, unless indicated otherwise in a credit line to the material. If material is not included in the article's Creative Commons licence and your intended use is not permitted by statutory regulation or exceeds the permitted use, you will need to obtain permission directly from the copyright holder. To view a copy of this licence, visit http://creativecommons.org/licenses/by/4.0/.

Publisher’s Note

Springer Nature remains neutral with regard to jurisdictional claims in published maps and institutional affiliations.
download
DOWNLOAD
print
DRUCKEN
Titel
Clip migration into the duodenum after laparoscopic oncological hemicolectomy—a case report
Verfasst von
I. Dornauer
T. Jäger
P. Schredl
I. Mühlbacher
K. Rokitte
K. Emmanuel
J. Holzinger
F. Singhartinger
J. M. Kern
M. Lechner
Publikationsdatum
30.05.2025
Verlag
Springer Vienna
Erschienen in
European Surgery / Ausgabe 6/2025
Print ISSN: 1682-8631
Elektronische ISSN: 1682-4016
DOI
https://doi.org/10.1007/s10353-025-00878-x
1.
Zurück zum Zitat Leitlinienprogramm Onkologie (Deutsche Krebsgesellschaft, Deutsche Krebshilfe, AWMF). S3-Leitlinie Kolorektales Karzinom, Langversion 2.1, 2019, AWMF Registrierungsnummer: 021/007OL http://www.leitlinienprogrammonkologie.de/leitlinien/kolorektales-karzinom/. Accessed 12 July 2024.
2.
Zurück zum Zitat Komori K, Kimura K, Kinoshita T, Ito S, Abe T, Senda Y, Misawa K, Ito Y, Uemura N, Kawai R, Osawa T, Kawakami J, Asano T, Iwata Y, Kurahashi S, Shimizu Y. Sterile abdominal abscess resulting from remnant laparoscopic clips after sigmoidectomy: a case report and literature review. Asian J Endosc Surg. 2014;7(3):264–6. https://doi.org/10.1111/ases.12112.CrossRefPubMed
3.
Zurück zum Zitat Barabino M, Luigiano C, Piccolo G, Pellicano R, Polizzi M, Giovenzana M, et al. Hem-o-Lok clip migration into the duodenum after laparoscopic digestive surgery: a systematic review. Minerva Chir. 2019;74:496–500. https://doi.org/10.23736/S0026-4733.19.08152-5.CrossRefPubMed
4.
Zurück zum Zitat Nikolopoulos I, Ghananandan J, Kerwat R. Hem-o-lok clip–related complications after colorectal surgery. CRSLS https://doi.org/10.4293/JSLS.2014.00022.
5.
Zurück zum Zitat Rison RA, Kidd MR, Koch CA. The CARE (CAse REport) guidelines and the standardization of case reports. J Med Case Reports. 2013;7:261. https://doi.org/10.1186/1752-1947-7-261.CrossRef
6.
Zurück zum Zitat Rimonda R, Arezzo A, Garrone C, Allaix ME, Giraudo G, Morino M. Electrothermal bipolar vessel sealing system vs. harmonic scalpel in colorectal laparoscopic surgery: a prospective, randomized study. Dis Colon Rectum. 2009;52(4):657–61. https://doi.org/10.1007/DCR.0b013e3181a0a70a.CrossRefPubMed
7.
Zurück zum Zitat Delibegovic S, Iljazovic E, Katica M, Koluh A. Tissue reaction to absorbable endoloop, nonabsorbable titanium staples, and polymer Hem-o-lok clip after laparoscopic appendectomy. JSLS. 2011;15:70–6.CrossRefPubMedPubMedCentral
8.
Zurück zum Zitat Delibegovic S, Iljazovic E, Katica M, Koluh A. Tissue reaction to absorbable endoloop, nonabsorbable titanium staples, and polymer hem-o-lok clip after laparoscopic appendectomy. JSLS. 2011;15:70–6.CrossRefPubMedPubMedCentral
9.
Zurück zum Zitat Rieger NA, Lam FF. Single-incision laparoscopically assisted colectomy using standard laparoscopic instrumentation. Surg Endosc. 2010;24:888–90.CrossRefPubMed