Zum Inhalt

Clinical-Pathological Conference Series from the Medical University of Graz

Case No 160: 33-year-old woman with tetraparesis on Easter Sunday

  • Open Access
  • 01.10.2016
  • Clinical-Pathological Conference
Erschienen in:

Presentation of case

Dr. D. Schiller:
During the preceding 4 weeks the patient noticed progressive weakening in all four extremities, first in the upper extremities and the shoulder girdle and then in the lower extremities, causing three falls during the 2 days before admission on Easter Sunday, when tetraparesis was diagnosed in the emergency room. On admission the patient (height 161 cm, weight 71 kg) was alert, oriented and afebrile. Muscle strength was graded 1–2 (grade 0 = total paralysis, grade 5 = normal muscle contraction against full resistance) in all four extremities. Sensory function was normal in all extremities and cranial nerve function was unremarkable. Blood pressure was 180/100 mmHg with a regular pulse of 88 beats per minute. The rest of the physical examination was normal. The patient denied double vision, dysphagia and dysarthria, myalgia, dysuria, dyschezia and recent trauma (except for the three falls shortly before admission), but she had experienced polyuria for the last 2 years. Arterial hypertension had been diagnosed 4 years previously and treated with carvedilol 25 mg and ramipril/hydrochlorothiazide 5/25 mg q.d. Electrocardiography showed sinus rhythm with normal P waves and QRS complexes but clearly flattened T waves in the presence of U waves. Magnetic resonance imaging (MRI) of the brain, the cervical spine and the medulla was normal. Cerebrospinal fluid analysis did not show pleocytosis or increased protein concentration. Further laboratory results: normal red and white blood cell counts except for neutrophilic granulocytosis (16.8 g/l), sodium 144 mmol/l (normal: 132–145 mmol/l), potassium 1.5 mmol/l (normal: 3.5–5.5 mmol/l), creatinine 0.9 mg/dl (normal: 0.5–0.9 mg/dl), aspartate aminotransferase (AST) 311 U/l (normal: 15–37 U/l), alanine aminotransferase (ALT) 121 U/l (normal: 12–34 U/l), creatine kinase (CK) 11,788 U/l (normal: <145 U/l), plasmatic coagulation parameters and markers of inflammation were all within normal limits.
A panel of diagnostic tests was performed.

Differential diagnosis

Dr. A. Tomaschitz:
When a patient presents with tetraparesis, the physician might primarily suspect a neurological cause or a neurodegenerative disease, such as neurosarcoidosis. Rheumatologic diseases and infections involving the central nervous system (CNS), e.g. human immunodeficiency virus infection, cytomegalovirus infection or tuberculosis would be further considerations. As, however, there is no evidence that any of these apply to our patient, the outstanding laboratory findings of hypokalemia (1.5 mmol/l, normal: 3.5–5.5 mmol/l) and rhabdomyolysis (CK 11,788 U/l, normal: <145 U/l), should be addressed. Typical endocrine conditions presenting with hypokalemia and rhabdomyolysis resulting in tetraparesis include (1) thyrotoxicosis, i.e. thyrotoxic periodic paralysis, which is a rare clinical manifestation of hyperthyroidism and presents with sudden onset of paralysis associated with severe hypokalemia, (2) Cushing syndrome, i.e. hypokalemia due to increased renal potassium excretion caused by the mineralocorticoid effects of cortisol and (3) massive intake of glucocorticoids, which very rarely results in hypokalemic paralysis.
In this hypertensive patient, hyperaldosteronism (primary aldosteronism) should also be considered. Primary aldosteronism is defined as inappropriately high and (relatively or absolutely) autonomous aldosterone secretion, which is not adequately suppressed by sodium loading [1]. The clinical features of primary aldosteronism are caused by hypersecretion of aldosterone and increased activation of the mineralocorticoid receptor (MR) in the distal nephron. Importantly, the MR is additionally expressed in a variety of epithelial and non-epithelial extrarenal tissues, such as endothelial cells, vascular smooth muscle cells, cardiac myocytes, endothelial progenitor cells and neutrophils [2]. Both (1) the increased aldosterone-MR mediated renal effects (leading to moderate sodium and water retention and excessive potassium excretion) and (2) aldosterone-MR and direct aldosterone mediated (MR-independent and non-genomic) vascular effects (contributing to e.g. vascular stiffening and endothelial dysfunction) result in arterial hypertension and, variably, hypokalemia [35]. Only 9–37 % of patients with primary aldosteronism present with hypokalemia, so that it is not essential for diagnosing aldosterone excess [6]. In severe cases of primary aldosteronism, hypokalemia may be expressed as muscle weakness, particularly in the lower extremities, muscle spasms, palpitations and, rarely, hypokalemic paralysis [7], which might indeed be responsible for our patient’s tetraparesis.
Primary aldosteronism is the most common curable form of arterial hypertension and is reported in approximately 5–10 % of hypertensive patients and in approximately 20 % of those with documented treatment-resistant hypertension [8, 9]. Our patient is young and has a medical history of hypertension obviously resistant to antihypertensive drugs, both of which are important diagnostic clues for primary aldosteronism. In primary aldosteronism, younger hypertensive patients often respond poorly to angiotensin-converting enzyme inhibitors, angiotensin receptor blockers, calcium channel blockers and beta-blockers [10]. The use of different drugs, as in the discussed case, suggests primary aldosteronism.
Due to increased renal loss of H+ ions, alkalosis is often observed in primary aldosteronism and hypokalemia followed by secondary hyperparathyroidism due to the hypercalciuric effects of aldosterone is also a common feature of the disease. Unfortunately, the protocol does not include any data on the patient’s acid-base balance and serum calcium levels.
Taken together, severe hypokalemia and hypokalemic paralysis in a young patient with a medical history of treatment-resistant hypertension strongly suggest the diagnosis of primary aldosteronism. As the family history was negative for primary aldosteronism in this case, sporadic forms, i. e. idiopathic unilateral or bilateral adrenal hyperplasia and aldosterone-producing adenomas (Conn syndrome), which is the more severe variant of primary aldosteronism, have to be considered. For biochemical confirmation of the clinical suspicion of primary aldosteronism, the aldosterone to renin ratio (ARR) would have to be determined.

Dr. A. Tomaschitz’s diagnosis

Hypokalemic paralysis due to primary aldosteronism, most likely Conn syndrome.

Discussion of case

Dr. D. Schiller:
When this patient arrived in the emergency room with tetraparesis, several differential diagnoses were considered, including polymyositis, acute intermittent porphyria, polyneuropathy due to thiamine deficiency, a space-occupying lesion in the brain, compression of the spinal cord, myasthenia gravis, botulism and trauma. Polymyositis would have been accompanied by characteristic dermatological features but these were not observed. Acute intermittent porphyria can sometimes lead to paralysis but typically presents with abdominal pain, which was not the case. Malnutrition and alcoholism can cause thiamine deficiency subsequently leading to encephalopathy and polyneuropathy. As malnutrition and encephalopathy were not present in our patient, thiamine deficiency seemed unlikely to have caused tetraparesis. MRI showed no cerebral space-occupying lesion or spinal cord compression. Guillain-Barré syndrome could be excluded by normal cerebrospinal fluid findings. All these neurological considerations could be set aside after the serum potassium level of 1.5 mmol/l was reported with some delay, as the laboratory staff had found the initial result implausible and repeated the analysis.
This very low serum potassium level led to the diagnosis of hypokalemic paralysis. Generally, hypokalemia can result from increased renal or gastrointestinal loss or increased cellular uptake (Table 1). Hypokalemia is often associated with QT prolongation and the risk of ventricular tachycardia (particularly torsades de pointes), which can be further aggravated by the administration of drugs known to prolong the QT interval [11]. Hypokalemia in patients with hypertension should initiate a search for primary hyperaldosteronism. After discontinuation of diuretics screening is performed by measuring the plasma levels of aldosterone and renin to calculate the ARR (Table 2). This patient’s ARR was significantly increased (20.4, normal: <12), indicating primary aldosteronism. As the ARR is only a screening tool, the definite diagnosis of primary aldosteronism has to be confirmed by additional diagnostic tests including suppression tests with saline, fludrocortisone and captopril and the oral salt loading test. In the first three tests, post-suppression serum aldosterone concentration is used as a diagnostic criterion; the oral salt loading test assesses 24-h urinary aldosterone excretion [7]. With the saline suppression test, we found a post-suppression plasma aldosterone concentration of 55 ng/dl (cut-off value for aldosterone: >10 ng/dl), which clearly confirmed primary aldosteronism in our patient.
Table 1
Major causes of hypokalemia
Increased gastrointestinal loss
Increased urinary loss
Increased entry into cells
Vomiting
Diarrhea
Tube drainage
Laxative abuse
Diuretics
Primary mineralocorticoid excess
Loss of gastric secretion
Non-resorbable anions
Renal tubular acidosis
Hypomagnesemia
Amphotericin B
Salt-wasting nephropathies (including Bartter and Gitelman syndromes)
Polyuria
Elevation in extracellular pH
Increased availability of insulin
Elevated beta-adrenergic activity, stress or beta-agonists
Hypokalemic periodic paralysis
Marked increase in blood cell production
Hypothermia
Chloroquine intoxication
Table 2
Causes of hypokalemia combined with hypertension in relation to aldosterone and renin
Aldosterone ↑
Renin ↓
Aldosterone ↑
Renin ↓
Aldosterone ↑
Renin ↑
Hypercortisolism
Congenital adrenal hyperplasia
Primary aldosteronism
Secondary aldosteronism
Diuretics
Cirrhosis
Heart failure
Renovascular arterial hypertension
Malignant arterial hypertension
Renin-secreting tumor
Hypersecretion in primary aldosteronism is often caused by a single aldosterone-producing adenoma in one adrenal gland: MRI revealed a unilateral adenoma, 2 cm in diameter in the left adrenal gland. This prompted the diagnosis of classical solitary Conn adenoma.
Bilateral selective adrenal venous sampling (AVS, i.e. the selective blood sampling from adrenal veins and a peripheral site via a percutaneous femoral vein approach and the comparison of the cortisol-corrected aldosterone secretion between the two sides using the lateralization index) is the gold standard procedure for differentiating unilateral (surgically curable) and bilateral adrenal disease [12]. The AVS is a challenging procedure (particularly the cannulation of the right adrenal vein) and the success rate greatly depends on the expertise of the angiographer. In many centers the right adrenal vein is successfully cannulated in 50–80 % of cases [13, 14]. Only a few centers report success rates >95 % [15]. Unlike the left adrenal vein, which can be easily identified by its drainage into the superior aspect of the left renal vein, the right adrenal vein drains directly into the inferior vena cava in the neighborhood of a number of small vessels (e.g. accessory hepatic, phrenic and retroperitoneal veins) that may look like the right adrenal vein [16]. Moreover, the right adrenal vein is small and short, so that catheters can easily become dislodged during blood collection. In our patient AVS clearly suggested a left unilateral adenoma as indicated by MRI. Within 3 weeks after minimally invasive left-sided adrenalectomy the patient’s blood pressure decreased from 180/100 mmHg to 120/80 mmHg and serum potassium levels returned to normal. In 30–40 % of patients with Conn syndrome adrenalectomy results in permanent normalization of the blood pressure without further need of medication, as was also the case with our patient.
Dr. C. Langner:
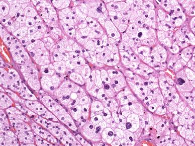
Histologically, the adrenal gland can be divided into the medulla, which shows a relatively homogeneous structure and the cortex with three concentric zones (zonae glomerulosa, fasciculata and reticularis). Due to their different embryologic origins, the cortex and medulla produce different hormones. While catecholamines are synthesized in the medulla, steroid hormones, such as mineralocorticoids, glucocorticoids and sex steroids are synthesized in the zonae glomerulosa, fasciculata and reticularis of the cortex, respectively, with an overlap in hormones synthesized by the zonae fasciculata and reticularis. Our patient’s adenoma showed enlarged cells with pale cytoplasm and centrally placed nuclei with marked variation in size and there were also binucleated cells but no mitotic figures (Fig. 1).
Fig. 1
Typical adrenocortical adenoma composed of large cells with abundant foamy cytoplasm and distinct cell borders. Note coarse nuclear chromatin, variation in nuclear size and occasional binucleated cells but no mitotic figures (H&E, ×100)
Bild vergrößern
Dr. G.J. Krejs:
In this case tetraparesis caused by severe hypokalemia was the outstanding clinical feature. Dr. Quasthoff will discuss this from the neurological point of view.
Dr. S. Quasthoff:
In patients with periodic paralysis the medical history is essential for neurologists. Exclusion of diagnoses, such as a cerebral space-occupying lesion, compression of the spinal cord and spinal cord diseases, neuromuscular diseases, such as myasthenia gravis, botulism, periodic paralysis due to hyperthyroidism (i.e. thyrotoxicosis) and those discussed earlier will limit the correct neurological diagnosis in a patient with tetraparesis to psychogenic or hypokalemic paralysis. With an annual incidence of 1 in 1 million inhabitants, hypokalemic tetraparesis is seen only very rarely. Hypokalemia has different underlying causes, which have to be distinguished (Table 1). Patients with hypokalemic periodic paralysis may experience paralytic episodes with concomitant hypokalemia (<2.5 mmol/l) and may occasionally develop late-onset proximal myopathy. The paralytic attacks are characterized by reversible flaccid paralysis usually leading to paraparesis or tetraparesis but sparing the respiratory muscles and the heart [17].
The symptoms in hypokalemic paralysis can last from minutes to hours or several days. Some individuals have only one episode in their lifetime but more commonly, crises occur repeatedly: daily, weekly, monthly or even less often. Events that are associated with an increased release of epinephrine or insulin can precipitate hypokalemic paralysis as they cause increased movement of potassium into cells and a subsequent decrease in serum potassium [18, 19]. Major triggering factors are either rest after strenuous physical activity, stress or a high carbohydrate load. From my personal experience I remember two cases of hypokalemic paralysis that were both associated with these typical triggering factors. The first patient was a student on a summer internship involving heavy manual labor; his daily diet was very high in carbohydrates including up to 3 l of sugar-sweetened beverages. This constellation finally led to hypokalemic periodic paralysis. The second case was a bride who presented with hypokalemic paralysis on her wedding day. Again, stress, physical activity (in this case dancing) and a high-carbohydrate meal were the triggering factors. It is of interest that our patient developed paralysis on Easter Sunday, when people typically have a large festive meal.
When hypokalemic periodic paralysis is suspected, the diagnosis has to be confirmed by electrophysiology, provocation tests and/or genetic analysis. Detailed information on this testing is available elsewhere [20]. The exercise test determines muscle strength by electromyography after nerve stimulation. The characteristic changes are important findings for defining the cause of paralysis, i.e. which ion channel is affected. Alternatively, a glucose provocation test, which aims to decrease serum potassium levels to below 3 mmol/l by oral administration of 2 g glucose/kg body weight and 10–20 IU insulin subcutaneously or i.v. administration of 1.5–3 g glucose/kg body weight and insulin over a period of 60 min, can confirm the diagnosis of hypokalemic periodic paralysis. In hypokalemic paralysis, serum concentrations of potassium are typically low (0.9–2.5 mmol/l) during attacks but not in between. Moreover, a positive family history is consistent with autosomal dominant inheritance. Of all individuals meeting the diagnostic criteria for hypokalemic periodic paralysis, approximately 60 % have mutations in the calcium channel CACNA1S gene, 20 % in the sodium channel SCN4A gene and 3.5 % in the potassium KCNJ18 gene [17]. Depending on the mutation, paralysis in the affected patients may be due to hyperkalemia or hypokalemia (Table 3). It is important to know that in patients with hypokalemic periodic paralysis, CK levels may be increased even without myotonia, as in our patient.
Table 3
Clinical features of hypokalemic and hyperkalemic periodic paralysis
Hypokalemic periodic paralysis
Hyperkalemic periodic paralysis
Usually presents in adolescence
Attacks can be prolonged, usually occurring on awakening and accompanied by hyporeflexia
Potassium is low during attacks
Myotonia is never present
Possible proximal myopathy
Rarely associated mild sensory axonal polyneuropathy
Electrophysiology:
Rarely associated mild sensory axonal polyneuropathy
Never myotonia
Effects of cooling unknown
Short exercise test causes no decrement
Long exercise test produces immediate increase in CMAP, especially if initial CMAP is low, followed by progressive decline in CMAP by 50 % over 20–40 min with most of the decline in the first 20 min
RNS causes no decrement unless after prolonged exercise
Attacks of periodic weakness provoked by fasting, rest after exercise or cold
Attacks are brief, lasting minutes to hours and accompanied by hyporeflexia
Potassium is usually elevated during attacks
Attack relieved by ingesting carbohydrates
Development of progressive weakness during adulthood
Electrophysiology:
May not have myotonia between attacks
Rarely myopathic units
Myotonia seen early in the attack but disappears as weakness progresses
Muscle cooling has no effect
Short exercise test produces no decrement
Long exercise test produces immediate increase in CMAP, especially if initial CMAP is low, followed by progressive decline in CMAP by 50 % over 20–40 min with most of the decline in the first 20 min
RNS causes no decrement unless after prolonged exercise
CMAP compound muscle action potential, RNS repetitive nerve stimulation
Mutations in the potassium channel KCNJ2 gene (inward-rectifier potassium ion channel) often presents clinically as Andersen-Tawil syndrome; however, penetrance is extremely variable, with some carriers of the mutation displaying little or no phenotypic expression [21]. This rare syndrome is characterized by a triad of episodic flaccid muscle weakness (periodic paralysis), ventricular arrhythmia with prolonged QT interval and skeletal anomalies [22]. Neurological presentation commonly includes episodic weakness of skeletal muscles in a generalized pattern with sparing of bulbar and respiratory musculature and reflexes may be absent or diminished during the episodes of weakness. Electrophysiological evaluation of the nerves is of great diagnostic value, as abnormalities are seen with sensitive testing in about 80 % of cases. Classical electrocardiographic abnormalities include prominent Q waves, prolonged QT and QU intervals, ventricular arrhythmias, such as premature ventricular contractions, polymorphic ventricular tachycardia and bidirectional ventricular tachycardia. Skeletal anomalies in the syndrome are micrognathia, retrognathia, clinodactyly, syndactyly, low-set ears and hypertelorism [23].
Table 4 provides an overview of hypokalemic and hyperkalemic causes of paralysis, corresponding characteristic symptoms, affected ion channels and treatment options.
Table 4
Overview of hypokalemic and hyperkalemic paralysis, characteristic symptoms, affected ion channels and treatment options
 
Hypokalemic periodic
paralysis
Thyrotoxic hypokalemic periodic paralysis
Hyperkalemic periodic paralysis
Potassium-sensitive myotonia
Andersen-Tawil syndrome
Channel or gene defect
Ca++: CACNA1S
α1-subunit
(or rare: Na+: SCN4A; K+: KCNE3, KCNJ2, KNCJ5)
K+: KCNJ18
(Kir2.6)
Na+: SCN4A
α-subunit
(or K+: KCNE3)
Na+: SCN4A
α-subunit
K+: KCNJ2
(Kir2.1)
Inheritance/locus
Dominant
1q32.1
Dominant
17q11.2
Dominant
17q23.3
Dominant
17q23.3
Dominant
17q23.3
Functional
defect
?
?
Reduced fast and slow
inactivation
Mild reduction of fast
inactivation
↓ K+
conduction
Penetrance
↓ Females
↓ Females
High
High
Variable
Onset
5–35 years
20–40 years
<10 years
<10 years
2–18 years
Weakness duration
2–24 h
Hours to days
30 min–4 h
None
1–36 h
Maximum weakness
Severe
Mild to severe
Mild to severe
None
Moderate
Cold
± ↑ Paralysis
± ↑ Paralysis
± ↑ Paralysis
↑ Paralysis
?
K + -effects
↓ Paralysis
↓ Paralysis
↑ Paralysis
↑ Paralysis
↑ Paralysis
Attack precipitants
Carbohydrates,
rest after activity
Carbohydrates,
rest after activity
Fasting
↑ K+
K+
Myotonia
Rarely eyelids only
None
± Present
Exercise: ↓
Mild to severe
Exercise: ↑
None
Large muscles
No
No
Yes
Yes
No
Sensory symptoms
Absent
Absent
Present
?
Absent
Drug treatment
K+
Acetazolamide
Dichlorphenamide
Therapy of thyrotoxicosis
Beta-adrenergic blockade
Thiazide
Acetazolamide
Dichlorphenamide
Mexiletine
Thiazide
?
Dr. G.J. Krejs:
Hypokalemia is an important diagnostic laboratory finding in several diseases and responsible for specific clinical features. But how often do we actually see hypokalemia in our clinical routine? Dr. Raggam will present the experience with potassium measurements and the frequency of hypokalemia at the University Medical Center in Graz.
Dr. R.B. Raggam:
From January to November 2015 a total of 349,418 serum potassium analyses were performed at the University Medical Center in Graz. Normal potassium levels range from 3.5 to 5.5 mmol/l; in 0.15 % (n = 531) of samples analyzed, the potassium concentration was between 2.1 and 2.5 mmol/l and only 0.02 % (n = 85) had a concentration ≤2.0 mmol/l. With 1.5 and 1.7 mmol/l, the lowest levels were found in psychiatric patients. Most frequently levels ≤2.0 mmol/l were seen in patients in intensive care units and on medical and surgical wards.
For biochemical screening for primary aldosteronism in at-risk populations, there are no internationally accepted standardized assays that are calibrated against a standard reference substance. Calculation of the ARR is, however, a widely accepted approach [24]. The ratio has superior test characteristics to either plasma aldosterone concentration or plasma renin concentration (or activity) alone [25] and it shows less intra-day and inter-day variation. It is also less influenced by preanalytical variables, such as salt intake, diuretic exposure and posture prior to collection [26].
Calculated ARRs from different laboratories are, however, hardly comparable because the results are significantly influenced by (1) the assays used to determine aldosterone and renin and (2) the prevailing preconditions for blood sampling. The ARR can be calculated from both the direct “active” renin concentration (aldosterone to direct active renin concentration ratio, AARR) and the plasma renin activity (aldosterone to renin activity ratio, ARAR). It is important to know that both parameters are different metrics of the renin-angiotensin-aldosterone system and will therefore show different positive screening rates [27]. As direct active renin concentrations are biased by various factors [7], some experts tend to use plasma renin activity rather than renin concentration to calculate the ARR [28, 29], even though screening using the renin concentration can also be effective [30]. The diagnostic accuracy of the ARAR is, however, limited by conditions that affect both renin concentrations (e.g. negative feedback inhibition by angiotensin II) and angiotensinogen concentrations (increased during pregnancy, glucocorticoid excess and estrogen administration; decreased in liver disease) [31]. In contrast, the advantages of ARAR over AARR may be a better low-end precision and a more complete assessment of the renin-angiotensin-aldosterone system tone [7]. Glinicki et al. recently suggested a similar diagnostic accuracy of the ARAR and AARR [32]. In summary, for practical and economic reasons ARAR can be replaced by the aldosterone to direct active renin concentration ratio (AARR). Due to these analytical complexities, the ARR should always be interpreted in the context of the full clinical picture including medical and family history of early cardiovascular events, of early onset of arterial hypertension, severity of hypertension, resistance to antihypertensive drugs, presence of adrenal adenoma, absolute aldosterone concentration, the presence of electrolyte abnormalities and responsiveness to aldosterone antagonists [7]. When screening is positive, a confirmatory aldosterone suppression test must be performed to definitely diagnose primary aldosteronism.
Dr. G.J. Krejs:
At the University Medical Center of Graz only 1 out of approximately 350,000 measurements per year yields a serum potassium level as low as 1.5 mmol/l as observed in our patient. In the past 45 years of my medical career I have just once seen a patient with a potassium level as low as 1.5 mmol/l. That patient suffered from Verner-Morrison syndrome, i.e. watery diarrhea hypokalemia hypochlorhydria (WDHH) syndrome, also known as VIPoma (vasoactive intestinal peptide) or pancreatic cholera [33] and experienced hypokalemic paralysis caused by massive gastrointestinal potassium loss. He was paralyzed to such a degree that he could not lift the telephone receiver to call for help.
The prevalence of hypertension has increased over the past decades and currently affects about 1 billion people worldwide [34]. Although most cases of hypertension are “essential” or “idiopathic,” some cases have an identifiable cause, representing secondary hypertension for which curative therapy can be offered. The most common form of secondary hypertension is primary aldosteronism [5]. Primary aldosteronism was first described in 1955 by Conn at Yale University, who reported a 34-year-old woman with hypertension, intermittent paralysis, hypokalemia and metabolic alkalosis [35]. The patient further showed increased activity of urinary salt-retaining corticoid and was cured by removal of a benign adrenal adenoma [36]. Initially Conn suggested that about 20 % of hypertensive patients might be affected by primary aldosteronism but later revised his estimate to 10 % [37]. Currently it is suggested that in 5–13 % of patients with hypertension the cause is primary aldosteronism with higher rates in younger hypertensive patients [5, 7]. Dr. Pilz is an endocrinologist and will present some important facts on primary aldosteronism and tell us about experiences with this disease at the University Medical Center of Graz.
Dr. S. Pilz:
Primary aldosteronism is characterized by aldosterone concentrations that are inappropriately high in relation to renin and that are not adequately suppressible by sodium loading, which would normally reduce aldosterone secretion [7]. Identification of primary aldosteronism and its specific forms (Table 5) is essential because affected patients have higher cardiovascular morbidity and mortality than age, sex and blood pressure-matched patients with essential hypertension [10, 42]. High aldosterone levels have adverse cardiovascular effects that are independent of hypertension and include endothelial dysfunction, left ventricular hypertrophy and fibrosis of the kidney, heart and blood vessels [43]. Early detection of primary aldosteronism by screening of hypertensive patients is important because it will allow targeted and effective treatment and will so reduce the excess cardiovascular risk [44, 45].
Table 5
Subtypes of primary aldosteronism and their frequency [5, 7, 38]
Subtype
Relative frequency (%)
Sporadic forms
Idiopathic adrenal hyperplasia
60–65
Aldosterone-producing adenoma (Conn syndrome)
30
Primary unilateral adrenal hyperplasia
2–3
Aldosterone-producing adrenocortical carcinoma
1
Aldosterone-producing ovarian tumor
<1
Familial forms
Familial hyperaldosteronism type I (glucocorticoid-remediable aldosteronism) caused by a fusion gene between CYP11B2 (aldosterone synthase) and CYP11B1 (11-ß-hydroxylase) resulting in excessive aldosterone production in response to adrenocorticotropin [39]
<1
Familial hyperaldosteronism type II (familial occurrence of aldosterone-producing adenoma or bilateral idiopathic hyperplasia or both; genetic cause is under investigation)
Unknown
Familial hyperaldosteronism type III (non-glucocorticoid-remediable hyperaldosteronism) caused by mutations of the inward rectifier potassium channel 4 (GIRK4) which is encoded by the KCNJ5 gene [40, 41]
Unknown
Ectopic aldosterone-producing adenoma or carcinoma
<0.1
According to the Endocrine Society clinical practice guidelines, testing for primary aldosteronism should be considered in any of the following circumstances: (1) sustained blood pressure above 150/100 mmHg on each of three measurements obtained on different days, (2) hypertension (blood pressure >140/90 mmHg) resistant to three conventional antihypertensive drugs (including a diuretic), (3) controlled blood pressure (<140/90 mmHg) on four or more antihypertensive drugs, (4) arterial hypertension and spontaneous or diuretic-induced hypokalemia, (5) hypertension and adrenal incidentaloma, (6) hypertension and sleep apnea, (7) hypertension and a family history of early onset hypertension or cerebrovascular accident at a young age (<40 years) and (8) all hypertensive first-degree relatives of patients with primary aldosteronism [12]. As already described by Drs. Schiller and Raggam, primary aldosteronism is usually diagnosed by measuring plasma aldosterone and direct active renin concentrations or renin activity and calculating the ARAR or AARR. If ARAR or AARR is elevated, confirmatory aldosterone suppression should usually be conducted to verify autonomous aldosterone production and thus confirm the diagnosis of primary aldosteronism. When testing for primary aldosteronism it is recommended to withdraw mineralocorticoid receptor antagonists (e.g. spironolactone and eplerenone) and amiloride and triamterene for at least 4 weeks before blood sampling to avoid spurious results. Potassium should also be normalized before testing because hypokalemia strongly suppresses aldosterone secretion. If a young patient (<35 years) has marked aldosterone excess and spontaneous hypokalemia along with plasma renin levels below detection levels there may be no need for further confirmation testing [5]. Beyond these diagnostic procedures for primary aldosteronism, it should be emphasized that one important differential diagnosis for patients with profound hypokalemia and hypertension is ectopic, i.e. adrenocorticotropic hormone dependent Cushing syndrome that is usually accompanied by significant metabolic alkalosis and very rapid disease progression requiring early diagnosis and treatment [46]. Some drugs such as beta-adrenergic blockers, angiotensin-converting enzyme inhibitors or angiotensin receptor blockers may also impact on the ARR and it is desirable to withdraw these drugs for at least 4 weeks before testing.
In addition to renin (activity) and aldosterone levels for calculation of ARR or AARR, analysis of parathyroid hormone may be of additional diagnostic value in primary aldosteronism. Patients with significant primary aldosteronism frequently present with elevated parathyroid hormone levels that may be due to increased renal and fecal calcium loss, metabolic alkalosis or direct effects on the parathyroid glands mediated by aldosterone [47].
The overall prevalence of primary aldosteronism, which of course greatly depends on the diagnostic criteria applied (e.g. ARR cut-offs), is relatively low at our center; according to the Graz endocrine causes of hypertension (GECOH) study approximately 3–5 % of patients referred for screening for endocrine hypertension are diagnosed with primary aldosteronism per year at the University Medical Center in Graz [48, 49]. In absolute numbers this means 5 patients are diagnosed here per year; however, appropriate and targeted screening of suspicious patients is pivotal for early diagnosis and adequate therapy.
Dr. G.J. Krejs:
In summary, this interesting case showed that primary aldosteronism due to an aldosterone-producing adenoma (Conn syndrome) led to severe hypokalemic paralysis. Primary aldosteronism is not often seen in the daily routine but is detected in about five patients per year at our medical center and hypokalemic paralysis is seen even less often. Early identification of patients with primary aldosteronism and the correct subtype is important for the choice of the best therapy. In the discussed patient minimally invasive adrenalectomy was curative.
Dr. A. Tomaschitz:
As a final comment on this case: hypokalemic tetraparesis in primary aldosteronism is rare but physicians should nevertheless be aware of this clinical feature. Regarding primary aldosteronism it is important to know that hypokalemia is only found in 37 % of patients with primary aldosteronism and that hypokalemia is more common when the disease has progressed [6, 50]. As potassium levels are often within the normal range, hypokalemia is an insensitive diagnostic tool for primary aldosteronism. The ARR or AARR are the acceptable approaches for detecting primary aldosteronism but a confirmatory aldosterone suppression test must be performed before treatment can be initiated.

Final diagnosis

Hypokalemic paralysis due to primary aldosteronism (Conn syndrome).

Acknowledgements

The authors express their sincere gratitude to Eugenia Lamont for language editing of the manuscript.
Open access funding provided by Medical University of Graz.

Conflict of interest

E. Fabian, D. Schiller, A. Tomaschitz, C. Langner, S. Pilz, S. Quasthoff, R.B. Raggam, R. Schoefl, and G.J. Krejs declare that they have no competing interests.
Open Access This article is distributed under the terms of the Creative Commons Attribution 4.0 International License (http://creativecommons.org/licenses/by/4.0/), which permits unrestricted use, distribution, and reproduction in any medium, provided you give appropriate credit to the original author(s) and the source, provide a link to the Creative Commons license, and indicate if changes were made.
download
DOWNLOAD
print
DRUCKEN
Titel
Clinical-Pathological Conference Series from the Medical University of Graz
Case No 160: 33-year-old woman with tetraparesis on Easter Sunday
Verfasst von
Elisabeth Fabian
Dietmar Schiller
Andreas Tomaschitz
Cord Langner
Stefan Pilz
Stefan Quasthoff
Reinhard B. Raggam
Rainer Schoefl
Guenter J. Krejs, MD, AGAF
Publikationsdatum
01.10.2016
Verlag
Springer Vienna
Erschienen in
Wiener klinische Wochenschrift / Ausgabe 19-20/2016
Print ISSN: 0043-5325
Elektronische ISSN: 1613-7671
DOI
https://doi.org/10.1007/s00508-016-1085-7
1.
Zurück zum Zitat Funder JW, Carey RM, Fardella C, Gomez-Sanchez CE, Mantero F, Stowasser M, Young WF Jr, Montori VM, Endocrine Society. Case detection, diagnosis, and treatment of patients with primary aldosteronism: an endocrine society clinical practice guideline. J Clin Endocrinol Metab. 2008;93(9):3266–81.CrossRefPubMed
2.
Zurück zum Zitat Chao CT, Wu VC, Kuo CC, Lin YH, Chang CC, Chueh SJ, Wu KD, Pimenta E, Stowasser M. Diagnosis and management of primary aldosteronism: an updated review. Ann Med. 2013;45(4):375–83.CrossRefPubMed
3.
Zurück zum Zitat Tomaschitz A, Pilz S, Ritz E, Obermayer-Pietsch B, Pieber TR. Aldosterone and arterial hypertension. Nat Rev Endocrinol. 2010;6(2):83–93.CrossRefPubMed
4.
Zurück zum Zitat Gordon RD. Mineralocorticoid hypertension. Lancet. 1994;344(8917):240–3.CrossRefPubMed
5.
Zurück zum Zitat Mattsson C, Young WF Jr. Primary aldosteronism: diagnostic and treatment strategies. Nat Clin Pract Nephrol. 2006;2(4):198–208.CrossRefPubMed
6.
Zurück zum Zitat Mulatero P, Stowasser M, Loh K‑C, Fardella CE, Gordon RD, Mosso L, et al. Increased diagnosis of primary aldosteronism, including surgically correctable forms, in centers from five continents. J Clin Endocrinol Metab. 2004;89(3):1045–50.CrossRefPubMed
7.
Zurück zum Zitat Rehan M, Raizman JE, Cavalier E, Don-Wauchope AC, Holmes DT. Laboratory challenges in primary aldosteronism screening and diagnosis. Clin Biochem. 2015;48(6):377–87.CrossRefPubMed
8.
Zurück zum Zitat Rossi GP. A comprehensive review of the clinical aspects of primary aldosteronism. Nat Rev Endocrinol. 2011;7(8):485–95.CrossRefPubMed
9.
Zurück zum Zitat Calhoun DA, Nishizaka MK, Zaman MA, Thakkar RB, Weissmann P. Hyperaldosteronism among black and white subjects with resistant hypertension. Hypertension. 2002;40(6):892–6.CrossRefPubMed
10.
Zurück zum Zitat Milliez P, Girerd X, Plouin PF, Blacher J, Safar ME, Mourad JJ. Evidence for an increased rate of cardiovascular events in patients with primary aldosteronism. J Am Coll Cardiol. 2005;45(8):1243–8.CrossRefPubMed
11.
Zurück zum Zitat Yap YG, Camm AJ. Drug induced QT prolongation and torsades de pointes. Heart. 2003;89(11):1363.CrossRefPubMedPubMedCentral
12.
Zurück zum Zitat Funder J, Carey RM, Mantero F, Murad H, Reincke M, Shibata H, Stowasser M, Young WF Jr. The management of primary aldosteronism: case detection, diagnosis, and treatment: an endocrine society clinical practice guideline. J Clin Endocrinol Metab. 2016;101(5):1889–916.CrossRefPubMed
13.
Zurück zum Zitat Vonend O, Ockenfels N, Gao X, Allolio B, Lang K, Mai K, Quack I, Saleh A, Degenhart C, Seufert J, Seiler L, Beuschlein F, Quinkler M, Podrabsky P, Bidlingmaier M, Lorenz R, Reincke M, Rump LC, German Conn’s Registry. Adrenal venous sampling: evaluation of the German Conn’s registry. Hypertension. 2011;57(5):990–5.CrossRefPubMed
14.
Zurück zum Zitat Harvey A, Kline G, Pasieka JL. Adrenal venous sampling in primary hyperaldosteronism: comparison of radiographic with biochemical success and the clinical decision-making with “less than ideal” testing. Surgery. 2006;140(6):847–53.CrossRefPubMed
15.
Zurück zum Zitat Young WF Jr, Stanson AW, Thompson GB, Grant CS, Farly DR, Heerden JA van. Role for adrenal venous sampling in primary aldosteronism. Surgery. 2004;136(6):1227–35.CrossRefPubMed
16.
Zurück zum Zitat Daunt N. Adrenal vein sampling: how to make it quick, easy, and successful. Radiographics. 2005;25(Suppl 1):S143–S158.CrossRefPubMed
17.
Zurück zum Zitat Vicart S, Sternberg D, Arzel-Hézode M, Franques J, Bendahhou S, Lory P, Hainque B, Fournier E, Nicole S, Fontaine B. Hypokalemic periodic paralysis. GeneReviews 2014. http://www.ncbi.nlm.nih.gov/books/NBK1338/. Accessed 14 March 2016
18.
Zurück zum Zitat Jurkat-Rott K, Lerche H, Lehmann-Horn F. Skeletal muscle channelopathies. J Neurol. 2002;249(11):1493–502.CrossRefPubMed
19.
Zurück zum Zitat Lin SH, Lin YF, Halperin ML. Hypokalaemia and paralysis. QJM. 2001;94:133–9.CrossRefPubMed
20.
Zurück zum Zitat Alkaabi JM, Mushtaq A, Al-Maskari FN, Moussa NA, Gariballa S. Hypokalemic periodic paralysis: a case series, review of the literature and update of management. Eur J Emerg Med. 2010;17(1):45–7.CrossRefPubMed
21.
Zurück zum Zitat Lange PS, Er F, Gassanov N, Hoppe UC. Andersen mutations of KCNJ2 suppress the native inward rectifier current IK1 in a dominant-negative fashion. Cardiovasc Res. 2003;59:321–7.CrossRefPubMed
22.
Zurück zum Zitat Tawil R, Ptacek LJ, Pavlakis SG, DeVivo DC, Penn AS, Ozdemir C, et al. Andersen’s syndrome: Potassium-sensitive periodic paralysis, ventricular ectopy, and dysmorphic features. Ann Neurol. 1994;35:326–30.CrossRefPubMed
23.
Zurück zum Zitat Babu SS, Nigam GB, Peter CS, Peter CS. Andersen-Tawil syndrome: A review of literature. Neurol India. 2015;63(5):772–4.CrossRefPubMed
24.
Zurück zum Zitat Tomaschitz A, Pilz S. Aldosterone to renin ratio-a reliable screening tool for primary aldosteronism? Horm Metab Res. 2010;42(6):382–91.CrossRefPubMed
25.
Zurück zum Zitat Tiu SC, Choi CH, Shek CC, Ng YW, Chan FK, Ng CM, Kong AP. The use of aldosterone-renin ratio as a diagnostic test for primary hyperaldosteronism and its test characteristics under different conditions of blood sampling. J Clin Endocrinol Metab. 2005;90(1):72–8.CrossRefPubMed
26.
Zurück zum Zitat McKenna TJ, Sequeira SJ, Heffernan A, Chambers J, Cunningham S. Diagnosis under random conditions of all disorders of the renin-angiotensin-aldosterone axis, including primary hyperaldosteronism. J Clin Endocrinol Metab. 1991;73(5):952–7.CrossRefPubMed
27.
Zurück zum Zitat Lonati C, Bassani N, Gritti A, Biganzoli E, Morganti A. Measurement of plasma renin concentration instead of plasma renin activity decreases the positive aldosterone-to-renin ratio tests in treated patients with essential hypertension. J Hypertens. 2014;32(3):627–34.CrossRefPubMed
28.
Zurück zum Zitat Sealey JE, Gordon RD, Mantero F. Plasma renin and aldosterone measurements in low renin hypertensive states. Trends Endocrinol Metab. 2005;16(3):86–91.CrossRefPubMed
29.
Zurück zum Zitat Stowasser M, Gordon RD. The aldosterone-renin ratio: role and problems. Prim Aldosteronism. 2014;:109–26. doi:10.1007/978-1-4939-0509-6_9.
30.
Zurück zum Zitat Rossi GP, Barisa M, Belfiore A, Desideri G, Ferri C, Letizia C, Maccario M, Morganti A, Palumbo G, Patalano A, Roman E, Seccia TM, Pessina AC, Mantero F, PAPY Study Investigators. The aldosterone-renin ratio based on the plasma renin activity and the direct renin assay for diagnosing aldosterone-producing adenoma. J Hypertens. 2010;28(9):1892–9.CrossRefPubMed
31.
Zurück zum Zitat Campbell DJ, Nussberger J, Stowasser M, Danser AH, Morganti A, Frandsen E, Ménard J. Activity assays and immunoassays for plasma renin and prorenin: information provided and precautions necessary for accurate measurement. Clin Chem. 2009;55(5):867–77.CrossRefPubMed
32.
Zurück zum Zitat Glinicki P, Jeske W, Bednarek-Papierska L, Kruszyńska A, Gietka-Czernel M, Rosłonowska E, Słowińska-Srzednicka J, Kasperlik-Załuska A, Zgliczyński W. The ratios of aldosterone/plasma renin activity (ARR) versus aldosterone/direct renin concentration (ADRR). J Renin Angiotensin Aldosterone Syst. 2015;16(4):1298–305.CrossRefPubMed
33.
Zurück zum Zitat Fabian E, Kump P, Krejs GJ. Diarrhea caused by circulating agents. Gastroenterol Clin North Am. 2012;41(3):603–10.CrossRefPubMed
34.
Zurück zum Zitat Kearney PM, Whelton M, Reynolds K, Muntner P, Whelton PK, He J. Global burden of hypertension: analysis of worldwide data. Lancet. 2005;365(9455):217–23.CrossRefPubMed
35.
Zurück zum Zitat Conn JW. Presidential address. I. Painting background. II. Primary aldosteronism, a new clinical syndrome. J Lab Clin Med. 1955;45(1):3–17.PubMed
36.
Zurück zum Zitat Conn JW, Conn ES. Primary aldosteronism versus hypertensive disease with secondary aldosteronism. Recent Prog Horm Res. 1961;17:389–414.PubMed
37.
Zurück zum Zitat Conn JW. The evolution of primary aldosteronism: 1954–1967. Harvey Lect. 1967;62:257–91.
38.
Zurück zum Zitat Young WF Jr. Primary aldosteronism – treatment options. Growth Horm IGF Res. 2003;13(Suppl A):S102–S108.CrossRefPubMed
39.
Zurück zum Zitat McMahon GT, Dluhy RG. Glucocorticoid-remediable aldosteronism. Arq Bras Endocrinol Metabol. 2004;48(5):682–6.CrossRefPubMed
40.
Zurück zum Zitat Choi M, Scholl UI, Yue P, Björklund P, Zhao B, Nelson-Williams C, Ji W, Cho Y, Patel A, Men CJ, Lolis E, Wisgerhof MV, Geller DS, Mane S, Hellman P, Westin G, Åkerström G, Wang W, Carling T, Lifton RP. K+ channel mutations in adrenal aldosterone-producing adenomas and hereditary hypertension. Science. 2011;331(6018):768–72.CrossRefPubMedPubMedCentral
41.
Zurück zum Zitat Funder JW. The genetic basis of primary aldosteronism. Curr Hypertens Rep. 2012;14(2):120–4.CrossRefPubMed
42.
Zurück zum Zitat Stowasser M, Sharman J, Leano R, Gordon RD, Ward G, Cowely D, Marwick TH. Evidence for abnormal left ventricular structure and function in normotensive individuals with familial hyperaldosteronism type I. J Clin Endocrinol Metab. 2005;90(9):5070–6.CrossRefPubMed
43.
Zurück zum Zitat Brown NJ. Aldosterone and end-organ damage. Curr Opin Nephrol Hypertens. 2005;14:235–41.CrossRefPubMed
44.
Zurück zum Zitat Catena C, Colussi G, Nadalini E, Chiuch A, Baroselli S, Lapenna R, Sechi LA. Cardiovascular outcomes in patients with primary aldosteronism after treatment. Arch Intern Med. 2008;168:80–5.CrossRefPubMed
45.
Zurück zum Zitat Strauch B, Perak O, Zelinka T, Wichterle D, Holaj R, Kasalicky M, Safarik L, Rosa J, Widimsky J Jr.. Adrenalectomy improves arterial stiffness in primary aldosteronism. Am J Hypertens. 2008;21:1086–92.CrossRefPubMed
46.
Zurück zum Zitat Schwetz V, Aberer F, Stiegler C, Pieber TR, Obermayer-Pietsch B, Pilz S. Fluconazole and acetazolamide in the treatment of ectopic Cushing’s syndrome with severe metabolic alkalosis. Endocrinol Diabetes Metab Case Rep. 2015;2015:150027.PubMedPubMedCentral
47.
Zurück zum Zitat Pilz S, Kienreich K, Drechsler C, Ritz E, Fahrleitner-Pammer A, Gaksch M, Meinitzer A, März W, Pieber TR, Tomaschitz A. Hyperparathyroidism in patients with primary aldosteronism: cross-sectional and interventional data from the GECOH study. J Clin Endocrinol Metab. 2012;97(1):E75–E79.CrossRefPubMed
48.
Zurück zum Zitat Pilz S, Tomaschitz A, Stepan V, Obermayer-Pietsch B, Fahrleitner-Pammer A, Schweighofer N, Portugaller HR, Sourij H, Dobnig H, Meinitzer A, Pieber TR. Graz Endocrine Causes of Hypertension (GECOH) study: a diagnostic accuracy study of aldosterone to active renin ratio in screening for primary aldosteronism. BMC Endocr Disord. 2009;9:11.CrossRefPubMedPubMedCentral
49.
Zurück zum Zitat Pilz S, Kienreich K, Gaksch M, Grübler M, Verheyen N, Bersuch LA, Schmid J, Drechsler C, Ritz E, Moosbrugger A, Stepan V, Pieber TR, Meinitzer A, März W, Tomaschitz A. Aldosterone to active Renin ratio as screening test for primary aldosteronism: reproducibility and influence of orthostasis and salt loading. Horm Metab Res. 2014;46(6):427–32.CrossRefPubMed
50.
Zurück zum Zitat Rossi GP, Bernini G, Caliumi C, Desideri G, Fabris B, Ferri C, et al. A prospective study of the prevalence of primary aldosteronism in 1,125 hypertensive patients. J Am Coll Cardiol. 2006;48(11):2293–300.CrossRefPubMed